Next Article in Journal
Non-Destructive Evaluation of Historical Paper Based on pH Estimation from VOC Emissions
Previous Article in Journal
Fiber Optic Sensors For Detection of Toxic and Biological Threats
 
 
Font Type:
Arial Georgia Verdana
Font Size:
Aa Aa Aa
Line Spacing:
Column Width:
Background:
Article

Lanthanide Recognition: an Asymetric Erbium Microsensor Based on a Hydrazone Derivative

by
Farnoush Faridbod
1,
Mohammad Reza Ganjali
1,*,
Bagher Larijani
2,
Parviz Norouzi
1,
S. Riahi
3 and
F. Fatemeh Sadat Mirnaghi
1
1
Center of Excellence in Electrochemistry, Faculty of Chemistry, University of Tehran, Tehran, Iran
2
Endocrinology & Metabolism Research Center, Medical Sciences/ University of Tehran, Tehran, Iran
3
Institute of Petroleum Engineering, Faculty of Engineering, University of Tehran, Tehran, Iran
*
Author to whom correspondence should be addressed.
Sensors 2007, 7(12), 3119-3135; https://doi.org/10.3390/s7123119
Submission received: 9 August 2007 / Accepted: 25 October 2007 / Published: 5 December 2007

Abstract

:
N'-(2-hydroxy-1,2-diphenylethylidene)benzohydrazide (HDB) was found to have a very selective and sensitive behavior towards erbium(III) ions, in comparison to thirteen lanthanide ions, inner transition and representative metal ions and was hence used as a neutral ion carrier in construction of an Er(III) microelectrode. Theoretical calculations and conductance studies of HDB to erbium and some other metal ions were carried out and confirmed selectivity toward Er(III) ions.
The best performance was obtained with a membrane contain 3% potassium tetrakis(p-chlorophenyl)borate (KTpClPB) as an anionic additive, 72% dibutyl phthalate (DBP) as solvent mediator, 5% HDB, and 20% poly(vinyl chloride) (PVC). The proposed Er(III) microelectrode exhibits a near Nernstian response of 17.5±0.5 mV per decade of erbium activity, and a very wide linear range 1.0×10-3-3.0×10-10 M. It can work well in the pH range of 3.0-9.0. The lower detection limit (LDL) of the microelectrode was calculated to be 2.0×10-10 M.

1. Introduction

Erbium is one of the rare chemicals that can be found in houses in equipment such as color televisions, fluorescent lamps, energy-saving lamps and glasses. All rare chemicals have comparable properties.
Erbium is dumped in the environment in many different places, mainly by petrol-producing industries. It can also enter the environment when household equipment is thrown away. Erbium will gradually accumulate in soils and water soils and this will eventually lead to increasing concentrations in humans, animals and soil particles. The use of erbium is still growing, due to the fact that it is suited to produce catalysers and to polish glass. Erbium is mostly dangerous in the working environment, due to the fact that damps and gasses can be inhaled with air. This can cause lung embolisms, especially during long-term exposure. Erbium can be a threat to the liver when it accumulates in the human body [1,2].
All erbium compounds should be regarded as highly toxic because the biological properties of the lanthanides, primarily based on their similarity to calcium, have a high affinity for Ca2+ sites on biological molecules and hence can act as either Ca2+ inhibitors or probes. Although the Lanthanide cannot gain access to intracellular organelles, they have been used as biochemical probes to study calcium transport in mitochondria and other organelles [3].
So ability to determine low amount of this ion in environmental solution or biological fluid is inevitable.
Up to now, voltammetry, mass spectroscopy and Rutherford back-scattering techniques, higher order derivative spectrometry, ICP-MS, NAA (Neutron Activation Analysis) and spectrofluorometric methods have been used for the analysis of erbium [4-7]. These methods are either time consuming, involving multiple sample manipulations, or too expensive for most analytical laboratories.
Potentiometric electrodes, offer several advantages such as fast and ease of preparations and procedures, simple instrumentations, relatively fast responses, very low detection limit, wide dynamic ranges, reasonable selectivity and low costs. This has led to increasing the number of available electrodes and microelectrodes over the last few years [8].
Although the neutral carrier-type ISEs have been successful for determination of a wide variety of metal ions [8], including the alkali, alkaline-earth, transition, and some other heavy metal ions, there are only a limited number of reports on the development of highly selective electrodes for eleven lanthanide ions based on different noncyclic and macrocyclic ionophores such as (2-mercaptoanil)diacetyl [9], aza-crown [10], dicyclohexano-18-crown-6 [11], 1,3,5-trithiacyclohexane [12], N-N Schiff's base [13], bis(thiophenal)phenylen-1,3-diamine [14], 1-phenyl-3-methyl-4-octadecanoyl-5-pyrazolone [15], 4-methyl-2-hydrazinobenzothiazole [16], 5,14-N,N'-hydroxyphenyl-4,15-dioxo-1,5,14,18-tetraaza hexacosane [17], on N-(2-pyridyl)-N'-(2-methoxyphenyl)-thiourea [18], gliclazide [19] and bis(5-nitro-2-furaldehyde)butane-2,3-dihydrazone [20] for lanthanum, 1,3,5-trithiane [21,22], azomethine [23], N'-[(2-Hydroxyphenyl) methylidene]-2-furohydrazide [24], and 2-aminobenzothiazole [25] for cerium, bis(thiaalkylxanthato)alkanes [26], glipizide [27,28], 3-{[2-oxo-1(2H)-acenaphthylenyliden]amino}-2-thioxo-1,3-thiazolidin-4-one [29], Tin (IV)Boratophosphate [30], and 4,5,6,7-tetrathiocino[1,2-b:3,4-b′]diimidazolyl-1,3,8,10-tetraethyl-2, 9-dithione (Et4todit) [31] for samarium, omeprazole [32], S-N Schiff's base [33], and N-(2-pyridyl)-N'-(4-nitrophenyl)thiourea [34] for gadolinium, N-(2-pyridyl)-N'-(2-methoxyphenyl)-thiourea [35], 1-phenyl-3-(2-thiazolyl)-2-thiourea [36], (3-hydroxy-N'-[(2-hydrox yphenyl) methylene]-2-naphthohydrazide [37], cefixime [38], and 6-methy-4-{[1-(1H-pyrrol-2-yl)methylidene]amino}-3-thioxo-3,4-dihydro-1,2,4-triazin-5(2H)-one [39] for ytterbium, N,N-diethyl-N-(4-hydroxy-6-methylpyridin-2-yl)guanidine [40], S-N hexadentates schiff's base [41], and 4-(2-hydroxybenzylideneamino)-6-methyl-3-thioxo-3,4-dihydro-1,2,4-triazin-5(2H)-one [42] for europium, bispyrrolidene Schiff's base [43] and 4-Amino-3-{2-[4-amino-6-methyl-5-oxo-4,5-dihydro-1,2,4-triazin-3(2H)-yliden] hydrazono}-6-methyl-3,4-dihydro-1,2,4-triazin-5(2H)-one [44] for terbium, bis-pyrrolidene Schiff's base [45] and asymmetrical Schiff's base [46] for dysprosium, N'-(2-hydroxy-1,2-diphenylethylidene) benzohydrazide [47] for erbium, N-(1-thien-2-ylmethylene)-1,3-benzothiazol-2-amine [48] and N,N'-bis(2-quinolinecarboxamide)-1,2-benzene [49] for holmium, hydrazide derivative [50] for presidium, thiophene-2-carbaldehyde-(7-methyl-1,3-benzothiazol-2-yl)hydrazone [51] for thulium, asymmetrically S–N Schiff's base for lutetium [52].
Among these reported lanthanide sensors, there is no report on fabrication an asymmetric Er(III) sensor for the fast monitoring of very low level of erbium ion. In this work we wish to report the first erbium(III) microelectrode based on N'-(2-hydroxy-1,2-diphenylethylidene) benzohydrazide (HDB) for the monitoring of sub-nanomolar concentration of erbium(III) ions.

