Hydrocarbon Exposure in Myocarditis: Rare Toxic Cause or Trigger? Insights from a Biopsy-Proven Fulminant Viral Case and a Systematic Literature Review
Abstract
1. Introduction
2. Methods
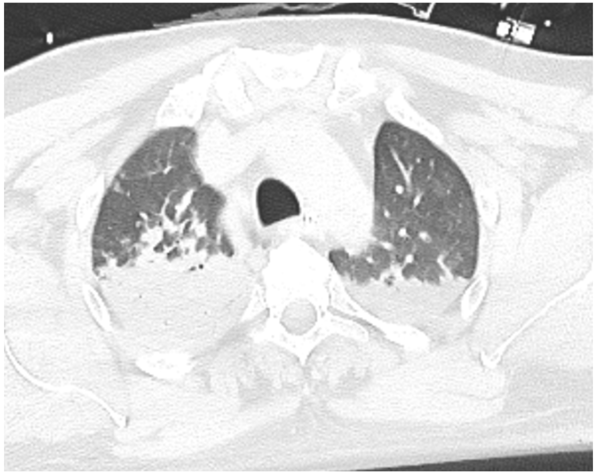
3. Case Presentation
4. Systematic Literature Review
5. Discussion
5.1. Peculiarity of Our Case Report
5.2. Evidence from the Systematic Literature Review
6. Study Limitations
7. Conclusions
Supplementary Materials
Funding
Data Availability Statement
Conflicts of Interest
Abbreviations and Acronyms
| AHA | anti-heart antibodies |
| CMR | cardiac magnetic resonance |
| EMB | endomyocardial biopsy |
| PCR | polymerase chain reaction |
| TM | toxic myocarditis |
References
- Caforio, A.L.P.; Pankuweit, S.; Arbustini, E.; Basso, C.; Gimeno-Blanes, J.; Felix, S.B.; Fu, M.; Heliö, T.; Heymans, S.; Jahns, R.; et al. Current state of knowledge on aetiology, diagnosis, management, and therapy of myocarditis: A position statement of the European Society of Cardiology Working Group on Myocardial and Pericardial Diseases. Eur. Heart J. 2013, 34, 2636–2648. [Google Scholar] [CrossRef] [PubMed]
- Tschöpe, C.; Ammirati, E.; Bozkurt, B.; Caforio, A.L.P.; Cooper, L.T.; Felix, S.B.; Hare, J.M.; Heidecker, B.; Heymans, S.; Hübner, N.; et al. Myocarditis and inflammatory cardiomyopathy: Current evidence and future directions. Nat. Rev. Cardiol. 2021, 18, 169–193. [Google Scholar] [CrossRef] [PubMed]
- Caforio, A.L.P.; Calabrese, F.; Angelini, A.; Tona, F.; Vinci, A.; Bottaro, S.; Ramondo, A.; Carturan, E.; Iliceto, S.; Thiene, G.; et al. A prospective study of biopsy-proven myocarditis: Prognostic relevance of clinical and aetiopathogenetic features at diagnosis. Eur. Heart J. 2007, 28, 1326–1333. [Google Scholar] [CrossRef]
- Baumeier, C.; Harms, D.; Aleshcheva, G.; Gross, U.; Escher, F.; Schultheiss, H.-P. Advancing Precision Medicine in Myocarditis: Current Status and Future Perspectives in Endomyocardial Biopsy-Based Diagnostics and Therapeutic Approaches. J. Clin. Med. 2023, 12, 5050. [Google Scholar] [CrossRef]
- Kažukauskienė, I.; Baltrūnienė, V.; Jakubauskas, A.; Žurauskas, E.; Maneikienė, V.V.; Daunoravičius, D.; Čelutkienė, J.; Ručinskas, K.; Grabauskienė, V. Prevalence and Prognostic Relevance of Myocardial Inflammation and Cardiotropic Viruses in Non-Ischemic Dilated Cardiomyopathy. Cardiol. J. 2022, 29, 441–453. [Google Scholar] [CrossRef] [PubMed]
- Ohta-Ogo, K.; Sugano, Y.; Ogata, S.; Nakayama, T.; Komori, T.; Eguchi, K.; Dohi, K.; Yokokawa, T.; Kanamori, H.; Nishimura, S.; et al. Myocardial T-Lymphocytes as a Prognostic Risk-Stratifying Marker of Dilated Cardiomyopathy―Results of the Multicenter Registry to Investigate Inflammatory Cell Infiltration in Dilated Cardiomyopathy in Tissues of Endomyocardial Biopsy (INDICATE Study)―. Circ. J. 2022, 86, 1092–1101. [Google Scholar] [CrossRef]
- McDonagh, T.A.; Metra, M.; Adamo, M.; Gardner, R.S.; Baumbach, A.; Böhm, M.; Burri, H.; Butler, J.; Čelutkienė, J.; Chioncel, O.; et al. 2021 ESC Guidelines for the diagnosis and treatment of acute and chronic heart failure. Eur. Heart J. 2021, 42, 3599–3726. [Google Scholar] [CrossRef]
- Caforio, A.L.P.; Giordani, A.S.; Baritussio, A.; Marcolongo, D.; Vicenzetto, C.; Tarantini, G.; Napodano, M.; Toscano, G.; Gregori, D.; Brigiari, G.; et al. Long-term efficacy and safety of tailored immunosuppressive therapy in immune-mediated biopsy-proven myocarditis: A propensity-weighted study. Eur. J. Heart Fail. 2024, 26, 1175–1185. [Google Scholar] [CrossRef]
