Impact of SARS-CoV-2 Variant NSP6 on Pathogenicity: Genetic Analysis and Cell Biology
Abstract
1. Introduction
2. Materials and Methods
2.1. Comparative Analysis of Predominant Variant Sequences and Compilation of nsp6 Gene Mutant Sites
2.2. Phylogenetic Tree Construction
2.3. Bioinformatics Analysis
2.4. Plasmid Construction
2.5. Cell Culture
2.6. Cell Transfection
2.7. Transcriptome Sequencing Analysis
2.8. Cell Stimulation and Inhibition Assays
2.9. Western Blotting
2.10. Quantitative Real-Time PCR, qRT-PCR
2.11. Statistical Analysis
3. Results
3.1. Assessment of Predominant SARS-CoV-2 Variant Sequences and Summary of NSP6 Mutation Locations
3.2. Transmembrane Domain Prediction Analysis
3.3. Protein Structure Prediction
3.4. Prediction of Protein Structural Pathogenicity, Stability, and Flexibility
3.5. Protein Antigenicity Analysis
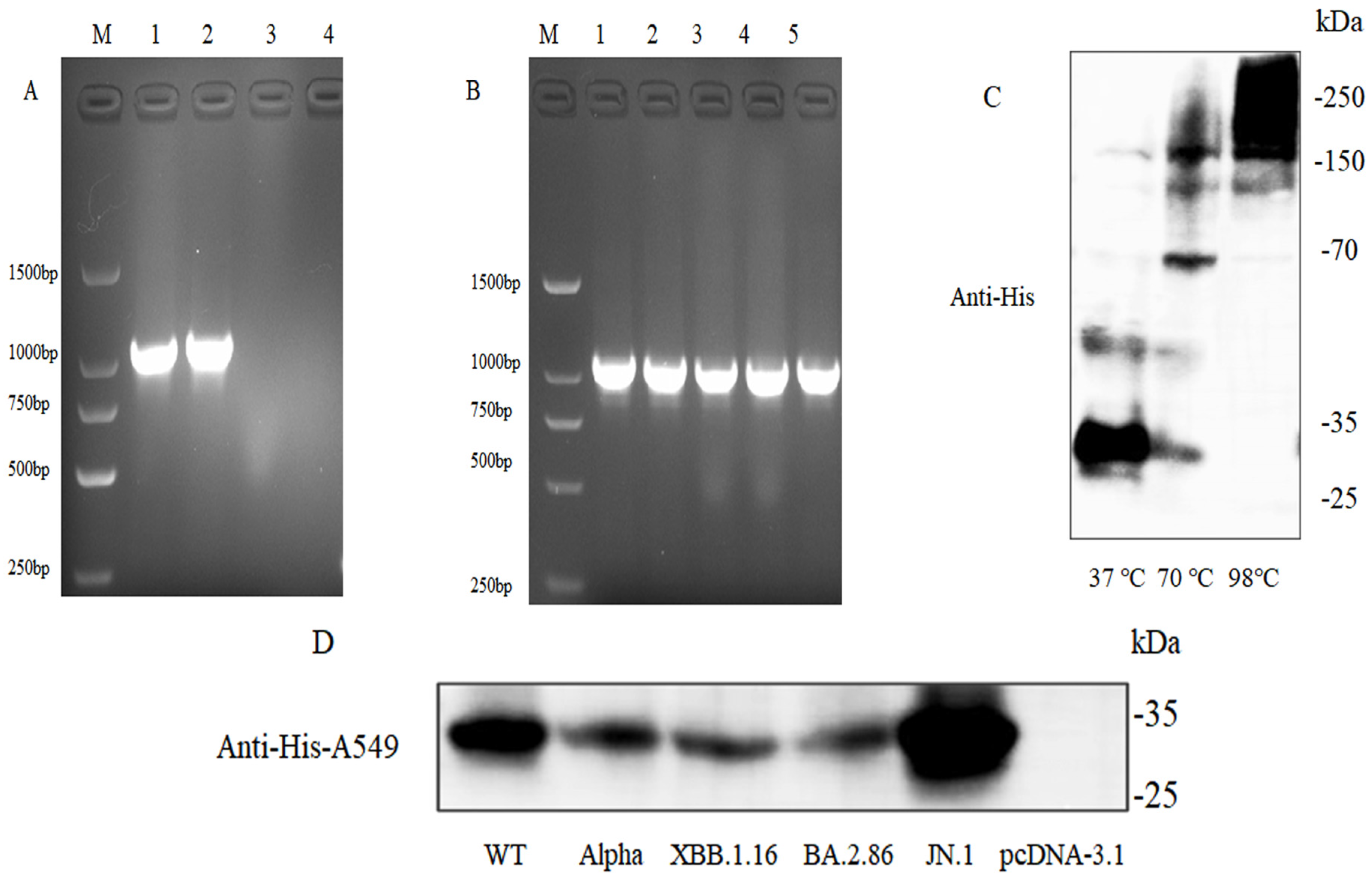
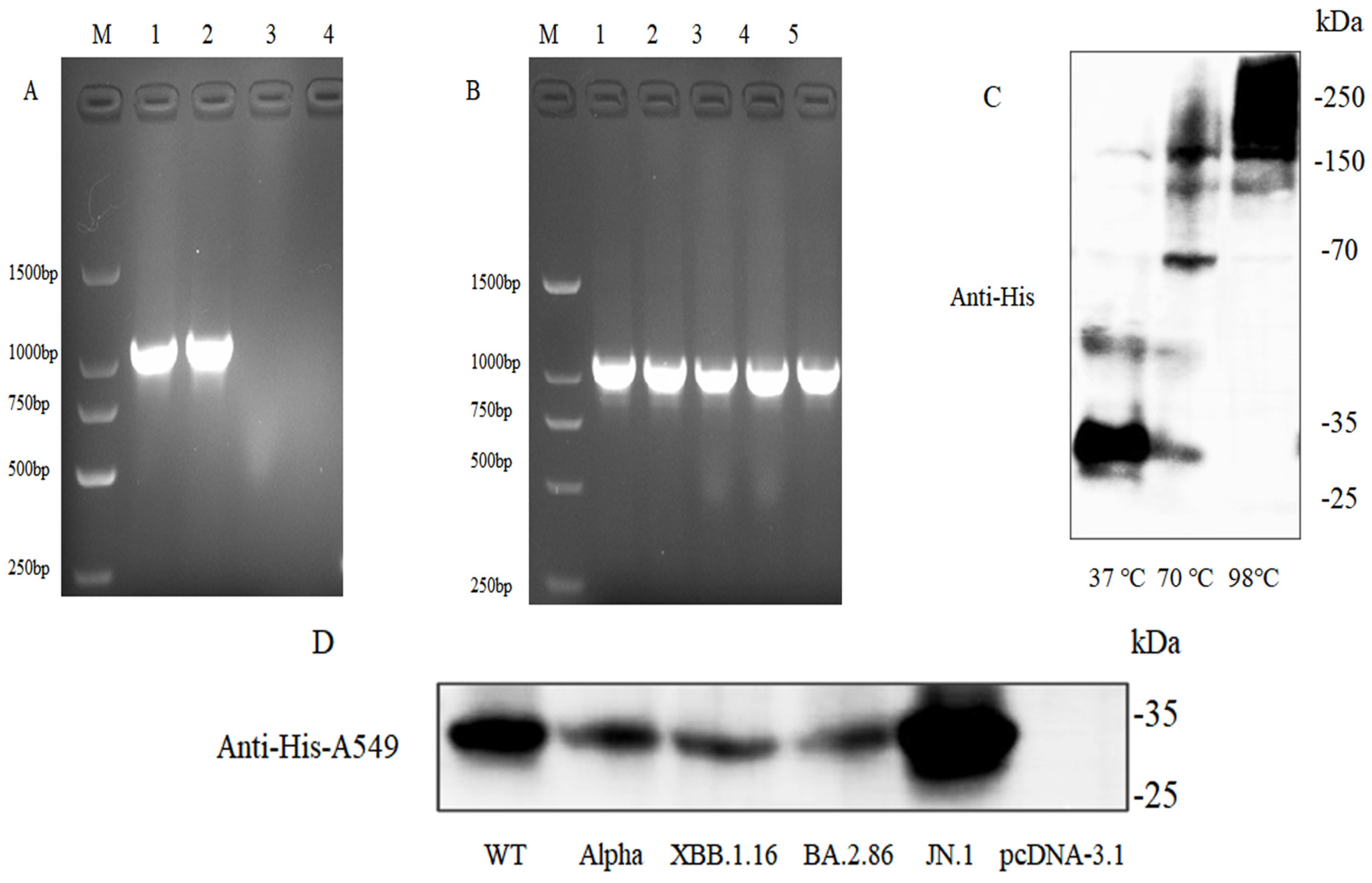
3.6. Identification of pcDNA3.1-NSP6-His Plasmids and Protein Expression
3.7. Transcriptome Sequencing Analysis
3.8. Differential Suppression of Type I Interferon Signaling by Different Variants of NSP6
3.9. Impact of NSP6 Variants on p53-AKT-mTOR Pathway in A549 Cells
4. Discussion
5. Conclusions
Supplementary Materials
Author Contributions
Funding
Institutional Review Board Statement
Informed Consent Statement
Data Availability Statement
Conflicts of Interest
References
- Liu, Y.; Ye, Q. The Key Site Variation and Immune Challenges in SARS-CoV-2 Evolution. Vaccines 2023, 11, 1472. [Google Scholar] [CrossRef]
- Tam, D.; Lorenzo-Leal, A.C.; Hernández, L.R.; Bach, H. Targeting SARS-CoV-2 Non-Structural Proteins. Int. J. Mol. Sci. 2023, 24, 13002. [Google Scholar] [CrossRef]
- Benvenuto, D.; Angeletti, S.; Giovanetti, M.; Bianchi, M.; Pascarella, S.; Cauda, R.; Ciccozzi, M.; Cassone, A. Evolutionary analysis of SARS-CoV-2: How mutation of Non-Structural Protein 6 (NSP6) could affect viral autophagy. J. Infect. 2020, 81, e24–e27. [Google Scholar] [CrossRef] [PubMed]
- Senthilazhagan, K.; Sakthimani, S.; Kallanja, D.; Venkataraman, S. SARS-CoV-2: Analysis of the effects of mutations in non-structural proteins. Arch. Virol. 2023, 168, 186. [Google Scholar] [CrossRef] [PubMed]
