Therapeutic Effects of Sigesbeckia pubescens Makino Against Atopic Dermatitis-Like Skin Inflammation Through the JAK2/STAT Signaling Pathway
Abstract
1. Introduction
2. Results
2.1. Oral Administration of SPE Suppresses DFE-Induced AD Symptoms and Serum Inflammatory Mediator Secretion in NC/Nga Mice
2.2. SPE Oral Administration Reduces Epidermal Thickness and Mast Cell Infiltration in DFE-Stimulated NC/Nga Mice
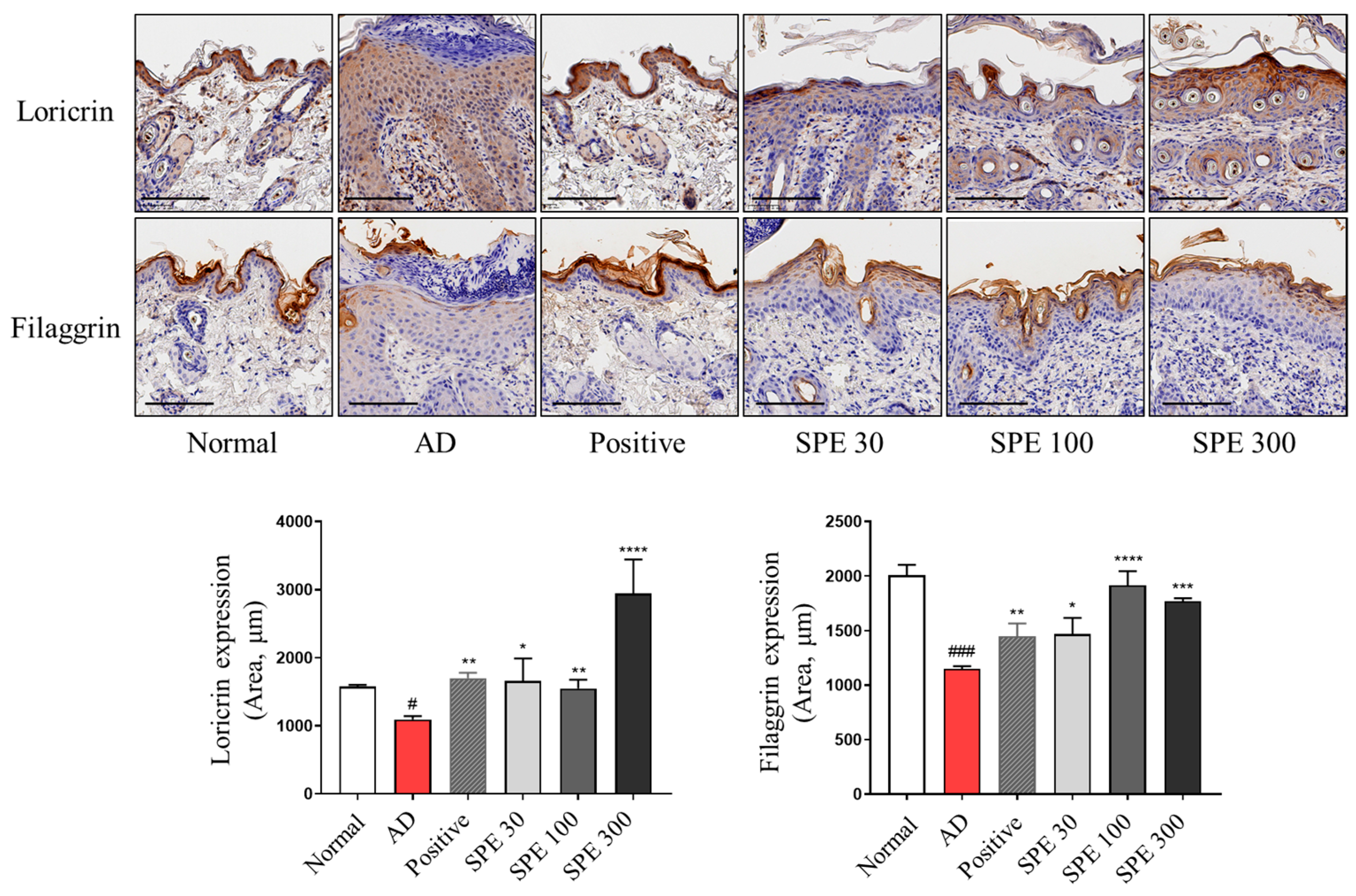
2.3. SPE Oral Administration Attenuates DFE-Induced Changes in Skin Barrier-Related Protein Levels in NC/Nga Mouse Skin Lesions
2.4. SPE Inhibits Proinflammatory Chemokine Production in IFN-γ/TNF-α-Stimulated Skin Cells
2.5. SPE Inhibits IFN-γ/TNF-α-Induced JAK2/STAT Activation in Skin Cells
2.6. SPE Inhibits IFN-γ/TNF-α-Induced STAT1/3 Translocation in Skin Cells
2.7. High-Performance Liquid Chromatography (HPLC) of SPE
2.8. SPE Constituents Inhibit Proinflammatory Chemokine Production in IFN-γ/TNF-α-Stimulated Skin Cells
3. Discussion
4. Materials and Methods
4.1. Preparation of SPE
4.2. Animals
4.3. AD Induction and Symptom Analysis
4.4. Serum Analysis
4.5. Histological Observation and Immunohistochemistry
4.6. Cells and Reagents
4.7. Cell Viability
4.8. Proinflammatory Chemokine Bead-Based Assay
4.9. Western Blotting
4.10. Nuclear Fraction Analysis
4.11. HPLC
4.12. Statistical Analysis
5. Conclusions
Supplementary Materials
Author Contributions
Funding
Institutional Review Board Statement
Informed Consent Statement
Data Availability Statement
Acknowledgments
Conflicts of Interest
Abbreviations
| AD | atopic dermatitis |
| DFE | Dermatophagoides farinae extract |
| FBS | fetal bovine serum |
| H&E | hematoxylin and eosin |
| HDF | human dermal fibroblast |
| HEK | human epidermal keratinocyte |
| HKGS | human keratinocyte growth supplement |
| HRP | horseradish peroxidase |
| IFN-γ | interferon-γ |
| Ig | immunoglobulin |
| JAK | Janus kinase |
| PBS | phosphate-buffered saline |
| SEM | standard error of the mean |
| SPE | Sigesbeckia pubescens Makino extract |
| STAT | signal transducer and activator of transcription proteins |
| TB | toluidine blue |
| Th | T helper |
| TNF-α | tumor necrosis factor-α |
References
- Liu, F.T.; Goodarzi, H.; Chen, H.Y. IgE, mast cells, and eosinophils in atopic dermatitis. Clin. Rev. Allergy Immunol. 2011, 41, 298–310. [Google Scholar] [CrossRef] [PubMed]
- Leung, D.Y.; Boguniewicz, M.; Howell, M.D.; Nomura, I.; Hamid, Q.A. New insights into atopic dermatitis. J. Clin. Investig. 2004, 113, 651–657. [Google Scholar] [CrossRef] [PubMed]
