Bedside Sonographic Duplex Technique as a Monitoring Tool in Patients after Decompressive Craniectomy: A Single Centre Experience
Abstract
1. Introduction
2. Materials and Methods
2.1. CCT and SDT Imaging
2.2. Statistical Analysis
3. Results
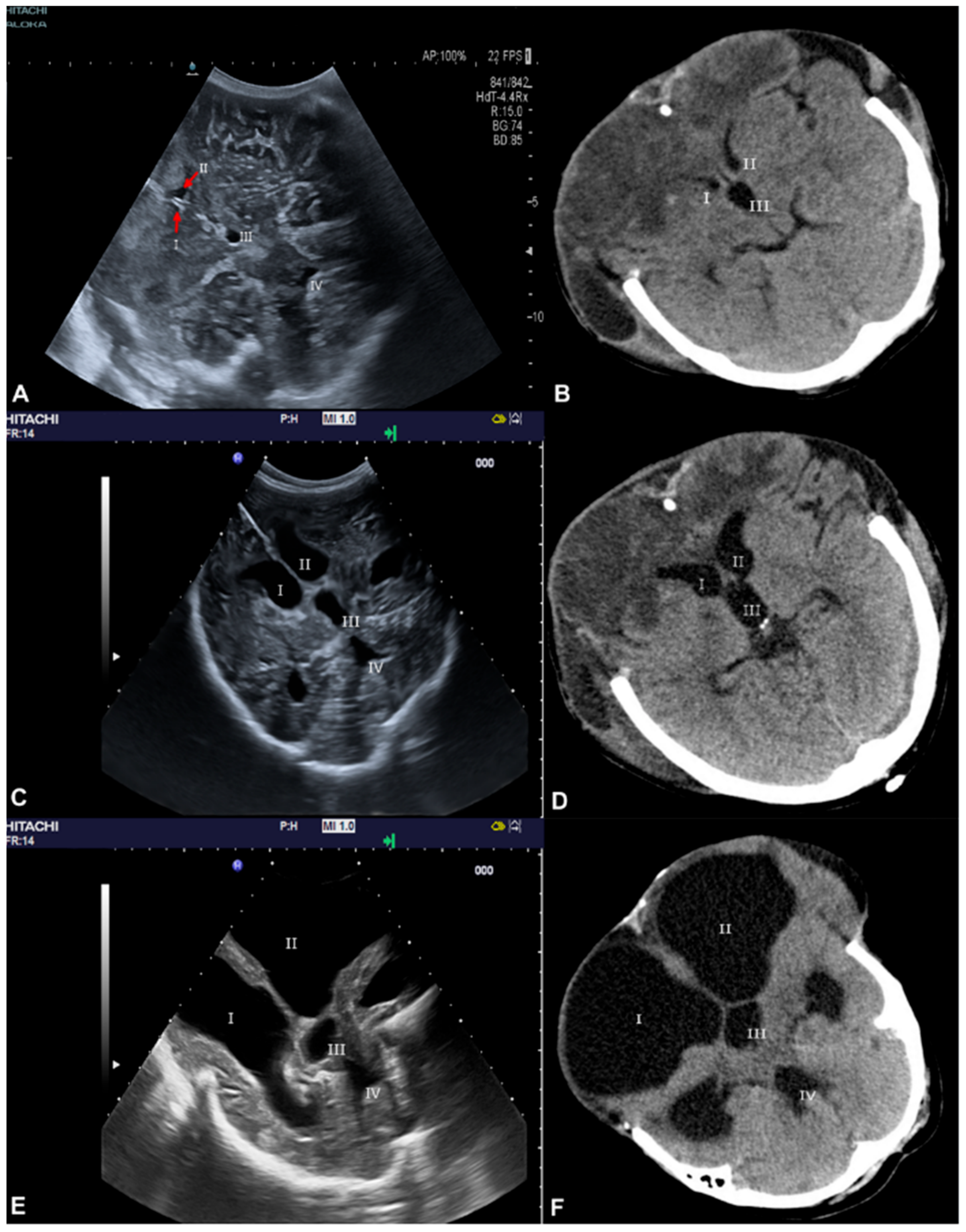
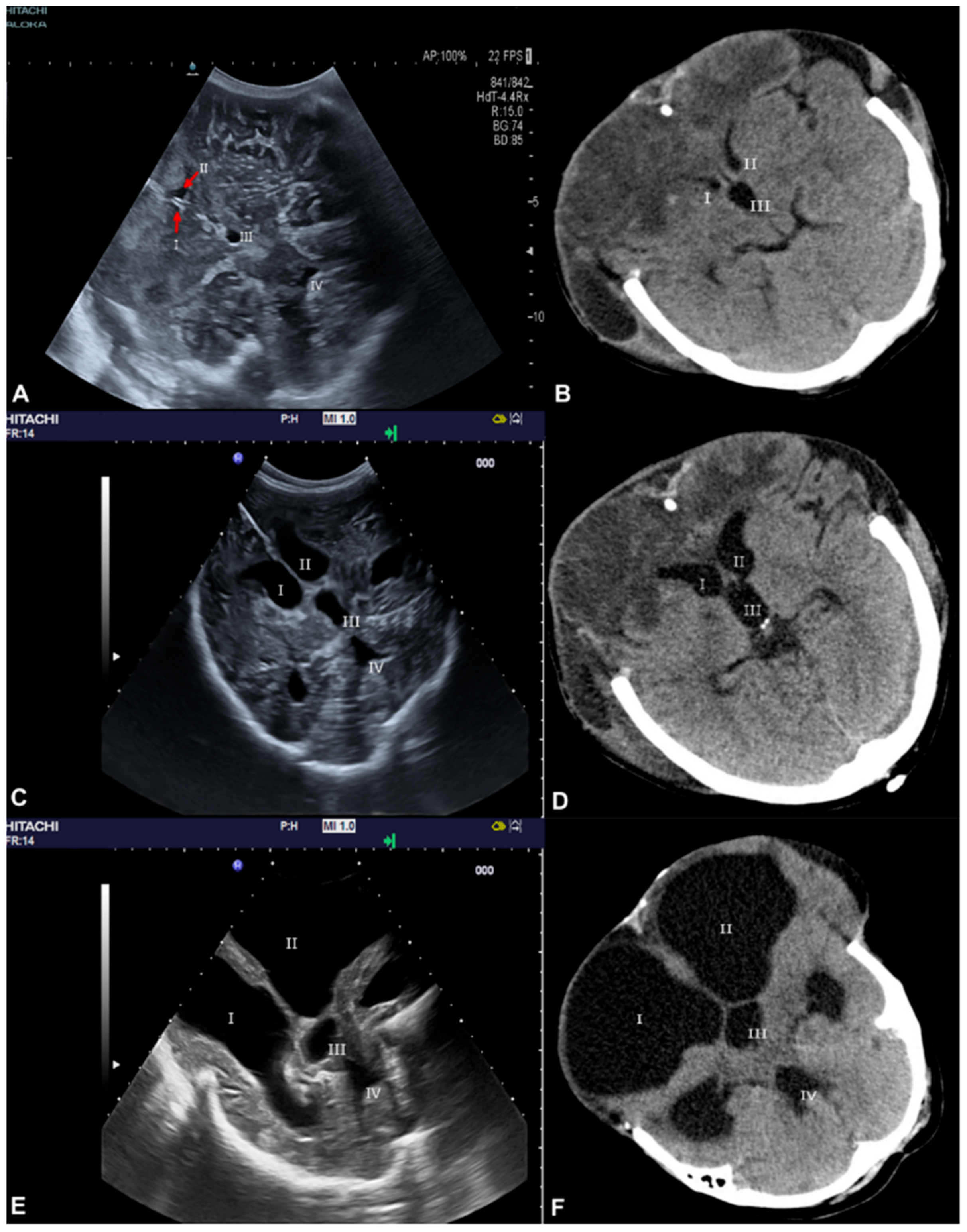
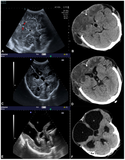
3.1. Ventricle Assessment
3.2. Cerebral Arteries
4. Discussion
5. Conclusions
Author Contributions
Funding
Conflicts of Interest
References
- Hutchinson, P.J.; Kolias, A.G.; Timofeev, I.S.; Corteen, E.A.; Czosnyka, M.; Timothy, J.; Anderson, I.; Bulters, D.O.; Belli, A.; Eynon, C.A.; et al. Trial of Decompressive Craniectomy for Traumatic Intracranial Hypertension. N. Engl. J. Med. 2016, 375, 1119–1130. [Google Scholar] [CrossRef] [PubMed]
- Bratton, S.L.; Chestnut, R.M.; Ghajar, J.; McConnell Hammond, F.F.; Harris, O.A.; Hartl, R.; Brain Trauma Foundation; American Association of Neurological Surgeons; Congress of Neurological Surgeons; Joint Section on Neurotrauma and Critical Care, AANS/CNS; et al. Guidelines for the management of severe traumatic brain injury. VI. Indications for intracranial pressure monitoring. J. Neurotrauma 2007, 24 (Suppl. 1), S37–S44. [Google Scholar] [CrossRef] [PubMed]
- Kalisch, B.J.; Kalisch, P.A.; Burns, S.M.; Kocan, M.J.; Prendergast, V. Intrahospital transport of neuro ICU patients. J. Neurosci. Nurs. 1995, 27, 69–77. [Google Scholar] [CrossRef] [PubMed]
- Kleffmann, J.; Pahl, R.; Deinsberger, W.; Ferbert, A.; Roth, C. Intracranial pressure changes during intrahospital transports of neurocritically ill patients. Neurocrit. Care 2016, 25, 440–445. [Google Scholar] [CrossRef]
- Szem, J.W.; Hydo, L.I.; Fischer, E.; Kapur, S.; Klemperer, J.; Barie, P.S. High-risk intrahospital transport of critically ill patients: Safety and outcome of the necessary „road trip“. Crit. Care Med. 1995, 23, 1660–1666. [Google Scholar] [CrossRef]
