Edaravone Exerts Protective Effects on Mice Intestinal Injury without Interfering with the Anti-Tumor Effects of Radiation
Abstract
1. Introduction
2. Materials and Methods
2.1. Animals
2.2. Drugs
2.3. Radiation
2.4. Experimental Design
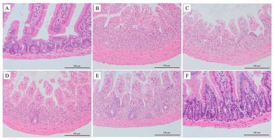
2.5. Histopathological Examination
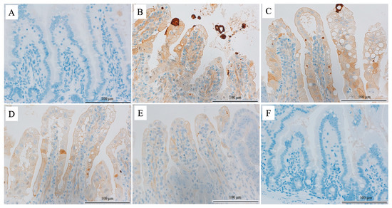
2.6. Immunohistochemistry
2.7. Statistical Analyses
2.8. All Materials Details
- C3H/HeNSlc mice (Sankyo Labo Service Corporation Inc., Tokyo, Japan)
- Edaravone (3-methyl-1-phenyl-2-pyrazolin-5-one; Radicut®; Mitsubishi Tanabe Pharma Corporation, Osaka, Japan)
- Radiation device (MBR-1520R2; Hitachi, Tokyo, Japan)
- SCC VII tumor cells (squamous cell-like cells provided by Professor Miura, Tokyo Medical and Dental University, Tokyo, Japan)
- Medium (Thermo Fisher Scientific, Waltham, MA, USA)
- 10% fetal bovine serum (Sigma-Aldrich, St. Louis, MO, USA)
- 1% penicillin–streptomycin solution (Sigma-Aldrich, St. Louis, MO, USA)
- Hanks’ balanced salt solution (Thermo Fisher Scientific, Waltham, MA, USA)
- Crystal violet (Fujifilm Wako Pure Chemical Corporation, Osaka, Japan)
- Anticleaved caspase-3 rabbit antibody (No. 9664, 1:50; Cell Signaling Technology Japan, K.K., Tokyo, Japan)
3. Results
3.1. Body Weight
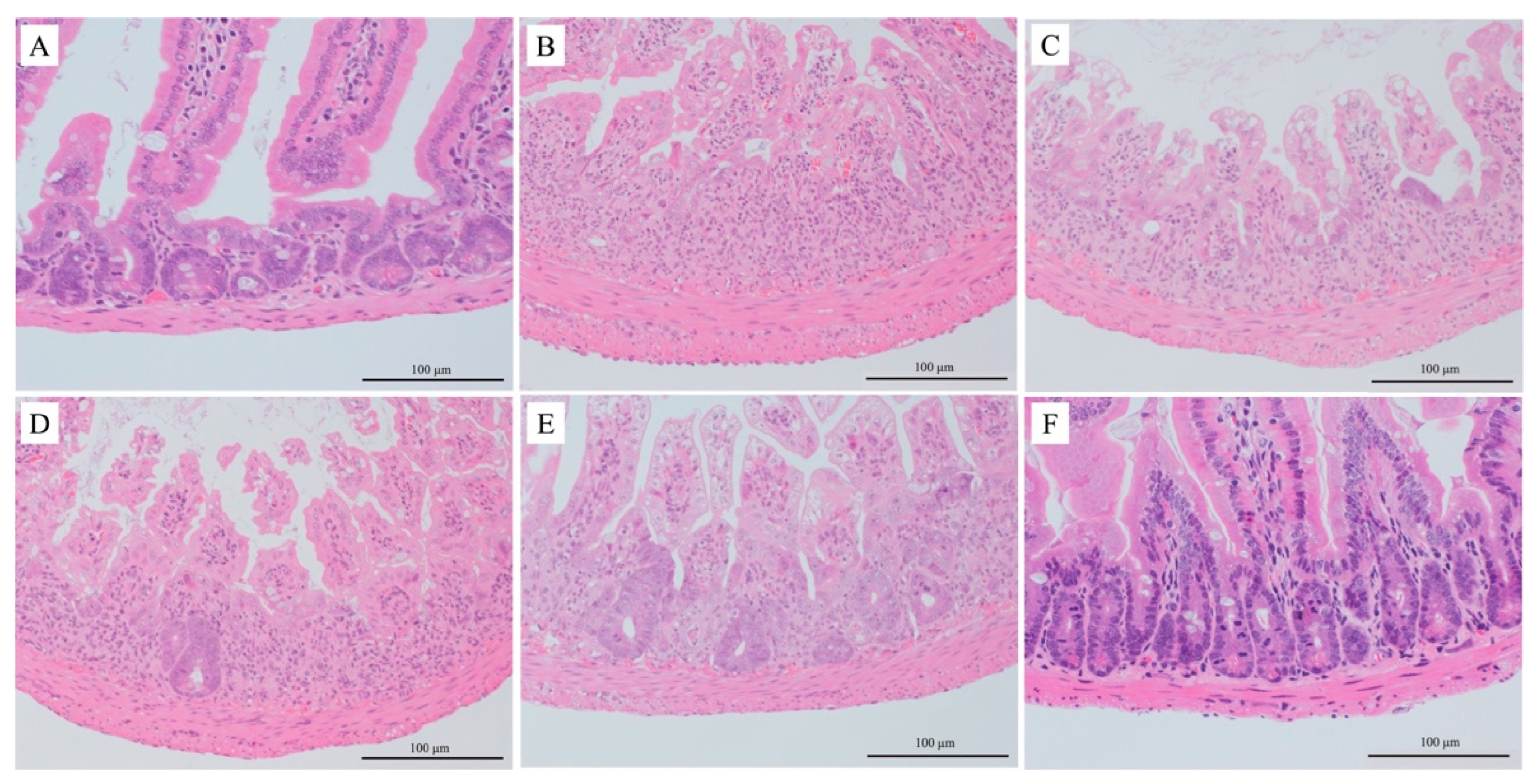
3.2. Histopathological Results
3.3. Immunohistochemical Results
3.4. Effects of Edaravone on Mice Tumor
4. Discussion
5. Conclusions
Author Contributions
Funding
Institutional Review Board Statement
Informed Consent Statement
Data Availability Statement
Acknowledgments
Conflicts of Interest
References
- Sung, H.; Ferlay, J.; Siegel, R.L.; Laversanne, M.; Soerjomataram, I.; Jemal, A.; Bray, F. Global Cancer Statistics 2020: GLOBOCAN Estimates of Incidence and Mortality Worldwide for 36 Cancers in 185 Countries. CA Cancer J. Clin. 2021, 71, 209–249. [Google Scholar] [CrossRef] [PubMed]
- Baskar, R.; Lee, K.A.; Yeo, R.; Yeoh, K.W. Cancer and radiation therapy: Current advances and future directions. Int. J. Med. Sci. 2012, 9, 193–199. [Google Scholar] [CrossRef] [PubMed]
- Bernier, J.; Hall, E.J.; Giaccia, A. Radiation oncology: A century of achievements. Nat. Rev. Cancer 2004, 4, 737–747. [Google Scholar] [CrossRef] [PubMed]
- Feinendegen, L.E. Reactive oxygen species in cell responses to toxic agents. Hum. Exp. Toxicol. 2002, 21, 85–90. [Google Scholar] [CrossRef] [PubMed]
