The Role of AaPGRP-LB in the Immune Response of Aedes albopictus Against Bacteria Infection
Abstract
1. Introduction
2. Results
2.1. cDNA Cloning and Characterization Analysis of AaPGRP-LB
2.2. Structure and Phylogeny of AaPGRP-LB
2.3. Protein Structure Prediction and Docking with the PGN Ligand
2.4. The mRNA Expression Status of the AaPRP-LB Gene After Pathogen Challenge with E. coli and S. aureus
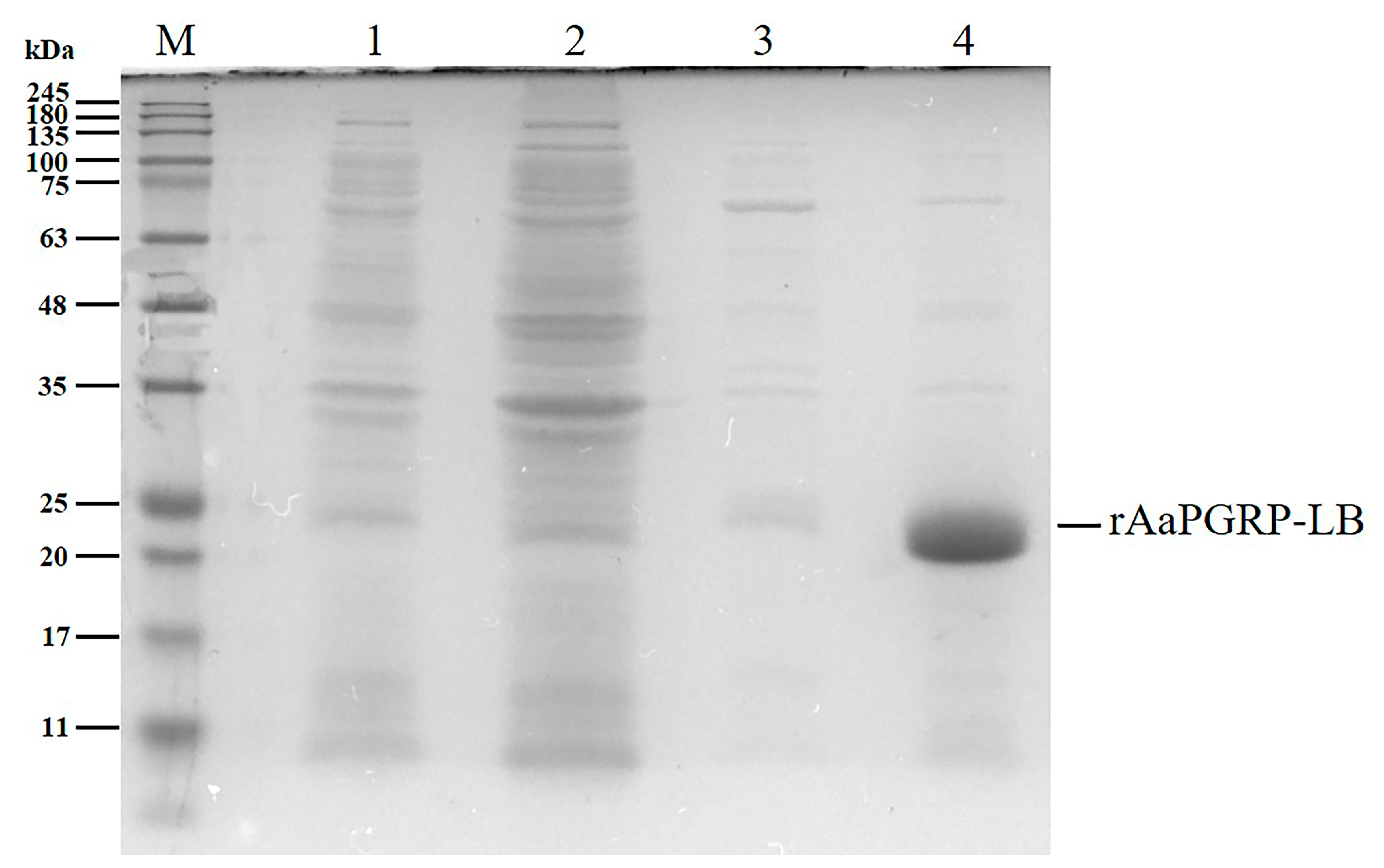
2.5. Recombinant Expression and Purification of AaPGRP-LB Protein
2.6. In Vitro Verification of rAaPGRP-LB Function by Agglutination Assays
2.7. Inhibition Effects of rAaPGRP-LB on Bacterial Growth
3. Discussion
4. Materials and Methods
4.1. Mosquito Collection and Rearing
4.2. RNA Isolation and Amplification of AaPGRP-LB
4.3. Identification of AaPGRP-LB Gene
4.4. Sequence Alignment and Phylogenetic Analysis of AaPGRP-LB
4.5. Structure Prediction and Molecular Docking of AaPGRP-LB
4.6. Expression Analysis of AaPGRP-LB by Reverse Transcription (RT)-qPCR
4.7. Expression and Purification of Recombinant AaPGRP-LB Protein of Ae. albopictus
4.8. Agglutination Assay of rAaPGRP-LB
4.9. Antibacterial Activity Assay of rAaPGRP-LB
4.10. Statistical Analysis
5. Conclusions
Author Contributions
Funding
Institutional Review Board Statement
Informed Consent Statement
Data Availability Statement
Acknowledgments
Conflicts of Interest
Abbreviations
| 3D | three-dimensional |
| AMPs | antimicrobial peptides |
| ANOVA | analysis of variance |
| CDD | conserved domain database |
| IPTG | isopropyl β-D-1-thiogalactopyranoside |
| MTP | muramyl tripeptide |
| Ni-NTA | nickel-nitrilotriacetic acid |
| OD | optical density |
| ORF | open reading frame |
| PBS | phosphate-buffered saline |
| PGRPs | peptidoglycan recognition proteins |
| PGNs | peptidoglycans |
| PPO | prophenoloxidase |
| PRRs | pattern recognition receptors |
| RT-qPCR | real-time quantitative polymerase chain reaction |
| SD | standard deviation |
| TCT | tracheal cytotoxin |
References
- Ma, Z.; Xing, D.; Liu, Q.; Gao, J.; Wang, G.; Li, C.; Guo, X.; Jiang, Y.; Zhao, T.; Zhou, X.; et al. Population genetic characterization of (Aedes albopictus) mosquitoes (Diptera: Culicidae) from the Yangtze River Basin of China based on rDNA-ITS2. Infect. Genet. Evol. 2023, 113, 105485. [Google Scholar] [CrossRef] [PubMed]
- Ahebwa, A.; Hii, J.; Neoh, K.B.; Chareonviriyaphap, T. Aedes aegypti and Aedes albopictus (Diptera: Culicidae) ecology, biology, behaviour, and implications on arbovirus transmission in Thailand: Review. One Health 2023, 16, 100555. [Google Scholar] [CrossRef] [PubMed]
