Specific Targeting and Labeling of Colonic Polyps in CPC-APC Mice with Mucin 5AC Fluorescent Antibodies: A Model for Detection of Early Colon Cancer
Abstract
1. Introduction
2. Materials and Methods
2.1. Antibody Conjugation
2.2. Mouse Models
2.3. Antibody-Conjugate Administration and Imaging
2.4. Histology
2.5. Statistical Analysis
3. Results
3.1. Specific Labeling of Colonic Polyps with MUC5AC-IR800
3.2. Increased Polyp to Background Ratios with Higher Dosage of MUC5AC-IR800
3.3. Fluorescence Intensity
3.4. Statistical Analysis
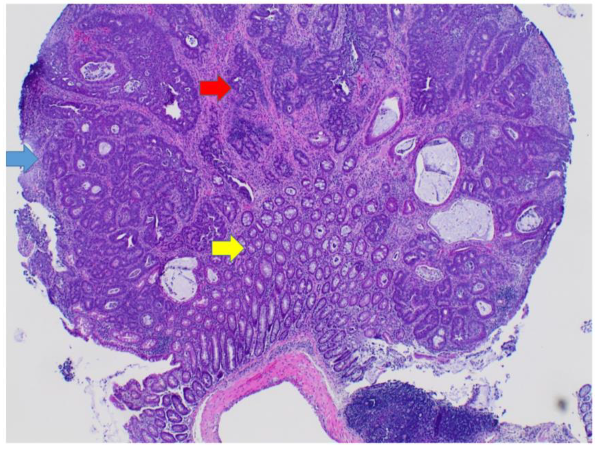
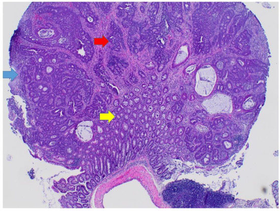
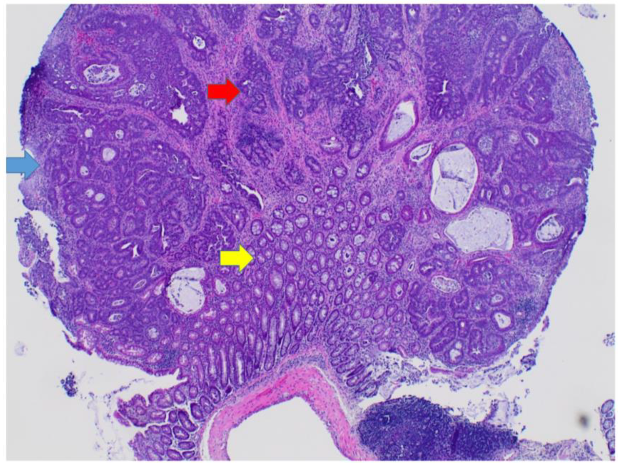
3.5. Polyps Contain Dysplasia and Adenocarcinoma
4. Discussion
Author Contributions
Funding
Institutional Review Board Statement
Informed Consent Statement
Data Availability Statement
Acknowledgments
Conflicts of Interest
References
- Siegel, R.L.; Miller, K.D.; Fuchs, H.E.; Jamel, A. Cancer Statistics, 2021. CA Cancer J. Clin. 2021, 71, 7–33. [Google Scholar] [CrossRef]
- Kocarnik, J.; Compton, K.; Dean, F.; Fu, W.; Gaw, B. Global Burden of Disease 2019 Cancer Collaboration, Cancer Incidence, Mortality, Years of Life Lost, Years Lived with Disability, and Disability-Adjusted Life Years for 29 Cancer Groups From 2010 to 2019: A Systematic Analysis for the Global Burden of Disease Study 2019. JAMA Oncol. 2022, 8, 420–444. [Google Scholar]
- Viale, P.H. The American Cancer Society’s Facts & Figures: 2020 Edition. J. Adv. Pract. Oncol. 2020, 11, 135–136. [Google Scholar]
- Carethers, J.M.; Jung, B.H. Genetics and Genetic Biomarkers in Sporadic Colorectal Cancer. Gastroenterology 2015, 149, 1177–1190e3. [Google Scholar] [CrossRef]
- Okugawa, Y.; Grady, W.M.; Goel, A. Epigenetic Alterations in Colorectal Cancer: Emerging Biomarkers. Gastroenterology 2015, 149, 1204–1225.e12. [Google Scholar] [CrossRef]
- Pancione, M.; Remo, A.; Colantuoni, V. Genetic and epigenetic events generate multiple pathways in colorectal cancer pro-gression. Patholog. Res. Int. 2012, 2012, 509348. [Google Scholar]
- Buda, A.; De Bona, M.; Dotti, I.; Piselli, P.; Zabeo, E.; Barbazza, R.; Bellumat, A.; Valiante, F.; Nardon, E.; Probert, C.S.; et al. Prevalence of different subtypes of serrated polyps and risk of synchronous advanced colo-rectal neoplasia in average-risk population undergoing first-time colonoscopy. Clin. Transl. Gastroenterol. 2012, 3, e6. [Google Scholar] [CrossRef]
- Crockett, S.D.; Snover, D.C.; Ahnen, D.J.; Baron, J.A. Sessile Serrated Adenomas: An Evidence-Based Guide to Management. Clin. Gastroenterol. Hepatol. 2015, 13, 11–26.e1. [Google Scholar] [CrossRef]
- Hetzel, J.T.; Huang, C.; Coukos, J.A.; Omstead, K.; Cerda, S.; Yang, S.; O’Brien, M.J.; Farraye, F. Variation in the Detection of Serrated Polyps in an Average Risk Colorectal Cancer Screening Cohort. Am. J. Gastroenterol. 2010, 105, 2656–2664. [Google Scholar] [CrossRef]
