Fluorescent Cellular Assay for Screening Agents Inhibiting Pseudomonas aeruginosa Adherence
Abstract
: Antibodies against Pseudomonas aeruginosa (PA) lectin, PAIIL, which is a virulence factor mediating the bacteria binding to epithelium cells, were prepared in chickens and purified from egg yolks. To examine these antibodies as a prophylactic agent preventing the adhesion of PA we developed a well plate assay based on fluorescently labeled bacteria and immortalized epithelium cell lines derived from normal and cystic fibrosis (CF) human lungs. The antibodies significantly inhibited bacteria adhesion (up to 50%) in both cell lines. In agreement with in vivo data, our plate assay showed higher susceptibility of CF cells towards the PA adhesion as compared to normal epithelium. This finding proved the reliability of the developed experimental system.1. Introduction
Cystic fibrosis (CF) is an autosomal recessive disorder caused by mutations in a single gene coding for the CF transmembrane conductance regulator (CFTR) protein [1]. Pathophysiological changes in the lungs of CF patients are responsible for these patients susceptibility toward microbial infections. Frequent and repeated airway bacterial infections with pathogens such as Pseudomonas aeruginosa (PA) or Burkholderia cepacia complex lead to a chronic endobronchial colonization which ensues in an intense neutrophilic inflammatory response [2]. These conditions lead a to life-threatening lung disease in CF patients [3]. While antibiotics are administered to slow down the decline of the pulmonary function and to reduce the frequency and morbidity of pulmonary exacerbations, their efficiency takes the toll in the development of bacteria resistance [4]. This is why there is an urgent need to develop novel and effective ways of therapy (for review see [5]). In addition to efforts in the area of CF gene therapy and corrections of CFTR function, the antimicrobial management—such as CF patient immunization against invading pathogens—is being extensively studied [6]. However, the concept of immunization of CF patients with vaccines derived from PA virulence factors suffers from two shortcomings: (I) the raised anti-pseudomonal immunoglobulins bind PA and therefore induce lung epithelium inflammatory damage; and (II) in general the secretion of immunoglobulins on CF mucosal membranes is impaired [3]. Thus, the passive immunization via non-inflammatory anti-pseudomonal immunoglobulins seems to be a feasible way of preventing PA lung infection [7]. In this respect, chicken yolk antibodies (IgY) provide a great potential in becoming an efficient tool of passive immunization [8]. The most significant advantage of IgY, in contrast to mammalian IgG, consists in their inability to induce inflammatory reaction when binding the antigen. Moreover, the large production of IgY (100 mg/yolk) makes these antibodies well suited for prophylaxis of bacterial infections [9]. Our previous experiments carried out with rats have shown that inhalation of nebulized IgY induced no lung pathology in experimental animals [10]. Because the bacteria adherence to epithelial cells serves as an important initial step in the onset of PA infection, the prophylactic IgY might inhibit this process. In case of CF patients, their airway surfaces lack the sialylation of glycoconjugates such as GM1 [11–13]. That facilitates PA binding and thus increases susceptibility of lungs to PA colonization [14]. Thus, in this study we developed an experimental set-up examining the effect of various compounds on bacteria adhesion to epithelial cells. Since the PA lectin, PAIIL, is considered to be involved in bacteria adhesion on CF airway cells [15], we prepared chicken yolk antibodies against recombinant PAIIL and tested them in this system.
2. Experimental Section
2.1. Antibody Preparation
Antibodies were prepared from egg yolks laid by chickens immunized with recombinant PA lectin, PAIIL, as described elsewhere [9,12]. Pre-immune IgY sample (control) was purified from eggs collected a week prior to the immunization. The presence of anti-PAIIL IgY was determined on ELISA and Western blots using PAIIL and PA lysate as antigens, respectively. The antibody titer was estimated to be 5 μg/mL.
