Changes in Bone Marrow Lesions Following Root Repair Surgery Using Modified Mason–Allen Stitches in Medial Meniscus Posterior Root Tears
Abstract
1. Introduction
2. Materials and Methods
2.1. Study Population
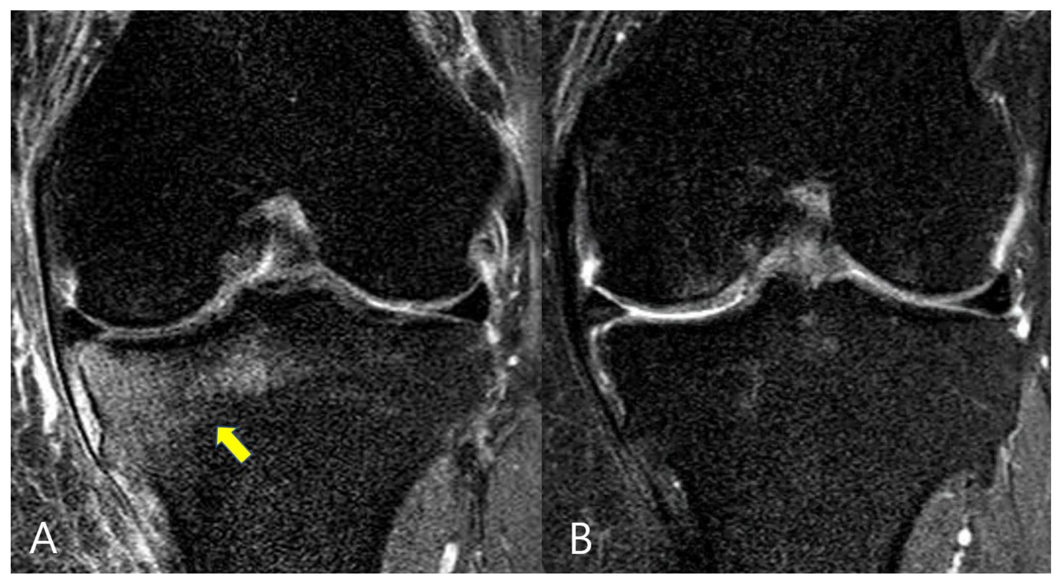
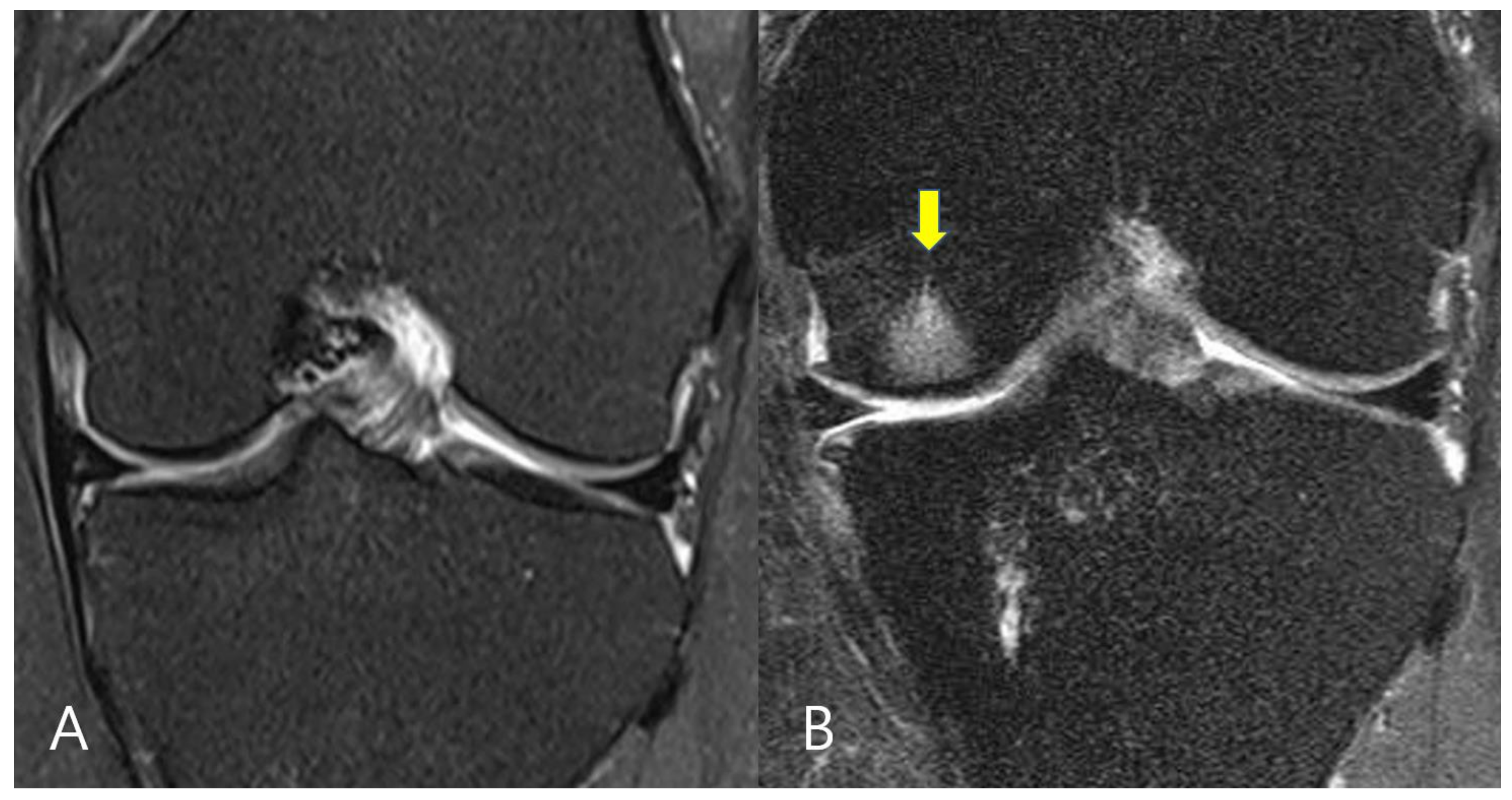
2.2. Evaluation of Bone Marrow Lesions
2.3. Surgical Technique for Pullout Fixation
2.4. Postoperative Rehabilitation
2.5. Clinical Outcomes
2.6. Radiological Outcomes
2.7. Statistical Analysis
3. Results
4. Discussion
5. Conclusions
Author Contributions
Funding
Institutional Review Board Statement
Informed Consent Statement
Data Availability Statement
Conflicts of Interest
References
- Felson, D.; Chaisson, C.; Hill, C.L.; Totterman, S.M.; Gale, M.E.; Skinner, K.M.; Kazis, L.; Gale, D.R. The Association of Bone Marrow Lesions with Pain in Knee Osteoarthritis. Ann. Intern. Med. 2001, 134, 541–549. [Google Scholar] [CrossRef] [PubMed]
- Link, T.M.; Steinbach, L.S.; Ghosh, S.; Ries, M.; Lu, Y.; Lane, N.; Majumdar, S. Osteoarthritis: MR Imaging Findings in Different Stages of Disease and Correlation with Clinical Findings. Radiology 2003, 226, 373–381. [Google Scholar] [CrossRef] [PubMed]
- Felson, D.T.; McLaughlin, S.; Goggins, J.; LaValley, M.P.; Gale, M.E.; Totterman, S.; Li, W.; Hill, C.; Gale, D. Bone marrow edema and its relation to pro-gression of knee osteoarthritis. Ann. Intern. Med. 2003, 139, 330–336. [Google Scholar] [CrossRef] [PubMed]
- Fithian, D.C.; Kelly, M.A.; Mow, V.C. Material properties and structure-function relationships in the menisci. Clin. Orthop. Relat. Res. 1990, 252, 19–31. [Google Scholar] [CrossRef]
- Furumatsu, T.; Hiranaka, T.; Kintaka, K.; Okazaki, Y.; Higashihara, N.; Tamura, M.; Ozaki, T. A characteristic MRI finding to diagnose a partial tear of the medial meniscus posterior root: An ocarina sign. Knee Surg. Relat. Res. 2021, 33, 38. [Google Scholar] [CrossRef]
- Papalia, R.; Vasta, S.; Franceschi, F.; D’Adamio, S.; Maffulli, N.; Denaro, V. Meniscal root tears: From basic science to ultimate surgery. Br. Med. Bull. 2013, 106, 91–115. [Google Scholar] [CrossRef]
- Hiranaka, T.; Furuhashi, R.; Takashiba, K.; Kodama, T.; Michishita, K.; Inui, H.; Togashi, E. Agreement and accuracy of radiographic as-sessment using a decision aid for medial Oxford partial knee replacement: Multicentre study. Knee Surg. Relat. Res. 2022, 34, 13. [Google Scholar] [CrossRef]
