Effects of Short-Term Treatment with α-Lipoic Acid on Neuropathic Pain and Biomarkers of DNA Damage in Patients with Diabetes Mellitus
Abstract
1. Introduction
2. Results
3. Discussion
4. Materials and Methods
4.1. Study Subjects
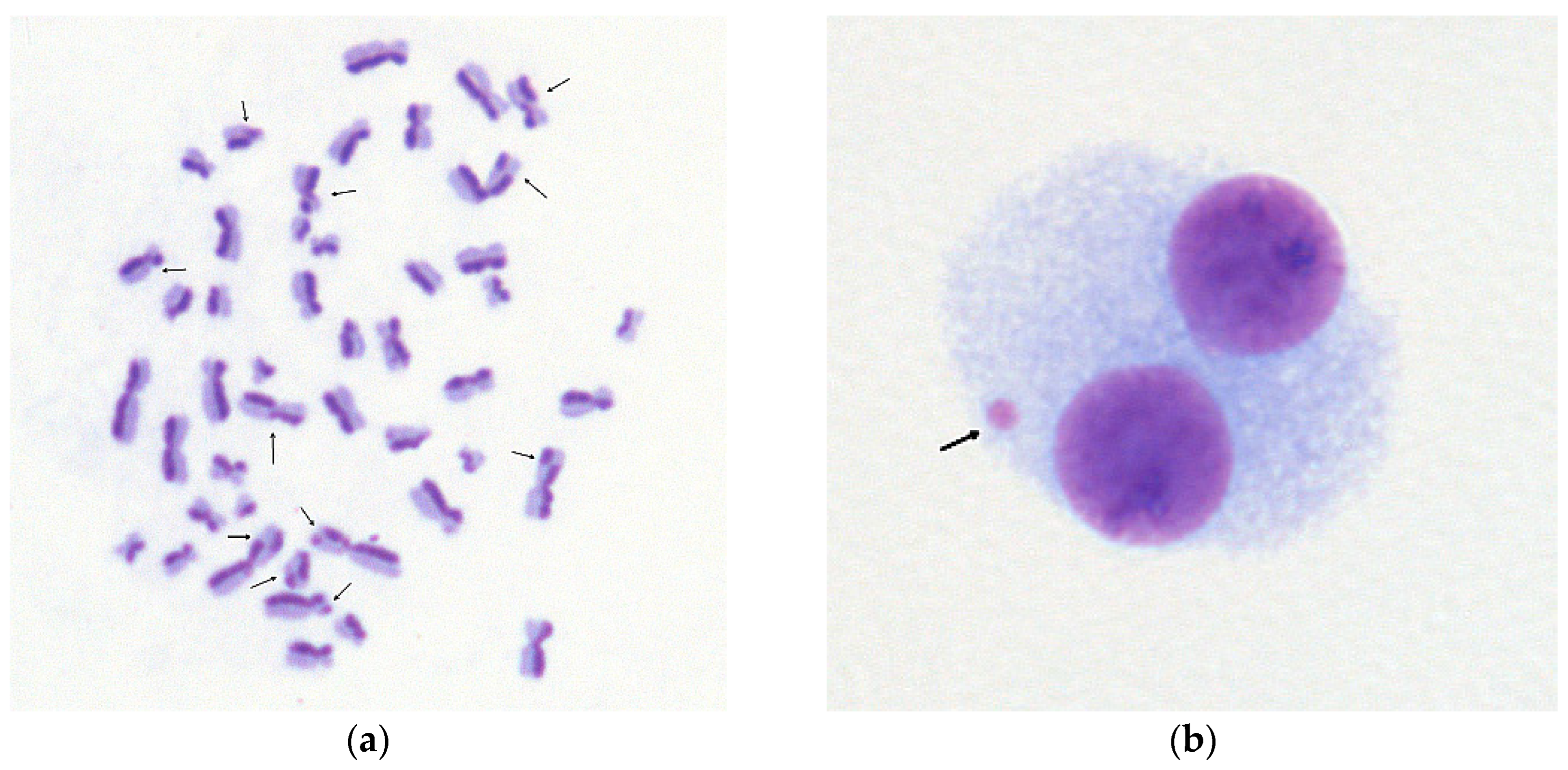
4.2. Analysis of Biomarkers of DNA Damage
Supplementary Materials
Author Contributions
Funding
Institutional Review Board Statement
Informed Consent Statement
Data Availability Statement
Conflicts of Interest
References
- Sempere-Bigorra, M.; Julián-Rochina, I.; Cauli, O. Differences and Similarities in Neuropathy in Type 1 and 2 Diabetes: A Systematic Review. J. Pers. Med. 2021, 11, 230. [Google Scholar] [CrossRef] [PubMed]
- Pop-Busui, R.; Ang, L.; Boulton, A.; Feldman, E.; Marcus, R.; Mizokami-Stout, K.; Singleton, J.R.; Ziegler, D. Diagnosis and Treatment of Painful Diabetic Peripheral Neuropathy. ADA Clin. Compend. 2022, 2022, 1–32. [Google Scholar] [CrossRef] [PubMed]
- Dillon, B.R.; Ang, L.; Pop-Busui, R. Spectrum of Diabetic Neuropathy: New Insights in Diagnosis and Treatment. Annu. Rev. Med. 2024, 75, 293–306. [Google Scholar] [CrossRef] [PubMed]
- Ziegler, D. Pathogenetic Treatments for Diabetic Peripheral Neuropathy. Diabetes Res. Clin. Pract. 2023, 206, 110764. [Google Scholar] [CrossRef]
- Vincent, A.M.; Russell, J.W.; Low, P.; Feldman, E.L. Oxidative Stress in the Pathogenesis of Diabetic Neuropathy. Endocr. Rev. 2004, 25, 612–628. [Google Scholar] [CrossRef]
- Pizzino, G.; Irrera, N.; Cucinotta, M.; Pallio, G.; Mannino, F.; Arcoraci, V.; Squadrito, F.; Altavilla, D.; Bitto, A. Oxidative Stress: Harms and Benefits for Human Health. Oxidative Med. Cell. Longev. 2017, 2017, 8416763. [Google Scholar] [CrossRef] [PubMed]
- Milkovic, L.; Cipak Gasparovic, A.; Cindric, M.; Mouthuy, P.-A.; Zarkovic, N. Short Overview of ROS as Cell Function Regulators and Their Implications in Therapy Concepts. Cells 2019, 8, 793. [Google Scholar] [CrossRef]
- Guo, W.; Xing, Y.; Luo, X.; Li, F.; Ren, M.; Liang, Y. Reactive Oxygen Species: A Crosslink between Plant and Human Eukaryotic Cell Systems. Int. J. Mol. Sci. 2023, 24, 13052. [Google Scholar] [CrossRef]
- Pan, H.; Zhang, L.; Guo, M.; Sui, H.; Li, H.; Wu, W.; Qu, N.; Liang, M.; Chang, D. The Oxidative Stress Status in Diabetes Mellitus and Diabetic Nephropathy. Acta Diabetol. 2010, 47, 71–76. [Google Scholar] [CrossRef]
