Hemorrhagic Colitis Caused by Everolimus in a Patient with Nonfunctional Pancreatic Neuroendocrine Neoplasms: A Case Report
Abstract
1. Introduction
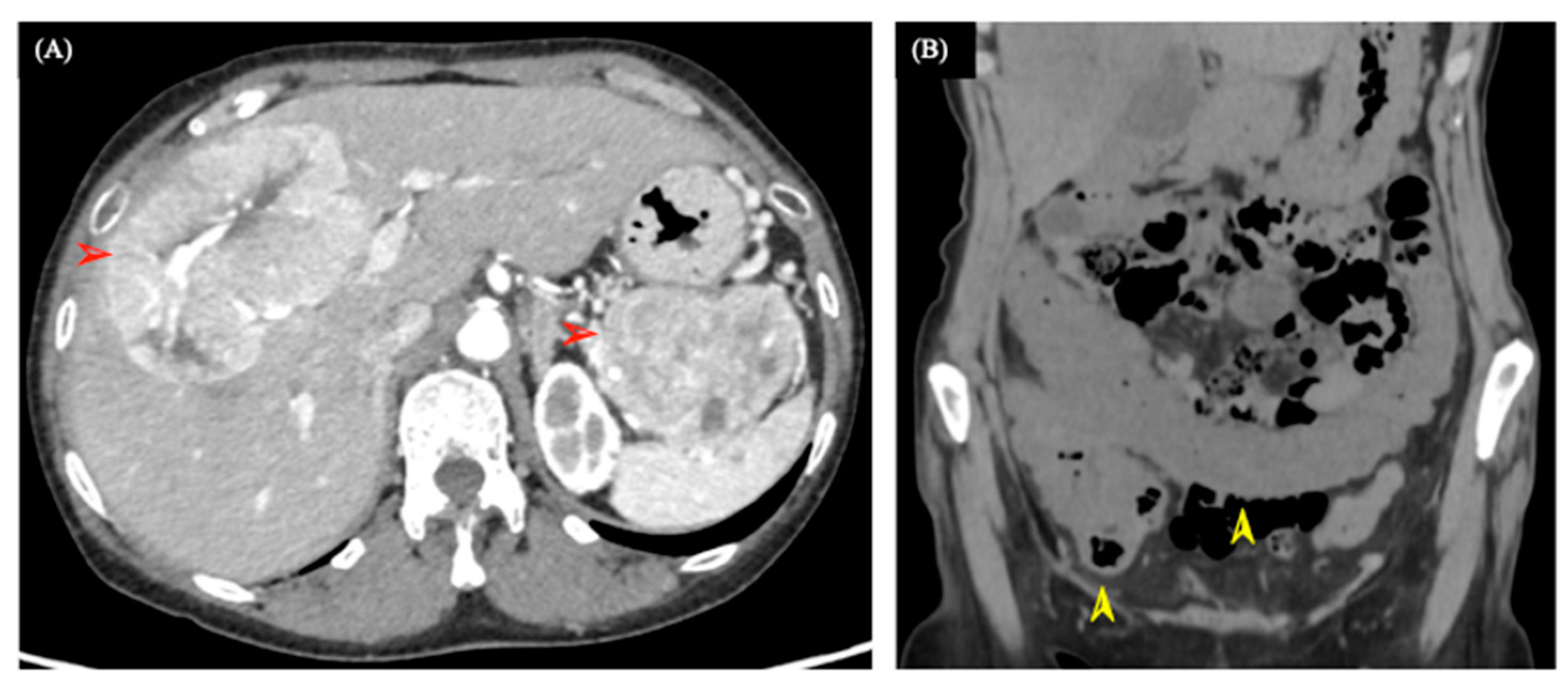
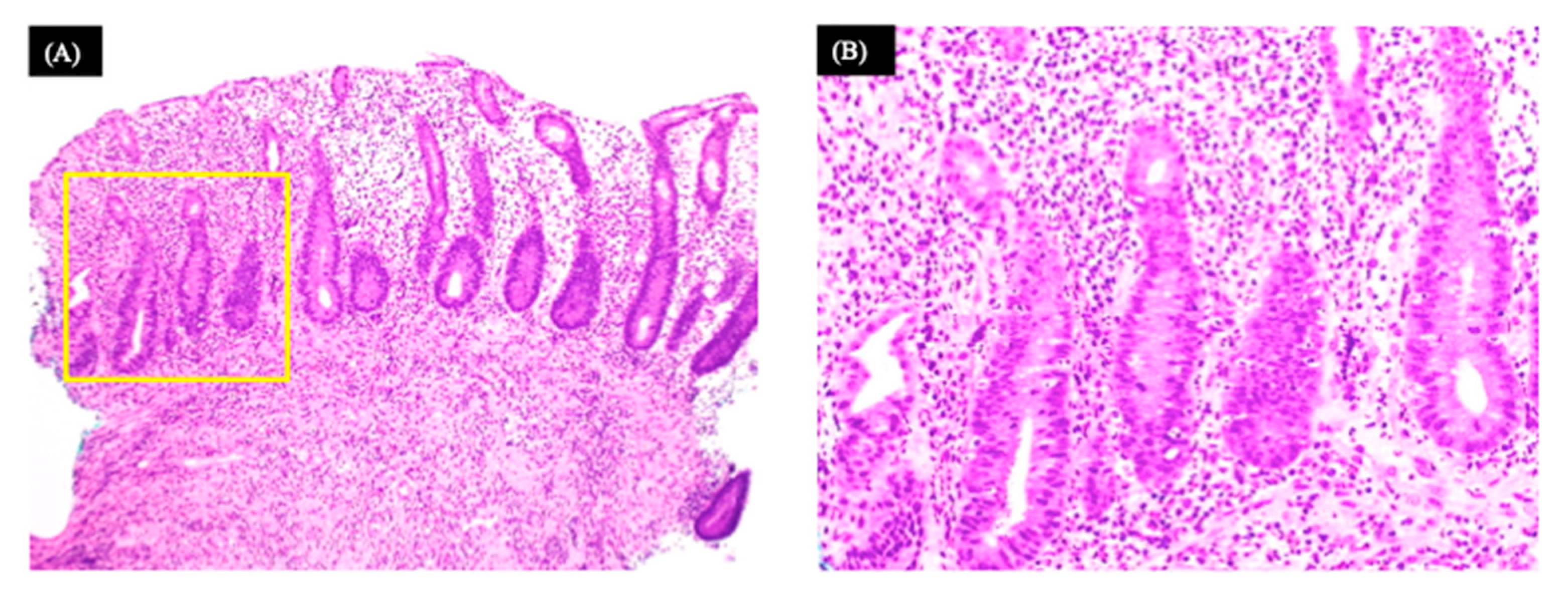
2. Case Presentation
3. Discussion
4. Conclusions
Author Contributions
Funding
Institutional Review Board Statement
Informed Consent Statement
Data Availability Statement
Acknowledgments
Conflicts of Interest
References
- Japan Neuroendocrine Tumor Society (Ed.) Pancreatic and Gastrointestinal Neuroendocrine Neoplasm (NEN) Clinical Guidelines, 2nd ed.; Kanehara & Co., Ltd.: Tokyo, Japan, 2019. [Google Scholar]
- Krug, S.; Damm, M.; Garbe, J.; König, S.; Schmitz, R.L.; Michl, P.; Schrader, J.; Rinke, A. Finding the Appropriate Therapeutic Strategy in Patients with Neuroendocrine Tumors of the Pancreas: Guideline Recommendations Meet the Clinical Reality. J Clin. Med. 2021, 14, 3023. [Google Scholar] [CrossRef] [PubMed]
- Falconi, M.; Eriksson, B.; Kaltsas, G.; Bartsch, D.K.; Capdevila, J.; Caplin, M.; Kos-Kudla, B.; Kwekkeboom, D.; Rindi, G.; Klöppel, G.; et al. ENETS consensus guidelines update for the management of patients with functional pancreatic neuroendocrine tumors and nonfunctional pancreatic neuroendocrine tumors. Neuroendocrinology 2016, 103, 153–171. [Google Scholar] [CrossRef] [PubMed]
- Chia, S.; Gandhi, S.; Joy, A.A.; Edwards, S.; Gorr, M.; Hopkins, S.; Kondejewski, J.; Ayoub, J.P.; Califaretti, N.; Rayson, D.; et al. Novel agents and associated toxicities of inhibitors of the PI3k/Akt/mTOR pathway for the treatment of breast cancer. Curr. Oncol. 2015, 22, 33–48. [Google Scholar] [CrossRef] [PubMed]
- Advani, S.H. Targeting mTOR pathway: A new concept in cancer therapy. Indian J. Med. Paediatr. Oncol. 2010, 31, 132–136. [Google Scholar] [CrossRef] [PubMed]
