An Organic Fraction of Oenothera rosea L’Her Ex. Aiton Prevents Neuroinflammation in a Rat Ischemic Model
Abstract
1. Introduction
2. Results
2.1. Chemical Composition of EAOr
2.2. EAOr Attenuates Global Neurological Deficit
2.3. EAOr Induces Gene Expression of AIF-1 and GFAP Related to Microglia and Astrocyte Pathways
2.4. Expression of Inflammatory Cytokine Genes IL-1beta and Il-6 Was Repressed by EAOr through Nfkb1
2.5. Casp3 Gene Expression Decreased with Administration of EAOr
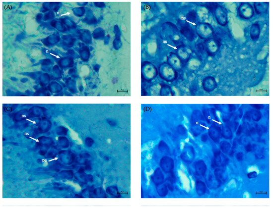
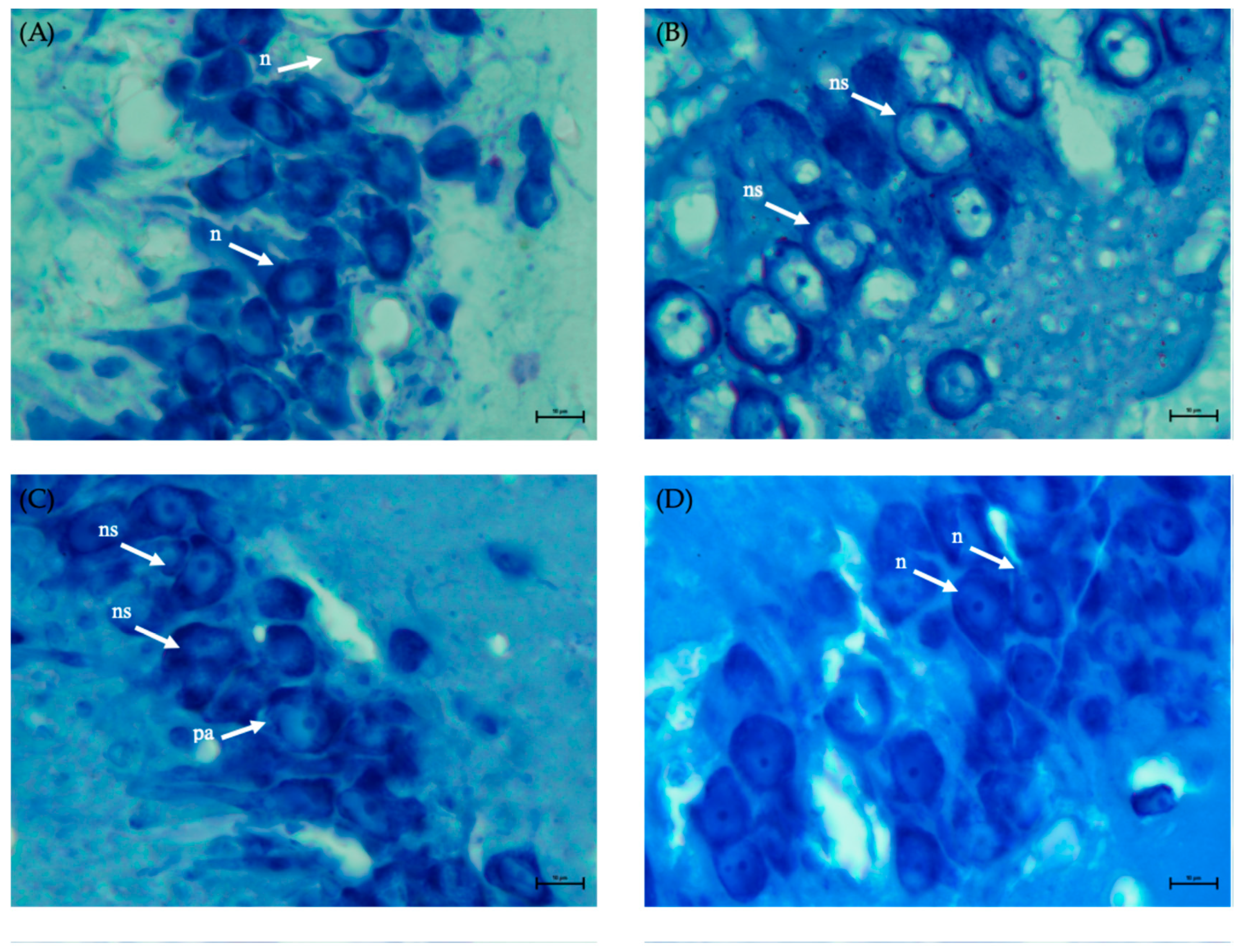
2.6. Neuroprotection of the Hippocampal Area by EAOr
3. Discussion
4. Materials and Methods
4.1. Plant Material
4.2. EAOr Fraction Preparation
4.3. Chemical Separation
4.4. Isolation and Characterization of Compounds of O. rosea
4.5. Animals
4.6. Ischemia Induction by Carotid-Artery Occlusion
4.7. Evaluation of Neurological Function
4.8. RNA Extraction
4.9. Reverse Transcription-Quantitative Polymerase Chain Reaction (RT-qPCR)
4.10. Histopathology Staining
4.11. Statistical Analysis
5. Conclusions
Supplementary Materials
Author Contributions
Funding
Institutional Review Board Statement
Informed Consent Statement
Data Availability Statement
Acknowledgments
Conflicts of Interest
References
- Murphy, S.J.X.; Werring, D.J. Stroke: Causes and clinical features. Medicine 2020, 48, 561–566. [Google Scholar] [CrossRef]
- Takatsuru, Y.; Nabekura, J.; Koibuchi, N. Contribution of neuronal and glial circuit in intact hemisphere for functional remodeling after focal ischemia. Neurosci. Res. 2014, 78, 38–44. [Google Scholar] [CrossRef] [PubMed]
- Alonso de Leciñana, M. Fisiopatología de la isquemia cerebral. Acta Neurológica Colomb. 2007, 30, 1–15. [Google Scholar]
- Zhang, J.; Fu, B.; Zhang, X.; Chen, L.; Zhang, L.; Zhao, X.; Bai, X.; Zhu, C.; Cui, L.; Wang, L. Neuroprotective effect of bicyclol in rat ischemic stroke: Down-regulates TLR4, TLR9, TRAF6, NF-κB, MMP-9 and up-regulates claudin-5 expression. Brain Res. 2013, 1528, 80–88. [Google Scholar] [CrossRef]
- Zhao, S.-C.; Ma, L.-S.; Chu, Z.-H.; Xu, H.; Wu, W.-Q.; Liu, F. Regulation of microglial activation in stroke. Acta Pharmacol. Sin. 2017, 38, 445–458. [Google Scholar] [CrossRef]
- Yenari, M.A.; Kauppinen, T.M.; Swanson, R.A. Microglial Activation in Stroke: Therapeutic Targets. Neurotherapeutics 2010, 7, 378–391. [Google Scholar] [CrossRef] [PubMed]
- Ponomarev, E.D.; Veremeyko, T.; Weiner, H.L. MicroRNAs are universal regulators of differentiation, activation, and polarization of microglia and macrophages in normal and diseased CNS. Glia 2013, 61, 91–103. [Google Scholar] [CrossRef]
- Ramezanpour, M.; Khanaki, K.; Faezi, M.; Mohammadi, E.; Gholipour, A.; Abedinzade, M. Evaluating the impact of Viola spathulata in a rat model of brain ischemia/reperfusion by influencing expression level of caspase-3 and cyclooxygenase-2. Physiol. Pharmacol. 2022, 26, 49–59. [Google Scholar] [CrossRef]
