A Plasmid-Encoded Surface Polysaccharide Partly Blocks Ceduovirus Infection in Lactococci
Abstract
1. Introduction
2. Results
2.1. Chromosome- and Plasmid-Encoded Phage-Resistance Mechanisms in L. lactis IPLA517 and L. lactis IPLA1064
2.2. Loss of an EPS-Encoding 41 kb Plasmid (p41) After Experimental Evolution Under Lcn972 Pressure
2.3. Selective Curing of p41 Restores Phage Susceptibility
2.4. Phage Adsorption Is Impaired in p41-Bearing Cells
3. Discussion
4. Materials and Methods
4.1. Bacterial Strains and Bacteriophages
4.2. Genome Analysis
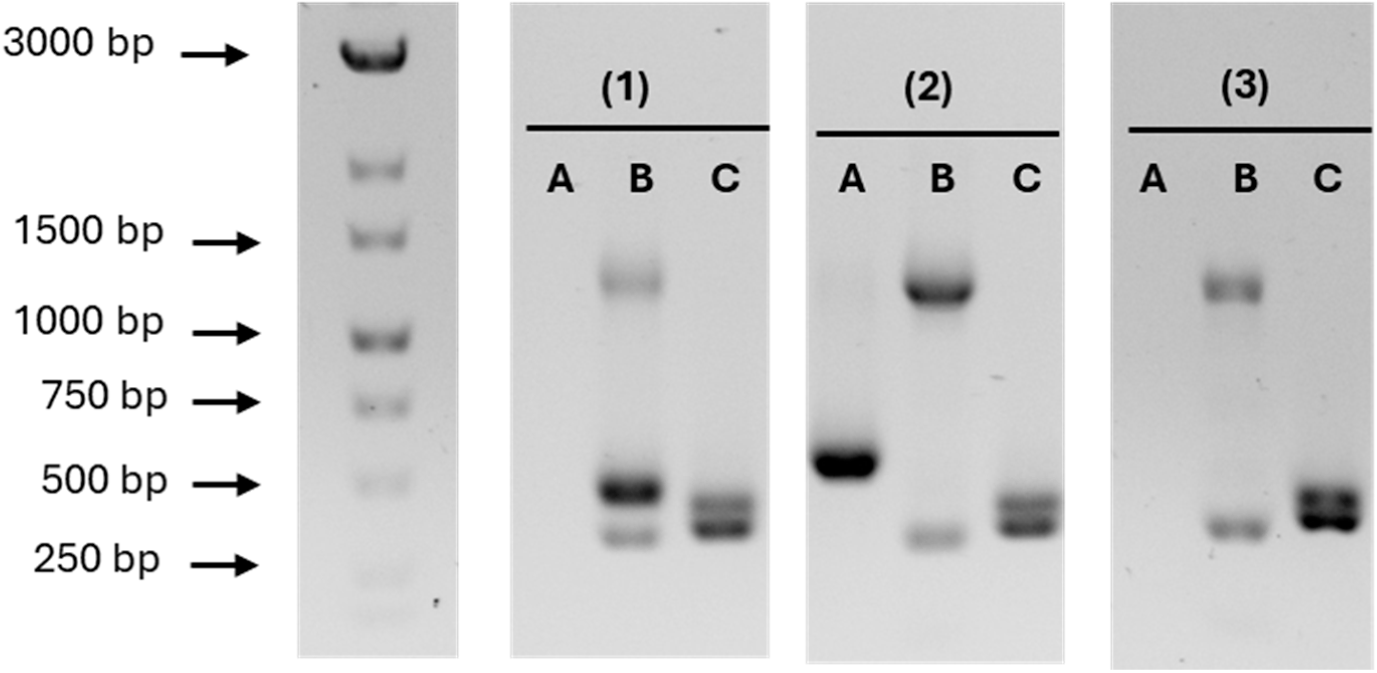
4.3. Plasmid Assemblies and Confirmatory PCRs Reactions
4.4. Selective Plasmid Curing
4.5. Phage Assays
4.6. Statistical Analyses
5. Conclusions
Supplementary Materials
Author Contributions
Funding
Data Availability Statement
Acknowledgments
Conflicts of Interest
Abbreviations
| EPS | Exopolysaccharide |
| Abi | Abortive infection |
| R/M | Restriction modification |
| Sie | Superinfection exclusion |
| CWPSs | Cell wall polysaccharides |
| Pip | Phage infection protein |
| Lcn972R | Lactococcin 972-resistant derivatives |
| EOP | Efficiency of plaquing |
| MOI | Multiplicity of infection |
| AUC | Area under the curve |
| PI | Percentage of inhibition |
| OD | Optical density |
References
- Bourdichon, F.; Arias, E.; Babuchowski, A.; Bückle, A.; Dal Bello, F.; Dubois, A.; Fontana, A.; Fritz, D.; Kemperman, R.; Laulund, S.; et al. The Forgotten Role of Food Cultures. FEMS Microbiol. Lett. 2021, 368, fnab085. [Google Scholar] [CrossRef]
- Papadimitriou, K.; Alegría, Á.; Bron, P.A.; de Angelis, M.; Gobbetti, M.; Kleerebezem, M.; Lemos, J.A.; Linares, D.M.; Ross, P.; Stanton, C.; et al. Stress Physiology of Lactic Acid Bacteria. Microbiol. Mol. Biol. Rev. 2016, 80, 837–890. [Google Scholar] [CrossRef] [PubMed]
- Pujato, S.A.; Quiberoni, A.; Mercanti, D.J. Bacteriophages on Dairy Foods. J. Appl. Microbiol. 2019, 126, 14–30. [Google Scholar] [CrossRef] [PubMed]
- Romero, D.A.; Magill, D.; Millen, A.; Horvath, P.; Fremaux, C. Dairy Lactococcal and Streptococcal Phage–Host Interactions: An Industrial Perspective in an Evolving Phage Landscape. FEMS Microbiol. Rev. 2020, 44, 909–932. [Google Scholar] [CrossRef] [PubMed]
- Georjon, H.; Bernheim, A. The Highly Diverse Antiphage Defence Systems of Bacteria. Nat. Rev. Microbiol. 2023, 21, 686–700. [Google Scholar] [CrossRef]
- Philippe, C.; Cornuault, J.K.; de Melo, A.G.; Morin-Pelchat, R.; Jolicoeur, A.P.; Moineau, S. The never-ending battle between lactic acid bacteria and their phages. FEMS Microbiol. Rev. 2023, 47, fuad035. [Google Scholar] [CrossRef]
- Millen, A.M.; Horvath, P.; Boyaval, P.; Romero, D.A. Mobile CRISPR/Cas-Mediated Bacteriophage Resistance in Lactococcus lactis. PLoS ONE 2012, 7, e51663. [Google Scholar] [CrossRef]
