Acanthaster planci Inhibits PCSK9 Gene Expression via Peroxisome Proliferator Response Element (PPRE) and Activation of MEK and PKC Signaling Pathways in Human Liver Cells
Abstract
1. Introduction
2. Results
2.1. Selected A. planci Fraction Inhibits PCSK9 mRNA Expression on HepG2 Cells
2.2. A. planci Increases LDLR Level and Enhances LDL-C Uptake in HepG2 Cells
2.3. A. planci’s Inhibitory Action on PCSK9 Gene Expression May Be Mediated by PPRE
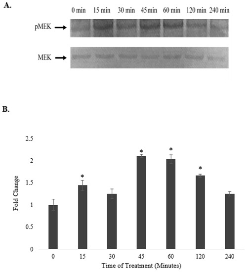
2.4. MAPK and PKC Signaling Pathways Are Responsible for Mediating A. planci Inhibitory Effect on PCSK9 Gene Expression
3. Discussions
4. Materials and Methods
4.1. Preparation of A. planci Extract and Fractions
4.2. Cell Culture Work
4.3. Cell Treatment
4.4. Cytotoxicity Assay
4.5. RNA Isolation and Quantitative Real-Time PCR (qRT-PCR)
4.6. Immunocytochemistry Analysis
4.7. Transient Transfection and Luciferase Assay
4.8. MatInspector Analysis
4.9. Site-Directed Mutagenesis
4.10. Western Blot Analysis
4.11. Statistical Analysis
5. Conclusions
Author Contributions
Funding
Institutional Review Board Statement
Informed Consent Statement
Data Availability Statement
Acknowledgments
Conflicts of Interest
References
- Pahwa, R.; Jialal, I. Atherosclerosis; StatPearls Publishing: St. Petersburg, FL, USA, 2019. [Google Scholar]
- Tabas, I.; García-Cardeña, G.; Owens, G.K. Recent insights into the cellular biology of atherosclerosis. J. Cell Biol. 2015, 209, 13–22. [Google Scholar] [CrossRef]
- Agabiti Rosei, E.; Salvetti, M. Management of hypercholesterolemia, appropriateness of therapeutic approaches and new drugs in patients with high cardiovascular risk. High Blood Press. Cardiovasc. Prev. 2016, 23, 217–230. [Google Scholar] [CrossRef]
- Istvan, E.S. Structural mechanism for statin inhibition of 3-hydroxy-3-methylglutaryl coenzyme A reductase. Am. Heart J. 2002, 144, S27–S32. [Google Scholar] [CrossRef]
- Hobbs, F.; Banach, M.; Mikhailidis, D.; Malhotra, A.; Capewell, S. Is statin-modified reduction in lipids the most important preventive therapy for cardiovascular disease? A pro/con debate. BMC Med. 2016, 14, 2–8. [Google Scholar] [CrossRef]
- Bergheanu, S.C.; Bodde, M.C.; Jukema, J.W. Pathophysiology and treatment atherosclerosis. Neth. Heart J. 2017, 25, 231–242. [Google Scholar] [CrossRef]
- George, M.; Selvarajan, S.; Muthukumar, R.; Elangovan, S. Looking into the crystal ball-upcoming drugs for dyslipidemia. J. Cardiovasc. Pharmacol. Ther. 2014, 20, 11–20. [Google Scholar] [CrossRef]
- Horodinschi, R.N.; Stanescu, A.; Bratu, O.G.; Pantea Stoian, A.; Radavoi, D.G.; Diaconu, C.C. Treatment with statins in elderly patients. Medicina 2019, 55, 721. [Google Scholar] [CrossRef]
- Salna, M.P.; Singer, H.M.; Dana, A.N. Pravastatin-induced eczematous eruption mimicking psoriasis. Case Rep. Dermatol. 2017, 2017, 3418204. [Google Scholar] [CrossRef]
- Vaziri, N.; Mofakham, H.; Fahimi, F. Statin-induced neuropathic pain: A case report. J. Pharm. Care 2019, 7, 120–122. [Google Scholar] [CrossRef]
- Krum, H.; McMurray, J.J. Statins and chronic heart failure; Do we need a large-scale outcome trial? J. Am. Coll. Cardiol. 2002, 39, 1567–1573. [Google Scholar] [CrossRef]
