Anthropometric Factors on Safe Distances between Popliteal Vessels to the Femur for Cerclage Wiring of the Distal Femoral Fracture: A Magnetic Resonance Imaging Study
Abstract
1. Introduction
2. Materials and Methods
2.1. Patients
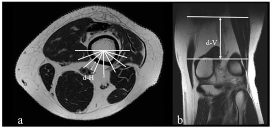
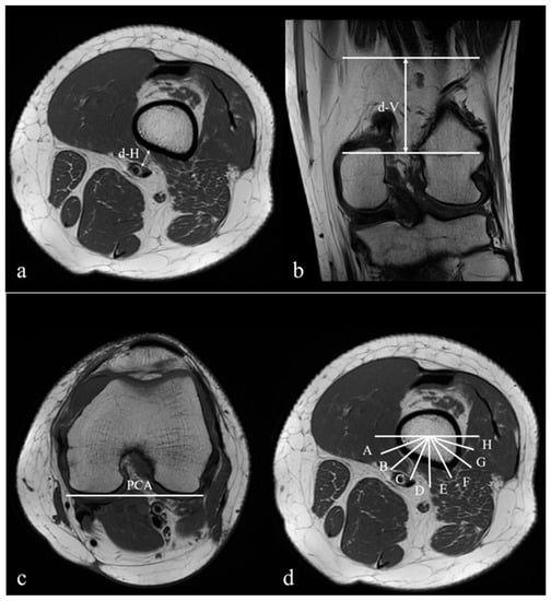
2.2. Knee MRI
2.3. Statistical Analysis
3. Results
4. Discussion
4.1. Limitations
4.2. Strengths
5. Conclusions
Author Contributions
Funding
Acknowledgments
Conflicts of Interest
References
- Ehlinger, M.; Niglis, L.; Favreau, H.; Kuntz, S.; Bierry, G.; Adam, P.; Bonnomet, F. Vascular complication after percutaneous femoral cerclage wire. Orthop. Traumatol. Surg. Res. 2018, 104, 377–381. [Google Scholar] [CrossRef]
- Ehlinger, M.; Czekaj, J.; Adam, P.; Brinkert, D.; Ducrot, G.; Bonnomet, F. Minimally invasive fixation of type B and C interprosthetic femoral fractures. Orthop. Traumatol. Surg. Res. 2013, 99, 563–569. [Google Scholar] [CrossRef] [PubMed]
- Apivatthakakul, T.; Phornphutkul, C.; Bunmaprasert, T.; Sananpanich, K.; Fernandez Dell’Oca, A. Percutaneous cerclage wiring and minimally invasive plate osteosynthesis (MIPO): A percutaneous reduction technique in the treatment of Vancouver type B1 periprosthetic femoral shaft fractures. Arch. Orthop. Trauma. Surg. 2012, 132, 813–822. [Google Scholar] [CrossRef] [PubMed]
- Lee, S.H.; Choi, Y.C.; Kweon, S.H. Monofilament cerclage wiring fixation with locking plates for distal femoral fracture: Is it appropriate? Indian J. Orthop. 2019, 53, 689–694. [Google Scholar] [PubMed]
- Angelini, A.; Battiato, C. Combination of low-contact cerclage wiring and osteosynthesis in the treatment of femoral fractures. Eur. J. Orthop. Surg. Traumatol. 2016, 26, 397–406. [Google Scholar] [CrossRef] [PubMed]
- Ebraheim, N.A.; Sochacki, K.R.; Liu, X.; Hirschfeld, A.G.; Liu, J. Locking plate fixation of periprosthetic femur fractures with and without cerclage wires. Orthop. Surg. 2013, 5, 183–187. [Google Scholar] [CrossRef]
- Ehlinger, M.; Scheibling, B.; Rahme, M.; Brinkert, D.; Schenck, B.; Di Marco, A.; Adam, P.; Bonnomet, F. Minimally invasive surgery with locking plate for periprosthetic femoral fractures: Technical note. Int. Orthop. 2015, 39, 1921–1926. [Google Scholar] [CrossRef]
- Won, Y.; Yang, K.-H.; Kim, K.-K.; Weaver, M.J.; Allen, E.M. Amputated limb by cerclage wire of femoral diaphyseal fracture: A case report. Arch. Orthop. Trauma Surg. 2016, 136, 1691–1694. [Google Scholar] [CrossRef]
- Maslow, J.I.; Collinge, C.A. Course of the femoral artery in the mid- and distal thigh and implications for medial approaches to the distal femur: A CT angiography study. J. Am. Acad. Orthop. Surg. 2019, 27, e659–e663. [Google Scholar] [CrossRef]
- Kale, A.; Gayretli, O.; Ozturk, A.; Gurses, I.A.; Dikici, F.; Usta, A.; Sahinoğlu, K. Classification and localization of the adductor hiatus: A cadaver study. Balk. Med. J. 2012, 29, 395–400. [Google Scholar] [CrossRef]