- Grafakou, A.; Mosterd, C.; Beck, M.H.; Kelleher, P.; McDonnell, B.; de Waal, P.P.; van Rijswijck, I.M.H.; van Peij, N.N.M.E.; Cambillau, C.; Mahony, J.; et al. Discovery of Antiphage Systems in the Lactococcal Plasmidome. Nucleic Acids Res. 2024, 52, 9760–9776. [Google Scholar] [CrossRef]
- Forde, A.; Fitzgerald, G.F. Molecular Organization of Exopolysaccharide (EPS) Encoding Genes on the Lactococcal Bacteriophage Adsorption Blocking Plasmid, PCI658. Plasmid 2003, 49, 130–142. [Google Scholar] [CrossRef]
- Mahony, J. Cell Surface Polysaccharides Represent a Common Strategy for Adsorption among Phages Infecting Lactic Acid Bacteria: Lessons from Dairy Lactococci and Streptococci. mSystems 2021, 6, 10–1128. [Google Scholar] [CrossRef]
- Millen, A.M.; Romero, D.A.; Horvath, P.; Magill, D.; Simdon, L. Host-Encoded, Cell Surface-Associated Exopolysaccharide Required for Adsorption and Infection by Lactococcal P335 Phage Subtypes. Front. Microbiol. 2022, 13, 971166. [Google Scholar] [CrossRef]
- Millen, A.M.; Romero, D.A. Genetic Determinants of Lactococcal C2viruses for Host Infection and Their Role in Phage Evolution. J. Gen. Virol. 2016, 97, 1998–2007. [Google Scholar] [CrossRef]
- López-González, M.J.; Escobedo, S.; Rodríguez, A.; Rute Neves, A.; Janzen, T.; Martínez, B. Adaptive Evolution of Industrial Lactococcus lactis under Cell Envelope Stress Provides Phenotypic Diversity. Front. Microbiol. 2018, 9, 2654. [Google Scholar] [CrossRef]
- Martinez, B.; Suarez, J.E.; Rodriguez, A. Antimicrobials Produced by Wild Lactococcal Strains Isolated from Homemade Cheeses. J. Food Prot. 1995, 58, 1118–1123. [Google Scholar] [CrossRef]
- Kuipers, O.P.; De Ruyter, P.G.G.A.; Kleerebezem, M.; De Vos, W.M. Quorum Sensing-Controlled Gene Expression in Lactic Acid Bacteria. J. Biotechnol. 1998, 64, 15–21. [Google Scholar] [CrossRef]
- Garay-Novillo, J.N.; Ruiz-Masó, J.A.; del Solar, G.; Barra, J.L. Easy-Curing and PH-Regulated CRISPR-Cas9 Plasmids for Gene Editing and Plasmid Curing in Lactococcus cremoris. Microb. Biotechnol. 2024, 17, e70060. [Google Scholar] [CrossRef] [PubMed]
- Kelleher, P.; Mahony, J.; Schweinlin, K.; Neve, H.; Franz, C.M.; van Sinderen, D. Assessing the Functionality and Genetic Diversity of Lactococcal Prophages. Int. J. Food Microbiol. 2018, 272, 29–40. [Google Scholar] [CrossRef]
- Mahony, J.; Frantzen, C.; Vinogradov, E.; Sadovskaya, I.; Theodorou, I.; Kelleher, P.; Chapot-Chartier, M.P.; Cambillau, C.; Holo, H.; van Sinderen, D. The CWPS Rubik’s Cube: Linking Diversity of Cell Wall Polysaccharide Structures with the Encoded Biosynthetic Machinery of Selected Lactococcus lactis Strains. Mol. Microbiol. 2020, 114, 582–596. [Google Scholar] [CrossRef]