- Matthews, J.R.; Brutico, J.; Heard, J.; Chauhan, K.; Tucker, B.; Freedman, K.B. Comparison of clinical outcomes following osteochondral allograft transplantation for osteochondral versus chondral defects in the knee. Knee Surg. Relat. Res. 2022, 34, 23. [Google Scholar] [CrossRef]
- Helito, C.P.; Da Silva, A.G.M.; Guimarães, T.M.; Sobrado, M.F.; Pécora, J.R.; Camanho, G.L. Functional results of multiple revision an-terior cruciate ligament with anterolateral tibial tunnel associated with anterolateral ligament reconstruction. Knee Surg. Relat. Res. 2022, 34, 24. [Google Scholar] [CrossRef]
- Asif, N.; Khan, M.J.; Haris, K.P.; Waliullah, S.; Sharma, A.; Firoz, D. A prospective randomized study of arthroscopic ACL recon-struction with adjustable- versus fixed-loop device for femoral side fixation. Knee Surg. Relat. Res. 2021, 33, 42. [Google Scholar] [CrossRef]
- Bhatia, S.; LaPrade, C.M.; Ellman, M.B.; LaPrade, R.F. Meniscal root tears: Significance, diagnosis, and treatment. Am. J. Sports Med. 2014, 42, 3016–3030. [Google Scholar] [CrossRef] [PubMed]
- Kim, D.H.; Lee, G.C.; Kim, H.H.; Cha, D.H. Correlation between meniscal extrusion and symptom duration, alignment, and arthritic changes in medial meniscus posterior root tear: Research article. Knee Surg. Relat. Res. 2019, 32, 2. [Google Scholar] [CrossRef] [PubMed]
- Kodama, Y.; Furumatsu, T.; Kamatsuki, Y.; Hiranaka, T.; Takahata, T.; Sadakane, M.; Ikuta, H.; Yasumitsu, M.; Ozaki, T. Preliminary diagnosis of medial meniscus posterior root tears using the Rosenberg radiographic view. Knee Surg. Relat. Res. 2019, 31, 9. [Google Scholar] [CrossRef] [PubMed]
- Allaire, R.; Muriuki, M.; Gilbertson, L.; Harner, C.D. Biomechanical consequences of a tear of the posterior root of the medial me-niscus. Similar to total meniscectomy. J. Bone Jt. Surg. 2008, 90, 1922–1931. [Google Scholar] [CrossRef] [PubMed]
- Kohli, S.; Schwenck, J.; Barlow, I. Failure rates and clinical outcomes of synthetic meniscal implants following partial meniscec-tomy: A systematic review. Knee Surg. Relat. Res. 2022, 34, 27. [Google Scholar] [CrossRef]