- Timmerman, R.D.; Herman, J.; Cho, L.C. Emergence of stereotactic body radiation therapy and its impact on current and future clinical practice. J. Clin. Oncol. 2014, 32, 2847–2854. [Google Scholar] [CrossRef]
- Shen, Z.T.; Zhou, H.; Li, A.M.; Ji, X.Q.; Jiang, C.C.; Yuan, X.; Li, B.; Zhu, X.X.; Huang, G.C. Clinical outcomes and prognostic factors of stereotactic body radiation therapy combined with gemcitabine plus capecitabine for locally advanced unresectable pancreatic cancer. J. Cancer Res. Clin. Oncol. 2020, 146, 417–428. [Google Scholar] [CrossRef]
- Kawamoto, T.; Shikama, N.; Sasai, K. Severe acute radiation-induced enterocolitis after combined palbociclib and palliative radiotherapy treatment. Radiother. Oncol. J. Eur. Soc. Ther. Radiol. Oncol. 2019, 131, 240–241. [Google Scholar] [CrossRef]
- Lu, L.; Li, W.; Chen, L.; Su, Q.; Wang, Y.; Guo, Z.; Lu, Y.; Liu, B.; Qin, S. Radiation-induced intestinal damage: Latest molecular and clinical developments. Future Oncol. 2019, 15, 4105–4118. [Google Scholar] [CrossRef]
- Bagheri, H.; Rezapoor, S.; Najafi, M.; Safar, H.; Shabeeb, D.; Cheki, M.; Shekarchi, B.; Motevaseli, E. Metformin Protects the Rat Small Intestine Against Radiation Enteritis. Undishapur J. Nat. Pharm. Prod. 2019, 14, e67352. [Google Scholar] [CrossRef]
- Sugarbaker, P.H. Intrapelvic prosthesis to prevent injury of the small intestine with high dosage pelvic irradiation. Surg. Gynecol. Obstet. 1983, 157, 269–271. [Google Scholar]
- Tuech, J.J.; Chaudron, V.; Thoma, V.; Ollier, J.C.; Tassetti, V.; Duval, D.; Rodier, J.F. Prevention of radiation enteritis by intrapelvic breast prosthesis. Eur. J. Surg. Oncol. 2004, 30, 900–904. [Google Scholar] [CrossRef] [PubMed]
- Abe, S.; Kirima, K.; Tsuchiya, K.; Okamoto, M.; Hasegawa, T.; Houchi, H.; Yoshizumi, M.; Tamaki, T. The reaction rate of edaravone (3-methyl-1-phenyl-2-pyrazolin-5-one (MCI-186)) with hydroxyl radical. Chem. Pharm. Bull. 2004, 52, 186–191. [Google Scholar] [CrossRef] [PubMed]
- Anzai, K.; Furuse, M.; Yoshida, A.; Matsuyama, A.; Moritake, T.; Tsuboi, K.; Ikota, N. In vivo radioprotection of mice by 3-methyl-1-phenyl-2-pyrazolin-5-one (edaravone; Radicut), a clinical drug. J. Radiat. Res. 2004, 45, 319–323. [Google Scholar] [CrossRef] [PubMed]
- Motomura, K.; Ogura, M.; Natsume, A.; Yokoyama, H.; Wakabayashi, T. A free-radical scavenger protects the neural progenitor cells in the dentate subgranular zone of the hippocampus from cell death after X-irradiation. Neurosci. Lett. 2010, 485, 65–70. [Google Scholar] [CrossRef]
