Next Article in Journal
Nurses’ Perception of Safety Culture in Medical−Surgical Units in Hospitals in Saudi Arabia
Previous Article in Journal
Comparison of Endodontic Failures between Nonsurgical Retreatment and Endodontic Surgery: Systematic Review and Meta-Analysis with Trial Sequential Analysis
 
 
Font Type:
Arial Georgia Verdana
Font Size:
Aa Aa Aa
Line Spacing:
Column Width:
Background:
Case Report

Autoimmune Hepatitis—Challenging Diagnosis

1
Student Scientific Society at the Department of Internal, Autoimmune and Metabolic Diseases, School of Medicine, Medical University of Silesia, 40-055 Katowice, Poland
2
Department of Internal, Autoimmune and Metabolic Diseases, School of Medicine, Medical University of Silesia, 40-055 Katowice, Poland
*
Authors to whom correspondence should be addressed.
Medicina 2022, 58(7), 896; https://doi.org/10.3390/medicina58070896
Submission received: 8 June 2022 / Revised: 23 June 2022 / Accepted: 30 June 2022 / Published: 4 July 2022
(This article belongs to the Section Gastroenterology & Hepatology)

Abstract

:
The incidence of Autoimmune Hepatitis (AIH) increases worldwide. If undiagnosed, it may progress end-stage liver disease. Unfortunately, there is no characteristic clinical presentation of this disease, which makes the illness hard to recognize. A case report illustrates the difficulties of diagnosing the patient during his two hospitalizations and his final treatment with prednisolone which improved the patient’s condition.

1. Introduction

Autoimmune Hepatitis (AIH), whose prevalence is increasing worldwide, is known as a generally progressive, chronic disease, which can be fluctuating. It occurs both in children and adults, but the cause ultimately remains unknown [1]. Suspected causes are viral infections, genetic susceptibility, and concomitance of other autoimmune diseases [2]. We distinguish between two types of AIH. Type 1 is more common in adults, especially in women (4:1 ratio), and is associated with elevated levels of antinuclear antibody (ANA), smooth muscle antibody (SMA), anti-actin actin antibodies (AAA). Type 2 occurs mostly in children, presents worse clinical course, and requires long-term care [3]. For type 2, we have observed the prevalence of anti-liver/kidney microsome type 1 antibody (LKM-1) and anti-liver cytosol antibody (ALC-1) [4]. Additionally, diagnosis is based on elevated aminotransferases, serum immunoglobulin G (IgG), and interface lympho-plasmacytic hepatitis. In Table 1 we present simplified diagnostic criteria for AIH. It is important to note that the clinical manifestation may differ between individuals [5]. Undiagnosed AIH may lead to cirrhosis and, eventually, end-stage liver disease. For this reason, it should not be omitted in differential diagnosis of liver impairment. Prolonged steroid therapy, despite being associated with numerous unwanted side-effects, is still estimated to be the most effective therapeutic choice in patients with moderate or severe courses [6].

