Caesarean Scar Pregnancy: A Case Report and a Literature Review
Abstract
:1. Introduction
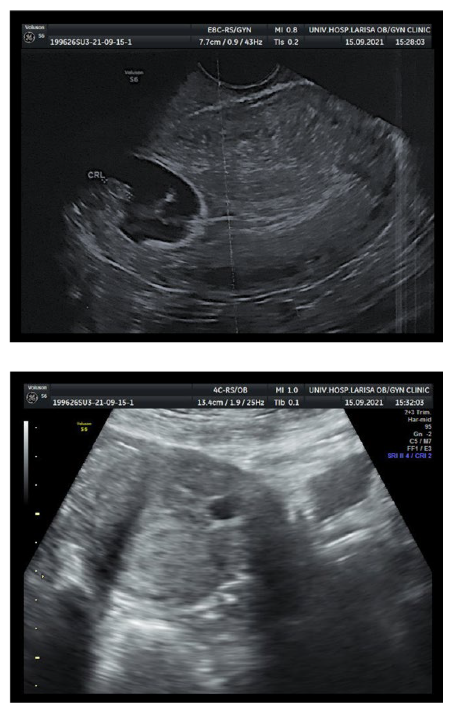
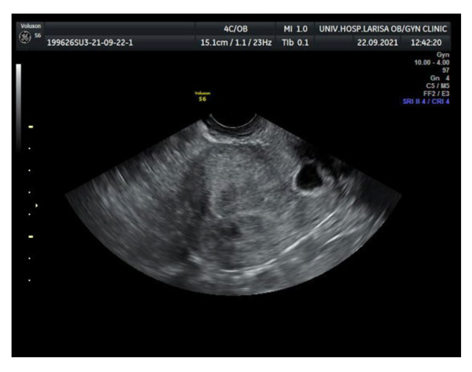
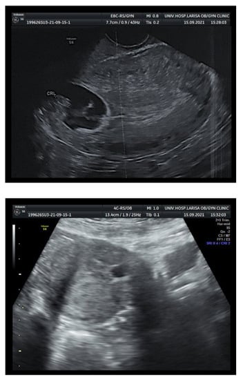
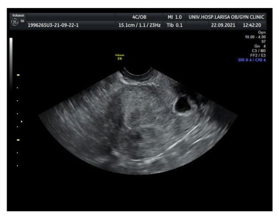
2. Case Report
Surgical Procedure
3. Discussion
4. Conclusions
Author Contributions
Funding
Institutional Review Board Statement
Informed Consent Statement
Data Availability Statement
Conflicts of Interest
References
- Bowman, Z.S.; Smith, K.R.; Silver, R.M. Cesarean Delivery and Risk for Subsequent Ectopic Pregnancy. Am. J. Perinatol. 2015, 32, 815–820. [Google Scholar] [CrossRef] [PubMed]
- Po, L.; Thomas, J.; Mills, K.; Zakhari, A.; Tulandi, T.; Shuman, M.; Page, A. Guideline No. 414: Management of Pregnancy of Unknown Location and Tubal and Nontubal Ectopic Pregnancies. J. Obstet. Gynaecol. Can. JOGC J. D’obstetrique Gynecol. Can. JOGC 2021, 43, 614–630. [Google Scholar] [CrossRef] [PubMed]
- Kaelin Agten, A.; Cali, G.; Monteagudo, A.; Oviedo, J.; Ramos, J.; Timor-Tritsch, I. The clinical outcome of cesarean scar pregnancies implanted “on the scar” versus “in the niche”. Am. J. Obstet. Gynecol. 2017, 216, 510.e1–510.e6. [Google Scholar] [CrossRef] [PubMed]
- Miller, R.; Timor-Tritsch, I.E.; Gyamfi-Bannerman, C. Society for Maternal-Fetal Medicine (SMFM) Consult Series #49: Cesarean scar pregnancy. Am. J. Obstet. Gynecol. 2020, 222, B2–B14. [Google Scholar] [CrossRef]
- Timor-Tritsch, I.E.; Monteagudo, A.; Santos, R.; Tsymbal, T.; Pineda, G.; Arslan, A.A. The diagnosis, treatment, and follow-up of cesarean scar pregnancy. Am. J. Obstet. Gynecol. 2012, 207, 44.e1–44.e13. [Google Scholar] [CrossRef]
- Agarwal, N.; Gainder, S.; Chopra, S.; Rohilla, M.; Prasad, G.; Jain, V. The Management of Scar Ectopic: A Single-Center Experience. Cureus 2021, 13, e15881. [Google Scholar] [CrossRef]
- Jachymski, T.; Moczulska, H.; Guzowski, G.; Pomorski, M.; Piątek, S.; Zimmer, M.; Rokita, W.; Wielgoś, M.; Sieroszewski, P. Conservative treatment of abnormally located intrauterine pregnancies (cervical and cesarean scar pregnancies): A multicenter analysis (Polish series). J. Matern-Fetal Neonatal Med. 2020, 33, 993–998. [Google Scholar] [CrossRef]
- Nippita, S.; Carranza, A.S.O.; Paul, M.E. Funic potassium chloride injection during intact dilation and evacuation. Contraception 2021, 104, 275–277. [Google Scholar] [CrossRef]
- Pasquini, L.; Pontello, V.; Kumar, S. Intracardiac injection of potassium chloride as method for feticide: Experience from a single UK tertiary centre. Bjog 2008, 115, 528–531. [Google Scholar] [CrossRef]
- Alur-Gupta, S.; Cooney, L.G.; Senapati, S.; Sammel, M.D.; Barnhart, K.T. Two-dose versus single-dose methotrexate for treatment of ectopic pregnancy: A meta-analysis. Am. J. Obstet. Gynecol. 2019, 221, 95–108.e102. [Google Scholar] [CrossRef]