- Jung, K.J.; Kimm, H.; Yun, J.E.; Jee, S.H. Thigh circumference and diabetes: Obesity as a potential effect modifier. J. Epidemiol. 2013, 23, 329–336. [Google Scholar] [CrossRef] [PubMed]
- Narulla, R.S.; Kanawati, A.J. Safe zone for the superficial femoral artery demonstrated on computed tomography angiography. Injury 2016, 47, 748–751. [Google Scholar] [CrossRef] [PubMed]
- Kim, J.J.; Oh, H.K.; Bae, J.-Y.; Kim, J.W. Radiological assessment of the safe zone for medial minimally invasive plate osteosynthesis in the distal femur with computed tomography angiography. Injury 2014, 45, 1964–1969. [Google Scholar] [CrossRef]
- Cohen, J. Statistical Power Analysis for the Behavioral Sciences; Academic Press: Cambridge, MA, USA, 2013. [Google Scholar]
- Court-Brown, C.M.; Caesar, B. Epidemiology of adult fractures: A review. Injury 2006, 37, 691–697. [Google Scholar] [CrossRef]
- Martinet, O.; Cordey, J.; Harder, Y.; Maier, A.; Bühler, M.; Barraud, G.E. The epidemiology of fractures of the distal femur. Injury 2000, 31, 62–94. [Google Scholar] [CrossRef]
- Gwathmey, F.W., Jr.; Jones-Quaidoo, S.M.; Kahler, D.; Hurwitz, S.; Cui, Q. Distal femoral fractures: Current concepts. J. Am. Acad. Orthop. Surg. 2010, 18, 597–607. [Google Scholar] [CrossRef] [PubMed]
- Mehta, V.; Finn, H.A. Femoral artery and vein injury after cerclage wiring of the femur: A case report. J. Arthroplast. 2005, 20, 811–814. [Google Scholar] [CrossRef]
- Devendra, A.; Avinash, M.; Chidambaram, D.; Dheenadhayalan, J.; Rajasekaran, S. Vascular injuries due to cerclage passer: Relevant anatomy and note of caution. J. Orthop. Surg. 2018, 26, 2309499018762616. [Google Scholar] [CrossRef]
- Patelis, N.; Koutsoumpelis, A.; Papoutsis, K.; Kouvelos, G.; Vergadis, C.; Mourikis, A.; Georgopoulos, S.E. Iatrogenic injury of profunda femoris artery branches after intertrochanteric hip screw fixation for intertrochanteric femoral fracture: A case report and literature review. Case Rep. Vasc. Med. 2014, 2014, 694235. [Google Scholar] [CrossRef]
- Asadollahi, S.; Holcdorf, D.; Stella, D.L.; Bucknill, A. Identification of the lateral femoral safe zone for drilling during LISS plate fixation of distal femur fractures. Injury 2020, 51, 452–456. [Google Scholar] [CrossRef]
- Apivatthakakul, T.; Siripipattanamongkol, P.; Oh, C.-W.; Sananpanich, K.; Phornphutkul, C. Safe zones and a technical guide for cerclage wiring of the femur: A computed topographic angiogram (CTA) study. Arch. Orthop. Trauma Surg. 2018, 138, 43–50. [Google Scholar] [CrossRef] [PubMed]
- Woodworth, G.E.; Trujillo, J.; Foss, E.; Semenza, M. The effect of obesity on the anatomical relationship of the popliteal artery and tibial nerve in the proximal and distal popliteal fossa: Relevance to popliteal sciatic nerve block and a traceback technique using the popliteal artery. J. Clin. Anesth. 2016, 34, 540–546. [Google Scholar] [CrossRef] [PubMed]
- Chuckpaiwong, B.; Charles, H.C.; Kraus, V.B.; Guilak, F.; Nunley, J.A. Age-associated increases in the size of the infrapatellar fat pad in knee osteoarthritis as measured by 3T MRI. J. Orthop. Res. 2010, 28, 1149–1154. [Google Scholar] [CrossRef] [PubMed]