- Lee, L.; Igarashi, H.; Fujimori, N.; Hijioka, M.; Kawabe, K.; Oda, Y.; Jensen, R.T.; Ito, T. Long-term outcomes and prognostic factors in 78 Japanese patients with advanced pancreatic neuroendocrine neoplasms: A single-center retrospective study. Jpn. J. Clin. Oncol. 2015, 45, 1131–1138. [Google Scholar] [CrossRef] [PubMed][Green Version]
- Yao, J.C.; Fazio, N.; Singh, S.; Buzzoni, R.; Carnaghi, C.; Wolin, E.; Tomasek, J.; Raderer, M.; Voi, M.; Pacaud, L.B.; et al. Everolimus for the treatment of advanced, nonfunctional neuroendocrine tumours of the lung or gastrointestinal tract (RADIANT-4): A randomised, placebo-controlled, phase 3 study. Lancet 2016, 387, 968–977. [Google Scholar] [CrossRef]
- Tsunematsu, M.; Haruki, K.; Saito, R.; Watanabe, M.; Masubuchi, M.; Yanaga, K. Severe gastrointestinal hemorrhage related to everolimus: A case report. Clin. J. Gastroenterol. 2019, 12, 552–555. [Google Scholar] [CrossRef] [PubMed]
- Karar, J.; Maity, A. PIK3/AKT/mTOR pathway in angiogenesis. Front. Mol. Neurosci. 2011, 4, 1–8. [Google Scholar] [CrossRef] [PubMed]
- Kubota, Y. Tumor angiogenesis and anti-angiogenic therapy. Keio J. Med. 2012, 61, 47–56. [Google Scholar] [CrossRef] [PubMed]
- Fujii, Y.; Hirahara, N.; Kaji, S.; Tanuira, T.; Hyakodomi, R.; Yamamoto, T.; Tajima, Y. Bevacizumab-induced intestinal perforation in a patient with inoperable breast cancer: A case report and review of the literature. J. Med. Case Rep. 2018, 12, 84. [Google Scholar] [CrossRef] [PubMed]



| Hematology | Serology | ||||
|---|---|---|---|---|---|
| WBC | 11.10 × 103/μL | ALP | 209 U/L | CRP | 3.33 mg/dL |
| RBC | 485 × 104/μL | γGTP | 64 U/L | IgG | 1182 mg/dL |
| Hb | 14.5 g/dL | LDH | 209 U/L | IgA | 160 mg/dL |
| Ht | 41.9% | Na | 138 mEq/L | IgM | 436 mg/dL |
| PLT | 29.6 × 104/μL | K | 4.5 mEq/L | Other | |
| PT | 99% | Cl | 101 mEq/L | ANA | <40 |
| APTT | 33.9 sec | Ca | 9.3 mEq/L | ANCA(C/P) | <1.0 EU |
| Biochemistry | TP | 7.5 g/dL | CEA | 2.7 ng/mL | |
