A ‘Spicy’ Mechanotransduction Switch: Capsaicin-Activated TRPV1 Receptor Modulates Osteosarcoma Cell Behavior and Drug Sensitivity
Abstract
1. Introduction
2. Results
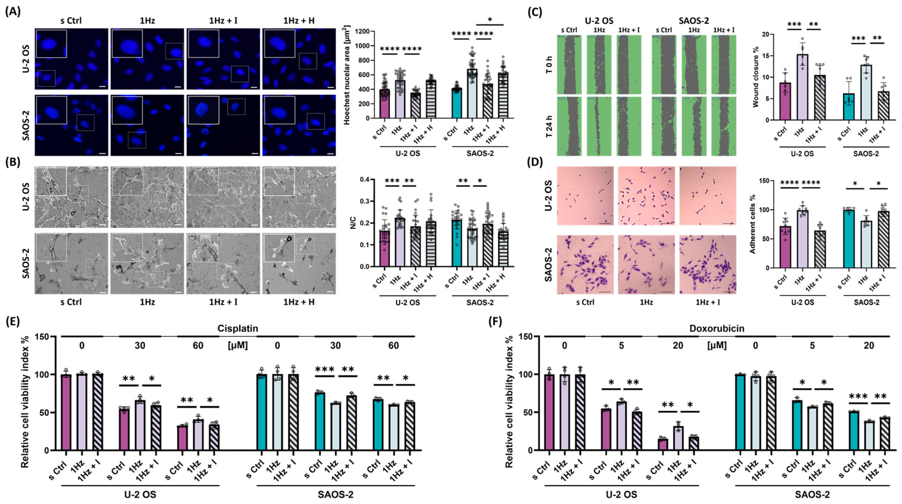
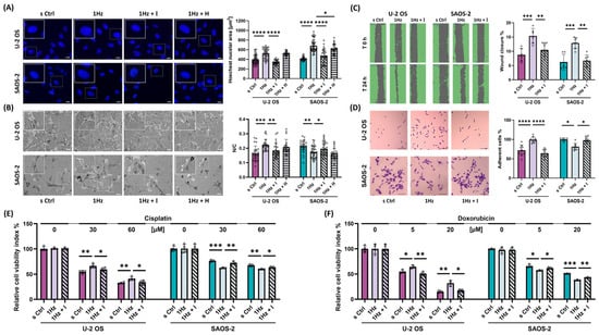
2.1. TRPV1 Antagonism Counteracts Mechanically Induced Responses in Osteosarcoma Cells
2.2. Uniaxial Stretch-Induced U-2 OS Cell Reorientation: A TRPV1-Dependent Process
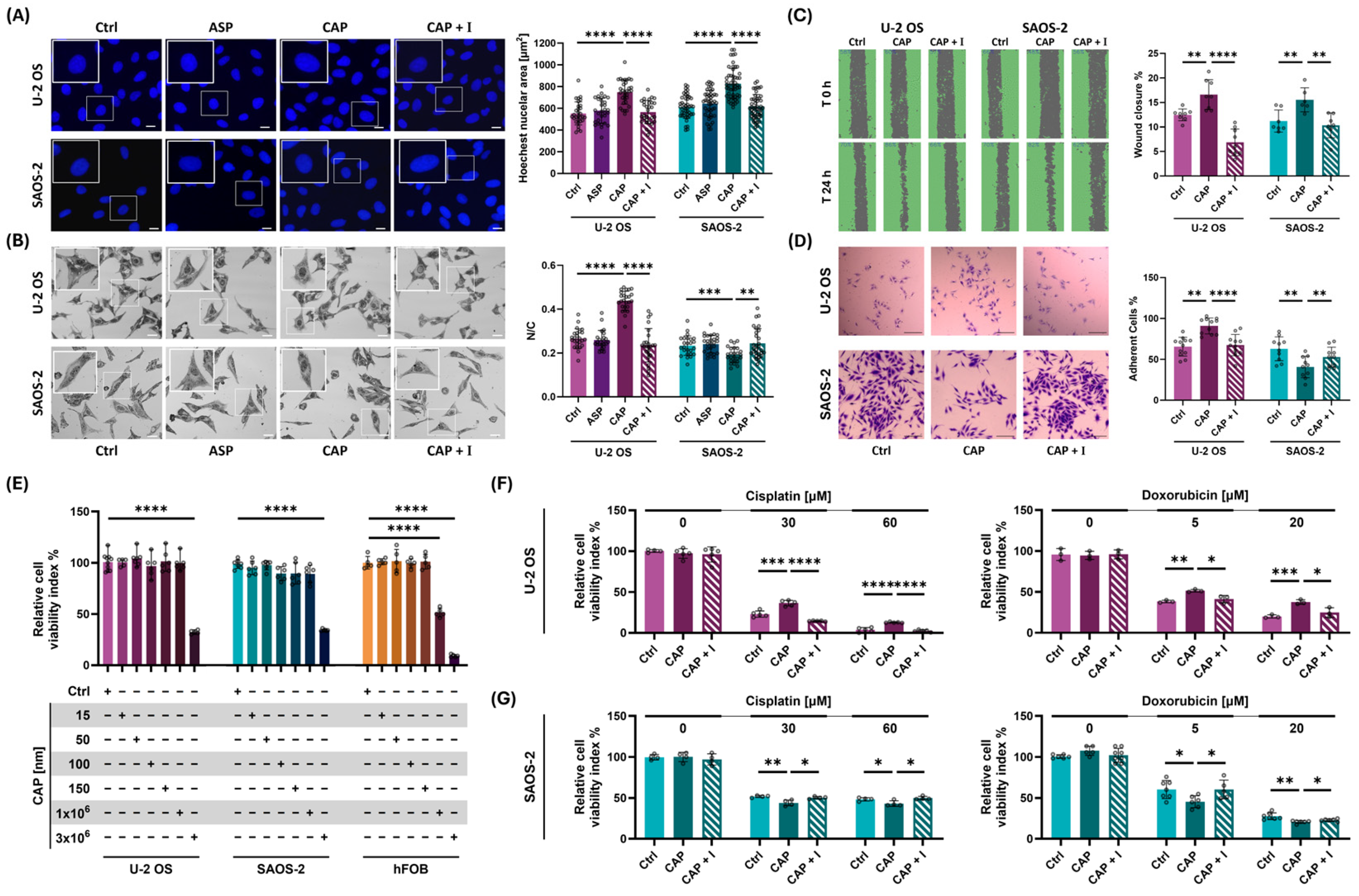
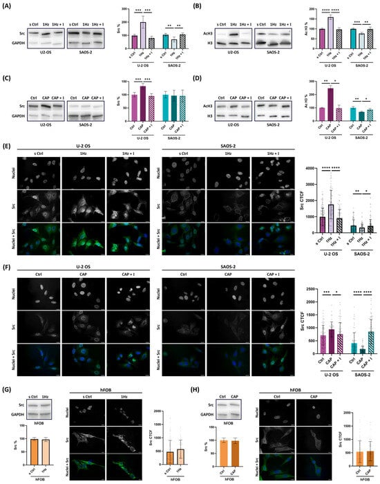
2.3. Nanomolar Capsaicin Activates TRPV1 to Reproduce Mechanical Phenotypes and Modulate Chemoresponse in OS Cells
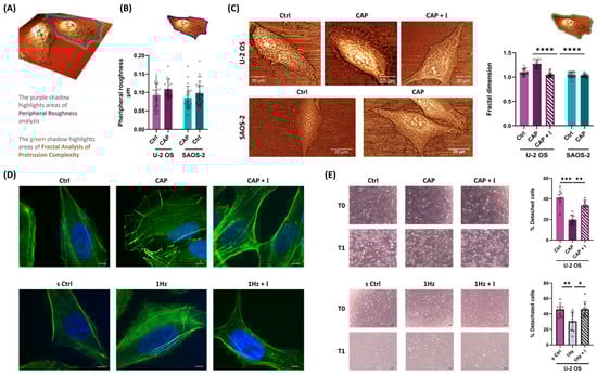
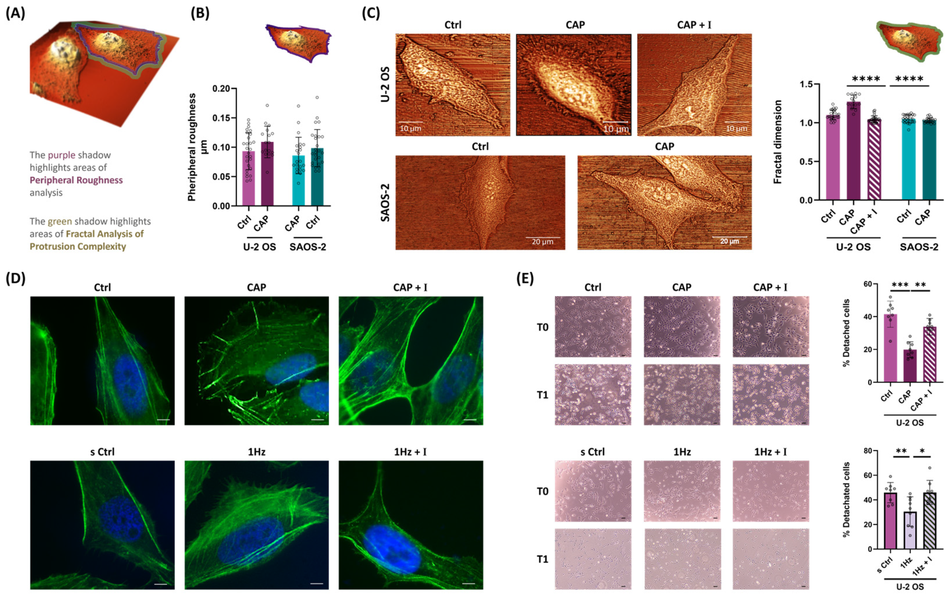
2.4. Chemical Activation of TRPV1 Replicate Mechanical Signals Governing Osteosarcoma Cell Adhesiveness and Edge Complexity
2.5. TRPV1 Activation Mediates Nuclear Localization of Src and Triggers Histone 3 Acetylation
3. Discussion