- Matthews, J.R.; Wang, J.; Zhao, J.; Kluczynski, M.A.; Bisson, L.J. The influence of suture materials on the biomechanical behavior of suture-meniscal specimens: A comparative study in a porcine model. Knee Surg. Relat. Res. 2020, 32, 42. [Google Scholar] [CrossRef]
- Chung, K.S.; Choi, C.H.; Bae, T.S.; Ha, J.K.; Jun, D.J.; Wang, J.H.; Kim, J.G. Comparison of Tibiofemoral Contact Mechanics After Various Transtibial and All-Inside Fixation Techniques for Medial Meniscus Posterior Root Radial Tears in a Porcine Model. Arthrosc. J. Arthrosc. Relat. Surg. 2018, 34, 1060–1068. [Google Scholar] [CrossRef]
- Chung, K.S.; Ha, J.K.; Ra, H.J.; Kim, J.G. A meta-analysis of clinical and radiographic outcomes of posterior horn medial meniscus root repairs. Knee Surg. Sports Traumatol. Arthrosc. 2016, 24, 1455–1468. [Google Scholar] [CrossRef]
- Feucht, M.J.; Kühle, J.; Bode, G.; Mehl, J.; Schmal, H.; Südkamp, N.P.; Niemeyer, P. Arthroscopic Transtibial Pullout Repair for Posterior Medial Meniscus Root Tears: A Systematic Review of Clinical, Radiographic, and Second-Look Arthroscopic Results. Arthrosc. J. Arthrosc. Relat. Surg. 2015, 31, 1808–1816. [Google Scholar] [CrossRef]
- Chung, K.S.; Ha, J.K.; Yeom, C.H.; Ra, H.J.; Jang, H.S.; Choi, S.H.; Kim, J.G. Comparison of Clinical and Radiologic Results Between Partial Meniscectomy and Refixation of Medial Meniscus Posterior Root Tears: A Minimum 5-Year Follow-up. Arthrosc. J. Arthrosc. Relat. Surg. 2015, 31, 1941–1950. [Google Scholar] [CrossRef]
- Chung, K.S.; Ha, J.K.; Ra, H.J.; Yu, W.J.; Kim, J.G. Root Repair Versus Partial Meniscectomy for Medial Meniscus Posterior Root Tears: Comparison of Long-term Survivorship and Clinical Outcomes at Minimum 10-Year Follow-up. Am. J. Sports Med. 2020, 48, 1937–1944. [Google Scholar] [CrossRef] [PubMed]
- Jung, Y.-H.; Choi, N.-H.; Oh, J.-S.; Victoroff, B.N. All-Inside Repair for a Root Tear of the Medial Meniscus Using a Suture Anchor. Am. J. Sports Med. 2012, 40, 1406–1411. [Google Scholar] [CrossRef]
- Moon, H.-K.; Koh, Y.-G.; Kim, Y.-C.; Park, Y.-S.; Jo, S.-B.; Kwon, S.-K. Prognostic Factors of Arthroscopic Pull-out Repair for a Posterior Root Tear of the Medial Meniscus. Am. J. Sports Med. 2012, 40, 1138–1143. [Google Scholar] [CrossRef] [PubMed]
- Kim, J.-H.; Chung, J.-H.; Lee, D.-H.; Lee, Y.-S.; Kim, J.-R.; Ryu, K.-J. Arthroscopic Suture Anchor Repair Versus Pullout Suture Repair in Posterior Root Tear of the Medial Meniscus: A Prospective Comparison Study. Arthrosc. J. Arthrosc. Relat. Surg. 2011, 27, 1644–1653. [Google Scholar] [CrossRef] [PubMed]