- Falleti, J.; Orabona, P.; Municinò, M.; Castellaro, G.; Fusco, G.; Mansueto, G. An Update on Myocarditis in Forensic Pathology. Diagnostics 2024, 14, 760. [Google Scholar] [CrossRef]
- Peng, S.K.; French, W.J.; Pelikan, P.C. Direct cocaine cardiotoxicity demonstrated by endomyocardial biopsy. Arch. Pathol. Lab. Med. 1989, 113, 842–845. [Google Scholar]
- Rijal, S.; Cavalcante, J.L. Acute cocaine myocarditis: A word of caution. Eur. Heart J. 2015, 36, 946. [Google Scholar] [CrossRef]
- Reddy, P.K.V.; Ng, T.M.H.; Oh, E.E.; Moady, G.; Elkayam, U. Clinical Characteristics and Management of Methamphetamine-Associated Cardiomyopathy: State-of-the-Art Review. J. Am. Heart Assoc. 2020, 9, e016704. [Google Scholar] [CrossRef]
- Gummin, D.D.; Mowry, J.B.; Beuhler, M.C.; Spyker, D.A.; Bronstein, A.C.; Rivers, L.J.; Pham, N.P.T.; Weber, J. Annual Report of the American Association of Poison Control Centers’ National Poison Data System (NPDS): 38th Annual Report. Clin. Toxicol. 2021, 59, 1282–1501. [Google Scholar] [CrossRef]
- Tormoehlen, L.M.; Tekulve, K.J.; Nañagas, K.A. Hydrocarbon toxicity: A review. Clin. Toxicol. 2014, 52, 479–489. [Google Scholar] [CrossRef] [PubMed]
- Fenoglio, J.J.; McAllister, H.A.; Mullick, F.G. Drug related myocarditis: I. Hypersensitivity myocarditis. Hum. Pathol. 1981, 12, 900–907. [Google Scholar] [CrossRef] [PubMed]
- Raje, V.P.; Lewis, N.P.; Katlaps, G.J.; Quader, M.A.; Shah, K.B.; Mankad, A.K. Dobutamine induced eosinophilic myocarditis and right heart failure requiring emergent biventricular assist device implantation. ASAIO J. Am. Soc. Artif. Intern. Organs 2015, 61, 213–215. [Google Scholar] [CrossRef] [PubMed]
- Moher, D.; Shamseer, L.; Clarke, M.; Ghersi, D.; Liberati, A.; Petticrew, M.; Shekelle, P.; Stewart, L.A. Preferred reporting items for systematic review and meta-analysis protocols (PRISMA-P) 2015 statement. Syst. Rev. 2015, 4, 1. [Google Scholar] [CrossRef]
- Pham, K.; Sverchek, J.; McPheeters, R.A. Chemical Pneumonitis from Hydrocarbon Aspiration. West. J. Emerg. Med. 2008, 9, 165. [Google Scholar]
- Connellan, S.J. Lung diseases associated with hydrocarbon exposure. Respir. Med. 2017, 126, 46–51. [Google Scholar] [CrossRef]
- Kopec, K.T.; Brent, J.; Banner, W.; Ruha, A.M.; Leikin, J.B. Management of cardiac dysrhythmias following hydrocarbon abuse: Clinical toxicology teaching case from NACCT acute and intensive care symposium. Clin. Toxicol. 2014, 52, 141–145. [Google Scholar] [CrossRef]
- Bock, C.T.; Klingel, K.; Kandolf, R. Human Parvovirus B19–Associated Myocarditis. N. Engl. J. Med. 2010, 362, 1248–1249. [Google Scholar] [CrossRef] [PubMed]
- Escher, F.; Aleshcheva, G.; Pietsch, H.; Baumeier, C.; Gross, U.M.; Schrage, B.N.; Westermann, D.; Bock, C.-T.; Schultheiss, H.-P. Transcriptional Active Parvovirus B19 Infection Predicts Adverse Long-Term Outcome in Patients with Non-Ischemic Cardiomyopathy. Biomedicines 2021, 9, 1898. [Google Scholar] [CrossRef]
- Huang, F.; Ammirati, E.; Ponnaiah, M.; Montero, S.; Raimbault, V.; Abrams, D.; Lebreton, G.; Pellegrino, V.; Ihle, J.; Bottiroli, M.; et al. Fulminant myocarditis proven by early biopsy and outcomes. Eur. Heart J. 2023, 44, 5110–5124. [Google Scholar] [CrossRef] [PubMed]
