Sudden Occurrence of Pacemaker Capture Failure during Irreversible Electroporation Ablation for Prostate Cancer in Post-COVID-19 Patient: A Case Report
Abstract
1. Introduction
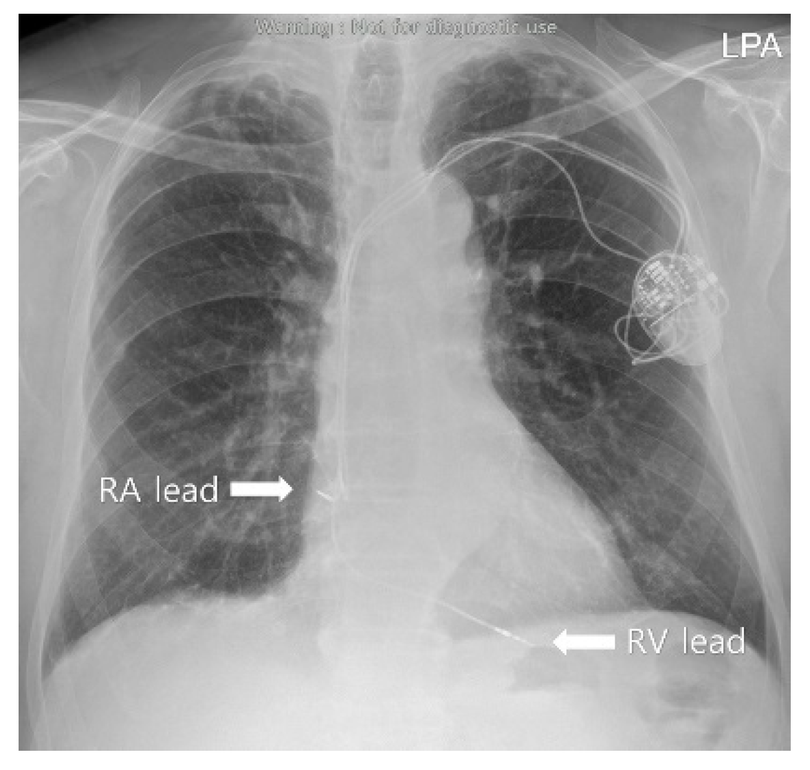
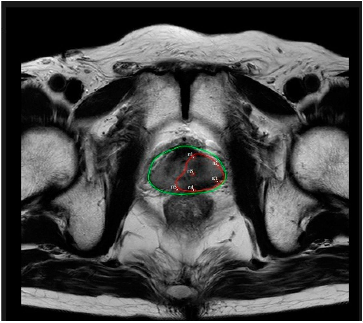
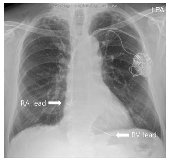
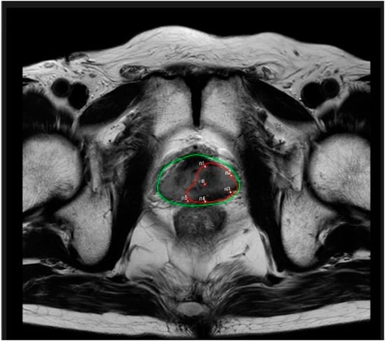
2. Case Presentation
3. Discussion
4. Conclusions
Author Contributions
Funding
Institutional Review Board Statement
Informed Consent Statement
Conflicts of Interest
References
- Valerio, M.; Dickinson, L.; Ali, A.; Ramachadran, N.; Donaldson, I.; McCartan, N.; Freeman, A.; Ahmed, H.U.; Emberton, M. Nanoknife Electroporation Ablation Trial: A Prospective Development Study Investigating Focal Irreversible Electroporation for Localized Prostate Cancer. J. Urol. 2017, 197 Pt 1, 647–654. [Google Scholar] [CrossRef] [PubMed]
- Werntz, R.P.; Eggener, S.E. Novel focal therapy treatment options for prostate cancer. Curr. Opin. Urol. 2018, 28, 178–183. [Google Scholar] [CrossRef] [PubMed]
- O’Neill, C.H.; Martin, R.C.G., 2nd. Cardiac synchronization and arrhythmia during irreversible electroporation. J. Surg. Oncol. 2020, 122, 407–411. [Google Scholar] [CrossRef]
- Deodhar, A.; Dickfeld, T.; Single, G.W.; Hamilton, W.C.; Thornton, R.H.; Sofocleous, C.T.; Maybody, M.; Gónen, M.; Rubinsky, B.; Solomon, S.B. Irreversible Electroporation Near the Heart: Ventricular Arrhythmias Can Be Prevented With ECG Synchronization. AJR Am. J. Roentgenol. 2011, 196, W330–W335. [Google Scholar] [CrossRef] [PubMed]
- Ong, S.; Leonardo, M.; Chengodu, T.; Bagguley, D.; Lawrentschuk, N. Irreversible Electroporation for Prostate Cancer. Life 2021, 11, 490. [Google Scholar] [CrossRef] [PubMed]
- Czermak, T.; Fichtner, S. Cardiac implantable electronic devices: Electromagnetic interference from electrocauterization, lithotripsy and physiotherapy. Herzschrittmacherther. Elektrophysiol. 2019, 30, 168–176. [Google Scholar] [CrossRef] [PubMed]
- Dyrda, K.; Khairy, P. Implantable rhythm devices and electromagnetic interference: Myth or reality? Exp. Rev. Cardiovasc. Ther. 2008, 6, 823–832. [Google Scholar] [CrossRef]
- Schulman, P.M.; Treggiari, M.M.; Yanez, N.D.; Henrikson, C.A.; Jessel, P.; Dewland, T.A.; Merkel, M.J.; Sera, V.; Harukuni, I.; Anderson, R.B.; et al. Electromagnetic Interference with Protocolized Electrosurgery Dispersive Electrode Positioning in Patients with Implantable Cardioverter Defibrillators. Anesthesiology 2019, 130, 530–540. [Google Scholar] [CrossRef]
- Manolis, A.S.; Manolis, T.A.; Apostolopoulos, E.J.; Papatheou, D.; Melita, H. COVID-19 infection and cardiac arrhythmias. Trends Cardiovasc. Med. 2020, 30, 451–460. [Google Scholar] [CrossRef]
- Mohamed, A. Complete Heart Block Secondary to COVID-19. Cureus 2021, 13, e14970. [Google Scholar] [CrossRef]
- Kochi, A.N.; Tagliari, A.P.; Forleo, G.B.; Fassini, G.M.; Tondo, C. Cardiac and arrhythmic complications in patients with COVID-19. J. Cardiovasc. Electrophysiol. 2020, 31, 1003–1008. [Google Scholar] [CrossRef]
