Management of Lung Cancer Presenting with Solitary Bone Metastasis
Abstract
1. Introduction
2. Pathophysiology of Bone Metastasis
3. Skeletal Metastasis Secondary to Lung Cancer
4. Sequencing of Treatment
5. Indications for Surgical Treatment
5.1. Surgical Treatment Indications and Techniques Used in Single Bone Metastases Associated with Lung Cancer
5.2. Resection and Reconstruction of Solitary Bone Lesions in Lung Cancer
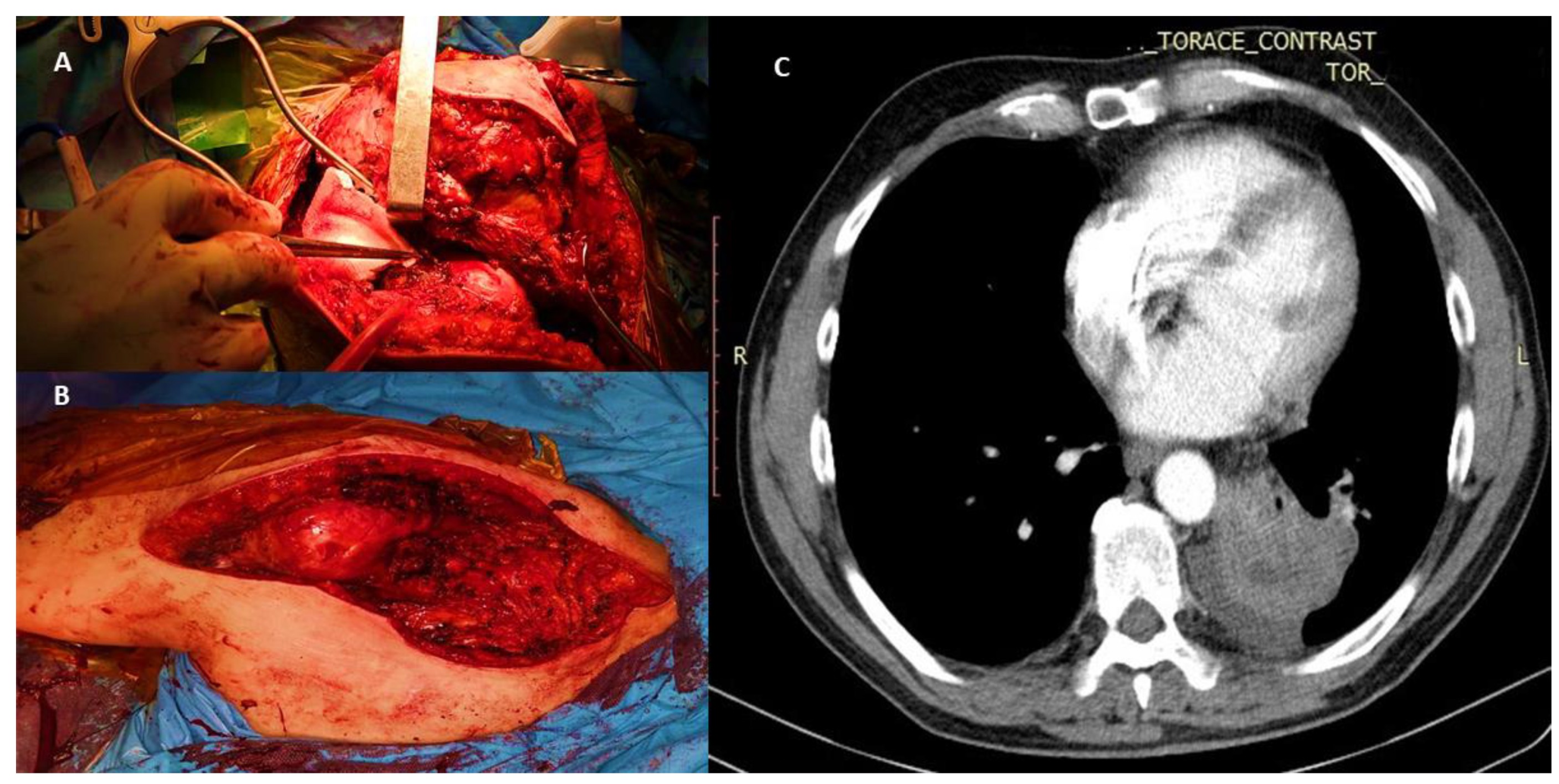
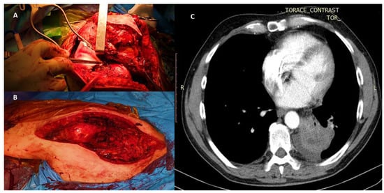
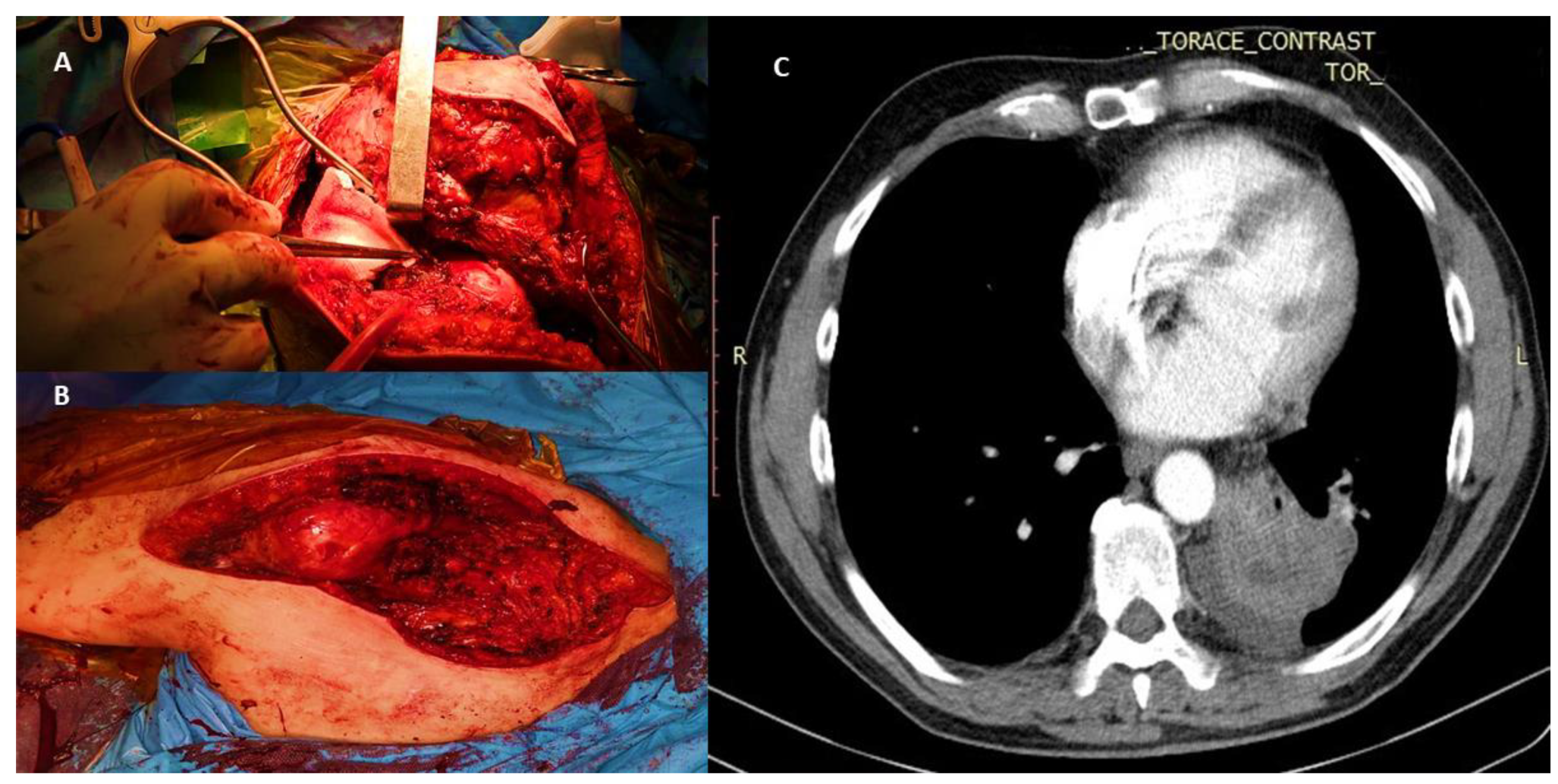
5.3. Treatment of Complete or Impending Fractures in Unique Bone Metastasis following Lung Cancer—Resection Followed by Intramedullary Nails and Acrylic Bone Cement
6. Conclusions
Author Contributions
Funding
Institutional Review Board Statement
Informed Consent Statement
Data Availability Statement
Acknowledgments
Conflicts of Interest
References
- Coleman, R.E. Metastatic bone disease: Clinical features, pathophysiology and treatment strategies. Cancer Treat. Rev. 2001, 27, 165–176. [Google Scholar] [CrossRef] [PubMed]
- Berenson, J.R.; Rajdev, L.; Broder, M. Managing bone complications of solid tumors. Cancer Biol. Ther. 2006, 5, 1086–1089. [Google Scholar] [CrossRef] [PubMed]
- Mundy, G.R. Metastasis to bone: Causes, consequences and therapeutic opportunities. Nat. Rev. Cancer 2002, 2, 584–593. [Google Scholar] [CrossRef] [PubMed]
- Tsuya, A.; Kurata, T.; Tamura, K.; Fukuoka, M. Skeletal metastases in non-small cell lung cancer: A retrospective study. Lung Cancer 2007, 57, 229–232. [Google Scholar] [CrossRef]
- Kagohashi, K.; Satoh, H.; Ishikawa, H.; Ohtsuka, M.; Sekizawa, K. Bone metastasis as the first manifestation of lung cancer. Int. J. Clin. Pr. 2003, 57, 184–186. [Google Scholar]
- Kosteva, J.; Langer, C. Incidence and distribution of skeletal metastases in the era of PET. Lung Cancer 2004, 46, S45. [Google Scholar]
- Ettinger, D.S.; Wood, D.E.; Akerley, W.; Bazhenova, L.A.; Borghaei, H.; Camidge, D.R.; Cheney, R.T.; Chirieac, L.R.; D’Amico, T.A.; Demmy, T.L.; et al. Non–Small Cell Lung Cancer, Version 6. J. Natl. Compr. Cancer Netw. 2015, 13, 515–524. [Google Scholar] [CrossRef]
