Protective Effects of Cervus elaphus and Eucommia ulmoides Mixture (KGC01CE) on Muscle Loss and Function in Aged Rats
Abstract
1. Introduction
2. Materials and Methods
2.1. Preparation of KGC01CE
2.2. Standardization of KGC01CE
2.3. Reagent
2.4. Cell Culture and Treatment
2.5. Animal Experiment
2.6. Dual Energy X-ray Absorptionmetry Analysis
2.7. Grip Strength Test
2.8. CSA Analysis
2.9. Protein Extraction and Western Blotting Analysis
2.10. Serum Biochemistry
2.11. Statistical Analysis
3. Results
3.1. Preparation and Standardization of KGC01CE
3.2. Optimization of the Mixing Ratio of KGC01CE in DEX-Induced C2C12 Myotube Atrophy and Aged Rats
3.3. KGC01CE Increased Muscle Weight in Aged Rats
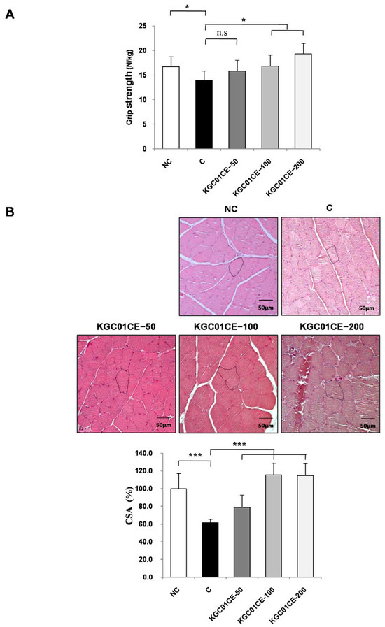
3.4. KGC01CE Significantly Increased the Grip Strength and Muscle CSA in Aged Rats
3.5. KGC01CE Regulates the Up-Regulation of the PI3K-Akt Pathway and the Down-Regulation of MuRF-1, atrogin-1, and Myostatin in Aged Rats
4. Discussion
5. Conclusions
Supplementary Materials
Author Contributions
Funding
Institutional Review Board Statement
Informed Consent Statement
Data Availability Statement
Acknowledgments
Conflicts of Interest
References
- Cruz-Jentoft, A.J.; Sayer, A.A. Sarcopenia. Lancet 2019, 393, 2636–2646. [Google Scholar] [CrossRef]
- Larsson, L.; Degens, H.; Li, M.; Salviati, L.; Lee, Y.I.; Thompson, W.; Kirkland, J.L.; Sandri, M. Sarcopenia: Aging-Related Loss of Muscle Mass and Function. Physiol. Rev. 2019, 99, 427–511. [Google Scholar] [CrossRef] [PubMed]
- Mesinovic, J.; Zengin, A.; De Courten, B.; Ebeling, P.R.; Scott, D. Sarcopenia and Type 2 Diabetes Mellitus: A Bidirectional Relationship. Diabetes Metab. Syndr. Obes. Targets Ther. 2019, 12, 1057–1072. [Google Scholar] [CrossRef] [PubMed]
- Prado, C.M.; Cushen, S.J.; Orsso, C.E.; Ryan, A.M. Sarcopenia and Cachexia in the Era of Obesity: Clinical and Nutritional Impact. Proc. Nutr. Soc. 2016, 75, 188–198. [Google Scholar] [CrossRef]
- Feng, L.; Gao, Q.; Hu, K.; Wu, M.; Wang, Z.; Chen, F.; Mei, F.; Zhao, L.; Ma, B. Prevalence and Risk Factors of Sarcopenia in Patients with Diabetes: A Meta-Analysis. J. Clin. Endocrinol. Metab. 2022, 107, 1470–1483. [Google Scholar] [CrossRef]
- Pinto Neto, L.F.; Sales, M.C.; Scaramussa, E.S.; da Paz, C.J.; Morelato, R.L. Human Immunodeficiency Virus Infection and Its Association with Sarcopenia. Braz. J. Infect. Dis. 2016, 20, 99–102. [Google Scholar] [CrossRef]
- Lim, H.S.; Park, Y.H.; Suh, K.; Yoo, M.H.; Park, H.K.; Kim, H.J.; Lee, J.H.; Byun, D.W. Association Between Sarcopenia, Sarcopenic Obesity, and Chronic Disease in Korean Elderly. J. Bone Metab. 2018, 25, 187–193. [Google Scholar] [CrossRef]
- Biolo, G.; Cederholm, T.; Muscaritoli, M. Muscle Contractile and Metabolic Dysfunction is a Common Feature of Sarcopenia of Aging and Chronic Diseases: From Sarcopenic Obesity to Cachexia. Clin. Nutr. 2014, 33, 737–748. [Google Scholar] [CrossRef] [PubMed]
- Anker, S.D.; Morley, J.E.; von Haehling, S. Welcome to the ICD-10 Code for Sarcopenia. J. Cachexia Sarcopenia Muscle 2016, 7, 512–514. [Google Scholar] [CrossRef]
