Anti-Inflammatory Activity of Cannabis sativa L. Extract in 2,4-Dinitrochlorobenzene-Induced Dermatitis in Rats
Abstract
1. Introduction
2. Results
2.1. Topical Application of Ointment Containing High-Cannabidiol Cannabis sativa L. Extract Resulted in Attenuation of DNCB-Induced Ear Edema in Rats
2.2. Topical Application of Ointment Containing High-Cannabidiol Cannabis sativa L. Extract Did Not Reduce the Frequency of Scratching but Slightly Alleviated the Symptoms of Body Shaking Caused by DNCB Application in Rats
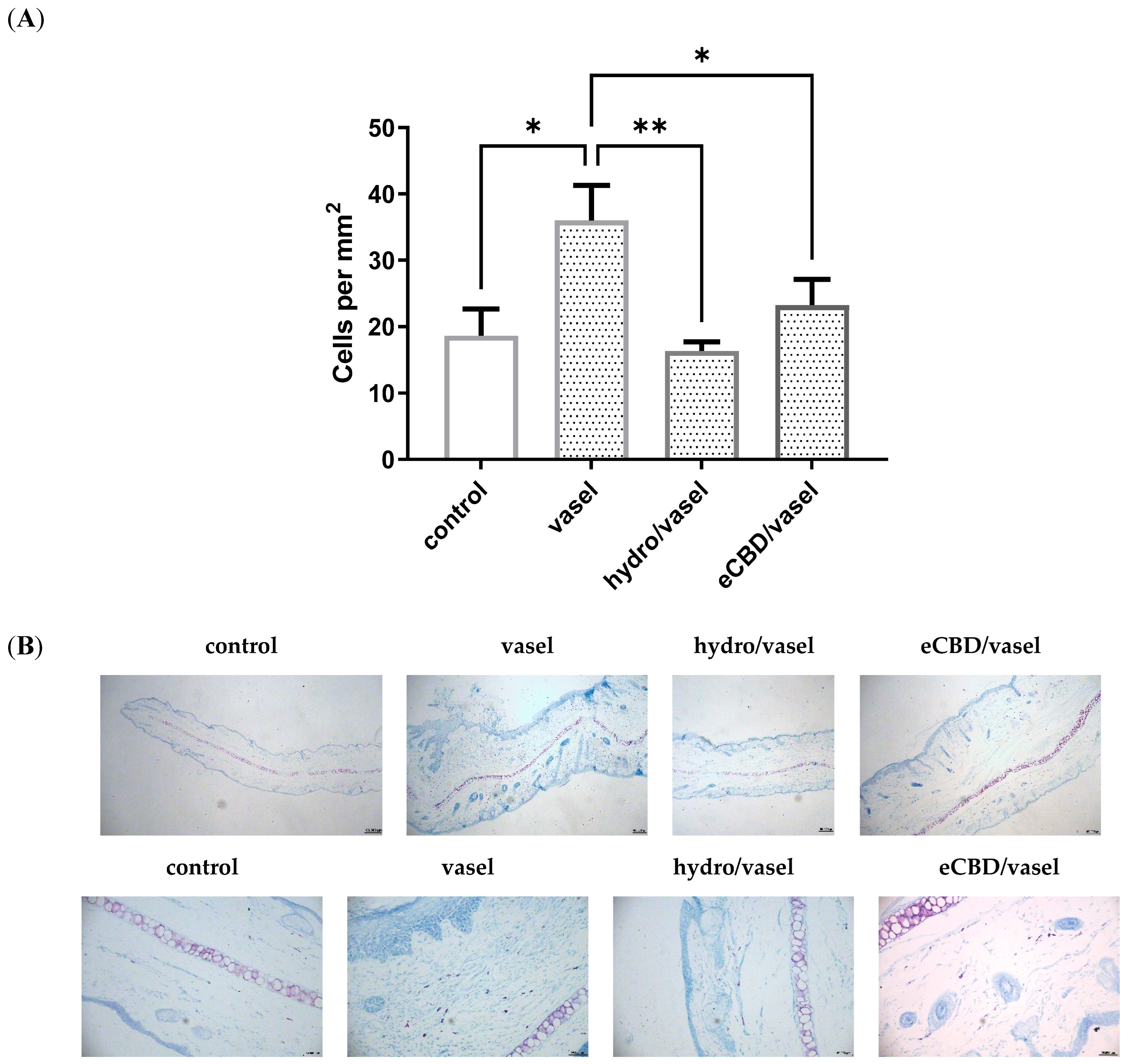
2.3. Histopathological Evaluation of the Ear Skin Treated with High-Cannabidiol Cannabis sativa L. Extract in a Rat Model of DNCB-Induced Dermatitis
2.4. Haematological Parameters of Rats Treated with the Ointment Containing High-Cannabidiol Cannabis sativa L. Extract in the Model of DNCB-Induced Dermatitis
2.4.1. Treatment of DNCB-Induced Dermatitis with an Ointment Containing High-Cannabidiol Cannabis sativa L. Extract Resulted in a Decrease in the Number of Leukocytes
2.4.2. Analysis of the Red Blood Cell Parameters
2.4.3. Analysis of Platelet Parameters
3. Discussion
4. Materials and Methods
4.1. Animals
4.2. Drugs and Reagents
4.3. Experimental Protocol
4.3.1. Rat Model of Chronic Dermatitis
4.3.2. Preparation of the Ointment Containing High-Cannabidiol Cannabis sativa L. Extract
4.3.3. Application of the Ointment Containing High-Cannabidiol C. sativa L. Extract
4.4. Histological Evaluation
4.5. Blood Sample Analyses
4.6. Statistical Analysis
5. Conclusions
Author Contributions
Funding
Institutional Review Board Statement
Informed Consent Statement
Data Availability Statement
Acknowledgments
Conflicts of Interest
Abbreviations
| AD | atopic dermatitis |
| CBC | cannabichromene |
| CBD | cannabidiol |
| CBDV | cannabidivarin |
| CBE | cannabielsoin |
| CBG | cannabigerol |
| DNCB | 2,4-dinitrochlorobenzene |
| eCBD | cannabidiol-enriched Cannabis sativa L. extract |
| GRA% | percentage of granulocytes |
| GRAN | granulocytes |
| HCT | hematocrit |
| HGB | hemoglobin |
| IgE | immunoglobulin E |
| LYM | lymphocytes |
| LYM% | percentage of lymphocytes |
| MCH | mean corpuscular hemoglobin |
| MCHC | mean cell hemoglobin concentration |
| MCV | mean corpuscular volume of a red blood cell |
| MONO | monocytes |
| MONO% | percentage of monocytes |
| MPV | mean platelet volume |
| PBMC | peripheral blood mononuclear cells |
| PEA | palmitoylethanolamide |
| PLT | platelet count |
| RBC | red blood cell |