- Siezen, R.J.; Renckens, B.; Van Swam, I.; Peters, S.; Van Kranenburg, R.; Kleerebezem, M.; De Vos, W.M. Complete Sequences of Four Plasmids of Lactococcus lactis subsp. cremoris SK11 Reveal Extensive Adaptation to the Dairy Environment. Appl. Environ. Microbiol. 2005, 71, 8371–8382. [Google Scholar]
- Górecki, R.K.; Koryszewska-Bagińska, A.; Gołebiewski, M.; Zylińska, J.; Grynberg, M.; Bardowski, J.K. Adaptative Potential of the Lactococcus lactis IL594 Strain Encoded in Its 7 Plasmids. PLoS ONE 2011, 6, e22238. [Google Scholar] [CrossRef]
- Strahinic, I.; Kojic, M.; Tolinacki, M.; Fira, D.; Topisirovic, L. Molecular Characterization of Plasmids PS7a and PS7b from Lactococcus lactis subsp. lactis biovar. diacetylactis S50 as a Base for the Construction of Mobilizable Cloning Vectors. J. Appl. Microbiol. 2009, 106, 78–88. [Google Scholar]
- Ainsworth, S.; Mahony, J.; van Sinderen, D. The Plasmid Complement of Lactococcus lactis UC509.9 Encodes Multiple Bacteriophage Resistance Systems. Appl. Environ. Microbiol. 2014, 80, 4341–4349. [Google Scholar] [CrossRef]
- Ainsworth, S.; Stockdale, S.; Bottacini, F.; Mahony, J.; van Sinderen, D. The Lactococcus lactis Plasmidome: Much Learnt, yet Still Lots to Discover. FEMS Microbiol. Rev. 2014, 38, 1066–1088. [Google Scholar] [CrossRef]
- Cui, Y.; Hu, T.; Qu, X.; Zhang, L.; Ding, Z.; Dong, A. Plasmids from Food Lactic Acid Bacteria: Diversity, Similarity, and New Developments. Int. J. Mol. Sci. 2015, 16, 13172–13202. [Google Scholar] [CrossRef]
- Kelleher, P.; Mahony, J.; Bottacini, F.; Lugli, G.A.; Ventura, M.; Van Sinderen, D. The Lactococcus lactis Pan-Plasmidome. Front. Microbiol. 2019, 10, 707. [Google Scholar] [CrossRef]
- van Mastrigt, O.; Di Stefano, E.; Hartono, S.; Abee, T.; Smid, E.J. Large Plasmidome of Dairy Lactococcus lactis subsp. lactis biovar diacetylactis FM03P Encodes Technological Functions and Appears Highly Unstable. BMC Genom. 2018, 19, 620. [Google Scholar]
- Zeidan, A.A.; Poulsen, V.K.; Janzen, T.; Buldo, P.; Derkx, P.M.F.; Øregaard, G.; Neves, A.R. Polysaccharide Production by Lactic Acid Bacteria: From Genes to Industrial Applications. FEMS Microbiol. Rev. 2017, 41, S168–S200. [Google Scholar] [CrossRef]
- Looijesteijn, P.J.; Trapet, L.; De Vries, E.; Abee, T.; Hugenholtz, J. Physiological Function of Exopolysaccharides Produced by Lactococcus lactis. Int. J. Food Microbiol. 2001, 64, 71–80. [Google Scholar] [CrossRef]
- Dabour, N.; LaPointe, G. Identification and Molecular Characterization of the Chromosomal Exopolysaccharide Biosynthesis Gene Cluster from Lactococcus lactis subsp. cremoris SMQ-461. Appl. Environ. Microbiol. 2005, 71, 7414–7425. [Google Scholar] [CrossRef]