- Pivarcsi, A.; Homey, B. Chemokine networks in atopic dermatitis: Traffic signals of disease. Curr. Allergy Asthma Rep. 2005, 5, 284–290. [Google Scholar] [CrossRef] [PubMed]
- Boguniewicz, M.; Leung, D.Y. Atopic dermatitis: A disease of altered skin barrier and immune dysregulation. Immunol. Rev. 2011, 242, 233–246. [Google Scholar] [CrossRef]
- Park, S.H.; Jang, S.; Kim, H.K. Gardenia jasminoides extract ameliorates DfE-induced atopic dermatitis in mice through restoration of barrier function and T-helper 2-mediated immune response. Biomed. Pharmacother. 2022, 145, 112344. [Google Scholar] [CrossRef]
- Roger, M.; Fullard, N.; Costello, L.; Bradbury, S.; Markiewicz, E.; O’Reilly, S.; Darling, N.; Ritchie, P.; Määttä, A.; Karakesisoglou, I.; et al. Bioengineering the microanatomy of human skin. J. Anat. 2019, 234, 438–455. [Google Scholar] [CrossRef]
- Richmond, J.M.; Harris, J.E. Immunology and skin in health and disease. Cold Spring Harb. Perspect. Med. 2014, 4, a015339. [Google Scholar] [CrossRef]
- Fallahi, P.; Foddis, R.; Elia, G.; Ragusa, F.; Patrizio, A.; Benvenga, S.; Cristaudo, A.; Antonelli, A.; Ferrari, S.M. CXCL8 and CXCL11 chemokine secretion in dermal fibroblasts is differentially modulated by vanadium pentoxide. Mol. Med. Rep. 2018, 18, 1798–1803. [Google Scholar] [CrossRef] [PubMed]
- Nedoszytko, B.; Sokołowska-Wojdyło, M.; Ruckemann-Dziurdzińska, K.; Roszkiewicz, J.; Nowicki, R.J. Chemokines and cytokines network in the pathogenesis of the inflammatory skin diseases: Atopic dermatitis, psoriasis and skin mastocytosis. Postep. Dermatol. Alergol. 2014, 31, 84–91. [Google Scholar] [CrossRef]
- Akdis, C.A.; Arkwright, P.D.; Brüggen, M.C.; Busse, W.; Gadina, M.; Guttman-Yassky, E.; Kabashima, K.; Mitamura, Y.; Vian, L.; Wu, J.; et al. Type 2 immunity in the skin and lungs. Allergy 2020, 75, 1582–1605. [Google Scholar] [CrossRef]
- Palomino, D.C.; Marti, L.C. Chemokines and immunity. Einstein 2015, 13, 469–473. [Google Scholar] [CrossRef]
- Hu, H.H.; Tang, L.X.; Li, X.M. Experimental research of effect of crude and processed Herba Siegesbeckiae on anti-inflammation and anti-rheumatism. China J. Chin. Mater. Medica 2004, 29, 542–545. [Google Scholar]
- Kim, J.Y.; Lim, H.J.; Ryu, J.H. In vitro anti-inflammatory activity of 3-O-methyl-flavones isolated from Siegesbeckia glabrescens. Bioorganic Med. Chem. Lett. 2008, 18, 1511–1514. [Google Scholar] [CrossRef] [PubMed]
- Kim, H.M. Effects of siegesbeckia pubescens on immediate hypersensitivity reaction. Am. J. Chin. Med. 1997, 25, 163–167. [Google Scholar] [CrossRef] [PubMed]