- Khailany, R.A.; Safdar, M.; Ozaslan, M. Genomic characterization of a novel SARS-CoV-2. Gene Rep. 2020, 19, 100682. [Google Scholar] [CrossRef]
- Chen, D.-Y.; Chin, C.V.; Kenney, D.; Tavares, A.H.; Khan, N.; Conway, H.L.; Liu, G.; Choudhary, M.C.; Gertje, H.P.; O’connell, A.K.; et al. Spike and nsp6 are key determinants of SARS-CoV-2 Omicron BA.1 attenuation. Nature 2023, 615, 143–150. [Google Scholar] [CrossRef]
- Ichikawa, T.; Torii, S.; Suzuki, H.; Takada, A.; Suzuki, S.; Nakajima, M.; Tampo, A.; Kakinoki, Y. Mutations in the nonstructural proteins of SARS-CoV-2 may contribute to adverse clinical outcome in patients with COVID-19. Int. J. Infect. Dis. 2022, 122, 123–129. [Google Scholar] [CrossRef]
- Ma, R.; Dong, X.; Xiao, X.; Lei, X.; Wang, J. SARS-CoV-2 nonstructural protein 1 inhibits type-I interferon response. Int. J. Virol. 2021, 28, 116–119. [Google Scholar]
- Nagy, Á.; Pongor, S.; Győrffy, B. Different mutations in SARS-CoV-2 associate with severe and mild outcome. Int. J. Antimicrob. Agents 2021, 57, 106272. [Google Scholar] [CrossRef]
- Gupta, V.; Haider, S.; Verma, M.; Singhvi, N.; Ponnusamy, K.; Malik, M.Z.; Verma, H.; Kumar, R.; Sood, U.; Hira, P.; et al. Comparative Genomics and Integrated Network Approach Unveiled Undirected Phylogeny Patterns, Co-mutational Hot Spots, Functional Cross Talk, and Regulatory Interactions in SARS-CoV-2. MSystems 2021, 23, e00030-21. [Google Scholar] [CrossRef]
- Feng, S.; O’Brien, A.; Chen, D.-Y.; Saeed, M.; Baker, S.C. SARS-CoV-2 nonstructural protein 6 from Alpha to Omicron: Evolution of a transmembrane protein. mBio 2023, 14, e0068823. [Google Scholar] [CrossRef] [PubMed]
- Tamura, K.; Stecher, G.; Kumar, S. MEGA11: Molecular Evolutionary Genetics Analysis Version 11. Mol. Biol. Evol. 2021, 38, 3022–3027. [Google Scholar] [CrossRef] [PubMed]
- Combet, C.; Blanchet, C.; Geourjon, C.; Deléage, G. NPS@: Network protein sequence analysis. Trends Biochem. Sci. 2000, 25, 147–150. [Google Scholar] [CrossRef] [PubMed]
- McGuffin, L.J.; Bryson, K.; Jones, D.T.J.B. The PSIPRED protein structure prediction server. Bioinformatics 2000, 16, 404–405. [Google Scholar] [CrossRef] [PubMed]
- Zhou, X.; Zheng, W.; Li, Y.; Pearce, R.; Zhang, C.; Bell, E.W.; Zhang, G.; Zhang, Y. I-TASSER-MTD: A deep-learning-based platform for multi-domain protein structure and function prediction. Nat. Protoc. 2022, 17, 2326–2353. [Google Scholar] [CrossRef]