- Nakajima, N.; Watanabe, S.; Kiyoi, T.; Tanaka, A.; Suemaru, K.; Araki, H. Evaluation of edaravone against radiation-induced oral mucositis in mice. J. Pharmacol. Sci. 2015, 127, 339–343. [Google Scholar] [CrossRef]
- Mete Ural, Ü.; Gürlek, B.; Alver, A. Protective effect of edaravone against radiation-induced ovarian injury: A histopathological and immunohistochemical evaluation in an experimental rat model. Arch. Gynecol. Obstet. 2021, 303, 1009–1016. [Google Scholar] [CrossRef]
- Sayin, V.I.; Ibrahim, M.X.; Larsson, E.; Nilsson, J.A.; Lindahl, P.; Bergo, M.O. Antioxidants accelerate lung cancer progression in mice. Sci. Transl. Med. 2014, 6, 221ra215. [Google Scholar] [CrossRef]
- The Alpha-Tocopherol Beta Carotene Cancer Prevention Study Group. The effect of vitamin E and beta carotene on the incidence of lung cancer and other cancers in male smokers. N. Engl. J. Med. 1994, 330, 1029–1035. [Google Scholar] [CrossRef]
- Klein, E.A.; Thompson, I.M., Jr.; Tangen, C.M.; Crowley, J.J.; Lucia, M.S.; Goodman, P.J.; Minasian, L.M.; Ford, L.G.; Parnes, H.L.; Gaziano, J.M.; et al. Vitamin E and the risk of prostate cancer: The Selenium and Vitamin E Cancer Prevention Trial (SELECT). JAMA 2011, 306, 1549–1556. [Google Scholar] [CrossRef]
- Ito, K.; Ozasa, H.; Horikawa, S. Edaravone protects against lung injury induced by intestinal ischemia/reperfusion in rat. Free Radic. Biol. Med. 2005, 38, 369–374. [Google Scholar] [CrossRef]
- Ito, H.; Wate, R.; Zhang, J.; Ohnishi, S.; Kaneko, S.; Ito, H.; Nakano, S.; Kusaka, H. Treatment with edaravone, initiated at symptom onset, slows motor decline and decreases SOD1 deposition in ALS mice. Exp. Neurol. 2008, 213, 448–455. [Google Scholar] [CrossRef] [PubMed]
- Koike, N.; Sasaki, A.; Murakami, T.; Suzuki, K. Effect of edaravone against cisplatin-induced chronic renal injury. Drug Chem. Toxicol. 2021, 44, 437–446. [Google Scholar] [CrossRef] [PubMed]
- Chen, Q.; Xia, X.; Wu, S.; Wu, A.; Qi, D.; Liu, W.; Cui, F.; Jiao, Y.; Zhu, W.; Gu, Y.; et al. Apoptosis, necrosis, and autophagy in mouse intestinal damage after 15-Gy whole body irradiation. Cell Biochem. Funct. 2014, 32, 647–656. [Google Scholar] [CrossRef] [PubMed]
- Withers, H.R.; Elkind, M.M. Microcolony survival assay for cells of mouse intestinal mucosa exposed to radiation. Int. J. Radiat. Biol. Relat. Stud. Phys. Chem. Med. 1970, 17, 261–267. [Google Scholar] [CrossRef] [PubMed]
- Sasai, K.; Nishimoto, S.; Shimokawa, K.; Hisanaga, Y.; Kitakabu, Y.; Shibamoto, Y.; Zhou, L.; Wang, J.; Takahashi, M.; Kagiya, T.; et al. A fluorinated 2-nitroimidazole, KU-2285, as a new hypoxic cell radiosensitizer. Int. J. Radiat. Oncol. Biol. Phys. 1991, 20, 1249–1254. [Google Scholar] [CrossRef] [PubMed]