2. Experimental

2.1. Reagents

Potassium tetrakis(4-chlorophenyl) borate (KTpClPB), PVC of high relative molecular weight, o-nitrophenyloctyl ether (NPOE), nitrobenzene (NB), dibutyl phthalate (DBP), tetrahydrofuran (THF), chloride and nitrate salts of cations were of the highest purity available (from Merck and Aldrich), and were used without further purification. All aqueous solutions were prepared with deionized distilled water. The pH of all solutions, were adjusted with dilute nitric acid and sodium hydroxide. The ionophore HDB (Fig. 1) was synthesized as described elsewhere [47].

2.2. Electrode preparation

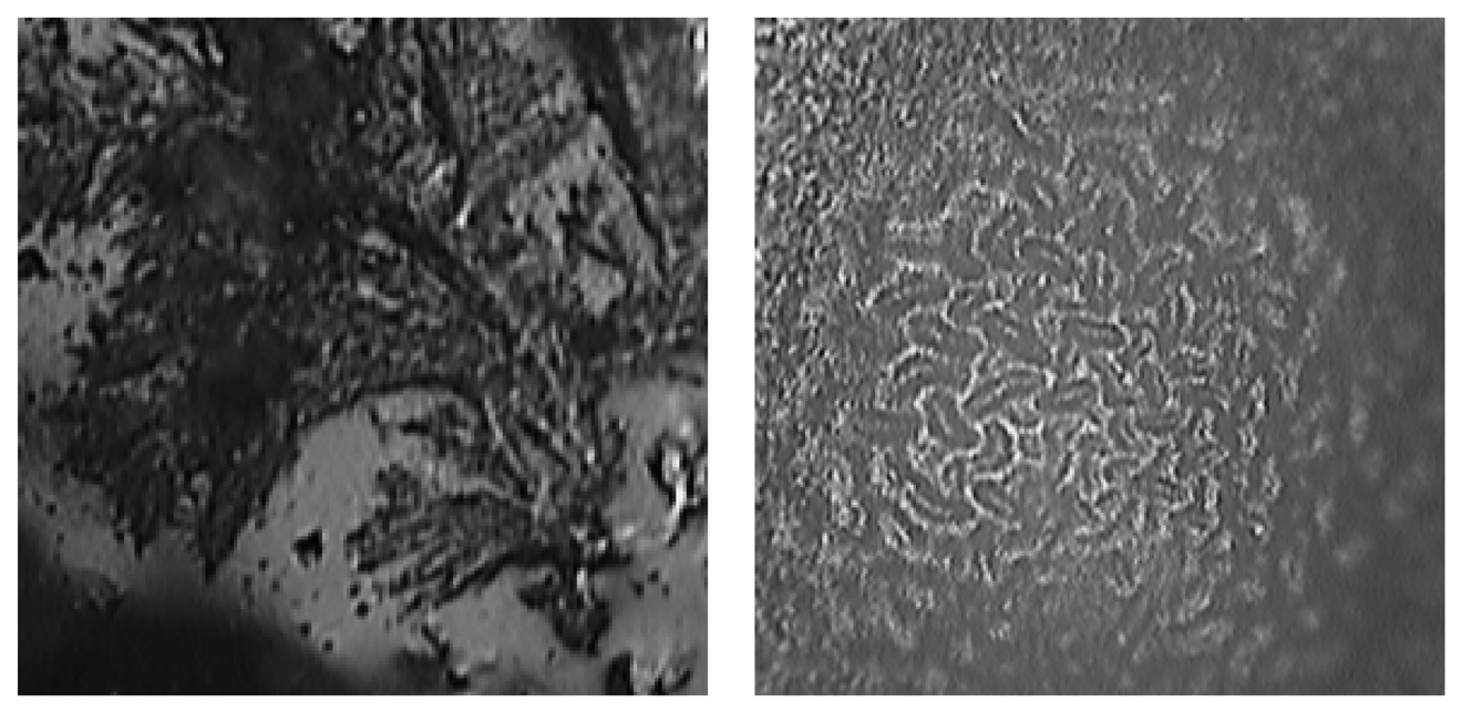
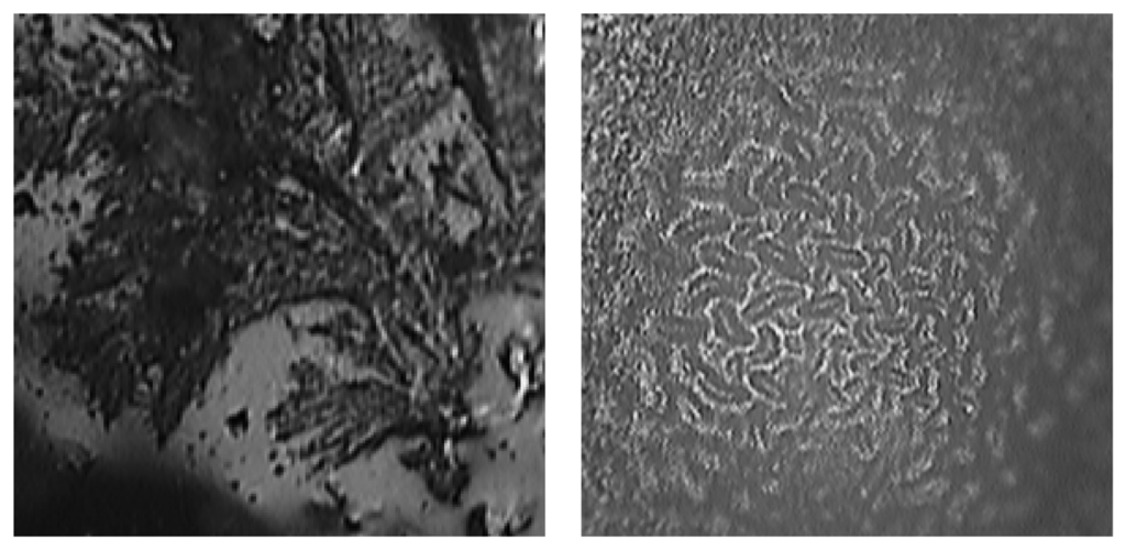
To prepare the PVC membrane, we used dipping method [8], after thoroughly mixing 20 mg of powdered PVC, 72 mg of DBP, 3 mg of additive KTpClPB, and 5 mg of HDB and 3 ml of THF, the resulting mixture was transferred into a glass dish with a 2 cm in diameter. The solvent was slowly evaporated until a relative oily concentrated was obtained. The gold electrode was prepared by sealing gold micro-wire (Goodfellow Metals Ltd., UK) into a soft glass capillary. The capillary was then cut perpendicular to its length to expose the gold wire. Electrical contact was made using silver epoxy (Johnson Matthey Ltd., UK). Before each experiment the electrode surface was polished for 1 min, using extra fine carborundum paper and then for 10 min with 0.3 □m alumina, sonicated in distilled water and dried in air. The polished gold electrode was dipped into the membrane solution mentioned above and the solvent was evaporated. A membrane was formed on the gold surface and the electrode was allowed to set overnight. The electrode was finally conditioned for 48 h by soaking in a 1.0 × 10-3 M of ErCl3. The surfaces of the Er(III) microelectrode membrane sensors before and after conditioning in a Er(III) solution are shown in Fig. 2. As seen, after the conditioning of the membrane in the erbium solution, most of the sites in the membrane form the Er(III)-HDB complex and the surface of the membrane look likes homogeneous.