- Aiman, U.; Najmi, A.; Khan, R. Statin induced diabetes and its clinical implications. J. Pharmacol. Pharmacother. 2014, 5, 181–185. [Google Scholar] [CrossRef] [PubMed]
- Deichmann, R.; Lavie, C.; Andrews, S. Coenzyme Q10 and statin-induced mitochondrial dysfunction. Ochsner J. 2010, 10, 16–21. [Google Scholar] [PubMed]
- Careskey, H.E.; Davis, R.A.; Alborn, W.E.; Troutt, J.S.; Cao, G.; Konrad, R.J. Atorvastatin increases human serum levels of proprotein convertase subtilisin/kexin type 9. J. Lipid Res. 2008, 49, 394–398. [Google Scholar] [CrossRef] [PubMed]
- Lagace, T.A.; Curtis, D.E.; Garuti, R.; Mcnutt, M.C.; Park, S.W.; Prather, H.B.; Anderson, N.N.; Ho, Y.; Hammer, R.E.; Horton, J.D. Secreted PCSK9 decreases the number of LDL receptors in hepatocytes and in livers of parabiotic mice. J. Clin. Investig. 2006, 116, 2995–3005. [Google Scholar] [CrossRef] [PubMed]
- Rashid, S.; Curtis, D.E.; Garuti, R.; Anderson, N.N.; Bashmakov, Y.; Ho, Y.K.; Hammer, R.E.; Moon, Y.; Horton, J.D. Decreased plasma cholesterol and hypersensitivity to statins in mice lacking PCSK9. Proc. Natl. Acad. Sci. USA 2005, 102, 5374–5379. [Google Scholar] [CrossRef]
- Farnier, M.; Jones, P.; Severance, R.; Averna, M.; Steinhagen-Thiessen, E.; Colhoun, H.M.; Du, Y.; Hanotin, C.; Donahue, S. Efficacy and safety of adding alirocumab to rosuvastatin versus adding ezetimibe or doubling the rosuvastatin dose in high cardiovascular-risk patients: The ODYSSEY OPTIONS II randomized trial. Atherosclerosis 2016, 244, 138–146. [Google Scholar] [CrossRef]
- Verbeek, R.; Stoekenbroek, R.M.; Hovingh, G.K. PCSK9 inhibitors: Novel therapeutic agents for the treatment of hypercholesterolemia. Eur. J. Pharmacol. 2015, 763, 38–47. [Google Scholar] [CrossRef]
- Paton, D.M. PCSK9 inhibitors: Monoclonal antibodies for the treatment of hypercholesterolemia. Drugs Today 2016, 52, 183–192. [Google Scholar] [CrossRef]
- Paunovska, K.; Loughrey, D.; Dahlman, J.E. Drug delivery systems for RNA therapeutics. Nat. Rev. Genet. 2022. [CrossRef]
- Gao, W.; Chen, P.; Chen, S.; Wu, M.; Chang, H.; Yen, J. Pinostrobin inhibits Proprotein Convertase Subtilisin/Kexin-type 9 (PCSK9) gene expression through the modulation of FoxO3a protein in HepG2 cells. J. Agric. Food Chem. 2018, 66, 6083–6093. [Google Scholar] [CrossRef]
- Wang, X.; Chen, X.; Zhang, X.; Su, C.; Yang, M.; He, W.; Du, Y.; Si, S.; Wang, L.; Hong, B. A small-molecule inhibitor of PCSK9 transcription ameliorates atherosclerosis through the modulation of FoxO1/3 and HNF1α. EBioMedicine 2020, 52, 102650. [Google Scholar] [CrossRef] [PubMed]
- Dong, B.; Wu, M.; Li, H.; Kraemer, F.B.; Adeli, K.; Seidah, N.G.; Park, S.W.; Liu, J. Strong induction of PCSK9 gene expression through HNF1alpha and SREBP2: Mechanisms for the resistance to LDL-cholesterol lowering effect of statins in dyslipidemic hamsters. J. Lipid Res. 2010, 51, 1486–1495. [Google Scholar] [CrossRef]
- Jeong, H.; Lee, H.; Kim, K.; Kim, Y.; Yoon, D.; Park, S. Sterol-dependent regulation of proprotein convertase subtilisin/kexin type 9 expression by sterol-regulatory element binding protein-2. J. Lipid Res. 2008, 49, 399–409. [Google Scholar] [CrossRef] [PubMed]
