Abstract
Pulmonary tuberculosis (PTB) is a bacterial infection that affects the lung. PTB remains one of the infectious diseases with the highest global mortalities. Chest radiography is a technique that is often employed in the diagnosis of PTB. Radiologists identify the severity and stage of PTB by inspecting radiographic features in the patient’s chest X-ray (CXR). The most common radiographic features seen on CXRs include cavitation, consolidation, masses, pleural effusion, calcification, and nodules. Identifying these CXR features will help physicians in diagnosing a patient. However, identifying these radiographic features for intricate disorders is challenging, and the accuracy depends on the radiologist’s experience and level of expertise. So, researchers have proposed deep learning (DL) techniques to detect and mark areas of tuberculosis infection in CXRs. DL models have been proposed in the literature because of their inherent capacity to detect diseases and segment the manifestation regions from medical images. However, fully supervised semantic segmentation requires several pixel-by-pixel labeled images. The annotation of such a large amount of data by trained physicians has some challenges. First, the annotation requires a significant amount of time. Second, the cost of hiring trained physicians is expensive. In addition, the subjectivity of medical data poses a difficulty in having standardized annotation. As a result, there is increasing interest in weak localization techniques. Therefore, in this review, we identify methods employed in the weakly supervised segmentation and localization of radiographic manifestations of pulmonary tuberculosis from chest X-rays. First, we identify the most commonly used public chest X-ray datasets for tuberculosis identification. Following that, we discuss the approaches for weakly localizing tuberculosis radiographic manifestations in chest X-rays. The weakly supervised localization of PTB can highlight the region of the chest X-ray image that contributed the most to the DL model’s classification output and help pinpoint the diseased area. Finally, we discuss the limitations and challenges of weakly supervised techniques in localizing TB manifestations regions in chest X-ray images.
1. Introduction
1.1. Tuberculosis (TB)
The bacteria that cause TB are easily transferred from one infected individual to another since it is contagious. WHO revealed that approximately 10 million individuals had active TB disease in 2019 and that 1.4 million people died from the disease []. The 2021 global TB report shows that there was only an 11% decrease in TB incidence, although the goal was to cut TB incidence by 20% between 2015 and 2020 []. With only a 9.2% improvement in death rates between 2015 and 2020, the mortality reduction targets, which were set to 35%, were not met []. This indicates that TB remained one of the most common causes of death.
The approach of a symptoms inquiry and chest X-ray (CXR) has a higher sensitivity than other approaches, and it mirrors the CXR anomaly in symptomatic people []. Most of the time, the clinical decision making to diagnose active tuberculosis is based on the results of a symptoms inquiry questionnaire and chest radiography [,]. The sensitivity and specificity of the symptoms inquiry screening questionnaire are 77 and 66 percent, respectively, while they are better in the Purified Protein Derivative (PPD) (89 and 80%, respectively); nevertheless, they are greater in the CXR (86% and 89%, respectively) [,]. Symptoms inquiries and CXRs are effective screening methods, particularly in resource-limited settings, but other approaches may also be useful depending on the context.
1.2. Radiographic Features of Pulmonary TB
Primary, post-primary, and miliary tuberculosis are terms used to describe different patterns and manifestations of TB [,]. Primary tuberculosis occurs when a person is initially infected with Mycobacterium tuberculosis, the bacterium that causes TB. Post-primary tuberculosis, also known as secondary tuberculosis or reactivation tuberculosis, occurs when the bacteria that initially caused the primary infection become dormant in the body but later reactivate due to a weakened immune system. Miliary tuberculosis is a severe and disseminated form of TB where the bacteria spread from the lungs to other organs via the bloodstream, leading to the formation of tiny nodules or lesions resembling millet seeds. The variety of pulmonary tuberculosis (PTB) manifestations depends on whether the infection is primary, post-primary, or miliary. The pathologic site of infection within the lung and the radiographic features differ depending on the patient’s age and infection stage [,].
In primary pulmonary tuberculosis, the first areas of infection can be anywhere in the lung and can have any number of non-specific appearances, from patches of consolidation to spots that are too small to be seen. Only 10 to 30% of early TB infections show cavitation, and 70% of children and 90% of adults have radiographic signs of parenchymal infection []. The majority of the time, the infection becomes a localized, caseating granuloma (also known as a tuberculoma), and it typically calcifies, becoming a Ghon lesion. The more notable feature is the often right-sided, ipsilateral hilar and contiguous mediastinal (paratracheal) lymphadenopathy, which is particularly common in pediatric cases, Figure 1a,b. Pleural effusions are more frequent in adults, seen in 30–40% of cases, whereas they are only present in 5–10% of pediatric cases []. As the host mounts an appropriate immune response, both the pulmonary and nodal disease resolve. When a calcified node and a Ghon lesion are present, the combination is known as a Ranke complex [,].

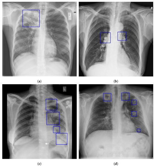
Figure 1.
Examples of primary and post-primary PTB manifestation in a CXR []. The following are indicated by the blue boxes: (a) coalescing air space opacity on the right upper lobe; (b) enlarged hilar and mediastinal lymph nodes; (c) a thick-walled cavitary lesion in the left upper lobe; (d) bilateral apical thick-walled cavities and multifocal satellite air space opacities.
Post-primary infections have a strong propensity for the upper zones. In most cases, the upper lobes’ posterior or lower lobes’ superior segments are where post-primary TB in the lungs typically manifests itself. Patchy consolidation or poorly defined linear and nodular opacities are the usual symptoms of post-primary tuberculosis, and examples are given in Figure 1c,d. Primary infections have a far lower chance of cavitating than post-primary infections. Endobronchial spread along nearby airways is a relatively common finding, resulting in well-defined 2–4 mm nodules. Only about a third of cases have hilar nodal enlargement. Although they are less frequent, lobar consolidation, tuberculoma development, and miliary TB are the other recognized features of post-primary TB. Only 5% of cases of post-primary TB are caused by tuberculomas, which present as a well-defined, spherical mass that is usually found in the upper lobes. They can be up to 4 cm in size and are often solitary. Most frequently, little satellite lesions are observed. Superimposed cavitation may develop in 20–30% of instances [,].
Miliary tuberculosis represents the hematogenous dissemination of an uncontrolled tuberculous infection. Miliary tuberculosis is manifested by an even distribution throughout both the left and right lung lobes. It appears as 1–3 mm diameter nodules, which are uniform in size and uniformly distributed, as depicted in Figure 2. When a tracheal infection is isolated, the consequence is irregular circumferential mural thickening, while broncholiths cause calcified material to enter the lumen. Tuberculous involvement of the pleura usually presents as pleural effusion, empyema, or pleural thickening. Diffuse pleural thickening and adhesions with calcification occur in chronic cases. Patients may show a paradoxical reaction on imaging [,].

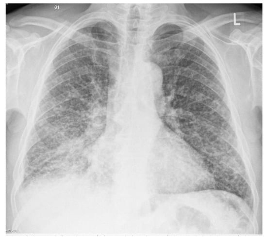
Figure 2.
An example of chest X-ray images showing miliary tuberculosis with pulmonary nodules scattered throughout the lungs uniformly [].
1.3. Localization of Pulmonary Tuberculosis in a Chest X-ray
The term “localization” refers to recognizing and pinpointing the disease’s pathology on the chest X-ray. By examining the images, radiologists can identify the precise radiographic characteristics of TB in a chest X-ray. DL-based semantic segmentation mimics radiologists by performing categorization at the pixel level, where each pixel is assigned to a certain case []. Using pixel-level labeled data to train the models is referred to as supervised segmentation. Unsupervised or semi-supervised segmentation, in contrast, is a type of segmentation where there are no labeled data [,,]. Weakly supervised learning is in between the supervised and unsupervised learning techniques. It needs a modest amount of labeled data rather than a large quantity. Most of the time, image-level labeling is adequate for weakly supervised learning.
Supervised deep learning models are drawing a lot of interest since they enhance performances and deliver encouraging outcomes in medical fields [,,,,,,,,]. However, the cost of collecting data and annotating them in a clinical setting is substantial. This is due to the lack of doctors with the required expertise, the expensive annotation software, and the lengthy (days to years) data collection process. The survey conducted in [,] discussed that the accurate segmentation of medical images using convolutional neural networks depends greatly on labeled data. Nevertheless, given the significant expenses associated with data collecting and labeling, it is very uncommon to create numerous datasets with high-quality labels, particularly in the field of medical image analysis. As a result, much research using incomplete or flawed datasets is needed.
The primary purpose of this literature review is to identify the techniques and procedures used in the weak localization and segmentation of pulmonary tuberculosis manifestations in a chest X-ray image. We identified and highlighted the advantages of these procedures, as well as the problems in detecting pulmonary tuberculosis using these methodologies. The methods for addressing the challenges of the weak localization approach are also discussed in detail. In addition, we discovered and listed publicly available datasets that have at least image-level annotation.
The rest of this paper is structured as follows. In Section 2, we provide the related works and discuss their contributions and shortcomings. In Section 3 of the paper, we discuss our methodology. In Section 4, we provide a list of the available open datasets for tuberculosis localization on chest X-rays. The weakly supervised methods for localizing tuberculosis on a chest X-ray are analyzed in Section 5. Section 6 provides results of our findings, a summary of current weakly supervised technique limitations, and future research directions.
2. Related Work
A few publications have investigated and reviewed a few strategies from the standpoint of tuberculosis detection from chest X-ray images [,,,,], despite the quantity and scope of systematic evaluations on the weak localization of tuberculosis manifestation in chest X-rays being relatively limited. Hence, this section discusses the most recent surveys and reviews of machine learning’s use in tuberculosis detection from a chest X-ray.
E. Çallı et al. [] examined the DL-based articles on chest X-rays that were released before March 2021. All of the publications that used classification, regression, segmentation, localization, image generation, and domain adaptation were considered in the review. The authors discussed a paper [] published in 2019 regarding weakly supervised learning in tuberculosis detection from a chest X-ray.
An overview of deep learning’s advancements for tuberculosis detection from chest X-rays is given in []. The writers reviewed publications published on PubMed and Web of Science between 2016 and 2021. Their review’s objectives were identifying existing datasets, methodical contributions, and obstacles and highlighting prospective techniques. They also reviewed studies to find those that offer more than just binary classification for TB, like localization of the region of interest.
The review written by M. Singh et al. [] pointed out the drawbacks of traditional TB diagnostic methods and gave a study of several machine learning algorithms and their uses in TB diagnosis. The authors identified the lack of good data and their scarcity as the main obstacle to AI application in TB diagnosis. Additionally, they described how DL integrated with neuro-fuzzy, genetic algorithms and how artificial immune systems work better since they consider biological information. The author reviewed the drawbacks of the traditional TB diagnostic methods, identified the challenges, and discussed how other techniques like neuro-fuzzy, genetic algorithms, etc., can improve DL performance. However, they did not highlight the use of weakly supervised segmentation in pulmonary TB screening and only two databases were considered.
DL has the drawback of often only using one modal for the model, which is an image. In contrast, clinical data from medical practice, including demographics, patient evaluations, and lab test results, are also used for TB analysis in addition to pictures. Different DL approaches using single-modal or multimodal algorithms that merged clinical data with images are described in the review in []. The authors conducted a thorough search for original studies utilizing DL to identify pulmonary tuberculosis on Springer, PubMed, ResearchGate, and Google Scholar. But the authors did not adequately investigate the use of weak localization in pulmonary TB screening.
3. Methodology
This section presents the methodology employed for reviewing weakly supervised segmentation and localization techniques for the diagnosis of pulmonary TB. The systematic literature review (SLR) [,] methods are used as a guideline to perform the review. SLR describes a methodical procedure for reviewing relevant material on a subject. The process includes the information obtained in the literature and how and where you searched for it, what search tactics you employed, and the tools you used to find it. SLR uses precise procedures to determine what can be reliably claimed based on these studies to locate as much relevant research on a certain research subject as possible. The pseudo-code Algorithm 1 depicts the steps followed to complete the systematic review as per the PRISMA guideline.
Algorithm 1: The steps followed to complete the review as per the PRISMA guideline. |
|
3.1. Research Questions
This review paper aims to identify weakly supervised learning methods for the localization and segmentation of pulmonary tuberculosis in a chest X-ray. Additionally, it aims to identify the most recent cutting-edge techniques that have been applied in the past five years. Consequently, the main research topic that we hope to address is the following:
PRQ: “What are the state-of-the-art weakly supervised learning techniques utilized for the problem of localizing and segmenting pulmonary tuberculosis in a chest X-ray in the past 6 years?”
Secondary questions are also produced to further assist in focusing the intended response on the primary review question. These secondary questions are provided below:
- RQ1: Are there any freely available labeled chest radiography datasets? What are their characteristics?
- RQ2: What are the challenges in accurately localizing pulmonary tuberculosis in a chest X-ray?
- RQ3: What are the weakly supervised learning techniques in localizing pulmonary tuberculosis in a chest X-ray?
- RQ4: What are the limitations and challenges in the weakly supervised localization of pulmonary TB in a chest X-ray?
3.2. Search Strategies
The primary study’s search approach was centered on six electronic search databases: Google Scholar, PubMed, Science Direct, IEEE Xplore, MDPI, and Springer Link. The search focused on the studies published in the past six years, between 2017 and 2023. All of the database searches were performed from 25 November 2022 to 1 February 2023. But, to obtain a relevant result, we first created a concise search string. Because each electronic search database specifies its syntax, a search string is composed of several keywords and synonyms that are connected using the AND and OR boolean operators. The complete procedure for looking for pertinent works is shown in Algorithm 2.
(Localization OR Segmentation OR Explainable OR Interpretable) OR (Detection OR Identification OR Diagnosis OR Screening) AND (“Chest X-ray” OR “Chest Radiography”) AND (Pulmonary OR Tuberculosis OR TB) AND (“Deep Learning” OR “Weakly Supervised” OR CNN OR “Neural Network”)
Algorithm 2: The pseudo-code used to create search strings. |
|
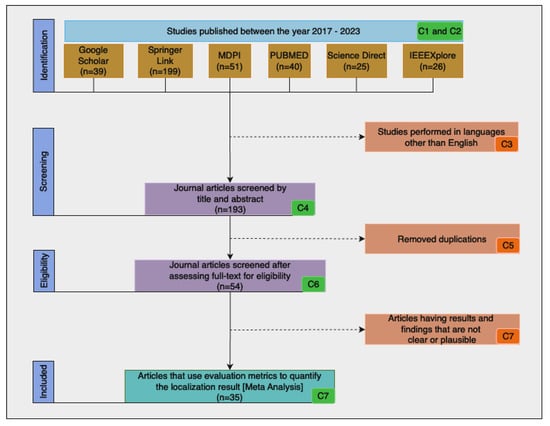
As shown in the flow diagram in Figure 3, the final result was reached after applying the search string to each individual database and reducing the search results based on the search criteria in Table 1. After performing an advanced search on each of the search engines and applying the inclusion and exclusion criteria, 35 papers were identified for the review purpose. Figure 4 shows that 11 publications were obtained from Springer, 7 from Google Scholar, 6 from IEEE, 5 from PubMed, 4 from Science Direct, and 2 from MDPI.