- El-Boghdadly, K.; Cook, T.M.; Goodacre, T.; Kua, J.; Blake, L.; Denmark, S.; McNally, S.; Mercer, N.; Moonesinghe, S.R.; Summerton, D.J. SARS-CoV-2 infection, COVID-19 and timing of elective surgery: A multidisciplinary consensus statement on behalf of the Association of Anaesthetists, the Centre for Peri-operative Care, the Federation of Surgical Specialty Associations, the Royal College of Anaesthetists and the Royal College of Surgeons of England. Anaesthesia 2021, 76, 940–946. [Google Scholar] [PubMed]
- Rooke, G.A. Intraoperative Electrosurgical Electromagnetic Interference in Patients with Implantable Cardioverter Defibrillators: Is It Safe? Anesthesiology 2019, 130, 523–525. [Google Scholar] [CrossRef]
- Chakravarthy, M.; Prabhakumar, D.; George, A. Anaesthetic consideration in patients with cardiac implantable electronic devices scheduled for surgery. Indian J. Anaesth. 2017, 61, 736–743. [Google Scholar] [CrossRef] [PubMed]
- Nielsen, K.; Scheffer, H.J.; Vieveen, J.M.; van Tilborg, A.A.J.M.; Meijer, S.; van Kuijk, C.; Tol, M.P.V.D.; Meijerink, M.; Bouwman, R.A. Anaesthetic management during open and percutaneous irreversible electroporation. Br. J. Anaesth. 2014, 113, 985–992. [Google Scholar] [CrossRef] [PubMed]
- Sugimoto, K.; Moriyasu, F.; Takeuchi, H.; Ando, M.; Sano, T.; Mori, T.; Furuichi, Y.; Kobayashi, Y.; Nakamura, I. Case study to assess the safety of irreversible electroporation near the heart. SpringerPlus 2015, 4, 74. [Google Scholar] [CrossRef][Green Version]
- Månsson, C.; Nilsson, A.; Karlson, B.-M. Severe complications with irreversible electroporation of the pancreas in the presence of a metallic stent: A warning of a procedure that never should be performed. Acta Radiol. Short Rep. 2014, 3, 2047981614556409. [Google Scholar] [CrossRef]
- Erdogan, O. Electromagnetic Interference on Pacemakers. Indian Pacing Electrophysiol. J. 2002, 2, 74–78. [Google Scholar]
- Yerra, L.; Reddy, P.C. Effects of Electromagnetic Interference on Implanted Cardiac Devices and Their Management. Cardiol. Rev. 2007, 15, 304–309. [Google Scholar] [CrossRef]
- Kishihara, J.; Niwano, S.; Fukaya, H.; Nishinarita, R.; Horiguchi, A.; Nakamura, H.; Igarashi, T.; Ishizue, N.; Fujiishi, T.; Yoshizawa, T.; et al. Pacing failure caused by automatic pacing threshold adjustment system. J. Arrhythmia 2017, 33, 637–639. [Google Scholar] [CrossRef]
- El Rhalete, A.; Rhazi, I.; Bensaid, A.; Zaid, I.; Bkiyer, H.; Ismaili, N.; Elouafi, N.; Housni, B. Cardiovascular injuries during COVID-19 infection: A PROCESS-compliant case series from the Eastern Morocco. Ann. Med. Surg. 2021, 65, 102309. [Google Scholar] [CrossRef] [PubMed]
- Babapoor-Farrokhran, S.; Gill, D.; Walker, J.; Rasekhi, R.T.; Bozorgnia, B.; Amanullah, A. Myocardial injury and COVID-19: Possible mechanisms. Life Sci. 2020, 253, 117723. [Google Scholar] [CrossRef] [PubMed]
- Akhtar, Z.; Leung, L.W.; Kontogiannis, C.; Zuberi, Z.; Bajpai, A.; Sharma, S.; Chen, Z.; Beeton, I.; Sohal, M.; Gallagher, M.M. Prevalence of bradyarrhythmias needing pacing in COVID-19. Pacing Clin. Electrophysiol. 2021, 44, 1340–1346. [Google Scholar] [CrossRef] [PubMed]
- Lee, K.; Rahimi, O.; Gupta, N.; Ahsan, C. Complete AV Block in Vaccinated COVID-19 Patient. Case Rep. Cardiol. 2022, 2022, 9371818. [Google Scholar] [CrossRef] [PubMed]