2.3. Apparatus

Potentials were measured with a Corning ion analyzer Model 250-pH/mV meter. The pH of the sample solutions was monitored simultaneously with a conventional glass pH electrode.

2.4. EMF-Measurement

All emf measurements were carried out with the following assembly:
Hg 2 Cl 2 , KCl ( satd . ) | Sample solution | PVC membrane | gold surface
In all measurements, the ionic strength of the solutions was maintained by using 10-4 M of NaCl.

3. Results and Discussions

Regarding that some neutral ion carriers, containing nitrogen, sulfur or both nitrogen and sulfur donor atoms, have been reported, to be used in construction of selective and sensitive transition and heavy metal ion membrane microelectrodes, lately [17-25,53,54] and considering the existence of two nitrogen and one oxygen donor atoms in the semi cavity of HDB, it was expected to act as a suitable ion carrier for special transition and heavy metal ions (specially, higher charge density), in the PVC membranes.
The microelectrode sensor is an asymmetrical sensor without any internal reference electrode and internal solution. The main problem of the symmetric ion selective liquid membrane electrodes is the leaking of the internal solution to the outer surface of the membrane, causing changes in the surface potential. Therefore, the detection limit of this kind of electrode is about 10-6 M. In the case of asymmetric sensors, the wire coated and the graphite coated detection limit is about 10-8-10-11 M (on the grounds that there is no leaking of the internal solution). Due to the high tendency of the asymmetric microelectrode to the low Er(III) concentration, the selectivity will be drastically improved [8].
Many experimental and theoretical investigations have been carried out to understand better the fundamental interaction between metal ions and neutral molecules and their relationship to molecular recognition. Computational models capable of reliably predicting ligand selectivity in a variety of cations have been shown to be valuable tools for the advancement of practical works [54-58]. In order to have a clear picture about the selectivity of ligand for various metal ions, in this work, we investigated its binding to Na+, Ce3+, Nd3+, Pr3+, Sm3+, Gd3+, Pb2+, Cu2+ and Er3+ ions by using the Extended Hückel semi-empirical calculations. Because system contains atom (Er), which have not been assigned any basis function in ab-initio calculation, Extended Hückel semi-empirical calculations have been used [60,61]. The influence of the nature, size and charge of metal ions on the complexation reaction with the neutral ligand is explained on the basis of the calculation of gas–phase binding energies.
The binding energy of the uncomplexed ligand and its complexes with Er3+, and other metal ions were carried out using Hyper Chem software (Version 6.01). The binding energy (ΔE) was calculated using equation (1):
Δ E = Δ E complex ( Δ E ligand Δ E cation )
Where, ΔEcomplex, ΔEligand and ΔEcation are the total energies of the complex, uncomplexed ligand and metal ion, respectively. Table 1 summarizes the theoretical data relating the stability of the ligand compelexes with Na+, Ce3+, Nd3+, Pr3+, Sm3+, Gd3+, Pb2+, Cu2+ and Er3+ ions. Inspection of Table 1 reveals that the cation binding energy with ligand shows a pronounced dependence on the nature of metal ions used.
Thus, based on the above ab-initio calculation results, ionophore could possibly be used as a suitable ionophore in preparation of an erbium ion-selective membrane microelectrode. The optimized structures of ionophore and its Er+3 complexes are shown in Fig. 3.
At the next experiment, the HDB complexation with a number of transition metal ions including La(III), Yb(III), Gd(III), Er(III), Pr(III), Tb(III), Sm(III), Eu(III), Dy(III), Ho(III), Lu(III), Tm(III), Ca(II), Co(II), Pb(II), Cu(II) K(I), and Na(I) was investigated conductometrically in acetonitrile solutions (1.0 x 10-4 M of cation solution and 1.0 x 10-2 M of ligand) at 25 ± 0.1 °C [51]. 25 ml of each ion solution was titrated with 0.01 M of HDB solution in order to obtain a clue about the stability and selectivity of the resulting complexes.
The conductance of the solution was measured after each addition. Addition of the ligand was continued until the desired ligand-to-cation mole ratio was achieved. The 1:1 binding of the protonated amines with macrocyclic ligands can be expressed by the following equilibrium:
M + + L K f ML +
The corresponding equilibrium constant, Kf, is given by:
K f = [ ML + ] [ M + ] [ L ] × f ( ML + ) f ( M + ) f ( L )
Where [ML+], [M+], [L] and f represent the equilibrium molar concentration of complexes, free cation, free ligand, and the activity coefficient of the species indicated, respectively.
Under the dilute condition we used, the activity coefficient of the unchanged ligand, f(L) can be reasonably assumed as unity [62,63]. The use of Deby-Huckel limiting law of 1:1 electrolytes [64] lead to the conclusion that f(M+)∽f(ML+), so the activity coefficient in equation (3)is canceled out. Thus the complex formation constant in term of the molar conductance can be expressed as [65,66]:
K f = [ ML + ] [ M + ] [ L ] = ( Λ M Λ obs ) ( Λ obs Λ ML ) [ L ]
Where
[ L ] = C L C M ( Λ M Λ obs ) ( Λ M Λ ML )
Here, ΛM is the molar conductance of the cation before addition of ligand, ΛML the molar conductance of the complex, Λobs the molar conductance of the solution during titration, CL the analytical concentration of the HDB added, and CM the analytical concentration of the cation. The complex formation constants, Kf, and the molar conductance of complex, ΛML, were obtained by computer fitting of equations (4) and (5) to the molar conductance-mole ratio data, using a nonlinear least-squares program KINFIT [67]. The logarithm of the formation constants (log Kf) of the resulting 1:1 complexes for mono and divalent cations were about two or less than 2., and for trivalent cations (other lanthanides except Er(III)) were in the range of 2.41-3.44. However, for Er(III) the logarithm of the formation constants was 4.74. Thus, HDB with the most stable complex with Er(III) ion is expected to act as a suitable ion-carrier for the fabrication of a Er(III) ion-selective membrane sensor.
In the next experiment, HDB was used in the construction of membrane microelectrodes for lanthanide ions (Er3+, La3+, Pr3+, Sm3+, Dy3+, Ho3+, Tm3+, Nd3+, Gd3+, Ce3+, Yb3+, Eu3+, and Lu3+) and other representative and transition metal ions like Na+, K+, Ca2+, Mg2+, Pb2+, Cu2+ and Co2+ ions. The curves of the best potential responses of the resulting membranes vs. changing the concentration of the most important ions, that are shown in Fig. 4, revealed that among the lanthanide, transition and representative ions tested, erbium(III) with the most Nernstian response, can be suitably determined with the PVC membrane microelectrode based on HDB. This selectivity for Er(III) was also shown by theoretical calculations. These kinds of behavior have been reported [53, 57].
This behavior may be due to the result of the selective tendency of the ion carrier against erbium(III) (with relatively low charge density and hydration energy), in comparison to other metal ions, and the rapid exchange kinetics of the resulting HDB- erbium(III) complex.
Because the sensitivity and selectivity of any given membrane microelectrode is significantly related to the composition of the ion selective membrane, and the nature of the solvent mediators and additives used [68-75], we decided to study such effects on the behavior of the proposed microelectrode. The effect of the nature and amount of the plasticizer, the amount of PVC, and the additive on the potential response of the proposed erbium(III) microelectrode were investigated, and the results are given in Table 2. These data show that the three different plasticizers used, DBP, NB, and o-NPOE have almost the same results if the optimum composition is used, however, because NB, and o-NPOE are very polar, leading to the extraction of the polar interfering ions such as other rare earth ions which may have negative effects on the selectivity behavior of the microelectrode, DBP was chosen as the solvent mediator. This may seem to lead to the poorer extraction of erbium(III) ion, having relatively high charge density, by the average-polar solvent, but this seemed to be compensated by the selective complexation of HDB with the erbium(III) ions. This way, not only was the slope of the microelectrode response maintained, but its selectivity pattern was also improved.