Figure 3.
The flow diagram of paper selection.

Table 1.
Selection Criteria.

Figure 4.
The number of research papers extracted from the search engines (Google Scholar, PubMed, MDPI, Science Direct, IEEE, and Springer).
4. Publicly Available Datasets for Tuberculosis Localization in Chest X-ray
As we covered in Section 1 above, chest X-ray images are frequently utilized to identify pulmonary tuberculosis. Several computer-aided PTB detection methods involving chest X-rays have also been developed in recent years. Therefore, it is essential to highlight the characteristics and importance of the most relevant CXR datasets. In this section, we will go over a number of chest X-ray image datasets that are freely accessible to researchers and provide their summary in Table 2:
- NIAID [] contains 1299 instances in total from five different countries (Azerbaijan, Belarus, Moldova, Georgia, and Romania), 976 (75.1%) of which are multi- or extensively drug-resistant and 38.2% of which contain X-ray images.
- TBX11K [] has 11,200 CXR images with TB-related bounding box annotations. The pixel size of the images in the dataset is 512 × 512 with five categories: healthy, sick but non-TB, active TB, latent TB, and uncertain TB. Additionally, images from [,] are included in the dataset.
- CheXpert [] is a large public dataset consisting of 224,316 chest radiographs from 65,240 patients that have been classified as positive, negative, or ambiguous based on the presence of 14 observations (atelectasis, cardiomegaly, consolidation, edema, pleural effusion, pneumonia, pneumothorax, enlarged cardiom, lung lesion, lung opacity, pleural other, fracture, support devices, and no findings).
- VinDr-CXR [] is a dataset containing 100,000 images collected from two major hospitals in Vietnam. Out of this raw data, the publicly released dataset has 18,000 images carefully annotated by 17 expert radiologists, with 22 local labels for rectangles enclosing anomalies and 6 global labels for suspected diseases. The dataset is further divided into 15,000 training sets and 3000 test sets. The test sets’ scans were labeled by the collective opinion of five radiologists, as opposed to the training set’s scans, which were each independently labeled by three radiologists.
- MIMIC-CXR [] comprises 227,835 images for 65,379 patients who visited the emergency room at Beth Israel Deaconess Medical Center between 2011 and 2016. It is the biggest dataset, containing a semi-structured free-text radiology report that contains the radiological findings of the images and was created contemporaneously during ordinary clinical care.
- Shenzhen [] contains 662 CXR images, comprising 326 images for normal cases and 336 images depicting TB. These CXR images, which include pediatric CXR, were all taken within a month.
- Montgomery [] has 138 frontal CXR images, comprising 58 images showing TB and 80 for normal cases. It was gathered in association with the Montgomery County and the US Department of Health and Human Services.
- Indiana [] is a publicly accessible dataset gathered from various hospitals and provided to the University of Indiana School of Medicine. It contains 7470 CXR images (frontal and lateral) and 3955 related reports. The CXR images in this collection depict a number of disorders, including pleural effusion, cardiac hypertrophy, opacity, and pulmonary edema.
- ChestX-ray8 [] contains 108,948 posterior CXR images in total, of which 24,636 have one or more anomalies. The remaining 84,312 images are from normal patients. The dataset was gathered between 1992 and 2015. Every image in the collection can have many labels, and the labels are for eight different diseases, including pneumothorax, cardiomegaly, effusion, atelectasis, masses, pneumonia, infiltration, and nodules. Natural language processing (NLP) algorithms are used to text-mine the labels from the related radiological reports.
- ChestX-ray14 [] is an updated ChestX-ray8 dataset that includes six additional frequent chest abnormalities (hernia, fibrosis, pleural thickening, consolidation, emphysema, and edema). ChestX-ray14 has 112,120 frontal view CXR images from 30,805 different patients, of which 51,708 have one or more abnormalities and the remaining 60,412 do not. Using NLP methods, ChestX-ray14 was also labeled.
- Pediatric-CXR [] is made up of 5856 chest X-ray scans of pediatric patients from the Guangzhou Women and Children’s Medical Center in China, 1583 of which are normal cases and 4273 of which have pneumonia.
- Padchest (Pathology detection in chest radiographs ) [] was gathered from 2009 to 2017. There are 168,861 CXR images in it, which were gathered from 67,000 patients at the San Juan Hospital in Spain.
- Japanese Society of Radiological Technology (JSRT) [] was gathered in 1998 by the Japanese Society of Radiological Technology in coordination with the Japanese Radiological Society from 13 Japanese institutions and 1 American institution. There are 247 posteroanterior CXR images in all, comprising 93 non-nodule CXR images, 100 CXRs with malignant nodules, and 54 with benign nodules. Data from JSRT include metadata, such as the nodule location, gender, age, and nodule diagnosis (malignant/benign). The CXR image size is 2048 × 2048 pixels with a spatial resolution of 0.175 mm/pixel and 12-bit gray levels.
- RSNA-Pneumonia-CXR [] was gathered by the Radiological Society of North America (RSNA) and the Society of Thoracic Radiology (STR). There are 30,000 CXR images in the dataset in total, of which 15,000 have pneumonia or other related disorders like infiltration and consolidation identified.
- Belarus dataset [] is a CXR dataset compiled for a study on drug resistance started by the National Institute of Allergy and Infectious Diseases, Ministry of Health, Republic of Belarus. It comprises 306 CXR images of 169 patients.