- Hazebroek, M.R.; Henkens, M.T.; Raafs, A.G.; Verdonschot, J.A.; Merken, J.J.; Dennert, R.M.; Eurlings, C.; Abdul Hamid, M.A.; Wolffs, P.F.; Winkens, B.; et al. Intravenous immunoglobulin therapy in adult patients with idiopathic chronic cardiomyopathy and cardiac parvovirus B19 persistence: A prospective, double-blind, randomized, placebo-controlled clinical trial. Eur. J. Heart Fail. 2021, 23, 302–309. [Google Scholar] [CrossRef]
- Dennert, R.; Velthuis, S.; Schalla, S.; Eurlings, L.; van Suylen, R.J.; van Paassen, P.; Tervaert, J.W.C.; Wolffs, P.; Goossens, V.J.; Bruggeman, C.; et al. Intravenous immunoglobulin therapy for patients with idiopathic cardiomyopathy and endomyocardial biopsy-proven high PVB19 viral load. Antivir. Ther. 2010, 15, 193–201. [Google Scholar] [CrossRef] [PubMed]
- Schultheiss, H.P.; Baumeier, C.; Aleshcheva, G.; Bock, C.T.; Escher, F. Viral Myocarditis-From Pathophysiology to Treatment. J. Clin. Med. 2021, 10, 5240. [Google Scholar] [CrossRef]
- Savastano, S.; Baldi, E.; Compagnoni, S.; Rordorf, R.; Sanzo, A.; Gentile, F.R.; Dusi, V.; Frea, S.; Gravinese, C.; Cauti, F.M.; et al. Electrical storm treatment by percutaneous stellate ganglion block: The STAR study. Eur. Heart J. 2024, 45, 823–833. [Google Scholar] [CrossRef]
- Baldi, E.; Dusi, V.; Rordorf, R.; Currao, A.; Compagnoni, S.; Sanzo, A.; Gentile, F.R.; Frea, S.; Gravinese, C.; Angelini, F.; et al. Efficacy of early use of Percutaneous Stellate Ganglion Block for electrical storms. Eur. Heart J. Acute Cardiovasc. Care 2024, 13, 757–765. [Google Scholar] [CrossRef]
- Brock, W.J.; Rusch, G.M.; Trochimowicz, H.J. Cardiac sensitization: Methodology and interpretation in risk assessment. Regul. Toxicol. Pharmacol. 2003, 38, 78–90. [Google Scholar] [CrossRef]
- Brown, K.N.; Gronbeck, K.; Azmeen, A.; Siddique, A.; Zolty, R.; Sullivan, J.N. 1,1-Difluoroethane Hydrocarbon Cardiomyopathy. JACC Case Rep. 2023, 7, 101716. [Google Scholar] [CrossRef]
- Zhou, N.; Yue, Y.; Xiong, S. Sex Hormone Contributes to Sexually Dimorphic Susceptibility in CVB3-Induced Viral Myocarditis via Modulating IFN-γ+ NK Cell Production. Can. J. Cardiol. 2018, 34, 492–501. [Google Scholar] [CrossRef] [PubMed]
- Chimenti, C.; Russo, M.A.; Frustaci, A. Immunosuppressive therapy in virus-negative inflammatory cardiomyopathy: 20-year follow-up of the TIMIC trial. Eur. Heart J. 2022, 43, 3463–3473. [Google Scholar] [CrossRef] [PubMed]
- Adler, Y.; Charron, P.; Imazio, M.; Badano, L.; Barón-Esquivias, G.; Bogaert, J.; Brucato, A.; Gueret, P.; Klingel, K.; Lionis, C.; et al. 2015 ESC Guidelines for the diagnosis and management of pericardial diseases. Eur. Heart J. 2015, 36, 2921–2964. [Google Scholar] [CrossRef] [PubMed]
- Costanzo-Nordin, M.R.; Reap, E.A.; O’Connell, J.B.; Robinson, J.A.; Scanlon, P.J. A nonsteroid anti-inflammatory drug exacerbates coxsackie B3 murine myocarditis. J. Am. Coll. Cardiol. 1985, 6, 1078–1082. [Google Scholar] [CrossRef]
- Khatib, R.; Reyes, M.P.; Khatib, G.; Smith, F.; Rezkella, S.; Kloner, R.A. Focal Ventricular Thinning Caused by Indomethacin in the Late Phase of Coxsackievirus B4 Murine Myocarditis. Am. J. Med. Sci. 1992, 303, 95–98. [Google Scholar] [CrossRef]