- Andrews, P.J.; Piper, I.R.; Dearden, N.M.; Miller, J.D. Secondary insults during intrahospital transport of head-injured patients. Lancet 1990, 335, 327–330. [Google Scholar] [CrossRef]
- Picetti, E.; Antonini, M.V.; Lucchetti, M.C.; Pucciarelli, S.; Valente, A.; Rossi, I.; Schiavi, P.; Servadei, F.; Caspani, M.L.; Mergoni, M. Intra-hospital transport of brain-injured patients: A prospective, observational study. Neurocrit. Care 2013, 18, 298–304. [Google Scholar] [CrossRef]
- Hutchinson, P.J.; Kolias, A.G.; Czosnyka, M.; Kirkpatrick, P.J.; Pickard, J.D.; Menon, D.K. Intracranial pressure monitoring in severe traumatic brain injury. BMJ 2013, 346, f1000. [Google Scholar] [CrossRef]
- Swanson, E.W.; Mascitelli, J.; Stiefel, M.; MacMurtrie, E.; Levine, J.; Kofke, W.A.; Yang, W.; Le Roux, P.D. Patient transport and brain oxygen in comatose patients. Neurosurgery 2010, 66, 925–931. [Google Scholar] [CrossRef]
- Caricato, A.; Mignani, V.; Bocci, M.G.; Pennisi, M.A.; Sandroni, C.; Tersali, A.; Antonaci, A.; de Waure, C.; Antonelli, M. Usefulness of transcranial echography in patients with decompressive craniectomy: A comparison with computed tomography scan. Crit. Care Med. 2012, 40, 1745–1752. [Google Scholar] [CrossRef]
- Caricato, A.; Pitoni, S.; Montini, L.; Bocci, M.G.; Annetta, P.; Antonelli, M. Echography in brain imaging in intensive care unit: State of the art. World J. Radiol. 2014, 6, 636–642. [Google Scholar] [CrossRef] [PubMed]
- Bendella, H.; Maegele, M.; Hartmann, A.; Spreer, J.; Rommel, N.; Lefering, R.; Nakamura, M.; Igressa, A. Cerebral ventricular dimensions after decompressive craniectomy: A comparison between bedside sonographic duplex technique and cranial computed tomography. Neurocrit. Care 2017, 26, 321–329. [Google Scholar] [CrossRef] [PubMed]
- Bederson, J.B.; Levy, A.L.; Ding, W.H.; Kahn, R.; DiPerna, C.A.; Jenkins, A.L., 3rd; Vallabhajosyula, P. Acute vasoconstriction after subarachnoid hemorrhage. Neurosurgery 1998, 42, 352–360. [Google Scholar] [CrossRef] [PubMed]