- Zheng, W.; Zhang, C.; Li, Y.; Pearce, R.; Bell, E.W.; Zhang, Y. Folding non-homologous proteins by coupling deep-learning contact maps with I-TASSER assembly simulations. Cell Rep. Methods 2021, 1, 100014. [Google Scholar] [CrossRef]
- Yang, J.; Zhang, Y. I-TASSER server: New development for protein structure and function predictions. Nucleic Acids Res. 2015, 43, W174–W181. [Google Scholar] [CrossRef]
- Laskowski, R.A.; Rullmann, J.A.C.; MacArthur, M.W.; Kaptein, R.; Thornton, J.M. AQUA and PROCHECK-NMR: Programs for checking the quality of protein structures solved by NMR. J. Biomol. NMR 1996, 8, 477–486. [Google Scholar] [CrossRef]
- Colovos, C.; Yeates, T.O. Verification of protein structures: Patterns of nonbonded atomic interactions. Protein Sci. 1993, 2, 1511–1519. [Google Scholar] [CrossRef]
- Ng, P.C.; Henikoff, S. SIFT: Predicting amino acid changes that affect protein function. Nucleic Acids Res. 2003, 31, 3812–3814. [Google Scholar] [CrossRef]
- A Adzhubei, I.; Schmidt, S.; Peshkin, L.; E Ramensky, V.; Gerasimova, A.; Bork, P.; Kondrashov, A.S.; Sunyaev, S.R. A method and server for predicting damaging missense mutations. Nat. Methods 2010, 7, 248–249. [Google Scholar] [CrossRef] [PubMed]
- Cheng, J.; Randall, A.; Baldi, P. Prediction of protein stability changes for single-site mutations using support vector machines. Proteins Struct. Funct. Bioinform. 2005, 62, 1125–1132. [Google Scholar] [CrossRef]
- Zhang, Y.; Skolnick, J. TM-Align: A protein structure alignment algorithm based on the TM-score. Nucleic Acids Res. 2005, 33, 2302–2309. [Google Scholar] [CrossRef] [PubMed]
- Worth, C.L.; Preissner, R.; Blundell, T.L. SDM—A server for predicting effects of mutations on protein stability and malfunc-tion. Nucleic Acids Res. 2011, 39 (Suppl. 2), W215–W222. [Google Scholar] [CrossRef] [PubMed]
- Pires, D.E.V.; Ascher, D.B.; Blundell, T.L. mCSM: Predicting the effects of mutations in proteins using graph-based signatures. Bioinformatics 2014, 30, 335–342. [Google Scholar] [CrossRef]
- Pires, D.E.V.; Ascher, D.B.; Blundell, T.L. DUET: A server for predicting effects of mutations on protein stability using an integrated computational approach. Nucleic Acids Res. 2014, 42, W314–W319. [Google Scholar] [CrossRef]