- Seo, H.-S.; Lee, S.-C.; Jung, K.-A. Second-Look Arthroscopic Findings After Repairs of Posterior Root Tears of the Medial Meniscus. Am. J. Sports Med. 2011, 39, 99–107. [Google Scholar] [CrossRef] [PubMed]
- Kim, S.B.; Ha, J.K.; Lee, S.W.; Kim, D.W.; Shim, J.C.; Kim, J.G.; Lee, M.Y. Medial Meniscus Root Tear Refixation: Comparison of Clinical, Radiologic, and Arthroscopic Findings with Medial Meniscectomy. Arthrosc. J. Arthrosc. Relat. Surg. 2011, 27, 346–354. [Google Scholar] [CrossRef] [PubMed]
- Lee, J.H.; Lim, Y.J.; Kim, K.B.; Kim, K.H.; Song, J.H. Arthroscopic Pullout Suture Repair of Posterior Root Tear of the Medial Meniscus: Radiographic and Clinical Results With a 2-Year Follow-up. Arthrosc. J. Arthrosc. Relat. Surg. 2009, 25, 951–958. [Google Scholar] [CrossRef]
- Lee, Y.G.; Shim, J.C.; Choi, Y.S.; Kim, J.G.; Lee, G.J.; Kim, H.K. Magnetic resonance imaging findings of surgically proven medial meniscus root tear: Tear configuration and associated knee abnormalities. J. Comput. Assist. Tomogr. 2008, 32, 452–457. [Google Scholar] [CrossRef]
- LaPrade, C.M.; James, E.W.; Cram, T.R.; Feagin, J.A.; Engebretsen, L.; LaPrade, R.F. Meniscal root tears: A classification system based on tear morphology. Am. J. Sports Med. 2015, 43, 363–369. [Google Scholar] [CrossRef]
- Chung, K.S.; Ha, J.K.; Ra, H.J.; Kim, J.G. Arthroscopic Medial Meniscus Posterior Root Fixation Using a Modified Mason-Allen Stitch. Arthrosc. Technol. 2016, 5, e63–e66. [Google Scholar] [CrossRef]
- Chung, K.S.; Ha, J.K.; Ra, H.J.; Kim, J.G. Does Release of the Superficial Medial Collateral Ligament Result in Clinically Harmful Effects After the Fixation of Medial Meniscus Posterior Root Tears? Arthroscopy 2017, 33, 199–208. [Google Scholar] [CrossRef] [PubMed]
- Shelbourne, K.D.; Dickens, J.F. Digital Radiographic Evaluation of Medial Joint Space Narrowing after Partial Meniscectomy of Bucket-Handle Medial Meniscus Tears in Anterior Cruciate Ligament–Intact Knees. Am. J. Sports Med. 2006, 34, 1648–1655. [Google Scholar] [CrossRef] [PubMed]
- Kellgren, J.H.; Lawrence, J.S. Radiological Assessment of Osteo-Arthrosis. Ann. Rheum. Dis. 1957, 16, 494–502. [Google Scholar] [CrossRef] [PubMed]