- Lakkireddy, D.R.; Chung, M.K.; Gopinathannair, R.; Patton, K.K.; Gluckman, T.J.; Turagam, M.; Cheung, J.; Patel, P.; Sotomonte, J.; Lampert, R.; et al. Guidance for Cardiac Electrophysiology During the COVID-19 Pandemic from the Heart Rhythm Society COVID-19 Task Force; Electrophysiology Section of the American College of Cardiology; and the Electrocardiography and Arrhythmias Committee of the Council on Clinical Cardiology, American Heart Association. Circulation 2020, 141, e823–e831. [Google Scholar] [CrossRef]
- Misiri, J.; Kusumoto, F.; Goldschlager, N. Electromagnetic Interference and Implanted Cardiac Devices: The Medical Environment (Part II). Clin. Cardiol. 2012, 35, 321–328. [Google Scholar] [CrossRef]


| Events | Induction | Beginning of Surgery | 1st PD | 2nd PD | 3rd PD | Mode Change | 4th PD | 5th PD | End of Surgery | |||
|---|---|---|---|---|---|---|---|---|---|---|---|---|
| Pacemaker Mode | AOO | DOO | ||||||||||
| Hemodynamic Parameters | ||||||||||||
| ECG | APR (Narrow QRS) | APR (Narrow QRS) | Sinus Pause | APR (Narrow QRS) | Sinus Pause | APR (Narrow QRS) | Sinus Pause | APR (Narrow QRS) | APR (Narrow QRS) | VPR (Wide QRS) | VPR (Wide QRS) | VPR (Wide QRS) |
| SBP (mmHg) | 121 | 128 | - | 95 | - | 85 | - | 85 | 90 | 95 | 99 | 110 |
| DBP (mmHg) | 82 | 90 | - | 63 | - | 61 | - | 60 | 60 | 68 | 65 | 70 |
| HR (beats/min) | 80 | 80 | - | 80 | - | 80 | - | 80 | 80 | 80 | 80 | 80 |
| BIS | 54 | 50 | 32 | 34 | 32 | 35 | 32 | 34 | 40 | 46 | 45 | 40 |
| BT | 36.7 | 36.7 | 36.3 | 36.1 | 36.1 | 36.0 | 36.1 | 36.0 | 36.1 | 36.1 | 36.1 | 36.1 |
| SpO2 (%) | 98 | 98 | 95 | 98 | 97 | 94 | 97 | 93 | 99 | 99 | 99 | 99 |
| ETCO2 | 35 | 35 | 20 | 40 | 19 | 41 | 18 | 42 | 35 | 35 | 35 | 35 |
Publisher’s Note: MDPI stays neutral with regard to jurisdictional claims in published maps and institutional affiliations. |
© 2022 by the authors. Licensee MDPI, Basel, Switzerland. This article is an open access article distributed under the terms and conditions of the Creative Commons Attribution (CC BY) license (https://creativecommons.org/licenses/by/4.0/).
Share and Cite
Chae, M.S.; Lee, N.; Koh, H.J. Sudden Occurrence of Pacemaker Capture Failure during Irreversible Electroporation Ablation for Prostate Cancer in Post-COVID-19 Patient: A Case Report. Medicina 2022, 58, 1407. https://doi.org/10.3390/medicina58101407
Chae MS, Lee N, Koh HJ. Sudden Occurrence of Pacemaker Capture Failure during Irreversible Electroporation Ablation for Prostate Cancer in Post-COVID-19 Patient: A Case Report. Medicina. 2022; 58(10):1407. https://doi.org/10.3390/medicina58101407
Chicago/Turabian StyleChae, Min Suk, Nuri Lee, and Hyun Jung Koh. 2022. "Sudden Occurrence of Pacemaker Capture Failure during Irreversible Electroporation Ablation for Prostate Cancer in Post-COVID-19 Patient: A Case Report" Medicina 58, no. 10: 1407. https://doi.org/10.3390/medicina58101407
APA StyleChae, M. S., Lee, N., & Koh, H. J. (2022). Sudden Occurrence of Pacemaker Capture Failure during Irreversible Electroporation Ablation for Prostate Cancer in Post-COVID-19 Patient: A Case Report. Medicina, 58(10), 1407. https://doi.org/10.3390/medicina58101407

