Hydrogel Delivery Device for the In Vitro and In Vivo Sustained Release of Active rhGALNS Enzyme
Abstract
1. Introduction
2. Results
2.1. PEG Hydrogel Gelation and Degradation In Vitro Are Dependent on Reaction pH and Polymer Concentration
2.2. Hydrogel Degradation In Vivo following Subcutaneous Injection
2.3. Delayed Release of PEG-Encapsulated rhGALNS In Vitro
2.4. No Change in the Free Energy of the Unfolding of rhGALNS in the Presence of PEG
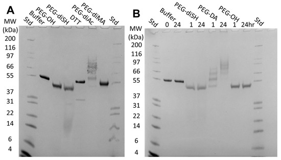
2.5. rhGALNS Conjugates with PEG-Acrylates at Long Reaction Times
2.6. Encapsulation and Release Did Not Have an Impact on the rhGALNS Secondary Structure
2.7. In Vivo Sustained Release from Hydrogel-Encapsulated Proteins in C57BL/6 Albino Mice
3. Discussion
4. Materials and Methods
4.1. Reagents
4.2. Cell Culture and rhGALNS Purification
4.3. Assessment of rhGALNS Activity
4.4. Hydrogel Preparation
4.5. Animals
4.6. In Vivo Gelation Studies
4.7. Encapsulation of rhGALNS
4.8. Measurement of rhGALNS Bulk Release from Hydrogels
4.9. Measurement of Hydrogel Gelation Time
4.10. Free Energy of Unfolding
4.11. Non-Reducing SDS-PAGE
4.12. Circular Dichroism (CD)
4.13. In Vivo Fluorescence Imaging and Image Analysis
4.14. Mesh Size Determination
4.15. Statistical Analysis
5. Conclusions
6. Patents
Supplementary Materials
Author Contributions
Funding
Institutional Review Board Statement
Informed Consent Statement
Data Availability Statement
Conflicts of Interest
References
- Zanetti, A.; D’Avanzo, F.; AlSayed, M.; Brusius-Facchin, A.C.; Chien, Y.-H.; Giugliani, R.; Izzo, E.; Kasper, D.C.; Lin, H.-Y.; Lin, S.-P.; et al. Molecular basis of mucopolysaccharidosis IVA (Morquio A syndrome): A review and classification of GALNS gene variants and reporting of 68 novel variants. Hum. Mutat. 2021, 42, 1384–1398. [Google Scholar] [CrossRef]
- Jurecka, A.; Lugowska, A.; Golda, A.; Czartoryska, B.; Tylki-Szymanska, A. Prevalence rates of mucopolysaccharidoses in Poland. J. Appl. Genet. 2015, 56, 205–210. [Google Scholar] [CrossRef] [PubMed]
- Nelson, J. Incidence of the mucopolysaccharidoses in Northern Ireland. Hum. Genet. 1997, 101, 355–358. [Google Scholar] [CrossRef] [PubMed]
- Tomatsu, S.; Montaño, A.M.; Gutierrez, M.; Grubb, J.H.; Oikawa, H.; Dung, V.C.; Ohashi, A.; Nishioka, T.; Yamada, M.; Yamada, M.; et al. Characterization and pharmacokinetic study of recombinant human N-acetylgalactosamine-6-sulfate sulfatase. Mol. Genet. Metab. 2007, 91, 69–78. [Google Scholar] [CrossRef] [PubMed]
- Wang, R.Y.; Rudser, K.D.; Dengel, D.R.; Evanoff, N.; Steinberger, J.; Movsesyan, N.; Garrett, R.; Christensen, K.; Boylan, D.; Braddock, S.R.; et al. Abnormally increased carotid intima media-thickness and elasticity in patients with Morquio A disease. Orphanet J. Rare Dis. 2020, 15, 73. [Google Scholar] [CrossRef]
- Moisan, L.; Iannuzzi, D.; Maranda, B.; Campeau, P.M.; Mitchell, J.J. Clinical characteristics of patients from Quebec, Canada, with Morquio A syndrome: A longitudinal observational study. Orphanet J. Rare Dis. 2020, 15, 270. [Google Scholar] [CrossRef]
- Hendriksz, C.; Santra, S.; Jones, S.A.; Geberhiwot, T.; Jesaitis, L.; Long, B.; Qi, Y.; Hawley, S.M.; Decker, C. Safety, immunogenicity, and clinical outcomes in patients with Morquio A syndrome participating in 2 sequential open-label studies of elosulfase alfa enzyme replacement therapy (MOR-002/MOR-100), representing 5 years of treatment. Mol. Genet. Metab. 2018, 123, 479–487. [Google Scholar] [CrossRef]
