Three-Dimensional Multi-Modality Registration for Orthopaedics and Cardiovascular Settings: State-of-the-Art and Clinical Applications
Abstract
1. Introduction
2. The State-of-the-Art in Multimodality Registration
2.1. Cardiovascular Applications
2.2. Orthopaedic Applications
3. Materials and Methods
3.1. Case Study 1: Landmark Registration in Cardiology
3.1.1. CT/US Temporal Registration
3.1.2. CT/US Spatial Registration
3.1.3. Landmark Registration Optimization
3.2. Case Study 2: Landmark Registration in Orthopaedics
4. Results
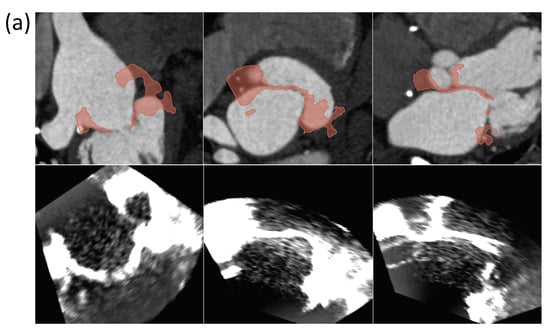
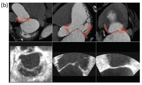
4.1. Case Study 1
4.2. Case Study 2
5. Discussion and Conclusions
Author Contributions
Funding
Institutional Review Board Statement
Informed Consent Statement
Data Availability Statement
Acknowledgments
Conflicts of Interest
Abbreviations
| CT | Computer Tomography |
| MRI | Magnetic Resonance Imaging |
| US | Ultrasound |
| SSD | Sum of Squared Differences |
| MI | Mutual Information |
| TAVI | Transcatheter Aortic Valve Implantation |
| PET | Positron Emission Tomography |
| MV | Mitral Valve |
| NMI | Normalized-MI |
| CNN | Convolutional Neural Network |
| Pre-Operative CT | |
| Pre-Operative US | |
| Post-Operative US | |
| GS | Gold Standard |
| RMSE | Root Mean Square Error |
| FRE | Fiducial Registration Error |
| TRE | Target Registration Error |
| HD | Hausdorff distance |
References
- Celi, S.; Martini, N.; Emilio Pastormerlo, L.; Positano, V.; Berti, S. Multimodality imaging for interventional cardiology. Curr. Pharm. Des. 2017, 23, 3285–3300. [Google Scholar] [CrossRef] [PubMed]
- Dhawan, A.P. Rigid and non-rigid medical image registration methods. Int. J. Biomed. Eng. Technol. 2012, 8, 200–219. [Google Scholar] [CrossRef]
- Alam, F.; Rahman, S.U. Challenges and solutions in multimodal medical image subregion detection and registration. J. Med. Imaging Radiat. Sci. 2019, 50, 24–30. [Google Scholar] [CrossRef] [PubMed]
- Pluim, J.P.; Maintz, J.A.; Viergever, M.A. Mutual-information-based registration of medical images: A survey. IEEE Trans. Med. Imaging 2003, 22, 986–1004. [Google Scholar] [CrossRef] [PubMed]
- Melbourne, A.; Ridgway, G.; Hawkes, D.J. Image similarity metrics in image registration. Proc. SPIE 2010, 7623, 962–971. [Google Scholar]
- Mäkelä, T.; Clarysse, P.; Sipilä, O.; Pauna, N.; Cuong Pham, Q.; Katila, T.; Magnin, I.E. A Review of Cardiac Image Registration Methods. IEEE Trans. Med. Imaging 2002, 21, 1011–1021. [Google Scholar] [CrossRef] [PubMed]
- Huang, B.; Yang, F.; Yin, M.; Mo, X.; Zhong, C. A review of multimodal medical image fusion techniques. Comput. Math. Methods Med. 2020, 2020, 8279342. [Google Scholar] [CrossRef] [PubMed]
- Azam, M.A.; Khan, K.B.; Salahuddin, S.; Rehman, E.; Khan, S.A.; Khan, M.A.; Kadry, S.; Gandomi, A.H. A review on multimodal medical image fusion: Compendious analysis of medical modalities, multimodal databases, fusion techniques and quality metrics. Comput. Biol. Med. 2022, 144, 105253. [Google Scholar] [CrossRef]
