[68Ga]Ga-FAP-2286—Synthesis, Quality Control and Comparison with [18F]FDG PET/CT in a Patient with Suspected Cholangiocellular Carcinoma
Abstract
1. Introduction
2. Results
2.1. Radiolabeling and Quality Control of [68Ga]Ga-FAP-2286
2.2. Stability Analysis of [68Ga]Ga-FAP-2286
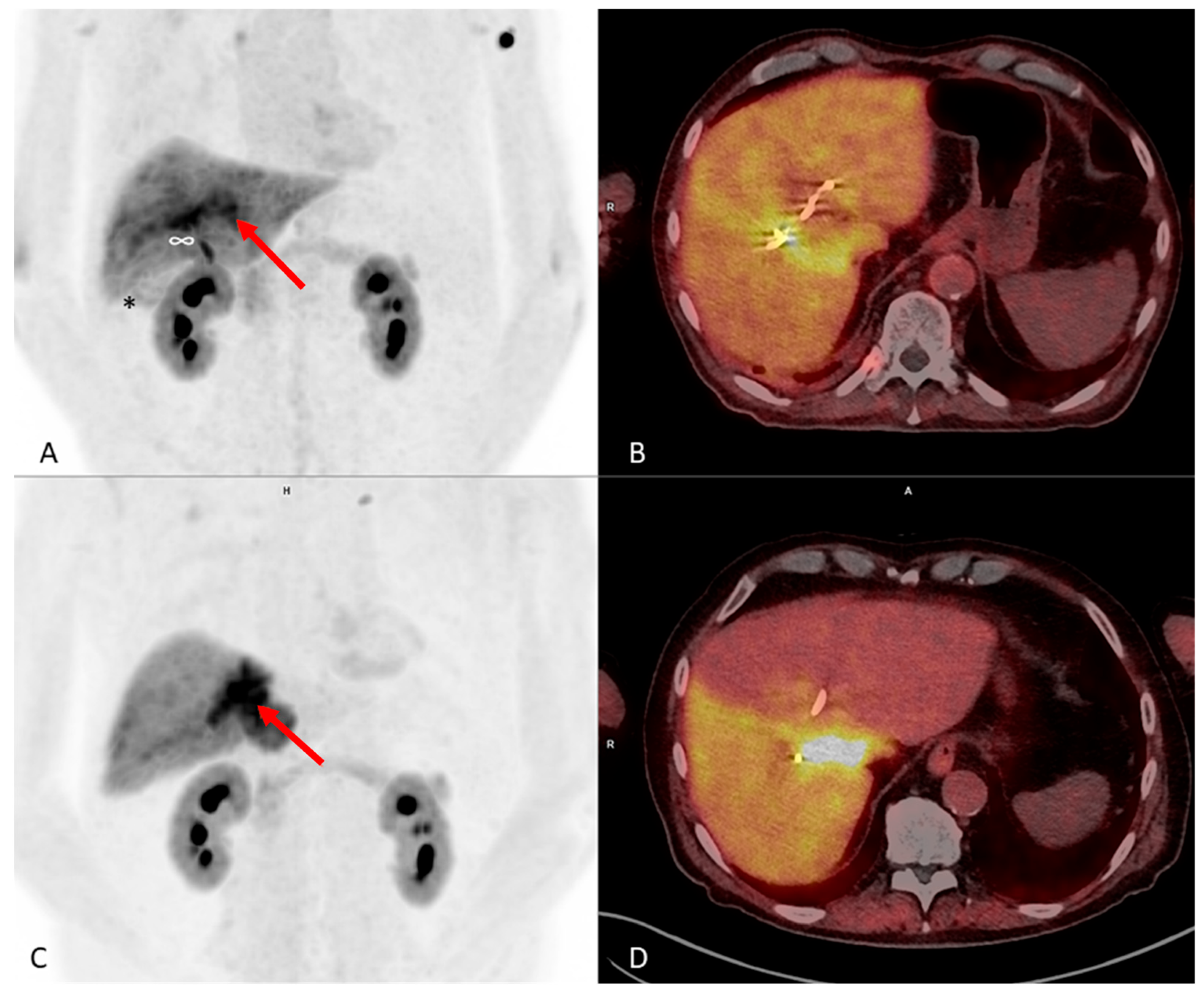
2.3. [68Ga]Ga-FAP-2286-PET/CT Scans and Further Clinical Outcome
3. Discussion
4. Materials and Methods
4.1. Materials
4.2. Radiolabeling of [68Ga]Ga-FAP-2286
4.3. Quality Control of [68Ga]Ga-FAP-2286
4.4. Patient History
4.5. [68Ga]Ga-FAP-2286 PET/CT Imaging
4.6. Image Interpretation
5. Conclusions
Supplementary Materials
Author Contributions
Funding
Institutional Review Board Statement
Informed Consent Statement
Data Availability Statement
Acknowledgments
Conflicts of Interest
References
- Khan, M.A.; Combs, C.S.; Brunt, E.M.; Lowe, V.J.; Wolverson, M.K.; Solomon, H.; Collins, B.T.; Di Bisceglie, A.M. Positron Emission Tomography Scanning in the Evaluation of Hepatocellular Carcinoma. J. Hepatol. 2000, 32, 792–797. [Google Scholar] [CrossRef]
- Hamson, E.J.; Keane, F.M.; Tholen, S.; Schilling, O.; Gorrell, M.D. Understanding Fibroblast Activation Protein (FAP): Substrates, Activities, Expression and Targeting for Cancer Therapy. Proteom. Clin. Appl. 2014, 8, 454–463. [Google Scholar] [CrossRef] [PubMed]
- Kalluri, R.; Zeisberg, M. Fibroblasts in Cancer. Nat. Rev. Cancer 2006, 6, 392–401. [Google Scholar] [CrossRef] [PubMed]
- Franco, O.E.; Shaw, A.K.; Strand, D.W.; Hayward, S.W. Cancer Associated Fibroblasts in Cancer Pathogenesis. Semin. Cell Dev. Biol. 2010, 21, 33–39. [Google Scholar] [CrossRef] [PubMed]
- Ping, Q.; Yan, R.; Cheng, X.; Wang, W.; Zhong, Y.; Hou, Z.; Shi, Y.; Wang, C.; Li, R. Cancer-Associated Fibroblasts: Overview, Progress, Challenges, and Directions. Cancer Gene Ther. 2021, 28, 984–999. [Google Scholar] [CrossRef]
- Garin-Chesa, P.; Old, L.J.; Rettig, W.J. Cell Surface Glycoprotein of Reactive Stromal Fibroblasts as a Potential Antibody Target in Human Epithelial Cancers. Proc. Natl. Acad. Sci. USA 1990, 87, 7235–7239. [Google Scholar] [CrossRef]
- Jansen, K.; Heirbaut, L.; Cheng, J.D.; Joossens, J.; Ryabtsova, O.; Cos, P.; Maes, L.; Lambeir, A.M.; De Meester, I.; Augustyns, K.; et al. Selective Inhibitors of Fibroblast Activation Protein (FAP) with a (4-Quinolinoyl)-Glycyl-2-Cyanopyrrolidine Scaffold. ACS Med. Chem. Lett. 2013, 4, 491–496. [Google Scholar] [CrossRef] [PubMed]
- Lindner, T.; Loktev, A.; Altmann, A.; Giesel, F.; Kratochwil, C.; Debus, J.; Jäger, D.; Mier, W.; Haberkorn, U. Development of Quinoline-Based Theranostic Ligands for the Targeting of Fibroblast Activation Protein. J. Nucl. Med. 2018, 59, 1415–1422. [Google Scholar] [CrossRef]