- Hu, C.; Chang, E.L.; Hassenbusch, S.J., 3rd; Allen, P.K.; Woo, S.Y.; Mahajan, A.; Komaki, R.; Liao, Z. Nonsmall cell lung cancer presenting with synchronous solitary brain metastasis. Cancer 2006, 106, 1998–2004. [Google Scholar] [CrossRef]
- Raviv, G.; Klein, E.; Yellin, A.; Schneebaum, S.; Ben-Ari, G. Surgical treatment of solitary adrenal metastases from lung carcinoma. J. Surg. Oncol. 1990, 43, 123–124. [Google Scholar] [CrossRef]
- Reyes, L.; Parvez, Z.; Nemoto, T.; Regal, A.-M.; Takita, H. Adrenalectomy for adrenal metastasis from lung carcinoma. J. Surg. Oncol. 1990, 44, 32–34. [Google Scholar] [CrossRef] [PubMed]
- Agarwala, A.K.; Hanna, N.H. Long-Term Survival in a Patient with Stage IV Non–Small-Cell Lung Carcinoma After Bone Metastasectomy. Clin. Lung Cancer 2005, 6, 367–368. [Google Scholar] [CrossRef] [PubMed]
- Hirano, Y.; Oda, M.; Tsunezuka, Y.; Ishikawa, N.; Watanabe, G. Long-term survival cases of lung cancer presented as solitary bone metastasis. Ann. Thorac. Cardiovasc. Surg. 2005, 11, 401–404. [Google Scholar] [PubMed]
- Diel, I.J.; Mundy, G.R. Bisphosphonates in the adjuvant treatment of cancer: Experimental evidence and first clinical results. Br. J. Cancer 2000, 82, 1381–1386. [Google Scholar] [CrossRef] [PubMed]
- Bendre, M.S.; Margulies, A.G.; Walser, B.; Akel, N.S.; Bhattacharrya, S.; Skinner, R.A.; Swain, F.; Ramani, V.; Mohammad, K.S.; Wessner, L.L.; et al. Tumor-Derived Interleukin-8 Stimulates Osteolysis Independent of the Receptor Activator of Nuclear Factor-κB Ligand Pathway. Cancer Res. 2005, 65, 11001–11009. [Google Scholar] [CrossRef] [PubMed]
- Guise, T.A.; Mohammad, K.S.; Clines, G.; Stebbins, E.G.; Wong, D.H.; Higgins, L.S.; Vessella, R.; Corey, E.; Padalecki, S.; Suva, L.; et al. Basic Mechanisms Responsible for Osteolytic and Osteoblastic Bone Metastases. Clin. Cancer Res. 2006, 12 Pt 2, 6213s–6216s. [Google Scholar] [CrossRef]
