Bilateral Deep Vein Thrombosis and Pulmonary Embolism Due to Right Common Iliac Artery Aneurysm with a Contained Rupture
Abstract
:1. Introduction
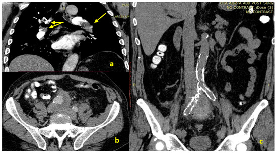
2. Case Presentation
3. Discussion
4. Conclusions
Author Contributions
Funding
Institutional Review Board Statement
Informed Consent Statement
Acknowledgments
Conflicts of Interest
References
- Lampropoulos, I.C.; Raptis, D.G.; Daniil, Z.; Tasoulis, S.K.; Plagianakos, V.P.; Malli, F.; Gourgoulianis, K.I. Temporal trends in pulmonary embolism prevalence in Greece during 2013–2017. BMC Public Health 2021, 21, 559. [Google Scholar] [CrossRef] [PubMed]
- Konstantinides, S.V.; Meyer, G.; Becattini, C.; Bueno, H.; Geersing, G.J.; Harjola, V.P.; Huisman, M.V.; Humbert, M.; Jennings, C.S.; Jiménez, D.; et al. 2019 ESC Guidelines for the diagnosis and management of acute pulmonary embolism developed in collaboration with the European Respiratory Society (ERS): The Task Force for the diagnosis and management of acute pulmonary embolism of the European Society of Cardiology (ESC). Eur. Respir. J. 2019, 54, 1901647. [Google Scholar] [PubMed] [Green Version]
- Anderson, F.A., Jr.; Spencer, F.A. Risk factors for venous thromboembolism. Circulation 2003, 107 (Suppl. S1), I9–I16. [Google Scholar] [CrossRef] [PubMed] [Green Version]
- Dentali, F.; Pomero, F.; Micco, P.D.; La Regina, M.; Landini, F.; Mumoli, N.; Pieralli, F.; Giorgi-Pierfranceschi, M.; Re, R.; Vitale, J.; et al. Prevalence and risk factors for pulmonary embolism in patients with suspected acute exacerbation of COPD: A multi-center study. Eur. J. Intern. Med. 2020, 80, 54–59. [Google Scholar] [CrossRef] [PubMed]
- Villalta, S.; Bagatella, P.; Piccioli, A.; Lensing, A.W.A.; Prins, M.H.; Prandoni, P. Assessment of validity and reproducibility of a clinical scale for the post-thrombotic syndrome. Haemostasis 1994, 24 (Suppl. S1), 158a. [Google Scholar]
- Levi, N.; Schroeder, T.V. Isolated iliac artery aneurysms. Eur. J. Vasc. Endovasc. Surg. 1998, 16, 342–344. [Google Scholar] [CrossRef] [Green Version]
- Brunkwall, J.; Hauksson, H.; Bengtsson, H.; Bergqvist, D.; Takolander, R.; Bergentz, S.E. Solitary aneurysms of the iliac arterial system: An estimate of their frequency of occurrence. J. Vasc. Surg. 1989, 10, 381–384. [Google Scholar] [CrossRef] [Green Version]
- Pazur, V.; Dakovic Bacalja, I.; Cvjetko, I.; Borovecki, A. Abdominal aortic and iliac aneurysm presented as lower limb deep vein thrombosis: Case report. Acta Chir. Belg. 2020, 120, 271–273. [Google Scholar] [CrossRef] [PubMed]
- Núñez Fernández, M.J.; Noya Castro, A.M.; Moncayo León, K.E.; Sineiro Galiñanes, M.; Altamirano Rodríguez, R. Image in Vascular Medicine. Deep vein thrombosis in lower extremities of an exceptional cause: Isolated internal iliac artery aneurysm and ilio-iliac arteriovenous fistula. Vasc. Med. 2020, 25, 194–195. [Google Scholar] [CrossRef] [PubMed]
