A Hierarchical Siamese Network for Noninvasive Staging of Liver Fibrosis Based on US Image Pairs of the Liver and Spleen
Abstract
1. Introduction
1.1. Background
1.2. Related Works
2. Materials and Methods
2.1. Data Acquisition
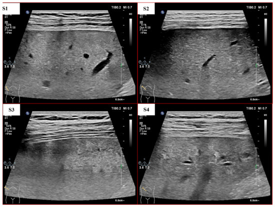
2.2. Ultrasound Image Signs of Liver Fibrosis
2.3. Patch-Based Image Processing
2.4. Two-Stage Siamese Network for LF Staging
2.5. Hepatic and Splenic Feature Representation
2.6. Kernel Density Estimation
2.7. Weight Transfer and Feature Fusion
3. Results
3.1. LSD Analysis
3.2. LF Staging
4. Discussion
5. Conclusions
Author Contributions
Funding
Institutional Review Board Statement
Informed Consent Statement
Data Availability Statement
Acknowledgments
Conflicts of Interest
References
- Bataller, R.; Brenner, D.A. Liver fibrosis. J. Clin. Investig. 2005, 115, 209–218. [Google Scholar] [CrossRef]
- Zhang, C.-Y.; Yuan, W.-G.; He, P.; Lei, J.-H.; Wang, C.-X. Liver fibrosis and hepatic stellate cells: Etiology, pathological hallmarks and therapeutic targets. World J. Gastroenterol. 2016, 22, 10512–10522. [Google Scholar] [CrossRef] [PubMed]
- Aydin, M.M.; Akcali, K.C. Liver fibrosis. Turk. J. Gastroenterol. 2018, 29, 14–21. [Google Scholar] [CrossRef] [PubMed]
- Lai, M.; Afdhal, N.H. Liver Fibrosis Determination. Gastroenterol. Clin. N. Am. 2019, 48, 281–289. [Google Scholar] [CrossRef] [PubMed]
- Bravo, A.A.; Sheth, S.G.; Chopra, S. Current concepts: Liver biopsy. N. Engl. J. Med. 2001, 344, 495–500. [Google Scholar] [CrossRef] [PubMed]
- Deeken-Draisey, A.; Rao, S.M.; Yang, G.Y. Pathology in Patients with Chronic Liver Disease A Practical Approach to Liver Biopsy Interpretation in Patients with Acute and Chronic Liver Diseases. Clin. Liver Dis. 2020, 24, 361–372. [Google Scholar] [CrossRef]
- Khalifa, A.; Rockey, D.C. The utility of liver biopsy in 2020. Curr. Opin. Gastroenterol. 2020, 36, 184–191. [Google Scholar] [CrossRef]
- Bedossa, P.; Dargere, D.; Paradis, V. Sampling variability of liver fibrosis in chronic hepatitis C. Hepatology 2003, 38, 1449–1457. [Google Scholar] [CrossRef]
- Tapper, E.B.; Lok, A.S.F. Use of Liver Imaging and Biopsy in Clinical Practice. N. Engl. J. Med. 2017, 377, 756–768. [Google Scholar] [CrossRef]
- Virarkar, M.; Morani, A.C.; Taggart, M.W.; Bhosale, P. Liver Fibrosis Assessment. In Seminars in Ultrasound CT and MRI; WB Saunders: Philadelphia, PA, USA, 2021; Volume 42, pp. 381–389. [Google Scholar]
- Petitclerc, L.; Sebastiani, G.; Gilbert, G.; Cloutier, G.; Tang, A. Liver Fibrosis: Review of Current Imaging and MRI Quantification Techniques. J. Magn. Reson. Imaging 2017, 45, 1276–1295. [Google Scholar] [CrossRef]
- Huber, A.T.; Ebner, L.; Heverhagen, J.; Christe, A. State-of-the-art imaging of liver fibrosis and cirrhosis: A comprehensive review of current applications and future perspectives. Eur. J. Radiol. Open 2015, 2, 90–100. [Google Scholar] [CrossRef]
