Panoramic Radiography vs. CBCT in the Evaluation of the Maxillary Third Molar Roots
Abstract
1. Introduction
2. Materials and Methods
2.1. Study Design/Sample
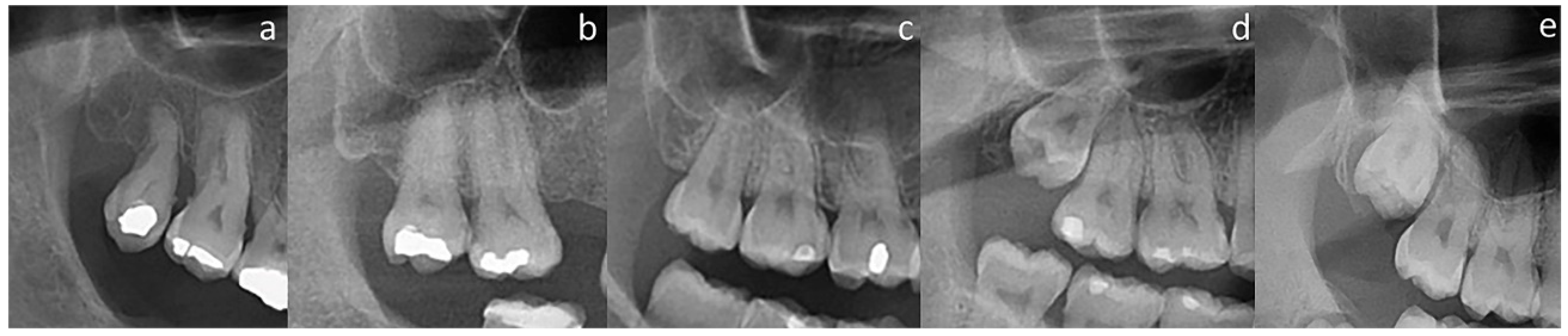
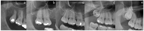
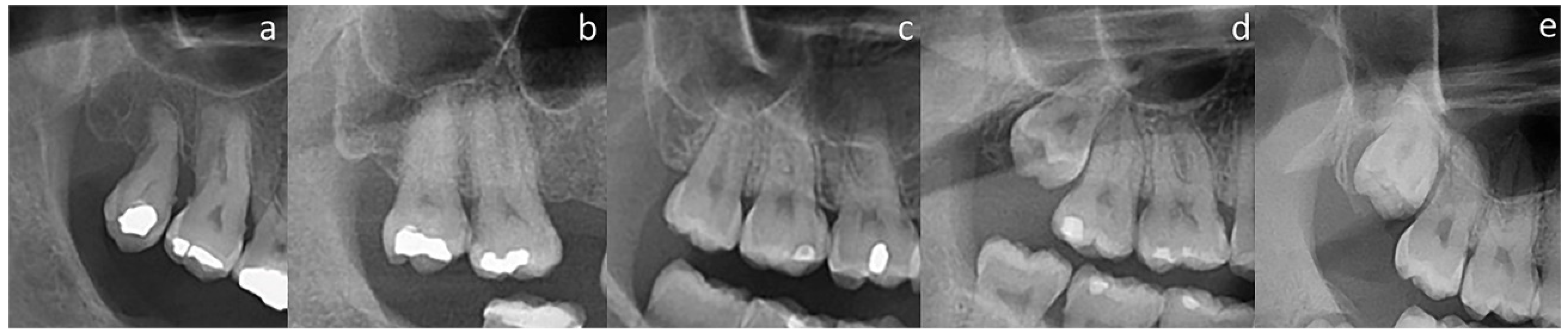
2.2. Image Acquisition and Evaluation
2.3. Statistical Analysis
3. Results
4. Discussion
5. Conclusions
Author Contributions
Funding
Institutional Review Board Statement
Informed Consent Statement
Data Availability Statement
Conflicts of Interest
References
- Chuang, S.K.; Perrott, D.H.; Susarla, S.M.; Dodson, T.B. Age as a risk factor for third molar surgery complications. J. Oral Maxillofac. Surg. 2007, 65, 1685–1692. [Google Scholar] [CrossRef] [PubMed]
- Pourmand, P.P.; Sigron, G.R.; Mache, B.; Stadlinger, B.; Locher, M.C. The most common complications after wisdom-tooth removal: Part 2: A retrospective study of 1562 cases in the maxilla. Swiss Dent. J. 2014, 124, 1047–1051. [Google Scholar] [PubMed]
- Susarla, S.M.; Dodson, T.B. Risk factors for third molar extraction difficulty. J. Oral Maxillofac. Surg. 2004, 62, 1363–1371. [Google Scholar] [CrossRef]
- Rothamel, D.; Wahl, G.; D’Hoedt, B.; Nentwig, G.H.; Schwarz, F.; Becker, J. Incidence and predictive factors for perforation of the maxillary antrum in operations to remove upper wisdom teeth: Prospective multicentre study. Br. J. Oral Maxillofac. Surg. 2007, 45, 387–391. [Google Scholar] [CrossRef]
- Bouloux, G.F.; Steed, M.B.; Perciaccante, V.J. Complications of third molar surgery. Oral Maxillofac. Surg. Clin. North Am. 2007, 19, 117–128. [Google Scholar] [CrossRef]
- Zhou, W.; Wang, F.; Magic, M.; Zhuang, M.; Sun, J.; Wu, Y. The effect of anatomy on osteogenesis after maxillary sinus floor augmentation: A radiographic and histological analysis. Clin. Oral Investig. 2021, 25, 5197–5204. [Google Scholar] [CrossRef]
- Hasegawa, T.; Tachibana, A.; Takeda, D.; Iwata, E.; Arimoto, S.; Sakakibara, A.; Akashi, M.; Komori, T. Risk factors associated with oroantral perforation during surgical removal of maxillary third molar teeth. Oral Maxillofac. Surg. 2016, 20, 369–375. [Google Scholar] [CrossRef]
- Lim, A.A.T.; Wong, C.W.; Allen, J.C., Jr. Maxillary third molar: Patterns of impaction and their relation to oroantral perforation. J. Oral Maxillofac. Surg. 2012, 70, 1035–1039. [Google Scholar] [CrossRef]
- Barone, S.; Antonelli, A.; Averta, F.; Diodati, F.; Muraca, D.; Bennardo, F.; Giudice, A. Does mandibular gonial angle influence the eruption pattern of the lower third molar? a three-dimensional study. J. Clin. Med. 2021, 10, 4057. [Google Scholar] [CrossRef]