- Veulemans, V.; Hellhammer, K.; Polzin, A.; Bönner, F.; Zeus, T.; Kelm, M. Current and future aspects of multimodal and fusion imaging in structural and coronary heart disease. Clin. Res. Cardiol. 2018, 107, 49–54. [Google Scholar] [CrossRef]
- Hell, M.M.; Kreidel, F.; Geyer, M.; Ruf, T.F.; Tamm, A.R.; da Rocha e Silva, J.G.; Münzel, T.; von Bardeleben, R.S. The Revolution in Heart Valve Therapy: Focus on Novel Imaging Techniques in Intra-Procedural Guidance. Struct. Heart 2021, 5, 140–150. [Google Scholar] [CrossRef]
- Bax, J.J.; Delgado, V.; Hahn, R.T.; Leipsic, J.; Min, J.K.; Grayburn, P.; Sondergaard, L.; Yoon, S.H.; Windecker, S. Transcatheter aortic valve replacement: Role of multimodality imaging in common and complex clinical scenarios. Cardiovasc. Imaging 2020, 13, 124–139. [Google Scholar]
- Khalil, A.; Faisal, A.; Ng, S.C.; Liew, Y.M.; Lai, K.W. Mitral valve rigid registration using 2D echocardiography and cardiac computed tomography. In Proceedings of the 2017 International Conference on Applied System Innovation (ICASI), Sapporo, Japan, 13–17 May 2017; IEEE: Piscataway, NJ, USA, 2017; pp. 629–632. [Google Scholar]
- Flotats, A.; Knuuti, J.; Gutberlet, M.; Marcassa, C.; Bengel, F.M.; Kaufmann, P.A.; Rees, M.R.; Hesse, B.; Cardiovascular Committee of the EANM, the ESCR and ECNC. Hybrid cardiac imaging: SPECT/CT and PET/CT. A joint position statement by the European Association of Nuclear Medicine (EANM), the European Society of Cardiac Radiology (ESCR) and the European Council of Nuclear Cardiology (ECNC). Eur. J. Nucl. Med. Mol. Imaging 2011, 38, 201–212. [Google Scholar] [CrossRef]
- Ng, A.C.; Delgado, V.; Van Der Kley, F.; Shanks, M.; Van De Veire, N.R.; Bertini, M.; Nucifora, G.; Van Bommel, R.J.; Tops, L.F.; De Weger, A.; et al. Comparison of aortic root dimensions and geometries before and after transcatheter aortic valve implantation by 2-and 3-dimensional transesophageal echocardiography and multislice computed tomography. Circ. Cardiovasc. Imaging 2010, 3, 94–102. [Google Scholar] [CrossRef]
- Khalil, A.; Faisal, A.; Ng, S.C.; Liew, Y.M.; Lai, K.W. Multimodality registration of two-dimensional echocardiography and cardiac CT for mitral valve diagnosis and surgical planning. J. Med. Imaging 2017, 4, 037001. [Google Scholar] [CrossRef]
- Luo, Z.; Cai, J.; Peters, T.M.; Gu, L. Intra-operative 2-D ultrasound and dynamic 3-D aortic model registration for magnetic navigation of transcatheter aortic valve implantation. IEEE Trans. Med. Imaging 2013, 32, 2152–2165. [Google Scholar] [PubMed]
- Boveiri, H.R.; Khayami, R.; Javidan, R.; Mehdizadeh, A. Medical image registration using deep neural networks: A comprehensive review. Comput. Electr. Eng. 2020, 87, 106767. [Google Scholar] [CrossRef]
- Zou, J.; Gao, B.; Song, Y.; Qin, J. A review of deep learning-based deformable medical image registration. Front. Oncol. 2022, 12, 1047215. [Google Scholar] [CrossRef] [PubMed]