2. Case Presentation

A 68-year-old man was admitted to the Department of Internal, Autoimmune, and Metabolic Diseases due to growing abdominal pain (VAS 4-5/10), weight loss (approximately 5 kg), jaundiced skin and whites of the eyes. Those symptoms have persisted for two weeks prior to admittance. Additionally, he had reported diarrhea (one to three times a day) occurring over the previous two months, discoloration of stool and darkening of the urine. Moreover, the patient had concomitant diseases, such as hypertension, type 2 diabetes, a history of hemorrhagic stroke (2003), chronic vascular changes in the central nervous system and sarcoidosis of larynx (since 2019). On initial physical examination patient displayed jaundice and tenderness of the abdominal cavity. The laboratory tests revealed slightly increased CRP serum level (11.1 mg/L), increased activity of ASPAT (2530 U/L), ALAT (4778 U/L), alkaline phosphatase (228 U/L), hyperbilirubinemia (23.90 mg/dL), and prolonged prothrombin time (18.1s INR 1.59). The level of copper (947 µg/L) and ceruloplasmin (24.7 mg/dL) were in normal range. During the hospitalization additional results were obtained, such as increased level of alpha1 protein (4.2%) and decreased level of alpha2 protein (7.3%), gamma protein (17.6%) were in the upper healthy range. The level of ANA IgG antibodies was scant, and the COMBI test was negative. Viral hepatitis was excluded. Microbiological tests were negative. Reactive antibodies anti-CMV IgG and IgM were confirmed and anti-EBV IgG antibodies were positive as well.
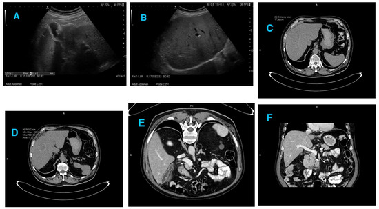
The abdominal ultrasound and CT scan showed hepatic steatosis and a polyp of the gallbladder (Appendix A, Figure A1A–F). Due to uncertainty in determining the reason for liver failure, a biopsy was performed, which revealed lymphoplasmacytic interface hepatitis (Appendix B, Figure A2a–g). During the hospitalization, steroid therapy with prendisolone was administered. Over the next few days an improvement in clinical status was observed, including the reduction of the jaundice and normalization of the liver enzymes.
During the second admission to the Department, the patient was asymptomatic, his skin and the whites of eyes were slightly jaundiced. The laboratory tests revealed mild hyperbilirubinemia (1.95 mg/dL), slightly increased activity of ASPAT (61.3 U/L), ALAT (128 U/L), alkaline phosphatase (168 U/L), however the results were improved compared to the previous hospitalization. The comparison of the laboratory tests’ results is shown below (Table 2 and Table 3).
To avoid side effects of steroid therapy the patient was provided with azathioprine and the dose of prednisolone was decreased. As the clinical status was improved, the patient was discharged from the hospital in overall stable condition and recommended to continue the pharmacotherapy on an ambulatory basis.

3. Discussion

As there is no characteristic clinical presentation of AIH, the described patient may seem to suffer from acute liver failure, coinciding with jaundice and cholestasis, as the symptoms were not specific. Firstly, the inflammatory diseases of the liver were excluded [8]. The cause of AIH remains unknown, but due to the fact that it may be triggered by virus infection, previous EBV and CMV infections were suspected [9,10]. In our patient, reactive antibodies anti-CMV IgG and IgM were confirmed and anti-EBV IgG antibodies were present, which might have had an impact on the course of the disease.
Even though the cause of AIH is still unknown, the pathophysiology is considered secondary to immune tolerance failure in a genetically susceptible individual. The immune tolerance failure is thought to lead to a T-cell mediated inflammation as a response to environmental triggers including infections, toxins and medications [11]. Regardless of pathophysiology AIH may be recognized as AIH type 1 or AIH type 2. Type 1, also known as classical type, is more common in adults. Type 2 is more often recognized in children and is associated with poorer prognosis. This classification is based on the presence of antibodies-AIH 1 is confirmed in patients positive for anti-nuclear antibodies and/or smooth muscle antibodies; AIH 2 is recognized in patients positive for anti-liver/kidney microsomal antibody type 1 and/or anti-liver cytosol antibody type 1 [12].
Several cases reported the development of AIH following Epstein-Barr virus (EBV) infection. Vento et al. showed that in 2 of 7 individuals suffering from mononucleosis AIH has developed within 4 months. Kojima et al. presented a hospitalized patient with symptoms typical of EBV infection. Even though the anti-EBV IgG was found and the circulating lymphocytes were positive for the genome of EBV, the patient was finally diagnosed with AIH based on ANAs and the liver biopsy [13].
CMV infection may also have an impact on AIH development. Salcedo et al. reported 60% of cases (12 out of 20 patients) with CMV suffered from AIH later on [14]. Furthermore, a large UK study, which included patients from 28 hospitals, indicates that 0.5% of patients admitted to the hospital due to AIH also had acute viral hepatitis (CMV/EBV/HEV) [15].
Our patient’s laboratory tests revealed significantly elevated aminotransferases (ASPAT 2530 U/L and ALAT 4778 U/L). The Level of ANA IgG antibodies was scant. However, the Combi test was negative in the described case. Moreover, positive anti-CMV IgG and IgM and anti-EBV IgG antibodies were alarming. The patient suffered from the more common type 1 AIH.