Table 2.
Publicly available CXR datasets.
Table 2.
Publicly available CXR datasets.
Dataset | Quantity and Size in Pixels | Cases/Findings | Pixel-Level/ Bounding Box Annotation |
---|---|---|---|
NIAID [] | 496 | TB | N/A |
TBX11K [] | 11,200 images with 512 × 512 pixels | Healthy, sick but non-TB, active TB, latent TB, and uncertain | N/A |
CheXPert [] | 224,316 | Atelectasis, cardiomegaly, consolidation, edema, pleural effusion, pneumonia, pneumothorax, enlarged cardiom, lung lesion, lung opacity, pleural other, fracture, support devices, and no findings | N/A |
VinDr-CXR [] | 18,000 | Aortic enlargement, atelectasis, cardiomegaly, calcification, clavicle fracture, consolidation, edema, emphysema, enlarged PA, interstitial lung disease (ILD), infiltration, lung cavity, lung cyst, lung opacity, mediastinal shift, nodule/mass, pulmonary fibrosis, pneumothorax, pleural thickening, pleural effusion, rib fracture, other lesions, lung tumor, pneumonia, tuberculosis, other diseases, chronic obstructive pulmonary disease (copd), and no finding | Available |
MIMIC-CXR [] | 227,835 images with 2544 × 305 pixels | 14 findings | N/A |
Montgomery [] | 138 images with 4020 × 4892 pixels | TB and normal | N/A |
Shenzhen [] | 662 images with 3000 × 3000 pixels | TB and normal | N/A |
Indiana [] | 7470 images with 512 × 512 pixels | 10 findings including opacity, cardiomegaly, pleural effusion, and pulmonary edema | N/A |
ChestX-ray8 [] | 108,948 images with 1024 × 1024 pixels | Pneumothorax, cardiomegaly, effusion, atelectasis, mass, pneumonia, infiltration, and nodule | Available |
ChestX-ray14 [] | 112,120 images with 1024 × 1024 pixels | Pneumothorax, cardiomegaly, effusion, atelectasis, mass, pneumonia, infiltration, nodule, hernia, fibrosis, pleural thickening, consolidation, emphysema, and edema | N/A |
Pediatric-CXR [] | 5856 | Normal, bacterial pneumonia, viral pneumonia | N/A |
Padchest [] | 168,861 | 193 findings | N/A |
JSRT [] | 247 with 2048 × 2048 pixels | Non-nodule, malignant nodules, and benign nodules | Available |
RSNA-Pneumonia-CXR [] | 30,000 | Pneumonia, infiltration, and consolidation | N/A |
Belarus dataset [] | 306 with 2248 × 2248 pixels | TB and normal | N/A |
5. Weakly Supervised Segmentation and Localization
Fully semantic segmentation can enhance the ability to recognize radiographic characteristics in a CXR and support the diagnosis of pulmonary TB. However, it requires pixel-level annotation. Providing pixel-level annotation for medical images is expensive due to the limited availability of medical imaging data and the need for domain expertise. As a result, we must build a model that uses little to no pixel-by-pixel annotation data. Weakly supervised semantic segmentation helps overcome these issues by providing a technique by which we obtain the pixel-level labels (semantic segmentation) from image-level labels. For instance, the clustering algorithms require no pixel-level labeling and can reach the final cluster without supervision or with partial supervision [].
A heatmap is a graphical representation of data that depicts the localized region in a weakly supervised localization by representing the individual values included in a matrix as colors. In the context of weakly supervised localization, the heatmap represents the probability of pathology manifested at each pixel location in an image. In the examples we mention in the next section, red indicates the highly significant region, and the other color indicates the less important pixels. In the next section, we will discuss five categories of weak localization techniques: self-training, graphical model based, variants of multiple-instance learning (MIL), weak localization by extracting visualization from a classification task, and seeding-based weakly supervised segmentation. We will also discuss the studies conducted on PTB detection using these techniques.
5.1. Self-Training Weakly Supervised Segmentation
The fundamental idea behind self-training is to employ an existing model, known as a pseudo-labeler (), to generate predictions on a large dataset that is not labeled, and then use these predictions to produce pseudo-labels for the dataset [,,]. The model is then retrained using the pseudo-labels, with additional regularization []. The general loss function of self-training models is given in Equation (1) as discussed in []. If the dataset adheres to the presumption that two examples of the same class can be connected by a series of edges in a graph, self-training on unlabeled data can increase accuracy. Nevertheless, one drawback of the analysis is that it only functions with fine-grained classes, where each class constitutes a connected component of its own in the augmentation graph. The presumptions might not support the situations where a single large class contains weakly related smaller sub-classes and the pseudo-labeler is already underperforming.
where n and represent the number of samples in labeled data and unlabeled data, respectively; C stands for the number of classes. and stand for output of labeled data and unlabeled data, respectively; and correspond to the labeled data label and pseudo-label, respectively; and represents the balancing coefficient at epoch e.
Self-training weakly supervised segmentation is not used in various applications, such as medical image segmentation, object instance segmentation, and semantic segmentation, where obtaining pixel-level annotations is expensive or impractical. It has other limitations, such as the potential for error accumulation due to noisy pseudo-labels and the need for the careful selection of the stopping criterion to avoid overfitting. Nevertheless, it is an effective approach for training segmentation models when only weak supervision is available.
5.2. Graphical-Model-Based Weakly Supervised Segmentation
Images can be represented in a graph by connecting pixels to their neighboring pixels. The vertex set of the graph represents image elements and its edge set is given by an adjacency relation to the image elements. There are two relations used to create a graph from an image: pixel adjacency and region adjacency. A pixel adjacency graph connects similar pixels, whereas a region adjacency graph connects regions with similar properties. The homogeneity of superpixels, which are the outcome of the perceptual grouping of pixels [,], can be captured via spatial structure modeling, and graphical models can be used to address problems that arise in weakly supervised segmentation, such as a lack of association. Graphical models provide a framework for representing and modeling the relationships between variables in a probabilistic graphical manner, which is used for capturing spatial dependencies and incorporating prior knowledge into the segmentation process.
One common type of graphical model used in weakly supervised segmentation is the Markov Random Field (MRF) or Conditional Random Field (CRF) [,]. These models allow for the modeling of spatial dependencies between adjacent superpixels or pixels, capturing the homogeneity of neighboring regions. MRFs and CRFs can incorporate both local and global contextual information, such as color, texture, and spatial proximity, to guide the segmentation process. Graphical models incorporate prior knowledge or constraints, such as shapes or object sizes, into the segmentation process. This can help improve the accuracy and robustness of the segmentation results, even when there is a lack of fully supervised training data.
In [,], a semantic association between sets of superpixels is learned from image-level labels. The learned semantic association guides the semantic labeling of each superpixel. The authors in both papers attempted to capture the spatial organization of superpixels by extracting graphlets [] and linking nearby superpixels. The graphlets are small connected sub-graphs representing the high-order structural potentials among superpixels. Image-level labels, the global spatial layout, the geometric context, and multichannel appearance attributes are then encoded into graphlets via patch-alignment-based embedding. The graphlet’s size is equal to t if the number of its constituent superpixels is t. The t sized graphlet can be represented using a t x t sized matrix with Equation (2).
where (,) is the angle between the horizontal axis and the vector from the center of superpixel to the center of superpixel .
Both color and texture attributes are employed to capture the appearance of the superpixel that makes up a graphlet. The texture channel of the superpixel in the graphlet is represented by a 128-dimensional histogram of gradient (HOG) []. Hence, the texture matrix for the graphlet will be , a tx128 matrix. The nine-dimensional color moment [] is also extracted for each superpixel in the graphlet and produces a tx9 matrix. The texture color channel of a graphlet is given by = [, ] and = [, ]. Two identical-sized graphlets in either the texture or color channel can be compared using the Golub–Werman distance given in Equation (3), where and are the respective orthonormal bases of two identically sized matrices M and , which are given by their respective matrices as points on the Grassmann manifold.
The authors in [] proposed a Graph Regularized Embedding Network (GREN), which uses the cross-image and cross-region information to localize radiographic features on chest X-ray images. The GREN tries to model the anatomical structures of the chest X-ray by taking both the relationships between and within images into account. In order to enable the deep embedding layers of the neural network to keep structural information, the graphs are computed using the regularizers hash coding and Hamming distance.
Assuming the chest X-ray dataset is represented by X = , ,…, and segmented lung lobes by = , , , , …, , the feature extractor (CNN) in Figure 5 produces feature maps = , ,…, and = , , , ,…, , respectively, for the input X and . The objective function to be optimized is given by Equation (4) where L() represents the loss function for the localization network and D() is for the graph regularization computed from the inter-image and intra-image relationship.

Figure 5.
The general architecture of Graph Regularized Embedding Networks for weakly supervised disease localization in a chest X-ray image [].
The loss function for the GREN network is given in Equation (5). It has two loss functions: (Equation (6)) for when there are pixel-level annotations for the disease region and (Equation (7)) for when there are none.
Equation (9) is used to analyze the relationship between images of the left () and right () lobes of a lung, whereas Equation (8) analyzes the relationship among images of the chest X-ray (, ). The graph = (V, E), where the vertex V stands for the lung lobes and the edge ∈ E stands for the similarity between the graph vertex V, represents the structural relationship between the lung lobes of a chest X-ray. To compute the structural relationship between a randomly selected pair of images, and , randomly from the input chest X-ray images X, we use a graph = (V, E), where the graph nodes V denote the images in a mini-batch of the network and the edges ∈ E denote the similarity of graph nodes V. d(∗) in both (8) and (9) is the distance metric function, which is the Euclidean distance.
Overall, graphical models can be powerful tools in weakly supervised segmentation, as they provide a flexible framework for modeling the spatial structure and incorporating prior knowledge, which can lead to more accurate and robust segmentation results. However, like any other method, they have certain limitations [,]. The approach often requires initialization, such as the selection of seeds or superpixels, to start the segmentation process. The performance of these methods can be sensitive to the quality of the initialization, which may affect the accuracy and robustness of the segmentation results. Choosing the optimal initialization can be challenging and may require trial and error or expert knowledge. It can also be computationally expensive, especially when dealing with large datasets, due to the iterative nature of graph-based optimization algorithms. This can limit their scalability to handle large-scale datasets or real-time applications, as they may require significant computational resources and time. Hence, it is important to consider these limitations when using graph-based weakly supervised segmentation methods and choose appropriate techniques or strategies to mitigate them depending on the specific application requirements and constraints.
5.3. Variants of Multiple-Instance Learning (MIL) for Weakly Supervised Segmentation
In image classification tasks, unless the region of interest is specified, the entire image is represented by a single-class label. For example, a CXR image may be labeled as “consolidation” even though only a small portion of the image contains consolidation. Multiple-instance learning (MIL) is a machine learning approach that can be used to address this challenge. MIL models learn to predict a class label for a bag of pixels, where each pixel is an instance. The model also learns to identify which pixels in the bag contributed to the prediction of the class label []. This information can be used to produce segmentation masks, which can help to identify the specific areas of an image that belong to a particular class.
Each image is a bag of pixels with a label , where n is the number of pixels in a bag, , and k indicates the kth bag in the image. The bag may belong to multiple categories at the same time. Hence, the bag can have multiple labels, . The bag probability in the MIL context must be permutation-invariant, which means that the order of the pixels in the bag does not matter. The model is only interested in the presence or absence of certain patterns in the bag, not the order in which the patterns appear [].
A method developed by Li et al. [] involves partitioning a picture into a set of m patches, after which the ith image will become = { , ,…, }, where m = PxP as we will have grids with P sizes. Each patch in the input image receives a probability score according to the entire model. To identify the active patches from the non-activated ones, the score threshold is constructed. The jth patch in the ith image belongs to the localization for class c if the probability scores are greater than .
Although it can help provide semantic segmentation with image-level labeling (bag label), it fails to model the interactions between superpixels, which is crucial for smoothing superpixel labels. The other weakness of this weakly supervised segmentation method is the low descriptive pairwise potentials, resulting in many ambiguous segment boundaries. The authors in [] utilized the fundamental architecture of the Semantic Texton Forest (STF) [] and extended it for the multiple-instance learning method. The authors in [] tried to use an attention-based mechanism to provide insight into the contribution of each instance to the bag label.
5.4. Weak Localization by Extracting Visualization from Classification Task
The approaches that are primarily used for visualization but also utilized for localization will be covered in this section. Occlusion sensitivity [], saliency maps [], class activation maps (CAMs) [], gradient-weighted class activation maps (Grad-CAMs) [], Grad-CAM++ [], Score-CAM [], class-selective relevance maps (CRMs) [], and attention networks [] are the most commonly used visualization techniques for the localization of pulmonary TB in chest X-rays (CXRs), as summarized in Table 3. In addition, these techniques have been used in interpreting the reasoning behind the output of complex black-box models designed for medical fields [,,].

Table 3.
Summary of the visualization techniques.
5.4.1. Occlusion Sensitivity
In occlusion sensitivity [], by methodically covering various areas of the input image with a gray square box and observing the classifier’s output, an attempt is made to determine the contribution of an image portion to the classifier’s output. The occluded region has a significant impact on the prediction if the classifier’s output decreases as a result of covering the region by the box. However, occlusion can be costly if the input image size is high and the box size is small. In the study conducted by M.T. Islam et al. [], the localization of pulmonary TB manifestation in CXRs is acquired by taking advantage of a classifier model’s occlusion sensitivity.
5.4.2. Saliency Map
As opposed to the occlusion sensitivity method, which disturbs squares of the image, the saliency map [] approach perturbs each and every pixel. In the research work published by F. Pas et al. [], saliency map localization techniques were used to visualize and localize pulmonary TB manifestations in chest X-ray images. In the saliency map, the feature visualization is performed by taking the class score gradient with respect to the input image (Equation (10)) and back-propagating the gradient through the model back to the first layer of the model. It will produce an activation class that depicts the degree to which a pixel contributed to the class score. Pixel attribution approaches can be exceedingly unstable and unreliable since even very small changes to the image could lead to entirely different pixels being highlighted as explanations even though they still produce the same prediction.
Given an image , a class c, and a classification score , which is the output of the classifier model, the will calculate the attribution of the pixels of on the class score .
5.4.3. Class Activation Map (CAM)
The CAM [] does not employ a gradient like a saliency map. The weights of the contribution of feature maps to the class score are calculated using global average pooling (GAP) []. Global average pooling outputs the spatial average of each feature map unit in the final convolutional layer (Equation (11)). The final output is produced by adding the weighted sum of the GAP values (Equation (12)). Similarly, class activation maps are constructed from a weighted sum of the feature maps (Equation (13)). Multiple previously reported works have incorporated CAM-based localization. In [], after the abnormality of CXRs was checked, the author performed further classification to identify the manifestations of pulmonary TB in the abnormal CXR images. Then, the author used a CAM to localize the suspicious disease area on the images. The biggest drawback of the CAM is that it is architecture-sensitive, necessitating the use of a global pooling layer after the convolutional layer of interest.
represents the activation of the k feature map in the last convolutional layer at spatial location (x,y); represents GAP; represents the weight corresponding to class c for unit k; and represents the class activation map for class c.
5.4.4. Grad-CAM (++)
The Grad-CAM [] provides a rough localization map by calculating the gradient of the class score with respect to the final convolutional layer (Equation (14)). Assuming that there are k feature maps in the last convolutional layer, which are represented with , ,…, , the Grad-CAM (Equation (17)) decides the attribution of each of the k feature maps to the class score . Hence, the feature map is weighted with the gradient, and the average over the feature maps is calculated. Finally, the rough heatmap is overlaid over the input image. The Grad-CAM++ [] is an upgraded version of the Grad-CAM with the goal of improving object localization and locating instances of multiple items in a single image. The only difference between the Grad-CAM++ and the Grad-CAM is the calculation of weights , which is given with Equation (14) for the Grad-CAM and Equation (15) for the Grad-CAM++. The Grad-CAM++ is equivalent to the Grad-CAM when = .
The Grad-CAM was suggested in [,] to enable visual localization in determining the area afflicted by tuberculosis from chest X-ray pictures. The authors of [] say that they found saliency maps to be more successful than Grad-CAMs since tuberculosis manifests with small features. The Grad-CAM++ is used in [] for better and more accurate weakly supervised segmentation of tuberculosis from a chest X-ray. The Grad-CAM++ is used to create class activation maps; after that, the heatmaps are thresholded and then refined with a dense conditional random field (CRF) [] to improve the boundaries between various object classes. The author of the paper went beyond providing visual localization and created segmentation masks utilizing post-processing techniques like noise filtering, thresholding, and CRF, and an example of their finding is given in Figure 6.