In addition, from the data in Table 2, the optimum amount of the ion carrier is 5% (No. 8) which is select from a previously reported Er liquid membrane sensor [47], while the slope of the resulting emf vs. log erbium(III) activity plot is about two-thirds of the expected Nernstian value (membranes No. 2). However, addition of 3% KTpClPB (membranes No. 5) will increase the sensitivity of the electrode response to a great extent. The fact that the presence of lipophilic anions in the composition of cationic-selective membrane microelectrodes, not only diminishes the ohmic resistance and enhances the potential behavior and selectivity, but also in poor extraction capacities, increases the sensitivity of the membrane electrodes, has long been known [76-79].
Table 2 shows the effect of the amount of PVC on the sensitivity of the fabrication of erbium(III) microelectrode. As it can be seen from Table 2, using 20% PVC as optimum amount in construction of the sensor presents a higher sensitivity (no. 1).
The potential response of the microelectrode was evaluated using the optimum composition of all ingredients, while lacking the ionophore, and it was found that under these conditions the response of the microelectrodes falls to very low values of 3.5 mV/decade, indicating that the sensitivity of the microelectrode is major due to the complexing behavior of HDB.
The mechanism of the response of the asymmetric membrane sensor is not well known up to now exactly. It is explained by an existence of a redox system Er3+/Er in the surface of the gold as an internal reference electrode, in the presence of diffused ErCl3 from the outer layer of membrane to the inner layer (surface of the gold electrode).
The optimum equilibration time for the membrane electrode, after which it generates stable potentials when placed in contact with erbium(III) solutions, is found to be 48 h.
The critical response characteristics of the erbium(III) microelectrode were assessed according to IUPAC recommendations [80]. The potential response of the membrane at varying concentration of erbium(III) ions (Fig. 4) indicates a rectilinear range from 1.0×10-3-3.0×10-10 M. The slopes of the calibration curves were 17.5±0.3 mV/decade of erbium(III) activity. The limit of detection, as determined from the intersection of the two extrapolated segments of the calibration graph, was 2.0 ×10-10 M (∽30 ppt). The standard deviation of 8 replicate potential measurements for the proposed electrode is ±0.3. The potential drift within 5 minutes after each measurement is ±0.1 mV.
The influence of pH on the response of the membrane microelectrode to a 1.0 × 10-5 M erbium(III) solution, was studied over a pH range of 2.5 to 11.0, and the results show that in the pH range of 3.0 to 9.0, the potential does not change with changing pH that indicates the applicability of this microelectrode in the mentioned pH range. Beyond these limits, however, relatively drastic drifts in the potential vs. pH behavior were observed. The observed drift at the higher pH values of this range could be due to the formation of insoluble Er(OH)3 ion in the solution. In acidic solutions having pH values of less than the minimum of this range, the ionophore used could be protonated to some extent, which results in improper functioning of the membrane electrode to the erbium(III) ion concentration.
The lifetime of the microelectrode, which is a measure of microelectrodes durability, was also studied in a 4 months period. During this period the microelectrode was used for 2 hours a day, 5 days a week. After each usage it was washed completely. After ten weeks only a relatively slight changes in the microelectrode's slope and detection limit from 17.5 ± 0.5 and 2.0×10-10 M to 15.5 ± 0.4 mV/decade and 1.0 × 10-9 M of erbium(III) activity.
One of the most important factors for any membrane microelectrode is its relative response for the primary ion over other ions present in solution, usually expressed in terms of potentiometric selectivity coefficients. In this work, matched potential method (MPM) and separated solution methods (SSM) [81,82] were used for determination of selectivity coefficients of the proposed erbium(III) microelectrode.
According to MPM method, the specified activity (concentration) of the primary ion (A, 1.0 × 10-8 M of Er(III) ion) is added to a reference solution (3.0 × 10-10M) and, afterwards, the potential is measured. In a separation experiment, the interfering ions (B, 1.0 × 10-7-1.0 × 10-5 M) are successively added to an identical reference solution until the measured potential matches that obtained before by adding the primary ions. The matched potential method selectivity coefficient, KMPM, is then given by the resulting primary ion to the interfering ion activity (concentration) ratio. The selectivity coefficient, K A , B Pot, is determined as;
K A , B Pot = a A / a B
Where Δ A = a A a A, aA is the initial primary ion activity and a A is the activity of A in the presence of the interfering ion, aB.
In separation solution method (SSM) the concentrations of a cell comprising an ion-selective electrode and a reference electrode (ISE cell) are adjusted with each of two separate solutions, one containing the ion A of the activity aA (but no B), the other containing the ion B (but no A) of the activity as high as required to achieve the same measured cell voltage. From any pair of activities aA and aB giving the same cell voltage, the value of K AB Pot may be calculated from the equation:
K A B pot = a A / a Z A / Z B
The resulting selectivity coefficients values showed that the proposed erbium(III) microelectrode is highly selective with respect to the most of cations. In the case of lanthanide ions (holmium, cerium, neodymium, presidium, samarium, gadolinium, thulium, europium, dysprosium, lanthanum, ytterbium, lutetium) the selectivity coefficients are in the order of 1.0 × 10-3 or smaller in both methods, which seems to indicate that the erbium(III) ions can be determined in the presence of other lanthanide ions. The selectivity coefficients for other cations (Na+, K+, Mg2+, Ca2+, Cu2+, and Pb2+) are smaller than 2.0 × 10-5, and they can not disturb the functioning of the erbium(III) membrane electrode. It means that the sensor can be used for the determination of the erbium ion when the concentration ratio of the interfering ion/Er is less than 105. In the other hand, at the ratio higher than this amount, interfering ions could interfere in the erbium concentration measurement.
The ionic radii, charge density and hydration energy of the lanthanide ions are not similar. Due to the radii of lanthanum ions (from Ce3+ to Lu3+ with the range of 1.02-0.80 A°, respectively) these elements have different properties such as charge densities and size and hydration energy (from Ce3+ to Lu3+ with the range of 3370-3760 kJ/mol) [83]. Thus, by using a suitable ionophore having the semi-cavity and relatively high flexibility, it is possible to construct a highly selective lanthanide ion sensor. Such remarkable selectivity of the Er(III) sensor over other metal ions reflects the high affinity of the HDB used as an ion carrier toward the Er(III) ions.
The dynamic response time of the microelectrode, being another very important parameter in the evaluation of a microelectrode, was studied by varying the concentration of a solution from 1.0 × 10-10 M to 1.0 × 10-3 M and recording the times needed for the microelectrode to reach ±1 mV of its equilibrium potential. The response time of the microelectrode was found to be about 10 seconds in the whole concentrations. This is highly likely due to the fast complexation-decomplexation exchange kinetics of Er(III) ion with the HDB at the test solution-membrane interface. To evaluate the electrode reversibility, a similar procedure in the opposite direction was adopted. The measurements were performed in the sequence of high-to-low sample concentrations. The results showed that the potentiometric response of the sensor is reversible, although the time needed to reach the equilibrium values was longer than that for the low-to-high sample concentration procedure.
The proposed erbium(III) membrane electrode was found to work well under laboratory conditions. It was applied as an indicator electrode for the titration of 20.0 ml of 1.0 ×10-6 M of erbium(III) solution with 1.0 × 10-3 M of standard EDTA, and vise versa. The resulting titration curve show that the amount of erbium(III) ions, can be determined with good accuracy (1.0 ± 0.1 ×10-6 M).