- Guise, T.A.; Yin, J.J.; Taylor, S.D.; Kumagai, Y.; Dallas, M.; Boyce, B.F.; Yoneda, T.; Mundy, G.R. Evidence for a causal role of parathyroid hormone-related protein in the pathogenesis of human breast cancer-mediated osteolysis. J. Clin. Investig. 1996, 98, 1544–1549. [Google Scholar] [CrossRef] [PubMed]
- Jones, D.H.; Nakashima, T.; Sanchez, O.H.; Kozieradzki, I.; Komarova, S.V.; Sarosi, I.; Morony, S.; Rubin, E.; Sarao, R.; Hojilla, C.V.; et al. Regulation of cancer cell migration and bone metastasis by RANKL. Nature 2006, 440, 692–696. [Google Scholar] [CrossRef] [PubMed]
- Berenson, J.R.; Rajdev, L.; Broder, M. Pathophysiology of bone metastases. Cancer Biol. Ther. 2006, 5, 1078–1081. [Google Scholar] [CrossRef] [PubMed]
- Lewis, M.A.; Hendrickson, A.W.; Moynihan, T.J. Oncologic emergencies: Pathophysiology, presentation, diagnosis, and treatment. CA A Cancer J. Clin. 2011, 61, 287–314. [Google Scholar] [CrossRef] [PubMed]
- Zhao, T.; Gao, Z.; Wu, W.; He, W.; Yang, Y. Effect of synchronous solitary bone metastasectomy and lung cancer resection on non-small cell lung cancer patients. Oncol. Lett. 2016, 11, 2266–2270. [Google Scholar] [CrossRef] [PubMed][Green Version]
- Akram, M.; Zaheer, S.; Hussain, A.; Siddiqui, S.A.; Afrose, R.; Khalid, S. Solitary fibular metastasis from nonsmall cell lung carcinoma. J. Cytol. 2017, 34, 113–115. [Google Scholar] [CrossRef]
- Cai, L.; Dong, S.; Chen, H. Olecranon metastases from primary lung cancer: Case report and review of the literature. J. Int. Med. Res. 2019, 47, 5312–5317. [Google Scholar] [CrossRef] [PubMed]
- Torok, J.A.; Gu, L.; Tandberg, D.J.; Wang, X.; Harpole, D.H., Jr.; Kelsey, C.R.; Salama, J.K. Patterns of Distant Metastases After Surgical Management of Non–Small-Cell Lung Cancer. Clin. Lung Cancer 2016, 18, e57–e70. [Google Scholar] [CrossRef] [PubMed]
- Rusthoven, K.E.; Hammerman, S.F.; Kavanagh, B.D.; Birtwhistle, M.J.; Stares, M.; Camidge, D.R. Is there a role for consolidative stereotactic body radiation therapy following first-line systemic therapy for metastatic lung cancer? A patterns-of-failure analysis. Acta Oncol. 2009, 48, 578–583. [Google Scholar] [CrossRef] [PubMed]
