Airspace Enlargement with Fibrosis in a Young Heavy Smoker Mimicking Diffuse Cystic Lung Disease
Abstract
1. Introduction
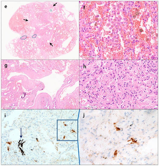
2. Case Report
3. Discussion
Author Contributions
Funding
Institutional Review Board Statement
Informed Consent Statement
Data Availability Statement
Conflicts of Interest
References
- Lee, K.-C.; Kang, E.-Y.; Yong, H.S.; Kim, C.; Lee, K.Y.; Hwang, S.H.; Oh, Y.-W. A Stepwise Diagnostic Approach to Cystic Lung Diseases for Radiologists. Korean J. Radiol. 2019, 20, 1368–1380. [Google Scholar] [CrossRef] [PubMed]
- Beddy, P.; Babar, J.; Devaraj, A. A practical approach to cystic lung disease on HRCT. Insights Imaging 2010, 2, 1–7. [Google Scholar] [CrossRef] [PubMed]
- Castoldi, M.C.; Verrioli, A.; De Juli, E.; Vanzulli, A. Pulmonary Langerhans cell histiocytosis: The many faces of presentation at initial CT scan. Insights Imaging 2014, 5, 483–492. [Google Scholar] [CrossRef] [PubMed]
- Kawabata, Y.; Hoshi, E.; Murai, K.; Ikeya, T.; Takahashi, N.; Saitou, Y.; Kurashima, K.; Ubukata, M.; Takayanagi, N.; Sugita, H.; et al. Smoking-related changes in the background lung of specimens resected for lung cancer: A semiquantitative study with correlation to postoperative course. Histopathology 2008, 53, 707–714. [Google Scholar] [CrossRef] [PubMed]
- Travis, W.D.; Costabel, U.; Hansell, D.M.; King, T.E., Jr.; Lynch, D.A.; Nicholson, A.G.; Ryerson, C.J.; Ryu, J.H.; Selman, M.; Wells, A.U.; et al. An official American Thoracic Society/European Respiratory Society statement: Update of the international multidisciplinary classification of the idiopathic interstitial pneumonias. Am. J. Respir. Crit. Care Med. 2013, 188, 733–748. [Google Scholar] [CrossRef] [PubMed]
- Watanabe, Y.; Kawabata, Y.; Kanauchi, T.; Hoshi, E.; Kurashima, K.; Koyama, S.; Colby, T.V. Multiple, thin-walled cysts are one of the HRCT features of airspace enlargement with fibrosis. Eur. J. Radiol. 2015, 84, 986–992. [Google Scholar] [CrossRef] [PubMed]
- Sousa, C.; Rodrigues, M.; Carvalho, A.; Viamonte, B.; Cunha, R.; Guimarães, S.; De Moura, C.S.; Morais, A.; Pereira, J.M. Diffuse smoking-related lung diseases: Insights from a radiologic-pathologic correlation. Insights Imaging 2019, 10, 73. [Google Scholar] [CrossRef] [PubMed]
- Yamada, T.; Nakanishi, Y.; Homma, T.; Uehara, K.; Mizutani, T.; Hoshi, E.; Shimizu, Y.; Kawabata, Y.; Colby, T.V. Airspace enlargement with fibrosis shows characteristic histology and immunohistology different from usual interstitial pneumonia, nonspecific interstitial pneumonia and centrilobular emphysema. Pathol. Int. 2013, 63, 206–213. [Google Scholar] [CrossRef] [PubMed]
- Gupta, N.; Colby, T.V.; Meyer, C.A.; McCormack, F.X.; Wikenheiser-Brokamp, K.A. Smoking-Related Diffuse Cystic Lung Disease. Chest 2018, 154, e31–e35. [Google Scholar] [CrossRef] [PubMed]


Publisher’s Note: MDPI stays neutral with regard to jurisdictional claims in published maps and institutional affiliations. |
© 2022 by the authors. Licensee MDPI, Basel, Switzerland. This article is an open access article distributed under the terms and conditions of the Creative Commons Attribution (CC BY) license (https://creativecommons.org/licenses/by/4.0/).
Share and Cite
Bae, K.; An, H.J.; Jeon, K.N. Airspace Enlargement with Fibrosis in a Young Heavy Smoker Mimicking Diffuse Cystic Lung Disease. Medicina 2022, 58, 1648. https://doi.org/10.3390/medicina58111648
Bae K, An HJ, Jeon KN. Airspace Enlargement with Fibrosis in a Young Heavy Smoker Mimicking Diffuse Cystic Lung Disease. Medicina. 2022; 58(11):1648. https://doi.org/10.3390/medicina58111648
Chicago/Turabian StyleBae, Kyungsoo, Hyo Jung An, and Kyung Nyeo Jeon. 2022. "Airspace Enlargement with Fibrosis in a Young Heavy Smoker Mimicking Diffuse Cystic Lung Disease" Medicina 58, no. 11: 1648. https://doi.org/10.3390/medicina58111648
APA StyleBae, K., An, H. J., & Jeon, K. N. (2022). Airspace Enlargement with Fibrosis in a Young Heavy Smoker Mimicking Diffuse Cystic Lung Disease. Medicina, 58(11), 1648. https://doi.org/10.3390/medicina58111648