2.2. Cell Staining
Cells were stained with fluorescent PKH dyes (Sigma, St. Louis, MO, USA) according to the manufacturer's protocol. Briefly, harvested epithelial cells NuLi or CuFi (immortalized epithelium cell lines derived from normal or CF human lungs, respectively, purchased from ATCC) were washed with PBS, resuspended in Diluent C and incubated for 5 min with an equivalent volume of 4 μM PKH67 (in Diluent C). Upon that, the staining process was stopped with the addition of FBS (2-fold volume excess) and cells were washed repeatedly with BEGM by centrifugation (1000× g for 5 min) to remove an excess of the dye. Patient isolate (# ST1763) of P. aeruginosa was grown in suspension culture either in minimal mineral medium “M9” (with 0.2% glucose) or in rich medium PS (peptone/casein digest). Bacterial cells were fluorescently labeled with PKH26 as follows: cells at an exponential growth phase were collected, washed with PBS and resuspended in Diluent C to make 6 × 108 CFU/mL. Bacterial suspension was mixed (1:1) with 20 μM PKH26 (in Diluent C) and incubated for 30 min. To terminate the staining, 2 fold excess of 1% BSA in PBS was added and cells were extensively washed with PBS by repeated centrifugation (11,000× g for 10 min) to remove excess of the dye.
2.3. Bacterial Adhesion Assay
NuLi or CuFi cells stained with a fluorescent dye PKH67 were seeded (5 × 105 cells/well) onto well plates (24 wells) and incubated for 24 h at 37 °C, 5% CO2 to form a confluent layer. Bacteria P. aeruginosa labeled with PKH26 was pre-incubated for 10 min with antibodies, anti-PAIIL or pre-immune IgY (1 mg/mL), saccharides, L-fucose or D-galactose (1% solution) or PBS and then applied (300 μL) onto well plates. The input ratio was about 30 bacteria per epithelial cell. After incubation at room temperature (up to 2 h) non-adhered bacteria were removed by extensive washing with PBS. The adhered PA on epithelial cells were quantified fluorometrically using spectrofluorometer Tecan Infinite M200 Pro (excitation (Ex) at 522 nm, emission (Em) at 569 nm). Simultaneously, the fluorescence of epithelial cells was determined (Ex 470 nm, Em 505 nm). Results were expressed as a relative fluorescence ratio PA/NuLi or PA/CuFi. Experimental data were statistically analyzed by SigmaPlot 2000 graphing and statistical analysis software.
3. Results and Discussion
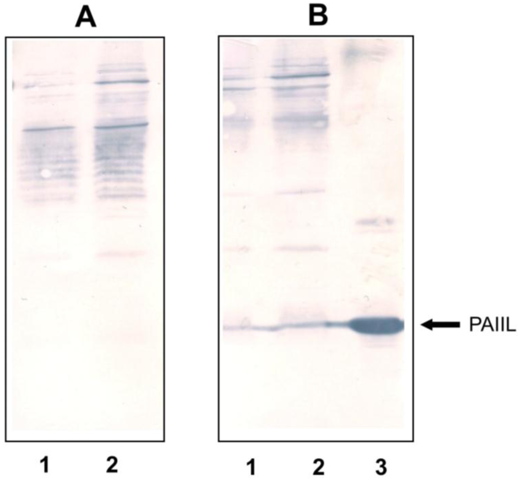
In order to develop a tool for PA prophylaxis preventing bacteria adherence to CF airway epithelial cells, we prepared chicken yolk antibodies against PAIIL. This bacterial lectin is assumed to enhance the PA binding to CF cell glycoconjugates with impaired sialylation [11,15]. ELISA of IgY fractions of yolks confirmed that specific anti-PAIIL IgY was effectively produced in the course of the immunization procedure (not shown). Anti-PAIIL IgYs were further examined on Western blots to prove their binding activity with PAIIL in bacteria lysates. As shown in Figure 1, anti-PAIIL IgY recognized PAIIL both in recombinant sample and in PA lysate. Blots developed with pre-immune IgY showed no reactivity with PAIIL (panel A), thus they served in further experiments as a control IgY. The cultivation of PA in mineral medium “M9” [16] did not significantly induce the production of PAIIL as compared with common medium PS (see Figure 1). This discrepancy might be attributed to the variability of PA strains, as PA used in our experiments was a clinical isolate ST1763 but not a strain 1244-NP.