| RDW% | red cell distribution width–coefficient of variation |
| RDWa | red cell distribution width–standard deviation |
| THC | Δ-9-tetrahydrocannabinol |
| WBC | white blood cells |
References
- Novak, N.; Bieber, T.; Leung, D.Y. Immune mechanisms leading to atopic dermatitis. J. Allergy Clin. Immunol. 2003, 112 (Suppl. S6), S128–S139. [Google Scholar] [CrossRef] [PubMed]
- Blome, C.; Radtke, M.A.; Eissing, L.; Augustin, M. Quality of Life in Patients with Atopic Dermatitis: Disease Burden, Measurement, and Treatment Benefit. Am. J. Clin. Dermatol. 2016, 17, 163–169. [Google Scholar] [CrossRef]
- David Boothe, W.; Tarbox, J.A.; Tarbox, M.B. Atopic Dermatitis: Pathophysiology. Adv. Exp. Med. Biol. 2017, 1027, 21–37. [Google Scholar] [CrossRef]
- Eckert, E. Histopathological and Immunohistological Aspects of Atopic Eczema. In Handbook of Atopic Eczema; Ruzicka, T., Ring, J., Przybilla, B., Eds.; Springer: Berlin/Heidelberg, Germany, 1991; pp. 127–131. [Google Scholar] [CrossRef]
- Leung, D.Y. Atopic dermatitis: The skin as a window into the pathogenesis of chronic allergic diseases. J. Allergy Clin. Immunol. 1995, 96, 302–318; quiz 319. [Google Scholar] [CrossRef]
- Bieber, T. Atopic dermatitis. Ann. Dermatol. 2010, 22, 125–137. [Google Scholar] [CrossRef] [PubMed]
- Buys, L.M. Treatment options for atopic dermatitis. Am. Fam. Physician 2007, 75, 523–528. [Google Scholar] [PubMed]
- Maurer, M.; Worm, M.; Zuberbier, T. Antihistamines in atopic dermatitis. In Textbook of Atopic Dermatitis; Reitamo, S., Luger, T.A., Steinhoff, M., Eds.; Informa UK Ltd.: London, UK, 2008; pp. 197–206. [Google Scholar] [CrossRef]
- Wilkinson, J.D.; Williamson, E.M. Cannabinoids inhibit human keratinocyte proliferation through a non-CB1/CB2 mechanism and have a potential therapeutic value in the treatment of psoriasis. J. Dermatol. Sci. 2007, 45, 87–92. [Google Scholar] [CrossRef]
- Tubaro, A.; Giangaspero, A.; Sosa, S.; Negri, R.; Grassi, G.; Casano, S.; Della Loggia, R.; Appendino, G. Comparative topical anti-inflammatory activity of cannabinoids and cannabivarins. Fitoterapia 2010, 81, 816–819. [Google Scholar] [CrossRef]
- Gaffal, E.; Cron, M.; Glodde, N.; Tüting, T. Anti-inflammatory activity of topical THC in DNFB-mediated mouse allergic contact dermatitis independent of CB1 and CB2 receptors. Allergy 2013, 68, 994–1000. [Google Scholar] [CrossRef]