- Davidson, K.W.; Barry, M.J.; Mangione, C.M.; Cabana, M.; Caughey, A.B.; Davis, E.M.; Donahue, K.E.; Doubeni, C.A.; Krist, A.H. US Preventive Services Task Force, Screening for Colorectal Cancer: US Preventive Services Task Force Recommendation Statement. JAMA 2021, 325, 1965–1977, Erratum in JAMA 2021, 326, 773. [Google Scholar] [CrossRef]
- van Rijn, J.C.; Reitsma, J.B.; Stoker, J.; Bossuyt, P.M.; van Deventer, S.J.; Dekker, E. Polyp miss rate determined by tandem colonoscopy: A systematic review. Am. J. Gastroenterol. 2006, 101, 343–350. [Google Scholar] [CrossRef] [PubMed]
- Bettington, M.; Walker, N.; Rosty, C.; Brown, I.; Clouston, A.; Wockner, L.; Whitehall, V.; Leggett, B. Critical appraisal of the di-agnosis of the sessile serrated adenoma. Am. J. Surg. Pathol. 2014, 38, 158–166. [Google Scholar] [CrossRef] [PubMed]
- Carr, N.J.; Mahajan, H.; Tan, K.L.; Hawkins, N.J.; Ward, R.L. Serrated and non-serrated polyps of the colorectum: Their prevalence in an unselected case series and correlation of BRAF mutation analysis with the diagnosis of sessile serrated adenoma. J. Clin. Pathol. 2009, 62, 516–518. [Google Scholar] [CrossRef]
- Mohammadi, M.; Garbyal, R.S.; Kristensen, M.H.; Madsen, P.M.; Nielsen, H.J.; Holck, S. Sessile serrated lesion and its borderline variant—Variables with impact on recorded data. Pathol.-Res. Pract. 2011, 207, 410–416. [Google Scholar] [CrossRef] [PubMed]
- Sandmeier, D.; Seelentag, W.; Bouzourene, H. Serrated polyps of the colorectum: Is sessile serrated adenoma distinguishable from hyperplastic polyp in a daily practice? Virchows Arch. 2007, 450, 613–618. [Google Scholar] [CrossRef]
- Sano, Y.; Tanaka, S.; Kudo, S.-E.; Saito, S.; Matsuda, T.; Wada, Y.; Fujii, T.; Ikematsu, H.; Uraoka, T.; Kobayashi, N.; et al. Narrow-band imaging (NBI) magnifying endoscopic classification of colorectal tumors proposed by the Japan NBI Expert Team. Dig. Endosc. 2016, 28, 526–533. [Google Scholar] [CrossRef]
- Gono, K.; Obi, T.; Yamaguchi, M.; Ohyama, N.; Machida, H.; Sano, Y.; Yoshida, S.; Hamamoto, Y.; Endo, T. Appearance of enhanced tissue features in narrow-band endoscopic imaging. J. Biomed. Opt. 2004, 9, 568–577. [Google Scholar] [CrossRef]
- Rastogi, A.; Bansal, A.; Wani, S.; Callahan, P.; Pandya, P.; Mathur, S.; Sharma, P. Does Narrow Band Imaging (NBI) Colonoscopy Increase the Detection Rate of Colon Polyps?—A Pilot Feasibility Study. Gastrointest. Endosc. 2007, 65, AB259. [Google Scholar] [CrossRef]
- Sano, Y.; Kobayashi, M.; Hamamoto, Y. New diagnostic method based on color imaging using narrow-band imaging (NBI) system for gastrointestinal tract. Gastrointest. Endosc. 2001, 53, AB125. [Google Scholar]
- Machida, H.; Sano, Y.; Hamamoto, Y.; Muto, M.; Kozu, T.; Tajiri, H.; Yoshida, S. Narrow-band imaging for differential diagnosis of colorectal mucosal lesions: A pilot study. Endoscopy 2004, 36, 1094–1098. [Google Scholar] [CrossRef]