- Walter, S.D.; Eliasziw, M.; Donner, A. Sample size and optimal designs for reliability studies. Stat. Med. 1998, 17, 101–110. [Google Scholar] [CrossRef]
- Koo, T.K.; Li, M.Y. A Guideline of Selecting and Reporting Intraclass Correlation Coefficients for Reliability Research. J. Chiropr. Med. 2016, 15, 155–163. [Google Scholar] [CrossRef]
- Han, S.B.; Shetty, G.M.; Lee, D.H.; Chae, D.J.; Seo, S.S.; Wang, K.H.; Yoo, S.H.; Nha, K.W. Unfavorable Results of Partial Meniscectomy for Complete Posterior Medial Meniscus Root Tear with Early Osteoarthritis: A 5- to 8-Year Follow-Up Study. Arthrosc. J. Arthrosc. Relat. Surg. 2010, 26, 1326–1332. [Google Scholar] [CrossRef]
- Ozkoc, G.; Circi, E.; Gonc, U.; Irgit, K.; Pourbagher, A.; Tandogan, R.N. Radial tears in the root of the posterior horn of the medial meniscus. Knee Surg. Sports Traumatol. Arthrosc. 2008, 16, 849–854. [Google Scholar] [CrossRef]
- Krych, A.J.; Johnson, N.R.; Mohan, R.; Dahm, D.L.; Levy, B.A.; Stuart, M.J. Partial meniscectomy provides no benefit for symptomatic degenerative medial meniscus posterior root tears. Knee Surg. Sports Traumatol. Arthrosc. 2018, 26, 1117–1122. [Google Scholar] [CrossRef]
- Ro, K.-H.; Kim, J.-H.; Heo, J.-W.; Lee, D.-H. Clinical and Radiological Outcomes of Meniscal Repair Versus Partial Meniscectomy for Medial Meniscus Root Tears: A Systematic Review and Meta-analysis. Orthop. J. Sports Med. 2020, 8, 2325967120962078. [Google Scholar] [CrossRef]
- Chung, K.S.; Ha, J.K.; Ra, H.J.; Nam, G.W.; Kim, J.G. Pullout fixation of posterior medial meniscus root tears: Correlation between meniscus extrusion and midterm clinical results. Am. J. Sport. Med. 2017, 45, 42–49. [Google Scholar] [CrossRef]
- Jamari, J.; Ammarullah, M.I.; Santoso, G.; Sugiharto, S.; Supriyono, T.; Heide, E. In Silico Contact Pressure of Metal-on-Metal Total Hip Implant with Different Materials Subjected to Gait Loading. Metals 2022, 12, 1241. [Google Scholar] [CrossRef]



| Demography (n = 30) | |
| Age, years | 58.7 ± 5.7 |
| Sex, male/female | 2/27 |
| Follow-up period, mo | 12.2 ± 1.1 |
| Body mass index, kg/m2 | 26.6 ± 3.9 |
| Duration between symptom onset & repair a, weeks | 4.9 ± 3.6 |
| Clinical scores | |
| Lysholm score | 47.8 ± 6.5 |
| WOMAC score | 54.6 ± 6.7 |
| KOOS score | 69.6 ± 6.1 |