- Song, Y.; Lee, S.; Paik, D.J.; Bae, J. “Fat Brook” in the popliteal fossa: Cadaveric and clinical investigation with magnetic resonance imaging. J. Comput. Assist. Tomogr. 2017, 41, 494–498. [Google Scholar] [CrossRef]
- Kwon, J.Y.; Johnson, C.E.; Appleton, P.; Rodriguez, E.K. Lateral femoral traction pin entry: Risk to the femoral artery and other medial neurovascular structures. J. Orthop. Surg. Res. 2010, 5, 4. [Google Scholar] [CrossRef]
- Olson, S.A.; Holt, B.T. Anatomy of the medial distal femur: A study of the popliteal artery. J. Orthop. Trauma 1995, 9, 63–65. [Google Scholar] [CrossRef]
- McElvany, M.; Benninger, B.; Smith, S.; Mirza, A.; Marshall, L.; Friess, D. Are distal femoral traction pins intra-articular? A cadaveric study. J. Orthop. Trauma 2013, 27, e250–e253. [Google Scholar] [CrossRef]
- Jiamton, C.; Apivatthakakul, T. The safety and feasibility of minimally invasive plate osteosynthesis (MIPO) on the medial side of the femur: A cadaveric injection study. Injury 2015, 46, 2170–2176. [Google Scholar] [CrossRef]
- MacTaggart, J.N.; Phillips, N.Y.; Lomneth, C.S.; Pipinos, I.I.; Bowen, R.; Baxter, B.T.; Johanning, J.; Longo, G.M.; Desyatova, A.S.; Moulton, M.J.; et al. Three-dimensional bending, torsion and axial compression of the femoropopliteal artery during limb flexion. J. Biomech. 2014, 47, 2249–2256. [Google Scholar] [CrossRef]
- Kelly, B.A.; Hambright, D.S.; Rodriguez, E.K. Risk of injury to neurovascular structures during open cerclage wiring of the femur: A cadaveric study. J. Surg. Orthop. Adv. 2017, 26, 1–6. [Google Scholar]
- Zhang, B.-F.; Cong, Y.-X.; Wang, P.-F.; Huang, H.; Wang, H.; Zhuang, Y. Deep femoral artery branch pseudoaneurysm formation and injury after hip fracture surgery: A case series and a literature review. Medicine 2018, 97, e9872. [Google Scholar] [CrossRef] [PubMed]
- Mahmoud, S.S.S.; Ahmed, B.; Hamid, K.; Milburn, S.; Baker, P. Identification of the medial femoral safe zone for drilling during dynamic hip screw side plate fixation: A CT angiogram tracing of the profunda femoris artery. Injury 2019, 50, 720–726. [Google Scholar] [CrossRef] [PubMed]
- Huang, Y.K.; Tseng, Y.H.; Lin, C.H.; Tsai, Y.H.; Hsu, Y.C.; Wang, S.C.; Chen, C.W. Evaluation of venous pathology of the lower extremities with triggered angiography non-contrast-enhanced magnetic resonance imaging. BMC Med. Imaging 2019, 19, 96. [Google Scholar] [CrossRef] [PubMed]
- Park, J.; Lee, S.S.; Kim, T.W. Quantitative analysis of the perimeniscal position of the inferior lateral genicular artery (ILGA): Magnetic resonance imaging study. Surg. Radiol. Anat. 2018, 40, 823–828. [Google Scholar] [CrossRef] [PubMed]
- Yoo, J.H.; Chang, C.B. The location of the popliteal artery in extension and 90 degree knee flexion measured on MRI. Knee 2009, 16, 143–148. [Google Scholar] [CrossRef] [PubMed]