- Ligresti, A.; De Petrocellis, L.; Di Marzo, V. From Phytocannabinoids to Cannabinoid Receptors and Endocannabinoids: Pleiotropic Physiological and Pathological Roles Through Complex Pharmacology. Physiol. Rev. 2016, 96, 1593–1659. [Google Scholar] [CrossRef]
- Martinez Naya, N.; Kelly, J.; Corna, G.; Golino, M.; Abbate, A.; Toldo, S. Molecular and Cellular Mechanisms of Action of Cannabidiol. Molecules 2023, 28, 5980. [Google Scholar] [CrossRef] [PubMed]
- Marinho, A.; da Silva-Neto, R. Anti-inflammatory effects of cannabinoids. Braz. J. Pain 2023, 6, S31–S37. [Google Scholar] [CrossRef]
- Martinelli, G.; Magnavacca, A.; Fumagalli, M.; Dell’Agli, M.; Piazza, S.; Sangiovanni, E. Cannabis sativa and Skin Health: Dissecting the Role of Phytocannabinoids. Planta Med. 2022, 88, 492–506. [Google Scholar] [CrossRef] [PubMed]
- Del Rosso, J.Q. Use of a palmitoylethanolamide-containing nonsteroidal cream for treating atopic dermatitis: Impact on the duration of response and time between flares. Cosmet. Dermatol. 2007, 20, 208–211. [Google Scholar]
- Maghfour, J.; Rundle, C.W.; Rietcheck, H.R.; Dercon, S.; Lio, P.; Mamo, A.; Runion, T.M.; Fernandez, J.; Kahn, J.; Dellavalle, R.P.; et al. Assessing the Effects of Topical Cannabidiol in Patients with Atopic Dermatitis. Dermatol. Online J. 2021, 27, 13030. Available online: https://www.ncbi.nlm.nih.gov/pubmed/33818989 (accessed on 29 October 2024). [CrossRef]
- Campora, L.; Miragliotta, V.; Ricci, E.; Cristino, L.; Di Marzo, V.; Albanese, F.; Federica Della Valle, M.; Abramo, F. Cannabinoid receptor type 1 and 2 expression in the skin of healthy dogs and dogs with atopic dermatitis. Am. J. Vet. Res. 2012, 73, 988–995. [Google Scholar] [CrossRef]
- Abramo, F.; Campora, L.; Albanese, F.; della Valle, M.F.; Cristino, L.; Petrosino, S.; Di Marzo, V.; Miragliotta, V. Increased levels of palmitoylethanolamide and other bioactive lipid mediators and enhanced local mast cell proliferation in canine atopic dermatitis. BMC Vet. Res. 2014, 10, 21. [Google Scholar] [CrossRef]
- Martín-Fontecha, M.; Eiwegger, T.; Jartti, T.; Rueda-Zubiaurre, A.; Tiringer, K.; Stepanow, J.; Puhakka, T.; Rückert, B.; Ortega-Gutiérrez, S.; López-Rodríguez, M.L.; et al. The expression of cannabinoid receptor 1 is significantly increased in atopic patients. J. Allergy Clin. Immunol. 2014, 133, 926–929.e2. [Google Scholar] [CrossRef]
- Chiocchetti, R.; De Silva, M.; Aspidi, F.; Cunha, R.Z.; Gobbo, F.; Tagliavia, C.; Sarli, G.; Morini, M. Distribution of Cannabinoid Receptors in Keratinocytes of Healthy Dogs and Dogs with Atopic Dermatitis. Front. Vet. Sci. 2022, 9, 915896. [Google Scholar] [CrossRef]