- Schubert, G.A.; Seiz, M.; Hegewald, A.A.; Manville, J.; Thomé, C. Hypoperfusion in the acute phase of subarachnoid hemorrhage. Acta Neurochir. Suppl. 2011, 110, 35–38. [Google Scholar] [PubMed]
- Heros, R.C.; Zervas, N.T.; Varsos, V. Cerebral vasospasm after subarachnoid hemorrhage: An update. Ann. Neurol. 1983, 14, 599–608. [Google Scholar] [CrossRef] [PubMed]
- Bulsara, K.R.; Günel, M.; Amin-Hanjani, S.M.; Chen, P.R.; Connolly, E.S.; Friedlander, R.M. Results of a national cerebrovascular neurosurgery survey on the management of cerebral vasospasm/delayed cerebral ischemia. J. Neurointerv. Surg. 2015, 7, 408–411. [Google Scholar] [CrossRef]
- Grosset, D.G.; Straiton, J.; McDonald, I.; Bullock, R. Angiographic and Doppler diagnosis of cerebral artery vasospasm following subarachnoid haemorrhage. Br. J. Neurosurg. 1993, 7, 291–298. [Google Scholar] [CrossRef]
- The British Medical Ultrasound Society. Guidelines for the Safe Use of Diagnostic Ultrasound Equipment; Ultrasound; The British Medical Ultrasound Society: London, UK, 2009. [Google Scholar]
- Seidel, G.; Kaps, M.; Gerriets, T.; Hutzelmann, A. Evaluation of the ventricular system in adults by transcranial duplex sonography. J. Neuroimaging 1995, 5, 105–108. [Google Scholar] [CrossRef]
- Kobayashi, S.; Kitamura, T.; Isayama, K.; Yokota, H.; Nakazawa, S. [Clinical value of bedside ultrasonography in craniectomized patients]. Neurol. Med. Chir. (Tokyo) 1989, 29, 740–745. [Google Scholar] [CrossRef][Green Version]
- Becker, G.; Lindner, A.; Bogdahn, U. Imaging of the vertebrobasilar system by transcranial color-coded real-time sonography. J. Ultrasound Med. 1993, 12, 395–401. [Google Scholar] [CrossRef]
- Becker, G.; Winkler, J.; Hofmann, E.; Bogdahn, U. Differentiation between ischemic and hemorrhagic stroke by transcranial color-coded real-time sonography. J. Neuroimaging 1993, 3, 41–47. [Google Scholar] [CrossRef] [PubMed]
- Kaps, M. Extra- und Intrakranielle Farbduplexsonographie; Springer: Berlin/Heidelberg, Germany, 1994. [Google Scholar]