- Lv, D.; Guo, K.W.; Xu, C.; Huang, M.; Zheng, S.J.; Ma, X.H.; Pan, L.H.; Wang, Q.; Yang, X.Z. Essential oil from Siegesbeckia pubescens induces apoptosis through the mitochondrial pathway in human HepG2 cells. J. Huazhong Univ. Sci. Technol. Med. Sci. 2017, 37, 87–92. [Google Scholar] [CrossRef] [PubMed]
- Ha, J.W.; Boo, Y.C. Siegesbeckiae Herba Extract and Chlorogenic Acid Ameliorate the Death of HaCaT Keratinocytes Exposed to Airborne Particulate Matter by Mitigating Oxidative Stress. Antioxidants 2021, 10, 1762. [Google Scholar] [CrossRef]
- Song, H.K.; Park, S.H.; Kim, H.J.; Jang, S.; Kim, T. Spatholobus suberectus Dunn Water Extract Ameliorates Atopic Dermatitis-Like Symptoms by Suppressing Proinflammatory Chemokine Production In Vivo and In Vitro. Front. Pharmacol. 2022, 13, 919230. [Google Scholar] [CrossRef]
- Candi, E.; Schmidt, R.; Melino, G. The cornified envelope: A model of cell death in the skin. Nat. Rev. Mol. Cell Biol. 2005, 6, 328–340. [Google Scholar] [CrossRef]
- Bao, L.; Zhang, H.; Chan, L.S. The involvement of the JAK-STAT signaling pathway in chronic inflammatory skin disease atopic dermatitis. JAKSTAT 2013, 2, e24137. [Google Scholar] [CrossRef]
- Kim, W.H.; An, H.J.; Kim, J.Y.; Gwon, M.G.; Gu, H.; Lee, S.J.; Park, J.Y.; Park, K.D.; Han, S.M.; Kim, M.K.; et al. Apamin inhibits TNF-α- and IFN-γ-induced inflammatory cytokines and chemokines via suppressions of NF-κB signaling pathway and STAT in human keratinocytes. Pharmacol. Rep. 2017, 69, 1030–1035. [Google Scholar] [CrossRef]
- Commission, C.P. Pharmacopoeia of the People’s Republic of China (2015); China Medical Science Press: Beijing, China, 2015. [Google Scholar]
- Jang, H.; Lee, J.W.; Kim, J.G.; Hong, H.R.; Le, T.P.L.; Hong, J.T.; Kim, Y.; Lee, M.K.; Hwang, B.Y. Nitric oxide inhibitory constituents from Siegesbeckia pubescens. Bioorganic Chem. 2018, 80, 81–85. [Google Scholar] [CrossRef]
- Lee, S.; Noh, E.J.; Kim, J.S.; Son, E.M.; Pan, X.; Kim, Y.S.; Kim, B.-K.; Lee, B.-J. ent-Kaurane-and ent-Pimarane-Type Diterpenoids from Siegesbeckia pubescens and Their Cytotoxicity in Caki Cells. Korean J. Crop Sci. 2005, 50, 147–150. [Google Scholar]
- Li, Q.; Wang, Y.; Yu, F.; Wang, Y.M.; Zhang, C.; Hu, C.; Wu, Z.; Xu, X.; Hu, S. Peripheral Th17/Treg imbalance in patients with atherosclerotic cerebral infarction. Int. J. Clin. Exp. Pathol. 2013, 6, 1015–1027. [Google Scholar]
- Choi, B.L.; Cho, E.-J.; Lee, M.J.; Lee, S.H.; Kim, C.E.; Oh, S.Y.; Kim, K.-H.; Jeong, C.H.; Lim, E.S.; Kim, T.H.; et al. Antibacterial Effect of Siegesbeckia pubescens Extract against Fish Pathogenic Streptococcus iniae. Korean J. Fish. Aquat. Sci. 2016, 49, 678–682. [Google Scholar]
