Early Radiation-Induced Sarcoma in an Adolescent Treated for Relapsed Hodgkin Lymphoma with Nivolumab
Abstract
1. Introduction
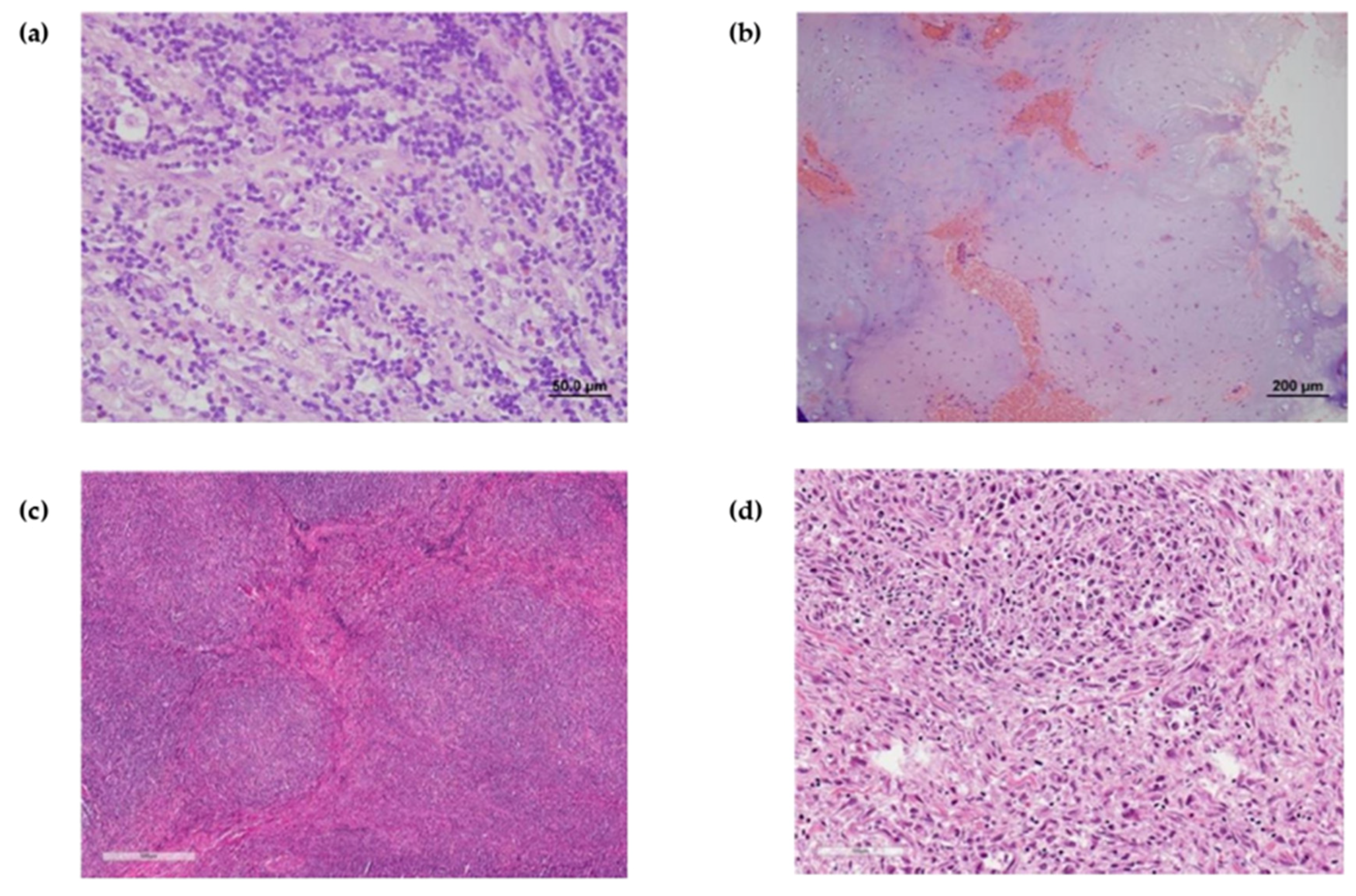
2. Case Report
3. Discussion
4. Conclusions
Author Contributions
Funding
Conflicts of Interest
References
- Mauz-Korholz, C.; Metzger, M.L.; Kelly, K.M.; Schwartz, C.L.; Castellanos, M.E.; Dieckmann, K.; Kluge, R.; Korholz, D. Pediatric Hodgkin Lymphoma. J. Clin. Oncol. Off. J. Am. Soc. Clin. Oncol. 2015, 33, 2975–2985. [Google Scholar] [CrossRef] [PubMed]
- Ng, A.K.; Mauch, P.M. Late effects of Hodgkin’s disease and its treatment. Cancer J. 2009, 15, 164–168. [Google Scholar] [CrossRef]
- Dorffel, W.; Riepenhausen, M.; Luders, H.; Bramswig, J. Late Effects Following Treatment of Hodgkin Lymphoma During Childhood and Adolescence. Results of the Hodgkin Lymphoma Late Effects Research Project. Klin. Padiatr. 2016, 228, 286–293. [Google Scholar] [CrossRef] [PubMed]
- O’Brien, M.M.; Donaldson, S.S.; Balise, R.R.; Whittemore, A.S.; Link, M.P. Second malignant neoplasms in survivors of pediatric Hodgkin’s lymphoma treated with low-dose radiation and chemotherapy. J. Clin. Oncol. Off. J. Am. Soc. Clin. Oncol. 2010, 28, 1232–1239. [Google Scholar] [CrossRef] [PubMed]
- Travis, L.B.; Hill, D.A.; Dores, G.M.; Gospodarowicz, M.; van Leeuwen, F.E.; Holowaty, E.; Glimelius, B.; Andersson, M.; Wiklund, T.; Lynch, C.F.; et al. Breast cancer following radiotherapy and chemotherapy among young women with Hodgkin disease. Jama 2003, 290, 465–475. [Google Scholar] [CrossRef]
- Travis, L.B.; Gospodarowicz, M.; Curtis, R.E.; Clarke, E.A.; Andersson, M.; Glimelius, B.; Joensuu, T.; Lynch, C.F.; van Leeuwen, F.E.; Holowaty, E.; et al. Lung cancer following chemotherapy and radiotherapy for Hodgkin’s disease. J. Natl. Cancer Inst. 2002, 94, 182–192. [Google Scholar] [CrossRef]
- Sklar, C.; Whitton, J.; Mertens, A.; Stovall, M.; Green, D.; Marina, N.; Greffe, B.; Wolden, S.; Robison, L. Abnormalities of the thyroid in survivors of Hodgkin’s disease: Data from the Childhood Cancer Survivor Study. J. Clin. Endocrinol. Metab. 2000, 85, 3227–3232. [Google Scholar] [CrossRef]
- Smith, J. Postradiation sarcoma of bone in Hodgkin disease. Skelet. Radiol. 1987, 16, 524–532. [Google Scholar] [CrossRef]