| Radiological status | |
| Mechanical axis (varus), degree | 3.1 ± 2.0 |
| Kellgren–Lawrence grade (0/1/2/3/4) b, n | 518/7/0/0 |
| Medial joint space width b, mm | 3.6 ± 0.6 |
| Outerbridge cartilage grade (0/1/2/3/4) c, n | 5/6/13/5/1 |
| BME Lesion (n = 30) | |||
|---|---|---|---|
| Pre-Operation (n) | Change of BME Lesions of Included Participants at Final Follow-Up (n) | Post-Operation (n) | |
| No BME lesion | 20 | No BME: 17 BME on MFC: 1 BME on MTP: 1 BME on both: 1 | 23 |
| BME lesion on MFC only | 1 | BME on MFC: 1 | 3 |
| BME lesion on MTP only | 6 | No BME: 6 | 1 |
| BME lesion on MFC and MTP both | 3 | BME on MFC: 1 BME on both: 2 | 3 |
| BME Lesion (n = 29) | ||||||
|---|---|---|---|---|---|---|
| No Change of BME Lesion (Group 1) | Improved BME Lesion (Group 2) | Worsened BME Lesion (Group 3) | ||||
| Number | 20 | 7 | 3 | |||
| Clinical scores | Preoperation | Postoperation | Preoperation | Postoperation | Preoperation | Postoperation |
| Lysholm score | 47.6 ± 6.8 | 81.7 ± 8.2 | 50.1 ± 6.3 | 86.9 ± 6.7 | 44.0 ± 3.5 | 73.7 ± 4.0 |
| WOMAC score | 53.1 ± 7.2 | 16.7 ± 8.7 | 57.3 ± 4.3 | 12.7 ± 4.5 | 58.7 ± 4.0 | 22.3 ± 6.8 |
| KOOS score | 68.8 ± 6.5 | 26.5 ± 9.6 | 69.7 ± 4.6 | 24.1 ± 5.8 | 75.0 ± 3.6 | 34.3 ± 10.7 |
| Radiological status | ||||||
| Kellgren–Lawrence grade (0/1/2/3/4) a, n | 4/12/4/0/0 | 2/11/5/2/0 | 0/5/2/0/0 | 0/4/3/0/0 | 1/1/1/0/0 | 1/0/2/0/0 |
| Medial joint space width a, mm | 3.6 ± 0.6 | 3.3 ± 0.5 | 3.5 ± 0.8 | 3.4 ± 0.8 | 3.4 ± 0.5 | 3.0 ± 0.3 |
| Meniscus extrusion b, mm | 3.4 ± 0.8 | 3.3 ± 1.1 | 3.7 ± 1.0 | 2.7 ± 0.8 | 2.8 ± 0.9 | 5.5 ± 1.5 |
| Outerbridge cartilage grade (0/1/2/3/4) b, n | 4/4/10/2/0 | 3/4/9/4/0 | 0/1/3/2/1 | 2/2/2/1/0 | 1/1/0/1/0 | 0/1/1/0/1 |
| Postoperative Outcomes | No Change of BME Lesion (n = 20) | Improved BME Lesion (n = 7) | Worsened BME Lesion (n = 3) | p Value |
|---|---|---|---|---|
| Clinical scores | ||||
| Lysholm score | 81.7 ± 8.2 | 86.9 ± 6.7 | 73.7 ± 4.0 | 0.034 b |
| Difference of Lysholm between pre- and post-operation | 34.1 ± 8.2 | 36.7 ± 11.2 | 29.7 ± 1.5 | 0.416 b |
| WOMAC score | 16.7 ± 8.7 | 12.7 ± 4.5 | 22.3 ± 6.8 | 0.160 b |
| Difference of WOMAC between pre- and post-operation | 36.4 ± 12.7 | 44.6 ± 2.7 | 36.3 ± 2.9 | 0.106 b |
| KOOS score | 26.5 ± 9.6 | 24.1 ± 5.8 | 34.3 ± 10.7 | 0.291 b |
