pH-Sensitive In Situ Gel of Mirtazapine Invasomes for Rectal Drug Delivery: Protruded Bioavailability and Anti-Depressant Efficacy
Abstract
1. Introduction
2. Results
2.1. MRZ Entrapment Efficiency and Vesicle Size Analysis
2.2. In Vitro Release and Ex Vivo Skin Permeation Studies
2.3. Expert Design Optimization
2.4. Characterization of the Optimized MRZ-NVMs Formulation
2.5. Characterization and Investigation of the In Situ Gel
2.6. Behavioral Analysis: Immobility, Climbing, Swimming in FST, Open Field Test (OFT), and Tail Suspension Test (TST)
2.7. Sucrose Preference Test (SPT), Social Interaction Test (SIT), and Anxiety-Based Test (ABT)
2.8. Tolerability and Acute Toxicity Studies
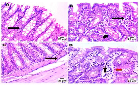
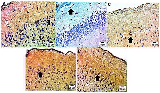
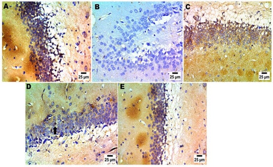
2.9. Rectal and Brain Histopathological Examination and Immunohistochemistry Analysis
2.10. Pharmacokinetics Studies
3. Discussion
3.1. In Vitro Studies and Design Optimization
3.1.1. Entrapment Efficiency Optimization
3.1.2. Vesicle Size Optimization
3.1.3. Release Study Optimization
3.1.4. Ex Vivo Permeation Optimization
3.1.5. Design Optimization
3.2. Characterization for MRZ-NVM Optimized Formulation
3.3. Evaluation of the MRZ-NVMs pH-Triggered Gel
3.4. Pharmacodynamics Study and Behavioral Analysis
3.5. Toxicity, Histopathological, and Immunohistochemistry Analysis
3.6. Pharmacokinetics Studies
4. Materials and Methods
4.1. Materials
4.2. Experimental Design
4.3. Fabrication of MRZ-NVMs
4.4. Characterization of MRZ-NVMs
4.4.1. Determination of MRZ Encapsulation Percent
4.4.2. Determination of Vesicle Size (VS)
4.4.3. In Vitro Release Examination of MRZ from MRZ-NVMs
4.4.4. Ex Vivo Permeability Investigation
4.5. Evaluation and Optimization of MRZ-NVMs
4.5.1. Experimental Model Evaluation
4.5.2. Characterization of the Optimized MRZ-NVMs Formulation
4.5.3. Morphological Examination by TEM
4.5.4. Zeta Potential
4.5.5. Stability Study
4.5.6. Differential Scanning Calorimetric Analysis
4.5.7. Fourier-Transform Infrared Spectroscopy Analysis
4.5.8. Elaboration of MRZ-NVMS pH-Sensitive In Situ Gel
4.6. Characterization of MRZ-NVMS In Situ Gelling System
4.6.1. Measurement of Sol–Gel Transition pH, Gelation Time, and Spreadability
4.6.2. Drug Content and In Vitro Mucoadhesion Measurement
4.6.3. Rheological Property Determination
4.7. In Vivo Studies
4.7.1. Ethical Approval and Pharmacodynamic Study
4.7.2. Induction of Depression and Experimental Protocol
4.7.3. FST Immobility, Swimming, and Climbing, Tail Suspension Test (TST), and Sucrose Preference Test (SPT)
4.7.4. Open Field Test, Social Interaction Test (SIT), and Anxiety-Based Test (ABT)
4.7.5. Toxicity, Tolerability, and Histopathological Studies
4.7.6. Brain-Derived Neurotropic Factor (BDNF) Immunohistochemistry Analysis
4.7.7. Scoring of Immunohistochemistry Results and Statistical Analysis
4.8. Plasma and Brain Bioavailability Study
4.8.1. Collection and Analysis of Plasma and Brain Samples
4.8.2. Pharmacokinetic Analysis and Statistics
5. Conclusions
Supplementary Materials
Author Contributions
Funding
Institutional Review Board Statement
Informed Consent Statement
Data Availability Statement
Acknowledgments
Conflicts of Interest
References
- Aldeeb, R.A.E.; Mahdy, M.A.E.-G.; El-Nahas, H.M.; Musallam, A.A. Design of mirtazapine solid dispersion with different carriers’ systems: Optimization, in vitro evaluation, and bioavailability assessment. Drug Deliv. Transl. Res. 2023, 13, 2340–2352. [Google Scholar] [CrossRef]
- Mlaki, D.A.; Asmal, L.; Paddick, S.M.; Gray, W.K.; Dotchin, C.; Walker, R. Prevalence and associated factors of depression among older adults in rural Tanzania. Int. J. Geriatr. Psychiatry 2021, 36, 1559–1566. [Google Scholar] [CrossRef] [PubMed]
- Nemeroff, C.B.; Schatzberg, A.F.; Rasgon, N.; Strakowski, S.M. The American Psychiatric Association Publishing Textbook of Mood Disorders; American Psychiatric Pub: Washington, DC, USA, 2022. [Google Scholar] [CrossRef]
- Ottman, A.A.; Warner, C.B.; Brown, J.N. The role of mirtazapine in patients with fibromyalgia: A systematic review. Rheumatol. Int. 2018, 38, 2217–2224. [Google Scholar] [CrossRef]
- Jilani, T.N.; Gibbons, J.R.; Faizy, R.M.; Saadabadi, A. Mirtazapine; StatPearls Publishing: Treasure Island, FL, USA, 2022. [Google Scholar]
- Ezealisiji, K.E.; Mbah, C.J.; Osadebe, P.O. Aqueous solubility enhancement of mirtazapine: Effect of cosolvent and surfactant. Pharmacol. Pharm. 2015, 6, 471–476. [Google Scholar] [CrossRef]