Figure 6.
The three steps proposed in [] for weakly supervised localization of tuberculosis manifestations in chest X-ray images with the red color representing areas where TB manifestation is highly likely: (a) chest X-ray image; (b) activation map generation with Grad-CAM++; (c) boundary improvements via IRNet; (d) segmentation; and (e) the ground truth where the pneumothorax manifested in the CXR.
The two fundamental problems with gradient-CAM and grad-CAM++ localization are gradient saturation and false confidence. The gradient of the output in relation to feature map activation may appear noisy due to the gradient calculation cost and potential vanishing issues. False confidence is the idea that more input regions that are significant to making decisions are not always produced by activation maps with greater weights.
5.4.5. Score-CAM
The Score-CAM [] eliminates the need for gradient computations by using weights from forward passing scores on the target class. In [], T. Rahman et al., used a Score-CAM and the t-Distributed Stochastic Neighbor Embedding (t-SNE) [] visualization technique to identify the region that contributed the most to the classifications, as depicted in Figure 7. The visual explanation that is based on perturbations is what drives the Score-CAM. However, the author advised masking the highlighted input region to perturb activation maps rather than directly perturbing the input region. The model’s reaction to perturbed input is then used to calculate the weights.

Figure 7.
Score-CAM-based pulmonary TB localization [] with the red color indicating areas where TB manifestation is highly likely: (a–c) show the original chest X-ray; (d–f) show heatmap results without the lung area segmentation; (g–i) show the heatmap result with lung area segmentation.
Given a general function Y = f(X) that takes an input vector X = and produces scalar output Y, for a known baseline input , the contribution of towards Y is the change in the output by replacing the ith entry in with (Equation (18)).
where is a vector with the same shape as but for each entry in , = X [i = j], and ⊙ denotes an element wise product.
Hence, for a CNN model Y = f(X) takes an input X and outputs a scalar Y, by picking the convolutional layer l in f and the corresponding activation as A, for a known baseline input , and the contribution towards Y is defined in Equation (19).
where can be calculated with Equation (20), which up-samples into the input size with Up(·) and normalizes each element in the input matrix into [0, 1] using s(·).
5.4.6. Class-Selective Relevance Map (CRM)
The CRM was first introduced in [] for providing a visual interpretation of CNN predictions in classifying medical images. Later on, it was used for pulmonary TB localization [,]. The CRM locates the most discriminating ROI in the input image by determining the significance of the activation of the feature maps at the last convolutional layer of a CNN model at a spatial point (x,y). The prediction scores (Equation (21)) are first calculated for each output node, and then the prediction scores (l,m) (Equation (22)) are calculated for each output node once the spatial element (l,m) in the feature maps from the last convolutional layer has been removed.
The CRM (Equation (23)) is then described as a linear sum of the incremental MSE between and computed from each node in the model’s output layer. An important component in the feature maps from the final convolution layer would maximize the difference between these prediction scores by both making a positive contribution to raising the prediction score at the output node representing the desired class and a negative contribution to lowering it at the other output nodes.
5.4.7. GSInquire
GSInquire [] uses an inquisitor to probe a set of vertices and edges from a network and observes the responses in order to generate an interpretation of the network’s decision-making process. It was discovered to offer explanations that more accurately reflect the decision-making behavior of deep neural networks and identify critical factors that are quantitatively critical to the decision-making process instead of relative heatmaps []. In [], A. Wong et al. utilized GSInquire to provide a visual explanation and localization of the region affected by pulmonary TB. The radiologist validation process involved comparing these highlighted regions with how the radiologist interpreted the cases, and it was found that in they were similar in all cases.
5.4.8. Attention Mechanism
In CNNs, only local information from the input is used to calculate the output, which may introduce bias because global information is not considered. Additionally, there are potentially simplistic solutions to the issue, such as utilizing more convolution layers or applying multiple-receptive field [,,,] techniques in deeper networks. Although the outcomes are not noticeably improved, the computational overhead increases. A spatial CNN with an attention mechanism that focuses on the relationships between the critical features on the full input patch and the physically close pixels has been proposed in [,,,,]. For the localization of PTB pathology in the chest X-ray, several attention map mechanisms have been put forth in [,,,,,,].
S. Sedai et al. [] utilized DenseNet blocks as a base network and developed a classification and attention CNN that combines the intermediate feature maps using learned layer relevance weights, as depicted in Figure 8. The intermediate feature maps are combined by CNN (C-CNN) utilizing learned layer relevance weights. The multiscale attention map is computed using the attention CNN (A-CNN) employing feature maps and learned layer relevance weights.

Figure 8.
A framework proposed in [] for localizing chest X-ray pathology.
A contrast-induced attention network (CIA-Net) is presented in the paper [] to take advantage of the highly structured nature of chest X-ray images and pinpoint TB consistent regions using contrastive learning on aligned positive and negative samples. Additionally, the author includes an alignment module that can be trained to correct all of the input images, which minimizes scale, angle, and displacement changes in X-ray images acquired with subpar scan settings. According to the author, the attention module is forced to concentrate on anomalies as a result. The CIA-Net consists of two branches, as illustrated in Figure 9. The first branch extracts a feature map for a positive image while the second takes both the positive and the negative images as a pair of input and extract attention maps and , respectively. The absolute difference = is calculated and it is used as a spatial attention map. The weighted feature map (WFM) obtained from and is given in Equation (24), where stands for the kth weight in and stands for the kth grid in .

Figure 9.
A contrast-induced attention network for chest X-ray diagnosis [].
There are two different kinds of loss functions used in the study. When there is bounding box annotation, one type of loss function is applied; when there is no annotation at all, the other type is applied. If the grid in the feature map overlaps the projected ground truth box in an image with bounding box annotations, the grid is labeled with 1; otherwise, it is labeled with 0. As a result, a binary cross-entropy loss given in Equation (25) is used for each grid, where k, i, and j are the indexes of classes, datasets, and grids, respectively. denotes the target label of the grid and denotes the predicted probability of the grid. For images with only image-level annotations, the MIL loss suggested in [] is applied, as given in Equation (26), where denotes the target label of the image.
5.5. Seeding-Based Weakly Supervised Segmentation
Classification neural networks can produce weak object localization (seed cues). However, they cannot predict the precise spatial extent of objects. Most of the works regarding the generation of seed cues rely on prediction gradients with respect to the input data from a trained classifier []. Some studies propose to train GAP-based classifiers [] without dealing with gradient calculation. A process that generates cues of object localization in [] is called weak localization. Even though localization cues cannot serve as complete and accurate segmentation masks, they can significantly benefit the weakly supervised segmentation network. The work in [] aimed at training a convolutional neural network , parameterized by , that models the conditional probability of observing any label c∈C at any location u∈ {1, 2,…, n}, i.e., . A method for determining parameters, , for the segmentation neural network depends on minimizing a three-term loss function. The first term () provides the localization hint to the model; the second term () penalizes the model for wrong object prediction and too small segmentation masks. Finally, the third term () encourages segmentation that respects the spatial and color structure of the images.
In [], the author proposed an easy-to-hard principle that masters knowledge with increasing difficulty. A model is first trained on easy samples and then on more difficult samples. This principle is called curriculum learning []. It begins with a CAM creating a heatmap for the TB consistent region. The heatmap is then refined using attention-guided iterative refinement. The addition of heatmap regression forces the learning of superior convolutional features under the guidance of attention and produces more accurate heatmaps. This is because the heatmap regression loss (Equation (27)) penalizes the model for predicting incorrect heatmaps.
First, the seed attention map from the previous iteration () and the heatmap produced by the current network () are subtracted from each other, where c is the positive disease category, . Then, as shown in Equation (28), smooth losses are imposed over the feature channel. The total loss value will be calculated by adding all of the losses over the feature channel D, where .
The final objective function that needs to be optimized is given in Equation (29). It combines the sigmoid cross-entropy loss for multilabel classification () and the heatmap regression loss () for localization. If an image (I) has a seed for a disease category c ∈ C, then = 1; otherwise, 0. The classification and regression losses are balanced using to make both losses make roughly equal contributions.
The equations above show that there are situations where there are no seeds. This is because the seeds (abbreviated as S) are only harvested from severe and moderate illness severity levels, where the outward manifestations of the illness are more easily distinguishable than in mild cases.
6. Discusion
Using the search strategies described in Section 3.2, we extracted several relevant scholarly works focusing on the weakly supervised localization and segmentation of pulmonary tuberculosis in the CXR images. Among these retrieved scholarly articles, thirty-five (35) papers were selected by applying the inclusion and exclusion criteria shown in Table 1. Summaries of these papers in terms of the publication year and techniques employed are provided in Figure 10 and Figure 11, respectively.

Figure 10.
The number of research papers published from 2017 to 2023.

Figure 11.
The number of research papers in terms of the techniques used for the weak localization of PTB in a chest X-ray image.
Semantic segmentation can assist physicians by localizing diseased areas and determining the region of interest in a chest X-ray image. But training a fully supervised algorithm is a challenging task that consumes expert physicians’ time. Hence, weakly supervised segmentation comes to the rescue where there are only image-level labels but not pixel-level labels. In Section 5, we discussed techniques commonly used to perform weak localization and weakly supervised segmentation. In addition, we summarized these techniques and datasets used for the weak localization of PTB in chest X-ray images on Table 4. Most of the works focus on using heatmaps for the visualization and localization of the PTB disease manifestation regions on chest X-ray images and explaining the output of DL models.
We identified five major categories of disease localization methods in studies, including (1) self-training, (2) graphical models, (3) multiple-instance learning, (4) weak localization by extraction of visualization from classification task, and (5) seeding-based weakly supervised segmentation. The studies in [,,,,,,] proposed approaches that are clear, robust, and efficient in detecting tuberculosis-consistent regions. These methods utilize bounding boxes to improve their performance and present their results using the intersection over the bounding box (IoBB) metric over the ChestX-ray8 and ChestX-ray14 datasets. The multiple-instance learning in [] and the hierarchical attention in [] achieve state-of-the-art performances with 78% and 85% accuracy at T(IoBB) = 0.1, respectively, where T(*) is the threshold. So, the localization is correct when the IoBB exceeds the T(IoBB).
The performance of weakly supervised segmentation techniques can be enhanced by incorporating additional information sources, self-supervised learning techniques in the pipeline, iterative or multistage procedures, regularization techniques, dealing with noise and low-quality data, and fine-tuning the model architecture. Most notably, addressing noise and poor data quality is critical in improving poor localization performance. Pre-processing techniques, such as data cleaning, noise reduction, and data augmentation, can assist in reducing the influence of noisy or low-quality data on segmentation outcomes.
Integrating additional sources of information and domain-specific knowledge can also help to improve the accuracy of segmentation results. For example, implementing image-level labels and bounding box annotations can provide complementary information and lead to more accurate segmentation results. Iterative or multistage approaches that involve refining the initial segmentation result in multiple iterations or stages can also improve the segmentation result. For example, using an initial weakly supervised segmentation as a starting point and then refining it with additional steps, such as post-processing techniques or fine-tuning with a small amount of labeled data, can help improve the accuracy of the final segmentation results. In addition, proposing new model architectures or modifying existing ones can enhance the performance of weakly supervised segmentation. Furthermore, regularization techniques, such as spatial regularization or consistency regularization, can help improve the robustness and accuracy of weakly supervised segmentation.
These strategies encourage smoothness and consistency in anticipated segmentation maps, resulting in more accurate results. However, it is crucial to note that the efficiency of these strategies may vary depending on the dataset, challenge, and weakly supervised segmentation approach used. So, rigorous experimentation and the study of the weak localization results aid in identifying the most effective ways for enhancing weakly supervised segmentation.