- Chiocchetti, R.; Salamanca, G.; De Silva, M.; Gobbo, F.; Aspidi, F.; Cunha, R.Z.; Galiazzo, G.; Tagliavia, C.; Sarli, G.; Morini, M. Cannabinoid receptors in the inflammatory cells of canine atopic dermatitis. Front. Vet. Sci. 2022, 9, 987132. [Google Scholar] [CrossRef]
- Jhawar, N.; Schoenberg, E.; Wang, J.V.; Saedi, N. The growing trend of cannabidiol in skincare products. Clin. Dermatol. 2019, 37, 279–281. [Google Scholar] [CrossRef]
- Yeroushalmi, S.; Nelson, K.; Sparks, A.; Friedman, A. Perceptions and recommendation behaviors of dermatologists for medical cannabis: A pilot survey. Complement. Ther. Med. 2020, 55, 102552. [Google Scholar] [CrossRef]
- Petrosino, S.; Verde, R.; Vaia, M.; Allarà, M.; Iuvone, T.; Di Marzo, V. Anti-inflammatory Properties of Cannabidiol, a Nonpsychotropic Cannabinoid, in Experimental Allergic Contact Dermatitis. J. Pharmacol. Exp. Ther. 2018, 365, 652–663. [Google Scholar] [CrossRef]
- Casares, L.; García, V.; Garrido-Rodríguez, M.; Millán, E.; Collado, J.A.; García-Martín, A.; Peñarando, J.; Calzado, M.A.; de la Vega, L.; Muñoz, E. Cannabidiol induces antioxidant pathways in keratinocytes by targeting BACH1. Redox Biol. 2020, 28, 101321. [Google Scholar] [CrossRef] [PubMed]
- Rundle, C.W.; Rietcheck, H.R.; Maghfour, J.; Dercon, S.; Fernandez, J.; Lio, P.; Dellavalle, R.P.; Fujita, M.; Yardley, H. Anti-inflammatory Effect of Cannabidiol and Palmitoylethanolamide Containing Topical Formulation on Skin in a 12-O-Tetradecanoylphorbol-13-Acetate-Induced Dermatitis Model in Mice. Dermatitis 2022, 33, 277–281. [Google Scholar] [CrossRef] [PubMed]
- Sangiovanni, E.; Fumagalli, M.; Pacchetti, B.; Piazza, S.; Magnavacca, A.; Khalilpour, S.; Melzi, G.; Martinelli, G.; Dell’Agli, M. Cannabis sativa L. extract and cannabidiol inhibit in vitro mediators of skin inflammation and wound injury. Phytother. Res. 2019, 33, 2083–2093. [Google Scholar] [CrossRef] [PubMed]
- Massimini, M.; Dalle Vedove, E.; Bachetti, B.; Di Pierro, F.; Ribecco, C.; D’Addario, C.; Pucci, M. Polyphenols and Cannabidiol Modulate Transcriptional Regulation of Th1/Th2 Inflammatory Genes Related to Canine Atopic Dermatitis. Front. Vet. Sci. 2021, 8, 606197. [Google Scholar] [CrossRef]
- Loewinger, M.; Wakshlag, J.J.; Bowden, D.; Peters-Kennedy, J.; Rosenberg, A. The effect of a mixed cannabidiol and cannabidiolic acid based oil on client-owned dogs with atopic dermatitis. Vet. Dermatol. 2022, 33, 329-e77. [Google Scholar] [CrossRef]