- Neyama, H.; Dozono, N.; Uchida, H.; Ueda, H. Mirtazapine, an α2 antagonist-type antidepressant, reverses pain and lack of morphine analgesia in fibromyalgia-like mouse models. J. Pharmacol. Exp. Ther. 2020, 375, 1–9. [Google Scholar] [CrossRef] [PubMed]
- Bétry, C.; Etiévant, A.; Oosterhof, C.; Ebert, B.; Sanchez, C.; Haddjeri, N. Role of 5-HT3 receptors in the antidepressant response. Pharmaceuticals 2011, 4, 603–629. [Google Scholar] [CrossRef]
- Watanabe, T.; Hayashi, Y.; Aoki, A.; Ishiguro, S.; Ueda, M.; Akiyama, K.; Kato, K.; Inoue, Y.; Tsuchimine, S.; Yasui-Furukori, N. Impact of CYP2D6* 10 polymorphism on the pharmacokinetics of mirtazapine and its desmethylated metabolite in Japanese psychiatric patients treated with mirtazapine. Clin. Neuropsychopharmacol. Ther. 2015, 6, 5–15. [Google Scholar] [CrossRef]
- Toprak, S.K.; Erdogan, E.; Azap, Ö.K. Mirtazapine-Induced Thrombocytopenia and Neutropenia/Mirtazapin Iliskili Trombositopeni ve Nötropeni. Turk. J. Haematol. 2012, 29, 297. [Google Scholar] [CrossRef]
- El-Leithy, E.S.; Shaker, D.S.; Ghorab, M.K.; Abdel-Rashid, R.S. Evaluation of Mucoadhesive Hydrogels Loaded with Diclofenac Sodium–Chitosan Microspheres for Rectal Administration. AAPS PharmSciTech 2010, 11, 1695–1702. [Google Scholar] [CrossRef]
- Jannin, V.; Lemagnen, G.; Gueroult, P.; Larrouture, D.; Tuleu, C. Rectal route in the 21st Century to treat children. Adv. Drug Deliv. Rev. 2014, 73, 34–49. [Google Scholar] [CrossRef]
- Lin, H.-R.; Tseng, C.-C.; Lin, Y.-J.; Ling, M.-H. A novel in-situ-gelling liquid suppository for site-targeting delivery of anti-colorectal cancer drugs. J. Biomater. Sci. Polym. Ed. 2012, 23, 807–822. [Google Scholar] [CrossRef] [PubMed]
- Akl, M.A.; Ismael, H.R.; Abd Allah, F.I.; Kassem, A.A.; Samy, A.M. Tolmetin sodium-loaded thermosensitive mucoadhesive liquid suppositories for rectal delivery; strategy to overcome oral delivery drawbacks. Drug Dev. Ind. Pharm. 2019, 45, 252–264. [Google Scholar] [CrossRef] [PubMed]
- Singh, B.; Khurana, R.K.; Garg, B.; Saini, S.; Kaur, R. Stimuli-responsive systems with diverse drug delivery and biomedical applications: Recent updates and mechanistic pathways. Crit. Rev. Ther. Drug Carr. Syst. 2017, 34, 209–255. [Google Scholar] [CrossRef] [PubMed]
- Ways, T.M.M.; Lau, W.M.; Khutoryanskiy, V.V. Chitosan and its derivatives for application in mucoadhesive drug delivery systems. Polymers 2018, 10, 267. [Google Scholar] [CrossRef]
- Gagliardi, A.; Cosco, D.; Udongo, B.P.; Dini, L.; Viglietto, G.; Paolino, D. Design and characterization of glyceryl monooleate-nanostructures containing doxorubicin hydrochloride. Pharmaceutics 2020, 12, 1017. [Google Scholar] [CrossRef]
- Salem, H.F.; Kharshoum, R.M.; El-Ela, F.I.A.; F, A.G.; Abdellatif, K.R.A. Evaluation and optimization of pH-responsive niosomes as a carrier for efficient treatment of breast cancer. Drug Deliv. Transl. Res. 2018, 8, 633–644. [Google Scholar] [CrossRef]
- Jain, S.; Jain, V.; Mahajan, S. Lipid based vesicular drug delivery systems. Adv. Pharm. 2014, 2014, 574673. [Google Scholar] [CrossRef]
- Ashtikar, M.; Nagarsekar, K.; Fahr, A. Transdermal delivery from liposomal formulations–Evolution of the technology over the last three decades. J. Control. Release 2016, 242, 126–140. [Google Scholar] [CrossRef]
- Bozzuto, G.; Molinari, A. Liposomes as nanomedical devices. Int. J. Nanomed. 2015, 10, 975–999. [Google Scholar] [CrossRef]
- Dragicevic-Curic, N.; Scheglmann, D.; Albrecht, V.; Fahr, A. Temoporfin-loaded invasomes: Development, characterization and in vitro skin penetration studies. J. Control. Release 2008, 127, 59–69. [Google Scholar] [CrossRef]
- Dwivedi, M.; Sharma, V.; Pathak, K. Pilosebaceous targeting by isotretenoin-loaded invasomal gel for the treatment of eosinophilic pustular folliculitis: Optimization, efficacy and cellular analysis. Drug Dev. Ind. Pharm. 2017, 43, 293–304. [Google Scholar] [CrossRef] [PubMed]
- Romero, E.L.; Morilla, M.J. Highly deformable and highly fluid vesicles as potential drug delivery systems: Theoretical and practical considerations. Int. J. Nanomed. 2013, 8, 3171–3186. [Google Scholar] [CrossRef] [PubMed]
- Salama, H.A.; Mahmoud, A.A.; Kamel, A.O.; Abdel Hady, M.; Awad, G.A. Brain delivery of olanzapine by intranasal administration of transfersomal vesicles. J. Liposome Res. 2012, 22, 336–345. [Google Scholar] [CrossRef]
- Salem, H.F.; Ali, A.A.; Rabea, Y.K.; El-Ela, F.I.A.; Khallaf, R.A. Glycerosomal thermosensitive in situ gel of duloxetine HCl as a novel nanoplatform for rectal delivery: In vitro optimization and in vivo appraisal. Drug Deliv. Transl. Res. 2022, 12, 3083–3103. [Google Scholar] [CrossRef] [PubMed]