- Berlec, A.; Škrlec, K.; Kocjan, J.; Olenic, M.; Štrukelj, B. Single Plasmid Systems for Inducible Dual Protein Expression and for CRISPR-Cas9/CRISPRi Gene Regulation in Lactic Acid Bacterium Lactococcus lactis. Sci. Rep. 2018, 8, 1009. [Google Scholar] [CrossRef] [PubMed]
- van der Els, S.; James, J.K.; Kleerebezem, M.; Bron, P.A. Versatile Cas9-Driven Subpopulation Selection Toolbox for Lactococcus lactis. Appl. Environ. Microbiol. 2018, 84, e02752-17. [Google Scholar] [CrossRef]
- Sinha, R.P. A New Simple Method of Curing Plasmids in Lactic Streptococci (Streptococcus cremoris; Streptococcus lactis, Plasmids). FEMS Microbiol. Lett. 1989, 57, 349–352. [Google Scholar] [CrossRef] [PubMed]
- Deveau, H.; Van Calsteren, M.R.; Moineau, S. Effect of Exopolysaccharides on Phage-Host Interactions in Lactococcus lactis. Appl. Environ. Microbiol. 2002, 68, 4364–4369. [Google Scholar] [CrossRef]
- Millen, A.M.; Magill, D.; Romero, D.; Simdon, L. Evolved Distal Tail Protein of Skunaviruses Facilitates Adsorption to Exopolysaccharide-Encoding Lactococci. Microbiome Res. Rep. 2023, 2, 26. [Google Scholar] [CrossRef]
- Akçelik, M.; Şanlibaba, P. Characterisation of an Exopolysaccharide Preventing Phage Adsorption in Lactococcus lactis subsp. cremoris MA39. Turk. J. Vet. Anim. Sci. 2002, 26, 1151–1156. [Google Scholar]
- Rodríguez, C.; Van der Meulen, R.; Vaningelgem, F.; Font de Valdez, G.; Raya, R.; De Vuyst, L.; Mozzi, F. Sensitivity of capsular-producing Streptococcus thermophilus strains to bacteriophage adsorption. Lett. Appl. Microbiol. 2008, 46, 462–468. [Google Scholar] [CrossRef]
- Janzen, T.; Christiansen, D.E. Lactic Bacterium for Texturizing Food Products Selected on Basis of Phage Resistance. WO2011092300 A1, 4 August 2011. [Google Scholar]
- López, R.; García, E. Recent trends on the molecular biology of pneumococcal capsules, lytic enzymes, and bacteriophage. FEMS Microbiol. Rev. 2004, 28, 553–580. [Google Scholar] [PubMed]
- Lehmann, E.; van Dalen, R.; Gritsch, L.; Slavetinsky, C.; Korn, N.; Rohmer, C.; Krause, D.; Peschel, A.; Weidenmaier, C.; Wolz, C. The capsular polysaccharide obstructs wall teichoic acid functions in Staphylococcus aureus. J. Infect. Dis. 2024, 230, 1253–1261. [Google Scholar] [PubMed]
- Beerens, D.; Franch-Arroyo, S.; Sullivan, T.J.; Goosmann, C.; Brinkmann, V.; Charpentier, E. Survival strategies of Streptococcus pyogenes in response to phage infection. Viruses 2021, 13, 612. [Google Scholar] [CrossRef]
- Flórez, A.B.; Mayo, B. The Plasmid Complement of the Cheese Isolate Lactococcus garvieae IPLA 31405 Revealed Adaptation to the Dairy Environment. PLoS ONE 2015, 10, e0126101. [Google Scholar]