- Hering, A.; Kuckertz, S.; Heldmann, S.; Heinrich, M.P. Enhancing label-driven deep deformable image registration with local distance metrics for state-of-the-art cardiac motion tracking. In Proceedings of the Bildverarbeitung für die Medizin 2019: Algorithmen–Systeme–Anwendungen. Proceedings des Workshops vom, Lübeck, Germany, 17–19 March 2019; Springer: Berlin/Heidelberg, Germany, 2019; pp. 309–314. [Google Scholar]
- Chen, X.; Xia, Y.; Ravikumar, N.; Frangi, A.F. A deep discontinuity-preserving image registration network. In Proceedings of the Medical Image Computing and Computer Assisted Intervention–MICCAI 2021: 24th International Conference, Strasbourg, France, 27 September–1 October 2021; Proceedings, Part IV 24. Springer: Berlin/Heidelberg, Germany, 2021; pp. 46–55. [Google Scholar]
- Mahapatra, D.; Sedai, S.; Garnavi, R. Elastic registration of medical images with gans. arXiv 2018, arXiv:1805.023697. [Google Scholar]
- Lu, Y.; Li, B.; Liu, N.; Chen, J.W.; Xiao, L.; Gou, S.; Chen, L.; Huang, M.; Zhuang, J. CT-TEE image registration for surgical navigation of congenital heart disease based on a cycle adversarial network. Comput. Math. Methods Med. 2020, 2020, 4942121. [Google Scholar] [CrossRef]
- Masoumi, N.; Belasso, C.J.; Ahmad, M.O.; Benali, H.; Xiao, Y.; Rivaz, H. Multimodal 3D ultrasound and CT in image-guided spinal surgery: Public database and new registration algorithms. Int. J. Comput. Assist. Radiol. Surg. 2021, 16, 555–565. [Google Scholar] [CrossRef]
- Chen, J.; Yuan, F.; Shen, Y.; Wang, J. Multimodality-based knee joint modelling method with bone and cartilage structures for total knee arthroplasty. Int. J. Med. Robot. Comput. Assist. Surg. 2021, 17, e2316. [Google Scholar] [CrossRef]
- Yu, Y.; Zhang, W.B.; Liu, X.J.; Guo, C.B.; Yu, G.Y.; Peng, X. Three-Dimensional Image Fusion of 18F-Fluorodeoxyglucose–Positron Emission Tomography/Computed Tomography and Contrast-Enhanced Computed Tomography for Computer-Assisted Planning of Maxillectomy of Recurrent Maxillary Squamous Cell Carcinoma and Defect Reconstruction. J. Oral Maxillofac. Surg. 2017, 75, 1301.e1. [Google Scholar]
- Mohammad-Rahimi, H.; Nadimi, M.; Rohban, M.H.; Shamsoddin, E.; Lee, V.Y.; Motamedian, S.R. Machine learning and orthodontics, current trends and the future opportunities: A scoping review. Am. J. Orthod. Dentofac. Orthop. 2021, 160, 170–192. [Google Scholar] [CrossRef] [PubMed]
- Unberath, M.; Gao, C.; Hu, Y.; Judish, M.; Taylor, R.H.; Armand, M.; Grupp, R. The impact of machine learning on 2d/3d registration for image-guided interventions: A systematic review and perspective. Front. Robot. AI 2021, 8, 716007. [Google Scholar] [CrossRef] [PubMed]
- Park, Y.; Choi, J.; Kim, Y.; Choi, S.; Lee, J.; Kim, K.; Chung, C. Deep Learning–Based Prediction of the 3D Postorthodontic Facial Changes. J. Dent. Res. 2022, 101, 1372–1379. [Google Scholar] [CrossRef]