- Yang, Z.; Teng, Y.; Wang, H.; Hou, H. Enhancement of skin permeation of bufalin by limonene via reservoir type transdermal patch: Formulation design and biopharmaceutical evaluation. Int. J. Pharm. 2013, 447, 231–240. [Google Scholar] [CrossRef] [PubMed]
- Ahad, A.; Aqil, M.; Ali, A. Investigation of antihypertensive activity of carbopol valsartan transdermal gel containing 1, 8-cineole. Int. J. Biol. Macromol. 2014, 64, 144–149. [Google Scholar] [CrossRef] [PubMed]
- Barel, A.O.; Paye, M.; Maibach, H.I. Handbook of Cosmetic Science and Technology; CRC Press: Boca Raton, FL, USA, 2014. [Google Scholar] [CrossRef]
- Nicolini, C. Ethanol based vesicular carriers in transdermal drug delivery: Nanoethosomes and transethosomes in focus. NanoWorld J. 2016, 2, 41–51. [Google Scholar] [CrossRef]
- Shah, S.M.; Ashtikar, M.; Jain, A.S.; Makhija, D.T.; Nikam, Y.; Gude, R.P.; Steiniger, F.; Jagtap, A.A.; Nagarsenker, M.S.; Fahr, A. LeciPlex, invasomes, and liposomes: A skin penetration study. Int. J. Pharm. 2015, 490, 391–403. [Google Scholar] [CrossRef]
- Dragicevic-Curic, N.; Scheglmann, D.; Albrecht, V.; Fahr, A. Development of different temoporfin-loaded invasomes—Novel nanocarriers of temoporfin: Characterization, stability and in vitro skin penetration studies. Colloids Surf. B Biointerfaces 2009, 70, 198–206. [Google Scholar] [CrossRef]
- Nasouri, K.; Bahrambeygi, H.; Rabbi, A.; Shoushtari, A.M.; Kaflou, A. Modeling and optimization of electrospun PAN nanofiber diameter using response surface methodology and artificial neural networks. J. Appl. Polym. Sci. 2012, 126, 127–135. [Google Scholar] [CrossRef]
- Salem, H.F.; Nafady, M.M.; Ewees, M.G.E.-D.; Hassan, H.; Khallaf, R.A. Rosuvastatin calcium-based novel nanocubic vesicles capped with silver nanoparticles-loaded hydrogel for wound healing management: Optimization employing Box–Behnken design: In vitro and in vivo assessment. J. Liposome Res. 2022, 32, 45–61. [Google Scholar] [CrossRef]
- Kamran, M.; Ahad, A.; Aqil, M.; Imam, S.S.; Sultana, Y.; Ali, A. Design, formulation and optimization of novel soft nano-carriers for transdermal olmesartan medoxomil delivery: In vitro characterization and in vivo pharmacokinetic assessment. Int. J. Pharm. 2016, 505, 147–158. [Google Scholar] [CrossRef] [PubMed]
- Ahmed, O.A.A.; Badr-Eldin, S.M. Development of an optimized avanafil-loaded invasomal transdermal film: Ex vivo skin permeation and in vivo evaluation. Int. J. Pharm. 2019, 570, 118657. [Google Scholar] [CrossRef] [PubMed]
- Kalpana, B.; Lakshmi, P. Transdermal permeation enhancement of Tolterodine Tartrate through invasomes and iontophoresis. Pharm. Lett. 2013, 5, 119–126. [Google Scholar]
- Ahad, A.; Aqil, M.; Kohli, K.; Sultana, Y.; Mujeeb, M.; Ali, A. Role of novel terpenes in transcutaneous permeation of valsartan: Effectiveness and mechanism of action. Drug Dev. Ind. Pharm. 2011, 37, 583–596. [Google Scholar] [CrossRef] [PubMed]
- Lasoń, E. Topical administration of terpenes encapsulated in nanostructured lipid-based systems. Molecules 2020, 25, 5758. [Google Scholar] [CrossRef] [PubMed]
- Bajaj, K.J.; Parab, B.S.; Shidhaye, S.S. Nano-transethosomes: A novel tool for drug delivery through skin. Indian J. Pharm. Educ. Res. 2021, 55, 1–10. [Google Scholar] [CrossRef]
- Shelke, S.; Shahi, S.; Jalalpure, S.; Dhamecha, D. Poloxamer 407-based intranasal thermoreversible gel of zolmitriptan-loaded nanoethosomes: Formulation, optimization, evaluation and permeation studies. J. Liposome Res. 2016, 26, 313–323. [Google Scholar] [CrossRef] [PubMed]
- El-Tokhy, F.S.e.; Abdel-Mottaleb, M.M.A.; El-Ghany, E.A.; Geneidi, A.S. Design of long acting invasomal nanovesicles for improved transdermal permeation and bioavailability of asenapine maleate for the chronic treatment of schizophrenia. Int. J. Pharm. 2021, 608, 121080. [Google Scholar] [CrossRef]
- Ammar, H.O.; Tadros, M.I.; Salama, N.M.; Ghoneim, A.M. Ethosome-derived invasomes as a potential transdermal delivery system for vardenafil hydrochloride: Development, optimization and application of physiologically based pharmacokinetic modeling in adults and geriatrics. Int. J. Nanomed. 2020, 15, 5671–5685. [Google Scholar] [CrossRef]
- Ghazwani, M.; Vasudevan, R.; Kandasamy, G.; Manusri, N.; Devanandan, P.; Puvvada, R.C.; Veeramani, V.P.; Paulsamy, P.; Venkatesan, K.; Chidmabaram, K. Formulation of Intranasal Mucoadhesive Thermotriggered In Situ Gel Containing Mirtazapine as an Antidepressant Drug. Gels 2023, 9, 457. [Google Scholar] [CrossRef] [PubMed]
- Ranjan, O.P.; Shavi, G.V.; Nayak, U.Y.; Arumugam, K.; Averineni, R.K.; Meka, S.R.; Sureshwar, P. Controlled release chitosan microspheres of mirtazapine: In vitro and in vivo evaluation. Arch. Pharmacal Res. 2011, 34, 1919–1929. [Google Scholar] [CrossRef]