- Moumene, M.; Drissi, F.; Croce, O.; Djebbari, B.; Robert, C.; Angelakis, E.; Benouareth, D.E.; Raoult, D.; Merhej, V. Complete Genome Sequence and Description of Lactococcus garvieae M14 Isolated from Algerian Fermented Milk. New Microbes New Infect. 2016, 10, 122–131. [Google Scholar] [CrossRef][Green Version]
- Ferrario, C.; Ricci, G.; Milani, C.; Lugli, G.A.; Ventura, M.; Eraclio, G.; Borgo, F.; Fortina, M.G. Lactococcus garvieae: Where Is It from? A First Approach to Explore the Evolutionary History of This Emerging Pathogen. PLoS ONE 2013, 8, e84796. [Google Scholar] [CrossRef]
- Ayyash, M.; Abu-Jdayil, B.; Itsaranuwat, P.; Almazrouei, N.; Galiwango, E.; Esposito, G.; Hunashal, Y.; Hamed, F.; Najjar, Z. Exopolysaccharide Produced by the Potential Probiotic Lactococcus garvieae C47: Structural Characteristics, Rheological Properties, Bioactivities and Impact on Fermented Camel Milk. Food Chem. 2020, 333, 127418. [Google Scholar] [CrossRef]
- Morita, H.; Toh, H.; Oshima, K.; Yoshizaki, M.; Kawanishi, M.; Nakaya, K.; Suzuki, T.; Miyauchi, E.; Ishii, Y.; Tanabe, S.; et al. Complete Genome Sequence and Comparative Analysis of the Fish Pathogen Lactococcus garvieae. PLoS ONE 2011, 6, e23184. [Google Scholar] [CrossRef]
- Niederle, M.V.; Bosch, J.; Ale, C.E.; Nader-Macías, M.E.; Aristimuño Ficoseco, C.; Toledo, L.F.; Valenzuela-Sánchez, A.; Soto-Azat, C.; Pasteris, S.E. Skin-Associated Lactic Acid Bacteria from North American Bullfrogs as Potential Control Agents of Batrachochytrium dendrobatidis. PLoS ONE 2019, 14, e0223020. [Google Scholar] [CrossRef]
- Hoai, T.D.; Nishiki, I.; Yoshida, T.; Nakai, T. Host Range and Influence of a Cell Capsule on the Phage Efficacy of Three Lactococcus garvieae Lytic Phages. Dis. Aquat. Organ. 2018, 128, 81–86. [Google Scholar] [CrossRef]
- Eraclio, G.; Fortina, M.G.; Labrie, S.J.; Tremblay, D.M.; Moineau, S. Characterization of Prophages of Lactococcus garvieae. Sci. Rep. 2017, 7, 1856. [Google Scholar] [CrossRef]
- Eraclio, G.; Tremblay, D.M.; Lacelle-Côté, A.; Labrie, S.J.; Fortina, M.G.; Moineau, S. A Virulent Phage Infecting Lactococcus garvieae, with Homology to Lactococcus lactis Phages. Appl. Environ. Microbiol. 2015, 81, 8358–8365. [Google Scholar] [CrossRef]
- Schubert, M.; Lindgreen, S.; Orlando, L. AdapterRemoval v2: Rapid Adapter Trimming, Identification, and Read Merging. BMC Res. Notes 2016, 9, 88. [Google Scholar] [CrossRef] [PubMed]
- Zimin, A.V.; Salzberg, S.L. The Genome Polishing Tool POLCA Makes Fast and Accurate Corrections in Genome Assemblies. PLoS Comput. Biol. 2020, 16, e1007981. [Google Scholar] [CrossRef] [PubMed]
- Zimin, A.V.; Marçais, G.; Puiu, D.; Roberts, M.; Salzberg, S.L.; Yorke, J.A. The MaSuRCA Genome Assembler. Bioinformatics 2013, 29, 2669–2677. [Google Scholar] [CrossRef] [PubMed]