- Loktev, A.; Lindner, T.; Burger, E.M.; Altmann, A.; Giesel, F.; Kratochwil, C.; Debus, J.; Marmé, F.; Jäger, D.; Mier, W.; et al. Development of Fibroblast Activation Protein-Targeted Radiotracers with Improved Tumor Retention. J. Nucl. Med. 2019, 60, 1421–1429. [Google Scholar] [CrossRef]
- Baum, R.P.; Schuchardt, C.; Singh, A.; Chantadisai, M.; Robiller, F.C.; Zhang, J.; Mueller, D.; Eismant, A.; Almaguel, F.; Zboralski, D.; et al. Feasibility, Biodistribution, and Preliminary Dosimetry in Peptide-Targeted Radionuclide Therapy of Diverse Adenocarcinomas Using 177Lu-FAP-2286: First-in-Humans Results. J. Nucl. Med. 2022, 63, 415–423. [Google Scholar] [CrossRef]
- Zboralski, D.; Hoehne, A.; Bredenbeck, A.; Schumann, A.; Nguyen, M.; Schneider, E.; Ungewiss, J.; Paschke, M.; Haase, C.; von Hacht, J.L.; et al. Preclinical Evaluation of FAP-2286 for Fibroblast Activation Protein Targeted Radionuclide Imaging and Therapy. Eur. J. Nucl. Med. Mol. Imaging 2022, 49, 3651–3667. [Google Scholar] [CrossRef] [PubMed]
- Gillings, N.; Hjelstuen, O.; Ballinger, J.; Behe, M.; Decristoforo, C.; Elsinga, P.; Ferrari, V.; Peitl, P.K.; Koziorowski, J.; Laverman, P.; et al. Guideline on Current Good Radiopharmacy Practice (CGRPP) for the Small-Scale Preparation of Radiopharmaceuticals. EJNMMI Radiopharm. Chem. 2021, 6, 8. [Google Scholar] [CrossRef]
- Zhang, P.; Xu, M.; Ding, J.; Chen, J.; Zhang, T.; Huo, L.; Liu, Z. Fatty Acid-Conjugated Radiopharmaceuticals for Fibroblast Activation Protein-Targeted Radiotherapy. Eur. J. Nucl. Med. Mol. Imaging 2022, 49, 1985–1996. [Google Scholar] [CrossRef]
- Chen, H.; Pang, Y.; Wu, J.; Zhao, L.; Hao, B.; Wu, J.; Wei, J.; Wu, S.; Zhao, L.; Luo, Z.; et al. Comparison of [68Ga]Ga-DOTA-FAPI-04 and [18F] FDG PET/CT for the Diagnosis of Primary and Metastatic Lesions in Patients with Various Types of Cancer. Eur. J. Nucl. Med. Mol. Imaging 2020, 47, 1820–1832. [Google Scholar] [CrossRef]
- Pabst, K.M.; Trajkovic-Arsic, M.; Cheung, P.F.Y.; Ballke, S.; Steiger, K.; Bartel, T.; Schaarschmidt, B.M.; Milosevic, A.; Seifert, R.; Nader, M.; et al. Superior Tumor Detection for 68Ga-FAPI-46 Versus 18F-FDG PET/CT and Conventional CT in Patients with Cholangiocarcinoma. J. Nucl. Med. 2023, 64, 1049–1055. [Google Scholar] [CrossRef] [PubMed]
- Mori, Y.; Dendl, K.; Cardinale, J.; Kratochwil, C.; Giesel, F.L.; Haberkorn, U. FAPI PET: Fibroblast Activation Protein Inhibitor Use in Oncologic and Nononcologic Disease. Radiology 2023, 306, e220749. [Google Scholar] [CrossRef] [PubMed]