- Li, H.; Dong, B.; Park, S.; Lee, H.; Chen, W.; Liu, J. Hepatocyte Nuclear Factor 1α plays a critical role in PCSK9 gene transcription and regulation by the natural hypocholesterolemic compound berberine. J. Biol. Chem. 2009, 284, 28885–28895. [Google Scholar] [CrossRef] [PubMed]
- Duan, Y.; Chen, Y.; Hu, W.; Li, X.; Yang, X.; Zhou, X.; Yin, Z.; Kong, D.; Yao, Z.; Hajjar, D.P.; et al. Peroxisome Proliferator-Activated Receptor γ activation by ligands and dephosphorylation induces Proprotein Convertase Subtilisin Kexin Type 9 and low density lipoprotein receptor expression. J. Biol. Chem. 2012, 287, 23667–23677. [Google Scholar] [CrossRef]
- Kourimate, S.; Le May, C.; Langhi, C.; Jarnoux, A.L.; Ouguerram, K.; Zaïr, Y.; Nguyen, P.; Krempf, M.; Cariou, B.; Costet, P. Dual mechanisms for the fibrate-mediated repression of PCSK9. J. Biol. Chem. 2008, 283, 9666–9673. [Google Scholar] [CrossRef]
- Newman, D.J.; Cragg, G.M. Natural products as sources of new drugs from 1981 to 2014. J. Nat. Prod. 2016, 79, 629–661. [Google Scholar] [CrossRef]
- Asselman, J.; Van Acker, E.; De Rijcke, M.; Tilleman, L.; Van Nieuwerburgh, F.; Mees, J.; De Schamphelaere, K.A.C.; Janssen, C.R. Marine biogenics in sea spray aerosols interact with the mTOR signaling pathway. Sci. Rep. 2019, 9, 675. [Google Scholar] [CrossRef]
- Graversen, C.B.; Lundbye-Christensen, S.; Thomsen, B.; Christensen, J.H.; Schmidt, E.B. Marine n-3 polyunsaturated fatty acids lower plasma Proprotein Convertase Subtilisin Kexin Type 9 levels in pre- and postmenopausal women: A randomised study. Vasc. Pharmacol. 2016, 76, 37–41. [Google Scholar] [CrossRef]
- Mohamad, H.; Abd Razak, M.F.; Kamaruddin, N.N.; Mohd Din, L.H.; Asari, A.; Andriani, Y.; Mustafa, S.F.Z.; Saidin, J.; Mohd Aluwi, M.F.F.; Latip, J.; et al. PCSK9 inhibitory activity of marine-derived compounds, aaptaminoids, and benzamide originated from Aaptos aaptos and Acanthaster planci as a potential treatment for atherosclerosis. J. Appl. Pharm. Sci. 2020, 10, 111–123. [Google Scholar] [CrossRef]
- Mohamad, H.; Rosmiati; Muhammad, T.S.T.; Andriani, Y.; Bakar, K.; Ismail, N.; Saidin, J.; Latip, J.; Musa, N.; Parenrengi, A. Potential secondary metabolites from marine sponge Aaptos aaptos for atherosclerosis and vibriosis treatments. Nat. Prod. Commun. 2017, 12, 1227–1230. [Google Scholar] [CrossRef]
- Mat-Lazim, N.H.; Asari, A.; Mohamad, F.; Tengku Muhammad, T.S.; Ismail, N.; Ahmad, A.; Taib, M.; Mohamad, H. Potential anti-atherosclerotic compound isolated from Acanthaster planci. Res. J. Pharm. Biol. Chem. Sci. 2016, 7, 482–487. [Google Scholar]
- Pratchett, M.S.; Caballes, C.F.; Rivera-Posada, J.; Sweatman, H.P.A. Limits to understanding and managing outbreaks of crown-of-thorns starfish (Acanthaster spp.). Oceanogr. Mar. Biol. Ann. Rev. 2014, 52, 133–200. [Google Scholar]
- Kamaruddin, N.N.; Hajri, N.A.; Andriani, Y.; Abdul Manan, A.F.; Tengku Muhammad, T.S.; Mohamad, H. Acanthaster planci inhibits PCSK9 and lowers cholesterol levels in rats. Molecules 2021, 26, 5094. [Google Scholar] [CrossRef]