- Wick, R.R.; Holt, K.E. Polypolish: Short-Read Polishing of Long-Read Bacterial Genome Assemblies. PLoS Comput. Biol. 2022, 18, e1009802. [Google Scholar] [CrossRef]
- Md, V.; Misra, S.; Li, H.; Aluru, S. Efficient Architecture-Aware Acceleration of BWA-MEM for Multicore Systems. In Proceedings of the 2019 IEEE International Parallel and Distributed Processing Symposium (IPDPS), Rio de Janeiro, Brazil, 20–24 May 2019; pp. 314–324. [Google Scholar]
- Deatherage, D.E.; Barrick, J.E. Identification of Mutations in Laboratory-Evolved Microbes from Next-Generation Sequencing Data Using Breseq. In Engineering and Analyzing Multicellular Systems: Methods and Protocols; Humana Press: New York, NY, USA, 2014; pp. 165–188. [Google Scholar]
- Tatusova, T.; DiCuccio, M.; Badretdin, A.; Chetvernin, V.; Ciufo, S.; Li, W. Prokaryotic Genome Annotation Pipeline; National Center for Biotechnology Information: Bethesda, MD, USA, 2013. [Google Scholar]
- Tesson, F.; Hervé, A.; Mordret, E.; Touchon, M.; d’Humières, C.; Cury, J.; Bernheim, A. Systematic and Quantitative View of the Antiviral Arsenal of Prokaryotes. Nat. Commun. 2022, 13, 2561. [Google Scholar] [CrossRef]
- Payne, L.J.; Meaden, S.; Mestre, M.R.; Palmer, C.; Toro, N.; Fineran, P.C.; Jackson, S.A. PADLOC: A Web Server for the Identification of Antiviral Defence Systems in Microbial Genomes. Nucleic Acids Res. 2022, 50, W541–W550. [Google Scholar] [CrossRef]
- Wishart, D.S.; Han, S.; Saha, S.; Oler, E.; Peters, H.; Grant, J.R.; Stothard, P.; Gautam, V. PHASTEST: Faster than PHASTER, Better than PHAST. Nucleic Acids Res. 2023, 51, W443–W450. [Google Scholar] [CrossRef]
- Stemmer, M.; Thumberger, T.; Del Sol Keyer, M.; Wittbrodt, J.; Mateo, J.L. CCTop: An Intuitive, Flexible and Reliable CRISPR/Cas9 Target Prediction Tool. PLoS ONE 2015, 10, e0124633. [Google Scholar] [CrossRef]
- Holo, H.; Nes, I.F. High-Frequency Transformation, by Electroporation, of Lactococcus lactis subsp. cremoris Grown with Glycine in Osmotically Stabilized Media. Appl. Environ. Microbiol. 1989, 55, 3119–3123. [Google Scholar]
- Xie, Y.; Wahab, L.; Gill, J.J. Development and Validation of a Microtiter Plate-Based Assay for Determination of Bacteriophage Host Range and Virulence. Viruses 2018, 10, 189. [Google Scholar] [CrossRef]
- McDonnell, B.; Mahony, J.; Neve, H.; Hanemaaijer, L.; Noben, J.P.; Kouwen, T.; van Sinderen, D. Identification and Analysis of a Novel Group of Bacteriophages Infecting the Lactic Acid Bacterium Streptococcus thermophilus. Appl. Environ. Microbiol. 2016, 82, 5153–5165. [Google Scholar] [CrossRef]
- Tamura, K.; Stecher, G.; Kumar, S. MEGA 11: Molecular Evolutionary Genetics Analysis Version 11. Mol. Biol. Evol. 2021, 38, 3022–3027. [Google Scholar] [CrossRef] [PubMed]