- Wang, C.; Xie, S.; Li, K.; Wang, C.; Liu, X.; Zhao, L.; Tsai, T.Y. Multi-view point-based registration for native knee kinematics measurement with feature transfer learning. Engineering 2021, 7, 881–888. [Google Scholar] [CrossRef]
- Fedorov, A.; Beichel, R.; Kalpathy-Cramer, J.; Finet, J.; Fillion-Robin, J.C.; Pujol, S.; Bauer, C.; Jennings, D.; Fennessy, F.; Sonka, M.; et al. 3D Slicer as an image computing platform for the Quantitative Imaging Network. J. Digit. Imaging 2021, 34, 540–554. [Google Scholar] [CrossRef] [PubMed]
- Gasparotti, E.; Vignali, E.; Mariani, M.; Berti, S.; Celi, S. Image-based modelling and numerical simulations of the Cardioband® procedure for mitral valve regurgitation repair. Comput. Methods Appl. Mech. Eng. 2022, 394, 114941. [Google Scholar] [CrossRef]
- Van Rossum, G.; Drake, F.L., Jr. Python Reference Manual; Centrum voor Wiskunde en Informatica: Amsterdam, The Netherlands, 1995. [Google Scholar]
- Mantegazza, V.; Pasquini, A.; Agati, L.; Fusini, L.; Muratori, M.; Gripari, P.; Ali, S.G.; Vignati, C.; Bartorelli, A.L. Comprehensive Assessment of Mitral Valve Geometry and Cardiac Remodeling With 3-Dimensional Echocardiography After Percutaneous Mitral Valve Repair. Am. J. Cardiol. 2018, 122, 1195–1203. [Google Scholar] [CrossRef]
- Schmidt, F.P.; von Bardeleben, R.S.; Nikolai, P.; Jabs, A.; Wunderlich, N.; Münzel, T.; Hink, U.; Warnholtz, A. Immediate effect of the MitraClip® procedure on mitral ring geometry in primary and secondary mitral regurgitation. Eur. Heart J. -Cardiovasc. Imaging 2013, 14, 851–857. [Google Scholar] [CrossRef]
- Noack, T.; Janietz, M.; Lurz, P.; Kiefer, P.; Sieg, F.; Marin-Cuartas, M.; Spampinato, R.; Besler, C.; Rommel, K.P.; Holzhey, D.; et al. Dynamic mitral valve geometry in patients with primary and secondary mitral regurgitation: Implications for mitral valve repair. Eur. J. -Cardio-Thorac. Surg. 2019, 56, 983–992. [Google Scholar] [CrossRef]
- Pasrija, C.; Quinn, R.W.; Bernstein, D.; Tran, D.; Alkhatib, H.; Rice, M.; Morales, D.; Shah, A.; Ghoreishi, M.; Strauss, E.R.; et al. Mitral Valve Translocation: A Novel Operation for the Treatment of Secondary Mitral Regurgitation. Ann. Thorac. Surg. 2021, 112, 1954–1961. [Google Scholar] [CrossRef]
- Naoum, C.; Leipsic, J.; Cheung, A.; Ye, J.; Bilbey, N.; Mak, G.; Berger, A.; Dvir, D.; Arepalli, C.; Grewal, J.; et al. Mitral Annular Dimensions and Geometry in Patients With Functional Mitral Regurgitation and Mitral Valve Prolapse: Implications for Transcatheter Mitral Valve Implantation. Ann. Thorac. Surg. 2016, 9, 269–280. [Google Scholar]
- MITO: Multimodal Imaging Toolbox. Available online: https://sourceforge.net/projects/mito/ (accessed on 24 January 2024).
- FW4SPL: FrameWork for Software Production Line. Available online: https://fw4spl.readthedocs.io/en/11.0.4/index.html (accessed on 24 January 2024).
- MedPy: Medical Image Processing in Python. Available online: https://pypi.org/project/MedPy/ (accessed on 24 January 2024).