- Wolden, S.L.; Lamborn, K.R.; Cleary, S.F.; Tate, D.J.; Donaldson, S.S. Second cancers following pediatric Hodgkin’s disease. J. Clin. Oncol. Off. J. Am. Soc. Clin. Oncol. 1998, 16, 536–544. [Google Scholar] [CrossRef]
- Hodgson, D.C.; Gilbert, E.S.; Dores, G.M.; Schonfeld, S.J.; Lynch, C.F.; Storm, H.; Hall, P.; Langmark, F.; Pukkala, E.; Andersson, M.; et al. Long-term solid cancer risk among 5-year survivors of Hodgkin’s lymphoma. J. Clin. Oncol. Off. J. Am. Soc. Clin. Oncol. 2007, 25, 1489–1497. [Google Scholar] [CrossRef]
- Isik, E.G.; Kuyumcu, S.; Kebudi, R.; Sanli, Y.; Karakas, Z.; Cakir, F.B.; Unal, S.N. Prediction of outcome in pediatric Hodgkin lymphoma based on interpretation of (18)FDG-PET/CT according to DeltaSUVmax, Deauville 5-point scale and IHP criteria. Ann. Nucl. Med. 2017, 31, 660–668. [Google Scholar] [CrossRef] [PubMed]
- Gladdy, R.A.; Qin, L.X.; Moraco, N.; Edgar, M.A.; Antonescu, C.R.; Alektiar, K.M.; Brennan, M.F.; Singer, S. Do radiation-associated soft tissue sarcomas have the same prognosis as sporadic soft tissue sarcomas? J. Clin. Oncol. Off. J. Am. Soc. Clin. Oncol. 2010, 28, 2064–2069. [Google Scholar] [CrossRef] [PubMed]
- Kurch, L.; Hasenclever, D.; Kluge, R.; Georgi, T.; Tchavdarova, L.; Golombeck, M.; Sabri, O.; Eggert, A.; Brenner, W.; Sykora, K.W.; et al. Only strongly enhanced residual FDG uptake in early response PET (Deauville 5 or qPET >/= 2) is prognostic in pediatric Hodgkin lymphoma: Results of the GPOH-HD2002 trial. Pediatric Blood Cancer 2019, 66, e27539. [Google Scholar] [CrossRef] [PubMed]
- Walden, M.J.; Murphey, M.D.; Vidal, J.A. Incidental enchondromas of the knee. AJR Am. J. Roentgenol. 2008, 190, 1611–1615. [Google Scholar] [CrossRef]
- Stomp, W.; Reijnierse, M.; Kloppenburg, M.; de Mutsert, R.; Bovee, J.V.; den Heijer, M.; Bloem, J.L. Group NEOs Prevalence of cartilaginous tumours as an incidental finding on MRI of the knee. Eur. Radiol. 2015, 25, 3480–3487. [Google Scholar] [CrossRef]
- Costelloe, C.M.; Chuang, H.H.; Madewell, J.E. FDG PET/CT of primary bone tumors. AJR Am. J. Roentgenol. 2014, 202, W521–W531. [Google Scholar] [CrossRef]