- Sabbagh, L.C.; Reveiz, L.; Aponte, D.; De Aguiar, S. Narrow-band imaging does not improve detection of colorectal polyps when compared to conventional colonoscopy: A randomized controlled trial and meta-analysis of published studies. BMC Gastroenterol. 2011, 11, 100. [Google Scholar] [CrossRef] [PubMed]
- Nagorni, A.; Bjelakovic, G.; Petrovic, B. Narrow band imaging versus conventional white light colonoscopy for the detection of colorectal polyps. Cochrane Database Syst. Rev. 2010, 1, CD008361. [Google Scholar] [CrossRef]
- Jung, M.; Kiesslich, R. Chromoendoscopy and intravital staining techniques. Baillieres Best Pract. Res. Clin. Gastroenterol. 1999, 13, 11–19. [Google Scholar] [CrossRef]
- Bruno, M.J. Magnification endoscopy, high resolution endoscopy, and chromoscopy; towards a better optical diagnosis. Gut 2003, 52, iv7–iv11. [Google Scholar] [CrossRef] [PubMed]
- van den Broek, F.J.; Fockens, P.; Dekker, E. Review article: New developments in colonic imaging. Aliment. Pharm. Ther. 2007, 26 (Suppl S2), 91–99. [Google Scholar] [CrossRef]
- Brooker, J.C.; Saunders, B.P.; Shah, S.G.; Thapar, C.J.; Thomas, H.J.; Atkin, W.S.; Williams, C.B. Total colonic dye-spray increases the detection of diminutive adenomas during routine colonoscopy: A randomized controlled trial. Gastrointest. Endosc. 2002, 56, 333–338. [Google Scholar] [CrossRef]
- Hurlstone, D.P.; Cross, S.S.; Slater, R.; Sanders, D.S.; Brown, S. Detecting diminutive colorectal lesions at colonoscopy: A randomised controlled trial of pan-colonic versus targeted chromoscopy. Gut 2004, 53, 376–380. [Google Scholar] [CrossRef]
- Lapalus, M.G.; Helbert, T.; Napoleon, B.; Rey, J.F.; Houcke, P.; Ponchon, T. Does chromoendoscopy with structure enhancement improve the colonoscopic adenoma detection rate? Endoscopy 2006, 38, 444–448. [Google Scholar] [CrossRef]
- Hinoi, T.; Akyol, A.; Theisen, B.K.; Ferguson, D.O.; Greenson, J.K.; Williams, B.O.; Cho, K.R.; Fearon, E.R. Mouse Model of Colonic Adenoma-Carcinoma Progression Based on Somatic Apc Inactivation. Cancer Res 2007, 67, 9721–9730. [Google Scholar] [CrossRef]
- Turner, M.A.; Hollandsworth, H.M.; Amirfakhri, S.; Lwin, T.M.; Nishino, H.; Neel, N.C.; Natarajan, G.; Kaur, S.; Mallya, K.; Hoffman, R.M.; et al. Anti-mucin 4 fluorescent antibody brightly targets colon cancer in patient-derived orthotopic xenograft mouse models: A proof-of-concept study for future clinical applications. Am. J. Surg. 2022, 224, 1081–1085. [Google Scholar] [CrossRef]
- Johansson, M.E.V.; Sjövall, H.; Hansson, G.C. The gastrointestinal mucus system in health and disease. Nat. Rev. Gastroenterol. Hepatol. 2013, 10, 352–361. [Google Scholar] [CrossRef] [PubMed]
- Cox, K.E.; Liu, S.; Lwin, T.M.; Hoffman, R.M.; Batra, S.K.; Bouvet, M. The Mucin Family of Proteins: Candidates as Potential Biomarkers for Colon Cancer. Cancers 2023, 15, 1491. [Google Scholar] [CrossRef] [PubMed]