- Zhang, Z.; Meng, Q.; Li, Z.; Pan, B.; Regatte, R.R.; Schweitzer, M.E. Simultaneous visualization of nerves and vessels of the lower extremities using magnetization-prepared susceptibility weighted magnetic resonance imaging at 3.0 T. Neurosurgery 2012, 70, 1–7. [Google Scholar] [CrossRef]




| Men (n = 110) | Women (n = 96) | p Value | |
|---|---|---|---|
| Age (years) | 44.98 ± 15.72 | 44.84 ± 17.46 | 0.952 |
| BH (cm) | 172.25 ± 6.90 | 157.74 ± 8.44 | <0.001 |
| BW (kg) | 77.47 ± 16.50 | 60.58 ± 11.71 | <0.001 |
| BMI (kg/m2) | 25.99 ± 4.59 | 24.33 ± 4.24 | 0.008 |
| TC (mm) | 489.58 ± 55.18 | 467.57 ± 44.36 | 0.002 |
| FL (mm) | 432.16 ± 25.97 | 392.86 ± 28.31 | <0.001 |
| FW (mm) | 88.61 ± 5.81 | 78.96 ± 6.25 | <0.001 |
| d-H (mm) | 7.92 ± 3.42 | 6.76 ± 2.86 | 0.010 |
| d-V (mm) | 61.79 ± 9.39 | 51.54 ± 10.49 | <0.001 |
| Distance | B Estimate | SE | p Value | R2 |
|---|---|---|---|---|
| d-H | 0.788 | |||
| Intercept | −22.378 | 8.662 | ||
| Sex | −0.015 | 0.295 | 0.960 | |
| Age (years) | 0.000 | 0.007 | 0.986 | |
| BH (cm) | 0.024 | 0.054 | 0.655 | |
| BW (kg) | −0.025 | 0.058 | 0.673 | |
| BMI (kg/m2) | 0.061 | 0.163 | 0.711 | |
| TC (mm) | 0.056 | 0.003 | <0.001 | |
| FL (mm) | −0.003 | 0.006 | 0.676 | |
| FW (mm) | 0.027 | 0.018 | 0.126 | |
| d-V | 0.667 | |||
| Intercept | −90.768 | 37.717 | ||
| Sex | −2.513 | 1.286 | 0.052 | |
| Age (years) | 0.039 | 0.029 | 0.181 | |
| BH (cm) | 0.395 | 0.234 | 0.094 | |
| BW (kg) | −0.094 | 0.253 | 0.712 | |
| BMI (kg/m2) | 0.557 | 0.712 | 0.435 | |
| TC (mm) | −0.026 | 0.013 | 0.068 | |
| FL (mm) | 0.210 | 0.028 | <0.001 | |
| FW (mm) | 0.147 | 0.077 | 0.057 |
| Thigh Circumference (mm) | p Value | |||||
|---|---|---|---|---|---|---|
| ≤399 (n = 8) | 400–449 (n = 55) | 450–499 (n = 79) | 500–549 (n = 48) | ≥550 (n = 16) | ||
| d-H (mm) | 2.93 ± 1.01 | 4.37 ± 1.31 | 6.95 ± 1.66 | 10.35 ± 1.55 | 13.10 ± 2.24 | <0.001 |
| Femoral Length (mm) | p Value | |||||
|---|---|---|---|---|---|---|
| ≤369 (n = 26) | 370–399 (n = 37) | 400–429 (n = 70) | 430–459 (n = 55) | ≥460 (n = 18) | ||
| d-V (mm) | 38.55 ± 6.40 | 49.76 ± 5.76 | 58.97 ± 57.51 | 64.65 ± 8.15 | 67.62 ± 6.63 | <0.001 |
| Age Stratification (Years) | p Value | ||||
|---|---|---|---|---|---|
| 20–34 (n = 66) | 35–49 (n = 56) | 50–64 (n = 56) | 65–80 (n = 28) | ||
| d-H (mm) | 7.70 ± 3.11 | 7.70 ± 3.57 | 6.97 ± 3.03 | 6.74 ± 3.01 | 0.360 |
| BMI Stratification | p Value | ||||
|---|---|---|---|---|---|
| <18.5 (n = 9) | 18.5–24.9 (n = 94) | 25.0–29.9 (n = 76) | ≥30 (n = 27) | ||
| d-H (mm) | 6.24 ± 3.26 | 7.14 ± 3.51 | 7.06 ± 3.68 | 7.37 ± 3.12 | 0.125 |
| Study | Method | Numbers | Sex (M/F) | Age (Range) | Country | Finding |
|---|---|---|---|---|---|---|
| Olson et al. [27] | Cadaver | 24 | 13/11 | 80 (60–98) | USA | The danger zone of the femoral vessels was 80–135 mm (mean: 100 mm) proximal to the AT. The distances from the femoral vessels to the femoral cortex were NA. |
| Maslow et al. [9] | CTA | 30 | 8/7 | 50 (25–80) | USA | The danger zone of the SFA was 142.6 ± 40.6 mm proximal to the AT. At that level, the distances from the SFA to the medial femoral cortex were 30.7 ± 8.7 mm. |