- Zhao, S.; Wu, D.X.; Chen, X.; Zhang, Y.L. Study on mechanism for treating ischemic stroke of Siegesbeckiae Herba based on network pharmacology. China J. Chin. Mater. Medica 2019, 44, 2727–2735. [Google Scholar]
- Chen, F.Y.; Teng, T.L.; Li, Q.; Xu, S.F.; Chen, Q.; Li, X.Y.; Ye, Y.P. Siegesbeckia pubescens attenuates iodoacetamide-induced colitis in rats. Int. J. Pharmacol. 2016, 12, 711–719. [Google Scholar] [CrossRef]
- Zheng, S.; Bellere, A.D.; Oh, S.; Yu, D.; Fang, M.; Yi, T.-H. Antibiofilm Effect of Siegesbeckia pubescens against S. Mutans According to Environmental Factors. Appl. Sci. 2023, 13, 6179. [Google Scholar] [CrossRef]
- Wang, J.; Liu, R.; Chen, H.; Chen, A.; Chen, L. Ent-16β,17-dihydroxy-kauran-19-oic acid (DKA), a kaurane diterpenoid from Sigesbeckia pubescens (Makino) Makino, inhibits the migration of MDA-MB-231 breast cancer. Nat. Prod. Res. 2023, 39, 689–694. [Google Scholar] [CrossRef]
- Linghu, K.G.; Zhao, G.D.; Xiong, W.; Sang, W.; Xiong, S.H.; Tse, A.K.W.; Hu, Y.; Bian, Z.; Wang, Y.; Yu, H. Comprehensive comparison on the anti-inflammatory effects of three species of Sigesbeckia plants based on NF-κB and MAPKs signal pathways in vitro. J. Ethnopharmacol. 2020, 250, 112530. [Google Scholar] [CrossRef]
- Sang, W.; Zhong, Z.; Linghu, K.; Xiong, W.; Tse, A.K.W.; Cheang, W.S.; Yu, H.; Wang, Y. Siegesbeckia pubescens Makino inhibits Pam(3)CSK(4)-induced inflammation in RAW 264.7 macrophages through suppressing TLR1/TLR2-mediated NF-κB activation. Chin. Med. 2018, 13, 37. [Google Scholar] [CrossRef]
- Mukai, K.; Tsai, M.; Saito, H.; Galli, S.J. Mast cells as sources of cytokines, chemokines, and growth factors. Immunol. Rev. 2018, 282, 121–150. [Google Scholar] [CrossRef] [PubMed]
- Yang, J.H.; Yoo, J.M.; Cho, W.K.; Ma, J.Y. Anti-inflammatory effects of Sanguisorbae Radix water extract on the suppression of mast cell degranulation and STAT-1/Jak-2 activation in BMMCs and HaCaT keratinocytes. BMC Complement. Altern. Med. 2016, 16, 347. [Google Scholar] [CrossRef]
- Singh, R.; Heron, C.E.; Ghamrawi, R.I.; Strowd, L.C.; Feldman, S.R. Emerging Role of Janus Kinase Inhibitors for the Treatment of Atopic Dermatitis. ImmunoTargets Therapy 2020, 9, 255–272. [Google Scholar] [CrossRef]
- Fridman, J.S.; Scherle, P.A.; Collins, R.; Burn, T.; Neilan, C.L.; Hertel, D.; Contel, N.; Haley, P.; Thomas, B.; Shi, J.; et al. Preclinical evaluation of local JAK1 and JAK2 inhibition in cutaneous inflammation. J. Investig. Dermatol. 2011, 131, 1838–1844. [Google Scholar] [CrossRef] [PubMed]