- Rahimi, A.; Khalil, A.; Ismail, S.; Jamil, A.S.A.; Azizan, M.M.; Lai, K.W.; Faisal, A. Trimodality image registration of ultrasound, cardiac computed tomography, and magnetic resonance imaging for transcatheter aortic valve implantation and replacement image guidance. Health Technol. 2023, 13, 925–936. [Google Scholar] [CrossRef]
- Lang, P.; Rajchl, M.; Li, F.; Peters, T.M. Towards model-enhanced real-time ultrasound guided cardiac interventions. In Proceedings of the 2011 International Conference on Intelligent Computation and Bio-Medical Instrumentation, Wuhan, China, 14–17 December 2011; IEEE: Piscataway, NJ, USA, 2011; pp. 89–92. [Google Scholar]
- Huang, X.; Moore, J.; Guiraudon, G.; Jones, D.L.; Bainbridge, D.; Ren, J.; Peters, T.M. Dynamic 2D ultrasound and 3D CT image registration of the beating heart. IEEE Trans. Med. Imaging 2009, 28, 1179–1189. [Google Scholar] [CrossRef] [PubMed]
- Khalil, A.; Faisal, A.; Lai, K.W.; Ng, S.C.; Liew, Y.M. 2D to 3D fusion of echocardiography and cardiac CT for TAVR and TAVI image guidance. Med. Biol. Eng. Comput. 2017, 55, 1317–1326. [Google Scholar] [CrossRef] [PubMed]
- Ritto, F.; Schmitt, A.; Pimentel, T.; Canellas, J.; Medeiros, P. Comparison of the accuracy of maxillary position between conventional model surgery and virtual surgical planning. Int. J. Oral Maxillofac. Surg. 2018, 47, 160–166. [Google Scholar] [CrossRef] [PubMed]
- Stokbro, K.; Aagaard, E.; Torkov, P.; Bell, R.; Thygesen, T. Surgical accuracy of three-dimensional virtual planning: A pilot study of bimaxillary orthognathic procedures including maxillary segmentation. Int. J. Oral Maxillofac. Surg. 2016, 45, 8–18. [Google Scholar] [CrossRef]
- Hsu, S.S.P.; Gateno, J.; Bell, R.B.; Hirsch, D.L.; Markiewicz, M.R.; Teichgraeber, J.F.; Zhou, X.; Xia, J.J. Accuracy of a computer-aided surgical simulation protocol for orthognathic surgery: A prospective multicenter study. J. Oral Maxillofac. Surg. 2013, 71, 128–142. [Google Scholar] [CrossRef]
- Xia, J.J.; Gateno, J.; Teichgraeber, J.F. New clinical protocol to evaluate craniomaxillofacial deformity and plan surgical correction. J. Oral Maxillofac. Surg. 2009, 67, 2093–2106. [Google Scholar] [CrossRef]
- Heufelder, M.; Wilde, F.; Pietzka, S.; Mascha, F.; Winter, K.; Schramm, A.; Rana, M. Clinical accuracy of waferless maxillary positioning using customized surgical guides and patient specific osteosynthesis in bimaxillary orthognathic surgery. J. -Cranio-Maxillofac. Surg. 2017, 45, 1578–1585. [Google Scholar] [CrossRef] [PubMed]
- Tucker, S.; Cevidanes, L.H.S.; Styner, M.; Kim, H.; Reyes, M.; Proffit, W.; Turvey, T. Comparison of actual surgical outcomes and 3-dimensional surgical simulations. J. Oral Maxillofac. Surg. 2010, 68, 2412–2421. [Google Scholar] [CrossRef] [PubMed]













| Patients | CTpre | USpre | USpost | |||
|---|---|---|---|---|---|---|
| Spacing (mm) | Dimensions | Spacing (mm) | Dimensions | Spacing (mm) | Dimensions | |
| CB1 | 0.47 × 0.47 × 1.00 | 512 × 512 × 160 × 10 | 0.50 × 0.50 × 0.27 | 208 × 192 × 208 × 19 | 0.59 × 0.58 × 0.41 | 208 × 176 × 208 × 13 |