- Mariga, C.; Souza Silva Mateus, A.L.; Dos Santos Dullius, Â.I.; da Silva, A.P.; Martins Flores, M.; Vasconcelos Soares, A.; Amazonas, E.; Tadeu Lemos Pinto Filho, S. Dermatological evaluation in dogs with atopic dermatitis treated with full-spectrum high cannabidiol oil: A pre study part 1. Front. Vet. Sci. 2023, 10, 1285384. [Google Scholar] [CrossRef]
- Mogi, C.; Yoshida, M.; Kawano, K.; Fukuyama, T.; Arai, T. Effects of Cannabidiol Without Delta-9-Tetrahydrocannabinol on Canine Atopic Dermatitis: A Retrospective Assessment of 8 Cases. Can. Vet. J. 2022, 63, 423–426. Available online: https://www.ncbi.nlm.nih.gov/pubmed/35368394 (accessed on 29 October 2024).
- Maghfour, J.; Rietcheck, H.R.; Rundle, C.W.; Runion, T.M.; Jafri, Z.A.; Dercon, S.; Lio, P.; Fernandez, J.; Fujita, M.; Dellavalle, R.P.; et al. An Observational Study of the Application of a Topical Cannabinoid Gel on Sensitive Dry Skin. J. Drugs Dermatol. 2020, 19, 1204–1208. [Google Scholar] [CrossRef]
- Maghfour, J.; Rietcheck, H.; Szeto, M.D.; Rundle, C.W.; Sivesind, T.E.; Dellavalle, R.P.; Lio, P.; Dunnick, C.A.; Fernandez, J.; Yardley, H. Tolerability profile of topical cannabidiol and palmitoylethanolamide: A compilation of single-centre randomized evaluator-blinded clinical and in vitro studies in normal skin. Clin. Exp. Dermatol. 2021, 46, 1518–1529. [Google Scholar] [CrossRef] [PubMed]
- Palmieri, B.; Laurino, C.; Vadala, M. A therapeutic effect of cbd-enriched ointment in inflammatory skin diseases and cutaneous scars. Clin. Ter. 2019, 170, e93–e99. [Google Scholar] [CrossRef] [PubMed]
- Gao, Y.; Li, Y.; Tan, Y.; Liu, W.; Ouaddi, S.; McCoy, J.; Kovacevic, M.; Situm, M.; Stanimirovic, A.; Li, M.; et al. Novel cannabidiol aspartame combination treatment (JW-100) significantly reduces ISGA score in atopic dermatitis: Results from a randomized double-blinded placebo-controlled interventional study. J. Cosmet. Dermatol. 2022, 21, 1647–1650. [Google Scholar] [CrossRef]
- Kuzumi, A.; Yamashita, T.; Fukasawa, T.; Yoshizaki-Ogawa, A.; Sato, S.; Yoshizaki, A. Cannabinoids for the treatment of autoimmune and inflammatory skin diseases: A systematic review. Exp. Dermatol. 2024, 33, e15064. [Google Scholar] [CrossRef] [PubMed]
- Kuzumi, A.; Yoshizaki-Ogawa, A.; Fukasawa, T.; Sato, S.; Yoshizaki, A. The Potential Role of Cannabidiol in Cosmetic Dermatology: A Literature Review. Am. J. Clin. Dermatol. 2024, 25, 951–966. [Google Scholar] [CrossRef]