- Barone, S.; Muraca, D.; Averta, F.; Diodati, F.; Giudice, A. Qualitative and quantitative assessment of condylar displacement after orthognathic surgery: A voxel-based three-dimensional analysis. J. Stomatol. Oral Maxillofac. Surg. 2022, 123, 685–690. [Google Scholar] [CrossRef]
- Neves, F.S.; Souza, T.C.; Almeida, S.M.; Haiter-Neto, F.; Freitas, D.Q.; Bóscolo, F.M. Correlation of panoramic radiography and cone beam CT findings in the assessment of the relationship between impacted mandibular third molars and the mandibular canal. Dentomaxillofac. Radiol. 2012, 41, 553–557. [Google Scholar] [CrossRef] [PubMed]
- Dias, M.J.; Franco, A.; Junqueira, J.L.; Fayad, F.T.; Pereira, P.H.; Oenning, A.C. Marginal bone loss in the second molar related to impacted mandibular third molars: Comparison between panoramic images and cone beam computed tomography. Med. Oral Patol. Oral Cir. Bucal 2020, 25, e395–e402. [Google Scholar] [CrossRef]
- Yurdabakan, Z.Z.; Okumus, O.; Pekiner, F.N. Evaluation of the maxillary third molars and maxillary sinus using cone-beam computed tomography. Niger. J. Clin. Pract. 2018, 21, 1050–1058. [Google Scholar] [CrossRef]
- Antonelli, A.; Barone, S.; Bennardo, F.; Giudice, A. Three-dimensional facial swelling evaluation of pre-operative single-dose of prednisone in third molar surgery: A split-mouth randomized controlled trial. BMC Oral Health 2023, 23, 614. [Google Scholar] [CrossRef] [PubMed]
- Suomalainen, A.; Ventä, I.; Mattila, M.; Turtola, L.; Vehmas, T.; Peltola, J.S. Reliability of CBCT and other radiographic methods in preoperative evaluation of lower third molars. Oral Surg. Oral Med. Oral Pathol. Oral Radiol. Endod. 2010, 109, 276–284. [Google Scholar] [CrossRef]
- Jung, Y.H.; Cho, B.H. Assessment of maxillary third molars with panoramic radiography and cone-beam computed tomography. Imaging Sci. Dent. 2015, 45, 233–240. [Google Scholar] [CrossRef] [PubMed]
- Machado, H.H.S.; Xavier, C.B.; Damian, M.F. Preoperative evaluation of third molar root characteristics: Correlation between clinical and radiographic findings. J. Dent. Sci. 2015, 30, 111–114. [Google Scholar] [CrossRef]
- Bell, G.W.; Rodgers, J.M.; Grime, R.J.; Edwards, K.L.; Hahn, M.R.; Dorman, M.L.; Keen, W.D.; Stewart, D.J.; Hampton, N. The accuracy of dental panoramic tomographs in determining the root morphology of mandibular third molar teeth before surgery. Oral Surg. Oral Med. Oral Pathol. Oral Radiol. Endod. 2003, 95, 119–125. [Google Scholar] [CrossRef]
- Jung, Y.H.; Cho, B.H.; Hwang, J.J. Comparison of panoramic radiography and cone-beam computed tomography for assessing radiographic signs indicating root protrusion into the maxillary sinus. Imaging Sci. Dent. 2020, 50, 309–318. [Google Scholar] [CrossRef]