To evaluate anti-PAIIL IgY as a potential tool for PA prophylaxis of CF patients, an ex vivo bacterial adhesion assay was developed. The experimental set-up is based on the use of airway epithelium cells adhered on well plates, which were exposed to PA in the presence or absence of anti-PAIIL IgY. The epithelial cell line derived from CF-patient lung tissues (CuFi) was employed to mimic conditions of CF subjects. Cells from airways of a healthy donor (NuLi) were included in the assay for comparison. The precise quantification of adhered PA on epithelial cell monolayer was made possible by labeling the bacteria and epithelial cells with fluorescent dyes. Lipophilic cell tracking PKH dyes are well suited for the assay design as they do not affect cell surface structures important for PA adhesion, show a low impact on the cell viability, and allow a long-term monitoring of cells in vivo. Moreover, the fluorescence of PKH26 can be measured without interference with PKH67 dye that is essential for the assay set-up when both cells are simultaneously present in the well. Figure 2 represents micrographs of PA and epithelial cells stained with red fluorescent PKH26 and green fluorescent PKH67 dyes, respectively. Stained CuFi, NuLi and PA cells showed a linear relationship between the number of cells and their relative fluorescence (see Figure 3) which makes the cell quantification possible.
In pilot experiments the length of PA incubation with monolayers of epithelial cells was examined. After the removal of non-adherent bacteria and extensive washing of wells, the number of P. aeruginosa associated with epithelial cells was determined. Under the input ratio of about 30 bacteria per epithelial cell the number of bound PA cells increased almost linearly with time during the course of incubation (see Figure 4). The PA adhesion seems to be rather fast as even the momentary exposure of epithelial cells to PA followed by their immediate removal (time 0 in Figure 4) resulted in detectable amounts of retained PA. To gain a readout of relative fluorescence high enough for precise quantification of adhered PA, the 2-h incubation was chosen for further adhesion experiments. These conditions were used to test the efficacy of anti-PAIIL IgY in the PA adhesion assay with both cell lines. Results are expressed as relative fluorescences of PA normalized per number of NuLi/CuFi cells. This arrangement eliminates possible variations caused by differences in the number of cells in monolayers.
As shown in Figure 5, the presence of anti-PAIIL IgY during the PA incubation significantly lowered the number of bacteria associated with either CuFi or NuLi cells (compared to PA treated with PBS only). More profound protecting effect of anti-PAIIL IgY against PA binding (>50% of PBS control) was observed for CuFi as compared with NuLi cells (∼37% of PBS control). Surprisingly, pre-immune IgY controls (C-IgY, see Figure 5) stimulated the PA association with CuFi and NuLi monolayers. This unexpected effect might be attributed to the agglutination of PA via highly mannosylated glycoconjugates present on each heavy chain of IgY which bind to lectin PAIIL. Resulting PA aggregates (observed by fluorescent microscope) retain PA in larger numbers in comparison with single bacteria after PBS washings of wells. In the case of anti-PAIIL IgY, the saccharide binding site of PAIIL lectin is blocked by the specific immunoglobulin and thus excluded from the interaction with saccharides of IgY heavy chain. This finding documents not only the ability of anti-PAIIL IgY to bind PAIIL on the P. aeruginosa surface but also to inhibit PAIIL saccharide binding activity. It is important to note that CF cells (CuFi, see Figure 5) are more susceptible (∼30%) to PA adhesion than normal epithelium (NuLi). These data show that the developed ex vivo assay system approximates well in vivo conditions of CF patients. Moreover, our results provide the evidence that to some extent PAIIL is responsible for P. aeruginosa colonization of CF patients.
In fact, the PA adhesion is facilitated by two lectins, PAIL and PAIIL, which bind to saccharides on the surface of airway epithelial cells [15]. Thus, PA lung infection might be also prevented by D-galactose and L-fucose, which compete for the binding sites on PAIL and PAIIL, respectively. While the inhalation of these saccharides reduced the P. aeruginosa counts in CF patients [17], in our cellular assay D-galactose and L-fucose failed in the protection of epithelial cells against PA adhesion. In case of CuFi cells, some marginal reduction of PA binding was observed for both saccharides, however, with NuLi monolayers the presence of saccharides significantly increased the bacteria adherence (see Figure 5). This observation might be explained via in vivo experiments with mice showing that unmodified sugars, contrary to i.e., Me-α-Gal for PAIL and Me-α-Fuc for PAIIL, inhibit lectin to a lower degree [13]. Although the saccharides were apparently not effective in the inhibition of PA binding, the lower values for CuFi monolayers (compared to NuLi) suggest some competition of applied saccharides and non-sialylated glycoconjugates of CF epithelial cells for the PA lectin binding.