- Raksakoon, C.; Potiwat, R. Current arboviral threats and their potential vectors in Thailand. Pathogens 2021, 10, 80. [Google Scholar] [CrossRef] [PubMed]
- Kordaczuk, J.; Sułek, M.; Wojda, I. General overview on the role of peptidoglycan recognition proteins in insect immunity. Acta Biochim. Pol. 2020, 67, 319–326. [Google Scholar] [CrossRef]
- Yoshida, H.; Kinoshita, K.; Ashida, M. Purification of a peptidoglycan recognition protein from hemolymph of the silkworm, Bombyx mori. J. Biol. Chem. 1996, 271, 13854–13860. [Google Scholar] [CrossRef]
- Royet, J.; Dziarski, R. Peptidoglycan recognition proteins: Pleiotropic sensors and effectors of antimicrobial defences. Nat. Rev. Microbiol. 2007, 5, 264–277. [Google Scholar] [CrossRef]
- Gerardo, N.M.; Altincicek, B.; Anselme, C.; Atamian, H.; Barribeau, S.M.; de Vos, M.; Duncan, E.J.; Evans, J.D.; Gabaldón, T.; Ghanim, M.; et al. Immunity and other defenses in pea aphids, Acyrthosiphon pisum. Genome Biol. 2010, 11, R21. [Google Scholar] [CrossRef]
- Royet, J.; Gupta, D.; Dziarski, R. Peptidoglycan recognition proteins: Modulators of the microbiome and inflammation. Nat. Rev. Immunol. 2011, 11, 837–851. [Google Scholar] [CrossRef]
- Yang, D.; Han, Y.; Liu, Y.; Cao, R.; Wang, Q.; Dong, Z.; Liu, H.; Zhang, X.; Zhang, Q.; Zhao, J. A peptidoglycan recognition protein involved in immune recognition and immune defenses in Ruditapes philippinarum. Fish Shellfish Immunol. 2019, 88, 441–448. [Google Scholar] [CrossRef]
- Dziarski, R.; Gupta, D. Mammalian PGRPs: Novel antibacterial proteins. Cell Microbiol. 2006, 8, 1059–1069. [Google Scholar] [CrossRef]
- Xiong, G.H.; Xing, L.S.; Lin, Z.; Saha, T.T.; Wang, C.; Jiang, H.; Zou, Z. High throughput profiling of the cotton bollworm Helicoverpa armigera immunotranscriptome during the fungal and bacterial infections. BMC Genom. 2015, 16, 321. [Google Scholar] [CrossRef] [PubMed]
- Gelius, E.; Persson, C.; Karlsson, J.; Steiner, H. A mammalian peptidoglycan recognition protein with N-acetylmuramoyl-L-alanine amidase activity. Biochem. Biophys. Res. Commun. 2003, 306, 988–994. [Google Scholar] [CrossRef] [PubMed]
- Lemaitre, B.; Hoffmann, J. The host defense of Drosophila melanogaster. Annu. Rev. Immunol. 2007, 25, 697–743. [Google Scholar] [CrossRef] [PubMed]
- Zhan, M.Y.; Yang, P.J.; Rao, X.J. Molecular cloning and analysis of PGRP-L1 and IMD from silkworm Bombyx mori. Comp. Biochem. Physiol. B Biochem. Mol. Biol. 2018, 215, 19–30. [Google Scholar] [CrossRef]
- Wang, X.; Zhang, Y.; Zhang, R.; Zhang, J. The diversity of pattern recognition receptors (PRRs) involved with insect defense against pathogens. Curr. Opin. Insect Sci. 2019, 33, 105–110. [Google Scholar] [CrossRef]
