‘Two in One’ Cloning Vector Applied for Blunt-End and T-A Cloning with One-Step Digestion–Ligation and Screening of Positive Recombinants by Unaided Eyes
Abstract
1. Introduction
2. Materials and Methods
2.1. Strains, Reagents, and Cell Cultivation
2.2. ‘All in One’ Cloning Vector with mScarlet-I Gene as Selecting Marker
2.3. One-Step Digestion–Ligation Reaction of Cloning Vector and PCR Products
3. Results
3.1. ‘All in One’ Cloning Vector pYFRed
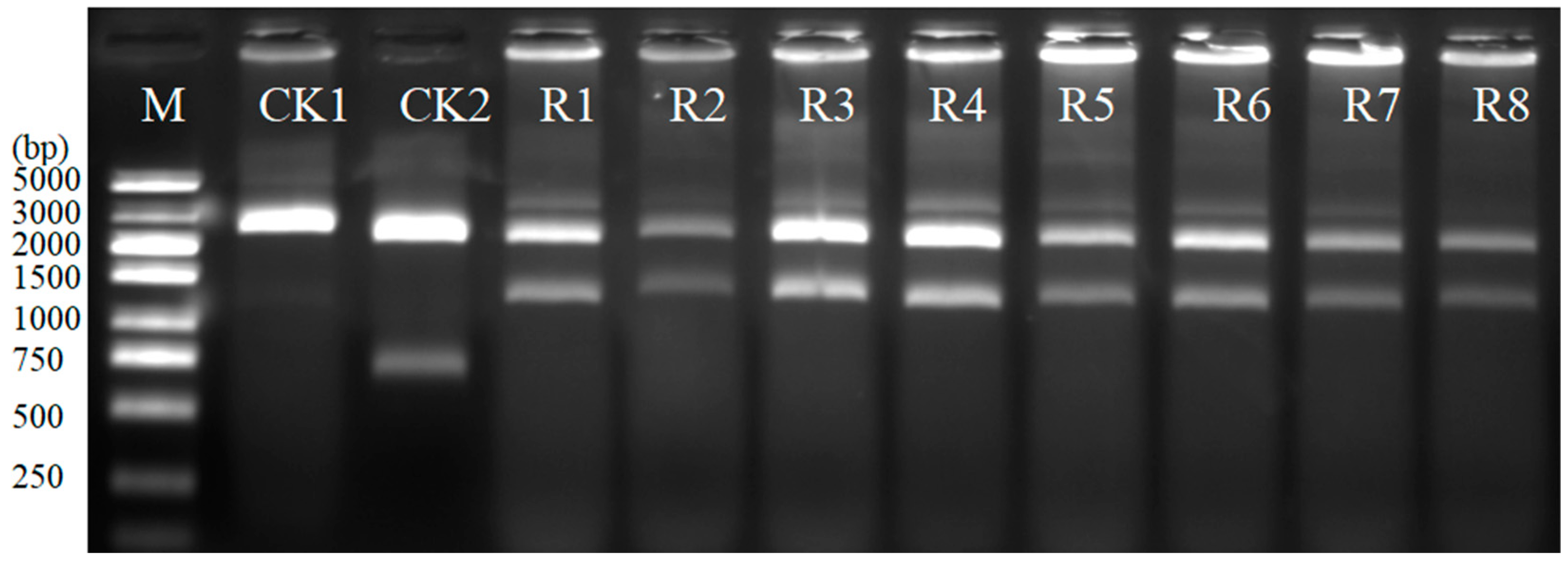
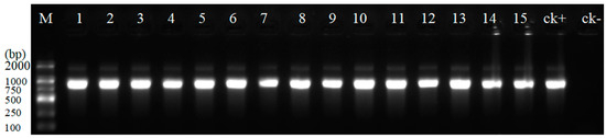
3.2. One-Step Digestion–Ligation of Blunt-End PCR Products with pYFRed
3.3. Cloning PCR Products with 3′-A Overhang into pYFRed
3.4. Schematic Representation of Cloning PCR Products into pYFRed Using the One-Step Digestion–Ligation
4. Discussion
Supplementary Materials
Author Contributions
Funding
Institutional Review Board Statement
Data Availability Statement
Conflicts of Interest
References
- Finney, M.; Nisson, P.E.; Rashtchian, A. Molecular Cloning of PCR Products. CP Mol. Biol. 2001, 56. [Google Scholar] [CrossRef] [PubMed]
- Gao, C. Genome Engineering for Crop Improvement and Future Agriculture. Cell 2021, 184, 1621–1635. [Google Scholar] [CrossRef]
- Innis, M.A.; Myambo, K.B.; Gelfand, D.H.; Brow, M.A. DNA Sequencing with Thermus aquaticus DNA Polymerase and Direct Sequencing of Polymerase Chain Reaction-Amplified DNA. Proc. Natl. Acad. Sci. USA 1988, 85, 9436–9440. [Google Scholar] [CrossRef] [PubMed]
- Zhou, M.Y.; Gomez-Sanchez, C.E. Universal TA Cloning. Curr. Issues Mol. Biol. 2000, 2, 1–7. [Google Scholar]
- Takagi, M.; Nishioka, M.; Kakihara, H.; Kitabayashi, M.; Inoue, H.; Kawakami, B.; Oka, M.; Imanaka, T. Characterization of DNA Polymerase from Pyrococcus Sp. Strain KOD1 and Its Application to PCR. Appl. Environ. Microbiol. 1997, 63, 4504–4510. [Google Scholar] [CrossRef] [PubMed]
- Park, H.K.; Zeng, C. A Vector for Purification-Free Cloning of Polymerase Chain Reaction Products. Anal. Biochem. 2008, 377, 108–110. [Google Scholar] [CrossRef] [PubMed]
- Lim, H.-D. Construction of a T-Vector Using an Esterase Reporter for Direct Cloning of PCR Products. J. Microbiol. Biotechnol. 2010, 20, 1481–1483. [Google Scholar] [CrossRef]
- Liu, Q.; Dang, H.-J.; Wu, Y.-H.; Li, M.; Chen, Y.-H.; Niu, X.-L.; Li, K.-M.; Luo, L.-J. pXST, a Novel Vector for TA Cloning and Blunt-End Cloning. BMC Biotechnol. 2018, 18, 44. [Google Scholar] [CrossRef] [PubMed]