- Francone, M.; Chimenti, C.; Galea, N.; Scopelliti, F.; Verardo, R.; Galea, R.; Carbone, I.; Catalano, C.; Fedele, F.; Frustaci, A. CMR sensitivity varies with clinical presentation and extent of cell necrosis in biopsy-proven acute myocarditis. JACC Cardiovasc. Imaging 2014, 7, 254–263. [Google Scholar] [CrossRef] [PubMed]
- Błyszczuk, P. Myocarditis in Humans and in Experimental Animal Models. Front. Cardiovasc. Med. 2019, 6, 64. [Google Scholar] [CrossRef]
- Pietsch, H.; Escher, F.; Aleshcheva, G.; Lassner, D.; Bock, C.-T.; Schultheiss, H.-P. Detection of Parvovirus MRNAs as Markers for Viral Activity in Endomyocardial Biopsy-Based Diagnosis of Patients with Unexplained Heart Failure. Sci. Rep. 2020, 10, 22354. [Google Scholar] [CrossRef]
- Page, M.J.; McKenzie, J.E.; Bossuyt, P.M.; Boutron, I.; Hoffmann, T.C.; Mulrow, C.D.; Shamseer, L.; Tetzlaff, J.M.; Akl, E.A.; Brennan, S.E.; et al. The PRISMA 2020 statement: An updated guideline for reporting systematic reviews. BMJ 2021, 372, n71. [Google Scholar] [CrossRef]





| Authors | Age (Years) | Sex | Past Medical History | Causative Agents 1 | Symptoms and Signs | ECG and Rhythm Monitoring | TnI Peak | Echocardiography | CAG | CMR | EBM | Therapy | FU | Death |
|---|---|---|---|---|---|---|---|---|---|---|---|---|---|---|
| Rodrigues et al., 2019 | 77 | M | AF | Generic halogenated hydrocarbon | Palpitations, chest pain, dyspnoea | N.A. | Neg | LV EF 33% with diffuse hypokinesia | Neg | N.A. | N.A. | Supportive therapy | After 5 months: LVEF 43%, NHYA I | no |
| Jolly et al., 2021 | 25 | M | Neg | Difluoroethane (DFE) + marijuana | Chest pain, nausea and vomiting | Inferolateral ST elevation | 2.06 ng/mL | LV EF 40–45% | Neg | Edema in the mid and apical LV, no LGE | N.A. | Colchicine 3 | After 6 weeks: LVEF 60% | no |
| Dinsfriend et al., 2016 | 23 | M | Substance abuse, bipolar disorder | Difluoroethane (DFE) | Palpitation, pericarditic chest pain, dyspnoea and diaphoresis | Incomplete RBBB | 0.13 ng/mL | N.A. | N.A. | First CMR: biventricular dilation with preserved EF, subepicardial and midwall LGE, edema. | N.A. | High-dose ibuprofen 3 | Relapse at 4 months; second CMR: RV EF 47%, LV EF 51%, with persistent edema and LGE | no |
| Dingle et al., 2018 | 24 | M | N.A. | Difluoroethane (DFE) | Dyspnoea and imbalance | Diffuse ST segment elevation and PR depression; frequent PVCs | 1.89 ng/mL | Normal | N.A. | N.A. | N.A. | Beta-blocker | N.A. | no |
| Bayar et al., 2013 | 20 | M | N.A. | Butane gas | Chest pain related to different positions | Diffuse ST segment elevation | 3.5 ng/mL | Normal | Neg | N.A. | N.A. | Indomethacin 3 | N.A. | no |
| A. T. Knight et al., 1991 | 20 | M | Upper respiratory infection in the last four months | Mixture of toluene and aliphatic hydrocarbons 2 | Nausea, vomiting, lethargy, right-sided abdominal pain | TWI, intermittent 2:1 AVB; 4 s of asystole; VT and VF | N.A. | LVEF 35% with dyssynergy of the distal part of the septum | N.A. | N.A. | First EBM: extensive neutrophil and mononuclear cell infiltration and myocyte necrosis; second EBM: little residual inflammation and no necrosis | Temporary pacemaker | Three days after admission, control ECG showed a normal pattern and the pacemaker was removed | no |
| M. Bhaya et al., 2007 | 60 | M | Anemia | Camphor 4 | Nausea, vomiting; cardiogenic shock at presentation | RBBB, QT prolongation | 28.1 ng/mL | Biventricular dilatation, LVEF 40% with diffuse hypokinesia, right ventricle disfunction | N.A. | N.A. | N.A. | Norepinephrine for 12 h | Within 12 h, hemodynamics improved, and ECG normalized Echo after two-weeks: normal biventricular dimensions and function | no |