- Sanford, M.; Lo, J.H. Elosulfase alfa: First global approval. Drugs 2014, 74, 713–718. [Google Scholar] [CrossRef]
- Hendriksz, C.J.; Burton, B.; Fleming, T.R.; Harmatz, P.; Hughes, D.; Jones, S.A.; Lin, S.P.; Mengel, E.; Scarpa, M.; Valayannopoulos, V.; et al. Efficacy and safety of enzyme replacement therapy with BMN 110 (elosulfase alfa) for Morquio A syndrome (mucopolysaccharidosis IVA): A phase 3 randomised placebo-controlled study. J. Inherit. Metab. Dis. 2014, 37, 979–990. [Google Scholar] [CrossRef]
- Puckett, Y.; Mulister, H.; Montaño, A.M. Enzyme replacement therapy for Mucopolysaccharidosis IVA (Morquio A Syndrome): Milestones and Challenges. Expert. Opin. Orphan. Drugs 2017, 5, 741–752. [Google Scholar] [CrossRef]
- Kishnani, P.S.; Dickson, P.I.; Muldowney, L.; Lee, J.J.; Rosenberg, A.; Abichandani, R.; Bluestone, J.A.; Burton, B.K.; Dewey, M.; Freitas, A.; et al. Immune response to enzyme replacement therapies in lysosomal storage diseases and the role of immune tolerance induction. Mol. Genet. Metab. 2016, 117, 66–83. [Google Scholar] [CrossRef] [PubMed]
- Harris, J.M.; Chess, R.B. Effect of pegylation on pharmaceuticals. Nat. Rev. Drug Discov. 2003, 2, 214–221. [Google Scholar] [CrossRef] [PubMed]
- Harris, J.M.; Martin, N.E.; Modi, M. Pegylation: A novel process for modifying pharmacokinetics. Clin. Pharm. 2001, 40, 539–551. [Google Scholar] [CrossRef] [PubMed]
- Kharkar, P.M.; Rehmann, M.S.; Skeens, K.M.; Maverakis, E.; Kloxin, A.M. Thiol-ene click hydrogels for therapeutic delivery. ACS Biomater. Sci. Eng. 2016, 2, 165–179. [Google Scholar] [CrossRef] [PubMed]
- Yu, J.; Xu, X.; Yao, F.; Luo, Z.; Jin, L.; Xie, B.; Shi, S.; Ma, H.; Li, X.; Chen, H. In situ covalently cross-linked PEG hydrogel for ocular drug delivery applications. Int. J. Pharm. 2014, 470, 151–157. [Google Scholar] [CrossRef]
- Wang, J.; Youngblood, R.; Cassinotti, L.; Skoumal, M.; Corfas, G.; Shea, L. An injectable PEG hydrogel controlling neurotrophin-3 release by affinity peptides. J. Control. Release 2021, 330, 575–586. [Google Scholar] [CrossRef]
- Qiu, B.; Stefanos, S.; Ma, J.; Lalloo, A.; Perry, B.A.; Leibowitz, M.J.; Sinko, P.J.; Stein, S. A hydrogel prepared by in situ cross-linking of a thiol-containing poly(ethylene glycol)-based copolymer: A new biomaterial for protein drug delivery. Biomaterials 2003, 24, 11–18. [Google Scholar] [CrossRef]
- Kelly, J.M.; Gross, A.L.; Martin, D.R.; Byrne, M.E. Polyethylene glycol-b-poly(lactic acid) polymersomes as vehicles for enzyme replacement therapy. Nanomedicine 2017, 12, 2591–2606. [Google Scholar] [CrossRef]
- Jain, E.; Flanagan, M.; Sheth, S.; Patel, S.; Gan, Q.; Patel, B.; Montaño, A.M.; Zustiak, S.P. Biodegradable polyethylene glycol hydrogels for sustained release and enhanced stability of rhGALNS enzyme. Drug Deliv. Transl. Res. 2020, 10, 1341–1352. [Google Scholar] [CrossRef]
- Kroger, S.M.; Hill, L.; Jain, E.; Stock, A.; Bracher, P.J.; He, F.; Zustiak, S.P. Design of Hydrolytically Degradable Polyethylene Glycol Crosslinkers for Facile Control of Hydrogel Degradation. Macromol. Biosci. 2020, 20, 2000085. [Google Scholar] [CrossRef]
- O’Brien, E.P.; Brooks, B.R.; Thirumalai, D. Molecular Origin of Constant m-Values, Denatured State Collapse, and Residue-Dependent Transition Midpoints in Globular Proteins. Biochemistry 2009, 48, 3743–3754. [Google Scholar] [CrossRef] [PubMed]