- Boik, J. Natural Compounds in Cancer Therapy; Oregon Medical Press: Princeton, MN, USA, 2001. [Google Scholar]
- Mat-Lazim, N.H.; Asari, A.; Mohamad, F.; Tengku Muhammad, T.S.; Ismail, N.; Taib, M.; Ahmad, A.; Mohamad, H. Phenyl ethanone and sterols from Acanthaster planci as potential PPAR-ligand. J. Chem. Pharm. Res. 2015, 7, 121–126. [Google Scholar]
- Sun, L.; Yang, X.; Li, Q.; Zeng, P.; Liu, Y.; Liu, L.; Chen, Y.; Yu, M.; Ma, C.; Li, X.; et al. Activation of adiponectin receptor regulates Proprotein Convertase Subtilisin/Kexin Type 9 expression and inhibits lesions in ApoE-deficient mice. Arterioscler. Thromb. Vasc. Biol. 2017, 37, 1290–1300. [Google Scholar] [CrossRef]
- Rokos, C.L.; Ledwith, B.J. Peroxisome proliferators activate extracellular signal-regulated kinases in immortalized mouse liver cells. J. Biol. Chem. 1997, 272, 13452–13457. [Google Scholar] [CrossRef]
- Burns, K.A.; Van Heuvel, J.P. Modulation of PPAR activity via phosphorylation. Biochim. Biophys. Acta 2007, 1771, 952–960. [Google Scholar] [CrossRef]
- Ishii, T.; Okino, T.; Mino, Y. A ceramide and cerebroside from the starfish Asterias amurensis Luetken and their plant-growth promotion activities. J. Nat. Prod. 2006, 69, 1080–1082. [Google Scholar] [CrossRef]
- Lee, C.; Hsieh, H.J.; Hsieh, C.; Hwang, D. Antioxidative and anticancer activities of various ethanolic extract fractions from crown-of-thorns starfish (Acanthaster planci). Environ. Toxicol. Pharmacol. 2014, 38, 761–773. [Google Scholar] [CrossRef]
- Shapiro, M.D.; Tavori, H.; Fazio, S. PCSK9: From basic science discoveries to clinical trials. Circ. Res. 2018, 122, 1420–1438. [Google Scholar] [CrossRef] [PubMed]
- Adorni, M.P.; Zimetti, F.; Lupo, M.G.; Ruscica, M.; Ferri, N. Naturally occurring PCSK9 inhibitors. Nutrients 2020, 12, 1440. [Google Scholar] [CrossRef] [PubMed]
- Cameron, J.; Ranheim, T.; Kulseth, M.A.; Leren, T.P.; Berge, K.E. Berberine decreases PCSK9 expression in HepG2 cells. Atherosclerosis 2008, 201, 266–273. [Google Scholar] [CrossRef] [PubMed]
- Lambert, G.; Jarnoux, A.; Pineau, T.; Pape, O.; Chetiveaux, M.; Laboisse, C.; Krempf, M.; Costet, P. Fasting induces hyperlipidemia in mice overexpressing Proprotein Convertase Subtilisin Kexin Type 9: Lack of modulation of very-low-density lipoprotein hepatic output by the low-density lipoprotein receptor. Endocrinology 2006, 147, 4985–4995. [Google Scholar] [CrossRef]
- Lambert, G.; Ancellin, N.; Charlton, F.; Comas, D.; Pilot, J.; Keech, A.; Patel, S.; Sullivan, D.R.; Cohn, J.S.; Rye, K.; et al. Plasma PCSK9 concentrations correlate with LDL and cholesterol in diabetic and are decreased by fenofibrate treatment. Clin. Chem. 2008, 54, 1038–1045. [Google Scholar] [CrossRef]
- Macchi, C.; Greco, M.F.; Botta, M.; Sperandeo, P.; Dongiovanni, P.; Valenti, L.; Cicero, A.F.; Borghi, C.; Lupo, M.G.; Romeo, S.; et al. Leptin, resistin, and proprotein convertase subtilisin/kexin type 9. Am. J. Pathol. 2020, 190, 2226–2236. [Google Scholar] [CrossRef]
- Chambard, J.C.; Lefloch, R.; Pouyssegur, J.; Lenormand, P. ERK implication in cell cycle regulation. BBA-Mol. Cell Res. 2007, 1773, 1299–1310. [Google Scholar] [CrossRef]