4. Conclusion

The results obtained from the above mentioned study revealed that a potentiometric PVC-based membrane microelectrode based on HDB functions as an excellent erbium(III) selective membrane microelectrode and can be used for the determination of this ion in the presence of considerable concentrations of common interfering ions. Applicable pH range, lower detection limit, and potentiometric selectivity coefficients of the proposed microelectrode make it a superior device both compared to other methods used for the determinations of this ion.

Acknowledgments

The authors express their appreciation to the University of Tehran Research Council for financial support of this work.

References and Notes

  1. [Online] available: http://www.webelements.com
  2. Bariain, C.; Matias, I. R.; Fernandez-Valdivielso, C.; Arregui, F. J.; Rodriguez-Mendez, M.L.; de Saja, J. A. Optical fiber sensor based on lutetium bisphthalocyanine for the detection of gases using standard telecommunication wavelengths. Sens. Actuators B. 2003, 93, 153–158. [Google Scholar]
  3. Fricker, S. P. The therapeutic application of lanthanides. Chem. Soc. Rev. 2006, 35, 524–533. [Google Scholar]
  4. Zakharov, M. S.; Vorobeva, E. V. Voltammetric Behavior of erbium and lutetium ions in solutions of alkali-halides. J. Anal. Chem. 1994, 49, 970. [Google Scholar]
  5. Holzbrecher, H.; Breuer, U.; Gastel, M.; Becker, J. S.; Dietze, H. J.; Beckers, L.; Bauer, S.; Fleuster, M.; Zander, W.; Schubert, J.; Buchal, C. Quantitative sims-analysis of erbium profiles in linbo3 Fresenius. J. Anal. Chem 1995, 353, 785–788. [Google Scholar]
  6. Perina, V.; Vacik, J.; Hnatovicz, V.; Cervena, J.; Kolarova, P.; Spirkova-Hradilova, J.; Schrofel, J. RBS measurement of depth profiles of erbium incorporated into lithium niobate for optical amplifier alications. Nucl. Instrum. Meth. B 1998, 139, 208–212. [Google Scholar]
  7. Biju, V. M.; Rao, T. P. Spectrofluorometric determination of erbium in seawater with 5;7-diiodoquinoline-8-ol and Rhodamine 6G. Anal. Sci. 2001, 171, 343–1345. [Google Scholar]
  8. Ganjali, M. R.; Norouzi, P.; Rezapour, M. Encyclopedia of Sensors; Potentiometric Ion Sensors; American Scientific Publisher (ASP): Los Angeles; Vol. 8, 2006; pp. 197–288. [Google Scholar]
  9. Ganjali, M. R.; Kiani-Anbouhi, R.; Shamsipur, M.; Poursaberi, T.; Salavati-Niasari, M.; Talebpour, Z.; Emami, M. Novel potentiometric PVC-membrane and coated graphite sensors for lanthanum(III). Electroanalysis 2004, 16, 1002–1008. [Google Scholar]
  10. Gupta, V. K.; Jain, S.; Chandra, S. Chemical sensor for lanthanum(III) determination using aza-crown as ionophore in poly(vinyl chloride) matrix. Anal. Chim. Acta 2003, 486, 199–207. [Google Scholar]
  11. Mittal, S. K.; Kumar, S. K. A.; Sharma, H. K. PVC-based dicyclohexano-18-crown-6 sensor for La(III) ions. Talanta 2004, 62, 801–805. [Google Scholar]
  12. Shamsipur, M.; Yousefi, M.; Hosseini, M.; Ganjali, M. R. Lanthanum(III) PVC membrane electrodes based on 1,3,5-trithiacyclohexane. Anal. Chem. 2002, 74, 5538–5543. [Google Scholar]
  13. Ganjali, M. R.; Matloobi, P.; Ghorbani, M.; Norouzi, P.; Salavati-Niasari, M. La(III) selective membrane sensor based on a new N-N Schiff's base. Bull. Korean Chem. Soc. 2005, 26, 38–42. [Google Scholar]
  14. Ganjali, M. R.; Qomi, M.; Daftari, A.; Norouzi, P.; Salavati-Niasari, M.; Rabbani, M. Novel lanthanum(III) membrane sensor based on a new N-S Schiff's base. Sens. Actuators B 2004, 98, 92–96. [Google Scholar]
  15. Ito, T.; Goto, C. Ion-selective solvent polymeric membrane electrodes based on 1-phenyl-3-methyl-4-acyl-5-pyrazolones for trivalent lanthanoid ions. J. Trace. Microprobe Tech. 2001, 19, 601–613. [Google Scholar]
  16. Ganjali, M. R.; Norouzi, P.; Shamsolahrari, L.; Ahmadi, A. ppb level monitoring of lanthanium by a novel PCV membrane sensor based on 4-methyl-2-hydrazinobenzothiazole. Sens. Actuators B 2006, 114, 713–719. [Google Scholar]
  17. Khalil, S. Ion-selective electrode for lanthanum determination in standard samples. Anal. Lett. 2003, 36, 1335–1349. [Google Scholar]
  18. Ganjali, M. R.; Norouzi, P.; Alizadeh, T.; Tadjarodi, A.; Hanifehpour, Y. Construction of a highly selective and sensitive La(III) sensor based on N-(2-pyridyl)-N'-(4-methoxyphenyl)-thiourea for nano level monitoring of La(III) ions. Electroanalysis 2006, 18, 1091–1096. [Google Scholar]
  19. Ganjali, M. R.; Daftari, A.; Rezapour, M.; Puorsaberi, T.; Hahgoo, S. Gliclazide as novel carrier in construction of PVC-based La(III)-selective membrane sensor. Talanta 2003, 59, 613–619. [Google Scholar]
  20. Ganjali, M. R.; Gholivand, M. B.; Rahimi-Nasrabadi, M.; Maddah, B.; Salavati-Niasari, M.; Ahmadi, F. Synthesis of a new octadentates Schiff's base and its application in construction of a highly selective and sensitive La(III) membrane sensor. Sensors Lett. 2006, 4, 356–363. [Google Scholar]
  21. Shamsipur, M.; Yousefi, M.; Ganjali, M. R. PVC-based 1;3;5-trithiane sensor for cerium(III) ions. Anal. Chem. 2000, 72, 2391–2394. [Google Scholar]
  22. Shamsipur, M.; Yousefi, M.; Hosseini, M.; Ganjali, M. R. PVC-based 1;3;5-trithiane coated graphite electrode for determination of cerium(III) ions. Anal. Lett. 2001, 34, 2249–2261. [Google Scholar]
  23. Gaber, A. A. A. A novel PVC membrane sensor for selective determination of cerium(III) ions. Anal. Lett. 2003, 36, 2585–2596. [Google Scholar]
  24. Zamani, H. A.; Ganjali, M. R.; Adib, M. Construction of a highly selective PVC-based membrane sensor for Ce(III) ions. Sens. Actuators B 2007, 120, 545–550. [Google Scholar]
  25. Akhond, M.; Najafi, M. B.; Tashkhourian, J. A new cerium(III)-selective membrane electrode based on 2-aminobenzothiazole. Sens. Actuators B 2004, 99, 410. [Google Scholar]
  26. Chowdhury, D. A.; Ogata, T.; Kamata, S.; Ohashi, K. Samarium(III)-selective electrode using neutral bis(thiaalkylxanthato)alkanes. Anal. Chem. 1996, 68, 366–370. [Google Scholar]
  27. Ganjali, M. R.; Rezapour, M.; Pourjavid, M. R.; Haghgoo, S. ppt level detection of samarium(III) with a coated graphite sensor based on an antibiotic. Anal. Sci. 2004, 20, 1007–1011. [Google Scholar]
  28. Ganjali, M. R.; Pourjavid, M. R.; Rezapour, M.; Haghgoo, S. Novel samarium(III) selective membrane sensor based on glipizid. Sens. Actuators B 2003, 89, 21–26. [Google Scholar]
  29. Zamani, H. A.; Ganjali, M. R.; Adib, M. Fabrication of a new samarium(III) ion-selective electrode based on 3-{[2-oxo-1(2H)-acenaphthylenyliden]amino}-2-thioxo-1,3-thiazolidin-4-one. J. Brazilian Chem. Soc. 2007, 18, 215–222. [Google Scholar]