- Khoshnam, S.E.; Winlow, W.; Farzaneh, M.; Farbood, Y.; Moghaddam, H.F. Pathogenic mechanisms following ischemic stroke. Neurol. Sci. 2017, 38, 1167–1186. [Google Scholar] [CrossRef]
- Xing, C.; Arai, K.; Lo, E.H.; Hommel, M. Pathophysiologic cascades in ischemic stroke. Int. J. Stroke 2012, 7, 378–385. [Google Scholar] [CrossRef]
- Calva-Candelaria, N.; Meléndez-Camargo, M.E.; Montellano-Rosales, H.; Estrada-Pérez, A.R.; Rosales-Hernández, M.C.; Fragoso-Vázquez, M.J.; Martínez-Archundia, M.; Correa-Basurto, J.; Márquez-Flores, Y.K. Oenothera rosea L’Hér. ex Ait attenuates acute colonic inflammation in TNBS-induced colitis model in rats: In vivo and in silico myeloperoxidase role. Biomed. Pharmacother. 2018, 108, 852–864. [Google Scholar] [CrossRef] [PubMed]
- Romero-Sánchez, I.; Peña-Valdivia, C.B.; García-Esteva, A.; Aguilar-Benítez, G. Caracterización seminal y del desarrollo de Oenothera rosea L’Hér. ex Ait. en invernadero. Polibotánica 2020, 50, 47–66, 18387. [Google Scholar] [CrossRef]
- Yarlequé, M.; Zaldívar, M.; Bonilla, P.; Yarlequé, A. Análisis bioquímico de dos fracciones con acción anticoagulante de las hojas de Oenothera rosea “Chupasangre”. Rev. Soc. Química Perú 2020, 86, 219–230. [Google Scholar]
- Meckes, M.; David-Rivera, A.D.; Nava-Aguilar, V.; Jimenez, A. Activity of some Mexican medicinal plant extracts on carrageenan-induced rat paw edema. Phytomedicine 2004, 11, 446–451. [Google Scholar] [CrossRef]
- Almora-Pinedo, Y.; Arroyo-Acevedo, J.; Herrera-Calderon, O.; Chumpitaz-Cerrate, V.; Hañari-Quispe, R.; Tinco-Jayo, A.; Franco-Quino, C.; Figueroa-Salvador, L. Preventive effect of Oenothera rosea on N-methyl-N-nitrosourea- (NMU) induced gastric cancer in rats. Clin. Exp. Gastroenterol. 2017, 10, 327–332. [Google Scholar] [CrossRef][Green Version]
- Vargas-Ruiz, R.; Montiel-Ruiz, R.M.; Herrera-Ruiz, M.; González-Cortazar, M.; Ble-González, E.A.; Jiménez-Aparicio, A.R.; Jiménez-Ferrer, E.; Zamilpa, A. Effect of phenolic compounds from Oenothera rosea on the kaolin-carrageenan induced arthritis model in mice. J. Ethnopharmacol. 2020, 253, 112711. [Google Scholar] [CrossRef]
- Márquez-Flores, Y.K.; Meléndez-Camargo, M.E.; García-Mateos, N.J.; Huerta-Anaya, M.C.; Pablo-Pérez, S.S.; Silva-Torres, R. Phytochemical composition and pharmacological evaluation of different extracts of Oenothera rosea L’Hér. ex Ait (Onagraceae) aerial part. S. Afr. J. Bot. 2018, 116, 245–250. [Google Scholar] [CrossRef]
- Abdelsalam, S.A.; Renu, K.; Abu Zahra, H.; Abdallah, B.M.; Ali, E.M.; Veeraraghavan, V.P.; Sivalingam, K.; Ronsard, L.; Ben Ammar, R.; Vidya, D.S.; et al. Polyphenols Mediate Neuroprotection in Cerebral Ischemic Stroke—An Update. Nutrients 2023, 15, 1107. [Google Scholar] [CrossRef]