| Index case | 47 | M | DM | Aromatic hydrocarbons | Dyspnea | Diffuse ST elevation, NSVTs, and one episode of VF | 1.6 ng/mL | Severe biventricular dysfunction and right ventricular dilatation (LV EF 26%, RV FAC 16%, RV EDA 16 cm2/m2) | Neg | Edema and subepicardial LGE on lateral and inferior wall of LV; T1 mapping and extracellular volume increased | Acute lymphocytic myocarditis; molecular analysis revealed positive B19V transcriptional activity with significant viral load (>500 copies/μg) | Antiarrhythmic therapy with amiodarone and lidocaine; PSGB, vasoactive therapy with norepinephrine; inotropic support with levosimendan and dobutamine; heart failure treatment: ARNI, betablocker, MRA, and iSGLT2 | At 3-month follow-up: class I NHYA; echo with normalization of LVEF; no malignant arrhythmias at 24 h Holter ECG | no |
Disclaimer/Publisher’s Note: The statements, opinions and data contained in all publications are solely those of the individual author(s) and contributor(s) and not of MDPI and/or the editor(s). MDPI and/or the editor(s) disclaim responsibility for any injury to people or property resulting from any ideas, methods, instructions or products referred to in the content. |
© 2025 by the authors. Licensee MDPI, Basel, Switzerland. This article is an open access article distributed under the terms and conditions of the Creative Commons Attribution (CC BY) license (https://creativecommons.org/licenses/by/4.0/).
Share and Cite
Giordani, A.S.; Simone, T.; Baritussio, A.; Vicenzetto, C.; Scognamiglio, F.; Donato, F.; Licchelli, L.; Cacciavillani, L.; Fraccaro, C.; Tarantini, G.; et al. Hydrocarbon Exposure in Myocarditis: Rare Toxic Cause or Trigger? Insights from a Biopsy-Proven Fulminant Viral Case and a Systematic Literature Review. Int. J. Mol. Sci. 2025, 26, 4006. https://doi.org/10.3390/ijms26094006
Giordani AS, Simone T, Baritussio A, Vicenzetto C, Scognamiglio F, Donato F, Licchelli L, Cacciavillani L, Fraccaro C, Tarantini G, et al. Hydrocarbon Exposure in Myocarditis: Rare Toxic Cause or Trigger? Insights from a Biopsy-Proven Fulminant Viral Case and a Systematic Literature Review. International Journal of Molecular Sciences. 2025; 26(9):4006. https://doi.org/10.3390/ijms26094006
Chicago/Turabian StyleGiordani, Andrea S., Tommaso Simone, Anna Baritussio, Cristina Vicenzetto, Federico Scognamiglio, Filippo Donato, Luca Licchelli, Luisa Cacciavillani, Chiara Fraccaro, Giuseppe Tarantini, and et al. 2025. "Hydrocarbon Exposure in Myocarditis: Rare Toxic Cause or Trigger? Insights from a Biopsy-Proven Fulminant Viral Case and a Systematic Literature Review" International Journal of Molecular Sciences 26, no. 9: 4006. https://doi.org/10.3390/ijms26094006
APA StyleGiordani, A. S., Simone, T., Baritussio, A., Vicenzetto, C., Scognamiglio, F., Donato, F., Licchelli, L., Cacciavillani, L., Fraccaro, C., Tarantini, G., Braccioni, F., Rizzo, S., De Gaspari, M., Basso, C., Marcolongo, R., & Caforio, A. L. P. (2025). Hydrocarbon Exposure in Myocarditis: Rare Toxic Cause or Trigger? Insights from a Biopsy-Proven Fulminant Viral Case and a Systematic Literature Review. International Journal of Molecular Sciences, 26(9), 4006. https://doi.org/10.3390/ijms26094006