4. Conclusions

As the prevalence of AIH is increasing in all the patients with non-specific symptoms of the liver disease, AIH should be considered during diagnosis. Although the Simplified Diagnostic Criteria for Autoimmune Hepatitis are available, the final diagnosis is still hard to make, no clear guidance for making the diagnosis may be problematic in the medical practice, so it should be clarified and the criteria’s updating should be considered.

Author Contributions

Conceptualization: A.M., A.S., M.S., W.K., M.M., M.H.; methodology: A.M., A.S., M.S., W.K.; software: A.M., A.S., M.S., W.K.; validation: M.M., M.H.; formal analysis: M.M., M.H.; investigation: A.M., A.S., M.S., W.K.; resources: A.M., A.S., M.S., W.K.; data curation: A.M., A.S., M.S., W.K.; writing—original draft preparation: A.M., A.S., M.S., W.K.; writing—review and editing: M.M., M.H.; visualization: A.M., A.S., M.S., W.K.; supervision: M.M., M.H.; project administration: A.M.; funding acquisition: A.M., A.S., M.S., W.K., M.M., M.H. All authors have read and agreed to the published version of the manuscript.

Funding

This research was funded by Medical University of Silesia, Katowice, Poland.

Institutional Review Board Statement

Not applicable.

Informed Consent Statement

Not applicable.

Data Availability Statement

Not applicable.

Acknowledgments

We would like to thank Maciej Kajor, Department of Patomorphology of Medical University of Silesia in Katowice for the microscope pictures of the samples taken from the patient.

Conflicts of Interest

The authors declare no conflict of interest.

Appendix A

Figure A1. Pictures (AF) Diagnostic imaging. (A) A polyp in the gallbladder shown in the ultrasound examination of the abdomen. (B) Hepatic steatosis of the liver shown in the ultrasound examination of the abdomen. (C) Enlarged liver shown in the abdominal CT scan with contrast. (D) Hepatic steatosis shown in the abdominal CT scan with contrast. (E) A polyp in the gallbladder shown in the abdominal CT scan with contrast. (F) Homogeneous intraluminal signal of the lumen of the portal vein shown in the abdominal CT scan with contrast.
Figure A1. Pictures (AF) Diagnostic imaging. (A) A polyp in the gallbladder shown in the ultrasound examination of the abdomen. (B) Hepatic steatosis of the liver shown in the ultrasound examination of the abdomen. (C) Enlarged liver shown in the abdominal CT scan with contrast. (D) Hepatic steatosis shown in the abdominal CT scan with contrast. (E) A polyp in the gallbladder shown in the abdominal CT scan with contrast. (F) Homogeneous intraluminal signal of the lumen of the portal vein shown in the abdominal CT scan with contrast.
Medicina 58 00896 g0a1

Appendix B

Figure A2. Pictures (ag): Histopathological images of the patient’s liver. (a) Hematoxylin and eosin stain: Extensive mixed-cells infiltration bundant mixed-cells infiltration with a predominance of lymphocytes and plasma cells in the portabiliary area, periportal areas and intrahepatic trabecula. (b) Selective stain: paS (+). (c) Selective stain: glycogen (+). (d) Selective stain: Masson’s trichrome (+). (e) Immunohistochemical reaction LCA (+) in the inflammatory infiltrates. (f) Immunohistochemical reaction IgG (+). (g) Immunohistochemical reaction IgM (+).
Figure A2. Pictures (ag): Histopathological images of the patient’s liver. (a) Hematoxylin and eosin stain: Extensive mixed-cells infiltration bundant mixed-cells infiltration with a predominance of lymphocytes and plasma cells in the portabiliary area, periportal areas and intrahepatic trabecula. (b) Selective stain: paS (+). (c) Selective stain: glycogen (+). (d) Selective stain: Masson’s trichrome (+). (e) Immunohistochemical reaction LCA (+) in the inflammatory infiltrates. (f) Immunohistochemical reaction IgG (+). (g) Immunohistochemical reaction IgM (+).
Medicina 58 00896 g0a2