- Ghassemi, Z.; Ruesing, S.; Leach, J.B.; Zustiak, S.P. Stability of Proteins Encapsulated in Michael-Type Addition Polyethylene Glycol Hydrogels. Biotechnol. Bioeng. 2021, 118, 4840–4853. [Google Scholar] [CrossRef] [PubMed]
- Desnick, R.J.; Schuchman, E.H. Enzyme Replacement Therapy for Lysosomal Diseases: Lessons from 20 Years of Experience and Remaining Challenges. Annu. Rev. Genom. Hum. Genet. 2012, 13, 307–335. [Google Scholar] [CrossRef] [PubMed]
- Dvorak-Ewell, M.; Wendt, D.; Hague, C.; Christianson, T.; Koppaka, V.; Crippen, D.; Kakkis, E.; Vellard, M. Enzyme replacement in a human model of mucopolysaccharidosis IVA in vitro and its biodistribution in the cartilage of wild type mice. PLoS ONE 2010, 5, e12194. [Google Scholar] [CrossRef]
- Connock, M.; Juarez-Garcia, A.; Frew, E.; Mans, A.; Dretzke, J.; Fry-Smith, A.; Moore, D. A systematic review of the clinical effectiveness and cost-effectiveness of enzyme replacement therapies for Fabry’s disease and mucopolysaccharidosis type 1. Health Technol. Assess 2006, 10, iii-iv, ix-113. [Google Scholar] [CrossRef]
- Elbert, D.L.; Pratt, A.B.; Lutolf, M.P.; Halstenberg, S.; Hubbell, J.A. Protein delivery from materials formed by self-selective conjugate addition reactions. J. Control. Release 2001, 76, 11–25. [Google Scholar] [CrossRef] [PubMed]
- Kiene, K.; Porta, F.; Topacogullari, B.; Detampel, P.; Huwyler, J. Self-assembling chitosan hydrogel: A drug-delivery device enabling the sustained release of proteins. J. Appl. Polym. Sci. 2018, 135, 45638. [Google Scholar] [CrossRef]
- Hammer, N.; Brandl, F.P.; Kirchhof, S.; Messmann, V.; Goepferich, A.M. Protein Compatibility of Selected Cross-linking Reactions for Hydrogels. Macromol. Biosci. 2015, 15, 405–413. [Google Scholar] [CrossRef]
- Paidikondala, M.; Wang, S.; Hilborn, J.; Larsson, S.; Varghese, O.P. Impact of Hydrogel Cross-Linking Chemistry on the in Vitro and in Vivo Bioactivity of Recombinant Human Bone Morphogenetic Protein-2. ACS Appl. Bio Mater. 2019, 2, 2006–2012. [Google Scholar] [CrossRef]
- Gilormini, P.; Richaud, E.; Verdu, J. A statistical theory of polymer network degradation. Polymer 2014, 55, 3811–3817. [Google Scholar] [CrossRef]
- Nicodemus, G.D.; Shiplet, K.A.; Kaltz, S.R.; Bryant, S.J. Dynamic compressive loading influences degradation behavior of PEG-PLA hydrogels. Biotechnol. Bioeng. 2009, 102, 948–959. [Google Scholar] [CrossRef]
- Zhou, H.X.; Rivas, G.; Minton, A.P. Macromolecular crowding and confinement: Biochemical, biophysical, and potential physiological consequences. Annu. Rev. Biophys. 2008, 37, 375–397. [Google Scholar] [CrossRef]
- Rathore, N.; Knotts, T.A.; de Pablo, J.J. Confinement Effects on the Thermodynamics of Protein Folding: Monte Carlo Simulations. Biophys. J. 2006, 90, 1767–1773. [Google Scholar] [CrossRef]
- Cheng, K.; Wu, Q.; Zhang, Z.; Pielak, G.J.; Liu, M.; Li, C. Crowding and Confinement Can Oppositely Affect Protein Stability. ChemPhysChem 2018, 19, 3350–3355. [Google Scholar] [CrossRef]
- Wang, H.; Akcora, P. Confinement effect on the structure and elasticity of proteins interfacing polymers. Soft Matter 2017, 13, 1561–1568. [Google Scholar] [CrossRef]
- van Diggelen, O.P.; Zhao, H.; Kleijer, W.J.; Janse, H.C.; Poorthuis, B.J.; van Pelt, J.; Kamerling, J.P.; Galjaard, H. A fluorimetric enzyme assay for the diagnosis of Morquio disease type A (MPS IV A). Clin. Chim. Acta 1990, 187, 131–139. [Google Scholar] [CrossRef]