Table 4.
Summary of Reviewed Papers.
Table 4.
Summary of Reviewed Papers.
Author and Year | Dataset | Method |
---|---|---|
Wang et al., 2017 [] | ChestX-ray8 | CAM with Log-Sum-Exp (LSE) [] |
Islam et al., 2017 [] | Indiana, JSRT, and Shenzhen datasets | Occlusion sensitivity [] |
Seda et al., 2018 [] | ChestX-ray14 | Multiscale attention map and layer relevance weights |
Li et al., 2018 [] | ChestX-ray14 | Multiple-instance learning (MIL) [] |
Liu et al., 2018 [] | Shenzhen, Montgomery, and 2443 frontal chest X-rays from Huiying Medical Technology | CAM [] |
Tang et al., 2018 [] | ChestX-ray14 | CAM [] with attention-guided iterative refinement |
Wang et al., 2018 [] | ChestX-ray14, Indiana | Multilevel attentions and saliency-weighted global average pooling |
Zhou et al., 2018 [] | ChestX-ray14 | Adaptive DenseNet |
Pas et al., 2019 [] | Belarus Tuberculosis Portal, Montgomery, Shenzhen and NIH CXR datasets | Saliency maps [] and grad-CAMs [] |
Liu et al., 2019 [] | ChestX-ray14 | Attention networks |
Rahman et al., 2019 [] | NLM, Belarus, NIAID TB, and RSNA datasets | Score-CAM [] and t-Distributed Stochastic Neighbor Embedding (t-SNE) [] |
Guo and Passi, 2020 [] | Shenzhen and the NIH CXR dataset | Class activation map (CAM) [] |
Singh et al., 2020 [] | The posteroanterior CXRs from Christian Medical College in Vellore, India | Multiscale attention map |
Ouyang et al., 2020 [] | NIH ChestX-ray14 and CheXpert datasets | Hierarchical attention network [] |
Chandra et al., 2020 [] | Montgomery | Fuzzy C-Means (FCM) and K-Means (KM) |
Viniavskyi, Dobko, and Dobosevych, 2020 [] | SIIM-ACRPneumothorax | Grad-CAM++ [], conditional random fields (CRF) [], and inter-pixel relation network (IRNet) [] |
Rajaraman et al., 2021 [] | TBX11K CXR dataset | Saliency maps and a CRM-based localization algorithm [] |
Mamalakis et al., 2021 [] | Pediatric CXR and Shenzhen | Heatmaps [] |
Qi et al., 2021 [] | Chest-Xray14 | Graph-Regularized Embedding Network (GREN) |
Wong et al., 2022 [] | NLM, Belarus, NIAID TB, and RSNA datasets | Visual attention condensers [] and GSInquire [] |
Rajaraman et al., 2022 [] | The dataset contains 224,316 CXRs collected from 65,240 patients at the Stanford University Hospital in California. | Class-selective relevance maps (CRMs) [] |
Nafisah and Muhammad, 2022 [] | Montgomery, Shenzhen, and Belarus CXH datasets | Grad-CAM [] and t-SNE visualization technique [] |
Bhandari et al., 2022 [] | Shenzhen, Montgomery, and Belarus datasets | LIME [], SHAP [], and Grad-CAM [] |
Mehrotra et al., 2022 [] | Indiana, Shenzhen, and Montgomery | Class activation map (CAM) [] |
Zhou et al., 2022 [] | Shenzhen and Montgomery | Heatmap |
Rajaraman et al., 2022 [] | CheXpert CXR and PadChest CXR datasets | Class-selective relevance maps (CRMs) [], and attention maps [] |
Visuña et al., 2022 [] | COVID-QU-Ex, NIAID, Belarus, RSNA Pneumonia, Shenzhen, and Montgomery | Grad-CAM [] |
Prasitpuriprecha et al., 2022 [] | Shenzhen and Montgomery | Grad-CAMs [] |
Souza et al., 2022 [] | Chest-Xray14 | CAM refined with PCM [] |
Malik et al., 2022 [] | RSNA, Chest-Xray14, and other COVID-19 CXRs | Grad-CAMs [] |
Tsai et al., 2022 [] | Montgomery, Shenzhen, Tbx11k, and Belarus | Grad-CAMs [] |
Li et al., 2022 [] | CheXpert | GL-MLL |
Pan et al., 2022 [] | In addition to TBX11K, the author also prepared TBX-Att dataset from TBX11K | Multihead cross attention with attribute reasoning |
Kazemzadeh et al., 2023 [] | Indiana, Shenzhen, Montgomery, and other data collected from different countries | Grad-CAMs [] |
7. Conclusions
This work identified the most recent weakly supervised semantic segmentation techniques and how these methods have been used for localizing pulmonary tuberculosis from chest X-ray images. To meet this objective, we developed search strategies based on the identified research questions. We used six online search databases to find the works that address the research questions and meet the selection criteria indicated in Table 1. After rigorously searching and applying the selection criteria, we identified 35 research articles published between 2017 and 2023. These investigations allowed us to identify five commonly used methods for weakly supervised localization: self-training, graphical models, MIL variations, visualization, and seeding-based weakly supervised segmentation. Most studies on the localization of pulmonary tuberculosis rely on a visualization technique where the area that contributes the most to categorization should also be the area that indicates TB. Gradient-based methods, such as the Grad-CAM, occlusion sensitivity, and the CRM, are used to visualize data. In addition, non-gradient techniques, such as the CAM, the Score-CAM, and attention maps, aid the visualization.
In conclusion, the promising results thus far suggest that it is possible to localize radiographic manifestations of pulmonary tuberculosis in a chest X-ray without pixel-level annotation. Furthermore, we have seen that providing a pixel-level annotation for a few data samples can improve weak localization results. As a result, weak localization reduces the cost of hiring a medical expert and the time required for data annotation. However, there is a decrease in detection performance compared to fully supervised semantic segmentation. Some techniques can only provide heatmaps, making it difficult to obtain accurate semantic segmentation. Even when using additional steps to obtain semantic segmentation, the accuracy is far below that of fully supervised semantic segmentation. In addition, weakly supervised segmentation algorithms might not be able to accurately identify regions of interest if the dataset is highly noisy and of low quality. Improving data quality through gathering high-quality data or employing pre-processing techniques can help to mitigate some of the challenges posed by weak localization algorithms. Finally, designing a robust and efficient algorithm is crucial in accurately localizing pulmonary tuberculosis manifestations in chest X-rays without pixel-level annotation.
Author Contributions
Conceptualization, D.W.F. and Y.M.A.; methodology, D.W.F. and Y.M.A.; validation, F.S. and T.G.D.; writing—D.W.F.; writing—review and editing, Y.M.A., T.G.D. and F.S. All authors have read and agreed to the published version of the manuscript.
Funding
This research received no external funding.
Institutional Review Board Statement
Not applicable.
Informed Consent Statement
Not applicable.
Data Availability Statement
Not applicable.
Conflicts of Interest
The authors declare no conflict of interest.
References
- Chakaya, J.; Khan, M.; Ntoumi, F.; Aklillu, E.; Fatima, R.; Mwaba, P.; Kapata, N.; Mfinanga, S.; Hasnain, S.E.; Katoto, P.D.; et al. Global Tuberculosis Report 2020–Reflections on the Global TB burden, treatment and prevention efforts. Int. J. Infect. Dis. 2021, 113, S7–S12. [Google Scholar] [CrossRef]
- Chakaya, J.; Petersen, E.; Nantanda, R.; Mungai, B.N.; Migliori, G.B.; Amanullah, F.; Lungu, P.; Ntoumi, F.; Kumarasamy, N.; Maeurer, M.; et al. The WHO Global Tuberculosis 2021 Report–not so good news and turning the tide back to End TB. Int. J. Infect. Dis. 2022, 124, S26–S29. [Google Scholar] [CrossRef]
- Vonasek, B.; Ness, T.; Takwoingi, Y.; Kay, A.W.; van Wyk, S.S.; Ouellette, L.; Marais, B.J.; Steingart, K.R.; Mandalakas, A.M. Screening tests for active pulmonary tuberculosis in children. Cochrane Database Syst. Rev. 2021. [Google Scholar] [CrossRef]
- World Health Organization. WHO Operational Handbook on Tuberculosis: Module 2: Screening: Systematic Screening for Tuberculosis Disease; World Health Organization: Geneva, Switzerland, 2021.
- van’t Hoog, A.H.; Meme, H.K.; Laserson, K.F.; Agaya, J.A.; Muchiri, B.G.; Githui, W.A.; Odeny, L.O.; Marston, B.J.; Borgdorff, M.W. Screening strategies for tuberculosis prevalence surveys: The value of chest radiography and symptoms. PLoS ONE 2012, 7, e38691. [Google Scholar] [CrossRef] [PubMed]
- Hoog, A.; Langendam, M.; Mitchell, E.; Cobelens, F.; Sinclair, D.; Leeflang, M.; Lonnroth, K. A Systematic Review of the Sensitivity and Specificity of Symptom and Chest Radiography Screening for Active Pulmonary Tuberculosis in HIV-Negative Persons and Persons with Unknown HIV Status; World Health Organization: Geneva, Switzerland, 2013. [CrossRef]
- Steingart, K.R.; Sohn, H.; Schiller, I.; Kloda, L.A.; Boehme, C.C.; Pai, M.; Dendukuri, N. Xpert® MTB/RIF assay for pulmonary tuberculosis and rifampicin resistance in adults. Cochrane Database Syst. Rev. 2013. [Google Scholar] [CrossRef]
- Nachiappan, A.C.; Rahbar, K.; Shi, X.; Guy, E.S.; Mortani Barbosa, E.J., Jr.; Shroff, G.S.; Ocazionez, D.; Schlesinger, A.E.; Katz, S.I.; Hammer, M.M. Pulmonary tuberculosis: Role of radiology in diagnosis and management. Radiographics 2017, 37, 52–72. [Google Scholar] [CrossRef] [PubMed]
- Lyon, S.M.; Rossman, M.D. Pulmonary tuberculosis. Microbiol. Spectr. 2017, 5, 1–5. [Google Scholar] [CrossRef]
- Gaillard, F.; Cugini, C. Tuberculosis (pulmonary manifestations). Available online: https://radiopaedia.org/articles/tuberculosis-pulmonary-manifestations-1?lang=us (accessed on 18 January 2023). [CrossRef]
- Caws, M.; Marais, B.; Heemskerk, D.; Farrar, J. Tuberculosis in Adults and Children; Springer Nature: The Hague, The Netherlands, 2015. [Google Scholar]
- Al Ubaidi, B. The radiological diagnosis of pulmonary tuberculosis (TB) in primary care. RadioPaedia 2018, 4, 73. [Google Scholar]
- Bindhu, V. Biomedical image analysis using semantic segmentation. J. Innov. Image Process. JIIP 2019, 1, 91–101. [Google Scholar]
- Hady, M.F.A.; Schwenker, F. Semi-supervised Learning. In Handbook on Neural Information Processing; Bianchini, M., Maggini, M., Jain, L.C., Eds.; Intelligent Systems Reference Library; Springer: Berlin/Heidelberg, Germany, 2013; Volume 49, pp. 215–239. [Google Scholar] [CrossRef]