- Thomas, M.C.; Woodward, M.; Li, Q.; Pickering, R.; Tikellis, C.; Poulter, N.; Cooper, M.E.; Marre, M.; Zoungas, S.; Chalmers, J.; et al. Relationship Between Plasma 8-OH-Deoxyguanosine and Cardiovascular Disease and Survival in Type 2 Diabetes Mellitus: Results From the ADVANCE Trial. J. Am. Heart Assoc. 2018, 7, e008226. [Google Scholar] [CrossRef]
- Šiaulienė, L.; Kazlauskaitė, J.; Jurkėnaitė, D.; Visockienė, Ž.; Lazutka, J.R. Influence of Body Mass Index and Duration of Disease on Chromosome Damage in Lymphocytes of Patients with Diabetes. Life 2023, 13, 1926. [Google Scholar] [CrossRef] [PubMed]
- Deo, P.; Fenech, M.; Dhillon, V.S. Association between Glycation Biomarkers, Hyperglycemia, and Micronucleus Frequency: A Meta-Analysis. Mutat. Res./Rev. Mutat. Res. 2021, 787, 108369. [Google Scholar] [CrossRef] [PubMed]
- Eremina, N.V.; Zhanataev, A.K.; Lisitsyn, A.A.; Durnev, A.D. Genotoxic Markers in Patients with Diabetes Mellitus (Literature Review). Ecol. Genet. 2021, 19, 143–168. [Google Scholar] [CrossRef]
- Franzke, B.; Schwingshackl, L.; Wagner, K.-H. Chromosomal Damage Measured by the Cytokinesis Block Micronucleus Cytome Assay in Diabetes and Obesity—A Systematic Review and Meta-Analysis. Mutat. Res./Rev. Mutat. Res. 2020, 786, 108343. [Google Scholar] [CrossRef]
- Saraswathy, R.; Anand, S.; Kunnumpurath, S.K.; Kurian, R.J.; Kaye, A.D.; Vadivelu, N. Chromosomal Aberrations and Exon 1 Mutation in the AKR1B1 Gene in Patients with Diabetic Neuropathy. Ochsner J. 2014, 14, 339–342. [Google Scholar]
- Salimi, M.; Broumand, B.; Mozdarani, H. Association of Elevated Frequency of Micronuclei in Peripheral Blood Lymphocytes of Type 2 Diabetes Patients with Nephropathy Complications. Mutagenesis 2016, 31, 627–633. [Google Scholar] [CrossRef]
- Prasad, M.; Bronson, S.C.; Warrier, T.; Badarinath, A.; Rai, S.; Baid, K.; Sitaraman, S.; George, A.; Moses, A.; Saraswathy, R.; et al. Evaluation of DNA Damage in Type 2 Diabetes Mellitus Patients with and without Peripheral Neuropathy: A Study in South Indian Population. J. Nat. Sci. Biol. Med. 2015, 6, 80–84. [Google Scholar]
- Cernea, S.; Raz, I. Management of Diabetic Neuropathy. Metabolism 2021, 123, 154867. [Google Scholar] [CrossRef] [PubMed]
- Jomova, K.; Raptova, R.; Alomar, S.Y.; Alwasel, S.H.; Nepovimova, E.; Kuca, K.; Valko, M. Reactive Oxygen Species, Toxicity, Oxidative Stress, and Antioxidants: Chronic Diseases and Aging. Arch. Toxicol. 2023, 97, 2499–2574. [Google Scholar] [CrossRef]