- Bederson, J.B.; Pitts, L.H.; Tsuji, M.; Nishimura, M.C.; Davis, R.L.; Bartkowski, H. Rat middle cerebral artery occlusion: Evaluation of the model and development of a neurologic examination. Stroke 1986, 17, 472–476. [Google Scholar] [CrossRef] [PubMed]
- Li, Y.; Zhang, J. Animal models of stroke. Anim. Model Exp. Med. 2021, 4, 204–219. [Google Scholar] [CrossRef]
- Karthikeyan, S.; Jeffers, M.S.; Carter, A.; Corbett, D. Characterizing Spontaneous Motor Recovery Following Cortical and Subcortical Stroke in the Rat. Neurorehabil. Neural Repair 2019, 33, 27–37. [Google Scholar] [CrossRef] [PubMed]
- Sun, J.; Li, Y.-Z.; Ding, Y.-H.; Wang, J.; Geng, J.; Yang, H.; Ren, J.; Tang, J.-Y.; Gao, J. Neuroprotective effects of gallic acid against hypoxia/reoxygenation-induced mitochondrial dysfunctions in vitro and cerebral ischemia/reperfusion injury in vivo. Brain Res. 2014, 1589, 126–139. [Google Scholar] [CrossRef] [PubMed]
- Farbood, Y.; Sarkaki, A.; Hashemi, S.; Mansouri, M.T.; Dianat, M. The effects of gallic acid on pain and memory following transient global ischemia/reperfusion in Wistar rats. Avicenna J. Phytomedicine 2013, 3, 329–340. [Google Scholar]
- Annapurna, A.; Ansari, M.A.; Manjunath, P.M. Partial role of multiple pathways in infarct size limiting effect of quercetin and rutin against cerebral ischemia-reperfusion injury in rats. Eur. Rev. Med. Pharmacol. Sci. 2013, 17, 491–500. [Google Scholar]
- Wang, J.; Mao, J.; Wang, R.; Li, S.; Wu, B.; Yuan, Y. Kaempferol Protects Against Cerebral Ischemia Reperfusion Injury Through Intervening Oxidative and Inflammatory Stress Induced Apoptosis. Front. Pharmacol. 2020, 11, 424. [Google Scholar] [CrossRef]
- Brouns, R.; De Deyn, P.P. The complexity of neurobiological processes in acute ischemic stroke. Clin. Neurol. Neurosurg. 2009, 111, 483–495. [Google Scholar] [CrossRef]
- Candelario Jalil, E. Injury and repair mechanisms in ischemic stroke: Considerations for the development of novel neurotherapeutics. Curr. Opin. Investig. Drugs 2009, 10, 644–654. [Google Scholar]
- Li, R.; Zhou, Y.; Zhang, S.; Li, J.; Zheng, Y.; Fan, X. The natural (poly)phenols as modulators of microglia polarization via TLR4/NF-κB pathway exert anti-inflammatory activity in ischemic stroke. Eur. J. Pharmacol. 2022, 914, 174660. [Google Scholar] [CrossRef]
- Huang, J.; Jiang, Z.; Wu, M.; Zhang, J.; Chen, C. Gallic acid exerts protective effects in spinal cord injured rats through modulating microglial polarization. Physiol. Behav. 2024, 273, 114405. [Google Scholar] [CrossRef]
- Qu, Y.; Wang, L.; Mao, Y. Gallic acid attenuates cerebral ischemia/re-perfusion-induced blood–brain barrier injury by modifying polarization of microglia. J. Immunotoxicol. 2022, 19, 17–26. [Google Scholar] [CrossRef]