- Felsenstein, J. Confidence limits on phylogenies: An approach using the bootstrap. Evolution 1985, 39, 783–791. [Google Scholar] [CrossRef] [PubMed]
- Zuckerkandl, E.; Pauling, L. Evolutionary divergence and convergence in proteins. In Evolving Genes and Proteins; Bryson, V., Vogel, H.J., Eds.; Academic Press: New York, NY, USA, 1965; pp. 97–166. [Google Scholar]




| Strain | Description | Reference |
|---|---|---|
| Lactococcus cremoris | ||
| NZ9000 | L. cremoris MG1363 pepN::nisRK. Host for phage propagation | [15] |
| Lactococcus lactis | ||
| IPLA517 | Phage-resistant; 6 endogenous plasmids | [14] |
| IPLA517-B5 | IPLA517 Lcn972R-evolved clone; phage-sensitive; 4 endogenous plasmids | [13] |
| IPLA517-C6 | IPLA517 Lcn972R-evolved clone; phage-sensitive; 4 endogenous plasmids | [13] |
| IPLA1064 | Phage-resistant; 5 endogenous plasmids | [14] |
| IPLA1064-C11 | IPLA1064 Lcn972R-evolved clone; phage-sensitive; 4 endogenous plasmids | [13] |
| IPLA1064-E11 | IPLA1064 Lcn972R-evolved clone; phage-sensitive; 4 endogenous plasmids | [13] |
| IPLA1064-Δp41 | IPLA1064 cured of plasmid p41 | This work |
| Bacteriophages | ||
| c2 | Ceduovirus (GenBank NC_001706) | Lab collection |
| CHPC1130 | Ceduovirus | Novonesis collection |
| CHPC1183 | Ceduovirus (GenBank MN689511) | Novonesis collection |
| Plasmids | ||
| pILCsgLC9 | Derived from pIL253 with a CRISPR-Cas9 cassette for specific spacers cloning | [16] |
| pILCp41LC9 | Derived from pILCsgLC9 with a specific spacer for p41 curation | This work |
| Plasmid (Accession Number) | Size (bp) | Present in | Identity IPLA1064 vs. IPLA517 | Main Features |
|---|---|---|---|---|
| p6 (PV037731) | 5860 | Both | 100% | RepB; R/M subunit |
| p15 (PV037733) | 15315 | IPLA517 | NA 1 | RepB and RepX; MobC; Pyrimidine synthesis genes (tmk, pyrF, cdd) |
| p17 (PV037728) | 16890 | IPLA1064 | 99% to IPLA 517_p15 plus a 1678-bp insertion | RepB and RepX; MobC; Pyrimidine synthesis genes (tmk, pyrF, cdd) |
| p20 (PV037734) | 20376 | IPLA517 | NA 1 | RepB Pili genes; cadA |
| p41 (PV037729) | 41314 | Both | 100% | RepB and RepA; MobC; EPS cluster |
| p45 (PV037730) | 45496 | Both | 99% | RepB; MobC; Type I R/M system; PrtP and Clp (protease) |
| p66 (PV037732) | 66477 | Both | 100% | RepB; MobC lac operon; opp operon; pepF and pepO |
| Resistance System | Location (L. lactis IPLA1064 Coordinates) | Hit Gene | Blastp (% Identity/Query Cover) | Identified by |
|---|---|---|---|---|
| Restriction-modification system type IV | Chromosome (87858–89420) | RM—RM_Type_IV | WP_081213772. McrB family protein (99.81%/100%) | DefenseFinder |
| AbiH | Chromosome (788281–789141) | AbiH—AbiH | WP_153004554. AbiH family protein (99.65%/100%) | DefenseFinder |