- Darnell, J.E., Jr.; Kerr, I.M.; Stark, G.R. Jak-STAT pathways and transcriptional activation in response to IFNs and other extracellular signaling proteins. Science 1994, 264, 1415–1421. [Google Scholar] [CrossRef] [PubMed]
- Wang, Q.; Liang, Y.Y.; Li, K.W.; Li, Y.; Niu, F.J.; Zhou, S.J.; Wei, H.C.; Zhou, C.Z. Herba Siegesbeckiae: A review on its traditional uses, chemical constituents, pharmacological activities and clinical studies. J. Ethnopharmacol. 2021, 275, 114117. [Google Scholar] [CrossRef]
- Dong, F.; Tan, J.; Zheng, Y. Chlorogenic Acid Alleviates Allergic Inflammatory Responses Through Regulating Th1/Th2 Balance in Ovalbumin-Induced Allergic Rhinitis Mice. Med. Sci. Monit. 2020, 26, e923358. [Google Scholar] [CrossRef]
- Li, Y.S.; Zhang, J.; Tian, G.H.; Shang, H.C.; Tang, H.B. Kirenol, darutoside and hesperidin contribute to the anti-inflammatory and analgesic activities of Siegesbeckia pubescens makino by inhibiting COX-2 expression and inflammatory cell infiltration. J. Ethnopharmacol. 2021, 268, 113547. [Google Scholar] [CrossRef]
- Tang, J.; Diao, P.; Shu, X.; Li, L.; Xiong, L. Quercetin and Quercitrin Attenuates the Inflammatory Response and Oxidative Stress in LPS-Induced RAW264.7 Cells: In Vitro Assessment and a Theoretical Model. BioMed Res. Int. 2019, 2019, 7039802. [Google Scholar] [CrossRef]
- Sophiya, P.; Urs, D.; Lone, J.K.; Giresha, A.S.; Krishna Ram, H.; Manjunatha, J.G.; El-Serehy, H.A.; Narayanappa, M.; Shankar, J.; Bhardwaj, R.; et al. Quercitrin neutralizes sPLA2IIa activity, reduces the inflammatory IL-6 level in PC3 cell lines, and exhibits anti-tumor activity in the EAC-bearing mice model. Front. Pharmacol. 2022, 13, 996285. [Google Scholar] [CrossRef]
- Jegal, J.; Park, N.J.; Lee, S.Y.; Jo, B.G.; Bong, S.K.; Kim, S.N.; Yang, M.H. Quercitrin, the Main Compound in Wikstroemia indica, Mitigates Skin Lesions in a Mouse Model of 2,4-Dinitrochlorobenzene-Induced Contact Hypersensitivity. Evid. Based Complement. Altern. Med. eCAM 2020, 2020, 4307161. [Google Scholar] [CrossRef] [PubMed]
- Suto, H.; Matsuda, H.; Mitsuishi, K.; Hira, K.; Uchida, T.; Unno, T.; Ogawa, H.; Ra, C. NC/Nga mice: A mouse model for atopic dermatitis. Int. Arch. Allergy Immunol. 1999, 120 (Suppl. 1), 70–75. [Google Scholar] [CrossRef] [PubMed]
- Matsuda, H.; Watanabe, N.; Geba, G.P.; Sperl, J.; Tsudzuki, M.; Hiroi, J.; Matsumoto, M.; Ushio, H.; Saito, S.; Askenase, P.W.; et al. Development of atopic dermatitis-like skin lesion with IgE hyperproduction in NC/Nga mice. Int. Immunol. 1997, 9, 461–466. [Google Scholar] [CrossRef] [PubMed]