- Salem, H.F.; El-Menshawe, S.F.; Khallaf, R.A.; Rabea, Y.K. A novel transdermal nanoethosomal gel of lercanidipine HCl for treatment of hypertension: Optimization using Box-Benkhen design, in vitro and in vivo characterization. Drug Deliv. Transl. Res. 2020, 10, 227–240, Erratum in Drug Deliv. Transl. Res. 2020, 10, 296–297. [Google Scholar] [CrossRef] [PubMed]
- Vysloužil, J.; Doležel, P.; Kejdušová, M.; Košťál, V.; Beneš, L.; Dvořáčková, K. Long-term controlled release of PLGA microparticles containing antidepressant mirtazapine. Pharm. Dev. Technol. 2016, 21, 214–221. [Google Scholar] [CrossRef] [PubMed]
- Kaur, R.; Sharma, N.; Tikoo, K.; Sinha, V. Development of mirtazapine loaded solid lipid nanoparticles for topical delivery: Optimization, characterization and cytotoxicity evaluation. Int. J. Pharm. 2020, 586, 119439. [Google Scholar] [CrossRef] [PubMed]
- Varshosaz, J.; Andalib, S.; Tabbakhian, M.; Ebrahimzadeh, N. Development of lecithin nanoemulsion based organogels for permeation enhancement of metoprolol through rat skin. J. Nanomater. 2013, 2013, 139437. [Google Scholar] [CrossRef]
- Teaima, M.H.; Eltabeeb, M.A.; El-Nabarawi, M.A.; Abdellatif, M.M. Utilization of propranolol hydrochloride mucoadhesive invasomes as a locally acting contraceptive: In-vitro, ex-vivo, and in-vivo evaluation. Drug Deliv. 2022, 29, 2549–2560. [Google Scholar] [CrossRef] [PubMed]
- Salem, H.F.; Kharshoum, R.M.; Abdel Hakim, L.F.; Abdelrahim, M.E. Edge activators and a polycationic polymer enhance the formulation of porous voriconazole nanoagglomerate for the use as a dry powder inhaler. J. Liposome Res. 2016, 26, 324–335. [Google Scholar] [CrossRef] [PubMed]
- Józsa, L.; Nemes, D.; Pető, Á.; Kósa, D.; Révész, R.; Bácskay, I.; Haimhoffer, Á.; Vasvári, G. Recent Options and Techniques to Assess Improved Bioavailability: In Vitro and Ex Vivo Methods. Pharmaceutics 2023, 15, 1146. [Google Scholar] [CrossRef]
- Kamel, R.; Basha, M.; Abd El-Alim, S.H. Development of a novel vesicular system using a binary mixture of sorbitan monostearate and polyethylene glycol fatty acid esters for rectal delivery of rutin. J. Liposome Res. 2013, 23, 28–36. [Google Scholar] [CrossRef]
- Upadhyay, N.; Mandal, S.; Bhatia, L.; Shailesh, S.; Chauhan, P. A review on ethosomes: An emerging approach for drug delivery through the skin. Recent Res. Sci. Technol. 2011, 3, 19–24. [Google Scholar]
- Razavi, H.; Janfaza, S. Ethosome: A nanocarrier for transdermal drug delivery. Arch. Adv. Biosci. 2015, 6, 38–43. [Google Scholar]
- Touitou, E.; Natsheh, H. Topical administration of drugs incorporated in carriers containing phospholipid soft vesicles for the treatment of skin medical conditions. Pharmaceutics 2021, 13, 2129. [Google Scholar] [CrossRef] [PubMed]
- Dubey, V.; Mishra, D.; Nahar, M.; Jain, V.; Jain, N.K. Enhanced transdermal delivery of an anti-HIV agent via ethanolic liposomes. Nanomed. Nanotechnol. Biol. Med. 2010, 6, 590–596. [Google Scholar] [CrossRef] [PubMed]
- Dragicevic-Curic, N.; Gräfe, S.; Albrecht, V.; Fahr, A. Topical application of temoporfin-loaded invasomes for photodynamic therapy of subcutaneously implanted tumours in mice: A pilot study. J. Photochem. Photobiol. B Biol. 2008, 91, 41–50. [Google Scholar] [CrossRef] [PubMed]
- Kumar, V.; Bhalla, A.; Rathore, A.S. Design of experiments applications in bioprocessing: Concepts and approach. Biotechnol. Prog. 2014, 30, 86–99. [Google Scholar] [CrossRef]
- El-Nabarawi, M.A.; Shamma, R.N.; Farouk, F.; Nasralla, S.M. Dapsone-loaded invasomes as a potential treatment of acne: Preparation, characterization, and in vivo skin deposition assay. AAPS PharmSciTech 2018, 19, 2174–2184. [Google Scholar] [CrossRef] [PubMed]
- Stremmel, W.; Hanemann, A.; Ehehalt, R.; Karner, M.; Braun, A. Phosphatidylcholine (lecithin) and the mucus layer: Evidence of therapeutic efficacy in ulcerative colitis? Dig. Dis. 2010, 28, 490–496. [Google Scholar] [CrossRef] [PubMed]
- Cai, Z.; Song, X.; Sun, F.; Yang, Z.; Hou, S.; Liu, Z. Formulation and evaluation of in situ gelling systems for intranasal administration of gastrodin. AAPS PharmSciTech 2011, 12, 1102–1109. [Google Scholar] [CrossRef]
- Chatterjee, B.; Amalina, N.; Sengupta, P.; Mandal, U.K. Mucoadhesive polymers and their mode of action: A recent update. J. Appl. Pharm. Sci. 2017, 7, 195–203. [Google Scholar] [CrossRef]
- Nie, S.; Hsiao, W.W.; Pan, W.; Yang, Z. Thermoreversible Pluronic® F127-based hydrogel containing liposomes for the controlled delivery of paclitaxel: In vitro drug release, cell cytotoxicity, and uptake studies. Int. J. Nanomed. 2011, 6, 151–166. [Google Scholar] [CrossRef]