- Schwenker, F.; Trentin, E. Pattern classification and clustering: A review of partially supervised learning approaches. Pattern Recognit. Lett. 2014, 37, 4–14. [Google Scholar] [CrossRef]
- Schwenker, F.; Trentin, E. Partially supervised learning for pattern recognition. Pattern Recognit. Lett. 2014, 37, 1–3. [Google Scholar] [CrossRef]
- Huang, H.; Lin, L.; Tong, R.; Hu, H.; Zhang, Q.; Iwamoto, Y.; Han, X.; Chen, Y.W.; Wu, J. Unet 3+: A full-scale connected unet for medical image segmentation. In Proceedings of the ICASSP 2020—2020 IEEE International Conference on Acoustics, Speech and Signal Processing (ICASSP), Barcelona, Spain, 4–8 May 2020; pp. 1055–1059. [Google Scholar]
- Biratu, E.S.; Schwenker, F.; Ayano, Y.M.; Debelee, T.G. A survey of brain tumor segmentation and classification algorithms. J. Imaging 2021, 7, 179. [Google Scholar] [CrossRef] [PubMed]
- Li, X.; Chen, H.; Qi, X.; Dou, Q.; Fu, C.W.; Heng, P.A. H-DenseUNet: Hybrid densely connected UNet for liver and tumor segmentation from CT volumes. IEEE Trans. Med. Imaging 2018, 37, 2663–2674. [Google Scholar] [CrossRef] [PubMed]
- Asgari Taghanaki, S.; Abhishek, K.; Cohen, J.P.; Cohen-Adad, J.; Hamarneh, G. Deep semantic segmentation of natural and medical images: A review. Artif. Intell. Rev. 2021, 54, 137–178. [Google Scholar] [CrossRef]
- Soomro, T.A.; Zheng, L.; Afifi, A.J.; Ali, A.; Yin, M.; Gao, J. Artificial intelligence (AI) for medical imaging to combat coronavirus disease (COVID-19): A detailed review with direction for future research. Artif. Intell. Rev. 2022, 55, 1409–1439. [Google Scholar] [CrossRef]
- Debelee, T.G.; Schwenker, F.; Rahimeto, S.; Yohannes, D. Evaluation of modified adaptive k-means segmentation algorithm. Comput. Vis. Media 2019, 5, 2. [Google Scholar] [CrossRef]
- Liu, L.; Wu, F.X.; Wang, Y.P.; Wang, J. Multi-receptive-field CNN for semantic segmentation of medical images. IEEE J. Biomed. Health Inform. 2020, 24, 3215–3225. [Google Scholar] [CrossRef]
- Biratu, E.S.; Schwenker, F.; Debelee, T.G.; Kebede, S.R.; Negera, W.G.; Molla, H.T. Enhanced region growing for brain tumor MR image segmentation. J. Imaging 2021, 7, 22. [Google Scholar] [CrossRef]
- Feyisa, D.W.; Debelee, T.G.; Ayano, Y.M.; Kebede, S.R.; Assore, T.F. Lightweight Multireceptive Field CNN for 12-Lead ECG Signal Classification. Comput. Intell. Neurosci. 2022, 2022, 8413294. [Google Scholar] [CrossRef]
- Wang, R.; Lei, T.; Cui, R.; Zhang, B.; Meng, H.; Nandi, A.K. Medical image segmentation using deep learning: A survey. IET Image Process. 2022, 16, 1243–1267. [Google Scholar] [CrossRef]
- Soomro, T.A.; Zheng, L.; Afifi, A.J.; Ali, A.; Soomro, S.; Yin, M.; Gao, J. Image segmentation for MR brain tumor detection using machine learning: A Review. IEEE Rev. Biomed. Eng. 2022, 16, 70–90. [Google Scholar] [CrossRef] [PubMed]
- Çallı, E.; Sogancioglu, E.; van Ginneken, B.; van Leeuwen, K.G.; Murphy, K. Deep learning for chest X-ray analysis: A survey. Med. Image Anal. 2021, 72, 102125. [Google Scholar] [CrossRef] [PubMed]
- Santosh, K.; Allu, S.; Rajaraman, S.; Antani, S. Advances in Deep Learning for Tuberculosis Screening using Chest X-rays: The Last 5 Years Review. J. Med. Syst. 2022, 46, 82. [Google Scholar] [CrossRef] [PubMed]
- Singh, M.; Pujar, G.V.; Kumar, S.A.; Bhagyalalitha, M.; Akshatha, H.S.; Abuhaija, B.; Alsoud, A.R.; Abualigah, L.; Beeraka, N.M.; Gandomi, A.H. Evolution of machine learning in tuberculosis diagnosis: A review of deep learning-based medical applications. Electronics 2022, 11, 2634. [Google Scholar] [CrossRef]
- Cenggoro, T.W.; Pardamean, B. Systematic Literature Review: An Intelligent Pulmonary TB Detection from Chest X-rays. In Proceedings of the 2021 1st International Conference on Computer Science and Artificial Intelligence (ICCSAI), Jakarta, Indonesia, 28 October 2021; Volume 1, pp. 136–141. [Google Scholar]
- Feng, Y.; Teh, H.S.; Cai, Y. Deep learning for chest radiology: A review. Curr. Radiol. Rep. 2019, 7, 24. [Google Scholar] [CrossRef]
- Ouyang, X.; Xue, Z.; Zhan, Y.; Zhou, X.S.; Wang, Q.; Zhou, Y.; Wang, Q.; Cheng, J.Z. Weakly supervised segmentation framework with uncertainty: A study on pneumothorax segmentation in chest X-ray. In Proceedings of the International Conference on Medical Image Computing and Computer-Assisted Intervention, Shenzhen, China, 13–17 October 2019; pp. 613–621. [Google Scholar]
- Rethlefsen, M.L.; Kirtley, S.; Waffenschmidt, S.; Ayala, A.P.; Moher, D.; Page, M.J.; Koffel, J.B. PRISMA-S: An extension to the PRISMA statement for reporting literature searches in systematic reviews. Syst. Rev. 2021, 10, 39. [Google Scholar] [CrossRef]
- Brennan, S.E.; Munn, Z. PRISMA 2020: A reporting guideline for the next generation of systematic reviews. JBI Evid. Synth. 2021, 19, 906–908. [Google Scholar] [CrossRef]
- Rosenthal, A.; Gabrielian, A.; Engle, E.; Hurt, D.E.; Alexandru, S.; Crudu, V.; Sergueev, E.; Kirichenko, V.; Lapitskii, V.; Snezhko, E.; et al. The TB portals: An open-access, web-based platform for global drug-resistant-tuberculosis data sharing and analysis. J. Clin. Microbiol. 2017, 55, 3267–3282. [Google Scholar] [CrossRef]
- Liu, Y.; Wu, Y.H.; Ban, Y.; Wang, H.; Cheng, M.M. Rethinking computer-aided tuberculosis diagnosis. In Proceedings of the IEEE/CVF Conference on Computer Vision and Pattern Recognition, Seattle, WA, USA, 13–19 June 2020; pp. 2646–2655. [Google Scholar]
- Jaeger, S.; Candemir, S.; Antani, S.; Wáng, Y.X.J.; Lu, P.X.; Thoma, G. Two public chest X-ray datasets for computer-aided screening of pulmonary diseases. Quant. Imaging Med. Surg. 2014, 4, 475. [Google Scholar]
- Chauhan, A.; Chauhan, D.; Rout, C. Role of gist and PHOG features in computer-aided diagnosis of tuberculosis without segmentation. PLoS ONE 2014, 9, e112980. [Google Scholar] [CrossRef]
- Irvin, J.; Rajpurkar, P.; Ko, M.; Yu, Y.; Ciurea-Ilcus, S.; Chute, C.; Marklund, H.; Haghgoo, B.; Ball, R.; Shpanskaya, K.; et al. Chexpert: A large chest radiograph dataset with uncertainty labels and expert comparison. In Proceedings of the AAAI Conference on Artificial Intelligence, Honolulu, HI, USA, 27 January–1 February 2019; Volume 33, pp. 590–597. [Google Scholar]
- Nguyen, H.Q.; Lam, K.; Le, L.T.; Pham, H.H.; Tran, D.Q.; Nguyen, D.B.; Le, D.D.; Pham, C.M.; Tong, H.T.; Dinh, D.H.; et al. Vindr-cxr: An open dataset of chest X-rays with radiologist’s annotations. Sci. Data 2022, 9, 429. [Google Scholar] [CrossRef] [PubMed]
- Johnson, A.E.; Pollard, T.J.; Berkowitz, S.J.; Greenbaum, N.R.; Lungren, M.P.; Deng, C.y.; Mark, R.G.; Horng, S. MIMIC-CXR, a de-identified publicly available database of chest radiographs with free-text reports. Sci. Data 2019, 6, 317. [Google Scholar] [CrossRef] [PubMed]
- Demner-Fushman, D.; Kohli, M.D.; Rosenman, M.B.; Shooshan, S.E.; Rodriguez, L.; Antani, S.; Thoma, G.R.; McDonald, C.J. Preparing a collection of radiology examinations for distribution and retrieval. J. Am. Med. Inform. Assoc. 2016, 23, 304–310. [Google Scholar] [CrossRef] [PubMed]
- Wang, X.; Peng, Y.; Lu, L.; Lu, Z.; Bagheri, M.; Summers, R.M. ChestX-ray8: Hospital-scale chest X-ray database and benchmarks on weakly-supervised classification and localization of common thorax diseases. In Proceedings of the IEEE Conference on Computer Vision and Pattern Recognition, Honolulu, HI, USA, 21–26 July 2017; pp. 2097–2106. [Google Scholar]
- Kaggle. Chest X-ray Images (Pneumonia), 2018. Available online: https://www.kaggle.com/datasets/paultimothymooney/chest-xray-pneumonia (accessed on 23 January 2023).
- Bustos, A.; Pertusa, A.; Salinas, J.M.; de la Iglesia-Vayá, M. Padchest: A large chest X-ray image dataset with multi-label annotated reports. Med. Image Anal. 2020, 66, 101797. [Google Scholar] [CrossRef]
- Van Ginneken, B.; Stegmann, M.B.; Loog, M. Segmentation of anatomical structures in chest radiographs using supervised methods: A comparative study on a public database. Med. Image Anal. 2006, 10, 19–40. [Google Scholar] [CrossRef]
- Kaggle. RSNA Pneumonia Detection Challenge, 2015. Available online: https://www.kaggle.com/c/rsna-pneumonia-detection-challenge (accessed on 27 April 2022).
- Rahman, T.; Khandakar, A.; Kadir, M.A.; Islam, K.R.; Islam, K.F.; Mazhar, R.; Hamid, T.; Islam, M.T.; Kashem, S.; Mahbub, Z.B.; et al. Reliable tuberculosis detection using chest X-ray with deep learning, segmentation and visualization. IEEE Access 2020, 8, 191586–191601. [Google Scholar] [CrossRef]
- Faußer, S.; Schwenker, F. Semi-supervised clustering of large data sets with kernel methods. Pattern Recognit. Lett. 2014, 37, 78–84. [Google Scholar] [CrossRef]
- Amini, M.R.; Feofanov, V.; Pauletto, L.; Devijver, E.; Maximov, Y. Self-Training: A Survey. arXiv 2022, arXiv:2202.12040. [Google Scholar]
- Schwenker, F.; Trentin, E. (Eds.) Partially Supervised Learning—First IAPR TC3 Workshop, PSL 2011, Ulm, Germany, September 15–16, 2011, Revised Selected Papers. In Lecture Notes in Computer Science; Springer: Berlin/Heidelberg, Germany, 2012; Volume 7081. [Google Scholar] [CrossRef]
- Zhou, Z.; Schwenker, F. (Eds.) Partially Supervised Learning—Second IAPR International Workshop, PSL 2013, Nanjing, China, May 13-14, 2013 Revised Selected Papers. In Lecture Notes in Computer Science; Springer: Berlin/Heidelberg, Germany, 2013; Volume 8183. [Google Scholar] [CrossRef]
- Lee, D.H. Pseudo-label: The simple and efficient semi-supervised learning method for deep neural networks. In Proceedings of the Workshop on Challenges in Representation Learning, ICML, Atlanta, GA, USA, 16–21 June 2013; Volume 3, p. 896. [Google Scholar]
- Cong, L.; Ding, S.; Wang, L.; Zhang, A.; Jia, W. Image segmentation algorithm based on superpixel clustering. IET Image Process. 2018, 12, 2030–2035. [Google Scholar] [CrossRef]