- Ziegler, D.; Tesfaye, S.; Spallone, V.; Gurieva, I.; Al Kaabi, J.; Mankovsky, B.; Martinka, E.; Radulian, G.; Nguyen, K.T.; Stirban, A.O.; et al. Screening, Diagnosis and Management of Diabetic Sensorimotor Polyneuropathy in Clinical Practice: International Expert Consensus Recommendations. Diabetes Res. Clin. Pract. 2022, 186, 109063. [Google Scholar] [CrossRef]
- Yan, S.; Lu, J.; Chen, B.; Yuan, L.; Chen, L.; Ju, L.; Cai, W.; Wu, J. The Multifaceted Role of Alpha-Lipoic Acid in Cancer Prevention, Occurrence, and Treatment. Antioxidants 2024, 13, 897. [Google Scholar] [CrossRef] [PubMed]
- Tibullo, D.; Li Volti, G.; Giallongo, C.; Grasso, S.; Tomassoni, D.; Anfuso, C.D.; Lupo, G.; Amenta, F.; Avola, R.; Bramanti, V. Biochemical and Clinical Relevance of Alpha Lipoic Acid: Antioxidant and Anti-Inflammatory Activity, Molecular Pathways and Therapeutic Potential. Inflamm. Res. 2017, 66, 947–959. [Google Scholar] [CrossRef] [PubMed]
- Nebbioso, M.; Federici, M.; Rusciano, D.; Evangelista, M.; Pescosolido, N. Oxidative Stress in Preretinopathic Diabetes Subjects and Antioxidants. Diabetes Technol. Ther. 2012, 14, 257–263. [Google Scholar] [CrossRef]
- Noori, N.; Tabibi, H.; Hosseinpanah, F.; Hedayati, M.; Nafar, M. Effects of Combined Lipoic Acid and Pyridoxine on Albuminuria, Advanced Glycation End-Products, and Blood Pressure in Diabetic Nephropathy. Int. J. Vitam. Nutr. Res. 2013, 83, 77–85. [Google Scholar] [CrossRef] [PubMed]
- Najafi, N.; Mehri, S.; Ghasemzadeh Rahbardar, M.; Hosseinzadeh, H. Effects of Alpha Lipoic Acid on Metabolic Syndrome: A Comprehensive Review. Phytother. Res. 2022, 36, 2300–2323. [Google Scholar] [CrossRef]
- Rochette, L.; Ghibu, S.; Muresan, A.; Vergely, C. Alpha-Lipoic Acid: Molecular Mechanisms and Therapeutic Potential in Diabetes. Can. J. Physiol. Pharmacol. 2015, 93, 1021–1027. [Google Scholar] [CrossRef]
- Unal, F.; Taner, G.; Yuzbasioglu, D.; Yilmaz, S. Antigenotoxic Effect of Lipoic Acid against Mitomycin-C in Human Lymphocyte Cultures. Cytotechnology 2013, 65, 553–565. [Google Scholar] [CrossRef]
- Selvakumar, E.; Prahalathan, C.; Sudharsan, P.T.; Varalakshmi, P. Protective Effect of Lipoic Acid on Micronuclei Induction by Cyclophosphamide. Arch. Toxicol. 2006, 80, 115–119. [Google Scholar] [CrossRef]
- Hsieh, R.-Y.; Huang, I.-C.; Chen, C.; Sung, J.-Y. Effects of Oral Alpha-Lipoic Acid Treatment on Diabetic Polyneuropathy: A Meta-Analysis and Systematic Review. Nutrients 2023, 15, 3634. [Google Scholar] [CrossRef]
- Papanas, N.; Ziegler, D. Efficacy of α-Lipoic Acid in Diabetic Neuropathy. Expert Opin. Pharmacother. 2014, 15, 2721–2731. [Google Scholar] [CrossRef]