- Gandra, S.C.; Nguyen, S.; Nazzal, S.; Alayoubi, A.; Jung, R.; Nesamony, J. Thermoresponsive fluconazole gels for topical delivery: Rheological and mechanical properties, in vitro drug release and anti-fungal efficacy. Pharm. Dev. Technol. 2015, 20, 41–49. [Google Scholar] [CrossRef] [PubMed]
- Alam, M.I.; Baboota, S.; Ahuja, A.; Ali, M.; Ali, J.; Sahni, J.K. Intranasal administration of nanostructured lipid carriers containing CNS acting drug: Pharmacodynamic studies and estimation in blood and brain. J. Psychiatr. Res. 2012, 46, 1133–1138. [Google Scholar] [CrossRef] [PubMed]
- Kaur, P.; Garg, T.; Vaidya, B.; Prakash, A.; Rath, G.; Goyal, A.K. Brain delivery of intranasal in situ gel of nanoparticulated polymeric carriers containing antidepressant drug: Behavioral and biochemical assessment. J. Drug Target. 2015, 23, 275–286. [Google Scholar] [CrossRef]
- Bregman, T.; Reznikov, R.; Diwan, M.; Raymond, R.; Butson, C.R.; Nobrega, J.N.; Hamani, C. Antidepressant-like effects of medial forebrain bundle deep brain stimulation in rats are not associated with accumbens dopamine release. Brain Stimul. 2015, 8, 708–713. [Google Scholar] [CrossRef]
- Powell, T.R.; Fernandes, C.; Schalkwyk, L.C. Depression-related behavioral tests. Curr. Protoc. Mouse Biol. 2012, 2, 119–127. [Google Scholar] [CrossRef]
- Schulze, J.; Staecker, H.; Wedekind, D.; Lenarz, T.; Warnecke, A. Expression pattern of brain-derived neurotrophic factor and its associated receptors: Implications for exogenous neurotrophin application. Hear. Res. 2022, 413, 108098. [Google Scholar] [CrossRef] [PubMed]
- Moawad, F.A.; Ali, A.A.; Salem, H.F. Nanotransfersomes-loaded thermosensitive in situ gel as a rectal delivery system of tizanidine HCl: Preparation, in vitro and in vivo performance. Drug Deliv. 2017, 24, 252–260. [Google Scholar] [CrossRef]
- Al-Joufi, F.; Elmowafy, M.; Alruwaili, N.K.; Alharbi, K.S.; Shalaby, K.; Alsharari, S.D.; Ali, H.M. Mucoadhesive in situ rectal gel loaded with rifampicin: Strategy to improve bioavailability and alleviate liver toxicity. Pharmaceutics 2021, 13, 336. [Google Scholar] [CrossRef]
- Rathi, R.; Sanshita; Kumar, A.; Vishvakarma, V.; Huanbutta, K.; Singh, I.; Sangnim, T. Advancements in Rectal Drug Delivery Systems: Clinical Trials, and Patents Perspective. Pharmaceutics 2022, 14, 2210. [Google Scholar] [CrossRef]
- Dsouza, L.; Chaudhari, P.; Brahmam, B.; Lewis, S.A. Derma roller mediated transdermal delivery of tizanidine invasomes for the management of skeletal muscle spasms. Eur. J. Pharm. Sci. 2021, 165, 105920. [Google Scholar] [CrossRef] [PubMed]
- Nangare, S.; Dugam, S. Smart invasome synthesis, characterizations, pharmaceutical applications, and pharmacokinetic perspective: A review. Future J. Pharm. Sci. 2020, 6, 123. [Google Scholar] [CrossRef]
- Bekhet, M.A.; Ali, A.A.; Kharshoum, R.M.; El-Ela, F.I.A.; Salem, H.F. Intranasal niosomal in situ gel as a novel strategy for improving citicoline efficacy and brain delivery in treatment of epilepsy: In vitro and ex vivo characterization and in vivo pharmacodynamics investigation. J. Pharm. Sci. 2022, 111, 2258–2269. [Google Scholar] [CrossRef]
- Koradia, H.; Chaudhari, K. Formulation of unidirectional buccal tablet of Mirtazapine: An in vitro and ex vivo evaluation. J. Drug Deliv. Sci. Technol. 2018, 43, 233–242. [Google Scholar] [CrossRef]
- Ali, A.A.; Hassan, A.H.; Eissa, E.M.; Aboud, H.M. Response Surface Optimization of Ultra-Elastic Nanovesicles Loaded with Deflazacort Tailored for Transdermal Delivery: Accentuated Bioavailability and Anti-Inflammatory Efficacy. Int. J. Nanomed. 2021, 16, 591–607. [Google Scholar] [CrossRef] [PubMed]
- Karaşen, N.; Altinöz, S. Determination of mirtazapine in tablets by UV spectrophotometric and derivative spectrophotometric methods. J. Pharm. Biomed. Anal. 2000, 24, 11–17. [Google Scholar] [PubMed]
- El Menshawe, S.F.; Nafady, M.M.; Aboud, H.M.; Kharshoum, R.M.; Elkelawy, A.M.M.H.; Hamad, D.S. Transdermal delivery of fluvastatin sodium via tailored spanlastic nanovesicles: Mitigated Freund’s adjuvant-induced rheumatoid arthritis in rats through suppressing p38 MAPK signaling pathway. Drug Deliv. 2019, 26, 1140–1154. [Google Scholar] [CrossRef] [PubMed]
- Salem, H.F.; Kharshoum, R.M.; Sayed, O.M.; Abdel Hakim, L.F. Formulation design and optimization of novel soft glycerosomes for enhanced topical delivery of celecoxib and cupferron by Box–Behnken statistical design. Drug Dev. Ind. Pharm. 2018, 44, 1871–1884. [Google Scholar] [CrossRef] [PubMed]