- Seidel, G.; Gerriets, T.; Kaps, M.; Missler, U. Dislocation of the third ventricle due to space-occupying stroke evaluated by transcranial duplex sonography. J. Neuroimaging 1996, 6, 227–230. [Google Scholar] [CrossRef] [PubMed]
- Macdonald, R.L.; Pluta, R.M.; Zhang, J.H. Cerebral vasospasm after subarachnoid hemorrhage: The emerging revolution. Nat. Clin. Pract. Neurol. 2007, 3, 256–263. [Google Scholar] [CrossRef] [PubMed]
- Ohkuma, H.; Manabe, H.; Tanaka, M.; Suzuki, S. Impact of cerebral vasospasm after aneurysmal subarachnoid hemorrhage. Stroke 2000, 31, 1621–1627. [Google Scholar] [CrossRef]
- Macdonald, R.L. Delayed neurological deterioration after subarachnoid haemorrhage. Nat. Rev. Neurol. 2014, 10, 44–58. [Google Scholar] [CrossRef] [PubMed]
- Saqqur, M.; Zygun, D.; Demchuk, A. Role of transcranial Doppler in neurocritical care. Crit. Care Med. 2007, 35 (Suppl. 5), S216–S223. [Google Scholar] [CrossRef]
- Moppett, I.K.; Mahajan, R.P. Transcranial Doppler ultrasonography in anaesthesia and intensive care. Br. J. Anaesth. 2004, 93, 710–724. [Google Scholar] [CrossRef]




| Characteristics | |
|---|---|
| N | 20 |
| Age (years) | 56.9 ± 17.6 |
| Gender (m:f) | 11:9 |
| Initial cerebral pathology (n; %) | |
| Subarachnoid hemorrhage (SAH) | 4 (20%) |
| Intracranial bleeding | 3 (15%) |
| Traumatic brain injury | 13 (65%) |
| Type of DC (n; %) | |
| Left hemisphere | 6 (30%) |
| Right hemisphere | 10 (50%) |
| Both hemispheres | 4 (20%) |
| Timing of DC | |
| <24 hours | 18 |
| 24 hours–72 hours | 2 |
| Measured Structures | Measurement | Cranial Computed Tomography (Mean ± SD in mm) | Sonographic Duplex Technique (Mean ± SD in mm) | Pearson’s Correlation Coefficient r | Pearson’s Correlation Coefficient r for All Three Measurements | Overall Difference with 95% CI |
|---|---|---|---|---|---|---|
| Right lateral ventricle | 1 | 8.1 ± 5.9 | 7.9 ± 5.7 | 0.993* | ||
| 2 | 10.3 ± 5.1 | 9.9 ± 5.1 | 0.995* | 0.997* | +0.3 | |
| 3 | 14.3 ± 13.3 | 13.9 ± 13.2 | 0.998* | [0.1–0.5] | ||