- Perçinel, S.; Savaş, B.; Ensari, A.; Kuzu, I.; Kuzu, M.A.; Bektaş, M.; Cetinkaya, H.; Kurşun, N. Mucins in the colorectal neoplastic spectrum with reference to conventional and serrated adenomas. Turk. J. Gastroenterol. 2007, 18, 230–238. [Google Scholar] [PubMed]
- Gum, J.R.; Crawley, S.C.; Hicks, J.W.; Szymkowski, D.E.; Kim, Y.S. MUC17, a novel membrane-tethered mucin. Biochem. Biophys. Res. Commun. 2002, 291, 466–475. [Google Scholar] [CrossRef]
- Reid, C.J.; Harris, A. Developmental expression of mucin genes in the human gastrointestinal system. Gut 1998, 42, 220–226. [Google Scholar] [CrossRef]
- Krishn, S.R.; Kaur, S.; Smith, L.M.; Johansson, S.L.; Jain, M.; Patel, A.; Batra, S.K. Mucins and associated glycan signatures in colon adenoma-carcinoma sequence: Prospective pathological implication(s) for early diagnosis of colon cancer. Cancer Lett. 2016, 374, 304–314. [Google Scholar] [CrossRef]
- Bartman, A.E.; Sanderson, S.J.; Ewing, S.L.; Niehans, G.A.; Wiehr, C.L.; Evans, M.K.; Ho, S.B. Aberrant expression of MUC5AC and MUC6 gastric mucin genes in colorectal polyps. Int. J. Cancer 1999, 80, 108–210. [Google Scholar] [CrossRef]
- Shanmugam, C.; Jhala, N.C.; Katkoori, V.R.; Wan, W.; Meleth, S.; Grizzle, W.E.; Manne, U. Prognostic value of mucin 4 expression in colorectal adenocarcinomas. Cancer 2010, 116, 3577–3586. [Google Scholar] [CrossRef]
- Walsh, M.D.; Clendenning, M.; Williamson, E.; Pearson, S.-A.; Walters, R.J.; Nagler, B.; Packenas, D.; Win, A.K.; Hopper, J.L.; Jenkins, M.A.; et al. Expression of MUC2, MUC5AC, MUC5B, and MUC6 mucins in colorectal cancers and their association with the CpG island methylator phenotype. Mod. Pathol. 2013, 26, 1642–1656. [Google Scholar] [CrossRef]
- Imai, Y.; Yamagishi, H.; Fukuda, K.; Ono, Y.; Inoue, T.; Ueda, Y. Differential mucin phenotypes and their significance in a variation of colorectal carcinoma. World J. Gastroenterol. 2013, 19, 3957–3968. [Google Scholar] [CrossRef]
- Kim, J.H.; Kim, K.J.; Rhee, Y.Y.; Bae, J.M.; Cho, N.Y.; Lee, H.S.; Kang, G.H. Gastric-type expression signature in serrated path-way-associated colorectal tumors. Hum. Pathol. 2015, 46, 643–656. [Google Scholar] [CrossRef] [PubMed]
- Krishn, S.R.; Kaur, S.; Sheinin, Y.M.; Smith, L.M.; Gautam, S.K.; Patel, A.; Jain, M.; Juvvigunta, V.; Pai, P.; Lazenby, A.J.; et al. Mucins and associated O-glycans based immunoprofile for stratification of colorectal polyps: Clinical implication for improved colon surveillance. Oncotarget 2017, 8, 7025–7038. [Google Scholar] [CrossRef] [PubMed]
- Turner, M.A.; Hollandsworth, H.M.; Nishino, H.; Amirfakhri, S.; Lwin, T.M.; Lowy, A.M.; Kaur, S.; Natarajan, G.; Mallya, K.; Hoffman, R.M.; et al. Fluorescent Anti-MUC5AC Brightly Targets Pancreatic Cancer in a Patient-derived Orthotopic Xeno-graft. In Vivo 2022, 36, 57–62. [Google Scholar] [CrossRef] [PubMed]