- Evans, J.L.; Goldfine, I.D. Alpha-Lipoic Acid: A Multifunctional Antioxidant That Improves Insulin Sensitivity in Patients with Type 2 Diabetes. Diabetes Technol. Ther. 2000, 2, 401–413. [Google Scholar] [CrossRef] [PubMed]
- Bondar, A.; Popa, A.R.; Papanas, N.; Popoviciu, M.; Vesa, C.M.; Sabau, M.; Daina, C.; Stoica, R.A.; Katsiki, N.; Stoian, A.P. Diabetic Neuropathy: A Narrative Review of Risk Factors, Classification, Screening and Current Pathogenic Treatment Options (Review). Exp. Ther. Med. 2021, 22, 690. [Google Scholar] [CrossRef] [PubMed]
- Sherman, R.E.; Anderson, S.A.; Dal Pan, G.J.; Gray, G.W.; Gross, T.; Hunter, N.L.; LaVange, L.; Marinac-Dabic, D.; Marks, P.W.; Robb, M.A.; et al. Real-World Evidence—What Is It and What Can It Tell Us? N. Engl. J. Med. 2016, 375, 2293–2297. [Google Scholar] [CrossRef]
- Kurki, S.; Halla-aho, V.; Haussmann, M.; Lähdesmäki, H.; Leinonen, J.V.; Koskinen, M. A Comparative Study of Clinical Trial and Real-World Data in Patients with Diabetic Kidney Disease. Sci. Rep. 2024, 14, 1731. [Google Scholar] [CrossRef]
- Gupta, R.; Sharma, K.; Dhiman, U. Effect of a Combination of Oral Midazolam and Low-Dose Ketamine on Anxiety, Pain, Swelling, and Comfort during and after Surgical Extractions of Mandibular Third Molars. Indian J. Dent. Res. 2012, 23, 295. [Google Scholar] [CrossRef] [PubMed]
- Kirsch-Volders, M.; Sofuni, T.; Aardema, M.; Albertini, S.; Eastmond, D.; Fenech, M.; Ishidate, M.; Kirchner, S.; Lorge, E.; Morita, T.; et al. Report from the in Vitro Micronucleus Assay Working Group. Mutat. Res.-Genet. Toxicol. Environ. Mutagen. 2003, 540, 153–163. [Google Scholar] [CrossRef]
- Bonassi, S.; El-Zein, R.; Bolognesi, C.; Fenech, M. Micronuclei Frequency in Peripheral Blood Lymphocytes and Cancer Risk: Evidence from Human Studies. Mutagenesis 2011, 26, 93–100. [Google Scholar] [CrossRef]
- Wilson, D.M.; Thompson, L.H. Molecular Mechanisms of Sister-Chromatid Exchange. Mutat. Res./Fundam. Mol. Mech. Mutagen. 2007, 616, 11–23. [Google Scholar] [CrossRef]
- De Pascalis, I.; Pilato, B.; Mazzotta, A.; Dell’Endice, T.S.; Rubini, V.; Simone, G.; Paradiso, A.; Aiello, V.; Mangia, A. Sister Chromatid Exchange: A Possible Approach to Characterize Familial Breast Cancer Patients. Oncol. Rep. 2015, 33, 930–934. [Google Scholar] [CrossRef]
- Agathos, E.; Tentolouris, A.; Eleftheriadou, I.; Katsaouni, P.; Nemtzas, I.; Petrou, A.; Papanikolaou, C.; Tentolouris, N. Effect of α-Lipoic Acid on Symptoms and Quality of Life in Patients with Painful Diabetic Neuropathy. J. Int. Med. Res. 2018, 46, 1779–1790. [Google Scholar] [CrossRef]