- Berzigotti, A.; Ashkenazi, E.; Reverter, E.; Abraldes, J.G.; Bosch, J. Non-invasive diagnostic and prognostic evaluation of liver cirrhosis and portal hypertension. Dis. Markers 2011, 31, 129–138. [Google Scholar] [CrossRef]
- Treacher, A.; Beauchamp, D.; Quadri, B.; Fetzer, D.; Vij, A.; Yokoo, T.; Montillo, A. Deep Learning Convolutional Neural Networks for the Estimation of Liver Fibrosis Severity from Ultrasound Texture. In Proceedings of the Conference on Medical Imaging-Computer-Aided Diagnosis, San Diego, CA, USA, 16–21 February 2019; SPIE: San Diego, CA, USA, 2019. [Google Scholar]
- Li, C.X.; Li, R.T.; Zhang, W. Progress in non-invasive detection of liver fibrosis. Cancer Biol. Med. 2018, 15, 124–136. [Google Scholar]
- Dandan, L.; Huanhuan, M.; Xiang, L.; Yu, J.; Jing, J.; Yi, S. Classification of diffuse liver diseases based on ultrasound images with multimodal features. In Proceedings of the IEEE International Instrumentation and Measurement Technology Conference (I2MTC), Auckland, New Zealand, 20–23 May 2019. [Google Scholar]
- Xie, Y.; Chen, S.; Jia, D.; Li, B.; Zheng, Y.; Yu, X. Artificial Intelligence-Based Feature Analysis of Ultrasound Images of Liver Fibrosis. Comput. Intell. Neurosci. 2022, 2022, 2859987. [Google Scholar] [CrossRef]
- Liu, Z.; Wen, H.-Y.; Zhu, Z.-Q.; Li, Q.-Y.; Liu, L.; Li, T.-J.; Xu, W.-C.; Hou, C.; Huang, B.; Li, Z.-Y.; et al. Diagnosis of significant liver fibrosis in patients with chronic hepatitis B using a deep learning-based data integration network. Hepatol. Int. 2022, 16, 526–536. [Google Scholar] [CrossRef]
- Liu, J.; Wang, W.; Guan, T.; Zhao, N.; Han, X.; Li, Z. Ultrasound Liver Fibrosis Diagnosis Using Multi-indicator Guided Deep Neural Networks. In Proceedings of the 10th International Workshop on Machine Learning in Medical Imaging (MLMI)/22nd International Conference on Medical Image Computing and Computer-Assisted Intervention (MICCAI), Shenzhen, China, 13 October 2019. [Google Scholar]
- Meng, D.; Zhang, L.; Cao, G.; Cao, W.; Zhang, G.; Hu, B. Liver Fibrosis Classification Based on Transfer Learning and FCNet for Ultrasound Images. IEEE Access 2017, 5, 5804–5810. [Google Scholar] [CrossRef]
- Huang, Y.; Zeng, Y.; Bin, G.; Ding, Q.; Wu, S.; Tai, D.-I.; Tsui, P.-H.; Zhou, Z. Evaluation of Hepatic Fibrosis Using Ultrasound Backscattered Radiofrequency Signals and One-Dimensional Convolutional Neural Networks. Diagnostics 2022, 12, 2833. [Google Scholar] [CrossRef]
- Liu, Q.; Liua, Z.; Xu, W.; Wen, H.; Dai, M.; Chen, X. Diagnosis of Significant Liver Fibrosis by Using a DCNN Model with Fusion of Features from US B-Mode Image and Nakagami Parametric Map: An Animal Study. IEEE Access 2021, 9, 89300–89310. [Google Scholar] [CrossRef]