- Barlesi, F.; Mazieres, J.; Merlio, J.-P.; Debieuvre, D.; Mosser, J.; Lena, H.; Ouafik, L.H.; Besse, B.; Rouquette, I.; Westeel, V.; et al. Routine molecular profiling of patients with advanced non-small-cell lung cancer: Results of a 1-year nationwide programme of the French Cooperative Thoracic Intergroup (IFCT). Lancet 2016, 387, 1415–1426. [Google Scholar] [CrossRef]
- Hanna, N.H.; Schneider, B.J.; Temin, S., Jr.; Baker, S.; Brahmer, J.; Ellis, P.M.; Gaspar, L.E.; Haddad, R.Y.; Hesketh, P.J.; Jain, D.; et al. Therapy for Stage IV Non–Small-Cell Lung Cancer Without Driver Alterations: ASCO and OH (CCO) Joint Guideline Update. J. Clin. Oncol. 2020, 38, 1608–1632. [Google Scholar] [CrossRef]
- Lindeman, N.I.; Cagle, P.T.; Aisner, D.L.; Arcila, M.E.; Beasley, M.B.; Bernicker, E.H.; Colasacco, C.; Dacic, S.; Hirsch, F.R.; Kerr, K.; et al. Updated Molecular Testing Guideline for the Selection of Lung Cancer Patients for Treatment with Targeted Tyrosine Kinase Inhibitors. J. Mol. Diagn. 2018, 20, 129–159. [Google Scholar] [CrossRef]
- Detterbeck, F.C.; Boffa, D.J.; Kim, A.W.; Tanoue, L.T. The Eighth Edition Lung Cancer Stage Classification. Chest 2017, 151, 193–203. [Google Scholar] [CrossRef]
- Sugiura, H.; Yamada, K.; Sugiura, T.; Hida, T.; Mitsudomi, T. Predictors of Survival in Patients With Bone Metastasis of Lung Cancer. Clin. Orthop. Relat. Res. 2008, 466, 729–736. [Google Scholar] [CrossRef]
- Cho, Y.J.; Cho, Y.M.; Kim, S.H.; Shin, K.-H.; Jung, S.-T.; Kim, H.S. Clinical analysis of patients with skeletal metastasis of lung cancer. BMC Cancer 2019, 19, 303. [Google Scholar] [CrossRef]
- De Felice, F.; Piccioli, A.; Musio, D.; Tombolini, V. The role of radiation therapy in bone metastases management. Oncotarget 2017, 8, 25691–25699. [Google Scholar] [CrossRef]
- Wang, L.; Jiao, F.; Dong, L.; Li, Q.; Liu, G.; Hu, X. Lobectomy Can Improve the Survival of Patients with Non-small Cell Lung Cancer with Lung Oligometastatic. Front. Surg. 2021, 8, 685186. [Google Scholar] [CrossRef] [PubMed]