4. Conclusions
The new cellular assay system based on dual fluorescence determination was developed and used to study P. aeruginosa adherence inhibition. Herein we report for the first time that chicken yolk antibodies developed against PAIIL are effective in reducing bacteria adhesion on human airway epithelia cells. Our results suggest that the anti-PAIIL IgY may provide an alternative therapeutical approach in prevention of P. aeruginosa infections. The proven anti-PAIIL efficacy of IgYs allows us to extend our research further and examine prophylactic properties of these antibody on animals experimentally infected with PA.
Acknowledgments
The work has been supported by GAUK 1584814 and UNCE 204025/2012.
Author Contributions
This is to state that all co-authors contributed significantly to the presented research article. Libuše Nosková and Lucie Vašková carried out the adhesion tests. Barbora Bláhová and Božena Kubíčková prepared and characterized antibodies against PAIIL. Michaela Wimmerová was in charge of PAIIL recombinant expression. Petr Hodek and Marie Stiborová were responsible for the design of experiments, data evaluation, and preparation of figures and for the manuscript writing.
Conflicts of Interest
The authors declare no conflict of interest.
References
- Rowe, S.M.; Miller, S.; Sorscher, E.J. Cystic fibrosis. N. Engl. J. Med. 2005, 352, 1992–2001. [Google Scholar]
- Berger, M. Inflammatory mediators in cystic fibrosis lung disease. Allergy Asthma Proc. 2002, 23, 19–25. [Google Scholar]
- Hartl, D.; Gaggar, A.; Bruscia, E.; Hector, A.; Marcos, V.; Jung, A.; Greene, C.; McElvaney, G.; Mall, M.; Döring, G. Innate immunity in cystic fibrosis lung disease. J. Cyst. Fibros. 2012, 11, 363–382. [Google Scholar]
- Döring, G.; Flume, P.; Heijerman, H.; Elborn, J.S. Consensus Study Group. Treatment of lung infection in patients with cystic fibrosis: Current and future strategies. J. Cyst. Fibros. 2012, 11, 461–479. [Google Scholar]
- Anderson, P. Emerging therapies in cystic fibrosis. Ther. Adv. Respir. Dis. 2010, 4, 177–185. [Google Scholar]
- Høiby, N. Recent advances in the treatment of Pseudomonas aeruginosa infections in cystic fibrosis. BMC Med. 2011, 9. [Google Scholar] [CrossRef]
- Lang, A.B.; Horn, M.P.; Imboden, M.A.; Zuercher, A.W. Prophylaxis and therapy of Pseudomonas aeruginosa infection in cystic fibrosis and immunocompromised patients. Vaccine 2004, 22, S44–S48. [Google Scholar]
- Carlander, D.; Kollberg, H.; Wejåker, P.E.; Larsson, A. Peroral immunotherapy with yolk antibodies for the prevention and treatment of enteric infections. Immunol. Res. 2000, 21, 1–6. [Google Scholar]
- Hodek, P.; Trefil, P.; Simunek, J.; Hudecek, J.; Stiborova, M. Optimized protocol of chicken antibody (IgY) purification providing electrophoretically homogenous preparations. Int. J. Electrochem. Sci. 2013, 5, 113–124. [Google Scholar]
- Hadrabova, J.; Majerova, B.; Cerna, V.; Moserova, M.; Holusa, R.; Mandys, V.; Stiborova, M.; Striz, I.; Hodek, P. Chicken immunoglobulins for prophylaxis: Effect of inhaled antibodies on inflammatory parameters in rat airways. J. Appl. Biomed. 2014. [Google Scholar] [CrossRef]