- Lübbers, H.T.; Matthews, F.; Damerau, G.; Kruse, A.L.; Obwegeser, J.A.; Grätz, K.W.; Eyrich, G.K. Anatomy of impacted lower third molars evaluated by computerized tomography: Is there an indication for 3-dimensional imaging? Oral Surg. Oral Med. Oral Pathol. Oral Radiol. Endod. 2011, 111, 547–550. [Google Scholar] [CrossRef]
- Shivpuri, A.; Mitra, R.; Hema, R. A retrospective analysis of the root morphology of maxillary and mandibular third molars. Acta Sci. Dent. Sci. 2018, 2, 32–34. [Google Scholar]
- Alavi, A.M.; Opasanon, A.; Ng, Y.L.; Gulabivala, K. Root and canal morphology of Thai maxillary molars. Int. Endod. J. 2002, 35, 478–485. [Google Scholar] [CrossRef] [PubMed]
- Vani, N.V.; Saleh, S.M.; Tubaigy, F.M.; Idris, A.M. Prevalence of developmental dental anomalies among adult population of Jazan, Saudi Arabia. Saudi J. Dent. Res. 2016, 7, 29–33. [Google Scholar] [CrossRef]
- Asheghi, B.; Sahebi, S.; Booshehri, M.Z.; Sheybanifard, F. Evaluation of root dilaceration by cone beam computed tomography in iranian south subpopulation: Permanent molars. J. Dent. 2022, 23, 369–376. [Google Scholar] [CrossRef]
- Bürklein, S.; Jansen, S.; Schäfer, E. Occurrence of hypercementosis in a German population. J. Endod. 2012, 38, 1610–1612. [Google Scholar] [CrossRef]
- Defne, Y.Y.; İlknur, E.; Melike, K.; Sümeyya, B.; Fatmanur, K.; Yener, Ü. Prevalence of hypercementosis and frequency of possible etiological factors in a Turkish subpopulation. Niger. J. Clin. Pract. 2021, 24, 483–488. [Google Scholar] [CrossRef] [PubMed]
- Eren, Y.; Erdal, O.; Serdar, B.; Emin, K.O.; Enes, G. Evaluation of the frequency and characteristics of hypercementosis in the Turkish population with cone-bean computed tomography. Niger. J. Clin. Pract. 2017, 20, 724–728. [Google Scholar] [CrossRef]
- Elsayed, S.A.; Ayed, Y.; Alolayan, A.B.; Farghal, L.M.; Kassim, S. Radiographic evaluation and determination of hypercementosis patterns in Al-Madinah Al-Munawwarah, Saudi Arabia: A retrospective cross-sectional study. Niger. J. Clin. Pract. 2019, 22, 957–960. [Google Scholar] [CrossRef]
- Patil, S.R.; Araki, K.; Yadav, N.; Ghani, H.A. Prevalence of hypercementosis in a Saudi Arabian population: A cone beam computed tomography study. J. Oral Res. 2018, 7, 94–97. [Google Scholar] [CrossRef][Green Version]
- Kilic, C.; Kamburoglu, K.; Yuksel, S.P.; Ozen, T. An assessment of the relationship between the maxillary sinus floor and the maxillary posterior teeth root tips using dental cone-beam computerized tomography. Eur. J. Dent. 2010, 4, 462–467. [Google Scholar] [CrossRef]
- Demirtas, O.; Harorli, A. Evaluation of the maxillary third molar position and its relationship with the maxillary sinus: A CBCT study. Oral Radiol. 2015, 32, 173–179. [Google Scholar] [CrossRef]