- Li, G.; Panday, S.K.; Alexov, E. SAAFEC-SEQ: A Sequence-Based Method for Predicting the Effect of Single Point Mutations on Protein Thermodynamic Stability. Int. J. Mol. Sci. 2021, 22, 606. [Google Scholar] [CrossRef]
- de Brevern, A.G.; Bornot, A.; Craveur, P.; Etchebest, C.; Gelly, J.-C. PredyFlexy: Flexibility and local structure prediction from sequence. Nucleic Acids Res. 2012, 40, W317–W322. [Google Scholar] [CrossRef]
- Jespersen, M.C.; Peters, B.; Nielsen, M.; Marcatili, P. BepiPred-2.0: Improving sequence-based B-cell epitope prediction using conformational epitopes. Nucleic Acids Res. 2017, 45, W24–W29. [Google Scholar] [CrossRef]
- Rammensee, H.-G.; Bachmann, J.; Emmerich, N.P.N.; Bachor, O.A.; Stevanović, S. SYFPEITHI: Database for MHC ligands and peptide motifs. Immunogenetics 1999, 50, 213–219. [Google Scholar] [CrossRef]
- Manirambona, E.; Okesanya, O.J.; Olaleke, N.O.; Oso, T.A.; Lucero-Prisno, D.E., III. Evolution and implications of SARS-CoV-2 variants in the post-pandemic era. Discov. Public Health 2024, 21, 16. [Google Scholar] [CrossRef]
- Garcia, I.; Bråte, J.; Fossum, E.; Rohringer, A.; Moen, L.V.; Hungnes, O.; Fjære, O.; Zaragkoulias, K.; Bragstad, K. Recombinant SARS-CoV-2 Delta/Omicron BA.5 emerging in an immunocom-promised long-term infected COVID-19 patient. Sci. Rep. 2024, 14, 25790. [Google Scholar] [CrossRef]
- Ao, D.; He, X.; Hong, W.; Wei, X. The rapid rise of SARS-CoV-2 Omicron subvariants with immune evasion properties: XBB.1.5 and BQ.1.1 subvariants. MedComm 2023, 4, e239. [Google Scholar] [CrossRef] [PubMed]
- Jian, F.; Wang, J.; Yisimayi, A.; Song, W.; Xu, Y.; Chen, X.; Niu, X.; Yang, S.; Yu, Y.; Wang, P.; et al. Evolving antibody response to SARS-CoV-2 antigenic shift from XBB to JN. 1. Nature 2024, 637, 921–929. [Google Scholar] [CrossRef]
- Eshraghi, R.; Bahrami, A.; Houyeh, M.K.; Azadani, M.N. JN.1 and the ongoing battle: Unpacking the characteristics of a new dominant COVID-19 variant. Ann. Trop. Med. Parasitol. 2024, 118, 453–458. [Google Scholar] [CrossRef]
- Planas, D.; Staropoli, I.; Michel, V.; Lemoine, F.; Donati, F.; Prot, M.; Porrot, F.; Guivel-Benhassine, F.; Jeyarajah, B.; Brisebarre, A.; et al. Distinct evolution of SARS-CoV-2 Omicron XBB and BA.2.86/JN.1 lineages combining increased fitness and antibody evasion. Nat. Commun. 2024, 15, 2254. [Google Scholar] [CrossRef] [PubMed]