- Orellana-Donoso, M.; López-Chaparro, M.; Barahona-Vásquez, M.; Santana-Machuca, A.; Bruna-Mejias, A.; Nova-Baeza, P.; Valenzuela-Fuenzalida, J.J. Effectiveness of Alpha-Lipoic Acid in Patients with Neuropathic Pain Associated with Type I and Type II Diabetes Mellitus: A Systematic Review and Meta-Analysis. Medicine 2023, 102, e35368. [Google Scholar] [CrossRef] [PubMed]
- Cassanego, G.; Rodrigues, P.; De Freitas Bauermann, L.; Trevisan, G. Evaluation of the Analgesic Effect of ɑ-Lipoic Acid in Treating Pain Disorders: A Systematic Review and Meta-Analysis of Randomized Controlled Trials. Pharmacol. Res. 2022, 177, 106075. [Google Scholar] [CrossRef] [PubMed]
- Mijnhout, G.S.; Kollen, B.J.; Alkhalaf, A.; Kleefstra, N.; Bilo, H.J.G. Alpha Lipoic Acid for Symptomatic Peripheral Neuropathy in Patients with Diabetes: A Meta-Analysis of Randomized Controlled Trials. Int. J. Endocrinol. 2012, 2012, 1–8. [Google Scholar] [CrossRef] [PubMed]
- Viana, M.D.M.; Lauria, P.S.S.; Lima, A.A.D.; Opretzka, L.C.F.; Marcelino, H.R.; Villarreal, C.F. Alpha-Lipoic Acid as an Antioxidant Strategy for Managing Neuropathic Pain. Antioxidants 2022, 11, 2420. [Google Scholar] [CrossRef]
- Amenta, F.; Traini, E.; Tomassoni, D.; Mignini, F. Pharmacokinetics of Different Formulations of Tioctic (Alpha-Lipoic) Acid in Healthy Volunteers. Clin. Exp. Hypertens. 2008, 30, 767–775. [Google Scholar] [CrossRef]
- Teichert, J.; Hermann, R.; Ruus, P.; Preiss, R. Plasma Kinetics, Metabolism, and Urinary Excretion of Alpha-Lipoic Acid Following Oral Administration in Healthy Volunteers. J. Clin. Pharmacol. 2003, 43, 1257–1267. [Google Scholar] [CrossRef]
- Teichert, J.; Kern, J.; Tritschler, H.J.; Ulrich, H.; Preiss, R. Investigations on the Pharmacokinetics of Alpha-Lipoic Acid in Healthy Volunteers. Int. J. Clin. Pharmacol. Ther. 1998, 36, 625–628. [Google Scholar]
- Grbovic, V.; Stefanovic, S.; Djukic, S.; Nurkovic, J.; Zdravkovic-Petrovic, N.; Parezanovic-Ilic, K.; Divjak, A.; Jurisic-Skevin, A. The Effects of the Physical Procedures in Patients with Diabetic Neuropathy. VSP 2019, 76, 787–794. [Google Scholar] [CrossRef]
- Abdelrahman, K.A.; Ibrahim, A.S.; Osman, A.M.; Aly, M.G.; Ali, A.S.; Farrag, W.S. Alpha Lipoic Acid with Pulsed Radiofrequency in Treatment of Chronic Lumbosacral Radicular Pain: A Prospective, Randomized Study. Medicine 2021, 100, e26344. [Google Scholar] [CrossRef]