- Willeumier, J.J.; van der Linden, Y.M.; van de Sande, M.A.; Dijkstra, P.S. Treatment of pathological fractures of the long bones. EFORT Open Rev. 2016, 1, 136–145. [Google Scholar] [CrossRef]
- Tsukamoto, S.; Kido, A.; Tanaka, Y.; Facchini, G.; Peta, G.; Rossi, G.; Mavrogenis, A.F. Current Overview of Treatment for Metastatic Bone Disease. Curr. Oncol. 2021, 28, 3347–3372. [Google Scholar] [CrossRef]
- Knapp, B.J.; Devarakonda, S.; Govindan, R. Bone metastases in non-small cell lung cancer: A narrative review. J. Thorac. Dis. 2022, 14, 1696–1712. [Google Scholar] [CrossRef] [PubMed]
- Wood, T.J.; Racano, A.; Yeung, H.; Farrokhyar, F.; Ghert, M.; Deheshi, B.M. Surgical Management of Bone Metastases: Quality of Evidence and Systematic Review. Ann. Surg. Oncol. 2014, 21, 4081–4089. [Google Scholar] [CrossRef]
- Hsieh, M.-K.; Bowles, D.R.; Canseco, J.A.; Sherman, M.B.; Schroeder, G.D.; Vaccaro, A.R. Is Open Surgery for Metastatic Spinal Cord Compression Secondary to Lung Cancer Really Beneficial? A Systematic Review. World Neurosurg. 2020, 144, e253–e263. [Google Scholar] [CrossRef] [PubMed]
- Bauer, H.C.F. Controversies in the surgical management of skeletal metastases. J. Bone Jt. Surgery. Br. Vol. 2005, 87, 608–617. [Google Scholar] [CrossRef]
- Ahmad, U.; Yang, H.; Sima, C.; Buitrago, D.H.; Ripley, R.T.; Suzuki, K.; Bains, M.S.; Rizk, N.P.; Rusch, V.W.; Huang, J.; et al. Resection of Primary and Secondary Tumors of the Sternum: An Analysis of Prognostic Variables. Ann. Thorac. Surg. 2015, 100, 215–222. [Google Scholar] [CrossRef] [PubMed]
- Liu, Y.; Huang, X.-Y.; Feng, W.-Y.; Luo, X.-T.; Wei, C.-W.; Liu, J.-H.; Lai, Y.-J.; Xiao, Z.-M.; Zhang, X.; Zhan, X.-L. Analysis of the clinical efficacy of tumor resection methods used in 20 patients with clavicular tumor. World J. Surg. Oncol. 2019, 17, 106. [Google Scholar] [CrossRef]
- Capanna, R.; Campanacci, D.A. The Treatment of Metastases in the Appendicular Skeleton. J. Bone Jt. Surgery. Br. Vol. 2001, 83, 471–481. [Google Scholar] [CrossRef]