  30. Mittal, S. K.; Sharma, H. K.; Kumar, A. S. K. Samarium (III) Selective Membrane Sensor Based on Tin (IV) Boratophosphate. Sensors 2004, 4, 125–135. [Google Scholar]
  31. Shamsipur, M.; Hosseini, M.; Alizadeh, K.; Talebpour, Z.; Mousavi, M.F.; Ganjali, M.R.; Arca, M.; Lippolis, V. PVC Membrane and Coated Graphite Potentiometric Sensors Based on Et 4todit for Selective Determination of Samarium(III). Anal. Chem. 2003, 75, 5680–5686. [Google Scholar]
  32. Ganjali, M. R.; Tahami, M.; Shamsipur, M.; Poursaberi, T.; Haghgoo, S.; Hosseini, M. Novel gadolinium PVC-based membrane sensor based on omeprazole as an antibiotic. Electroanalysis 2003, 15, 1038–1042. [Google Scholar]
  33. Ganjali, M. R.; Emami, M.; Rezapour, M.; Shamsipur, M.; Maddah, B.; Salavati-Niasari, M.; Hosseini, M.; Talebpour, Z. Novel gadolinium poly(vinyl chloride) membrane sensor based on a new S-N Schiff's base. Anal. Chim. Acta. 2003, 495, 51–59. [Google Scholar]
  34. Ganjali, M. R.; Norouzi, P.; Alizadeh, T.; Tajarodi, A.; Hanifehpour, Y. Fabrication of a highly selective and sensitive Gd(III)-PVC membrane sensor based on N-(2-pyridyl)-N'-(4-nitrophenyl)thiourea. Sens. Actuators B 2007, 120, 487–493. [Google Scholar]
  35. Ganjali, M. R.; Rasoolipour, S.; Rezapour, M.; Norouzi, P.; Tajarodi, A.; Hanifehpour, Y. Novel ytterbium(III) selective membrane sensor based on N-(2-pyridyl)-N'-(2-methoxyphenyl)-thiourea as an excellent carrier and its alication to determination of fluoride in mouth wash preparation samples. Electroanalysis 2005, 17, 1534–1539. [Google Scholar]
  36. Singh, A.K.; Jain, A.K.; Mehtab, S. Ytterbium-selective polymeric membrane electrode based on substituted urea and thiourea as a suitable carrier. Anal. Chim. Acta 2007, 597, 322–330. [Google Scholar]
  37. Ganjali, M. R.; Norouzi, P.; Tamaddon, A.; Adib, M. Nano-level monitoring of ytterbium(III) by a novel ytterbium(III) membrane sensor based on 3-hydroxy-N '-[(2-hydroxyphenyl) methylene]-2-naphthohydrazide. Sens. Actuators B 2006, 114, 855–860. [Google Scholar]
  38. Ganjali, M. R.; Naji, L.; Poursaberi, T.; Shamsipur, M.; Haghgoo, S. Ytterbium(III)-selective membrane electrode based on cefixime. Anal. Chim. Acta 2003, 475, 59–66. [Google Scholar]
  39. Zamani, H. A.; Rajabzadeh, G.; Ganjali, M. R. A new ytterbium(III) PVC membrane electrode based on 6-methy-4-{[1-(1H-pyrrol-2-yl)methylidene]amino}-3-thioxo-3,4-dihydro-1,2,4-triazin-5(2H)-one. Talanta 2007, 72, 1093–1099. [Google Scholar]
  40. Ganjali, M. R.; Rahimi, M.; Maddah, B.; Moghimi, A.; Borhany, S. An Eu(III) sensor based on N,N-diethyl-N-(4-hydroxy-6-methylpyridin-2-yl)guanidine. Anal. Sci. 2004, 20, 1427–1431. [Google Scholar]
  41. Ganjali, M. R.; Daftari, A.; Faridbod, F.; Norouzi, P.; Salavati-Niasari, M. Fabrication of a highly selective Eu(III) membrane sensor based on a new S-N hexadentates Schiff's base. Sens. Actuators B 2007, 120, 673–678. [Google Scholar]
  42. Zamani, H. A.; Rajabzadeh, G.; Ganjali, M. R. A new europium(III) PVC membrane potentiometric sensor based on 4-(2-hydroxybenzylideneamino)-6-methyl-3-thioxo-3,4-dihydro-1,2,4-triazin-5(2H)-one. Bull. Chem. Soc. Japan 2007, 80, 172–177. [Google Scholar]
  43. Ganjali, M. R.; Ghesmi, A.; Hosseini, M.; Pourjavid, M. R.; Rezapour, M.; Shamsipur, M.; Salavati-Niasari, M. Novel terbium(III) sensor based on a new bis-pyrrolidene Schiff's base. Sens. Actuators B 2005, 105, 334–339. [Google Scholar]
  44. Zamani, H. A.; Rajabzadeh, G.; Ganjali, M. R. Construction of a novel potentiometric terbium(III) membrane sensor and its alication for the determination of terbium ion in binary mixture and fluoride ion in a mouth wash preparation. J. Brazilian Chem. Soc. 2006, 17, 1297–1303. [Google Scholar]
  45. Ganjali, M. R.; Ravanshad, J.; Hosseini, M.; Salavati-Niasari, M.; Pourjavid, M. R.; Baezzate, M. R. Novel Dy(III) sensor based on a new bis-pyrrolidene Schiff's base. Electroanalysis 2004, 16, 1771–1776. [Google Scholar]
  46. Ganjali, M. R.; Dodangeh, M.; Ghorbani, H.; Norouzi, P.; Adib, M. ppb level monitoring of Dy(III) ions by a highly sensitive and selective Dy(III) sensor based on a new asymmetrical Schiff's base. Anal. Lett. 2006, 39, 495–506. [Google Scholar]
  47. Ganjali, M. R.; Faridbod, F.; Norouzi, P.; Adib, M. A novel Er(III) sensor based on a new hydrazone for the monitoring of Er(III) ions. Sens. Actuators B 2006, 120, 119–124. [Google Scholar]
  48. Ganjali, M. R.; Norouzi, P.; Adib, M.; Ahmadalinezhad, A. A novel Holmium(III) membrane sensor based on N-(1-thien-2-ylmethylene)-1,3-benzothiazol-2-amine. Anal. Lett. 2006, 39, 1075–1086. [Google Scholar]
  49. Ganjali, M. R.; Rasoolipour, S.; Rezapour, M.; Norouzi, P.; Amirnasr, M.; Meghdadi, S. Application of N,N'-bis(2-quinolinecarboxamide)-1,2-benzene as an ionophore in the construction of a novel polymeric membrane sensor for the selective monitoring of the holmium(III) concentration. Sens. Actuators B 2006, 119, 89–93. [Google Scholar]
  50. Ganjali, M. R.; Mirnaghi, F.; Norouzi, P.; Adib, M. Novel Pr(III)-selective membrane sensor based on a new hydrazide derivative. Sens. Actuators B 2006, 115, 374–378. [Google Scholar]
  51. Ganjali, M. R.; Rasoolipour, S.; Rezapour, M.; Norouzi, P.; Adib, M. Synthesis of thiophene-2-carbaldehyde-(7-methyl-1,3-benzothiazol-2-yl)hydrazone and its alication as an ionophore in the construction of a novel thulium(III) selective membrane sensor. Electrochem. Commun. 2005, 7, 989–994. [Google Scholar]
  52. Ganjali, M. R.; Tamaddon, A.; Norouzi, P.; Adib, M. Novel Lu(III) membrane sensor based on a new asymmetrically S-N Schiff's base. Sens. Actuators B 2006, 120, 194–199. [Google Scholar]
  53. Ganjali, M. R.; Norouzi, P.; Mirnaghi, F. S.; Riahi, S.; Faridbod, F. Lanthanide Recognition: Monitoring of Praseodymium(III) by a Novel Praseodymium(III) Microsensor Based on N-(Pyridin-2-Ylmethylene)Benzohydrazide. IEEE Sensors Journal 2007, 7, 1138–1144. [Google Scholar]
  54. Zamani, H. A.; Ganjali, M. R.; Adib, M. Cd(II) PVC-Based Membrane Sensor Based on N'-[1-(2-furyl)methylidene]-2-furohydrazide. Sens. Lett. 2006, 4, 345–350. [Google Scholar]
  55. Thompson, M. A.; Glendening, E. D.; Feller, D. The Nature of K+ crown-ether Interactions-A hybrid quantum mechanical-molecular Mechanical Study. J. Phys. Chem. 1994, 98, 10465–10476. [Google Scholar]
  56. Glendening, E. D.; Feller, D.; Thompson, M. A. An Ab-initio Investigation of the Structure and alkali-metal cation Selectivity of 18-crown-6. J. Am. Chem. Soc. 1994, 116, 10657–10669. [Google Scholar]
  57. Ganjali, M. R.; Norouzi, P.; Faridbod, F.; Riahi, S.; Ravanshad, J.; Tashkhourian, J.; Salavati-Niasari, M.; Javaheri, M. Determination of Vanadyl Ions by a New PVC Membrane Sensor Based on N,N'-bis-(Salicylidene)-2,2-Dimethylpropane-1,3-Diamine. IEEE Sensors Journal 2007, 7, 544–550. [Google Scholar]