- Morley, J.E. Sarcopenia: Diagnosis and Treatment. J. Nutr. Heal. Aging 2008, 12, 452–456. [Google Scholar] [CrossRef]
- Jang, J.Y.; Kim, D.; Kim, N.D. Pathogenesis, Intervention, and Current Status of Drug Development for Sarcopenia: A Review. Biomedicines 2023, 11, 1635. [Google Scholar] [CrossRef] [PubMed]
- Mankhong, S.; Kim, S.; Moon, S.; Kwak, H.B.; Park, D.H.; Kang, J.H. Experimental Models of Sarcopenia: Bridging Molecular Mechanism and Therapeutic Strategy. Cells 2020, 9, 1385. [Google Scholar] [CrossRef] [PubMed]
- Wiedmer, P.; Jung, T.; Castro, J.P.; Pomatto, L.C.D.; Sun, P.Y.; Davies, K.J.A.; Grune, T. Sarcopenia-Molecular Mechanisms and Open Questions. Ageing Res. Rev. 2021, 65, 101200. [Google Scholar] [CrossRef]
- Dupont-Versteegden, E.E. Apoptosis in Muscle Atrophy: Relevance to Sarcopenia. Exp. Gerontol. 2005, 40, 473–481. [Google Scholar] [CrossRef] [PubMed]
- Pang, X.; Zhang, P.; Chen, X.; Liu, W. Ubiquitin-Proteasome Pathway in Skeletal Muscle Atrophy. Front. Physiol. 2023, 14, 1289537. [Google Scholar] [CrossRef]
- Camporez, J.P.; Petersen, M.C.; Abudukadier, A.; Moreira, G.V.; Jurczak, M.J.; Friedman, G.; Haqq, C.M.; Petersen, K.F.; Shulman, G.I. Anti-Myostatin Antibody Increases Muscle Mass and Strength and Improves Insulin Sensitivity in Old Mice. Proc. Natl. Acad. Sci. USA 2016, 113, 2212–2217. [Google Scholar] [CrossRef]
- White, T.A.; LeBrasseur, N.K. Myostatin and Sarcopenia: Opportunities and Challenges—A Mini-Review. Gerontology 2014, 60, 289–293. [Google Scholar] [CrossRef]
- Lee, S.J.; McPherron, A.C. Regulation of Myostatin Activity and Muscle Growth. Proc. Natl. Acad. Sci. USA 2001, 98, 9306–9311. [Google Scholar] [CrossRef]
- Trendelenburg, A.U.; Meyer, A.; Rohner, D.; Boyle, J.; Hatakeyama, S.; Glass, D.J. Myostatin Reduces Akt/TORC1/p70S6K Signaling, Inhibiting Myoblast Differentiation and Myotube Size. Am. J. Physiol. -Cell Physiol. 2009, 296, C1258–C1270. [Google Scholar] [CrossRef]
- Sui, Z.; Zhang, L.; Huo, Y.; Zhang, Y. Bioactive Components of Velvet Antlers and Their Pharmacological Properties. J. Pharm. Biomed. Anal. 2014, 87, 229–240. [Google Scholar] [CrossRef]
- Wu, F.; Li, H.; Jin, L.; Li, X.; Ma, Y.; You, J.; Li, S.; Xu, Y. Cervus Elaphus Base as a Traditional Chinese Medicine: A Review of Its Traditional Uses, Chemistry and Pharmacology. J. Ethnopharmacol. 2013, 145, 403–415. [Google Scholar] [CrossRef] [PubMed]
- Je, J.Y.; Park, P.J.; Kim, E.K.; Kim, H.A.; Lim, D.H.; Jeon, B.T.; Ahn, C.B. Composition of Biologically Active Substances and Antioxidant Activity of New Zealand Deer Velvet Antler Extracts. Korean J. Food Sci. Anim. Resour. 2010, 30, 20–27. [Google Scholar] [CrossRef][Green Version]
- Hussain, T.; Tan, B.; Liu, G.; Oladele, O.A.; Rahu, N.; Tossou, M.C.; Yin, Y. Health-Promoting Properties of Eucommia Ulmoides: A Review. In Evidence-Based Complementary and Alternative Medicine; Hindawi: London, UK, 2016; p. 5202908. [Google Scholar]
- Huang, L.; Lyu, Q.; Zheng, W.; Yang, Q.; Cao, G. Traditional Application and Modern Pharmacological Research of Eucommia Ulmoides Oliv. Chin. Med. 2021, 16, 73. [Google Scholar] [CrossRef]