References

  1. Krawitt, E.L. Autoimmune Hepatitis. N. Engl. J. Med. 2006, 354, 54–66. [Google Scholar] [CrossRef] [PubMed] [Green Version]
  2. Tanaka, A. Autoimmune Hepatitis: 2019 Update. Gut Liver 2020, 14, 430–438. [Google Scholar] [CrossRef]
  3. Heneghan, M.A.; Yeoman, A.D.; Verma, S.; Smith, A.D.; Longhi, M.S. Autoimmune Hepatitis. Lancet 2013, 382, 1433–1444. [Google Scholar] [CrossRef]
  4. Bridoux—henno, L.; Maggiore, G.; Johanet, C.; Fabre, M.; Vajro, P.; Dommergues, J.P.; Reinert, P.; Bernard, O. Features and outcome of Autoimmune Hepatitis type 2 presenting with isolated positivity for anti-liver cytosol antibody. Clin. Gastroenterol. Hepatol. 2004, 2, 825–830. [Google Scholar] [CrossRef]
  5. Komori, A. Recent updates on the management of Autoimmune Hepatitis. Clin. Mol. Hepatol. 2021, 27, 58–69. [Google Scholar] [CrossRef]
  6. Pape, S.; Schramm, C.; Gevers, T.J. Clinical management of Autoimmune Hepatitis. United Eur. Gastroenterol. J. 2019, 7, 1156–1163. [Google Scholar] [CrossRef] [PubMed] [Green Version]
  7. Hennes, E.M.; Zeniya, M.; Czaja, A.J.; Parés, A.; Dalekos, G.N.; Krawitt, E.L.; Bittencourt, P.L.; Porta, G.; Boberg, K.M.; Hofer, H.; et al. Simplified criteria for the diagnosis of Autoimmune Hepatitis. Hepatology 2008, 48, 169–176. [Google Scholar] [CrossRef]
  8. Wawrzynowicz-Syczewska, M. Autoimmunologiczne Zapalenie Wątroby. Interna Szczeklika 2018; Medycyna Praktyczna: Kraków, Poland, 2018; pp. 1169–1173. [Google Scholar]
  9. Ralston, S.H.; Penman, I.D.; Strachan, M.W.J.; Hobson, R. Davidson’s Principles and Practice of Medicine, 23rd ed.; Elsevier: London, UK, 2018; pp. 381–382. [Google Scholar]
  10. Buechter, M.; Manka, P.; Heinemann, F.M.; Lindemann, M.; Baba, H.A.; Schlattjan, M.; Canbay, A.; Gerken, G.; Kahraman, A. Potential triggering factors of acute liver failure as a first manifestation of Autoimmune Hepatitis—A single center experience of 52 adult patients. WJG 2018, 24, 1410–1418. [Google Scholar] [CrossRef] [PubMed]
  11. Linzay, C.D.; Sharma, B.; Pandit, S. Autoimmune Hepatitis. In StatPearls; StatPearls Publishing: Treasure Island, FL, USA, 2022. Available online: https://www.ncbi.nlm.nih.gov/books/NBK459186/ (accessed on 27 August 2021).
  12. Muratori, P.; Lalanne, C.; Fabbri, A.; Cassani, F.; Lenzi, M.; Muratori, L. Type 1 and type 2 Autoimmune Hepatitis in adults share the same clinical phenotype. Aliment. Pharmacol. Ther. 2015, 41, 1281–1287. [Google Scholar] [CrossRef]
  13. Rigopoulou, E.I.; Smyk, D.S.; Matthews, C.E.; Billinis, C.; Burroughs, A.K.; Lenzi, M.; Bogdanos, D.P. Epstein-Barr Virus as a Trigger of Autoimmune Liver Diseases. Adv. Virol. 2012, 2012, 987471. [Google Scholar] [CrossRef]
  14. Salcedo, M.; Rodríguez-Mahou, M.; Rodríguez-Sainz, C.; Rincón, D.; Alvarez, E.; Vicario, J.L.; Catalina, M.-V.; Matilla, A.; Ripoll, C.; Clemente, G.; et al. Risk factors for developing de novo Autoimmune Hepatitis associated with anti-glutathione S-transferase T1 antibodies after liver transplantation: De novo Autoimmune Hepatitis. Liver Transpl. 2009, 15, 530–539. [Google Scholar] [CrossRef] [PubMed]