- D’antiga, L. Coronaviruses and Immunosuppressed Patients: The Facts During the Third Epidemic. Liver Transplant. 2020, 26, 832–834. [Google Scholar] [CrossRef]
- Jiang, Y.; Oron, T.R.; Clark, W.T.; Bankapur, A.R.; D’andrea, D.; Lepore, R.; Funk, C.S.; Kahanda, I.; Verspoor, K.M.; Ben-Hur, A.; et al. An expanded evaluation of protein function prediction methods shows an improvement in accuracy. Genome Biol. 2016, 17, 1–19. [Google Scholar] [CrossRef]
- Stillwell, W. An Introduction to Biological Membranes: Composition, Structure and Function, 2nd ed.; Elsevier: Amsterdam, The Netherlands, 2016. [Google Scholar]
- Von Heijne, G. Membrane-protein topology. Nat. Rev. Mol. Cell Biol. 2006, 7, 909–918. [Google Scholar] [CrossRef]
- Aiewsakun, P.; Nilplub, P.; Wongtrakoongate, P.; Hongeng, S.; Thitithanyanont, A. SARS-CoV-2 genetic variations associated with COVID-19 pathogenicity. Microb. Genom. 2021, 7, 000734. [Google Scholar] [CrossRef]
- Jing, Y.; Luo, L.; Chen, Y.; Westerberg, L.S.; Zhou, P.; Xu, Z.; Herrada, A.A.; Park, C.-S.; Kubo, M.; Mei, H.; et al. SARS-CoV-2 infection causes immunodeficiency in recovered patients by downregulating CD19 expression in B cells via enhancing B-cell metabolism. Signal Transduct. Target. Ther. 2021, 6, 345. [Google Scholar] [CrossRef] [PubMed]
- Kawai, T.; Akira, S. Toll-like receptor and RIG-I-like receptor signaling. Ann. N. Y. Acad. Sci. 2008, 1143, 1–20. [Google Scholar] [CrossRef] [PubMed]
- Malmström, L.; Goodlett, D.R. Protein structure modeling. Methods Mol. Biol. 2010, 673, 63–72. [Google Scholar]
- Günther, J.; Seyfert, H.-M. The first line of defence: Insights into mechanisms and relevance of phagocytosis in epithelial cells. Semin. Immunopathol. 2018, 40, 555–565. [Google Scholar] [CrossRef]
- Komiya, Y.; Kamiya, M.; Oba, S.; Kawata, D.; Iwai, H.; Shintaku, H.; Suzuki, Y.; Miyamoto, S.; Tobiume, M.; Kanno, T.; et al. Necroptosis in alveolar epithelial cells drives lung inflammation and injury caused by SARS-CoV-2 infection. Biochim. Et Biophys. Acta (BBA)-Mol. Basis Dis. 2024, 1870, 167472. [Google Scholar] [CrossRef]