- Zhang, L.; Ravipati, A.S.; Koyyalamudi, S.R.; Jeong, S.C.; Reddy, N.; Bartlett, J.; Smith, P.T.; de la Cruz, M.; Monteiro, M.C.; Melguizo, A.; et al. Anti-Fungal and Anti-Bacterial Activities of Ethanol Extracts of Selected Traditional Chinese Medicinal Herbs. Asian Pac. J. Trop. Med. 2013, 6, 673–681. [Google Scholar] [CrossRef]
- Park, S.A.; Choi, M.S.; Jung, U.J.; Kim, M.J.; Kim, D.J.; Park, H.M.; Park, Y.B.; Lee, M.K. Eucommia Ulmoides Oliver Leaf Extract Increases Endogenous Antioxidant Activity in Type 2 Diabetic Mice. J. Med. Food 2006, 9, 474–479. [Google Scholar] [CrossRef] [PubMed]
- Choi, M.S.; Jung, U.J.; Kim, H.J.; Do, G.M.; Jeon, S.M.; Kim, M.J.; Lee, M.K. Du-zhong (Eucommia Ulmoides Oliver) Leaf Extract Mediates Hypolipidemic Action in Hamsters Fed a High-Fat Diet. Am. J. Chin. Med. 2008, 36, 81–93. [Google Scholar] [CrossRef]
- Kim, M.C.; Kim, D.S.; Kim, S.J.; Park, J.; Kim, H.L.; Kim, S.Y.; Ahn, K.S.; Jang, H.J.; Lee, S.G.; Lee, K.M.; et al. Eucommiae Cortex Inhibits TNF-α and IL-6 Through the Suppression of Caspase-1 in Lipopolysaccharide-Stimulated Mouse Peritoneal Macrophages. Am. J. Chin. Med. 2012, 40, 135–149. [Google Scholar] [CrossRef]
- Kim, B.H.; Park, K.S.; Chang, I.M. Elucidation of Anti-Inflammatory Potencies of Eucommia Ulmoides Bark and Plantago Asiatica Seeds. J. Med. Food 2009, 12, 605–611. [Google Scholar] [CrossRef]
- Hirata, T.; Kobayashi, T.; Wada, A.; Ueda, T.; Fujikawa, T.; Miyashita, H.; Ikeda, T.; Tsukamoto, S.; Nohara, T. Anti-obesity compounds in green leaves of Eucommia ulmoides. Bioorganic Med. Chem. Lett. 2011, 21, 1786–1791. [Google Scholar] [CrossRef]
- Jin, X.; Amitani, K.; Zamami, Y.; Takatori, S.; Hobara, N.; Kawamura, N.; Hirata, T.; Wada, A.; Kitamura, Y.; Kawasaki, H. Ameliorative effect of Eucommia ulmoides Oliv. leaves extract (ELE) on insulin resistance and abnormal perivascular innervation in fructose-drinking rats. J. Ethnopharmacol. 2010, 128, 672–678. [Google Scholar]
- Luo, L.F.; Wu, W.H.; Zhou, Y.J.; Yan, J.; Yang, G.P.; Ouyang, D.S. Antihypertensive effect of Eucommia ulmoides Oliv. extracts in spontaneously hypertensive rats. J. Ethnopharmacol. 2010, 129, 238–243. [Google Scholar] [CrossRef] [PubMed]
- Liu, E.; Han, L.; Wang, J.; He, W.; Shang, H.; Gao, X.; Wang, T. Eucommia ulmoides bark protects against renal injury in cadmium-challenged rats. J. Med. Food 2012, 15, 307–314. [Google Scholar] [CrossRef] [PubMed]
- Kwon, S.H.; Lee, H.K.; Kim, J.A.; Hong, S.I.; Kim, S.Y.; Jo, T.H.; Park, Y.I.; Lee, C.K.; Kim, Y.B.; Lee, S.Y.; et al. Neuroprotective effects of Eucommia ulmoides Oliv. Bark on amyloid beta(25-35)-induced learning and memory impairments in mice. Neurosci. Lett. 2011, 487, 123–127. [Google Scholar] [CrossRef]
- Wang, C.Y.; Tang, L.; He, J.W.; Li, J.; Wang, Y.Z. Ethnobotany, Phytochemistry and Pharmacological Properties of Eucommia ulmoides: A Review. Am. J. Chin. Med. 2019, 47, 259–300. [Google Scholar] [CrossRef] [PubMed]
- Jang, D.W.; Ameer, K.; Oh, J.H.; Park, M.K. Optimization and pretreatment for hot water extraction of Korean deer (Cervus canadensis Erxleben) velvet antlers. J. Microbiol. Biotechnol. 2020, 30, 1116–1123. [Google Scholar] [CrossRef] [PubMed]