- Achanta, R.; Shaji, A.; Smith, K.; Lucchi, A.; Fua, P.; Süsstrunk, S. SLIC superpixels compared to state-of-the-art superpixel methods. IEEE Trans. Pattern Anal. Mach. Intell. 2012, 34, 2274–2282. [Google Scholar] [CrossRef]
- Li, S.Z. Markov Random Field Modeling in Image Analysis; Springer Science & Business Media: Berlin/Heidelberg, Germany, 2009. [Google Scholar]
- Wallach, H.M. Conditional Random Fields: An Introduction; Technical Reports; CIS: Philadelphia, PA, USA, 2004; p. 22. [Google Scholar]
- Zhang, L.; Yang, Y.; Gao, Y.; Yu, Y.; Wang, C.; Li, X. A probabilistic associative model for segmenting weakly supervised images. IEEE Trans. Image Process. 2014, 23, 4150–4159. [Google Scholar] [CrossRef] [PubMed]
- Zhang, L.; Song, M.; Liu, Z.; Liu, X.; Bu, J.; Chen, C. Probabilistic graphlet cut: Exploiting spatial structure cue for weakly supervised image segmentation. In Proceedings of the IEEE Conference on Computer Vision and Pattern Recognition, Portland, OR, USA, 23–28 June 2013; pp. 1908–1915. [Google Scholar]
- Sarajlić, A.; Malod-Dognin, N.; Yaveroğlu, Ö.N.; Pržulj, N. Graphlet-based characterization of directed networks. Sci. Rep. 2016, 6, 35098. [Google Scholar] [CrossRef] [PubMed]
- Dalal, N.; Triggs, B. Histograms of oriented gradients for human detection. In Proceedings of the 2005 IEEE Computer Society Conference on Computer Vision and Pattern Recognition (CVPR’05), San Diego, CA, USA, 20–25 June 2005; Volume 1, pp. 886–893. [Google Scholar]
- Stricker, M.A.; Orengo, M. Similarity of color images. In Proceedings of the Storage and Retrieval for Image and Video Databases III, SPIE, San Diego/La Jolla, CA, USA, 5–10 February 1995; Volume 2420, pp. 381–392. [Google Scholar]
- Qi, B.; Zhao, G.; Wei, X.; Fang, C.; Pan, C.; Li, J.; He, H.; Jiao, L. GREN: Graph-Regularized Embedding Network for Weakly-Supervised Disease Localization in X-ray images. arXiv 2021, arXiv:2107.06442. [Google Scholar] [CrossRef]
- Li, M.; Chen, D.; Liu, S. Weakly supervised segmentation loss based on graph cuts and superpixel algorithm. Neural Process. Lett. 2022, 54, 2339–2362. [Google Scholar] [CrossRef]
- Han, Y.; Cheng, L.; Huang, G.; Zhong, G.; Li, J.; Yuan, X.; Liu, H.; Li, J.; Zhou, J.; Cai, M. Weakly supervised semantic segmentation of histological tissue via attention accumulation and pixel-level contrast learning. Phys. Med. Biol. 2022, 68, 045010. [Google Scholar] [CrossRef]
- Carbonneau, M.A.; Cheplygina, V.; Granger, E.; Gagnon, G. Multiple instance learning: A survey of problem characteristics and applications. Pattern Recognit. 2018, 77, 329–353. [Google Scholar] [CrossRef]
- Quellec, G.; Cazuguel, G.; Cochener, B.; Lamard, M. Multiple-instance learning for medical image and video analysis. IEEE Rev. Biomed. Eng. 2017, 10, 213–234. [Google Scholar] [CrossRef]
- Li, Z.; Wang, C.; Han, M.; Xue, Y.; Wei, W.; Li, L.J.; Fei-Fei, L. Thoracic disease identification and localization with limited supervision. In Proceedings of the IEEE Conference on Computer Vision and Pattern Recognition, Salt Lake City, UT, USA, 18–23 June 2018; pp. 8290–8299. [Google Scholar]
- Vezhnevets, A.; Buhmann, J.M. Towards weakly supervised semantic segmentation by means of multiple instance and multitask learning. In Proceedings of the 2010 IEEE Computer Society Conference on Computer Vision and Pattern Recognition, San Francisco, CA, USA, 13–18 June 2010; pp. 3249–3256. [Google Scholar]
- Shotton, J.; Johnson, M.; Cipolla, R. Semantic texton forests for image categorization and segmentation. In Proceedings of the 2008 IEEE Conference on Computer Vision and Pattern Recognition, Anchorage, AK, USA, 23–28 June 2008; pp. 1–8. [Google Scholar]
- Ilse, M.; Tomczak, J.; Welling, M. Attention-based deep multiple instance learning. In Proceedings of the International Conference on Machine Learning, PMLR, Stockholm, Sweden, 10–15 July 2018; pp. 2127–2136. [Google Scholar]
- Zeiler, M.D.; Fergus, R. Visualizing and understanding convolutional networks. In Proceedings of the European Conference on Computer Vision, Zurich, Switzerland, 6–12 September 2014; pp. 818–833. [Google Scholar]
- Simonyan, K.; Vedaldi, A.; Zisserman, A. Deep inside convolutional networks: Visualising image classification models and saliency maps. arXiv 2013, arXiv:1312.6034. [Google Scholar]
- Zhou, B.; Khosla, A.; Lapedriza, A.; Oliva, A.; Torralba, A. Learning deep features for discriminative localization. In Proceedings of the IEEE Conference on Computer Vision and Pattern Recognition, Las Vegas, NV, USA, 26–30 June 2016; pp. 2921–2929. [Google Scholar]
- Selvaraju, R.R.; Cogswell, M.; Das, A.; Vedantam, R.; Parikh, D.; Batra, D. Grad-cam: Visual explanations from deep networks via gradient-based localization. In Proceedings of the IEEE International Conference on Computer Vision, Venice, Italy, 22–29 October 2017; pp. 618–626. [Google Scholar]
- Chattopadhay, A.; Sarkar, A.; Howlader, P.; Balasubramanian, V.N. Grad-cam++: Generalized gradient-based visual explanations for deep convolutional networks. In Proceedings of the 2018 IEEE Winter Conference on Applications of Computer Vision (WACV), Lake Tahoe, NV, USA, 12–15 March 2018; pp. 839–847. [Google Scholar]
- Wang, H.; Wang, Z.; Du, M.; Yang, F.; Zhang, Z.; Ding, S.; Mardziel, P.; Hu, X. Score-CAM: Score-weighted visual explanations for convolutional neural networks. In Proceedings of the IEEE/CVF Conference on Computer Vision and Pattern Recognition Workshops, Seattle, WA, USA, 14–19 June 2020; pp. 24–25. [Google Scholar]
- Kim, I.; Rajaraman, S.; Antani, S. Visual interpretation of convolutional neural network predictions in classifying medical image modalities. Diagnostics 2019, 9, 38. [Google Scholar] [CrossRef]
- Ding, F.; Yang, G.; Liu, J.; Wu, J.; Ding, D.; Xv, J.; Cheng, G.; Li, X. Hierarchical attention networks for medical image segmentation. arXiv 2019, arXiv:1911.08777. [Google Scholar]
- Ayano, Y.M.; Schwenker, F.; Dufera, B.D.; Debelee, T.G. Interpretable Machine Learning Techniques in ECG-Based Heart Disease Classification: A Systematic Review. Diagnostics 2022, 13, 111. [Google Scholar] [CrossRef] [PubMed]
- Dasanayaka, S.; Shantha, V.; Silva, S.; Meedeniya, D.; Ambegoda, T. Interpretable machine learning for brain tumour analysis using MRI and whole slide images. Softw. Impacts 2022, 13, 100340. [Google Scholar] [CrossRef]
- Bonyani, M.; Yeganli, F.; Yeganli, S.F. Fast and Interpretable Deep Learning Pipeline for Breast Cancer Recognition. In Proceedings of the 2022 Medical Technologies Congress (TIPTEKNO), Antalya, Turkey, 31 October–2 November 2022. [Google Scholar] [CrossRef]
- Islam, M.T.; Aowal, M.A.; Minhaz, A.T.; Ashraf, K. Abnormality detection and localization in chest X-rays using deep convolutional neural networks. arXiv 2017, arXiv:1705.09850. [Google Scholar]
- Pasa, F.; Golkov, V.; Pfeiffer, F.; Cremers, D.; Pfeiffer, D. Efficient deep network architectures for fast chest X-ray tuberculosis screening and visualization. Sci. Rep. 2019, 9, 6268. [Google Scholar] [CrossRef] [PubMed]
- Lin, M.; Chen, Q.; Yan, S. Network in network. arXiv 2013, arXiv:1312.4400. [Google Scholar]
- Guo, R.; Passi, K.; Jain, C.K. Tuberculosis diagnostics and localization in chest X-rays via deep learning models. Front. Artif. Intell. 2020, 3, 583427. [Google Scholar] [CrossRef]
- Nafisah, S.I.; Muhammad, G. Tuberculosis detection in chest radiograph using convolutional neural network architecture and explainable artificial intelligence. Neural Comput. Appl. 2022, 1–21. [Google Scholar] [CrossRef]
- Viniavskyi, O.; Dobko, M.; Dobosevych, O. Weakly-supervised segmentation for disease localization in chest X-ray images. In Proceedings of the International Conference on Artificial Intelligence in Medicine, Minneapolis, MN, USA, 25–28 August 2020; pp. 249–259. [Google Scholar]
- Van der Maaten, L.; Hinton, G. Visualizing data using t-SNE. J. Mach. Learn. Res. 2008, 9, 2579–2605. [Google Scholar]
- Rajaraman, S.; Folio, L.R.; Dimperio, J.; Alderson, P.O.; Antani, S.K. Improved semantic segmentation of tuberculosis—Consistent findings in chest X-rays using augmented training of modality-specific u-net models with weak localizations. Diagnostics 2021, 11, 616. [Google Scholar] [CrossRef]
- Rajaraman, S.; Zamzmi, G.; Folio, L.R.; Antani, S. Detecting Tuberculosis-Consistent Findings in Lateral Chest X-rays Using an Ensemble of CNNs and Vision Transformers. Front. Genet. 2022, 13, 864724. [Google Scholar] [CrossRef]
- Wong, A.; Shafiee, M.J.; Chwyl, B.; Li, F. Ferminets: Learning generative machines to generate efficient neural networks via generative synthesis. arXiv 2018, arXiv:1809.05989. [Google Scholar]
- Lin, Z.Q.; Shafiee, M.J.; Bochkarev, S.; Jules, M.S.; Wang, X.Y.; Wong, A. Do explanations reflect decisions? A machine-centric strategy to quantify the performance of explainability algorithms. arXiv 2019, arXiv:1910.07387. [Google Scholar]
- Wong, A.; Lee, J.R.H.; Rahmat-Khah, H.; Sabri, A.; Alaref, A.; Liu, H. TB-Net: A tailored, self-attention deep convolutional neural network design for detection of tuberculosis cases from chest X-ray images. Front. Artif. Intell. 2022, 5, 827299. [Google Scholar] [CrossRef]
- Cai, Z.; Fan, Q.; Feris, R.S.; Vasconcelos, N. A unified multi-scale deep convolutional neural network for fast object detection. In Proceedings of the Computer Vision—ECCV 2016: 14th European Conference, Amsterdam, The Netherlands, 11–14 October 2016; Proceedings, Part IV 14, 2016. pp. 354–370. [Google Scholar]
- Cui, Z.; Chen, W.; Chen, Y. Multi-scale convolutional neural networks for time series classification. arXiv 2016, arXiv:1603.06995. [Google Scholar]
- Chen, Y.; Zhao, D.; Lv, L.; Li, C. A visual attention based convolutional neural network for image classification. In Proceedings of the 2016 12th World Congress on Intelligent Control and Automation (WCICA), Guilin, China, 12–15 June 2016; pp. 764–769. [Google Scholar]