- Salem, H.F.; Nafady, M.M.; Ali, A.A.; Khalil, N.M.; Elsisi, A.A. Evaluation of metformin hydrochloride tailoring bilosomes as an effective transdermal nanocarrier. Int. J. Nanomed. 2022, 17, 1185–1201. [Google Scholar] [CrossRef]
- Aboud, H.M.; Hassan, A.H.; Ali, A.A.; Abdel-Razik, A.-R.H. Novel in situ gelling vaginal sponges of sildenafil citrate-based cubosomes for uterine targeting. Drug Deliv. 2018, 25, 1328–1339. [Google Scholar] [CrossRef]
- Anitha, P.; Satyanarayana, S. Design and optimization of nano invasomal gel of Glibenclamide and Atenolol combination: In vitro and in vivo evaluation. Future J. Pharm. Sci. 2021, 7, 92. [Google Scholar] [CrossRef]
- Li, L.; Gu, J.; Zhang, J.; Xie, Z.; Lu, Y.; Shen, L.; Dong, Q.; Wang, Y. Injectable and Biodegradable pH-Responsive Hydrogels for Localized and Sustained Treatment of Human Fibrosarcoma. ACS Appl. Mater. Interfaces 2015, 7, 8033–8040. [Google Scholar] [CrossRef] [PubMed]
- Sherje, A.P.; Londhe, V. Development and evaluation of pH-responsive cyclodextrin-based in situ gel of paliperidone for intranasal delivery. AAPS PharmSciTech 2018, 19, 384–394. [Google Scholar] [CrossRef]
- Elkomy, M.H.; El-Menshawe, S.F.; Ali, A.A.; Halawa, A.A.; El-Din, A.S.S. Betahistine dihydrochloride transdermal delivery via optimized thermosensitive gels: Percutaneous absorption evaluation using rat growth as a biomarker. Drug Deliv. Transl. Res. 2018, 8, 165–177. [Google Scholar] [CrossRef] [PubMed]
- Wu, H.; Liu, Z.; Peng, J.; Li, L.; Li, N.; Li, J.; Pan, H. Design and evaluation of baicalin-containing in situ pH-triggered gelling system for sustained ophthalmic drug delivery. Int. J. Pharm. 2011, 410, 31–40. [Google Scholar] [CrossRef] [PubMed]
- Jabeen, S.; Maswal, M.; Chat, O.A.; Rather, G.M.; Dar, A.A. Rheological behavior and Ibuprofen delivery applications of pH responsive composite alginate hydrogels. Colloids Surf. B. Biointerfaces 2016, 139, 211–218. [Google Scholar] [CrossRef] [PubMed]
- Slattery, D.A.; Cryan, J.F. Using the rat forced swim test to assess antidepressant-like activity in rodents. Nat. Protoc. 2012, 7, 1009–1014. [Google Scholar] [CrossRef]
- Can, A.; Dao, D.T.; Terrillion, C.E.; Piantadosi, S.C.; Bhat, S.; Gould, T.D. The tail suspension test. JoVE J. Vis. Exp. 2012, 59, e3769. [Google Scholar] [CrossRef]
- Dang, R.; Zhou, X.; Tang, M.; Xu, P.; Gong, X.; Liu, Y.; Jiao, H.; Jiang, P. Fish oil supplementation attenuates neuroinflammation and alleviates depressive-like behavior in rats submitted to repeated lipopolysaccharide. Eur. J. Nutr. 2018, 57, 893–906. [Google Scholar] [CrossRef]
- Kaidanovich-Beilin, O.; Lipina, T.; Vukobradovic, I.; Roder, J.; Woodgett, J.R. Assessment of social interaction behaviors. JoVE J. Vis. Exp. 2011, 48, e2473. [Google Scholar] [CrossRef]
- Belovicova, K.; Bogi, E.; Csatlosova, K.; Dubovicky, M. Animal tests for anxiety-like and depression-like behavior in rats. Interdiscip. Toxicol. 2017, 10, 40–43. [Google Scholar] [CrossRef] [PubMed]
- Guilherme Graeff, F.; Zangrossi, H., Jr. The dual role of serotonin in defense and the mode of action of antidepressants on generalized anxiety and panic disorders. Cent. Nerv. Syst. Agents Med. Chem. Former. Curr. Med. Chem. Cent. Nerv. Syst. Agents 2010, 10, 207–217. [Google Scholar] [CrossRef] [PubMed]
- Blasco-Serra, A.; González-Soler, E.M.; Cervera-Ferri, A.; Teruel-Martí, V.; Valverde-Navarro, A.A. A standardization of the novelty-suppressed feeding test protocol in rats. Neurosci. Lett. 2017, 658, 73–78. [Google Scholar] [CrossRef] [PubMed]
- Fukumoto, K.; Chaki, S. Involvement of serotonergic system in the effect of a metabotropic glutamate 5 receptor antagonist in the novelty-suppressed feeding test. J. Pharmacol. Sci. 2015, 127, 57–61. [Google Scholar] [CrossRef] [PubMed]
- Porwal, M.; Khan, N.A.; Maheshwari, K.K. Evaluation of Acute and Subacute Oral Toxicity Induced by Ethanolic Extract of Marsdenia tenacissima Leaves in Experimental Rats. Sci. Pharm. 2017, 85, 29. [Google Scholar] [CrossRef] [PubMed]
- ud Din, F.; Mustapha, O.; Kim, D.W.; Rashid, R.; Park, J.H.; Choi, J.Y.; Ku, S.K.; Yong, C.S.; Kim, J.O.; Choi, H.-G. Novel dual-reverse thermosensitive solid lipid nanoparticle-loaded hydrogel for rectal administration of flurbiprofen with improved bioavailability and reduced initial burst effect. Eur. J. Pharm. Biopharm. 2015, 94, 64–72. [Google Scholar] [CrossRef] [PubMed]
- Panda, D.S.; Eid, H.M.; Elkomy, M.H.; Khames, A.; Hassan, R.M.; Abo El-Ela, F.I.; Yassin, H.A. Berberine encapsulated lecithin–chitosan nanoparticles as innovative wound healing agent in type II diabetes. Pharmaceutics 2021, 13, 1197. [Google Scholar] [CrossRef] [PubMed]