- Zheng, Y.; Zhuang, M.W.; Han, L.; Zhang, J.; Nan, M.L.; Zhan, P.; Kang, D.; Liu, X.; Gao, C.; Wang, P.H. Severe acute respiratory syndrome coronavirus 2 (SARS-CoV-2) membrane (M) protein inhibits type I and III interferon production by targeting RIG-I/MDA-5 signaling. Signal Transduct. Target. Ther. 2020, 5, 299. [Google Scholar] [CrossRef]
- Panja, A.; Roy, J.; Mazumder, A.; Choudhury, S.M. Divergent mutations of Delta and Omicron variants: Key players behind differential viral attributes across the COVID-19 waves. VirusDisease 2023, 34, 307–320. [Google Scholar] [CrossRef] [PubMed]
- Xia, H.; Cao, Z.; Xie, X.; Zhang, X.; Chen, J.Y.; Wang, H.; Menachery, V.D.; Rajsbaum, R.; Shi, P.Y. Evasion of Type I Interferon by SARS-CoV-2. Cell Rep. 2020, 33, 108234. [Google Scholar] [CrossRef]
- Bills, C.; Xie, X.; Shi, P.-Y. The multiple roles of nsp6 in the molecular pathogenesis of SARS-CoV-2. Antivir. Res. 2023, 213, 105590. [Google Scholar] [CrossRef]
- Amara, A.; Trabelsi, S.; Hai, A.; Zaidi, S.H.H.; Siddiqui, F.; Alsaeed, S. Equivocating and Deliberating on the Probability of COVID-19 Infection Serving as a Risk Factor for Lung Cancer and Common Molecular Pathways Serving as a Link. Pathogens 2024, 13, 1070. [Google Scholar] [CrossRef]
- Milani, D.; Caruso, L.; Zauli, E.; Al Owaifeer, A.M.; Secchiero, P.; Zauli, G.; Gemmati, D.; Tisato, V. p53/NF-kB Balance in SARS-CoV-2 Infection: From OMICs, Genomics and Pharmacogenomics Insights to Tailored Therapeutic Perspectives (COVIDomics). Front. Pharmacol. 2022, 13, 871583. [Google Scholar] [CrossRef] [PubMed]
- Harford, J.B. A Second Career for p53 as A Broad-Spectrum Antiviral? Viruses 2023, 15, 2377. [Google Scholar] [CrossRef] [PubMed]
- Fattahi, S.; Khalifehzadeh-Esfahani, Z.; Mohammad-Rezaei, M.; Mafi, S.; Jafarinia, M. PI3K/Akt/mTOR pathway: A potential target for anti-SARS-CoV-2 therapy. Immunol. Res. 2022, 70, 269–275. [Google Scholar] [CrossRef] [PubMed]
- Wang, X.; Liu, Y.; Li, K.; Hao, Z. Roles of p53-Mediated Host–Virus Interaction in Coronavirus Infection. Int. J. Mol. Sci. 2023, 24, 6371. [Google Scholar] [CrossRef]









| Online Tools | Functional Predictions | Web Address |
|---|---|---|
| TMHMM-2.0 | Transmembrane spiral | https://services.healthtech.dtu.dk/service.php?TMHMM-2.0 (accessed on 22 August 2024) |