- Kim, J.W.; Ku, S.K.; Han, M.H.; Kim, K.Y.; Kim, S.G.; Kim, G.Y.; Hwang, H.J.; Kim, B.W.; Kim, C.M.; Choi, Y.H. The administration of Fructus Schisandrae attenuates dexamethasone-induced muscle atrophy in mice. Int. J. Mol. Med. 2015, 36, 29–42. [Google Scholar] [CrossRef]
- Castillero, E.; Alamdari, N.; Lecker, S.H.; Hasselgren, P.O. Suppression of atrogin-1 and MuRF1 prevents dexamethasone-induced atrophy of cultured myotubes. Metabolism 2013, 62, 1495–1502. [Google Scholar] [CrossRef]
- Porto, J.M.; Nakaishi, A.P.M.; Cangussu-Oliveira, L.M.; Freire Júnior, R.C.; Spilla, S.B.; Abreu, D.C.C. Relationship between grip strength and global muscle strength in community-dwelling older people. Arch. Gerontol. Geriatr. 2019, 82, 273–278. [Google Scholar] [CrossRef]
- Faitg, J.; Leduc-Gaudet, J.-P.; Reynaud, O.; Ferland, G.; Gaudreau, P.; Gouspillou, G. Effects of Aging and Caloric Restriction on Fiber Type Composition, Mitochondrial Morphology and Dynamics in Rat Oxidative and Glycolytic Muscles. Front Physiol. 2019, 10, 420. [Google Scholar] [CrossRef]
- Ribeiro, M.B.T.; Guzzoni, V.; Hord, J.M.; Lopes, G.N.; de Cássia Marqueti, R.; de Andrade, R.V.; Selistre-de-Araujo, H.S.; Durigan, J.L.Q. Resistance training regulates gene expression of molecules associated with intramyocellular lipids, glucose signaling and fiber size in old rats. Sci. Rep. 2019, 9, 6383. [Google Scholar] [CrossRef]
- Gumucio, J.P.; Mendias, C.L. Atrogin-1, MuRF-1, and sarcopenia. Endocrine 2013, 43, 12–21. [Google Scholar] [CrossRef] [PubMed]
- Jo, K.; Jang, W.Y.; Yun, B.S.; Kim, J.S.; Lee, H.S.; Chang, Y.B.; Suh, H.J. Effect of Cervus elaphus Extract on Muscle Differentiation and 5-Aminoimidazole-4-Carboxamide Ribonucleoside (AICAR)-Induced Muscle Atrophy in C2C12 Cells. Food Sci. Anim. Resour. 2021, 41, 623–635. [Google Scholar] [CrossRef] [PubMed]
- Kim, Y.-T.; Jeon, H.; Kim, S.-H.; Heo, K.; Shim, J.-J.; Lee, J.-L.; Yang, D.-C.; Kang, S.C. Fermented Antler Recovers Stamina, Muscle Strength and Muscle Mass in Middle-Aged Mice. Appl. Sci. 2022, 12, 106. [Google Scholar] [CrossRef]
- Jung, S.; Kim, S.-H.; Jeung, W.; Ra, J.; Heo, K.; Shim, J.-J.; Lee, J.-L. Fermented Antler Improves Endurance during Exercise Performance by Increasing Mitochondrial Biogenesis and Muscle Strength in Mice. Appl. Sci. 2021, 11, 5386. [Google Scholar] [CrossRef]
- Jeon, H.; Kim, Y.-T.; Jang, W.Y.; Kim, J.-Y.; Heo, K.; Shim, J.-J.; Lee, J.-L.; Yang, D.-C.; Kang, S.C. Effects of Lactobacillus curvatus HY7602-Fermented Antlers in Dexamethasone-Induced Muscle Atrophy. Fermentation 2022, 8, 454. [Google Scholar] [CrossRef]
- Jeon, H.; Lee, K.; Kim, J.-Y.; Shim, J.-J.; Lee, J.-L. Effect of Lactobacillus curvatus HY7602-Fermented Antler on Sarcopenia in Mice. Fermentation 2023, 9, 429. [Google Scholar] [CrossRef]
- Cho, A.; Christine, M.; Malicdan, V.; Miyakawa, M.; Nonaka, I.; Nishino, I.; Noguchi, S. Sialic acid deficiency is associated with oxidative stress leading to muscle atrophy and weakness in GNE myopathy. Hum. Mol. Genet. 2017, 26, 3081–3093. [Google Scholar] [CrossRef]