- Yang, X. An overview of the attention mechanisms in computer vision. J. Phys. Conf. Ser. 2020, 1693, 012173. [Google Scholar] [CrossRef]
- Mei, X.; Pan, E.; Ma, Y.; Dai, X.; Huang, J.; Fan, F.; Du, Q.; Zheng, H.; Ma, J. Spectral-spatial attention networks for hyperspectral image classification. Remote Sens. 2019, 11, 963. [Google Scholar] [CrossRef]
- Zhu, B.; Hofstee, P.; Lee, J.; Al-Ars, Z. An attention module for convolutional neural networks. In Proceedings of the Artificial Neural Networks and Machine Learning—ICANN 2021: 30th International Conference on Artificial Neural Networks, Bratislava, Slovakia, 14–17 September 2021; Proceedings, Part I 30, 2021. pp. 167–178. [Google Scholar]
- Woo, S.; Park, J.; Lee, J.Y.; Kweon, I.S. Cbam: Convolutional block attention module. In Proceedings of the European Conference on Computer Vision (ECCV), Munich, Germany, 8–14 September 2018; pp. 3–19. [Google Scholar]
- Sedai, S.; Mahapatra, D.; Ge, Z.; Chakravorty, R.; Garnavi, R. Deep multiscale convolutional feature learning for weakly supervised localization of chest pathologies in X-ray images. In Proceedings of the International Workshop on Machine Learning in Medical Imaging, Granada, Spain, 16 September 2018; pp. 267–275. [Google Scholar]
- Wang, X.; Peng, Y.; Lu, L.; Lu, Z.; Summers, R.M. Tienet: Text-image embedding network for common thorax disease classification and reporting in chest X-rays. In Proceedings of the IEEE Conference on Computer Vision and Pattern Recognition, Salt Lake City, UT, USA, 18–23 June 2018; pp. 9049–9058. [Google Scholar]
- Liu, J.; Zhao, G.; Fei, Y.; Zhang, M.; Wang, Y.; Yu, Y. Align, attend and locate: Chest X-ray diagnosis via contrast induced attention network with limited supervision. In Proceedings of the IEEE/CVF International Conference on Computer Vision, Seoul, Republic of Korea, 27 October 27–2 November 2019; pp. 10632–10641. [Google Scholar]
- Singh, A.; Lall, B.; Panigrahi, B.K.; Agrawal, A.; Agrawal, A.; Thangakunam, B.; Christopher, D. Deep Learning for Automated Screening of Tuberculosis from Indian Chest X-rays: Analysis and Update. arXiv 2020, arXiv:2011.09778. [Google Scholar]
- Ouyang, X.; Karanam, S.; Wu, Z.; Chen, T.; Huo, J.; Zhou, X.S.; Wang, Q.; Cheng, J.Z. Learning hierarchical attention for weakly-supervised chest X-ray abnormality localization and diagnosis. IEEE Trans. Med. Imaging 2020, 40, 2698–2710. [Google Scholar] [CrossRef]
- Pan, C.; Zhao, G.; Fang, J.; Qi, B.; Liu, J.; Fang, C.; Zhang, D.; Li, J.; Yu, Y. Computer-Aided Tuberculosis Diagnosis with Attribute Reasoning Assistance. In Proceedings of the Medical Image Computing and Computer Assisted Intervention—MICCAI 2022: 25th International Conference, Singapore, 18–22 September 2022; Proceedings, Part I, 2022. pp. 623–633. [Google Scholar]
- Kolesnikov, A.; Lampert, C.H. Seed, expand and constrain: Three principles for weakly-supervised image segmentation. In Proceedings of the European Conference on Computer Vision, Amsterdam, The Netherlands, 11–14 October 2016; pp. 695–711. [Google Scholar]
- Tang, Y.; Wang, X.; Harrison, A.P.; Lu, L.; Xiao, J.; Summers, R.M. Attention-guided curriculum learning for weakly supervised classification and localization of thoracic diseases on chest radiographs. In Proceedings of the Machine Learning in Medical Imaging: 9th International Workshop, MLMI 2018, Held in Conjunction with MICCAI 2018, Granada, Spain, 16 September 2018; Proceedings 9, 2018. pp. 249–258. [Google Scholar]
- Bengio, Y.; Louradour, J.; Collobert, R.; Weston, J. Curriculum learning. In Proceedings of the 26th Annual International Conference on Machine Learning, Montreal, QC, Canada, 14–18 June 2009; pp. 41–48. [Google Scholar]
- D’Souza, G.; Reddy, N.; Manjunath, K. Localization of lung abnormalities on chest X-rays using self-supervised equivariant attention. Biomed. Eng. Lett. 2022, 13, 21–30. [Google Scholar] [CrossRef]
- Pinheiro, P.O.; Collobert, R. From image-level to pixel-level labeling with convolutional networks. In Proceedings of the IEEE Conference on Computer Vision and Pattern Recognition, Boston, MA, USA, 7–12 June 2015; pp. 1713–1721. [Google Scholar]
- Babenko, B. Multiple instance learning: Algorithms and applications. View Artic. PubMed/NCBI Google Sch. 2008, 19, 1–19. [Google Scholar]
- Liu, J.; Liu, Y.; Wang, C.; Li, A.; Meng, B.; Chai, X.; Zuo, P. An original neural network for pulmonary tuberculosis diagnosis in radiographs. In Proceedings of the Artificial Neural Networks and Machine Learning—ICANN 2018: 27th International Conference on Artificial Neural Networks, Rhodes, Greece, 4–7 October 2018; Proceedings, Part II 27, 2018. pp. 158–166. [Google Scholar]
- Zhou, B.; Li, Y.; Wang, J. A weakly supervised adaptive densenet for classifying thoracic diseases and identifying abnormalities. arXiv 2018, arXiv:1807.01257. [Google Scholar]
- Chandra, T.B.; Verma, K.; Jain, D.; Netam, S.S. Localization of the suspected abnormal region in chest radiograph images. In Proceedings of the 2020 First International Conference on Power, Control and Computing Technologies (ICPC2T), Raipur, India, 3–5 January 2020; pp. 204–209. [Google Scholar]
- Ahn, J.; Cho, S.; Kwak, S. Weakly supervised learning of instance segmentation with inter-pixel relations. In Proceedings of the IEEE/CVF Conference on Computer Vision and Pattern Recognition, Beach, CA, USA, 15–20 June 2019; pp. 2209–2218. [Google Scholar]
- Mamalakis, M.; Swift, A.J.; Vorselaars, B.; Ray, S.; Weeks, S.; Ding, W.; Clayton, R.H.; Mackenzie, L.S.; Banerjee, A. DenResCov-19: A deep transfer learning network for robust automatic classification of COVID-19, pneumonia, and tuberculosis from X-rays. Comput. Med. Imaging Graph. 2021, 94, 102008. [Google Scholar] [CrossRef] [PubMed]
- Wong, A.; Famouri, M.; Shafiee, M.J. Attendnets: Tiny deep image recognition neural networks for the edge via visual attention condensers. arXiv 2020, arXiv:2009.14385. [Google Scholar]
- Bhandari, M.; Shahi, T.B.; Siku, B.; Neupane, A. Explanatory classification of CXR images into COVID-19, Pneumonia and Tuberculosis using deep learning and XAI. Comput. Biol. Med. 2022, 150, 106156. [Google Scholar] [CrossRef] [PubMed]
- Ribeiro, M.T.; Singh, S.; Guestrin, C. “Why should i trust you?” Explaining the predictions of any classifier. In Proceedings of the 22nd ACM SIGKDD International Conference on Knowledge Discovery and Data Mining, San Francisco, CA, USA, 13–17 August 2016; pp. 1135–1144. [Google Scholar]
- Lundberg, S.M.; Lee, S.I. A unified approach to interpreting model predictions. Adv. Neural Inf. Process. Syst. 2017, 30. [Google Scholar] [CrossRef]
- Mehrotra, R.; Agrawal, R.; Ansari, M. Diagnosis of hypercritical chronic pulmonary disorders using dense convolutional network through chest radiography. Multimed. Tools Appl. 2022, 81, 7625–7649. [Google Scholar] [CrossRef]
- Zhou, W.; Cheng, G.; Zhang, Z.; Zhu, L.; Jaeger, S.; Lure, F.Y.; Guo, L. Deep learning-based pulmonary tuberculosis automated detection on chest radiography: Large-scale independent testing. Quant. Imaging Med. Surg. 2022, 12, 2344. [Google Scholar] [CrossRef]
- Zhou, D.; Kang, B.; Jin, X.; Yang, L.; Lian, X.; Jiang, Z.; Hou, Q.; Feng, J. Deepvit: Towards deeper vision transformer. arXiv 2021, arXiv:2103.11886. [Google Scholar]
- Visuña, L.; Yang, D.; Garcia-Blas, J.; Carretero, J. Computer-aided diagnostic for classifying chest X-ray images using deep ensemble learning. BMC Med. Imaging 2022, 22, 178. [Google Scholar] [CrossRef]
- Prasitpuriprecha, C.; Jantama, S.S.; Preeprem, T.; Pitakaso, R.; Srichok, T.; Khonjun, S.; Weerayuth, N.; Gonwirat, S.; Enkvetchakul, P.; Kaewta, C.; et al. Drug-Resistant Tuberculosis Treatment Recommendation, and Multi-Class Tuberculosis Detection and Classification Using Ensemble Deep Learning-Based System. Pharmaceuticals 2022, 16, 13. [Google Scholar] [CrossRef]
- Wang, Y.; Zhang, J.; Kan, M.; Shan, S.; Chen, X. Self-supervised equivariant attention mechanism for weakly supervised semantic segmentation. In Proceedings of the IEEE/CVF Conference on Computer Vision and Pattern Recognition, Seattle, WA, USA, 13–19 June 2020; pp. 12275–12284. [Google Scholar]
- Malik, H.; Anees, T.; Din, M.; Naeem, A. CDC_Net: Multi-classification convolutional neural network model for detection of COVID-19, pneumothorax, pneumonia, lung Cancer, and tuberculosis using chest X-rays. Multimed. Tools Appl. 2022, 82, 13855–13880. [Google Scholar] [CrossRef] [PubMed]
- Tsai, A.C.; Zhou, Z.G.; Ou, Y.Y.; Wang, I.J.F. Tuberculosis Detection Based on Multiple Model Ensemble in Chest X-ray Image. In Proceedings of the 2022 10th International Conference on Orange Technology (ICOT), Virtual, 10–11 November 2022; pp. 1–4. [Google Scholar]
- Li, L.; Cao, P.; Yang, J.; Zaiane, O.R. Modeling global and local label correlation with graph convolutional networks for multi-label chest X-ray image classification. Med. Biol. Eng. Comput. 2022, 60, 2567–2588. [Google Scholar] [CrossRef] [PubMed]
- Kazemzadeh, S.; Yu, J.; Jamshy, S.; Pilgrim, R.; Nabulsi, Z.; Chen, C.; Beladia, N.; Lau, C.; McKinney, S.M.; Hughes, T.; et al. Deep learning detection of active pulmonary tuberculosis at chest radiography matched the clinical performance of radiologists. Radiology 2023, 306, 124–137. [Google Scholar] [CrossRef] [PubMed]
Disclaimer/Publisher’s Note: The statements, opinions and data contained in all publications are solely those of the individual author(s) and contributor(s) and not of MDPI and/or the editor(s). MDPI and/or the editor(s) disclaim responsibility for any injury to people or property resulting from any ideas, methods, instructions or products referred to in the content. |
© 2023 by the authors. Licensee MDPI, Basel, Switzerland. This article is an open access article distributed under the terms and conditions of the Creative Commons Attribution (CC BY) license (https://creativecommons.org/licenses/by/4.0/).