- Zhang, Y.; Zhang, Y.; Zhang, Y.; Wang, D.; Peng, F.; Cui, S.; Yang, Z. Ultrasonic image fibrosis staging based on machine learning for chronic liver disease. In Proceedings of the 2021 IEEE International Conference on Medical Imaging Physics and Engineering (ICMIPE), Hefei, China, 12–14 November 2021. [Google Scholar]
- Yang, H.; Sun, X.; Sun, Y.; Cui, L.; Li, B. Ultrasound Image-Based Diagnosis of Cirrhosis with an End-to-End Deep Learning model. In Proceedings of the IEEE International Conference on Bioinformatics and Biomedicine (IEEE BIBM), Seoul, Republic of Korea, 16–19 December 2020. [Google Scholar]
- Saito, R.; Koizumi, N.; Nishiyama, Y.; Imaizumi, T.; Kusahara, K.; Yagasaki, S.; Matsumoto, N.; Masuzaki, R.; Takahashi, T.; Ogawa, M. Evaluation of ultrasonic fibrosis diagnostic system using convolutional network for ordinal regression. Int. J. Comput. Assist. Radiol. Surg. 2021, 16, 1969–1975. [Google Scholar] [CrossRef]
- Ruan, D.; Shi, Y.; Jin, L.; Yang, Q.; Yu, W.; Ren, H.; Zheng, W.; Chen, Y.; Zheng, N.; Zheng, M. An ultrasound image-based deep multi-scale texture network for liver fibrosis grading in patients with chronic HBV infection. Liver Int. 2021, 41, 2440–2454. [Google Scholar] [CrossRef]
- Lee, J.H.; Joo, I.; Kang, T.W.; Paik, Y.H.; Sinn, D.H.; Ha, S.Y.; Kim, K.; Choi, C.; Lee, G.; Yi, J.; et al. Deep learning with ultrasonography: Automated classification of liver fibrosis using a deep convolutional neural network. Eur. Radiol. 2020, 30, 1264–1273. [Google Scholar] [CrossRef] [PubMed]
- Scheuer, P.J. Classification of Chronic Viral-Hepatitis—A Need for Reassessment. J. Hepatol. 1991, 13, 372–374. [Google Scholar] [CrossRef] [PubMed]
- Liang, P.; Yu, J. Guidelines for Ultrasound Diagnosis of Liver Diseases. Chin. J. Clin. Hepatol. 2021, 37, 1770–1785,1993,1994. [Google Scholar]
- Yin, Y.; Yakar, D.; Dierckx, R.A.J.O.; Mouridsen, K.B.; Kwee, T.C.; de Haas, R.J. Combining Hepatic and Splenic CT Radiomic Features Improves Radiomic Analysis Performance for Liver Fibrosis Staging. Diagnostics 2022, 12, 550. [Google Scholar] [CrossRef]
- Chopra, S.; Hadsell, R.; LeCun, Y. Learning a similarity metric discriminatively, with application to face verification. In Proceedings of the 2005 IEEE Computer Society Conference on Computer Vision and Pattern Recognition (CVPR’05), San Diego, CA, USA, 20–25 June 2005. [Google Scholar]
- Hadsell, R.; Chopra, S.; LeCun, Y. Dimensionality Reduction by Learning an Invariant Mapping. In Proceedings of the 2006 IEEE Computer Society Conference on Computer Vision and Pattern Recognition (CVPR’06), New York, NY, USA, 17–22 June 2006. [Google Scholar]
- Duong, T. ks: Kernel Density Estimation and Kernel Discriminant Analysis for Multivariate Data in R. J. Stat. Softw. 2007, 21, 1–16. [Google Scholar] [CrossRef]
- Xue, L.-Y.; Jiang, Z.-Y.; Fu, T.-T.; Wang, Q.-M.; Zhu, Y.-L.; Dai, M.; Wang, W.-P.; Yu, J.-H.; Ding, H. Transfer learning radiomics based on multimodal ultrasound imaging for staging liver fibrosis. Eur. Radiol. 2020, 30, 2973–2983. [Google Scholar] [CrossRef]