- Marini, M.; Ambrosini, S.; Sarchielli, E.; Thyrion, G.D.; Bonaccini, L.; Vannelli, G.B.; Sgambati, E. Expression of sialic acids in human adult skeletal muscle tissue. Acta Histochem. 2014, 116, 926–935. [Google Scholar] [CrossRef]
- Ahn, S. Eucommiae Cortex (Eucommia Ulmoides Oliver) Modulates Muscle Atrophy in Aged Mice. Kinesiology 2020, 5, 65–69. [Google Scholar] [CrossRef]
- Lei, S.; Wu, S.; Wang, G.; Li, B.; Liu, B.; Lei, X. Pinoresinol diglucoside attenuates neuroinflammation, apoptosis and oxidative stress in a mice model with Alzheimer’s disease. Neuroreport 2021, 32, 259–267. [Google Scholar] [CrossRef]







| Group | Experiment | n | Animal |
|---|---|---|---|
| NC | Saline | 6 | Young SD Rat (Male, 3 months) |
| C | Saline | 6 | Aged SD Rat (Male, 15 months) |
| KGC01CE – 50 | CE(1:3) 50 mg/kg b.w | 6 | |
| KGC01CE – 100 | CE(1:3) 100 mg/kg b.w | 6 | |
| KGC01CE – 200 | CE(1:3) 200 mg/kg b.w | 6 |
| Group | AST | ALT | CREA | BUN |
|---|---|---|---|---|
| C | 58.3 ± 4.8 | 16.3 ± 4.4 | 0.3 ± 0.1 | 7.7 ± 1.0 |
| KGC01CE − 50 | 61.8 ± 11.8 | 17.0 ± 4.9 | 0.3 ± 0.1 | 7.6 ± 1.0 |
| KGC01CE − 100 | 55.7 ± 20.2 | 17.0 ± 6.7 | 0.3 ± 0.2 | 6.8 ± 1.0 |
| KGC01CE − 200 | 52.0 ± 9.5 | 13.3 ± 4.3 | 0.3 ± 0.1 | 7.3 ± 1.5 |
Disclaimer/Publisher’s Note: The statements, opinions and data contained in all publications are solely those of the individual author(s) and contributor(s) and not of MDPI and/or the editor(s). MDPI and/or the editor(s) disclaim responsibility for any injury to people or property resulting from any ideas, methods, instructions or products referred to in the content. |
© 2024 by the authors. Licensee MDPI, Basel, Switzerland. This article is an open access article distributed under the terms and conditions of the Creative Commons Attribution (CC BY) license (https://creativecommons.org/licenses/by/4.0/).
Share and Cite
Koo, G.-B.; Kwon, H.O.; Kim, J.H.; Lee, S.H.; Shim, S.L.; Jang, K.H. Protective Effects of Cervus elaphus and Eucommia ulmoides Mixture (KGC01CE) on Muscle Loss and Function in Aged Rats. Curr. Issues Mol. Biol. 2024, 46, 11190-11206. https://doi.org/10.3390/cimb46100664
Koo G-B, Kwon HO, Kim JH, Lee SH, Shim SL, Jang KH. Protective Effects of Cervus elaphus and Eucommia ulmoides Mixture (KGC01CE) on Muscle Loss and Function in Aged Rats. Current Issues in Molecular Biology. 2024; 46(10):11190-11206. https://doi.org/10.3390/cimb46100664
Chicago/Turabian StyleKoo, Gi-Bang, Han Ol Kwon, Jong Han Kim, Seung Ho Lee, Sung Lye Shim, and Kyoung Hwa Jang. 2024. "Protective Effects of Cervus elaphus and Eucommia ulmoides Mixture (KGC01CE) on Muscle Loss and Function in Aged Rats" Current Issues in Molecular Biology 46, no. 10: 11190-11206. https://doi.org/10.3390/cimb46100664
APA StyleKoo, G.-B., Kwon, H. O., Kim, J. H., Lee, S. H., Shim, S. L., & Jang, K. H. (2024). Protective Effects of Cervus elaphus and Eucommia ulmoides Mixture (KGC01CE) on Muscle Loss and Function in Aged Rats. Current Issues in Molecular Biology, 46(10), 11190-11206. https://doi.org/10.3390/cimb46100664