- Kim, J.; Kim, B.E.; Leung, D.Y.M. Pathophysiology of atopic dermatitis: Clinical implications. Allergy Asthma Proc. 2019, 40, 84–92. [Google Scholar] [CrossRef]
- Kader, H.A.; Azeem, M.; Jwayed, S.A.; Al-Shehhi, A.; Tabassum, A.; Ayoub, M.A.; Hetta, H.F.; Waheed, Y.; Iratni, R.; Al-Dhaheri, A.; et al. Current Insights into Immunology and Novel Therapeutics of Atopic Dermatitis. Cells 2021, 10, 1392. [Google Scholar] [CrossRef]
- Kawakami, T.; Ando, T.; Kimura, M.; Wilson, B.S.; Kawakami, Y. Mast cells in atopic dermatitis. Curr. Opin. Immunol. 2009, 21, 666–678. [Google Scholar] [CrossRef]
- Callaway, J.; Schwab, U.; Harvima, I.; Halonen, P.; Mykkänen, O.; Hyvönen, P.; Järvinen, T. Efficacy of dietary hempseed oil in patients with atopic dermatitis. J. Dermatolog Treat. 2005, 16, 87–94. [Google Scholar] [CrossRef]
- Peyravian, N.; Deo, S.; Daunert, S.; Jimenez, J.J. Cannabidiol as a Novel Therapeutic for Immune Modulation. Immunotargets Ther. 2020, 9, 131–140. [Google Scholar] [CrossRef]
- Ignatowska-Jankowska, B.; Jankowski, M.; Glac, W.; Swiergel, A.H. Cannabidiol-induced lymphopenia does not involve NKT and NK cells. J. Physiol. Pharmacol. 2009, 60 (Suppl. S3), 99–103. [Google Scholar] [PubMed]
- Jani, T.; Santoro, D.; Shmalberg, J. Investigation of the in vitro effects of cannabidiol, cannabidiolic acid, and the terpene β-caryophyllene on lymphocytes harvested from atopic and healthy dogs: A preliminary study. Res. Vet. Sci. 2025, 182, 105483. [Google Scholar] [CrossRef] [PubMed]
- Thomas, A.; Baillie, G.L.; Phillips, A.M.; Razdan, R.K.; Ross, R.A.; Pertwee, R.G. Cannabidiol displays unexpectedly high potency as an antagonist of CB1 and CB2 receptor agonists in vitro. Br. J. Pharmacol. 2007, 150, 613–623. [Google Scholar] [CrossRef] [PubMed]
- Pertwee, R.G. The diverse CB1 and CB2 receptor pharmacology of three plant cannabinoids: Δ9-tetrahydrocannabinol, cannabidiol and Δ9-tetrahydrocannabivarin. Br. J. Pharmacol. 2008, 153, 199–215. [Google Scholar] [CrossRef]
- Kaplan, B.L.; Springs, A.E.; Kaminski, N.E. The profile of immune modulation by cannabidiol (CBD) involves deregulation of nuclear factor of activated T cells (NFAT). Biochem. Pharmacol. 2008, 76, 726–737. [Google Scholar] [CrossRef]
- Miller, W.L.; Tyrrell, J.B. The Adrenal Cortex. In Endocrinology and Metabolism; Fehlig, P., Baxter, J.D., Frohman, L.A., Eds.; McGraw-Hill, Inc.: New York, NY, USA, 1995; pp. 555–711. Available online: https://www.ncbi.nlm.nih.gov/books/NBK26/box/&id/ (accessed on 29 October 2024).
