MEMS Technology in Cardiology: Advancements and Applications in Heart Failure Management Focusing on the CardioMEMS Device
Abstract
1. Introduction
2. Microelectromechanical Systems
3. State of the Art of MEMS in Heart Failure
4. CardioMEMS
5. Technical Details
6. Wireless Data Transmission
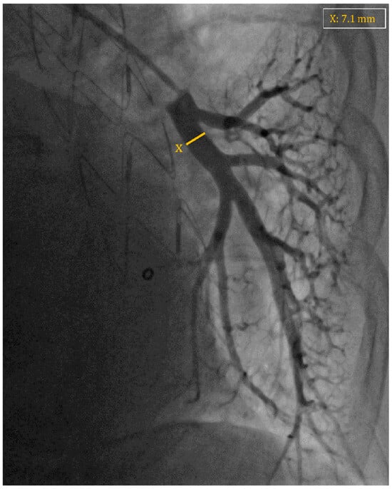
7. Implant Procedure
8. Described Complications
9. Special Circumstances
- The MRI system must generate a static magnetic field of either 1.5 or 3.0 Tesla.
- The maximum spatial gradient magnetic field should not exceed 720 Gauss/cm (7200 mT/m).
10. Clinical Evidence
11. Discussion
12. Future Directions
13. Conclusions
Author Contributions
Funding
Acknowledgments
Conflicts of Interest
Abbreviations and Acronyms
| HF | Heart failure |
| MEMS | Microelectromechanical Systems |
| Bio-MEMS | Biomedical Microelectromechanical Systems |
| PA | Pulmonary artery |
| NYHA | New York Heart Association |
| ePAD | End-diastolic pulmonary artery pressure |
| PES | Patient Electronics System |
| HES | Hospital Electronics System |
| KCCQ | Kansas City Cardiomyopathy Questionnaire |
| FDA | Food and Drug Administration |
| CRT | Cardiac Resynchronization Therapy |
| Opti Vol | Feature of some implantable cardiac devices used for monitoring changes in intrathoracic impedance. Developed by Medtronic |
| ESC | European Society of Cardiology |
References
- Schowalter, M.; Gelbrich, G.; Störk, S.; Langguth, J.-P.; Morbach, C.; Ertl, G.; Faller, H.; Angermann, C.E. Generic and disease- specific health-related quality of life in patients with chronic systolic heart failure: Impact of depression. Clin. Res. Cardiol. 2013, 102, 269–278. [Google Scholar] [CrossRef] [PubMed]
- Ambrosy, A.P.; Fonarow, G.C.; Butler, J.; Chioncel, O.; Greene, S.J.; Vaduganathan, M.; Nodari, S.; Lam, C.S.; Sato, N.; Shah, A.N.; et al. The global health and economic burden of hospitalizations for heart failure: Lessons learned from hospitalized heart failure registries. J. Am. Coll. Cardiol. 2014, 63, 1123–1133. [Google Scholar] [CrossRef] [PubMed]
- Jones, N.R.; Roalfe, A.K.; Adoki, I.; Hobbs, F.R.; Taylor, C.J. Survival of patients with chronic heart failure in the community: A systematic review and meta- analysis. Eur. J. Heart Fail. 2019, 21, 1306–1325. [Google Scholar] [CrossRef] [PubMed]
- Brouwers, F.P.; de Boer, R.A.; van der Harst, P.; Voors, A.A.; Gansevoort, R.T.; Bakker, S.J.; Hillege, H.L.; van Veldhuisen, D.J.; van Gilst, W.H. Incidence and epidemiology of new onset heart failure with preserved vs reduced ejection fraction in a community-based cohort: 11-year follow-up of PREVEND. Eur. Heart J. 2013, 34, 1424–1431. [Google Scholar] [CrossRef]
- Conrad, N.; Judge, A.; Tran, J.; Mohseni, H.; Hedgecott, D.; Crespillo, A.P.; Allison, M.; Hemingway, H.; Cleland, J.G.; McMurray, J.J.; et al. Temporal trends and patterns in heart failure incidence: A population-based study of 4 million indi- viduals. Lancet 2018, 391, 572–580. [Google Scholar] [CrossRef] [PubMed]