- Umar, S. Intestinal stem cells. Curr. Gastroenterol. Rep. 2010, 12, 340–348. [Google Scholar] [CrossRef]
- Park, P.O.; Haglund, U.; Bulkley, G.B.; Fält, K. The sequence of development of intestinal tissue injury after strangulation ischemia and reperfusion. Surgery 1990, 107, 574–580. [Google Scholar]
- Shibata, H.; Yamakoshi, H.; Sato, A.; Ohori, H.; Kakudo, Y.; Kudo, C.; Takahashi, Y.; Watanabe, M.; Takano, H.; Ishioka, C.; et al. Newly synthesized curcumin analog has improved potential to prevent colorectal carcinogenesis in vivo. Cancer Sci. 2009, 100, 956–960. [Google Scholar] [CrossRef]
- Fukuda, K.; Uehara, Y.; Nakata, E.; Inoue, M.; Shimazu, K.; Yoshida, T.; Kanda, H.; Nanjo, H.; Hosoi, Y.; Yamakoshi, H.; et al. A diarylpentanoid curcumin analog exhibits improved radioprotective potential in the intestinal mucosa. Int. J. Radiat. Biol. 2016, 92, 388–394. [Google Scholar] [CrossRef]
- Anilkumar, T.V.; Sarraf, C.E.; Hunt, T.; Alison, M.R. The nature of cytotoxic drug-induced cell death in murine intestinal crypts. Br. J. Cancer 1992, 65, 552–558. [Google Scholar] [CrossRef]
- Tsutsumi, Y.; Kamoshida, S. Pitfalls and Caveats in Histochemically Demonstrating Apoptosis. Acta Histochem. Et Cytochem. 2003, 36, 271–280. [Google Scholar] [CrossRef]
- Katz, B.M.; McSweeney, M. A Multivariate Kruskal-Wallis Test with Post Hoc Procedures. Multivar. Behav. Res. 1980, 15, 281–297. [Google Scholar] [CrossRef]
- Kanda, Y. Investigation of the freely available easy-to-use software ‘EZR’ for medical statistics. Bone Marrow Transpl. 2013, 48, 452–458. [Google Scholar] [CrossRef] [PubMed]
- Higashi, Y.; Jitsuiki, D.; Chayama, K.; Yoshizumi, M. Edaravone (3-methyl-1-phenyl-2-pyrazolin-5-one), a novel free radical scavenger, for treatment of cardiovascular diseases. Recent Pat. Cardiovasc. Drug Discov. 2006, 1, 85–93. [Google Scholar] [CrossRef]
- Tomatsuri, N.; Yoshida, N.; Takagi, T.; Katada, K.; Isozaki, Y.; Imamoto, E.; Uchiyama, K.; Kokura, S.; Ichikawa, H.; Naito, Y.; et al. Edaravone, a newly developed radical scavenger, protects against ischemia-reperfusion injury of the small intestine in rats. Int. J. Mol. Med. 2004, 13, 105–109. [Google Scholar] [CrossRef] [PubMed]
- Nakase, T.; Yoshioka, S.; Suzuki, A. Free radical scavenger, edaravone, reduces the lesion size of lacunar infarction in human brain ischemic stroke. BMC Neurol. 2011, 11, 39. [Google Scholar] [CrossRef] [PubMed]