  58. Dang, L. X.; Kollman, P. A. Free-energy of association ofthe 18-crown-6-K+ complex in water-A Molecular-Dynamics Simulation. J. Am. Chem. Soc. 1990, 112, 5716–5720. [Google Scholar]
  59. Islam, M. S.; Pethrick, R. A.; Pugh, D.; Wilson, M. J. Theoretical study of the substituent effects of 4-substituted monobenzo crown ethers and the effects of ring size of 3n-crown-n (n=4-7) ethers on the cation selectivity. J. Chem. Soc. Faraday Trans. 1997, 93, 387–392. [Google Scholar]
  60. Hoffmann, R.J. An Extended Hueckel Theory. I. Hydrocarbons. Chem. Phys. 1963, 39, 1397–1412. [Google Scholar]
  61. Hoffmann, R.; Lipscomb, W.N. Theory of Polyhedral Molecules. I. Physical Factorizations of the Secular Equation. J. Chem. Phys. 1962, 38, 2179. [Google Scholar]
  62. Ganjali, M. R.; Zargazi, M. H.; Mohajeri, A. Thermodynamic study of the interaction between some recently synthesized benzo-substituted macrocyclic diamides with some pyridinium ion derivatives in acetonitrile solution. Polish J. Chem. 2001, 75, 743–749. [Google Scholar]
  63. Smetana, A. J.; Popov, A. I. Influence of iomic-strengh on the Equilibrium-Constant of an ion-molecule Reaction. J. Chem. Thermodyn. 1979, 11, 1145–1149. [Google Scholar]
  64. Tawarah, K. M.; Mizyed, S. A. A Conductance Study of the Association of Alkali cations with 1,13-dibenzo-24-crown-8 in acetonitrile. J. Solution Chem. 1989, 18, 387–401. [Google Scholar]
  65. Debye, P.; Huckel, E. The theory of the electrolyte II - The border law for electrical conductivity. Phys. Z. 1923, 24, 305–325. [Google Scholar]
  66. Takeda, Y. Thermodynamic study for dibenzo-24-crown-8 Complexes with alkali-metal ions in nonaqueous solvents. Bull. Chem. Soc. Japan 1983, 56, 3600–3602. [Google Scholar]
  67. Zollinger, D. P.; Bulten, E.; Christenhusz, A.; Bos, M.; VanderLinden, W. E. Computerized conductometric determination of stability-constanes of Complexes of crown ethers with alkali-metal salts and with neutral Molecules in polar-Solvents. Anal. Chim. Acta 1987, 198, 207–222. [Google Scholar]
  68. Jain, A. K.; Gupta, V. K.; Raisoni, J. R. Strontium (II)-Selective Potentiometric Sensor Based on Ester Derivative of 4-tert-butylcalix(8)arene in PVC Matrix. Sensors 2004, 4, 115–124. [Google Scholar]
  69. Dye, J. I.; Nicely, V. A. General Purpose curve fitting Program for class and Research use. J. Chem. Educ. 1971, 48, 443–448. [Google Scholar]
  70. Tani, Y.; Umezawa, Y. Ion-selective electrodes. Sens. Lett. 2005, 3, 99–107. [Google Scholar]
  71. Schaller, U.; Bakker, E.; Spichiger, U. E.; Pretsch, E. Ionic Additives for ion-Selective Electrodes Based on Electrically Charged Carriers. Anal. Chem. 1994, 66, 391–398. [Google Scholar]
  72. Teixeira, M. F. S.; Fatibello-Filho, O.; Ramos, L. A. Utilization of a [Zn(fen)(3)][tetrakis(4-chlorophenyl) borate](2) coated-graphite zinc(II) ion-selective electrode in 1,10-phenantroline medium as indicator electrode in potenciometric precipitation titrations. Quim. Nova 2005, 28, 817–821. [Google Scholar]
  73. Reddy, S. M.; Vadgama, P. M. Ion exchanger modified PVC membranes selectivity studies and response amplification of oxalate and lactate enzyme electrodes. Biosens. Bioelectron. 1997, 12, 1003–1012. [Google Scholar]
  74. Singh, A. K.; Singh, R.; Saxena, P. Tetraazacyclohexadeca Macrocyclic Ligand as a Neutral Carrier in a Cr Ion-selective Electrode. Sensors 2004, 4, 187–195. [Google Scholar]
  75. Mahajan, R. K.; Kaur, I.; Sharma, V.; Kumar, M. Sensor for Silver(I) Ion Based on Schiff-base-p-tertbutylcalix[4]arene. Sensors 2002, 2, 417–423. [Google Scholar]
  76. Yim, H. S.; Kibbey, C. E.; Ma, S. C.; Kliza, D. M.; Liu, D.; Park, S. B.; Torre, C. E.; Meyerhoff, M. E. Polymer membrane-based ion-selective; gas-selective and bio-selective potentiometric Sensors. Biosens. Bioelectron. 1993, 8, 1–38. [Google Scholar]
  77. Rosatzin, T.; Bakker, E.; Suzuki, K.; Simon, W. Lipophilic and immobilized anionic additives in solvent polymeric membranes of cation-selective chemical sensors. Anal. Chim. Acta 1993, 280, 197–208. [Google Scholar]
  78. Ammann, D.; Pretsch, E.; Simon, W.; Lindner, E.; Bezegh, A.; Pungor, E. Lipophilic salts as memberane Additives and their influence on the Properties of macroelectrodes and Microelectrodes Based on Neutral Carriers. Anal. Chim. Acta 1985, 171, 119–129. [Google Scholar]
  79. Eugster, R.; Spichiger, U. E.; Simon, W. Membrane model for neutral-carrier-based membrane electrodes containing ionic sites. Anal. Chem. 1993, 65, 689–695. [Google Scholar]
  80. IUPAC Analytical Chemistry Division. Commission on analytical; nomenclature. Recommendations for nomenclature for ion selective electrodes. Pure & Al. Chem. 1976, 48, 127. [Google Scholar]
  81. Umezawa, Y.; Umezawa, K.; Sato, H. Selectivity coefficients for ion-selective electrodes-recommended methods for reporting K-A,B(POT) values-(Technical report). Pure & Al. Chem. 1995, 67, 507–518. [Google Scholar]
  82. Buck, P. R.; Lindneri, E. Recommendations for nomenclature of ion-selective electrodes-(IUPAC recommendations. Pure & Al. Chem. 1994, 66, 2527. [Google Scholar]
  83. Greenwood, N. N.; Earnshaw, A. in Chemistry of the elements; Pergamon Press, 1984; p. p. 1430. [Google Scholar]
Figure 1. The structure of ionophore HDB.
Figure 1. The structure of ionophore HDB.
Sensors 07 03119f1
Figure 2. The surface of the microelectrode before (A) and after conditioning (B).
Figure 2. The surface of the microelectrode before (A) and after conditioning (B).
Sensors 07 03119f2
Figure 3. Optimal conformation of ionophore after complexation with Er3+.
Figure 3. Optimal conformation of ionophore after complexation with Er3+.
Sensors 07 03119f3
Figure 4. Potential response of lanthanide metal ion-selective microelectrode based on HDB with the composition of membrane no. 1.
Figure 4. Potential response of lanthanide metal ion-selective microelectrode based on HDB with the composition of membrane no. 1.
Sensors 07 03119f4
Table 1. Interaction energy between metal ions – ligand (HDB)
Table 1. Interaction energy between metal ions – ligand (HDB)
ComplexesStabilization Energy
(kJ/mole)
Er3+-ligand-29514.287
Na+-ligand-616.809
Pb2+-ligand-5900.406
Cu2+-ligand-24731.766
Ce3+-ligand-2799.706
Nd3+-ligand-7528.752
Pr3+-ligand-5083.861
Sm3+-ligand-12854.457
Gd3+-ligand-18643.196
Table 2. Optimization of membrane ingredients
Table 2. Optimization of membrane ingredients
Membrane No.Composition (%)Slope
(mV/decade)
Linear
range (M)
Detection limit
(M)