- Leung, D.Y.; Hirsch, R.L.; Schneider, L.; Moody, C.; Takaoka, R.; Li, S.H.; Meyerson, L.A.; Mariam, S.G.; Goldstein, G.; Hanifin, J.M. Thymopentin therapy reduces the clinical severity of atopic dermatitis. J. Allergy Clin. Immunol. 1990, 85, 927–933. [Google Scholar] [CrossRef]







| Peak No. | Compound | Regression Equation | Content (%) | |||
|---|---|---|---|---|---|---|
| Linear Range (μM) | Slope | Intercept | r2 | |||
| 1 | Chlorogenic acid | 6.25–100 | 12,054 | −54,195 | 0.993 | 1.27 |
| 2 | Rutin | 6.25–100 | 30,227 | −117,870 | 0.994 | 0.21 |
| 3 | Isoquercitrin | 6.25–100 | 20,066 | −82,796 | 0.994 | 0.17 |
| 4 | Quercitrin | 6.25–100 | 23,199 | −98,109 | 0.994 | 0.59 |
| 5 | Quercetin | 6.25–100 | 44,099 | −199,847 | 0.995 | 0.03 |
| 6 | Kirenol | 6.25–100 | 8057 | −31,424 | 0.993 | 0.58 |
Disclaimer/Publisher’s Note: The statements, opinions and data contained in all publications are solely those of the individual author(s) and contributor(s) and not of MDPI and/or the editor(s). MDPI and/or the editor(s) disclaim responsibility for any injury to people or property resulting from any ideas, methods, instructions or products referred to in the content. |
© 2025 by the authors. Licensee MDPI, Basel, Switzerland. This article is an open access article distributed under the terms and conditions of the Creative Commons Attribution (CC BY) license (https://creativecommons.org/licenses/by/4.0/).
Share and Cite
Song, H.-K.; Kim, H.J.; Kim, S.C.; Kim, T. Therapeutic Effects of Sigesbeckia pubescens Makino Against Atopic Dermatitis-Like Skin Inflammation Through the JAK2/STAT Signaling Pathway. Int. J. Mol. Sci. 2025, 26, 4191. https://doi.org/10.3390/ijms26094191
Song H-K, Kim HJ, Kim SC, Kim T. Therapeutic Effects of Sigesbeckia pubescens Makino Against Atopic Dermatitis-Like Skin Inflammation Through the JAK2/STAT Signaling Pathway. International Journal of Molecular Sciences. 2025; 26(9):4191. https://doi.org/10.3390/ijms26094191
Chicago/Turabian StyleSong, Hyun-Kyung, Hye Jin Kim, Seong Cheol Kim, and Taesoo Kim. 2025. "Therapeutic Effects of Sigesbeckia pubescens Makino Against Atopic Dermatitis-Like Skin Inflammation Through the JAK2/STAT Signaling Pathway" International Journal of Molecular Sciences 26, no. 9: 4191. https://doi.org/10.3390/ijms26094191
APA StyleSong, H.-K., Kim, H. J., Kim, S. C., & Kim, T. (2025). Therapeutic Effects of Sigesbeckia pubescens Makino Against Atopic Dermatitis-Like Skin Inflammation Through the JAK2/STAT Signaling Pathway. International Journal of Molecular Sciences, 26(9), 4191. https://doi.org/10.3390/ijms26094191