- Pang, Y.; Zhao, L.; Meng, T.; Xu, W.; Lin, Q.; Wu, H.; Zhang, J.; Chen, X.; Sun, L.; Chen, H. PET Imaging of Fibroblast Activation Protein in Various Types of Cancer Using 68Ga-FAP-2286: Comparison with 18F-FDG and 68Ga-FAPI-46 in a Single-Center, Prospective Study. J. Nucl. Med. 2023, 64, 386–394. [Google Scholar] [CrossRef] [PubMed]
- Banihashemian, S.S.; Divband, G.; Pirayesh, E.; Nikkholgh, B.; Amini, H.; Shahrnoy, A.A.; Nami, R.; Akbari, M.E. [68Ga]Ga-FAP-2286, a Novel Promising Theragnostic Approach for PET/CT Imaging in Patients with Various Type of Metastatic Cancers. Eur. J. Nucl. Med. Mol. Imaging 2024, 51, 1981–1988. [Google Scholar] [CrossRef]
- Plhak, E.; Pichler, C.; Dittmann-Schnabel, B.; Gößnitzer, E.; Aigner, R.M.; Stanzel, S.; Kvaternik, H. Automated Synthesis of [68Ga]Ga-FAPI-46 on a Scintomics GRP Synthesizer. Pharmaceuticals 2023, 16, 1138. [Google Scholar] [CrossRef]
- Da Pieve, C.; Braga, M.C.; Turton, D.R.; Valla, F.A.; Cakmak, P.; Plate, K.H.; Kramer-Marek, G. New Fully Automated Preparation of High Apparent Molar Activity68Ga-FAPI-46 on a Trasis AiO Platform. Molecules 2022, 27, 675. [Google Scholar] [CrossRef] [PubMed]
- Martins, A.F.; Prata, M.I.M.; Rodrigues, S.P.J.; Geraldes, C.F.G.C.; Riss, P.J.; Amor-Coarasa, A.; Burchardt, C.; Kroll, C.; Roesch, F. Spectroscopic, Radiochemical, and Theoretical Studies of the Ga3+-N-2-Hydroxyethyl Piperazine-N′-2-Ethanesulfonic Acid (HEPES Buffer) System: Evidence for the Formation of Ga3+- HEPES Complexes in 68Ga Labeling Reactions. Contrast Media Mol. Imaging 2013, 8, 265–273. [Google Scholar] [CrossRef] [PubMed]
- Bauwens, M.; Chekol, R.; Vanbilloen, H.; Bormans, G.; Verbruggen, A. Optimal Buffer Choice of the Radiosynthesis of 68Ga-Dotatoc for Clinical Application. Nucl. Med. Commun. 2010, 31, 753–758. [Google Scholar] [CrossRef] [PubMed]
- Velikyan, I. 68Ga-Based Radiopharmaceuticals: Production and Application Relationship. Molecules 2015, 20, 12913–12943. [Google Scholar] [CrossRef] [PubMed]
- Theodore, T.R.; Van Zandt, R.L.; Carpenter, R.H. Pilot Ascending Dose Tolerance Study of Parenterally Administered 4-(2 Hydroxyethyl)-1-Piperazine Ethane Sulfonic Acid (TVZ-7) in Dogs. Cancer Biother. Radiopharm. 1997, 12, 345–349. [Google Scholar] [CrossRef]
- Guleria, M.; Pallavi, K.J.; Gujarathi, P.P.; Das, T. Evaluation of Acute Intravenous Toxicity of HEPES: Is Good’s Buffer Good and Safe Enough for Clinical Utilization in Nuclear Medicine? Nucl. Med. Biol. 2024, 132–133, 108895. [Google Scholar] [CrossRef]
- Migliari, S.; Scarlattei, M.; Baldari, G.; Silva, C.; Ruffini, L. A Specific HPLC Method to Determine Residual HEPES in [68Ga]Ga-Radiopharmaceuticals: Development and Validation. Molecules 2022, 27, 4477. [Google Scholar] [CrossRef] [PubMed]