| Protter | protein topology | https://wlab.ethz.ch/protter/# (accessed on 22 August 2024) |
| SOPMA | Secondary structure [13,14] | https://npsa-prabi.ibcp.fr/cgi-bin/npsa_automat.pl?page=npsa_sopma.html (accessed on 26 August 2024) |
| PSIPRED | http://bioinf.cs.ucl.ac.uk/psipred/ (accessed on 27 August 2024) | |
| I-TASSER | Three-tier structure [15,16,17] | https://zhanggroup.org/I-TASSER/ (accessed on 2 September 2024) |
| SAVES v6.0 | Model quality assessment [18,19] | https://saves.mbi.ucla.edu/ (accessed on 2 September 2024) |
| SIFT | Protein function [20,21] | https://sift.bii.a-star.edu.sg/ (accessed on 3 September 2024) |
| Polyphen-2 | http://genetics.bwh.harvard.edu/pph2/ (accessed on 3 September 2024) | |
| Mupro | Protein stability [22,23,24,25,26,27] | https://mupro.proteomics.ics.uci.edu/ (accessed on 10 September 2024) |
| TM-Align | https://zhanggroup.org/TM-align/ (accessed on 10 September 2024) | |
| DUET | https://biosig.lab.uq.edu.au/tools (accessed on 10 September2024) | |
| SAAFEC | http://compbio.clemson.edu/SAAFEC-SEQ/ (accessed on 17 September 2024) | |
| PredyFlexy | Protein flexibility [28] | https://www.dsimb.inserm.fr/dsimb_tools/predyflexy/ (accessed on 17 September 2024) |
| Immunomedicine Group | Epitope | http://imed.med.ucm.es/Tools/antigenic.pl (accessed on 10 October 2024) |
| IEDB | B-cell antigenic epitopes [29] | https://www.iedb.org/ (accessed on 10 October 2024) |
| CTL | T-cell antigenic epitopes [30] | https://nextgen-tools.iedb.org/tc1 (accessed on 10 October 2024) |
| SYFPEITHI | http://www.syfpeithi.de/bin/MHCServer.dll/EpitopePrediction.htm (accessed on 10 October 2024) |
| Mutant Site | Relative to WT | Relative to Alpha |
|---|---|---|
| V3593F | Buried H-bond breakage | Cavity altered |
| R3821K | Buried/exposed switch | No structural damage detected |
| L3829F | No structural damage detected | No structural damage detected |
| Mutant Site | Relative to WT | Relative to Alpha | Relative to BA.2.86 | |||
|---|---|---|---|---|---|---|
| Polyphen-2 | SIFT | Polyphen-2 | SIFT | Polyphen-2 | SIFT | |
| V3593F | 0.181 | 0.03 | 0.181 | 0.06 | - | - |
| R3821K | 0.98 | 0.00 | 0.995 | 0 | 0.998 | 0.06 |
| L3829F | 0.988 | 0.19 | 0.988 | 0 | - | - |
| Mutant Site | Relative to WT | Relative to Alpha | Relative to BA.2.86 | |||||