| Difference of KOOS between pre- and post-operation | 42.3 ± 9.5 | 45.6 ± 8.0 | 40.7 ± 10.3 | 0.431 b |
| Radiological status | ||||
| Medial joint space, mm | 3.3 ± 0.5 | 3.4 ± 0.8 | 3.0 ± 0.3 | 0.623 b |
| Progression of joint space narrowing, mm | 0.4 ± 0.4 | 0.1 ± 0.2 | 0.4 ± 0.2 | 0.081 b |
| Kellgren–Lawrence grade (KL grade), 0/1/2/3/4 | 2/11/5/2/0 | 0/4/3/0/0 | 1/0/2/0/0 | 0.347 c |
| Progression of KL grade, no. (%) | 7 (35%) | 1 (14%) | 1 (33%) | 0.829 c |
| Continuity between bone bed and meniscus d | 20 (100%) | 7 (100%) | 3 (100%) | 1.000 c |
| Difference values of meniscus extrusion (pre-post) d, mm | 0.1 ± 1.3 | 0.9 ± 1.4 | −2.7 ± 1.5 | 0.019 b |
| Cartilage grade (modified outerbridge), 0/1/2/3/4 d | 3/4/9/4/0 | 2/2/2/1/0 | 0/1/1/0/1 | 0.548 c |
| Progression of Cartilage grade, no. (%) d | 5 (25%) | 0 (0%) | 3 (100%) | 0.006 c |
Publisher’s Note: MDPI stays neutral with regard to jurisdictional claims in published maps and institutional affiliations. |
© 2022 by the authors. Licensee MDPI, Basel, Switzerland. This article is an open access article distributed under the terms and conditions of the Creative Commons Attribution (CC BY) license (https://creativecommons.org/licenses/by/4.0/).
Share and Cite
Chung, K.S.; Ha, J.K.; Kim, J.S.; Kim, J.G. Changes in Bone Marrow Lesions Following Root Repair Surgery Using Modified Mason–Allen Stitches in Medial Meniscus Posterior Root Tears. Medicina 2022, 58, 1601. https://doi.org/10.3390/medicina58111601
Chung KS, Ha JK, Kim JS, Kim JG. Changes in Bone Marrow Lesions Following Root Repair Surgery Using Modified Mason–Allen Stitches in Medial Meniscus Posterior Root Tears. Medicina. 2022; 58(11):1601. https://doi.org/10.3390/medicina58111601
Chicago/Turabian StyleChung, Kyu Sung, Jeong Ku Ha, Jin Seong Kim, and Jin Goo Kim. 2022. "Changes in Bone Marrow Lesions Following Root Repair Surgery Using Modified Mason–Allen Stitches in Medial Meniscus Posterior Root Tears" Medicina 58, no. 11: 1601. https://doi.org/10.3390/medicina58111601
APA StyleChung, K. S., Ha, J. K., Kim, J. S., & Kim, J. G. (2022). Changes in Bone Marrow Lesions Following Root Repair Surgery Using Modified Mason–Allen Stitches in Medial Meniscus Posterior Root Tears. Medicina, 58(11), 1601. https://doi.org/10.3390/medicina58111601