- Antunes, I.F.; Franssen, G.M.; Zijlma, R.; Laverman, P.; Boersma, H.H.; Elsinga, P.H. New Sensitive Method for HEPES Quantification in 68Ga-Radiopharmaceuticals. EJNMMI Radiopharm. Chem. 2020, 5, 12. [Google Scholar] [CrossRef] [PubMed]
- Pfaff, S.; Nehring, T.; Pichler, V.; Cardinale, J.; Mitterhauser, M.; Hacker, M.; Wadsak, W. Development and Evaluation of a Rapid Analysis for HEPES Determination in 68Ga-Radiotracers. EJNMMI Res. 2018, 8, 95. [Google Scholar] [CrossRef]
- Meisenheimer, M.; Kürpig, S.; Essler, M.; Eppard, E. Ethanol effects on 68Ga-radiolabelling efficacy and radiolysis in automated synthesis utilizing NaCl post-processing. EJNMMI Radiopharm. Chem. 2019, 4, 26. [Google Scholar] [CrossRef]
- Ajish, K.; Anupam, M. A convenient total synthesis of PSMA-617: A prostate specific membrane antigen (PSMA) ligand for prostate cancer endotherapeutic applications. Eur. J. Med. Chem. Rep. 2022, 6, 100084. [Google Scholar]
- Nanabala, R.; Sasikumar, A.; Joy, A.; Pillai, M.R.A. Preparation of [177Lu]PSMA-617 Using Carrier Added (CA) 177Lu for Radionuclide Therapy of Prostate Cancer. J. Nucl. Med. Radiat. Ther. 2016, 7, 5. [Google Scholar] [CrossRef]
- Mukherjee, A.; Lohar, S.; Dash, A.; Sarma, H.D.; Samuel, G.; Korde, A. Single vial kit formulation of DOTATATE for preparation of 177Lu-labeled therapeutic radiopharmaceutical at hospital radiopharmacy. J. Label Compd. Radiopharm. 2015, 58, 166–172. [Google Scholar] [CrossRef] [PubMed]








| Parameter | Method | Acceptance Criteria | Results (n = 5) |
|---|---|---|---|
| Appearance | Visual inspection | Clear, colorless solution, free of visible particles | conforms |
| pH | Indicator strip | 4.0–8.0 | ~7 |
| Volume | Graduated vial | 17 mL (range 17 ± 1 mL) | conforms |
| Radionuclide identity | Gamma-ray spectrometry | 511 keV; 1022 keV | conforms |
| Radionuclide identity | Half-life | 1.03–1.23 h | 1.13 ± 0.01 h |
| Identity of [68Ga]Ga-FAP-2286 (comparison with reference) | HPLC | RRT 0.9–1.1 | conforms |
| Radiochemical purity | HPLC | ≥95% | 96.2 ± 1.4% |
| Free or colloidal gallium-68 (retardation factor < 0.2) | iTLC | ≤3% | <1% |
| Overall radiochemical purity | overall RCP % = (100 − Z) × Y | ≥92% | 96.1 ± 1.2% |
| Radiochemical yield | Decay-corrected; calculated | ≥70% | 71.8 ± 1.9% |
| FAP-2286 and [68Ga]Ga-FAP-2286 | HPLC | ≤50 µg | 42.0 ± 7.6 µg |
| Ethanol content | Visual inspection, calculated | Volume > 10 mL | conforms |
| Filter integrity test | Bubble-Point test | >3.5 bar | conforms |
| Radionuclide purity | Gamma-ray spectrometry | Ge-68: ≤0.001% (after ≥48 h) | conforms |
| Bacterial endotoxins | LAL test | ≤11 EU/mL | <11 EU/mL |
| Sterility | Ph. Eur. | sterile | conforms |