| Left lateral ventricle | 1 | 9.3 ± 5.8 | 9.1 ± 5.9 | 0.990* | ||
| 2 | 11.7 ± 5.9 | 11.3 ± 5.7 | 0.993* | 0.997* | +0.4 | |
| 3 | 15.5 ± 12.7 | 15.0 ± 12.6 | 0.999* | [0.2–0.6] | ||
| Third ventricle | 1 | 4.5 ± 3.2 | 4.3 ± 3.2 | 0.983* | ||
| 2 | 5.7 ± 3.5 | 5.3 ± 3.4 | 0.995* | 0.991* | +0.3 | |
| 3 | 7.4 ± 5.0 | 7.3 ± 4.9 | 0.992* | [0.1–0.4] | ||
| Fourth ventricle | 1 | 10.7 ± 2.6 | 10.3 ± 2.9 | 0.967* | ||
| 2 | 11.3 ± 2.6 | 10.7 ± 2.6 | 0.981* | 0.977* | +0.5 | |
| 3 | 12.3 ± 2.8 | 11.8 ± 2.8 | 0.986* | [0.3–0.6] |
© 2020 by the authors. Licensee MDPI, Basel, Switzerland. This article is an open access article distributed under the terms and conditions of the Creative Commons Attribution (CC BY) license (http://creativecommons.org/licenses/by/4.0/).
Share and Cite
Bendella, H.; Spreer, J.; Hartmann, A.; Igressa, A.; Maegele, M.; Lefering, R.; Nakamura, M. Bedside Sonographic Duplex Technique as a Monitoring Tool in Patients after Decompressive Craniectomy: A Single Centre Experience. Medicina 2020, 56, 85. https://doi.org/10.3390/medicina56020085
Bendella H, Spreer J, Hartmann A, Igressa A, Maegele M, Lefering R, Nakamura M. Bedside Sonographic Duplex Technique as a Monitoring Tool in Patients after Decompressive Craniectomy: A Single Centre Experience. Medicina. 2020; 56(2):85. https://doi.org/10.3390/medicina56020085
Chicago/Turabian StyleBendella, Habib, Joachim Spreer, Alexander Hartmann, Alhadi Igressa, Marc Maegele, Rolf Lefering, and Makoto Nakamura. 2020. "Bedside Sonographic Duplex Technique as a Monitoring Tool in Patients after Decompressive Craniectomy: A Single Centre Experience" Medicina 56, no. 2: 85. https://doi.org/10.3390/medicina56020085
APA StyleBendella, H., Spreer, J., Hartmann, A., Igressa, A., Maegele, M., Lefering, R., & Nakamura, M. (2020). Bedside Sonographic Duplex Technique as a Monitoring Tool in Patients after Decompressive Craniectomy: A Single Centre Experience. Medicina, 56(2), 85. https://doi.org/10.3390/medicina56020085