- Veronique, L. Roger, Epidemiology of Heart Failure, a contemporary perspective. Circ. Res. 2021, 128, 1421–1434. [Google Scholar]
- McDonagh, T.A.; Metra, M.; Adamo, M.; Gardner, R.S.; Baumbach, A.; Böhm, M.; Burri, H.; Butler, J.; Čelutkienė, J.; Chioncel, O.; et al. 2021 ESC Guidelines for the diagnosis and treatment of acute and chronic heart failure: Developed by the Task Force for the diagnosis and treatment of acute and chronic heart failure of the European Society of Cardiology (ESC) With the special contribution of the Heart Failure Association (HFA) of the ESC. Eur. Heart J. 2021, 42, 3599–3726. [Google Scholar]
- Bello, N.A.; Claggett, B.; Desai, A.S.; McMurray, J.J.; Granger, C.B.; Yusuf, S.; Swedberg, K.; Pfeffer, M.A.; Solomon, S.D. Influence of previous heart failure hospitalization on cardiovascular events in patients with reduced and preserved ejection fraction. Circ. Heart Fail. 2014, 7, 590–595. [Google Scholar] [CrossRef]
- Gheorghiade, M.; De Luca, L.; Fonarow, G.C.; Filippatos, G.; Metra, M.; Francis, G.S. Pathophysiologic targets in the early phase of acute heart failure syndromes. Am. J. Cardiol. 2005, 96, 11G–17G. [Google Scholar] [CrossRef]
- De Lusignan, S.; Wells, S.; Johnson, P.; Meredith, K.; Leatham, E. Compliance and effectiveness of 1 year’s home telemonitoring. The report of a pilot study of patients with chronic heart failure. Eur. J. Heart Fail. 2001, 3, 723–730. [Google Scholar] [CrossRef]
- Radhoe, S.P.; Clephas, P.R.; Mokri, H.; Brugts, J.J. The CardioMEMS Heart Failure System for chronic heart failure—A European perspective. Expert. Rev. Med. Devices 2023, 20, 349–356. [Google Scholar] [CrossRef] [PubMed]
- Alvarez, P.; Sianis, A.; Brown, J.; Ali, A.; Briasoulis, A. Chronic disease management in heart failure: Focus on telemedicine and remote monitoring. Rev. Cardiovasc. Med. 2021, 22, 403–413. [Google Scholar] [CrossRef] [PubMed]
- Domenichini, G.; Rahneva, T.; Diab, I.G.; Dhillon, O.S.; Campbell, N.G.; Finlay, M.C.; Baker, V.; Hunter, R.J.; Earley, M.J.; Schilling, R.J. The lung impedance monitoring in treatment of chronic heart failure (the LIMIT-CHF study). Europace 2016, 18, 428–435. [Google Scholar] [CrossRef] [PubMed]
- Abraham, W.T.; Perl, L. Implantable Hemodynamic monitoring for heart failure patients. J. Am. Coll. Cardiol. 2017, 70, 389–398. [Google Scholar] [CrossRef] [PubMed]
- Hasenfuss, G.; Hayward, C.; Burkhoff, D.; Silvestry, F.E.; McKenzie, S.; Gustafsson, F.; Malek, F.; Van der Heyden, J.; Lang, I.; Petrie, M.C.; et al. A transcatheter intracardiac shunt device for heart failure with preserved ejection fraction (REDUCE LAP-HF): A multicentre open-label, single-arm, phase 1 trial. Lancet 2016, 387, 1298–1304. [Google Scholar] [CrossRef] [PubMed]
- Amat-Santos, I.J.; Bergeron, S.; Bernier, M.; Allende, R.; Ribeiro, H.B.; Urena, M.; Pibarot, P.; Verheye, S.; Keren, G.; Yaacoby, M.; et al. Left atrial decompression through unidirectional left-to-right interatrial shunt for the treatment of left heart failure: First-in-man experience with the V-Wave device. EuroIntervention 2015, 10, 1127–1131. [Google Scholar] [CrossRef] [PubMed][Green Version]