- Esposito, C.; Ugo Garzarella, E.; Santarcangelo, C.; Di Minno, A.; Dacrema, M.; Sacchi, R.; Piccinocchi, G.; Piccinocchi, R.; Daglia, M. Safety and Efficacy of Alpha-Lipoic Acid Oral Supplementation in the Reduction of Pain with Unknown Etiology: A Monocentric, Randomized, Double-Blind, Placebo-Controlled Clinical Trial. Biomed. Pharmacother. 2021, 144, 112308. [Google Scholar] [CrossRef]
- Gilron, I.; Robb, S.; Tu, D.; Holden, R.; Towheed, T.; Ziegler, D.; Wang, L.; Milev, R.; Gray, C. Double-Blind, Randomized, Placebo-Controlled Crossover Trial of Alpha-Lipoic Acid for the Treatment of Fibromyalgia Pain: The IMPALA Trial. Pain 2021, 162, 561–568. [Google Scholar] [CrossRef] [PubMed]
- Superti, F.; Russo, R. Alpha-Lipoic Acid: Biological Mechanisms and Health Benefits. Antioxidants 2024, 13, 1228. [Google Scholar] [CrossRef] [PubMed]
- Luo, F.; Huang, C. New Insight into Neuropathic Pain: The Relationship between α7nAChR, Ferroptosis, and Neuroinflammation. Int. J. Mol. Sci. 2024, 25, 6716. [Google Scholar] [CrossRef] [PubMed]
- Melli, G.; Taiana, M.; Camozzi, F.; Triolo, D.; Podini, P.; Quattrini, A.; Taroni, F.; Lauria, G. Alpha-Lipoic Acid Prevents Mitochondrial Damage and Neurotoxicity in Experimental Chemotherapy Neuropathy. Exp. Neurol. 2008, 214, 276–284. [Google Scholar] [CrossRef]
- Broedbaek, K.; Weimann, A.; Stovgaard, E.S.; Poulsen, H.E. Urinary 8-Oxo-7,8-Dihydro-2′-Deoxyguanosine as a Biomarker in Type 2 Diabetes. Free. Radic. Biol. Med. 2011, 51, 1473–1479. [Google Scholar] [CrossRef]
- Abdel Hamid, D.Z.; Nienaa, Y.A.; Mostafa, T.M. Alpha-Lipoic Acid Improved Anemia, Erythropoietin Resistance, Maintained Glycemic Control, and Reduced Cardiovascular Risk in Diabetic Patients on Hemodialysis: A Multi-Center Prospective Randomized Controlled Study. Eur. Rev. Med. Pharmacol. Sci. 2022, 26, 2313–2329. [Google Scholar] [CrossRef]
- Porasuphatana, S.; Suddee, S.; Nartnampong, A.; Konsil, J.; Harnwong, B.; Santaweesuk, A. Glycemic and Oxidative Status of Patients with Type 2 Diabetes Mellitus Following Oral Administration of Alpha-Lipoic Acid: A Randomized Double-Blinded Placebo-Controlled Study. Asia Pac. J. Clin. Nutr. 2012, 21, 12–21. [Google Scholar] [PubMed]
- Huang, E.A.; Gitelman, S.E. The Effect of Oral Alpha-Lipoic Acid on Oxidative Stress in Adolescents with Type 1 Diabetes Mellitus. Pediatr. Diabetes 2008, 9, 69–73. [Google Scholar] [CrossRef]
- Mendoza-Núñez, V.M.; García-Martínez, B.I.; Rosado-Pérez, J.; Santiago-Osorio, E.; Pedraza-Chaverri, J.; Hernández-Abad, V.J. The Effect of 600 Mg Alpha-Lipoic Acid Supplementation on Oxidative Stress, Inflammation, and RAGE in Older Adults with Type 2 Diabetes Mellitus. Oxidative Med. Cell. Longev. 2019, 2019, 3276958. [Google Scholar] [CrossRef]