- Li, W.-H.; Cheng, X.; Yang, Y.-L.; Liu, M.; Zhang, S.-S.; Wang, Y.-H.; Du, G.-H. Kaempferol attenuates neuroinflammation and blood brain barrier dysfunction to improve neurological deficits in cerebral ischemia/reperfusion rats. Brain Res. 2019, 1722, 146361. [Google Scholar] [CrossRef] [PubMed]
- Li, L.; Jiang, W.; Yu, B.; Liang, H.; Mao, S.; Hu, X.; Xu, J.; Chu, L. Quercetin improves cerebral ischemia/reperfusion injury by promoting microglia/macrophages M2 polarization via regulating PI3K/Akt/NF-κB signaling pathway. Biomed. Pharmacother. 2023, 168, 115653. [Google Scholar] [CrossRef] [PubMed]
- Yu, L.; Chen, C.; Wang, L.-F.; Kuang, X.; Liu, K.; Zhang, H.; Du, J.-R. Neuroprotective Effect of Kaempferol Glycosides against Brain Injury and Neuroinflammation by Inhibiting the Activation of NF-κB and STAT3 in Transient Focal Stroke. PLoS ONE 2023, 8, e55839. [Google Scholar] [CrossRef] [PubMed]
- Khan, M.M.; Ahmad, A.; Ishrat, T.; Khuwaja, G.; Srivastawa, P.; Khan, M.B.; Raza, S.S.; Javed, H.; Vaibhav, K.; Khan, A.; et al. Rutin protects the neural damage induced by transient focal ischemia in rats. Brain Res. 2009, 1292, 123–135. [Google Scholar] [CrossRef] [PubMed]
- Albensi, B.C. What Is Nuclear Factor Kappa B (NF-κB) Doing in and to the Mitochondrion? Front. Cell Dev. Biol. 2019, 7, 154. [Google Scholar] [CrossRef] [PubMed]
- Abarca-Vargas, R.; Zamilpa, A.; Petricevich, V.L. Development and Validation of Conditions for Extracting Flavonoids Content and Evaluation of Antioxidant and Cytoprotective Activities from Bougainvillea x buttiana Bracteas (var. Rose). Antioxidants 2019, 8, 264. [Google Scholar] [CrossRef]
- Kono, S.; Kurata, T.; Sato, K.; Omote, Y.; Hishikawa, N.; Yamashita, T.; Deguchi, K.; Abe, K. Neurovascular Protection by Telmisartan via Reducing Neuroinflammation in Stroke-Resistant Spontaneously Hypertensive Rat Brain after Ischemic Stroke. J. Stroke Cerebrovasc. Dis. 2015, 24, 537–547. [Google Scholar] [CrossRef]
- Sato, K.; Yamashita, T.; Kurata, T.; Fukui, Y.; Hishikawa, N.; Deguchi, K.; Abe, K. Telmisartan Ameliorates Inflammatory Responses in SHR-SR after tMCAO. J. Stroke Cerebrovasc. Dis. 2014, 23, 2511–2519. [Google Scholar] [CrossRef]
- Garrido-Gil, P.; Joglar, B.; Rodriguez-Perez, A.I.; Guerra, M.J.; Labandeira-Garcia, J.L. Involvement of PPAR-γ in the neuroprotective and anti-inflammatory effects of angiotensin type 1 receptor inhibition: Effects of the receptor antagonist telmisartan and receptor deletion in a mouse MPTP model of Parkinson’s disease. J. Neuroinflammation 2012, 9, 38. [Google Scholar] [CrossRef]
- Livak, K.J.; Schmittgen, T.D. Analysis of relative gene expression data using real-time quantitative PCR and the 2(-Delta Delta C(T)) Method. Methods 2001, 25, 402–408. [Google Scholar] [CrossRef]
- Megías, M.M.P.; Pombal, M.; Atlas of Plants and Animal Histology. Histological Techniques. 2019. Available online: https://mmegias.webs.uvigo.es/6-tecnicas/1-introduccion.php (accessed on 20 February 2023).