| Genetic Alteration | Possible Systemic Treatment |
|---|---|
| EGFR exon 19 deletion or L858R mutation | osimertinib |
| EGFR S768I, L861Q, G719X mutation | afatinib or osimertinib |
| EGFR insertion exon 20 | amivantamab or mobocertinib |
| KRAS G12C mutation | sotorasib |
| ALK rearrangement | alectinib or lorlatinib or brigatinib |
| ROS1 rearrangement | entrectinib or crizotinib |
| NTRK 1/2/3 gene fusion | larotrectinib or entrectinib |
| MET exon14 skipping mutation | capmatinib or tepotinib |
| RET rearrangement | serpercatinib |
Publisher’s Note: MDPI stays neutral with regard to jurisdictional claims in published maps and institutional affiliations. |
© 2022 by the authors. Licensee MDPI, Basel, Switzerland. This article is an open access article distributed under the terms and conditions of the Creative Commons Attribution (CC BY) license (https://creativecommons.org/licenses/by/4.0/).
Share and Cite
Nistor, C.-E.; Ciuche, A.; Cucu, A.P.; Nitipir, C.; Slavu, C.; Serban, B.; Cursaru, A.; Cretu, B.; Cirstoiu, C. Management of Lung Cancer Presenting with Solitary Bone Metastasis. Medicina 2022, 58, 1463. https://doi.org/10.3390/medicina58101463
Nistor C-E, Ciuche A, Cucu AP, Nitipir C, Slavu C, Serban B, Cursaru A, Cretu B, Cirstoiu C. Management of Lung Cancer Presenting with Solitary Bone Metastasis. Medicina. 2022; 58(10):1463. https://doi.org/10.3390/medicina58101463
Chicago/Turabian StyleNistor, Claudiu-Eduard, Adrian Ciuche, Anca Pati Cucu, Cornelia Nitipir, Cristina Slavu, Bogdan Serban, Adrian Cursaru, Bogdan Cretu, and Catalin Cirstoiu. 2022. "Management of Lung Cancer Presenting with Solitary Bone Metastasis" Medicina 58, no. 10: 1463. https://doi.org/10.3390/medicina58101463
APA StyleNistor, C.-E., Ciuche, A., Cucu, A. P., Nitipir, C., Slavu, C., Serban, B., Cursaru, A., Cretu, B., & Cirstoiu, C. (2022). Management of Lung Cancer Presenting with Solitary Bone Metastasis. Medicina, 58(10), 1463. https://doi.org/10.3390/medicina58101463