|---|---|---|---|---|---|---|---|---|
| Platforms | V3593F | R3821K | L3829F | V3593F | R3821K | L3829F | R3821K | |
| Mupro (△△G) | −1.46 | −1.31 | −0.93 | −1.46 | −1.31 | −0.93 | −1.31 | |
| DUET (△△G) | −1.68 | −1.665 | −1.124 | −1.518 | −0.97 | −1.199 | −1.449 | |
| TM-Align (RMSD) | 0.83 | 0.81 | 0.77 | 0.75 | 0.58 | 0.64 | 0.71 | |
| SAAFEC (△△G) | −0.39 | −0.91 | −0.76 | −0.3 | −0.82 | −0.79 | −0.82 | |
| Mutant Site | 3593 | 3821 | 3829 | ||||
|---|---|---|---|---|---|---|---|
| Variant | V | F | R | K | L | F | |
| WT | −0.510 | −0.248 | 0.081 | ||||
| Alpha | −0.510 | −0.248 | 0.081 | ||||
| XBB.1.16 | −0.510 | −0.246 | 0.081 | ||||
| BA.2.86 | −0.507 | −0.248 | 0.081 | ||||
| JN.1 | −0.507 | −0.248 | 0.081 | ||||
Disclaimer/Publisher’s Note: The statements, opinions and data contained in all publications are solely those of the individual author(s) and contributor(s) and not of MDPI and/or the editor(s). MDPI and/or the editor(s) disclaim responsibility for any injury to people or property resulting from any ideas, methods, instructions or products referred to in the content. |
© 2025 by the authors. Licensee MDPI, Basel, Switzerland. This article is an open access article distributed under the terms and conditions of the Creative Commons Attribution (CC BY) license (https://creativecommons.org/licenses/by/4.0/).
Share and Cite
Gao, Y.; Ni, P.; Hua, Y.; Chen, S.; Zhang, R. Impact of SARS-CoV-2 Variant NSP6 on Pathogenicity: Genetic Analysis and Cell Biology. Curr. Issues Mol. Biol. 2025, 47, 361. https://doi.org/10.3390/cimb47050361
Gao Y, Ni P, Hua Y, Chen S, Zhang R. Impact of SARS-CoV-2 Variant NSP6 on Pathogenicity: Genetic Analysis and Cell Biology. Current Issues in Molecular Biology. 2025; 47(5):361. https://doi.org/10.3390/cimb47050361
Chicago/Turabian StyleGao, Yangye, Peng Ni, Yanqiao Hua, Shuaiyin Chen, and Rongguang Zhang. 2025. "Impact of SARS-CoV-2 Variant NSP6 on Pathogenicity: Genetic Analysis and Cell Biology" Current Issues in Molecular Biology 47, no. 5: 361. https://doi.org/10.3390/cimb47050361
APA StyleGao, Y., Ni, P., Hua, Y., Chen, S., & Zhang, R. (2025). Impact of SARS-CoV-2 Variant NSP6 on Pathogenicity: Genetic Analysis and Cell Biology. Current Issues in Molecular Biology, 47(5), 361. https://doi.org/10.3390/cimb47050361