| Gene | Sequences (5′–3′) | Amplification Temperature |
|---|---|---|
| Casp3 | F: GGAGCTTGGAACGCGAAGAA R: ACACAAGCCCATTTCAGGGT | 60 °C |
| AIF-1 | F: TCTGAATGGCAATGGAGATA R: GTTGGCTTCTGGTGTTCT | 60 °C |
| GFAP | F: TTGGCTTATGTTCTGTCCATTGAG R: AGAGTGGTATCGGTCCAAGTT | 61 °C |
| IL-1beta | F: GGGTCTGACTCCCATTTTCC R: TCTGTGACTCGTGGGATGATGAC | 55 °C |
| Il-6 | F: CAGAGTCATTCAGAGCAATAC R: CTTTCAAGATGAGTTGGATGG | 55 °C |
| Nfkb1 | F: TTCCCTGAAGTGGAGCTAGGA R: CATGTCGAGGAGACACTGGA | 60 °C |
Disclaimer/Publisher’s Note: The statements, opinions and data contained in all publications are solely those of the individual author(s) and contributor(s) and not of MDPI and/or the editor(s). MDPI and/or the editor(s) disclaim responsibility for any injury to people or property resulting from any ideas, methods, instructions or products referred to in the content. |
© 2024 by the authors. Licensee MDPI, Basel, Switzerland. This article is an open access article distributed under the terms and conditions of the Creative Commons Attribution (CC BY) license (https://creativecommons.org/licenses/by/4.0/).
Share and Cite
Costet-Mejía, A.; Trejo-Tapia, G.; Baca-Ibarra, I.I.; Rodríguez-Hernández, A.A.; García-Hernández, J.; Camacho-Díaz, B.H.; Zamilpa, A. An Organic Fraction of Oenothera rosea L’Her Ex. Aiton Prevents Neuroinflammation in a Rat Ischemic Model. Pharmaceuticals 2024, 17, 1184. https://doi.org/10.3390/ph17091184
Costet-Mejía A, Trejo-Tapia G, Baca-Ibarra II, Rodríguez-Hernández AA, García-Hernández J, Camacho-Díaz BH, Zamilpa A. An Organic Fraction of Oenothera rosea L’Her Ex. Aiton Prevents Neuroinflammation in a Rat Ischemic Model. Pharmaceuticals. 2024; 17(9):1184. https://doi.org/10.3390/ph17091184
Chicago/Turabian StyleCostet-Mejía, Alejandro, Gabriela Trejo-Tapia, Itzel Isaura Baca-Ibarra, Aida Araceli Rodríguez-Hernández, Julio García-Hernández, Brenda Hildeliza Camacho-Díaz, and Alejandro Zamilpa. 2024. "An Organic Fraction of Oenothera rosea L’Her Ex. Aiton Prevents Neuroinflammation in a Rat Ischemic Model" Pharmaceuticals 17, no. 9: 1184. https://doi.org/10.3390/ph17091184
APA StyleCostet-Mejía, A., Trejo-Tapia, G., Baca-Ibarra, I. I., Rodríguez-Hernández, A. A., García-Hernández, J., Camacho-Díaz, B. H., & Zamilpa, A. (2024). An Organic Fraction of Oenothera rosea L’Her Ex. Aiton Prevents Neuroinflammation in a Rat Ischemic Model. Pharmaceuticals, 17(9), 1184. https://doi.org/10.3390/ph17091184