| CB2 | 0.40 × 0.40 × 1.00 | 512 × 512 × 160 × 10 | 0.58 × 0.57 × 0.37 | 208 × 192 × 208 × 13 | 0.99 × 0.99 × 0.64 | 144 × 144 × 208 × 42 |
| CB3 | 0.47 × 0.47 × 1.00 | 512 × 512 × 160 × 10 | 0.51 × 0.50 × 0.27 | 256 × 240 × 208 × 52 | ** | ** |
| CB4 | 0.47 × 0.47 × 1.00 | 512 × 512 × 160 × 10 | 0.55 × 0.55 × 0.31 | 208 × 208 × 208 × 10 | 0.50 × 0.50 × 0.13 | 208 × 208 × 208 × 36 |
| CB5 | 0.47 × 0.47 × 1.00 | 512 × 512 × 140 × 10 | 0.47 × 0.47 × 0.22 | 192 × 208 × 208 × 12 | 0.51 × 0.51 × 0.29 | 208 × 160 × 208 × 11 |
| Automatic General Registration | Semi-Automatic | Interactive |
|---|---|---|
| BRAINS | Landmark Registration | Transforms |
| ANTs | Fiducial Registration Wizard | |
| Elastix |
| 3D Slicer Module | Features |
|---|---|
| Landmark Registration | Only suitable for similar volumes |
| Automatic landmarks placement | |
| Rigid and warping transformation types supported | |
| Fiducial Registration Wizard | Suitable similar and dissimilar volumes |
| Manual landmarks placement | |
| Rigid and warping transformation types supported | |
| Transformation matrix and registration error (RMSE) |
Disclaimer/Publisher’s Note: The statements, opinions and data contained in all publications are solely those of the individual author(s) and contributor(s) and not of MDPI and/or the editor(s). MDPI and/or the editor(s) disclaim responsibility for any injury to people or property resulting from any ideas, methods, instructions or products referred to in the content. |
© 2024 by the authors. Licensee MDPI, Basel, Switzerland. This article is an open access article distributed under the terms and conditions of the Creative Commons Attribution (CC BY) license (https://creativecommons.org/licenses/by/4.0/).
Share and Cite
Garzia, S.; Capellini, K.; Gasparotti, E.; Pizzuto, D.; Spinelli, G.; Berti, S.; Positano, V.; Celi, S. Three-Dimensional Multi-Modality Registration for Orthopaedics and Cardiovascular Settings: State-of-the-Art and Clinical Applications. Sensors 2024, 24, 1072. https://doi.org/10.3390/s24041072
Garzia S, Capellini K, Gasparotti E, Pizzuto D, Spinelli G, Berti S, Positano V, Celi S. Three-Dimensional Multi-Modality Registration for Orthopaedics and Cardiovascular Settings: State-of-the-Art and Clinical Applications. Sensors. 2024; 24(4):1072. https://doi.org/10.3390/s24041072
Chicago/Turabian StyleGarzia, Simone, Katia Capellini, Emanuele Gasparotti, Domenico Pizzuto, Giuseppe Spinelli, Sergio Berti, Vincenzo Positano, and Simona Celi. 2024. "Three-Dimensional Multi-Modality Registration for Orthopaedics and Cardiovascular Settings: State-of-the-Art and Clinical Applications" Sensors 24, no. 4: 1072. https://doi.org/10.3390/s24041072
APA StyleGarzia, S., Capellini, K., Gasparotti, E., Pizzuto, D., Spinelli, G., Berti, S., Positano, V., & Celi, S. (2024). Three-Dimensional Multi-Modality Registration for Orthopaedics and Cardiovascular Settings: State-of-the-Art and Clinical Applications. Sensors, 24(4), 1072. https://doi.org/10.3390/s24041072