- Huang, W.; Xu, X.; Freed, S.; Zheng, Z.; Wang, S.; Ren, S.; Jin, F. Molecular cloning and characterization of a β-1,3-glucan recognition protein from Plutella xylostella (L.). N. Biotechnol. 2015, 32, 290–299. [Google Scholar] [CrossRef]
- Jiang, H.; Vilcinskas, A.; Kanost, M.R. Immunity in lepidopteran insects. Adv. Exp. Med. Biol. 2010, 708, 181–204. [Google Scholar]
- Lu, Y.; Su, F.; Li, Q.; Zhang, J.; Li, Y.; Tang, T.; Hu, Q.; Yu, X.Q. Pattern recognition receptors in Drosophila immune responses. Dev. Comp. Immunol. 2020, 102, 103468. [Google Scholar] [CrossRef]
- Ramirez, J.L.; Muturi, E.J.; Flor-Weiler, L.B.; Vermillion, K.; Rooney, A.P. Peptidoglycan recognition proteins (PGRPs) modulates mosquito resistance to fungal entomopathogens in a fungal-strain specific manner. Front. Cell Infect. Microbiol. 2019, 9, 465. [Google Scholar] [CrossRef]
- Jiang, L.; Liu, W.; Guo, H.; Dang, Y.; Cheng, T.; Yang, W.; Sun, Q.; Wang, B.; Wang, Y.; Xie, E.; et al. Distinct functions of Bombyx mori peptidoglycan recognition protein 2 in immune responses to bacteria and viruses. Front. Immunol. 2019, 10, 776. [Google Scholar] [CrossRef]
- Werner, T.; Liu, G.; Kang, D.; Ekengren, S.; Steiner, H.; Hultmark, D. A family of peptidoglycan recognition proteins in the fruit fly Drosophila melanogaster. Proc. Natl. Acad. Sci. USA 2000, 97, 13772–13777. [Google Scholar] [CrossRef] [PubMed]
- Wang, Q.; Ren, M.; Liu, X.; Xia, H.; Chen, K. Peptidoglycan recognition proteins in insect immunity. Mol. Immunol. 2019, 106, 69–76. [Google Scholar] [CrossRef] [PubMed]
- Kurata, S. Peptidoglycan recognition proteins in Drosophila immunity. Dev. Comp. Immunol. 2014, 42, 36–41. [Google Scholar] [CrossRef] [PubMed]
- Yanagawa, A.; Neyen, C.; Lemaitre, B.; Marion-Poll, F. The gram-negative sensing receptor PGRP-LC contributes to grooming induction in Drosophila. PLoS ONE 2017, 12, e0185370. [Google Scholar] [CrossRef]
- Tanaka, H.; Ishibashi, J.; Fujita, K.; Nakajima, Y.; Sagisaka, A.; Tomimoto, K.; Suzuki, N.; Yoshiyama, M.; Kaneko, Y.; Iwasaki, T.; et al. A genome-wide analysis of genes and gene families involved in innate immunity of Bombyx mori. Insect Biochem. Mol. Biol. 2008, 38, 1087–1110. [Google Scholar] [CrossRef]
- Yang, J.; Wang, X.; Tang, S.; Shen, Z.; Wu, J. Peptidoglycan recognition protein S2 from silkworm integument: Characterization, microbe-induced expression, and involvement in the immune-deficiency pathway. J. Insect Sci. 2015, 15, 20. [Google Scholar] [CrossRef]