- Kowluru, R.A.; Odenbach, S. Effect of Long-Term Administration of α-Lipoic Acid on Retinal Capillary Cell Death and the Development of Retinopathy in Diabetic Rats. Diabetes 2004, 53, 3233–3238. [Google Scholar] [CrossRef]
- Zalejska-Fiolka, J.; Wielkoszyński, T.; Rokicki, W.; Dąbrowska, N.; Strzelczyk, J.K.; Kasperczyk, A.; Owczarek, A.; Błaszczyk, U.; Kasperczyk, S.; Stawiarska-Pięta, B.; et al. The Influence of α-Lipoic Acid and Garlic Administration on Biomarkers of Oxidative Stress and Inflammation in Rabbits Exposed to Oxidized Nutrition Oils. BioMed Res. Int. 2015, 2015, 827879. [Google Scholar] [CrossRef] [PubMed]
- Poulsen, H.E.; Nadal, L.L.; Broedbaek, K.; Nielsen, P.E.; Weimann, A. Detection and Interpretation of 8-oxodG and 8-oxoGua in Urine, Plasma and Cerebrospinal Fluid. Biochim. Biophys. Acta (BBA)-Gen. Subj. 2014, 1840, 801–808. [Google Scholar] [CrossRef] [PubMed]
- Sheth, F.J.; Patel, P.; Vaidya, A.D.B.; Vaidya, R.; Sheth, J. Increased Frequency of Sister Chromatid Exchanges in Patients with Type II Diabetes. Curr. Sci. 2006, 90, 236–240. [Google Scholar]
- Çolak, S.; Geyikoglu, F.; Türkez, H.; Bakır, T.Ö.; Aslan, A. The Ameliorative Effect of Cetraria Islandica against Diabetes-Induced Genetic and Oxidative Damage in Human Blood. Pharm. Biol. 2013, 51, 1531–1537. [Google Scholar] [CrossRef]
- Cinkilic, N.; Kiyici, S.; Celikler, S.; Vatan, O.; Oz Gul, O.; Tuncel, E.; Bilaloglu, R. Evaluation of Chromosome Aberrations, Sister Chromatid Exchange and Micronuclei in Patients with Type-1 Diabetes Mellitus. Mutat. Res./Genet. Toxicol. Environ. Mutagen. 2009, 676, 1–4. [Google Scholar] [CrossRef]
- Sloan, G.; Selvarajah, D.; Tesfaye, S. Pathogenesis, Diagnosis and Clinical Management of Diabetic Sensorimotor Peripheral Neuropathy. Nat. Rev. Endocrinol. 2021, 17, 400–420. [Google Scholar] [CrossRef]
- Chima, C.C.; Salemi, J.L.; Wang, M.; Mejia De Grubb, M.C.; Gonzalez, S.J.; Zoorob, R.J. Multimorbidity Is Associated with Increased Rates of Depression in Patients Hospitalized with Diabetes Mellitus in the United States. J. Diabetes Complicat. 2017, 31, 1571–1579. [Google Scholar] [CrossRef]
- Diagnostic Criteria for Diabetes. Available online: https://www.diabetes.org.uk/professionals/position-statements-reports/diagnosis-ongoing-management-monitoring/new_diagnostic_criteria_for_diabetes (accessed on 16 September 2024).