- Jacob, B.J.; Moineddin, R.; Sutradhar, R.; Baxter, N.N.; Urbach, D.R. Effect of colonoscopy on colorectal cancer incidence and mortality: An instrumental variable analysis. Gastrointest. Endosc. 2012, 76, 355–364.e1. [Google Scholar] [CrossRef]
- Winawer, S.J.; Zauber, A.G.; Ho, M.N.; O’Brien, M.J.; Gottlieb, L.S.; Sternberg, S.S.; Waye, J.D.; Schapiro, M.; Bond, J.H.; Panish, J.F.; et al. Prevention of Colorectal Cancer by Colonoscopic Polypectomy. The National Polyp Study Workgroup. N. Engl. J. Med. 1993, 329, 1977–1981. [Google Scholar] [CrossRef]
- Pickhardt, P.J.; Nugent, P.A.; Mysliwiec, P.A.; Choi, J.R.; Schindler, W.R. Location of adenomas missed by optical colonoscopy. Ann. Intern. Med. 2004, 141, 352–359. [Google Scholar] [CrossRef]
- Bressler, B.; Paszat, L.F.; Chen, Z.; Rothwell, D.M.; Vinden, C.; Rabeneck, L. Rates of New or Missed Colorectal Cancers After Colonoscopy and Their Risk Factors: A Population-Based Analysis. Gastroenterology 2007, 132, 96–102. [Google Scholar] [CrossRef]
- Laurent, E.; Hussain, H.; Poon, T.K.C.; Ayantunde, A.A. The Incidence, Distribution and Clinicopathology of Missed Colorectal Cancer After Diagnostic Colonoscopy. Turk. J. Gastroenterol. 2021, 32, 988–994. [Google Scholar] [CrossRef]
- Brenner, H.; Chang-Claude, J.; Seiler, C.M.; Hoffmeister, M. Interval cancers after negative colonoscopy: Population-based case-control study. Gut 2011, 61, 1576–1582. [Google Scholar] [CrossRef]
- Duong, A.; Pohl, H.; Djinbachian, R.; Deshêtres, A.; Barkun, A.N.; Marques, P.N.; Bouin, M.; Deslandres, E.; Aguilera-Fish, A.; Leduc, R.; et al. Evaluation of the polyp-based resect and discard strategy: A retrospective study. Endoscopy 2021, 54, 128–135. [Google Scholar] [CrossRef]
- Taghiakbari, M.; Hammar, C.; Frenn, M.; Djinbachian, R.; Pohl, H.; Deslandres, E.; Bouchard, S.; Bouin, M.; von Renteln, D. Non-optical polyp-based resect and discard strategy: A prospective clinical study. World J. Gastroenterol. 2022, 28, 2137–2147. [Google Scholar] [CrossRef] [PubMed]
- Molaei, M.; Mansoori, B.K.; Mashayekhi, R.; Vahedi, M.; Pourhoseingholi, M.A.; Fatemi, S.R.; Zali, M.R. Mucins in neoplastic spectrum of colorectal polyps: Can they provide predictions? BMC Cancer 2010, 10, 537. [Google Scholar] [CrossRef] [PubMed]
- Pothuraju, R.; Rachagani, S.; Krishn, S.R.; Chaudhary, S.; Nimmakayala, R.K.; Siddiqui, J.A.; Ganguly, K.; Lakshmanan, I.; Cox, J.L.; Mallya, K.; et al. Molecular implications of MUC5AC-CD44 axis in colorectal cancer progression and chemoresistance. Mol. Cancer 2020, 19, 1–14. [Google Scholar] [CrossRef] [PubMed]
- Renaud, F.; Vincent, A.; Mariette, C.; Crépin, M.; Stechly, L.; Truant, S.; Buisine, M.P. MUC5AC hypomethylation is a predictor of microsatellite instability independently of clinical factors associated with colorectal cancer. Int. J. Cancer 2015, 136, 2811–2821. [Google Scholar] [CrossRef]