- Zhao, P.; Xia, F.; Jiang, L.; Guo, H.; Xu, G.; Sun, Q.; Wang, B.; Wang, Y.; Lu, Z.; Xia, Q. Enhanced antiviral immunity against Bombyx mori cytoplasmic polyhedrosis virus via overexpression of peptidoglycan recognition protein S2 in transgenic silkworms. Dev. Comp. Immunol. 2018, 87, 84–89. [Google Scholar] [CrossRef]
- Yang, P.J.; Zhan, M.Y.; Ye, C.; Yu, X.Q.; Rao, X.J. Molecular cloning and characterization of a short peptidoglycan recognition protein from silkworm Bombyx mori. Insect Mol. Biol. 2017, 26, 665–676. [Google Scholar] [CrossRef]
- Liang, Y.; Wang, T.; Yang, W.; Chen, Z.; Li, Q.; Swevers, L.; Liu, J. Silencing of the immune gene BmPGRP-L4 in the midgut affects the growth of silkworm (Bombyx mori) larvae. Insect Mol. Biol. 2023, 32, 340–351. [Google Scholar] [CrossRef]
- Wang, S.; Beerntsen, B.T. Functional implications of the peptidoglycan recognition proteins in the immunity of the yellow fever mosquito, Aedes aegypti. Insect Mol. Biol. 2015, 24, 293–310. [Google Scholar] [CrossRef]
- Wang, Z.; Zhou, W.; Huang, B.; Gao, M.; Li, Q.; Tao, Y.; Wang, Z. Molecular and functional characterization of peptidoglycan recognition proteins OfPGRP-A and OfPGRP-B in Ostrinia furnacalis (Lepidoptera: Crambidae). Insects 2022, 13, 417. [Google Scholar] [CrossRef] [PubMed]
- Mellroth, P.; Karlsson, J.; Steiner, H. A scavenger function for a Drosophila peptidoglycan recognition protein. J. Biol. Chem. 2003, 278, 7059–7064. [Google Scholar] [CrossRef] [PubMed]
- Zaidman-Rémy, A.; Poidevin, M.; Hervé, M.; Welchman, D.P.; Paredes, J.C.; Fahlander, C.; Steiner, H.; Mengin-Lecreulx, D.; Lemaitre, B. Drosophila immunity: Analysis of PGRP-SB1 expression, enzymatic activity and function. PLoS ONE 2011, 6, e17231. [Google Scholar] [CrossRef] [PubMed]
- Chen, K.; Liu, C.; He, Y.; Jiang, H.; Lu, Z. A short-type peptidoglycan recognition protein from the silkworm: Expression, characterization and involvement in the prophenoloxidase activation pathway. Dev. Comp. Immunol. 2014, 45, 1–9. [Google Scholar] [CrossRef]
- Kim, M.S.; Byun, M.; Oh, B.H. Crystal structure of peptidoglycan recognition protein LB from Drosophila melanogaster. Nat. Immunol. 2003, 4, 787–793. [Google Scholar] [CrossRef]
- Dawadi, B.; Wang, X.; Xiao, R.; Muhammad, A.; Hou, Y.; Shi, Z. PGRP-LB homolog acts as a negative modulator of immunity in maintaining the gut-microbe symbiosis of red palm weevil, Rhynchophorus ferrugineus Olivier. Dev. Comp. Immunol. 2018, 86, 65–77. [Google Scholar] [CrossRef]