- Motohashi, K. A Novel Series of High-Efficiency Vectors for TA Cloning and Blunt-End Cloning of PCR Products. Sci. Rep. 2019, 9, 6417. [Google Scholar] [CrossRef]
- James, S.; Jain, V. A Positive Selection Escherichia Coli Recombinant Protein Expression Vector for One-Step Cloning. Front. Bioeng. Biotechnol. 2022, 9, 776828. [Google Scholar] [CrossRef] [PubMed]
- Park, H.K.; Zeng, C. Construction of an XcmI-Generated T Vector Bearing Green Fluorescent Protein Marker for Direct Cloning of PCR Products. Anal. Biochem. 2007, 360, 144–145. [Google Scholar] [CrossRef] [PubMed]
- Aliakbari, M.; Karkhane, A.A. In Vivo Cloning of PCR Product via Site-Specific Recombination in Escherichia Coli. Appl. Microbiol. Biotechnol. 2024, 108, 400. [Google Scholar] [CrossRef] [PubMed]
- Engler, C.; Kandzia, R.; Marillonnet, S. A One Pot, One Step, Precision Cloning Method with High Throughput Capability. PLoS ONE 2008, 3, e3647. [Google Scholar] [CrossRef] [PubMed]
- Bindels, D.S.; Haarbosch, L.; Van Weeren, L.; Postma, M.; Wiese, K.E.; Mastop, M.; Aumonier, S.; Gotthard, G.; Royant, A.; Hink, M.A.; et al. mScarlet: A Bright Monomeric Red Fluorescent Protein for Cellular Imaging. Nat. Methods 2017, 14, 53–56. [Google Scholar] [CrossRef] [PubMed]
- Schlechter, R.O.; Jun, H.; Bernach, M.; Oso, S.; Boyd, E.; Muñoz-Lintz, D.A.; Dobson, R.C.J.; Remus, D.M.; Remus-Emsermann, M.N.P. Chromatic Bacteria—A Broad Host-Range Plasmid and Chromosomal Insertion Toolbox for Fluorescent Protein Expression in Bacteria. Front. Microbiol. 2018, 9, 3052. [Google Scholar] [CrossRef] [PubMed]
- Liu, S.; Wang, X.; Li, Q.; Peng, W.; Zhang, Z.; Chu, P.; Guo, S.; Fan, Y.; Lyu, S. AtGCS Promoter-Driven Clustered Regularly Interspaced Short Palindromic Repeats/Cas9 Highly Efficiently Generates Homozygous/Biallelic Mutations in the Transformed Roots by Agrobacterium Rhizogenes–Mediated Transformation. Front. Plant Sci. 2022, 13, 952428. [Google Scholar] [CrossRef]
- Wang, X.; Teng, C.; Wei, H.; Liu, S.; Xuan, H.; Peng, W.; Li, Q.; Hao, H.; Lyu, Q.; Lyu, S.; et al. Development of a Set of Novel Binary Expression Vectors for Plant Gene Function Analysis and Genetic Transformation. Front. Plant Sci. 2023, 13, 1104905. [Google Scholar] [CrossRef]
- Paclikova, P.; Harnos, J. Efficient Cloning of Linear DNA Inserts (ECOLI) into Plasmids Using Site-Directed Mutagenesis. Sci. Rep. 2024, 14, 21591. [Google Scholar] [CrossRef]