- Dobert, N.; Menzel, C.; Ludwig, R.; Berner, U.; Diehl, M.; Hamscho, N.; Grunwald, F. Enchondroma: A benign osseous lesion with high F-18 FDG uptake. Clin. Nucl. Med. 2002, 27, 695–697. [Google Scholar] [CrossRef]
- Strongman, H.; Brown, A.; Smeeth, L.; Bhaskaran, K. Body mass index and Hodgkin’s lymphoma: UK population-based cohort study of 5.8 million individuals. Br. J. Cancer 2019, 120, 768–770. [Google Scholar] [CrossRef]
- Li, Q.; Chang, E.T.; Bassig, B.A.; Dai, M.; Qin, Q.; Gao, Y.; Zhang, Y.; Zheng, T. Body size and risk of Hodgkin’s lymphoma by age and gender: A population-based case-control study in Connecticut and Massachusetts. Cancer Causes Control CCC 2013, 24, 287–295. [Google Scholar] [CrossRef]
- Amankwah, E.K.; Saenz, A.M.; Hale, G.A.; Brown, P.A. Association between body mass index at diagnosis and pediatric leukemia mortality and relapse: A systematic review and meta-analysis. Leuk. Lymphoma 2016, 57, 1140–1148. [Google Scholar] [CrossRef]
- Sheng, X.; Mittelman, S.D. The role of adipose tissue and obesity in causing treatment resistance of acute lymphoblastic leukemia. Front. Pediatrics 2014, 2, 53. [Google Scholar] [CrossRef] [PubMed]
- Altaf, S.; Enders, F.; Jeavons, E.; Krailo, M.; Barkauskas, D.A.; Meyers, P.; Arndt, C. High-BMI at diagnosis is associated with inferior survival in patients with osteosarcoma: A report from the Children’s Oncology Group. Pediatric Blood Cancer 2013, 60, 2042–2046. [Google Scholar] [CrossRef] [PubMed]
- Cha, Y.J.; Koo, J.S. Roles of omental and bone marrow adipocytes in tumor biology. Adipocyte 2019, 8, 304–317. [Google Scholar] [CrossRef] [PubMed]
- Buchta, C.M.; Boi, S.K.; Miller, B.J.; Milhem, M.M.; Norian, L.A. Obesity Does Not Exacerbate the Protumorigenic Systemic Environment in Sarcoma Subjects. ImmunoHorizons 2017, 1, 20–28. [Google Scholar] [CrossRef] [PubMed]
- Moke, D.J.; Hamilton, A.S.; Chehab, L.; Deapen, D.; Freyer, D.R. Obesity and Risk for Second Malignant Neoplasms in Childhood Cancer Survivors: A Case-Control Study Utilizing the California Cancer Registry. Cancer Epidemiol. Biomark. Prev. Publ. Am. Assoc. Cancer Res. Cosponsored Am. Soc. Prev. Oncol. 2019, 28, 1612–1620. [Google Scholar] [CrossRef]