| Characteristics | Value | Scheuer Scoring System Description |
|---|---|---|
| Number of patients | 286 | - |
| Age | 52.4 [40.30–61] | - |
| Sex | ||
| Male | 216 (75.42%) | - |
| Female | 70 (24.58%) | - |
| BMI (kg/m2) | 23.39 [20.80–26] | - |
| Grade | ||
| 0 | 14 (4.90%) | None |
| 1 | 29 (10.14%) | Enlarged, fibrotic portal tracts |
| 2 | 60 (20.98%) | Periportal or portal–portal septa but intact architecture |
| 3 | 78 (27.27%) | Fibrosis with architectural distortion but no obvious cirrhosis |
| 4 | 105 (36.71%) | Probable or definite cirrhosis |
| Grade | Ultrasound Image Signs |
|---|---|
| 0 | Normal liver size, smooth liver capsule, homogeneous or slightly rough echo of liver parenchyma, clear vascular orientation, without splenomegaly. |
| 1 | Normal liver size, smooth liver capsule, rough echo of liver parenchyma, clear vascular orientation, without splenomegaly. |
| 2 | Moderate liver size, smooth liver capsule, significantly rough and enhanced echo of liver parenchyma, visible brightened linear structure shown as “strip pattern”, still clear vascular orientation, without splenomegaly. |
| 3 | Moderate or slightly smaller liver size, unsmooth liver capsule, significantly rough and enhanced echo of liver parenchyma with uneven distribution, with or without hyperplasia nodules, vague vascular terminals, with or without splenomegaly. |
| 4 | Smaller liver size, wavy liver capsule, significantly rough and unevenly enhanced echo of liver parenchyma, visible patchy enhancement, with or without nodules, variant vascular stenosis, with or without splenomegaly. |
| Subfigure | Class | Average | 20% Quantile | 80% Quantile |
|---|---|---|---|---|
| Figure 7a | Noncirrhotic | 0.67 | - | 0.98 |
| Cirrhotic | 2.74 | 1.67 | - | |
| Figure 7b | Mild fibrosis | 0.12 | - | 0.14 |
| Advanced fibrosis | 0.62 | 0.22 | - |
| Diagnostic Objectives | Feature Extractors | Training Data | Acc (%) | (Macro-) Precision (%) | (Macro-) Recall (%) | (Macro-) f1 (%) |
|---|---|---|---|---|---|---|
| S0–3 vs. S4 | GoogLeNet | Liver | 81.45 | 80.25 | 72.22 | 76.02 |
| LS-pairs | 79.53 | 80.14 | 86.09 | 83.01 | ||
| VGG16 | Liver | 86.88 | 83.52 | 84.44 | 83.98 | |
| LS-pairs | 87.28 | 91.85 | 85.71 | 88.68 | ||
| AlexNet | Liver | 87.33 | 85.23 | 83.33 | 84.27 | |
| LS-pairs | 91.70 | 93.92 | 91.65 | 92.76 | ||
| S0–2 vs. S3–4 | GoogLeNet | Liver | 78.73 | 82.09 | 61.11 | 70.06 |
| LS-pairs | 75.18 | 82.34 | 77.14 | 79.65 | ||
| VGG16 | Liver | 82.81 | 85.14 | 70.00 | 76.83 | |
| LS-pairs | 87.91 | 84.02 | 94.74 | 89.06 | ||
| AlexNet | Liver | 85.52 | 84.52 | 78.89 | 81.61 | |
| LS-pairs | 90.40 | 88.89 | 94.03 | 91.39 | ||
| S0–2 vs. S3 vs. S4 | GoogLeNet | Liver | 61.36 | 55.94 | 58.83 | 54.34 |
| LS-pairs | 64.04 | 61.74 | 59.49 | 57.79 | ||
| VGG16 | Liver | 72.27 | 71.56 | 71.71 | 71.51 | |
| LS-pairs | 77.81 | 75.80 | 76.40 | 75.21 | ||