| Restriction-modification system type I | Plasmid (p45) (7069–12972) | RM__Type_I_REases; RM__Type_I_MTases; RM__Type_I_S | WP_124137260.1. Type I restriction endonuclease subunit R (100%/100%); WP_124137261.1. Type I restriction–modification system subunit M (100%/100%); WP_124137264.1. Restriction endonuclease subunit S (100%/100%) | PADLOC and DefenseFinder |
| Prophage | Region Length | Position in L. lactis IPLA1064 | Closest Phage (%Identity/Query Cover) | Observations |
|---|---|---|---|---|
| #1 | 40 kb | 178022–218024 | ul36 (NC_004066) (93.27%/50%) | Intact |
| #2 | 20.4 kb | 464894–485327 | bIL3140 (NC_002669) (86.74%/2%) | Incomplete |
| #3 | 46.1 kb | 724573–770760 | PLgT-1 (NC_031016) (82.58%/33%) | Intact |
Disclaimer/Publisher’s Note: The statements, opinions and data contained in all publications are solely those of the individual author(s) and contributor(s) and not of MDPI and/or the editor(s). MDPI and/or the editor(s) disclaim responsibility for any injury to people or property resulting from any ideas, methods, instructions or products referred to in the content. |
© 2025 by the authors. Licensee MDPI, Basel, Switzerland. This article is an open access article distributed under the terms and conditions of the Creative Commons Attribution (CC BY) license (https://creativecommons.org/licenses/by/4.0/).
Share and Cite
Rendueles, C.; Garay-Novillo, J.N.; Rau, M.H.; Gaspar, P.; Ruiz-Masó, J.Á.; Mahony, J.; Rodríguez, A.; Barra, J.L.; del Solar, G.; Martínez, B. A Plasmid-Encoded Surface Polysaccharide Partly Blocks Ceduovirus Infection in Lactococci. Int. J. Mol. Sci. 2025, 26, 2508. https://doi.org/10.3390/ijms26062508
Rendueles C, Garay-Novillo JN, Rau MH, Gaspar P, Ruiz-Masó JÁ, Mahony J, Rodríguez A, Barra JL, del Solar G, Martínez B. A Plasmid-Encoded Surface Polysaccharide Partly Blocks Ceduovirus Infection in Lactococci. International Journal of Molecular Sciences. 2025; 26(6):2508. https://doi.org/10.3390/ijms26062508
Chicago/Turabian StyleRendueles, Claudia, Javier Nicolás Garay-Novillo, Martin Holm Rau, Paula Gaspar, José Ángel Ruiz-Masó, Jennifer Mahony, Ana Rodríguez, José Luis Barra, Gloria del Solar, and Beatriz Martínez. 2025. "A Plasmid-Encoded Surface Polysaccharide Partly Blocks Ceduovirus Infection in Lactococci" International Journal of Molecular Sciences 26, no. 6: 2508. https://doi.org/10.3390/ijms26062508
APA StyleRendueles, C., Garay-Novillo, J. N., Rau, M. H., Gaspar, P., Ruiz-Masó, J. Á., Mahony, J., Rodríguez, A., Barra, J. L., del Solar, G., & Martínez, B. (2025). A Plasmid-Encoded Surface Polysaccharide Partly Blocks Ceduovirus Infection in Lactococci. International Journal of Molecular Sciences, 26(6), 2508. https://doi.org/10.3390/ijms26062508