- Tang, Y.; Rong, X.; Hu, W.; Li, G.; Yang, X.; Yang, J.; Xu, P.; Luo, J. Effect of edaravone on radiation-induced brain necrosis in patients with nasopharyngeal carcinoma after radiotherapy: A randomized controlled trial. J. Neurooncol. 2014, 120, 441–447. [Google Scholar] [CrossRef]
- Wang, C.Y.; Mayo, M.W.; Baldwin, A.S., Jr. TNF- and cancer therapy-induced apoptosis: Potentiation by inhibition of NF-kappaB. Science 1996, 274, 784–787. [Google Scholar] [CrossRef]
- Kokura, S.; Yoshida, N.; Sakamoto, N.; Ishikawa, T.; Takagi, T.; Higashihara, H.; Nakabe, N.; Handa, O.; Naito, Y.; Yoshikawa, T. The radical scavenger edaravone enhances the anti-tumor effects of CPT-11 in murine colon cancer by increasing apoptosis via inhibition of NF-kappaB. Cancer Lett. 2005, 229, 223–233. [Google Scholar] [CrossRef]






Disclaimer/Publisher’s Note: The statements, opinions and data contained in all publications are solely those of the individual author(s) and contributor(s) and not of MDPI and/or the editor(s). MDPI and/or the editor(s) disclaim responsibility for any injury to people or property resulting from any ideas, methods, instructions or products referred to in the content. |
© 2023 by the authors. Licensee MDPI, Basel, Switzerland. This article is an open access article distributed under the terms and conditions of the Creative Commons Attribution (CC BY) license (https://creativecommons.org/licenses/by/4.0/).
Share and Cite
Kawamoto, T.; Sasai, K. Edaravone Exerts Protective Effects on Mice Intestinal Injury without Interfering with the Anti-Tumor Effects of Radiation. Curr. Issues Mol. Biol. 2023, 45, 5362-5372. https://doi.org/10.3390/cimb45070340
Kawamoto T, Sasai K. Edaravone Exerts Protective Effects on Mice Intestinal Injury without Interfering with the Anti-Tumor Effects of Radiation. Current Issues in Molecular Biology. 2023; 45(7):5362-5372. https://doi.org/10.3390/cimb45070340
Chicago/Turabian StyleKawamoto, Terufumi, and Keisuke Sasai. 2023. "Edaravone Exerts Protective Effects on Mice Intestinal Injury without Interfering with the Anti-Tumor Effects of Radiation" Current Issues in Molecular Biology 45, no. 7: 5362-5372. https://doi.org/10.3390/cimb45070340
APA StyleKawamoto, T., & Sasai, K. (2023). Edaravone Exerts Protective Effects on Mice Intestinal Injury without Interfering with the Anti-Tumor Effects of Radiation. Current Issues in Molecular Biology, 45(7), 5362-5372. https://doi.org/10.3390/cimb45070340