- Bryan, R.; Kube, D.; Perez, A.; Davis, P.; Prince, A. Overproduction of the CFTR R domain leads to increased levels of asialoGM1 and increased Pseudomonas aeruginosa binding by epithelial cells. Am. J. Respir. Cell Mol. Biol. 1998, 19, 269–277. [Google Scholar]
- Mitchell, E.P.; Sabin, C.; Šnajdrová, L.; Pokorná, M.; Perret, S.; Gautier, C.; Hofr, C.; Gilboa-Garber, N.; Koča, J.; Wimmerová, M.; et al. High affinity fucose binding of Pseudomonas aeruginosa lectin PA-IIL: 1.0 Å resolution crystal structure of the complex combined with thermodynamics and computational chemistry approaches. Proteins 2005, 58, 735–746. [Google Scholar]
- Chemani, C.; Imberty, A.; de Bentzmann, S.; Pierre, M.; Wimmerová, M.; Guery, B.P.; Faure, K. Role of LecA and LecB lectins in Pseudomonas aeruginosa-induced lung injury and effect of carbohydrate ligands. Infect. Immun. 2009, 77, 2065–2075. [Google Scholar]
- De Bentzmann, S.; Roger, P.; Dupuit, F.; Bajolet-Laudinat, O.; Fuchey, C.; Plotkowski, M.C.; Puchelle, E. Asialo GM1 is a receptor for Pseudomonas aeruginosa adherence to regenerating respiratory epithelial cells. Infect. Immun. 1996, 64, 1582–1588. [Google Scholar]
- Imberty, A.; Wimmerová, M.; Mitchell, E.P.; Gilboa-Garber, N. Structures of the lectins from Pseudomonas aeruginosa: Insight into the molecular basis for host glycan recognition. Microbes Infect. 2004, 6, 221–228. [Google Scholar]
- Scharfman, A.; Kroczynski, H.; Carnoy, C.; van Brussel, E.; Lamblin, G.; Ramphal, R.; Roussel, P. Adhesion of Pseudomonas aeruginosa to respiratory mucins and expression of mucin-binding proteins are increased by limiting iron during growth. Infect. Immun. 1996, 64, 5417–5420. [Google Scholar]
- Hauber, H.P.; Schulz, M.; Pforte, A.; Mack, D.; Zabel, P.; Schumacher, U. Inhalation with fucose and galactose for treatment of Pseudomonas aeruginosa in cystic fibrosis patients. Int. J. Med. Sci. 2008, 5, 371–376. [Google Scholar]





© 2015 by the authors; licensee MDPI, Basel, Switzerland. This article is an open access article distributed under the terms and conditions of the Creative Commons Attribution license ( http://creativecommons.org/licenses/by/4.0/).
Share and Cite
Nosková, L.; Kubíčková, B.; Vašková, L.; Bláhová, B.; Wimmerová, M.; Stiborová, M.; Hodek, P. Fluorescent Cellular Assay for Screening Agents Inhibiting Pseudomonas aeruginosa Adherence. Sensors 2015, 15, 1945-1953. https://doi.org/10.3390/s150101945
Nosková L, Kubíčková B, Vašková L, Bláhová B, Wimmerová M, Stiborová M, Hodek P. Fluorescent Cellular Assay for Screening Agents Inhibiting Pseudomonas aeruginosa Adherence. Sensors. 2015; 15(1):1945-1953. https://doi.org/10.3390/s150101945
Chicago/Turabian StyleNosková, Libuše, Božena Kubíčková, Lucie Vašková, Barbora Bláhová, Michaela Wimmerová, Marie Stiborová, and Petr Hodek. 2015. "Fluorescent Cellular Assay for Screening Agents Inhibiting Pseudomonas aeruginosa Adherence" Sensors 15, no. 1: 1945-1953. https://doi.org/10.3390/s150101945
APA StyleNosková, L., Kubíčková, B., Vašková, L., Bláhová, B., Wimmerová, M., Stiborová, M., & Hodek, P. (2015). Fluorescent Cellular Assay for Screening Agents Inhibiting Pseudomonas aeruginosa Adherence. Sensors, 15(1), 1945-1953. https://doi.org/10.3390/s150101945
 
        