- Rico, S.D.; Höflmayer, D.; Büscheck, F.; Dum, D.; Luebke, A.M.; Kluth, M.; Hube-Magg, C.; Hinsch, A.; Möller-Koop, C.; Perez, D.; et al. Elevated MUC5AC expression is associated with mismatch repair deficiency and proximal tumor location but not with cancer progression in colon cancer. Med. Mol. Morphol. 2020, 54, 156–165. [Google Scholar] [CrossRef]
- Samadder, N.J.; Neklason, D.; Snow, A.; Samowitz, W.; Cessna, M.H.; Rowe, K.; Sandhu, I.; Boucher, K.; Pappas, L.; Smith, K.R.; et al. Clinical and Molecular Features of Post-Colonoscopy Colorectal Cancers. Clin. Gastroenterol. Hepatol. 2019, 17, 2731–2739.e2. [Google Scholar] [CrossRef]
- Khaidakov, M.; Lai, K.K.; Roudachevski, D.; Sargsyan, J.; Goyne, H.E.; Pai, R.K.; Lamps, L.W.; Hagedorn, C.H. Gastric Proteins MUC5AC and TFF1 as Potential Diagnostic Markers of Colonic Sessile Serrated Adenomas/Polyps. Am. J. Clin. Pathol. 2016, 146, 530–537. [Google Scholar] [CrossRef]
- Ganguly, K.; Bhatia, R.; Rauth, S.; Kisling, A.; Atri, P.; Thompson, C.; Batra, S.K. Mucin 5AC Serves as the Nexus for beta-Catenin/c-Myc Interplay to Promote Glutamine Dependency During Pancreatic Cancer Chemoresistance. Gastroenterology 2022, 162, 253–268.e13. [Google Scholar] [CrossRef]
- Hoogstins, C.E.S.; Boogerd, L.S.F.; Mulder, B.G.S.; Mieog, J.S.D.; Swijnenburg, R.J.; Van De Velde, C.J.H.; Farina Sarasqueta, A.; Bonsing, B.A.; Framery, B.; Pèlegrin, A.; et al. Image-Guided Surgery in Patients with Pancreatic Cancer: First Results of a Clinical Trial Using SGM-101, a Novel Carcinoembryonic Antigen-Targeting, Near-Infrared Fluorescent Agent. Ann. Surg. Oncol. 2018, 25, 3350–3357. [Google Scholar] [CrossRef]
- Boogerd, L.S.F.; Hoogstins, C.E.S.; Schaap, D.; Kusters, M.; Handgraaf, H.; van der Valk, M.J.M.; Hilling, D.; Holman, F.A.; Peeters, K.C.M.J.; Mieog, J.S.D.; et al. Safety and effectiveness of SGM-101, a fluorescent antibody targeting carcinoembryonic antigen, for intraoperative detection of colorectal cancer: A dose-escalation pilot study. Lancet Gastroenterol. Hepatol. 2018, 3, 181–191. [Google Scholar] [CrossRef]
- de Valk, K.S.; Deken, M.M.; Schaap, D.P.; Meijer, R.P.; Boogerd, L.S.; Hoogstins, C.E.; Vahrmeijer, A.L. Dose-Finding Study of a CEA-Targeting Agent, SGM-101, for Intraoperative Fluorescence Imaging of Colorectal Cancer. Ann. Surg. Oncol. 2021, 28, 1832–1844. [Google Scholar] [CrossRef] [PubMed]
- Keller, R.; Winde, G.; Terpe, H.J.; Foerster, E.C.; Domschke, W. Fluorescence Endoscopy Using a Fluorescein-Labeled Monoclonal Antibody Against Carcinoembryonic Antigen in Patients with Colorectal Carcinoma and Adenoma. Endoscopy 2002, 34, 801–807. [Google Scholar] [CrossRef] [PubMed]