- Kalkur, C.; Sattur, A.P.; Guttal, K.S.; Naikmasur, V.G.; Burde, K. Correlation between maxillary sinus floor topography and relative root position of posterior teeth using orthopantomograph and digital volumetric tomography. Asian J. Med. Sci. 2017, 8, 26–31. [Google Scholar] [CrossRef]
- Sharan, A.; Madjar, D. Correlation between maxillary sinus floor topography and related root position of posterior teeth using panoramic and cross-sectional computed tomography imaging. Oral Surg. Oral Med. Oral Pathol. Oral Radiol. Endod. 2006, 102, 375–381. [Google Scholar] [CrossRef] [PubMed]
- Shahbazian, M.; Vandewoude, C.; Wyatt, J.; Jacobs, R. Comparative assessment of panoramic radiography and CBCT imaging for radiodiagnostics in the posterior maxilla. Clin. Oral Investig. 2013, 18, 293–300. [Google Scholar] [CrossRef]
- Polizzi, A.; Quinzi, V.; Ronsivalle, V.; Venezia, P.; Santonocito, S.; Lo Giudice, A.; Leonardi, R.; Isola, G. Tooth automatic segmentation from CBCT images: A systematic review. Clin. Oral Investig. 2023, 27, 3363–3378. [Google Scholar] [CrossRef]
- Leonardi, R.; Ronsivalle, V.; Isola, G.; Cicciù, M.; Lagravère, M.; Flores-Mir, C.; Lo Giudice, A. External root resorption and rapid maxillary expansion in the short-term: A CBCT comparative study between tooth-borne and bone-borne appliances, using 3D imaging digital technology. BMC Oral Health 2023, 23, 558. [Google Scholar] [CrossRef] [PubMed]
- Oenning, A.C.; Jacobs, R.; Pauwels, R.; Stratis, A.; Hedesiu, M.; Salmon, B. Cone-beam CT in paediatric dentistry: DIMITRA project position statement. Pediatr. Radiol. 2017, 48, 308–316. [Google Scholar] [CrossRef]
- Oenning, A.C.; Jacobs, R.; Salmon, B. ALADAIP, beyond ALARA and towards personalized optimization for paediatric cone-beam CT. Int. J. Paediatr. Dent. 2021, 31, 676–678. [Google Scholar] [CrossRef]



| Panoramic Radiograph | Cone-Beam Computed Tomography (CBCT) | Total | |||
|---|---|---|---|---|---|
| 1 Root | 2 Roots | 3 Roots | 4 Roots | ||
| 1 root | 39 (18.9%) | 14 (6.8%) | 13 (6.3%) | 2 (1.0%) | 68 (33.0%) |
| 2 roots | 13 (6.3%) | 14 (6.8%) | 39 (18.9%) | 2 (1.0%) | 68 (33.0%) |
| 3 roots | 4 (1.9%) | 3 (1.5%) | 59 (28.6%) | 4 (1.9%) | 70 (34.0%) |
| 4 roots | 0 (0.0%) | 0 (0.0%) | 0 (0.0%) | 0 (0.0%) | 0 (0.0%) |
| Total | 56 (27.8%) | 31 (15.0%) | 111 (53.9%) | 8 (3.9%) | 206 (100.0%) |
| Panoramic Radiograph | Cone-Beam Computed Tomography (CBCT) | Total | |||
|---|---|---|---|---|---|
| Fused/Conical | Divergent | Dilacerated | Atypical | ||
| Fused/Conical | 130 (63.1%) | 20 (9.7%) | 11 (5.3%) | 5 (2.4%) | 166 (80.6%) |
| Divergent | 9 (4.4%) | 11 (5.3%) | 4 (1.9%) | 0 (0.0%) | 24 (11.6%) |