- Delrieu, M.; Martinet, J.P.; O’Connor, O.; Viennet, E.; Menkes, C.; Burtet-Sarramegna, V.; Frentiu, F.D.; Dupont-Rouzeyrol, M. Temperature and transmission of chikungunya, dengue, and Zika viruses: A systematic review of experimental studies on Aedes aegypti and Aedes albopictus. Curr. Res. Parasitol. Vector Borne. Dis. 2023, 4, 100139. [Google Scholar] [CrossRef]
- Figurskey, A.C.; Hollingsworth, B.; Doyle, M.S.; Reiskind, M.H. Effectiveness of autocidal gravid trapping and chemical control in altering abundance and age structure of Aedes albopictus. Pest Manag. Sci. 2022, 78, 2931–2939. [Google Scholar] [CrossRef]
- Gupta, K.; Dhawan, R.; Kajla, M.; Misra, T.; Kumar, S.; Gupta, L. The evolutionary divergence of STAT transcription factor in different Anopheles species. Gene 2017, 596, 89–97. [Google Scholar] [CrossRef]
- Liu, F.F.; Li, H.; Yang, P.J.; Rao, X.J. Structure-function analysis of PGRP-S1 from the oriental armyworm, Mythimna separata. Arch. Insect Biochem. Physiol. 2021, 106, e21763. [Google Scholar] [CrossRef]
- Zaidman-Rémy, A.; Hervé, M.; Poidevin, M.; Pili-Floury, S.; Kim, M.S.; Blanot, D.; Oh, B.H.; Ueda, R.; Mengin-Lecreulx, D.; Lemaitre, B. The Drosophila amidase PGRP-LB modulates the immune response to bacterial infection. Immunity 2006, 24, 463–473. [Google Scholar] [CrossRef] [PubMed]
- Charroux, B.; Capo, F.; Kurz, C.L.; Peslier, S.; Chaduli, D.; Viallat-Lieutaud, A.; Royet, J. Cytosolic and secreted peptidoglycan-degrading enzymes in Drosophila respectively control local and systemic immune responses to microbiota. Cell Host Microbe. 2018, 23, 215–228.e4. [Google Scholar] [CrossRef] [PubMed]
- Orlans, J.; Vincent-Monegat, C.; Rahioui, I.; Sivignon, C.; Butryn, A.; Soulère, L.; Zaidman-Remy, A.; Orville, A.M.; Heddi, A.; Aller, P.; et al. PGRP-LB: An inside view into the mechanism of the amidase reaction. Int. J. Mol. Sci. 2021, 22, 4957. [Google Scholar] [CrossRef] [PubMed]
- Wang, S.; Beerntsen, B.T. Insights into the different functions of multiple peptidoglycan recognition proteins in the immune response against bacteria in the mosquito, Armigeres subalbatus. Insect Biochem. Mol. Biol. 2013, 43, 533–543. [Google Scholar] [CrossRef]
- Kajla, M.; Choudhury, T.P.; Kakani, P.; Gupta, K.; Dhawan, R.; Gupta, L.; Kumar, S. Silencing of Anopheles stephensi heme peroxidase HPX15 activates diverse immune pathways to regulate the growth of midgut bacteria. Front. Microbiol. 2016, 7, 1351. [Google Scholar] [CrossRef]
- Mellroth, P.; Steiner, H. PGRP-SB1: An N-acetylmuramoyl L-alanine amidase with antibacterial activity. Biochem. Biophys. Res. Commun. 2006, 350, 994–999. [Google Scholar] [CrossRef]