- Drummond, M.L.; Prehoda, K.E. Molecular control of atypical Protein Kinase C: Tipping the balance between self-renewal and differentiation. J. Mol. Biol. 2016, 428, 1455–1464. [Google Scholar] [CrossRef]
- Cao, A.; Wu, M.; Li, H.; Liu, J. Janus kinase activation by cytokine oncostatin M decreases PCSK9 expression in liver cells. J. Lipid Res. 2011, 52, 518–530. [Google Scholar] [CrossRef]
- Abidi, P.; Zhou, Y.; Jiang, J.; Liu, J. Extracellular signal-regulated kinase–dependent stabilization of hepatic low-density lipoprotein receptor mRNA by herbal medicine berberine. Arterioscler. Thromb. Vasc. Biol. 2005, 25, 2170–2176. [Google Scholar] [CrossRef]
- Yan, H.; Ma, Y.; Gui, Y.; Wang, S.; Wang, X.; Gao, F.; Wang, Y. MG132, a proteasome inhibitor, enhances LDL uptake in HepG2 cells in vitro by regulating LDLR and PCSK9 expression. Acta Pharmacol. Sin. 2014, 35, 994–1004. [Google Scholar] [CrossRef] [PubMed]
- Liu, X.Y.; Lu, Q.; Ouyang, S.L.; Tang, G.J.; Zhao, Y.C. Apelin-13 increases expression of ATP-binding cassette transporter A1 via activating protein kinase Cα signaling in THP-1 macrophage-derived foam cells. Atherosclerosis 2013, 226, 398–407. [Google Scholar] [CrossRef] [PubMed]
- Beg, Z.H.; Stonik, J.A.; Brewer, H.B., Jr. Phosphorylation and modulation of the enzymic activity of native and protease-cleaved purified hepatic 3-hydroxy-3-methylglutaryl-coenzyme A reductase by a calcium/calmodulin-dependent protein kinase. J. Biol. Chem. 1987, 262, 13228–13240. [Google Scholar] [CrossRef]
- Ma, S.; Sun, L.; Liu, S. Therapeutic Targets of Hypercholesterolemia: HMGCR and LDLR. Diabetes Metab. Syndr. Obes. Targets Ther. 2019, 12, 1543–1553. [Google Scholar] [CrossRef]
- Li, N.; Mclaren, J.E.; Michael, D.R.; Clement, M.; Fielding, C.A.; Ramji, D.P. ERK is integral to the IFN-γ–mediated activation of STAT1, the expression of key genes implicated in atherosclerosis, and the uptake of modified lipoproteins by human macrophages. J. Immunol. 2010, 185, 3041–3048. [Google Scholar] [CrossRef]
- Toth, P.P.; Banach, M. Statins: Then and now. Methodist Debakey Cardiovasc. 2019, 15, 23–31. [Google Scholar] [CrossRef]
- Singer, I.I.; Kawka, D.W.; Kazazis, D.M.; Alberts, A.W.; Chen, J.S.; Huff, J.W.; Ness, G.C. Hydroxymethylglutaryl-coenzyme A reductase-containing hepatocytes are distributed periportally in normal and mevinolin-treated rat livers. Proc. Natl. Acad. Sci. USA 1984, 81, 5556–5560. [Google Scholar] [CrossRef]
- Nissen, S.E.; Wolski, K. Effects of rosiglitazone on the risk of myocardial infarction and death from cardiovascular diseases. N. Engl. J. Med. 2007, 356, 2457–2471. [Google Scholar] [CrossRef]
- Dong, B.; Li, H.; Singh, A.B.; Cao, A.; Liu, J. Inhibition of PCSK9 transcription by berberine involves down-regulation of hepatic HNFI alpha protein expression through ubiquitin- proteasome degradation pathway. J. Biol. Chem. 2015, 290, 4047–4058. [Google Scholar] [CrossRef]
- Cerda, A.; Bortolin, R.H.; Manriquez, V.; Salazar, L.; Zambrano, T.; Fajardo, C.M.; Hirata, M.H.; Hirata, R.D.C. Effect of statins on lipid metabolism-related microRNA expression in HepG2 cells. Pharmacol. Rep. 2021, 73, 868–880. [Google Scholar] [CrossRef]