| Dilacerated | 4 (1.9%) | 0 (0.0%) | 10 (4.8%) | 0 (0.0%) | 14 (6.8%) |
| Atypical | 0 (0.0%) | 0 (0.0%) | 1 (0.5%) | 1 (0.5%) | 2 (1.0%) |
| Total | 143 (69.4%) | 31 (15%) | 26 (12.6%) | 6 (2.9%) | 206 (100%) |
| Panoramic Radiograph | Cone-Beam Computed Tomography (CBCT) | Total | |||
|---|---|---|---|---|---|
| Apices Distant from the Floor | MS Floor Touching the Roots | Presence of Alveolar Dome | Absence of Bone Covering | ||
| MS floor above the roots | 34 (75.6%) | 4 (6.1%) | 0 (0.0%) | 0 (0.0%) | 38 (18.4%) |
| Apices—MS floor in close contact | 10 (22.2%) | 28 (42.4%) | 17 (30.4%) | 8 (20.5%) | 63 (30.6%) |
| MS floor overlapping 1/3 root | 1 (2.2%) | 28 (42.4%) | 23 (41.1%) | 20 (51.3%) | 72 (35.0%) |
| MS floor overlapping 2/3 root | 0 (0.0%) | 4 (6.1%) | 8 (14.3%) | 8 (20.5%) | 20 (9.7%) |
| MS floor overlapping furcation | 0 (0.0%) | 2 (3.0%) | 8 (14.3%) | 3 (7.7%) | 13 (6.3%) |
| Total | 45 (100%) | 66 (100%) | 56 (100%) | 39 (100%) | 206 (100%) |
Disclaimer/Publisher’s Note: The statements, opinions and data contained in all publications are solely those of the individual author(s) and contributor(s) and not of MDPI and/or the editor(s). MDPI and/or the editor(s) disclaim responsibility for any injury to people or property resulting from any ideas, methods, instructions or products referred to in the content. |
© 2023 by the authors. Licensee MDPI, Basel, Switzerland. This article is an open access article distributed under the terms and conditions of the Creative Commons Attribution (CC BY) license (https://creativecommons.org/licenses/by/4.0/).
Share and Cite
Almeida-Marques, M.; Ingold, M.M.S.; da Silva-Junior, A.F.; Franco, A.; Junqueira, J.L.C.; Oenning, A.C. Panoramic Radiography vs. CBCT in the Evaluation of the Maxillary Third Molar Roots. Medicina 2023, 59, 1975. https://doi.org/10.3390/medicina59111975
Almeida-Marques M, Ingold MMS, da Silva-Junior AF, Franco A, Junqueira JLC, Oenning AC. Panoramic Radiography vs. CBCT in the Evaluation of the Maxillary Third Molar Roots. Medicina. 2023; 59(11):1975. https://doi.org/10.3390/medicina59111975
Chicago/Turabian StyleAlmeida-Marques, Marcia, Mara Magnoler Sampaio Ingold, Alberto Ferreira da Silva-Junior, Ademir Franco, José Luiz Cintra Junqueira, and Anne Caroline Oenning. 2023. "Panoramic Radiography vs. CBCT in the Evaluation of the Maxillary Third Molar Roots" Medicina 59, no. 11: 1975. https://doi.org/10.3390/medicina59111975
APA StyleAlmeida-Marques, M., Ingold, M. M. S., da Silva-Junior, A. F., Franco, A., Junqueira, J. L. C., & Oenning, A. C. (2023). Panoramic Radiography vs. CBCT in the Evaluation of the Maxillary Third Molar Roots. Medicina, 59(11), 1975. https://doi.org/10.3390/medicina59111975