- Bourge, R.C.; Abraham, W.T.; Adamson, P.B.; Aaron, M.F.; Aranda, J.M.; Magalski, A.; Zile, M.R.; Smith, A.L.; Smart, F.W.; O’Shaughnessy, M.A.; et al. Randomized controlled trial of an implantable continuous hemodynamic monitor in patients with advanced heart failure: The COMPASS-HF study. J. Am. Coll. Cardiol. 2008, 51, 1073–1079. [Google Scholar] [CrossRef] [PubMed]
- Radhoe, S.P.; Veenis, J.F.; Brugts, J.J. Invasive devices and sensors for remote care of heart failure patients. Sensors 2021, 21, 2014. [Google Scholar] [CrossRef]
- Mangi, M.A.; Nesheiwat, Z.; Kahloon, R.; Moukarbel, G.V. CardioMEMS(TM) system in the daily management of heart failure: Review of current data and technique of implantation. Expert. Rev. Med. Devices 2020, 17, 637–648. [Google Scholar] [CrossRef]
- Abraham, W.T.; Adamson, P.B.; Bourge, R.C.; Aaron, M.F.; Costanzo, M.R.; Stevenson, L.W.; Strickland, W.; Neelagaru, S.; Raval, N.; Krueger, S.; et al. Wireless pulmonary artery haemodynamic monitoring in chronic heart failure: A randomised controlled trial. Lancet 2011, 377, 658–666. [Google Scholar] [CrossRef]
- Abraham, W.T.; Stevenson, L.W.; Bourge, R.C.; Lindenfeld, J.A.; Bauman, J.G.; Adamson, P.B. Sustained efficacy of pulmonary artery pressure to guide adjustment of chronic heart failure therapy: Complete follow-up results from the CHAMPION randomised trial. Lancet 2016, 387, 453–461. [Google Scholar] [CrossRef] [PubMed]
- Lindenfeld, J.; Zile, M.R.; Desai, A.S.; Bhatt, K.; Ducharme, A.; Horstmanshof, D.; Krim, S.R.; Maisel, A.; Mehra, M.R.; Paul, S.; et al. Haemodynamic-guided management of heart failure (GUIDE-HF): A randomised controlled trial. Lancet 2021, 398, 991–1001. [Google Scholar] [CrossRef] [PubMed]
- Shavelle, D.M.; Desai, A.S.; Abraham, W.T.; Bourge, R.C.; Raval, N.; Rathman, L.D.; Heywood, J.T.; Jermyn, R.A.; Pelzel, J.; Jonsson, O.T.; et al. Lower rates of heart failure and all-cause hospitalizations during pulmonary artery pressure-guided therapy for ambulatory heart failure: One-year out- comes from the CardioMEMS post-approval study. Circ. Heart Fail. 2020, 13, e006863. [Google Scholar] [CrossRef]
- Brugts, J.J.; Radhoe, S.P.; Clephas, P.R.D.; Aydin, D.; van Gent, M.W.F.; Szymanski, M.K.; Rienstra, M.; van den Heuvel, M.H.; da Fonseca, C.A.; Linssen, G.C.M.; et al. Remote haemodynamic monitoring of pulmonary artery pressures in patients with chronic heart failure (MONITOR-HF): A randomised clinical trial. Lancet 2023, 401, 2113–2123. [Google Scholar] [CrossRef] [PubMed]
- Gad-el-Hak, M. MEMS: Design and Fabrication; CRC Press: Boca Raton, FL, USA, 2014. [Google Scholar]
- Judy, D.J. MEMS and Microsystems: Design, Manufacture, and Nanoscale Engineering; Wiley: Hoboken, NJ, USA, 2016. [Google Scholar]