- Lin, L.Q.; Chen, Y.H.; Tian, Y.F.; Chen, Y.S.; Zheng, Z.Y.; Wu, J.X.; Hu, F.; Wu, C.; Xie, L.H. Study on the cross-resistance of Aedes albopictus (Skuse) (Diptera: Culicidae) to deltamethrin and pyriproxyfen. Parasit. Vectors 2024, 17, 403. [Google Scholar] [CrossRef]
- Kajla, M.; Kakani, P.; Choudhury, T.P.; Gupta, K.; Gupta, L.; Kumar, S. Characterization and expression analysis of gene encoding heme peroxidase HPX15 in major Indian malaria vector Anopheles stephensi (Diptera: Culicidae). Acta Trop. 2016, 158, 107–116. [Google Scholar] [CrossRef]
- Zhu, Z.; Wu, H.; Lin, L.; Li, A.; Kang, Z.; Zhang, J.; Jin, F.; Xu, X. Comparative analysis of PGRP family in polymorphic worker castes of Solenopsis invicta. Int. J. Mol. Sci. 2024, 25, 12289. [Google Scholar] [CrossRef]
- Shen, D.; Ji, J.; Zhang, S.; Liu, J.; An, C. A short-type peptidoglycan recognition protein 1 (PGRP1) is involved in the immune response in Asian corn borer, Ostrinia furnacalis (Guenée). Int. J. Mol. Sci. 2021, 22, 8198. [Google Scholar] [CrossRef]
- Shen, D.; Mei, X.; Guo, J.; Tong, M.; Xia, D.; Qiu, Z.; Zhao, Q. Peptidoglycan recognition protein-S1 (PGRP-S1) from Diaphania pyloalis (Walker) is involved in the agglutination and prophenoloxidase activation pathway. Gene 2022, 809, 146004. [Google Scholar] [CrossRef]








| Time (h) | Tris + E. coli (OD) | Tris + Zn2+ + E. coli (OD) | rAaPGRP-LB + E. coli (OD) | rAaPGRP-LB + Zn2+ + E. coli (OD) |
|---|---|---|---|---|
| 0 | 0.107 ± 0.002 | 0.107 ± 0.001 | 0.113 ± 0.001 * | 0.112 ± 0.002 # |
| 1 | 0.107 ± 0.002 | 0.107 ±0.001 | 0.114 ± 0.001 * | 0.111 ± 0.002 # |
| 2 | 0.105 ± 0.001 | 0.108 ± 0.001 | 0.114 ± 0.001 * | 0.112 ± 0.001 # |
| 3 | 0.106 ± 0.002 | 0.109 ± 0.001 | 0.114 ± 0.001 * | 0.112 ± 0.001 # |
| 4 | 0.112 ± 0.003 | 0.115 ± 0.001 | 0.117 ± 0.001 * | 0.113 ± 0.001 |
| 5 | 0.115 ± 0.002 | 0.117 ± 0.001 | 0.120 ± 0.002 * | 0.118 ± 0.002 |
| 6 | 0.124 ± 0.002 | 0.124 ± 0.001 | 0.121 ± 0.002 | 0.125 ± 0.002 |
| 7 | 0.137 ± 0.003 | 0.136 ± 0.002 | 0.123 ± 0.002 * | 0.140 ± 0.002 |
| 8 | 0.154 ± 0.003 | 0.155 ± 0.003 | 0.134 ± 0.004 * | 0.145 ± 0.001 # |
| 9 | 0.188 ± 0.001 | 0.186 ± 0.003 | 0.166 ± 0.007 * | 0.147 ± 0.001 # |
| 10 | 0.227 ± 0.002 | 0.225 ± 0.003 | 0.197 ± 0.002 * | 0.148 ± 0.001 # |
| 11 | 0.282 ± 0.002 | 0.281 ± 0.001 | 0.239 ± 0.002 * | 0.149 ± 0.001 # |
| 12 | 0.314 ± 0.002 | 0.313 ± 0.002 | 0.267 ± 0.002 * | 0.150 ± 0.001 # |
| Time (h) | Tris + S. aureus (OD) | Tris + Zn2+ + S. aureus (OD) | rAaPGRP-LB + S. aureus (OD) | rAaPGRP-LB + Zn2+ + S. Aureus (OD) |
|---|---|---|---|---|
| 0 | 0.107 ± 0.003 | 0.106 ± 0.002 | 0.114 ± 0.002 * | 0.113 ± 0.001 # |