- Ansell, S.M. Hodgkin lymphoma: 2018 update on diagnosis, risk-stratification, and management. Am. J. Hematol. 2018, 93, 704–715. [Google Scholar] [CrossRef]
- Sirohi, B.; Cunningham, D.; Powles, R.; Murphy, F.; Arkenau, T.; Norman, A.; Oates, J.; Wotherspoon, A.; Horwich, A. Long-term outcome of autologous stem-cell transplantation in relapsed or refractory Hodgkin’s lymphoma. Ann. Oncol. Off. J. Eur. Soc. Med. Oncol. 2008, 19, 1312–1319. [Google Scholar] [CrossRef]
- Kasamon, Y.L.; de Claro, R.A.; Wang, Y.; Shen, Y.L.; Farrell, A.T.; Pazdur, R. FDA Approval Summary: Nivolumab for the Treatment of Relapsed or Progressive Classical Hodgkin Lymphoma. Oncologist 2017, 22, 585–591. [Google Scholar] [CrossRef]



© 2020 by the authors. Licensee MDPI, Basel, Switzerland. This article is an open access article distributed under the terms and conditions of the Creative Commons Attribution (CC BY) license (http://creativecommons.org/licenses/by/4.0/).
Share and Cite
Šalaševičius, L.; Vaitkevičienė, G.E.; Pasaulienė, R.; Kiudelienė, R.; Ivanauskaitė-Didžiokienė, E.; Vajauskas, D.; Jurkienė, N.; Rascon, J. Early Radiation-Induced Sarcoma in an Adolescent Treated for Relapsed Hodgkin Lymphoma with Nivolumab. Medicina 2020, 56, 155. https://doi.org/10.3390/medicina56040155
Šalaševičius L, Vaitkevičienė GE, Pasaulienė R, Kiudelienė R, Ivanauskaitė-Didžiokienė E, Vajauskas D, Jurkienė N, Rascon J. Early Radiation-Induced Sarcoma in an Adolescent Treated for Relapsed Hodgkin Lymphoma with Nivolumab. Medicina. 2020; 56(4):155. https://doi.org/10.3390/medicina56040155
Chicago/Turabian StyleŠalaševičius, Lukas, Goda Elizabeta Vaitkevičienė, Ramunė Pasaulienė, Rosita Kiudelienė, Ernesta Ivanauskaitė-Didžiokienė, Donatas Vajauskas, Nemira Jurkienė, and Jelena Rascon. 2020. "Early Radiation-Induced Sarcoma in an Adolescent Treated for Relapsed Hodgkin Lymphoma with Nivolumab" Medicina 56, no. 4: 155. https://doi.org/10.3390/medicina56040155
APA StyleŠalaševičius, L., Vaitkevičienė, G. E., Pasaulienė, R., Kiudelienė, R., Ivanauskaitė-Didžiokienė, E., Vajauskas, D., Jurkienė, N., & Rascon, J. (2020). Early Radiation-Induced Sarcoma in an Adolescent Treated for Relapsed Hodgkin Lymphoma with Nivolumab. Medicina, 56(4), 155. https://doi.org/10.3390/medicina56040155