  15. Gordon, V.; Adhikary, R.; Appleby, V.; Das, D.; Day, J.; Delahooke, T.; Dixon, S.; Elphick, D.; Hardie, C.; Hoeroldt, B.; et al. Diagnosis, presentation and initial severity of Autoimmune Hepatitis (AIH) in patients attending 28 hospitals in the UK. Liver Int. 2018, 38, 1686–1695. [Google Scholar] [CrossRef] [PubMed]
Table 1. Simplified Diagnostic Criteria for Autoimmune Hepatitis of International Autoimmune Hepatitis Group (IAHG) [7].
Table 1. Simplified Diagnostic Criteria for Autoimmune Hepatitis of International Autoimmune Hepatitis Group (IAHG) [7].
Clinical FeaturePoints
ANA or SMA
  • ≥1:40
  • ANA or SMA ≥ 1:80 or LKM1 ≥ 1:40 or SLA-positive
+1
+2
Serum IgG
  • >upper limit of normal
  • >1.1 times upper limit of normal
+1
+2
Histologic findings
  • Compatible with AIH
  • Typical of AIH
+1
+2
Hepatitis viral markers
  • Negative
+2
Aggregate score without treatment
  • Definite AIH
  • Probable AIH
≥7
≥6
ANA, antinuclear antibody; SMA, smooth muscle antibody; LKM1, liver kidney microsomal antibody; SLA, soluble liver antigen antibody; IG, immunoglobulin.
Table 2. The laboratory tests’ results during both hospitalizations.
Table 2. The laboratory tests’ results during both hospitalizations.
Laboratory ParametersFirst HospitalizationSecond Hospitalization
CRP (mg/dL)11.18.5
Na+ (mmol/L)130.8136.9
K+ (mmol/L)3.84.74
Cl (mmol/L)96.5101.2
Total bilirubin (mg/dL)23.91.95
ALT (U/L)4778128
AST (U/L)253061.3
GGTP (U/L)269300
ALP (U/L)228168
Amylase (U/L)63.591.2
Lipase (U/L)36.251.4
Total protein (g/dL)4.916.44
TSH (mIU/L)0.531.07
D-Dimer (ng/mL)1005905
INR (s)1.591.07
APTT (s)30.434.3
Table 3. The morphology results during both hospitalizations.
Table 3. The morphology results during both hospitalizations.
Morphology ParametersFirst HospitalizationSecond Hospitalization
WBC (103/μL)7.436.52
RBC (106/μL)5.274.63
HGB (g/dL)16.315.4
HCT (%)44.543.9
MCV (fL)84.494.8
MCH (pg)30.933.3
MCHC (g/dL)36.635.1
PLT (103/μL)293233
RDW (%)14.916.2
RDW-SD (fL)45.657.0
PCT (%)0.320.24
MPV (fL)11.010.4
PDW (%)12.511.7
P-LCR (%)32.428.0
Lymphocytes (%) 27.1
Monocytes (%)10.9
Neutrophils (%)55.7
Eosinophils (%)5.2
Basophils (%)0.5
Publisher’s Note: MDPI stays neutral with regard to jurisdictional claims in published maps and institutional affiliations.

Share and Cite

MDPI and ACS Style

Mroskowiak, A.; Suleja, A.; Stec, M.; Kuczmik, W.; Migacz, M.; Holecki, M. Autoimmune Hepatitis—Challenging Diagnosis. Medicina 2022, 58, 896. https://doi.org/10.3390/medicina58070896

AMA Style

Mroskowiak A, Suleja A, Stec M, Kuczmik W, Migacz M, Holecki M. Autoimmune Hepatitis—Challenging Diagnosis. Medicina. 2022; 58(7):896. https://doi.org/10.3390/medicina58070896

Chicago/Turabian Style

Mroskowiak, Aleksandra, Agata Suleja, Maria Stec, Wiktoria Kuczmik, Maciej Migacz, and Michał Holecki. 2022. "Autoimmune Hepatitis—Challenging Diagnosis" Medicina 58, no. 7: 896. https://doi.org/10.3390/medicina58070896

APA Style

Mroskowiak, A., Suleja, A., Stec, M., Kuczmik, W., Migacz, M., & Holecki, M. (2022). Autoimmune Hepatitis—Challenging Diagnosis. Medicina, 58(7), 896. https://doi.org/10.3390/medicina58070896

Article Metrics

Back to TopTop