- Committee on Practice Bulletins—Gynecology; Kurt, T.B.; Jason, M.F. ACOG Practice Bulletin No. 191 Summary: Tubal Ectopic Pregnancy. Obstet. Gynecol. 2018, 131, 409–411. [Google Scholar] [CrossRef]
- Naveed, A.K.; Anjum, M.U.; Hassan, A.; Mahmood, S.N. Methotrexate versus expectant management in ectopic pregnancy: A meta-analysis. Arch. Gynecol. Obstet. 2022, 305, 547–553. [Google Scholar] [CrossRef] [PubMed]
- Gonzalez, N.; Tulandi, T. Cesarean Scar Pregnancy: A Systematic Review. J. Minim. Invasive Gynecol. 2017, 24, 731–738. [Google Scholar] [CrossRef]
- Marchiolé, P.; Gorlero, F.; de Caro, G.; Podestà, M.; Valenzano, M. Intramural pregnancy embedded in a previous Cesarean section scar treated conservatively. Ultrasound Obstet. Gynecol. 2004, 23, 307–309. [Google Scholar] [CrossRef] [PubMed]
- Ash, A.; Smith, A.; Maxwell, D. Caesarean scar pregnancy. Bjog 2007, 114, 253–263. [Google Scholar] [CrossRef] [PubMed]
- Tantbirojn, P.; Crum, C.P.; Parast, M.M. Pathophysiology of placenta creta: The role of decidua and extravillous trophoblast. Placenta 2008, 29, 639–645. [Google Scholar] [CrossRef] [PubMed]
- Jauniaux, E.; Collins, S.; Burton, G.J. Placenta accreta spectrum: Pathophysiology and evidence-based anatomy for prenatal ultrasound imaging. Am. J. Obstet. Gynecol. 2018, 218, 75–87. [Google Scholar] [CrossRef]
- Jauniaux, E.; Jurkovic, D. Placenta accreta: Pathogenesis of a 20th century iatrogenic uterine disease. Placenta 2012, 33, 244–251. [Google Scholar] [CrossRef]
- Genbacev, O.; Miller, R.K. Post-implantation differentiation and proliferation of cytotrophoblast cells: In vitro models—A review. Placenta 2000, 21 (Suppl. A), S45–S49. [Google Scholar] [CrossRef]
- Rosen, T. Placenta accreta and cesarean scar pregnancy: Overlooked costs of the rising cesarean section rate. Clin. Perinatol. 2008, 35, 519–529. [Google Scholar] [CrossRef]
- Rotas, M.A.; Haberman, S.; Levgur, M. Cesarean scar ectopic pregnancies: Etiology, diagnosis, and management. Obstet. Gynecol. 2006, 107, 1373–1381. [Google Scholar] [CrossRef] [PubMed]
- Majangara, R.; Madziyire, M.G.; Verenga, C.; Manase, M. Cesarean section scar ectopic pregnancy—A management conundrum: A case report. J. Med. Case Rep. 2019, 13, 137. [Google Scholar] [CrossRef] [PubMed]
- Patel, M.A. Scar Ectopic Pregnancy. J. Obstet. Gynaecol. India 2015, 65, 372–375. [Google Scholar] [CrossRef] [PubMed] [Green Version]
- Aslan, M.; Yavuzkir, Ş. Suction Curettage and Foley Balloon as a First-Line Treatment Option for Caesarean Scar Pregnancy and Reproductive Outcomes. Int. J. Womens Health 2021, 13, 239–245. [Google Scholar] [CrossRef] [PubMed]
- Timor-Tritsch, I.E.; Khatib, N.; Monteagudo, A.; Ramos, J.; Berg, R.; Kovács, S. Cesarean scar pregnancies: Experience of 60 cases. J. Ultrasound Med. 2015, 34, 601–610. [Google Scholar] [CrossRef]