| AlexNet | Liver | 77.25 | 78.57 | 76.82 | 76.95 | |
| LS-pairs | 83.93 | 83.00 | 83.12 | 83.04 |
| Degrees | Validation Cases | Consistency (Cases) | |||
|---|---|---|---|---|---|
| 100% | 70~99% | 30~69% | 0~29% | ||
| S0–S3 | 30 | 26 (86.66%) | 0 | 2 (6.67%) | 2 (6.67%) |
| S4 | 30 | 19 (63.33) | 4 (13.33%) | 5 (16.67%) | 2 (6.67%) |
| Total | 60 | 45 (75.00%) | 4 (6.67%) | 7 (11.66%) | 4 (6.67%) |
| Data | Methods | Results | |||
|---|---|---|---|---|---|
| Acc | P | R | AUROC | ||
| [21] 230 patients’ US radiofrequency data | One-dimensional CNN | 91.67% | - | 88.89% | 0.934 |
| [23] 187 patients’ US images | a. EfficientNet b. SVM + 637 manually extracted features | a. 80% b. - | - | a. 99% b. - | a. 0.83 b. 0.96 |
| [24] 681 patients’ US images | VGGNet | - | - | - | 0.948 |
| [26] 508 patients’ US images | Multi-scale texture network (MSTNet) | 87.8% | 0.89 | ||
| [27] 3446 patients’ US images | VGG16 | 0.902 | - | 94.1% | 0.901 |
| [34] 466 patients a. gray-scale modality + elastogram modality images b. gray-scale modality images + liver stiffness measurement | Inception-V3 | - | - | a. 90.1% b. 89.0% | a. 0.950 b. 0.937 |
| Our method | 91.70% | 93.92% | 92.77% | 0.97 | |
Disclaimer/Publisher’s Note: The statements, opinions and data contained in all publications are solely those of the individual author(s) and contributor(s) and not of MDPI and/or the editor(s). MDPI and/or the editor(s) disclaim responsibility for any injury to people or property resulting from any ideas, methods, instructions or products referred to in the content. |
© 2023 by the authors. Licensee MDPI, Basel, Switzerland. This article is an open access article distributed under the terms and conditions of the Creative Commons Attribution (CC BY) license (https://creativecommons.org/licenses/by/4.0/).
Share and Cite
Wang, X.; Song, L.; Zhuang, Y.; Han, L.; Chen, K.; Lin, J.; Luo, Y. A Hierarchical Siamese Network for Noninvasive Staging of Liver Fibrosis Based on US Image Pairs of the Liver and Spleen. Sensors 2023, 23, 5450. https://doi.org/10.3390/s23125450
Wang X, Song L, Zhuang Y, Han L, Chen K, Lin J, Luo Y. A Hierarchical Siamese Network for Noninvasive Staging of Liver Fibrosis Based on US Image Pairs of the Liver and Spleen. Sensors. 2023; 23(12):5450. https://doi.org/10.3390/s23125450
Chicago/Turabian StyleWang, Xue, Ling Song, Yan Zhuang, Lin Han, Ke Chen, Jiangli Lin, and Yan Luo. 2023. "A Hierarchical Siamese Network for Noninvasive Staging of Liver Fibrosis Based on US Image Pairs of the Liver and Spleen" Sensors 23, no. 12: 5450. https://doi.org/10.3390/s23125450
APA StyleWang, X., Song, L., Zhuang, Y., Han, L., Chen, K., Lin, J., & Luo, Y. (2023). A Hierarchical Siamese Network for Noninvasive Staging of Liver Fibrosis Based on US Image Pairs of the Liver and Spleen. Sensors, 23(12), 5450. https://doi.org/10.3390/s23125450