- Riedl, R.; Kühn, A.; Rietz, D.; Hebecker, B.; Glowalla, K.G.; Peltner, L.K.; Jordan, P.M.; Werz, O.; Lorkowski, S.; Wiegand, C.; et al. Establishment and Characterization of Mild Atopic Dermatitis in the DNCB-Induced Mouse Model. Int. J. Mol. Sci. 2023, 24, 12325. [Google Scholar] [CrossRef]
- Fujii, Y.; Takeuchi, H.; Sakuma, S.; Sengoku, T.; Takakura, S. Characterization of a 2,4-dinitrochlorobenzene-induced chronic dermatitis model in rats. Skin. Pharmacol. Physiol. 2009, 22, 240–247. [Google Scholar] [CrossRef]
- Sato, K.; Sugibayashi, K.; Morimoto, Y. Species differences in percutaneous absorption of nicorandil. J. Pharm. Sci. 1991, 80, 104–107. [Google Scholar] [CrossRef]










Disclaimer/Publisher’s Note: The statements, opinions and data contained in all publications are solely those of the individual author(s) and contributor(s) and not of MDPI and/or the editor(s). MDPI and/or the editor(s) disclaim responsibility for any injury to people or property resulting from any ideas, methods, instructions or products referred to in the content. |
© 2025 by the authors. Licensee MDPI, Basel, Switzerland. This article is an open access article distributed under the terms and conditions of the Creative Commons Attribution (CC BY) license (https://creativecommons.org/licenses/by/4.0/).
Share and Cite
Wolińska, R.; Zalewska, M.; Poznański, P.; Nawrocka, A.; Kowalczyk, A.; Sacharczuk, M.; Bujalska-Zadrożny, M. Anti-Inflammatory Activity of Cannabis sativa L. Extract in 2,4-Dinitrochlorobenzene-Induced Dermatitis in Rats. Pharmaceuticals 2025, 18, 370. https://doi.org/10.3390/ph18030370
Wolińska R, Zalewska M, Poznański P, Nawrocka A, Kowalczyk A, Sacharczuk M, Bujalska-Zadrożny M. Anti-Inflammatory Activity of Cannabis sativa L. Extract in 2,4-Dinitrochlorobenzene-Induced Dermatitis in Rats. Pharmaceuticals. 2025; 18(3):370. https://doi.org/10.3390/ph18030370
Chicago/Turabian StyleWolińska, Renata, Maria Zalewska, Piotr Poznański, Agata Nawrocka, Agnieszka Kowalczyk, Mariusz Sacharczuk, and Magdalena Bujalska-Zadrożny. 2025. "Anti-Inflammatory Activity of Cannabis sativa L. Extract in 2,4-Dinitrochlorobenzene-Induced Dermatitis in Rats" Pharmaceuticals 18, no. 3: 370. https://doi.org/10.3390/ph18030370
APA StyleWolińska, R., Zalewska, M., Poznański, P., Nawrocka, A., Kowalczyk, A., Sacharczuk, M., & Bujalska-Zadrożny, M. (2025). Anti-Inflammatory Activity of Cannabis sativa L. Extract in 2,4-Dinitrochlorobenzene-Induced Dermatitis in Rats. Pharmaceuticals, 18(3), 370. https://doi.org/10.3390/ph18030370