- Najafi, K. Silicon integrated microsensors. Integr. Opt. Microstruct. 1993, 1793, 235–246. [Google Scholar]
- Chircov, C.; Grumezescu, A.M. Microelectromechanical Systems (MEMS) for Biomedical Applications. Micromachines 2022, 13, 164. [Google Scholar] [CrossRef]
- Carminati, M. Challenges for Microelectronics in Non-Invasive Medical Diagnostics. Sensors 2020, 20, 3636. [Google Scholar] [CrossRef] [PubMed]
- Gupta, K.; Mastoris, I.; Sauer, A.J. Remote Monitoring Devices and Heart Failure. Heart Fail. Clin. 2024, 20, 1–13. [Google Scholar] [CrossRef] [PubMed]
- Steinhaus, D.; Reynolds, D.W.; Gadler, F.; Kay, G.N.; Hess, M.F.; Bennett, T. Chronicle Investigators. Implant experience with an implantable hemodynamic monitor for the management of symptomatic heart failure. Pacing Clin. Electrophysiol. 2005, 28, 747–753. [Google Scholar] [CrossRef]
- Clephas, P.R.D.; Aydin, D.; Radhoe, S.P.; Brugts, J.J. Recent Advances in Remote Pulmonary Artery Pressure Monitoring for Patients with Chronic Heart Failure: Current Evidence and Future Perspectives. Sensors 2023, 23, 1364. [Google Scholar] [CrossRef]
- Guichard, J.L.; Cowger, J.A.; Chaparro, S.V.; Kiernan, M.S.; Mullens, W.; Mahr, C.; Mullin, C.; Forouzan, O.; Hiivala, N.J.; Sauerland, A.; et al. Rationale and Design of the Proactive-HF Trial for Managing Patients with NYHA Class III Heart Failure by Using the Combined Cordella Pulmonary Artery Sensor and the Cordella Heart Failure System. J. Card. Fail. 2023, 29, 171–180. [Google Scholar] [CrossRef] [PubMed]
- Walton, A.S.; Krum, H. The Heartpod implantable heart failure therapy system. Heart Lung Circ. 2005, 14 (Suppl. S2), S31–S33. [Google Scholar] [CrossRef] [PubMed]
- Ritzema, J.; Melton, I.C.; Richards, A.M.; Crozier, I.G.; Frampton, C.; Doughty, R.N.; Whiting, J.; Kar, S.; Eigler, N.; Krum, H.; et al. Direct left atrial pressure monitoring in ambulatory heart failure patients: Initial experience with a new permanent implantable device. Circulation 2007, 116, 2952–2959. [Google Scholar] [CrossRef] [PubMed]
- De Rosa, R.; Piscione, F.; Schranz, D.; Citro, R.; Iesu, S.; Galasso, G. Transcatheter Implantable Devices to Monitoring of Elevated Left Atrial Pressures in Patients with Chronic Heart Failure. Transl. Med. UniSa 2018, 17, 19–21. [Google Scholar] [PubMed]
- Abraham, W.T.; Adamson, P.B.; Costanzo, M.R.; Eigler, N.; Gold, M.; Klapholz, M.; Maurer, M.; Saxon, L.; Singh, J.; Troughton, R. Hemodynamic Monitoring in Advanced Heart Failure: Results from the LAPTOP-HF Trial. J. Card. Fail. 2016, 11, P940. [Google Scholar] [CrossRef]
- D’Amario, D.; Meerkin, D.; Restivo, A.; Ince, H.; Sievert, H.; Wiese, A.; Schaefer, U.; Trani, C.; Bayes-Genis, A.; Leyva, F.; et al. Safety, usability, and performance of a wireless left atrial pressure monitoring system in patients with heart failure: The VECTOR-HF trial. Eur. J. Heart Fail. 2023, 25, 902–911. [Google Scholar] [CrossRef] [PubMed]
- CardioMEMS HF System User’s Manual; 387 Technology Circle NW; CardioMEMS Inc.: Atlanta, GA, USA, 2014.