| T-Bill | 0.4 mg/dL | Alb | 3.8 g/dL | CA19-9 | 9 U/mL |
| AST | 19 U/L | Bun | 10.8 mg/dL | Insulin | 10.0 μIU/mL |
| ALT | 19 U/L | Cre | 0.74 mg/dL | Glucagon | 11.0 pg/mL |
Publisher’s Note: MDPI stays neutral with regard to jurisdictional claims in published maps and institutional affiliations. |
© 2022 by the authors. Licensee MDPI, Basel, Switzerland. This article is an open access article distributed under the terms and conditions of the Creative Commons Attribution (CC BY) license (https://creativecommons.org/licenses/by/4.0/).
Share and Cite
Arakawa, N.; Irisawa, A.; Ishida, K.; Tsunoda, T.; Yamaguchi, Y.; Yamabe, A.; Eizuka, M.; Tokioka, S.; Wakabayashi, H. Hemorrhagic Colitis Caused by Everolimus in a Patient with Nonfunctional Pancreatic Neuroendocrine Neoplasms: A Case Report. Medicina 2022, 58, 410. https://doi.org/10.3390/medicina58030410
Arakawa N, Irisawa A, Ishida K, Tsunoda T, Yamaguchi Y, Yamabe A, Eizuka M, Tokioka S, Wakabayashi H. Hemorrhagic Colitis Caused by Everolimus in a Patient with Nonfunctional Pancreatic Neuroendocrine Neoplasms: A Case Report. Medicina. 2022; 58(3):410. https://doi.org/10.3390/medicina58030410
Chicago/Turabian StyleArakawa, Noriyuki, Atsushi Irisawa, Kazuyuki Ishida, Takuya Tsunoda, Yoshiko Yamaguchi, Akane Yamabe, Makoto Eizuka, Shunzo Tokioka, and Hiroto Wakabayashi. 2022. "Hemorrhagic Colitis Caused by Everolimus in a Patient with Nonfunctional Pancreatic Neuroendocrine Neoplasms: A Case Report" Medicina 58, no. 3: 410. https://doi.org/10.3390/medicina58030410
APA StyleArakawa, N., Irisawa, A., Ishida, K., Tsunoda, T., Yamaguchi, Y., Yamabe, A., Eizuka, M., Tokioka, S., & Wakabayashi, H. (2022). Hemorrhagic Colitis Caused by Everolimus in a Patient with Nonfunctional Pancreatic Neuroendocrine Neoplasms: A Case Report. Medicina, 58(3), 410. https://doi.org/10.3390/medicina58030410