- Lee, M.-S.; Park, W.-S.; Kim, Y.H.; Kwon, S.-H.; Jang, Y.-J.; Han, D.; Morita, K.; Her, S. Antidepressant-like effects of Cortex Mori Radicis extract via bidirectional phosphorylation of glucocorticoid receptors in the hippocampus. Behav. Brain Res. 2013, 236, 56–61. [Google Scholar] [CrossRef] [PubMed]
- El-Sisi, A.E.; El-Sayad, M.E.; Abdelsalam, N.M. Protective effects of mirtazapine and chrysin on experimentally induced testicular damage in rats. Biomed. Pharmacother. 2017, 95, 1059–1066. [Google Scholar] [CrossRef]
- Salazar-Juárez, A.; Barbosa-Méndez, S.; Merino-Reyes, P.; Matus-Ortega, M.; Hernández-Calderón, J.A.; Antón, B. Chronic dosing with mirtazapine does not produce sedation in rats. Braz. J. Psychiatry 2017, 39, 228–236. [Google Scholar] [CrossRef]
- Alam, M.I.; Baboota, S.; Ahuja, A.; Ali, M.; Ali, J.; Sahni, J.K. Intranasal infusion of nanostructured lipid carriers (NLC) containing CNS acting drug and estimation in brain and blood. Drug Deliv. 2013, 20, 247–251. [Google Scholar] [CrossRef] [PubMed]
- Md, S.; Khan, R.A.; Mustafa, G.; Chuttani, K.; Baboota, S.; Sahni, J.K.; Ali, J. Bromocriptine loaded chitosan nanoparticles intended for direct nose to brain delivery: Pharmacodynamic, pharmacokinetic and scintigraphy study in mice model. Eur. J. Pharm. Sci. 2013, 48, 393–405. [Google Scholar] [CrossRef] [PubMed]
- Ezealisiji, K.M.; Mbah, C.J.; Osadebe, P.; Krause, R. Pharmacokinetics studies of mirtazapine loaded nanoemulsion and its evaluation as transdermal delivery system. Chem. Pharm. Res. 2017, 9, 74–84. [Google Scholar]









| Factor Code | Factor Name | Factor Level | Response Code | Response Name | Unit | |||
| −1 | 0 | +1 | Y1 | Entrapment Efficiency | (EE %) | |||
| A | PL90G concentrations (%w/v) | 1 | 3 | 5 | Y2 | Invasomes vesicle size (VS) | (nm) | |
| B | cineole percentages (%v/v) | 0.5 | 1 | 1.5 | Y3 | Cumulative amount MRZ released after 12 h (CMRZR) | % | |
| C | ethanol concentrations (%v/v) | 0 | 3 | 5 | Y4 | Q24* | (µg/cm2) | |
| Run | PL90G (%w/v) | Cineole (%v/v) | Ethanol (%v/v) | Y1 (%) ± SD | Y2 (nm) ± SD | Y3 (%) ± SD | Y4 (µg/cm2) ± SD | |
| F1 | 5 | 1 | 5 | 87.59 ± 1.56 | 264.7 ± 11.9 | 68.36 ± 1.58 | 477.33 ± 15.31 | |
| F2 * | 3 | 1 | 3 | 75.27 ± 2.54 | 207.03 ± 3.5 | 73.23 ± 1.95 | 431.42 ± 8.39 | |
| F3 * | 3 | 1 | 3 | 74.85 ± 1.75 | 216.43 ± 4.3 | 71.91 ± 1.31 | 428.47 ± 9.50 | |
| F4 | 1 | 1 | 0 | 62.35 ± 1.89 | 130.77 ± 9.6 | 79.23 ± 0.57 | 295.68 ± 14.74 | |
| F5 | 5 | 1.5 | 3 | 97.15 ± 1.40 | 307.83 ± 6.2 | 53.54 ± 2.84 | 470.33 ± 16.81 | |
| F6 * | 3 | 1 | 3 | 76.71 ± 1.28 | 224.17 ± 8.9 | 69.48 ± 0.75 | 421.86 ± 7.3 | |
| F7 | 3 | 1.5 | 0 | 86.91 ± 1.02 | 227.1 ± 6.8 | 68.19 ± 2.57 | 379.32 ± 10.7 | |
| F8 | 1 | 1 | 5 | 59.41 ± 2.18 | 138.57 ± 5.6 | 87.27 ± 2.7 | 331.13 ± 15.51 | |
| F9 | 3 | 0.5 | 5 | 68.32 ± 1.40 | 171.43 ± 5.2 | 73.32 ± 0.94 | 417.71 ± 10.69 | |
| F10 | 1 | 0.5 | 3 | 62.39 ± 3.87 | 88.97 ± 7.9 | 82.12 ± 2.25 | 346.51 ± 11.21 | |
| F11 | 3 | 1.5 | 5 | 81.46 ± 2.34 | 285.97 ± 11.0 | 74.18 ± 3.11 | 393.75 ± 14.17 | |
| F12 | 5 | 1 | 0 | 93.17 ± 3.04 | 267.87 ± 6.9 | 55.95 ± 1.80 | 425.34 ± 11.62 | |
| F13 | 1 | 1.5 | 3 | 71.51 ± 0.85 | 175.27 ± 3.6 | 81.52 ± 1.15 | 360.96 ± 19.02 | |
| F14 | 3 | 0.5 | 0 | 77.56 ± 1.72 | 187.9 ± 3.1 | 70.96 ± 2.75 | 327.26 ± 17.32 | |
| F15 | 5 | 0.5 | 3 | 91.27 ± 1.42 | 247.13 ± 7.0 | 64.33 ± 1.91 | 460.99 ± 11.06 | |
| Formula Nom | Q24 (µg/cm2) | Flux (Jss) (µg/cm2·h) | Kp (cm/h) | Lag Time (min) | Enhance Factor | PDI |
|---|---|---|---|---|---|---|
| F1 | 477.33 ± 15.31 | 34.75 ± 2.05 | 0.034747 ± 0.0021 | 15.57 ± 2.43 | 2.33 | 0.354 ± 0.0274 |
| F2 * | 431.42 ± 8.39 | 25.98 ± 1.86 | 0.025976 ± 0.0018 | 13.63 ± 3.12 | 1.74 | 0.241 ± 0.0180 |
| F3 * | 428.47 ± 9.50 | 24.84 ± 2.14 | 0.024843 ± 0.0032 | 18.19 ± 1.94 | 1.67 | 0.345 ± 0.0053 |
| F4 | 295.68 ± 14.74 | 16.98 ± 0.95 | 0.016975 ± 0.0025 | 17.32 ± 2.63 | 1.14 | 0.268 ± 0.0251 |
| F5 | 470.33 ± 16.81 | 33.67 ± 1.32 | 0.033674 ± 0.0004 | 20.87 ± 2.71 | 2.26 | 0.423 ± 0.0223 |
| F6 * | 421.86 ± 7.3 | 23.11 ± 1.56 | 0.023111 ± 0.0023 | 23.46 ± 1.82 | 1.55 | 0.322 ± 0.0135 |
| F7 | 379.32 ± 10.7 | 19.58 ± 0.86 | 0.019580 ± 0.0012 | 19.27 ± 3.42 | 1.31 | 0.434 ± 0.0356 |
| F8 | 331.13 ± 15.51 | 17.98 ± 1.89 | 0.017984 ± 0.0071 | 13.69 ± 3.16 | 1.21 | 0.287 ± 0.0316 |
| F9 | 417.71 ± 10.69 | 29.83 ± 2.43 | 0.029834 ± 0.0062 | 14.04 ± 1.86 | 1.99 | 0.339 ± 0.0307 |
| F10 | 346.51 ± 11.21 | 21.91 ± 1.42 | 0.021911 ± 0.0023 | 17.61 ± 1.92 | 1.47 | 0.239 ± 0.0148 |
| F11 | 393.75 ± 14.17 | 25.79 ± 0.98 | 0.025789 ± 0.0030 | 14.47 ± 1.56 | 1.73 | 0.281 ± 0.0221 |
| F12 | 425.34 ± 11.62 | 30.86 ± 1.28 | 0.030863 ± 0.0086 | 15.46 ± 0.96 | 2.07 | 0.248 ± 0.0114 |