- Shavelle, D.; Jermyn, R. The CardioMEMS Heart Failure Sensor: A Procedural Guide for Implanting Physicians. J. Invasive Cardiol. 2016, 28, 273–279. [Google Scholar] [PubMed]
- Vaduganathan, M.; DeFilippis, E.M.; Fonarow, G.C.; Butler, J.; Mehra, M.R. Postmarketing Adverse Events Related to the CardioMEMS HF System. JAMA Cardiol. 2017, 2, 1277–1279. [Google Scholar] [CrossRef] [PubMed]
- DeFilippis, E.M.; Henderson, J.; Axsom, K.M.; Costanzo, M.R.; Adamson, P.B.; Miller, A.B.; Brett, M.E.; Givertz, M.M. Remote Hemodynamic Monitoring Equally Reduces Heart Failure Hospitalizations in Women and Men in Clinical Practice: A Sex-Specific Analysis of the CardioMEMS Post-Approval Study. Circ. Heart Fail. 2021, 14, e007892. [Google Scholar] [CrossRef]
- Basza, M.; Krzowski, B.; Balsam, P.; Grabowski, M.; Opolski, G.; Kołtowski, L. An Apple Watch a day keeps the doctor away? Cardiol. J. 2021, 28, 801–803. [Google Scholar] [CrossRef]
- Hajj-Boutros, G.; Landry-Duval, M.A.; Comtois, A.S.; Gouspillou, G.; Karelis, A.D. Wrist-worn devices for the measurement of heart rate and energy expenditure: A validation study for the Apple Watch 6, Polar Vantage V and Fitbit Sense. Eur. J. Sport. Sci. 2023, 23, 165–177. [Google Scholar] [CrossRef] [PubMed]
- Klier, K.; Koch, L.; Graf, L.; Schinköthe, T.; Schmidt, A. Diagnostic Accuracy of Single-Lead Electrocardiograms Using the Kardia Mobile App and the Apple Watch 4: Validation Study. JMIR Cardio 2023, 7, e50701. [Google Scholar] [CrossRef]
- Allida, S.; Du, H.; Xu, X.; Prichard, R.; Chang, S.; Hickman, L.D.; Davidson, P.M.; Inglis, S.C. mHealth education interventions in heart failure. Cochrane Database Syst. Rev. 2020, 7, CD011845. [Google Scholar] [PubMed]
- Hindricks, G.; Potpara, T.; Dagres, N.; Arbelo, E.; Bax, J.J.; Blomström-Lundqvist, C.; Boriani, G.; Castella, M.; Dan, G.-A.; Dilaveris, P.E.; et al. 2020 ESC Guidelines for the diagnosis and management of atrial fibrillation developed in collaboration with the European Association for Cardio-Thoracic Surgery (EACTS): The Task Force for the diagnosis and management of atrial fibrillation of the European Society of Cardiology (ESC) Developed with the special contribution of the European Heart Rhythm Association (EHRA) of the ESC. Eur. Heart J. 2021, 42, 373–498. [Google Scholar] [PubMed]
- Ypenburg, C.; Bax, J.J.; van der Wall, E.E.; Schalij, M.J.; van Erven, L. Intrathoracic impedance monitoring to predict decompensated heart failure. Am. J. Cardiol. 2007, 99, 554–557. [Google Scholar] [CrossRef]
- Halawa, A.; Enezate, T.; Flaker, G. Device monitoring in heart failure management: Outcomes based on a systematic review and meta-analysis. Cardiovasc. Diagn. Ther. 2019, 9, 386–393. [Google Scholar] [CrossRef] [PubMed]
- Puangmali, P.; Althoefer, K.; Seneviratne, L.D.; Murphy, D.; Dasgupta, P. State-of-the-Art in Force and Tactile Sensing for Minimally Invasive Surgery. IEEE Sens. J. 2008, 8, 371–381. [Google Scholar] [CrossRef]