- D’Antonio, F.; Iacovella, C.; Palacios-Jaraquemada, J.; Bruno, C.H.; Manzoli, L.; Bhide, A. Prenatal identification of invasive placentation using magnetic resonance imaging: Systematic review and meta-analysis. Ultrasound Obs. Gynecol. 2014, 44, 8–16. [Google Scholar] [CrossRef]
- Panaiotova, J.; Tokunaka, M.; Krajewska, K.; Zosmer, N.; Nicolaides, K.H. Screening for morbidly adherent placenta in early pregnancy. Ultrasound Obs. Gynecol. 2019, 53, 101–106. [Google Scholar] [CrossRef] [Green Version]
- Birch Petersen, K.; Hoffmann, E.; Rifbjerg Larsen, C.; Svarre Nielsen, H. Cesarean scar pregnancy: A systematic review of treatment studies. Fertil. Steril. 2016, 105, 958–967. [Google Scholar] [CrossRef] [Green Version]
- Yoder, N.; Tal, R.; Martin, J.R. Abdominal ectopic pregnancy after in vitro fertilization and single embryo transfer: A case report and systematic review. Reprod. Biol. Endocrinol. 2016, 14, 69. [Google Scholar] [CrossRef] [Green Version]
- Guo, J.; Yu, J.; Zhang, Q.; Song, X. Clinical Efficacy and Safety of Uterine Artery Embolization (UAE) versus Laparoscopic Cesarean Scar Pregnancy Debridement Surgery (LCSPDS) in Treatment of Cesarean Scar Pregnancy. Med. Sci. Monit. 2018, 24, 4659–4666. [Google Scholar] [CrossRef]
- Calì, G.; Timor-Tritsch, I.E.; Palacios-Jaraquemada, J.; Monteaugudo, A.; Buca, D.; Forlani, F.; Familiari, A.; Scambia, G.; Acharya, G.; D’Antonio, F. Outcome of Cesarean scar pregnancy managed expectantly: Systematic review and meta-analysis. Ultrasound Obstet. Gynecol. 2018, 51, 169–175. [Google Scholar] [CrossRef] [PubMed] [Green Version]
- Karakuş, R.; Karakuş, S.S.; Güler, B.; Ünver, G.; Özkaya, E. Myometrial thickness overlying cesarean scar pregnancy is significantly associated with isthmocele formation in the third month of the postoperative period. Turk. J. Obstet. Gynecol. 2021, 18, 37–43. [Google Scholar] [CrossRef] [PubMed]
- Zhang, X.; Pang, Y.; Ma, Y.; Liu, X.; Cheng, L.; Ban, Y.; Cui, B. A comparison between laparoscopy and hysteroscopy approach in treatment of cesarean scar pregnancy. Medicine (Baltimore) 2020, 99, e22845. [Google Scholar] [CrossRef]
- Wu, C.; Li, Y.; Ye, W.; Ma, W.; Zhao, D. Cook Cervical Ripening Balloon successfully prevents excessive hemorrhage combined with ultrasound-guided suction curettage in the treatment of cesarean scar pregnancy. J. Obstet. Gynaecol. Res. 2017, 43, 1043–1047. [Google Scholar] [CrossRef]
- Cheung, V.Y. Local Methotrexate Injection as the First-line Treatment for Cesarean Scar Pregnancy: Review of the Literature. J. Minim. Invasive Gynecol. 2015, 22, 753–758. [Google Scholar] [CrossRef]
- Collins, S.L.; Alemdar, B.; van Beekhuizen, H.J.; Bertholdt, C.; Braun, T.; Calda, P.; Delorme, P.; Duvekot, J.J.; Gronbeck, L.; Kayem, G.; et al. Evidence-based guidelines for the management of abnormally invasive placenta: Recommendations from the International Society for Abnormally Invasive Placenta. Am. J. Obstet. Gynecol. 2019, 220, 511–526. [Google Scholar] [CrossRef] [Green Version]