- Cartharius, K.; Frech, K.; Grote, K.; Klocke, B.; Haltmeier, M.; Klingenhoff, A.; Frisch, M.; Bayerlein, M.; Werner, T. MatInspector and beyond: Promoter analysis based on transcription factor binding sites. Bioinformatics 2005, 21, 2933–2942. [Google Scholar] [CrossRef] [PubMed]
- Mohd, M.A.; Ahmad Norudin, N.A.; Muhammad, T.S.T. Transcriptional regulation of Retinol Binding Protein 4 by Interleukin-6 via Peroxisome Proliferator-activated Receptor α and CCAAT/Enhancer binding proteins. Mol. Cell. Endocrinol. 2020, 505, 110702–110710. [Google Scholar] [CrossRef] [PubMed]











| Names | Primers | Sequence (5′–3′) |
|---|---|---|
| PCSK9 | Forward | GGCAGGTTGCAGCTGTTT |
| Reverse | CGTGTAGGCCCCGAGTGT [24] | |
| β-actin | Forward | TCACCCTGAAGTACCCCATC |
| Reverse | CCATCTCTTGCTCGAAGTCC |
| Primer Name | Oligo | Primer Sequence |
|---|---|---|
| D1-1 | Forward | AACGACCCCGTAGGTGcctaGCCAAGGTCCCAAAGGG |
| Reverse | CCCTTTGGGACCTTGGCtaggCACCTACCGGGGTCGTT | |
| D1-2 | Forward | GTGAGAGGCCAAGGTCCCtegtGGGAGCAGCAGGGAAAGT |
| Reverse | ACTTTCCCTGCTGCTCCCacgaGGGACCTTGGCCTCTCAC | |
| D1-3 | Forward | GTCcctaGCCAAGGTCCCtcgtGGGAGCAGCAGGGAAAGT |
| Reverse | ACTTTCCCTGCTGCTCCCacgaGGGACCTTGGCtaggCAC | |
| D1-4 | Forward | GTCTTTGTGCACTGGCTCTCTGGAacatGGTCTTTGCAAACAAAGTGGAA |
| Reverse | TTCCACTTTGTTTGCAAAGACCatgtTCCAGAGAGCCAGTGCACAAAGAC |
Publisher’s Note: MDPI stays neutral with regard to jurisdictional claims in published maps and institutional affiliations. |
© 2022 by the authors. Licensee MDPI, Basel, Switzerland. This article is an open access article distributed under the terms and conditions of the Creative Commons Attribution (CC BY) license (https://creativecommons.org/licenses/by/4.0/).
Share and Cite
Kamaruddin, N.N.; Mohd Din, L.H.; Jack, A.; Abdul Manan, A.F.; Mohamad, H.; Tengku Muhammad, T.S. Acanthaster planci Inhibits PCSK9 Gene Expression via Peroxisome Proliferator Response Element (PPRE) and Activation of MEK and PKC Signaling Pathways in Human Liver Cells. Pharmaceuticals 2022, 15, 269. https://doi.org/10.3390/ph15030269
Kamaruddin NN, Mohd Din LH, Jack A, Abdul Manan AF, Mohamad H, Tengku Muhammad TS. Acanthaster planci Inhibits PCSK9 Gene Expression via Peroxisome Proliferator Response Element (PPRE) and Activation of MEK and PKC Signaling Pathways in Human Liver Cells. Pharmaceuticals. 2022; 15(3):269. https://doi.org/10.3390/ph15030269
Chicago/Turabian StyleKamaruddin, Nurjannatul Naim, Lukman Hakim Mohd Din, Allicia Jack, Aina Farahiyah Abdul Manan, Habsah Mohamad, and Tengku Sifzizul Tengku Muhammad. 2022. "Acanthaster planci Inhibits PCSK9 Gene Expression via Peroxisome Proliferator Response Element (PPRE) and Activation of MEK and PKC Signaling Pathways in Human Liver Cells" Pharmaceuticals 15, no. 3: 269. https://doi.org/10.3390/ph15030269
APA StyleKamaruddin, N. N., Mohd Din, L. H., Jack, A., Abdul Manan, A. F., Mohamad, H., & Tengku Muhammad, T. S. (2022). Acanthaster planci Inhibits PCSK9 Gene Expression via Peroxisome Proliferator Response Element (PPRE) and Activation of MEK and PKC Signaling Pathways in Human Liver Cells. Pharmaceuticals, 15(3), 269. https://doi.org/10.3390/ph15030269

