Veno-Arterial-Venous Extracorporeal Membrane Oxygenation in a Critically Ill Patient with Coronavirus Disease 2019
Abstract
1. Introduction
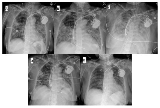
2. Case Reports
3. Discussion
4. Conclusions
Author Contributions
Funding
Acknowledgments
Conflicts of Interest
References
- Chen, N.; Zhou, M.; Dong, X.; Jieming, Q.; Gong, F.; Han, Y.; Qiu, Y.; Wang, J.; Liu, Y.; Wei, Y.; et al. Epidemiological and clinical characteristics of 99 cases of 2019 novel coronavirus pneumonia in Wuhan, China: A descriptive study. Lancet 2020, 395, 507–513. [Google Scholar] [CrossRef]
- Huang, C.; Wang, Y.; Li, X.; Ren, L.; Zhao, J.; Hu, Y.; Zhang, L.; Fan, G.; Xu, J.; Gu, X.; et al. Clinical features of patients infected with 2019 novel coronavirus in Wuhan, China. Lancet 2020, 395, 497–506. [Google Scholar] [CrossRef]
- Ruan, Q.; Yang, K.; Wang, W.; Jiang, L.; Song, J. Clinical predictors of mortality due to COVID-19 based on an analysis of data of 150 patients from Wuhan, China. Intensive Care Med. 2020, 46, 846–848. [Google Scholar] [CrossRef] [PubMed]
- WHO. Clinical Management of Severe Acute Respiratory Infection When Novel Coronavirus (2019-nCoV) Infection is Suspected: Interim Guidance. 2020. Available online: https://apps.who.int/iris/bitstream/handle/10665/330854/WHO-nCoV-Clinical-2020.2 eng.pdf?sequence=1&isAllowed=yWHO/nCoV/Clinical/2020.2 (accessed on 11 February 2020).
- ELSO Guidelines for Cardiopulmonary Extracorporeal Life Support. Extracorporeal Life Support Organization, Version 1.4, August 2017. Ann Arbor, MI, USA. Available online: https://www.elso.org/Resources/Guidelines.aspx (accessed on 4 August 2017).
- Bartlett, R.H.; Ogino, M.T.; Brodie, D.; McMullan, D.M.; Lorusso, R.; MacLaren, G.; Stead, C.M.; Rycus, P.; Fraser, J.F.; Belohlavek, J.; et al. Initial ELSO guidance document: ECMO for COVID-19 patients with severe cardiopulmonary failure. ASAIO J. 2020, 66, 472–474. [Google Scholar] [CrossRef] [PubMed]
- Choi, J.H.; Kim, S.W.; Kim, Y.U.; Kim, S.-Y.; Kim, K.-S.; Joo, S.-J.; Lee, J.S. Application of veno-arterial-venous extracorporeal membrane oxygenation on differential hypoxia. Multidiscip. Respir. Med. 2014, 9, 55. [Google Scholar] [CrossRef] [PubMed]
- Quintel, M.; Bartlett, R.H.; Grocott, M.P.W.; Combes, A.; Ranieri, M.V.; Baiocchi, M.; Nava, S.; Brodie, D.; Camporota, L.; Vasques, F.; et al. Extracorporeal membrane oxygenation for respiratory failure. Anesthesiology 2020, 132, 1257–1276. [Google Scholar] [CrossRef] [PubMed]


| Clinical Parameters | Day 1 | Day 3 | Day 5 | Day 10 |
|---|---|---|---|---|
| PaO2/FiO2 on ventilator | 78 | 375 | 230 | 200 |
| Peak Inspiratory Pressure (cmH2O) | 33 | 22 | 21 | 25 |
| Cardiac Troponin I (ng/L) | 77 | 50 | 21 | 10 |
| Lactate (mmol/L) | 3.4 | 2.1 | 1.5 | 0.8 |
| Left ventricular ejection fraction (%) | 45 | - | 48 | 58 |
© 2020 by the authors. Licensee MDPI, Basel, Switzerland. This article is an open access article distributed under the terms and conditions of the Creative Commons Attribution (CC BY) license (http://creativecommons.org/licenses/by/4.0/).
Share and Cite
Byun, J.H.; Kang, D.H.; Kim, J.W.; Kim, S.H.; Moon, S.H.; Yang, J.H.; Jung, J.J.; Cho, O.-H.; Hong, S.I.; Ryu, B.-H.; et al. Veno-Arterial-Venous Extracorporeal Membrane Oxygenation in a Critically Ill Patient with Coronavirus Disease 2019. Medicina 2020, 56, 510. https://doi.org/10.3390/medicina56100510
Byun JH, Kang DH, Kim JW, Kim SH, Moon SH, Yang JH, Jung JJ, Cho O-H, Hong SI, Ryu B-H, et al. Veno-Arterial-Venous Extracorporeal Membrane Oxygenation in a Critically Ill Patient with Coronavirus Disease 2019. Medicina. 2020; 56(10):510. https://doi.org/10.3390/medicina56100510
Chicago/Turabian StyleByun, Joung Hun, Dong Hoon Kang, Jong Woo Kim, Sung Hwan Kim, Seong Ho Moon, Jun Ho Yang, Jae Jun Jung, Oh-Hyun Cho, Sun In Hong, Byung-Han Ryu, and et al. 2020. "Veno-Arterial-Venous Extracorporeal Membrane Oxygenation in a Critically Ill Patient with Coronavirus Disease 2019" Medicina 56, no. 10: 510. https://doi.org/10.3390/medicina56100510
APA StyleByun, J. H., Kang, D. H., Kim, J. W., Kim, S. H., Moon, S. H., Yang, J. H., Jung, J. J., Cho, O.-H., Hong, S. I., Ryu, B.-H., Park, H. O., Choi, J. Y., Jang, I. S., Kim, J. D., & Lee, C. E. (2020). Veno-Arterial-Venous Extracorporeal Membrane Oxygenation in a Critically Ill Patient with Coronavirus Disease 2019. Medicina, 56(10), 510. https://doi.org/10.3390/medicina56100510