- Engler, C.; Marillonnet, S. Golden Gate Cloning. Methods Mol. Biol. 2014, 1116, 119–131. [Google Scholar] [CrossRef] [PubMed]
- Green, M.R.; Sambrook, J. Screening Bacterial Colonies Using X-Gal and IPTG: α-Complementation. Cold Spring Harb. Protoc. 2019, 2019, pdb.prot101329. [Google Scholar] [CrossRef] [PubMed]
- Browning, D.F.; Godfrey, R.E.; Richards, K.L.; Robinson, C.; Busby, S.J.W. Exploitation of the Escherichia Coli Lac Operon Promoter for Controlled Recombinant Protein Production. Biochem. Soc. Trans. 2019, 47, 755–763. [Google Scholar] [CrossRef] [PubMed]






Disclaimer/Publisher’s Note: The statements, opinions and data contained in all publications are solely those of the individual author(s) and contributor(s) and not of MDPI and/or the editor(s). MDPI and/or the editor(s) disclaim responsibility for any injury to people or property resulting from any ideas, methods, instructions or products referred to in the content. |
© 2024 by the authors. Licensee MDPI, Basel, Switzerland. This article is an open access article distributed under the terms and conditions of the Creative Commons Attribution (CC BY) license (https://creativecommons.org/licenses/by/4.0/).
Share and Cite
Zhang, X.; Teng, C.; Lyu, K.; Lyu, S.; Fan, Y. ‘Two in One’ Cloning Vector Applied for Blunt-End and T-A Cloning with One-Step Digestion–Ligation and Screening of Positive Recombinants by Unaided Eyes. Curr. Issues Mol. Biol. 2025, 47, 17. https://doi.org/10.3390/cimb47010017
Zhang X, Teng C, Lyu K, Lyu S, Fan Y. ‘Two in One’ Cloning Vector Applied for Blunt-End and T-A Cloning with One-Step Digestion–Ligation and Screening of Positive Recombinants by Unaided Eyes. Current Issues in Molecular Biology. 2025; 47(1):17. https://doi.org/10.3390/cimb47010017
Chicago/Turabian StyleZhang, Xingli, Chong Teng, Kaidi Lyu, Shanhua Lyu, and Yinglun Fan. 2025. "‘Two in One’ Cloning Vector Applied for Blunt-End and T-A Cloning with One-Step Digestion–Ligation and Screening of Positive Recombinants by Unaided Eyes" Current Issues in Molecular Biology 47, no. 1: 17. https://doi.org/10.3390/cimb47010017
APA StyleZhang, X., Teng, C., Lyu, K., Lyu, S., & Fan, Y. (2025). ‘Two in One’ Cloning Vector Applied for Blunt-End and T-A Cloning with One-Step Digestion–Ligation and Screening of Positive Recombinants by Unaided Eyes. Current Issues in Molecular Biology, 47(1), 17. https://doi.org/10.3390/cimb47010017