- Kathopoulis, N.; Chatzipapas, I.; Samartzis, K.; Theodora, M.; Lardou, I.; Protopapas, A. Laparoscopic management of cesarean scar pregnancy: Report of two cases with video-presentation of different operative techniques and literature review. J. Gynecol. Obstet. Hum. Reprod. 2021, 50, 102066. [Google Scholar] [CrossRef] [PubMed]
- Chai, Z.Y.; Zhang, S.S.; Hu, X.H.; Liu, M.M.; Qi, F. Successful Resection of an 11-Week Cesarean Scar Pregnancy With a Combination of Laparoscopy and Hysteroscopy. J. Minim. Invasive Gynecol. 2018, 25, 320–321. [Google Scholar] [CrossRef]
- Pickett, C.M.; Minalt, N.; Higgins, O.M.; Bernard, C.; Kasper, K.M. A laparoscopic approach to cesarean scar ectopic pregnancy. Am. J. Obstet. Gynecol. 2022, 226, 417–419. [Google Scholar] [CrossRef]
- Wu, J.; Ye, J.; OuYang, Z.; Wan, Z.; Zhang, Q.; Zhong, B.; Wei, S. Outcomes of reproduction following cesarean scar pregnancy treatment: A systematic review and meta-analysis. Eur. J. Obstet. Gynecol. Reprod. Biol. 2021, 262, 80–92. [Google Scholar] [CrossRef]



| Empty endometrial and endocervical cavity |
| Nested gestational sac and placenta on/in the scar |
| Triangular (≤8/40 weeks) rounded or oval shaped gestational sac (≥8/40 weeks) filling the scar “niche” |
| Thin (1–3 mm) or absent layer of myometrium between the urinary bladder and the gestational sac |
| Distinct or rich vascular pattern around the area of the scar |
| Embryonic or fetal pole, yolk sac, or both with presence or absence of fetal cardiac activity |
Publisher’s Note: MDPI stays neutral with regard to jurisdictional claims in published maps and institutional affiliations. |
© 2022 by the authors. Licensee MDPI, Basel, Switzerland. This article is an open access article distributed under the terms and conditions of the Creative Commons Attribution (CC BY) license (https://creativecommons.org/licenses/by/4.0/).
Share and Cite
Valasoulis, G.; Magaliou, I.; Koufidis, D.; Garas, A.; Daponte, A. Caesarean Scar Pregnancy: A Case Report and a Literature Review. Medicina 2022, 58, 740. https://doi.org/10.3390/medicina58060740
Valasoulis G, Magaliou I, Koufidis D, Garas A, Daponte A. Caesarean Scar Pregnancy: A Case Report and a Literature Review. Medicina. 2022; 58(6):740. https://doi.org/10.3390/medicina58060740
Chicago/Turabian StyleValasoulis, George, Ioulia Magaliou, Dimitrios Koufidis, Antonios Garas, and Alexandros Daponte. 2022. "Caesarean Scar Pregnancy: A Case Report and a Literature Review" Medicina 58, no. 6: 740. https://doi.org/10.3390/medicina58060740
APA StyleValasoulis, G., Magaliou, I., Koufidis, D., Garas, A., & Daponte, A. (2022). Caesarean Scar Pregnancy: A Case Report and a Literature Review. Medicina, 58(6), 740. https://doi.org/10.3390/medicina58060740