- Hou, C.; Wang, K.; Wang, F.; Li, H.; Lou, L.; Zhang, S.; Gu, Y.; Liu, H.; Chen, T.; Sun, L. A Highly Integrated 3D MEMS Force Sensing Module With Variable Sensitivity for Robotic-Assisted Minimally Invasive Surgery. Adv. Funct. Mater. 2023, 33, 2302812. [Google Scholar] [CrossRef]
- Ko, W.H.; Zhang, R.; Huang, P.; Guo, J.; Ye, X.; Young, D.J.; Megerian, C.A. Studies of MEMS Acoustic Sensors as Implantable Microphones for Totally Implantable Hearing-Aid Systems. IEEE Trans. Biomed. Circuits Syst. 2009, 3, 277–285. [Google Scholar] [CrossRef] [PubMed]
- Xia, P.; Hu, J.; Qi, J.; Gu, C.; Peng, Y. MEMS-based system and image processing strategy for epiretinal prosthesis. Biomed. Mater. Eng. 2015, 26 (Suppl. S1), S1257–S1263. [Google Scholar] [CrossRef] [PubMed]
- Ishikawa, K. LV-MEMS: A New Challenger Against the CHAMPION? Circ. Cardiovasc. Interv. 2018, 11, e006768. [Google Scholar] [CrossRef] [PubMed]
- Masè, M.; Micarelli, A.; Strapazzon, G. Hearables: New Perspectives and Pitfalls of In-Ear Devices for Physiological Monitoring. Scoping Rev. Front. Physiol. 2020, 11, 568886. [Google Scholar] [CrossRef] [PubMed]
- Mishkin, A.D.; Zabinski, J.S.; Holt, G.; Appelbaum, P.S. Ensuring privacy in telemedicine: Ethical and clinical challenges. J. Telemed. Telecare 2023, 29, 217–221. [Google Scholar] [CrossRef] [PubMed]
- Abbasi-Feinberg, F. Telemedicine Coding and Reimbursement—Current and Future Trends. Sleep Med. Clin. 2020, 15, 417–429. [Google Scholar] [CrossRef] [PubMed]




Disclaimer/Publisher’s Note: The statements, opinions and data contained in all publications are solely those of the individual author(s) and contributor(s) and not of MDPI and/or the editor(s). MDPI and/or the editor(s) disclaim responsibility for any injury to people or property resulting from any ideas, methods, instructions or products referred to in the content. |
© 2024 by the authors. Licensee MDPI, Basel, Switzerland. This article is an open access article distributed under the terms and conditions of the Creative Commons Attribution (CC BY) license (https://creativecommons.org/licenses/by/4.0/).
Share and Cite
Ciotola, F.; Pyxaras, S.; Rittger, H.; Buia, V. MEMS Technology in Cardiology: Advancements and Applications in Heart Failure Management Focusing on the CardioMEMS Device. Sensors 2024, 24, 2922. https://doi.org/10.3390/s24092922
Ciotola F, Pyxaras S, Rittger H, Buia V. MEMS Technology in Cardiology: Advancements and Applications in Heart Failure Management Focusing on the CardioMEMS Device. Sensors. 2024; 24(9):2922. https://doi.org/10.3390/s24092922
Chicago/Turabian StyleCiotola, Francesco, Stylianos Pyxaras, Harald Rittger, and Veronica Buia. 2024. "MEMS Technology in Cardiology: Advancements and Applications in Heart Failure Management Focusing on the CardioMEMS Device" Sensors 24, no. 9: 2922. https://doi.org/10.3390/s24092922
APA StyleCiotola, F., Pyxaras, S., Rittger, H., & Buia, V. (2024). MEMS Technology in Cardiology: Advancements and Applications in Heart Failure Management Focusing on the CardioMEMS Device. Sensors, 24(9), 2922. https://doi.org/10.3390/s24092922