- Secil, M.; Sarisoy, H.T.; Hazan, E.; Goktay, A.Y. Iliac artery aneurysm presenting with lower extremity deep vein thrombosis. J. Emerg. Med. 2003, 24, 65–67. [Google Scholar] [CrossRef]
- Fasoulakis, M.; Blionas, A.; Karanikola, E.; Galyfos, G.; Barbaressos, E.; Filis, K. Management of a Common Iliac Artery Aneurysm Causing Contralateral Iliac Venous Thrombosis. Int. J. Vasc. Surg. Med. 2015, 1, 009–011. [Google Scholar]
- Gozzo, C.; Giambelluca, D.; Cannella, R.; Caruana, G.; Jukna, A.; Picone, D.; Midiri, M.; Salvaggio, G. CT imaging findings of abdominopelvic vascular compression syndromes: What the radiologist needs to know. Insights Imaging 2020, 11, 48. [Google Scholar] [CrossRef] [PubMed] [Green Version]
- Wanhainen, A.; Verzini, F.; Van Herzeele, I.; Allaire, E.; Bown, M.; Cohnert, T.; Dick, F.; van Herwaarden, J.; Karkos, C.; Koelemay, M.; et al. Editor’s Choice—European Society for Vascular Surgery (ESVS) 2019 Clinical Practice Guidelines on the Management of Abdominal Aorto-iliac Artery Aneurysms. Eur. J. Vasc. Endovasc. Surg. 2019, 57, 8–93. [Google Scholar] [CrossRef] [PubMed] [Green Version]
- Huang, Y.; Gloviczki, P.; Duncan, A.A.; Kalra, M.; Hoskin, T.L.; Oderich, G.S.; McKusick, M.A.; Bower, T.C. Common iliac artery aneurysm: Expansion rate and results of open surgical and endovascular repair. J. Vasc. Surg. 2008, 47, 1203–1210; discussion 1210–1211. [Google Scholar] [CrossRef] [PubMed] [Green Version]

Publisher’s Note: MDPI stays neutral with regard to jurisdictional claims in published maps and institutional affiliations. |
© 2022 by the authors. Licensee MDPI, Basel, Switzerland. This article is an open access article distributed under the terms and conditions of the Creative Commons Attribution (CC BY) license (https://creativecommons.org/licenses/by/4.0/).
Share and Cite
Malli, F.; Dimeas, I.E.; Sinis, S.I.; Karetsi, E.; Nana, P.; Kouvelos, G.; Gourgoulianis, K.I. Bilateral Deep Vein Thrombosis and Pulmonary Embolism Due to Right Common Iliac Artery Aneurysm with a Contained Rupture. Medicina 2022, 58, 421. https://doi.org/10.3390/medicina58030421
Malli F, Dimeas IE, Sinis SI, Karetsi E, Nana P, Kouvelos G, Gourgoulianis KI. Bilateral Deep Vein Thrombosis and Pulmonary Embolism Due to Right Common Iliac Artery Aneurysm with a Contained Rupture. Medicina. 2022; 58(3):421. https://doi.org/10.3390/medicina58030421
Chicago/Turabian StyleMalli, Foteini, Ilias E. Dimeas, Sotirios I. Sinis, Eleni Karetsi, Petroula Nana, George Kouvelos, and Konstantinos I. Gourgoulianis. 2022. "Bilateral Deep Vein Thrombosis and Pulmonary Embolism Due to Right Common Iliac Artery Aneurysm with a Contained Rupture" Medicina 58, no. 3: 421. https://doi.org/10.3390/medicina58030421
APA StyleMalli, F., Dimeas, I. E., Sinis, S. I., Karetsi, E., Nana, P., Kouvelos, G., & Gourgoulianis, K. I. (2022). Bilateral Deep Vein Thrombosis and Pulmonary Embolism Due to Right Common Iliac Artery Aneurysm with a Contained Rupture. Medicina, 58(3), 421. https://doi.org/10.3390/medicina58030421