PVCPlasticizerIonophoreKTpClPB
120DBP, 725317.5 ± 0.4*1.0×10-3-3.0×10-102.0 × 10-10
215DBP, 775312.5 ± 0.37.3×10-4-2.0×10-91.0 × 10-9
320DBP, 725216.0 ± 0.41.0×10-3-5.0×10-103.5 × 10-10
425DBP, 675315.1 ± 0.69.0×10-4-8.0×10-104.5 × 10-10
530DBP, 625315.3 ± 0.28.0×10-4-7.0×10-105.0 × 10-10
620NB, 725315.3 ± 0.38.2×10-4-7.0×10-105.0 × 10-10
720NPOE, 725314.2 ± 0.65.4×10-4-3.0×10-101.0 × 10-5
820DBP, 755-11.6 ± 0.46.0×10-4-1.0×10-81.0 × 10-8
920DBP, 77-33.5 ± 0.22.5×10-4-4.0×10-62.2 × 10-6
*The standard deviation of 8 replicate potential measurements

Share and Cite

MDPI and ACS Style

Faridbod, F.; Ganjali, M.R.; Larijani, B.; Norouzi, P.; Riahi, S.; Mirnaghi, F.F.S. Lanthanide Recognition: an Asymetric Erbium Microsensor Based on a Hydrazone Derivative. Sensors 2007, 7, 3119-3135. https://doi.org/10.3390/s7123119

AMA Style

Faridbod F, Ganjali MR, Larijani B, Norouzi P, Riahi S, Mirnaghi FFS. Lanthanide Recognition: an Asymetric Erbium Microsensor Based on a Hydrazone Derivative. Sensors. 2007; 7(12):3119-3135. https://doi.org/10.3390/s7123119

Chicago/Turabian Style

Faridbod, Farnoush, Mohammad Reza Ganjali, Bagher Larijani, Parviz Norouzi, S. Riahi, and F. Fatemeh Sadat Mirnaghi. 2007. "Lanthanide Recognition: an Asymetric Erbium Microsensor Based on a Hydrazone Derivative" Sensors 7, no. 12: 3119-3135. https://doi.org/10.3390/s7123119

APA Style

Faridbod, F., Ganjali, M. R., Larijani, B., Norouzi, P., Riahi, S., & Mirnaghi, F. F. S. (2007). Lanthanide Recognition: an Asymetric Erbium Microsensor Based on a Hydrazone Derivative. Sensors, 7(12), 3119-3135. https://doi.org/10.3390/s7123119

Article Metrics

Back to TopTop