- Council, N.R. Guide for the Care and Use of Laboratory Animals, 8th ed.; The National Academies Press: Washington, DC, USA, 2011. [Google Scholar]
- Vanderhooft, J.L.; Mann, B.K.; Prestwich, G.D. Synthesis and characterization of novel thiol-reactive poly(ethylene glycol) cross-linkers for extracellular-matrix-mimetic biomaterials. Biomacromolecules 2007, 8, 2883–2889. [Google Scholar] [CrossRef]
- Greene, R.F., Jr.; Pace, C.N. Urea and guanidine hydrochloride denaturation of ribonuclease, lysozyme, alpha-chymotrypsin, and beta-lactoglobulin. J. Biol. Chem. 1974, 249, 5388–5393. [Google Scholar] [CrossRef]
- Pace, C.N.; Grimsley, G.R.; Scholtz, J.M. Denaturation of Proteins by Urea and Guanidine Hydrochloride. In Protein Folding Handbook; Buchner, J., Kiefhaber, T., Buchner, J., Kiefhaber, T., Eds.; Wiley: Weinheim, Germany, 2005; pp. 45–69. [Google Scholar]
- Micsonai, A.; Wien, F.; Kernya, L.; Lee, Y.-H.; Goto, Y.; Réfrégiers, M.; Kardos, J. Accurate secondary structure prediction and fold recognition for circular dichroism spectroscopy. Proc. Natl. Acad. Sci. USA 2015, 112, E3095–E3103. [Google Scholar] [CrossRef]
- Grainger, S.; El-Sayed, M.E. Biologically Responsive Hybrid Biomaterials; Artech House: Boston, MA, USA, 2010; pp. 171–190. [Google Scholar]








| Gel Types | [PEG] (%w/v) | Mesh Size (nm) | Swelling Ratio, Qm |
|---|---|---|---|
| Four-Arm Acrylate, 10 kDa + PEG diSH, 3.4 kDa | 10 | 9.4 ± 1.5 | 16.1 ± 3.8 |
| 15 | 8.5 ± 0.2 | 13.2 ± 0.6 | |
| 20 | 8.5 ± 0.4 | 13.1 ± 0.7 | |
| Eight-Arm Acrylate, 20 kDa + PEG diSH, 3.4 kDa | 10 | 9.3 ± 0.7 | 15.3 ± 1.6 |
| 15 | 9.2 ± 1.4 | 13.6 ± 1.7 | |
| 20 | 7.4 ± 0.6 | 10.4 ± 0.7 |
Disclaimer/Publisher’s Note: The statements, opinions and data contained in all publications are solely those of the individual author(s) and contributor(s) and not of MDPI and/or the editor(s). MDPI and/or the editor(s) disclaim responsibility for any injury to people or property resulting from any ideas, methods, instructions or products referred to in the content. |
© 2023 by the authors. Licensee MDPI, Basel, Switzerland. This article is an open access article distributed under the terms and conditions of the Creative Commons Attribution (CC BY) license (https://creativecommons.org/licenses/by/4.0/).
Share and Cite
Flanagan, M.; Gan, Q.; Sheth, S.; Schafer, R.; Ruesing, S.; Winter, L.E.; Toth, K.; Zustiak, S.P.; Montaño, A.M. Hydrogel Delivery Device for the In Vitro and In Vivo Sustained Release of Active rhGALNS Enzyme. Pharmaceuticals 2023, 16, 931. https://doi.org/10.3390/ph16070931
Flanagan M, Gan Q, Sheth S, Schafer R, Ruesing S, Winter LE, Toth K, Zustiak SP, Montaño AM. Hydrogel Delivery Device for the In Vitro and In Vivo Sustained Release of Active rhGALNS Enzyme. Pharmaceuticals. 2023; 16(7):931. https://doi.org/10.3390/ph16070931
Chicago/Turabian StyleFlanagan, Michael, Qi Gan, Saahil Sheth, Rachel Schafer, Samuel Ruesing, Linda E. Winter, Karoly Toth, Silviya P. Zustiak, and Adriana M. Montaño. 2023. "Hydrogel Delivery Device for the In Vitro and In Vivo Sustained Release of Active rhGALNS Enzyme" Pharmaceuticals 16, no. 7: 931. https://doi.org/10.3390/ph16070931
APA StyleFlanagan, M., Gan, Q., Sheth, S., Schafer, R., Ruesing, S., Winter, L. E., Toth, K., Zustiak, S. P., & Montaño, A. M. (2023). Hydrogel Delivery Device for the In Vitro and In Vivo Sustained Release of Active rhGALNS Enzyme. Pharmaceuticals, 16(7), 931. https://doi.org/10.3390/ph16070931