- Young, M.J.; Boulton, A.J.M.; Macleod, A.F.; Williams, D.R.R.; Sonksen, P.H. A Multicentre Study of the Prevalence of Diabetic Peripheral Neuropathy in the United Kingdom Hospital Clinic Population. Diabetologia 1993, 36, 150–154. [Google Scholar] [CrossRef]
- Statistics Online—Checks Assumptions, Interprets Results. Available online: https://www.statskingdom.com/ (accessed on 29 August 2024).




Disclaimer/Publisher’s Note: The statements, opinions and data contained in all publications are solely those of the individual author(s) and contributor(s) and not of MDPI and/or the editor(s). MDPI and/or the editor(s) disclaim responsibility for any injury to people or property resulting from any ideas, methods, instructions or products referred to in the content. |
© 2024 by the authors. Licensee MDPI, Basel, Switzerland. This article is an open access article distributed under the terms and conditions of the Creative Commons Attribution (CC BY) license (https://creativecommons.org/licenses/by/4.0/).
Share and Cite
Lazutka, J.R.; Daniūnaitė, K.; Dedonytė, V.; Popandopula, A.; Žukaitė, K.; Visockienė, Ž.; Šiaulienė, L. Effects of Short-Term Treatment with α-Lipoic Acid on Neuropathic Pain and Biomarkers of DNA Damage in Patients with Diabetes Mellitus. Pharmaceuticals 2024, 17, 1538. https://doi.org/10.3390/ph17111538
Lazutka JR, Daniūnaitė K, Dedonytė V, Popandopula A, Žukaitė K, Visockienė Ž, Šiaulienė L. Effects of Short-Term Treatment with α-Lipoic Acid on Neuropathic Pain and Biomarkers of DNA Damage in Patients with Diabetes Mellitus. Pharmaceuticals. 2024; 17(11):1538. https://doi.org/10.3390/ph17111538
Chicago/Turabian StyleLazutka, Juozas R., Kristina Daniūnaitė, Veronika Dedonytė, Aistė Popandopula, Karolina Žukaitė, Žydrūnė Visockienė, and Laura Šiaulienė. 2024. "Effects of Short-Term Treatment with α-Lipoic Acid on Neuropathic Pain and Biomarkers of DNA Damage in Patients with Diabetes Mellitus" Pharmaceuticals 17, no. 11: 1538. https://doi.org/10.3390/ph17111538
APA StyleLazutka, J. R., Daniūnaitė, K., Dedonytė, V., Popandopula, A., Žukaitė, K., Visockienė, Ž., & Šiaulienė, L. (2024). Effects of Short-Term Treatment with α-Lipoic Acid on Neuropathic Pain and Biomarkers of DNA Damage in Patients with Diabetes Mellitus. Pharmaceuticals, 17(11), 1538. https://doi.org/10.3390/ph17111538