| F13 | 360.96 ± 19.02 | 23.41 ± 0.56 | 0.023411 ± 0.0045 | 13.97 ± 1.21 | 1.57 | 0.293 ± 0.0264 |
| F14 | 327.26 ± 17.32 | 17.71 ± 0.84 | 0.017713 ± 0.0052 | 22.73 ± 2.56 | 1.19 | 0.340 ± 0.0099 |
| F15 | 460.99 ± 11.06 | 33.38 ± 1.73 | 0.033386 ± 0.0019 | 24.87 ± 2.11 | 2.24 | 0.289 ± 0.0139 |
| MRZ susp | 247.06 ± 11.81 | 14.92 ± 0.61 | 0.014919 ± 0.0014 | 41.29 ± 3.78 | - | - |
| MRZ-NVMs optimum formula | 468.68 ± 14.31 | 31.27 ± 1.34 | 0.031270 ± 0.0012 | 14.84 ± 1.30 | 2.09 | 0.252 ± 0.0162 |
| MRZ-free gel | 225.94 ± 12.63 | 11.40 ± 1.06 | 0.011401 ± 0.0007 | 45.73 ± 3.53 | 0.76 | - |
| MRZ-NVMs in situ gel | 418.55 ± 11.42 | 23.61 ± 2.21 | 0.023605 ± 0.0024 | 24.38 ± 2.19 | 1.58 | - |
| Pharmacokinetics Parameter | Oral MRZ Suspension | Rectal Free MRZ Gel | Rectal MRZ-NVMs In Situ Gel | |||
|---|---|---|---|---|---|---|
| Plasma | Brain | Plasma | Brain | Plasma | Brain | |
| Cmax (ng/mL) | 972.84 ± 34.28 | 494.94 ± 34.21 | 1536.60 ± 73.16 (a) | 967.55 ± 42.76 (a) | 2616.99 ± 127.68 (a,b) | 2064.294 ± 102.94 (a,b) |
| Tmax (h) | 2 | 2.67 ± 0.94 | 3.33 ± 0.94 | 4 | 4.0 (a) | 4.67 ± 0.94 |
| T1/2 (h) | 35.01 ± 1.86 | 5.82 ± 0.27 | 40.10 ± 1.98 (a) | 8.48 ± 0.31 | 52.94 ± 1.29 (a,b) | 12.54 ± 2.53 (a) |
| Kel | 0.0198 ± 0.001 | 0.1193 ± 0.0054 | 0.017 ± 0.0008 (a) | 0.0817 ± 0.0028 (a) | 0.0131 ± 0.0003 (a,b) | 0.05731 ± 0.0101 (a,b) |
| MRT (h) | 51.47 ± 2.32 | 8.92 ± 1.20 | 54.69 ± 2.78 | 13.46 ± 0.46 | 72.96 ± 2.32 (a,b) | 19.62 ± 3.67 (a,b) |
| AUC(0–t) (ng·h/mL) | 28,813.4 ± 1406.97 | 4278.466 ± 127.72 | 41,848.64 ± 1115.51 (a) | 8398.62 ± 457.89 (a) | 82,233.89 ± 3608.25 (a,b) | 19,046.64 ± 576.29 (a,b) |
| AUC(0–∞) (ng·h/mL) | 38,955.64 ± 2051.04 | 6328.87 ± 266.57 | 57,611.34 ± 1859.72 (a) | 14,414.1 ± 1055.02 | 130,817.1 ± 7757.3 (a,b) | 43,402.79 ± 6080.81 (a,b) |
| % Relative bioavailability (Frel) | 145.240 | 196.299 | 285.401 | 445.175 | ||
| Pharmacokinetics Parameter | Oral MRZ Suspension | Rectal MRZ-NVMs In Situ Gel Formulation | ||||
|---|---|---|---|---|---|---|
| Time (h) | Brain (ng/g) | Blood (ng/mL) | Br/Bl Ratio | Brain (ng/g) | Blood (ng/mL) | Br/Bl Ratio |
| 0.5 | 166.868 ± 33.62 | 245.477 ± 12.19 | 0.6797 | 588.738 ± 55.22 | 624.87213 ± 19.72 | 0.9421 |
| 1 | 327.593 ± 37.24 | 481.047 ± 16.44 | 0.6809 | 1076.625 ± 96.92 | 1439.5543 ± 53.87 | 0.7479 |
| 2 | 568.346 ± 68.08 | 972.842 ± 34.06 | 0.5842 | 1636.367 ± 119.22 | 1961.9649 ± 65.92 | 0.834 |
| 4 | 502.618 ± 86.47 | 808.689 ± 29.59 | 0.6215 | 2043.617 ± 130.97 | 2616.9893 ± 156.38 | 0.7809 |
| 8 | 301.151 ± 16.50 | 700.806 ± 20.78 | 0.4297 | 1646.547 ± 134.33 | 1839.3004 ± 42.31 | 0.8952 |
| 12 | 210.556 ± 10.15 | 587.165 ± 23.06 | 0.3586 | 1332.3489 ± 108.72 | 1500.8905 ± 57.83 | 0.8877 |
Disclaimer/Publisher’s Note: The statements, opinions and data contained in all publications are solely those of the individual author(s) and contributor(s) and not of MDPI and/or the editor(s). MDPI and/or the editor(s) disclaim responsibility for any injury to people or property resulting from any ideas, methods, instructions or products referred to in the content. |
© 2024 by the authors. Licensee MDPI, Basel, Switzerland. This article is an open access article distributed under the terms and conditions of the Creative Commons Attribution (CC BY) license (https://creativecommons.org/licenses/by/4.0/).
Share and Cite
Eissa, E.M.; El Sisi, A.M.; Bekhet, M.A.; El-Ela, F.I.A.; Kharshoum, R.M.; Ali, A.A.; Alrobaian, M.; Ali, A.M.A. pH-Sensitive In Situ Gel of Mirtazapine Invasomes for Rectal Drug Delivery: Protruded Bioavailability and Anti-Depressant Efficacy. Pharmaceuticals 2024, 17, 978. https://doi.org/10.3390/ph17080978
Eissa EM, El Sisi AM, Bekhet MA, El-Ela FIA, Kharshoum RM, Ali AA, Alrobaian M, Ali AMA. pH-Sensitive In Situ Gel of Mirtazapine Invasomes for Rectal Drug Delivery: Protruded Bioavailability and Anti-Depressant Efficacy. Pharmaceuticals. 2024; 17(8):978. https://doi.org/10.3390/ph17080978
Chicago/Turabian StyleEissa, Essam M., Amani M. El Sisi, Marina A. Bekhet, Fatma I. Abo El-Ela, Rasha M. Kharshoum, Adel A. Ali, Majed Alrobaian, and Ahmed M. Abdelhaleem Ali. 2024. "pH-Sensitive In Situ Gel of Mirtazapine Invasomes for Rectal Drug Delivery: Protruded Bioavailability and Anti-Depressant Efficacy" Pharmaceuticals 17, no. 8: 978. https://doi.org/10.3390/ph17080978
APA StyleEissa, E. M., El Sisi, A. M., Bekhet, M. A., El-Ela, F. I. A., Kharshoum, R. M., Ali, A. A., Alrobaian, M., & Ali, A. M. A. (2024). pH-Sensitive In Situ Gel of Mirtazapine Invasomes for Rectal Drug Delivery: Protruded Bioavailability and Anti-Depressant Efficacy. Pharmaceuticals, 17(8), 978. https://doi.org/10.3390/ph17080978