| HEPES content | Visual; Ph. Eur. | <500 µg/V | conforms |
| Acceptance Criteria | p.p. | 1 h | 2 h | 3 h | |
|---|---|---|---|---|---|
| % RCP (HPLC) | ≥95% | 97.8 ± 0.7% | 98.0 ± 0.3% | 98.6 ± 0.5% | 98.8 ± 0.1% |
| % colloidal gallium-68 species | ≤3% | ≤1% | ≤1% | ≤1% | ≤1% |
| Acceptance Criteria | 95 °C | 20% Ethanol | 10 mg AA | 50 mg AA | |
|---|---|---|---|---|---|
| % RCP (HPLC) | ≥95% | 98.4% | 95.3% | 97.9% | 98.6% |
| % colloidal gallium-68 species | ≤3% | ≤1% | ≤1% | ≤1% | ≤1% |
| pH | 4.0–8.0 | ~7 | ~7 | ~7 | ~7 |
Disclaimer/Publisher’s Note: The statements, opinions and data contained in all publications are solely those of the individual author(s) and contributor(s) and not of MDPI and/or the editor(s). MDPI and/or the editor(s) disclaim responsibility for any injury to people or property resulting from any ideas, methods, instructions or products referred to in the content. |
© 2024 by the authors. Licensee MDPI, Basel, Switzerland. This article is an open access article distributed under the terms and conditions of the Creative Commons Attribution (CC BY) license (https://creativecommons.org/licenses/by/4.0/).
Share and Cite
Hörmann, A.A.; Schweighofer-Zwink, G.; Rendl, G.; Türk, K.; Nadeje, S.; Haas, K.; Jung, T.; Huber-Schönauer, U.; Hehenwarter, L.; Beheshti, M.; et al. [68Ga]Ga-FAP-2286—Synthesis, Quality Control and Comparison with [18F]FDG PET/CT in a Patient with Suspected Cholangiocellular Carcinoma. Pharmaceuticals 2024, 17, 1141. https://doi.org/10.3390/ph17091141
Hörmann AA, Schweighofer-Zwink G, Rendl G, Türk K, Nadeje S, Haas K, Jung T, Huber-Schönauer U, Hehenwarter L, Beheshti M, et al. [68Ga]Ga-FAP-2286—Synthesis, Quality Control and Comparison with [18F]FDG PET/CT in a Patient with Suspected Cholangiocellular Carcinoma. Pharmaceuticals. 2024; 17(9):1141. https://doi.org/10.3390/ph17091141
Chicago/Turabian StyleHörmann, Anton Amadeus, Gregor Schweighofer-Zwink, Gundula Rendl, Kristina Türk, Samuel Nadeje, Kristina Haas, Theresa Jung, Ursula Huber-Schönauer, Lukas Hehenwarter, Mohsen Beheshti, and et al. 2024. "[68Ga]Ga-FAP-2286—Synthesis, Quality Control and Comparison with [18F]FDG PET/CT in a Patient with Suspected Cholangiocellular Carcinoma" Pharmaceuticals 17, no. 9: 1141. https://doi.org/10.3390/ph17091141
APA StyleHörmann, A. A., Schweighofer-Zwink, G., Rendl, G., Türk, K., Nadeje, S., Haas, K., Jung, T., Huber-Schönauer, U., Hehenwarter, L., Beheshti, M., & Pirich, C. (2024). [68Ga]Ga-FAP-2286—Synthesis, Quality Control and Comparison with [18F]FDG PET/CT in a Patient with Suspected Cholangiocellular Carcinoma. Pharmaceuticals, 17(9), 1141. https://doi.org/10.3390/ph17091141