- Burggraaf, J.; Kamerling, I.M.C.; Gordon, P.B.; Schrier, L.; De Kam, M.L.; Kales, A.J.; Bendiksen, R.; Indrevoll, B.; Bjerke, R.M.; Moestue, S.A.; et al. Detection of colorectal polyps in humans using an intravenously administered fluorescent peptide targeted against c-Met. Nat. Med. 2015, 21, 955–961. [Google Scholar] [CrossRef] [PubMed]




| Dose Comparison | Difference in Mean PBR | p-Value |
|---|---|---|
| 25 µg–50 µg | 0.934 (0.096–1.772) | 0.021 * |
| 25 µg–100 µg | 1.622 (0.784–2.460) | <0.001 ** |
| 25 µg–150 µg | 1.682 (0.988–2.377) | <0.001 ** |
| 50 µg–100 µg | 0.688 (−0.182–1.558) | 0.189 |
| 50 µg–150 µg | 0.748 (0.016–1.481) | 0.043 * |
| 100 µg–150 µg | 0.060 (−0.672–0.793) | 0.999 |
Disclaimer/Publisher’s Note: The statements, opinions and data contained in all publications are solely those of the individual author(s) and contributor(s) and not of MDPI and/or the editor(s). MDPI and/or the editor(s) disclaim responsibility for any injury to people or property resulting from any ideas, methods, instructions or products referred to in the content. |
© 2023 by the authors. Licensee MDPI, Basel, Switzerland. This article is an open access article distributed under the terms and conditions of the Creative Commons Attribution (CC BY) license (https://creativecommons.org/licenses/by/4.0/).
Share and Cite
Turner, M.A.; Cox, K.E.; Liu, S.; Neel, N.; Amirfakhri, S.; Nishino, H.; Hosseini, M.; Alcantara, J.A.; Abd El-Hafeez, A.A.; Lwin, T.M.; et al. Specific Targeting and Labeling of Colonic Polyps in CPC-APC Mice with Mucin 5AC Fluorescent Antibodies: A Model for Detection of Early Colon Cancer. Curr. Issues Mol. Biol. 2023, 45, 3347-3358. https://doi.org/10.3390/cimb45040219
Turner MA, Cox KE, Liu S, Neel N, Amirfakhri S, Nishino H, Hosseini M, Alcantara JA, Abd El-Hafeez AA, Lwin TM, et al. Specific Targeting and Labeling of Colonic Polyps in CPC-APC Mice with Mucin 5AC Fluorescent Antibodies: A Model for Detection of Early Colon Cancer. Current Issues in Molecular Biology. 2023; 45(4):3347-3358. https://doi.org/10.3390/cimb45040219
Chicago/Turabian StyleTurner, Michael A., Kristin E. Cox, Shanglei Liu, Nicholas Neel, Siamak Amirfakhri, Hiroto Nishino, Mojgan Hosseini, Joshua A. Alcantara, Amer Ali Abd El-Hafeez, Thinzar M. Lwin, and et al. 2023. "Specific Targeting and Labeling of Colonic Polyps in CPC-APC Mice with Mucin 5AC Fluorescent Antibodies: A Model for Detection of Early Colon Cancer" Current Issues in Molecular Biology 45, no. 4: 3347-3358. https://doi.org/10.3390/cimb45040219
APA StyleTurner, M. A., Cox, K. E., Liu, S., Neel, N., Amirfakhri, S., Nishino, H., Hosseini, M., Alcantara, J. A., Abd El-Hafeez, A. A., Lwin, T. M., Mallya, K., Pisegna, J. R., Singh, S. K., Ghosh, P., Hoffman, R. M., Batra, S. K., & Bouvet, M. (2023). Specific Targeting and Labeling of Colonic Polyps in CPC-APC Mice with Mucin 5AC Fluorescent Antibodies: A Model for Detection of Early Colon Cancer. Current Issues in Molecular Biology, 45(4), 3347-3358. https://doi.org/10.3390/cimb45040219