| Narulla et al. [12] | CTA | 41 | 16/6 | 60.5 (51–89) | Australia | The danger zone of the SFA was 172.5 ± 40.9 mm proximal to the AT. At that level, the distances from the SFA to the femoral cortex were 23.0 mm to 26.7 mm. |
| Kim et al. [13] | CTA | 30 | 18/12 | 52.4 (24–73) | Korea | The femur was divided into six levels from the LT to the AT (1–6). The distances from the FA to the femoral cortex were 7.5–18.3 mm (mean: 12.2 mm) at level 6. |
| Jiamton et al. [29] | CTA of cadaver | 20 | NA | NA | Thailand | The femur was divided from the GT to the knee joint line into seven levels (1–7). The distances from the SFA to the medial femoral cortex were 8.3–32.8 mm (mean: 18.2 mm) at level 6. |
| Apivatthakakul et al. [22] | CTA | 80 | 27/13 | 51.6 (21–70) | Thailand | The femur was divided from the GT to the knee joint line into seven levels (1–7). The distances from the SFA to the femoral cortex were 13.63 ± 3.59 mm and 10.08 ± 3.09 mm at levels 6 and 7, respectively. |
| Chang et al. (current study) | MRI | 206 | 110/96 | 47.55 (20–80) | Taiwan | The danger zone of the popliteal vessels was 57.01 ± 11.14 mm proximal to the AT. At the level, the distance from the popliteal vessels to the medial femoral cortex was 7.38 ± 3.22 mm. |
Publisher’s Note: MDPI stays neutral with regard to jurisdictional claims in published maps and institutional affiliations. |
© 2020 by the authors. Licensee MDPI, Basel, Switzerland. This article is an open access article distributed under the terms and conditions of the Creative Commons Attribution (CC BY) license (http://creativecommons.org/licenses/by/4.0/).
Share and Cite
Chang, H.-W.; Lin, C.-Y.; Chen, H.-Y.; Chen, Y.-W.; Chen, H.-T.; Lin, I.-H.; Hsu, C.-J.; Lin, T.-L. Anthropometric Factors on Safe Distances between Popliteal Vessels to the Femur for Cerclage Wiring of the Distal Femoral Fracture: A Magnetic Resonance Imaging Study. Medicina 2020, 56, 655. https://doi.org/10.3390/medicina56120655
Chang H-W, Lin C-Y, Chen H-Y, Chen Y-W, Chen H-T, Lin I-H, Hsu C-J, Lin T-L. Anthropometric Factors on Safe Distances between Popliteal Vessels to the Femur for Cerclage Wiring of the Distal Femoral Fracture: A Magnetic Resonance Imaging Study. Medicina. 2020; 56(12):655. https://doi.org/10.3390/medicina56120655
Chicago/Turabian StyleChang, Hao-Wei, Chia-Yu Lin, Hui-Yi Chen, Yi-Wen Chen, Hsien-Te Chen, I-Hao Lin, Chin-Jung Hsu, and Tsung-Li Lin. 2020. "Anthropometric Factors on Safe Distances between Popliteal Vessels to the Femur for Cerclage Wiring of the Distal Femoral Fracture: A Magnetic Resonance Imaging Study" Medicina 56, no. 12: 655. https://doi.org/10.3390/medicina56120655
APA StyleChang, H.-W., Lin, C.-Y., Chen, H.-Y., Chen, Y.-W., Chen, H.-T., Lin, I.-H., Hsu, C.-J., & Lin, T.-L. (2020). Anthropometric Factors on Safe Distances between Popliteal Vessels to the Femur for Cerclage Wiring of the Distal Femoral Fracture: A Magnetic Resonance Imaging Study. Medicina, 56(12), 655. https://doi.org/10.3390/medicina56120655