| 1 | 0.107 ± 0.002 | 0.107 ± 0.002 | 0.114 ± 0.002 * | 0.114 ± 0.001 # |
| 2 | 0.111 ± 0.003 | 0.110 ± 0.002 | 0.116 ± 0.002 | 0.129 ± 0.002 # |
| 3 | 0.118 ± 0.004 | 0.116 ± 0.002 | 0.122 ± 0.002 | 0.135 ± 0.002 # |
| 4 | 0.138 ± 0.002 | 0.139 ± 0.002 | 0.141 ± 0.001 * | 0.137 ± 0.001 |
| 5 | 0.158 ± 0.003 | 0.156 ± 0.002 | 0.152 ± 0.002 * | 0.140 ± 0.001 # |
| 6 | 0.211 ± 0.005 | 0.209 ± 0.004 | 0.184 ± 0.002 * | 0.143 ± 0.002 # |
| 7 | 0.302 ± 0.003 | 0.296 ± 0.001 | 0.242 ± 0.001 * | 0.144 ± 0.002 # |
| 8 | 0.375 ± 0.004 | 0.372 ± 0.001 | 0.291 ± 0.003 * | 0.145 ± 0.002 # |
| 9 | 0.443 ± 0.002 | 0.442 ± 0.001 | 0.352 ± 0.005 * | 0.146 ± 0.002 # |
| 10 | 0.492 ± 0.006 | 0.493 ± 0.003 | 0.408 ± 0.005 * | 0.147 ± 0.002 # |
| 11 | 0.552 ± 0.003 | 0.553 ± 0.002 | 0.455 ± 0.002 * | 0.146 ± 0.001 # |
| 12 | 0.616 ± 0.002 | 0.617 ± 0.002 | 0.483 ± 0.002 * | 0.146 ± 0.001 # |
Disclaimer/Publisher’s Note: The statements, opinions and data contained in all publications are solely those of the individual author(s) and contributor(s) and not of MDPI and/or the editor(s). MDPI and/or the editor(s) disclaim responsibility for any injury to people or property resulting from any ideas, methods, instructions or products referred to in the content. |
© 2025 by the authors. Licensee MDPI, Basel, Switzerland. This article is an open access article distributed under the terms and conditions of the Creative Commons Attribution (CC BY) license (https://creativecommons.org/licenses/by/4.0/).
Share and Cite
Wu, C.; Chen, Y.; Zheng, C.; Huang, X.; Xie, Y.; Lin, L.; Zhang, X.; Xie, L. The Role of AaPGRP-LB in the Immune Response of Aedes albopictus Against Bacteria Infection. Int. J. Mol. Sci. 2025, 26, 2188. https://doi.org/10.3390/ijms26052188
Wu C, Chen Y, Zheng C, Huang X, Xie Y, Lin L, Zhang X, Xie L. The Role of AaPGRP-LB in the Immune Response of Aedes albopictus Against Bacteria Infection. International Journal of Molecular Sciences. 2025; 26(5):2188. https://doi.org/10.3390/ijms26052188
Chicago/Turabian StyleWu, Cheng, Yahui Chen, Chenhua Zheng, Xitong Huang, Yuyang Xie, Lingqun Lin, Xiuli Zhang, and Lihua Xie. 2025. "The Role of AaPGRP-LB in the Immune Response of Aedes albopictus Against Bacteria Infection" International Journal of Molecular Sciences 26, no. 5: 2188. https://doi.org/10.3390/ijms26052188
APA StyleWu, C., Chen, Y., Zheng, C., Huang, X., Xie, Y., Lin, L., Zhang, X., & Xie, L. (2025). The Role of AaPGRP-LB in the Immune Response of Aedes albopictus Against Bacteria Infection. International Journal of Molecular Sciences, 26(5), 2188. https://doi.org/10.3390/ijms26052188