4. Materials and Methods
4.1. Cell Culture and Chemical Materials
4.2. Mechanical Stretch Application
4.3. Chemical Activation and Inhibition of MS Channels Through Soluble Compounds
4.4. Cell Count, and Protein Extraction and Quantification
4.5. Cell Viability Assay and Cytotoxicity Assay
4.6. Confocal Microscopy
4.7. Immunofluorescence Microscopy
- SRC: (1:100, #sc-32789, Santa Cruz Biotechnology, TX, USA).
- β-Tubulin: (1:100, #GTX101279, GeneText Irvine, CA, USA).
- Alexa Fluor 488–conjugated anti-rabbit IgG (1:400, #A21206, Thermo Fisher Scientific, MA, USA).
- Alexa Fluor 568–conjugated anti-mouse IgG (1:400, #A10037, Thermo Fisher Scientific, MA, USA).
4.8. Microscopy Image Analyses
4.9. Cell Re-Orienteering Along X Stretching Axis
4.10. Adhesion Assay
4.11. Detachment Assay
4.12. Western Blotting Analysis
- GAPDH (1:10,000, GTX100118, GeneTex, Irvine, CA, USA).
- Src (1:500, #2108, Cell Signaling Technology, Danvers, MA, USA).
- Histone H3 (1:2000, ab1791, Abcam Cambridge, UK).
- Acetyl-Histone H3 (Lys9/Lys14) (1:500, #9677, Cell Signaling Technology, Danvers, MA, USA).
4.13. Wound Healing Assay (Scratch Assay)
4.14. Atomic Force Microscopy Analysis
4.15. AFM-Based Quantification of Cell Edge Architecture Complexity
4.16. Automated Analysis of Nuclear C-Src Fluorescence
4.17. Figure Creation
4.18. Data Analysis
5. Conclusions
Supplementary Materials
Author Contributions
Funding
Data Availability Statement
Acknowledgments
Conflicts of Interest
Abbreviations
| Ac-H3 | Acetyl-Histone |
| AFM | Atomic Force Microscopy |
| AMG | AMG9810 |
| HC | HC030031 |
| ASP | ASP7663 |
| BSA | Bovine Albumin Serum |
| c-SRC | Proto-Oncogene Tyrosine-Protein Kinase |
| CTCF | Corrected Total Cell Fluorescence |
| DMEM | Dulbecco’s Modified Eagle’s Medium |
| F-12 | Ham’s F-12 Nutrient Mixture |
| FD analysis | Fractal Dimension analysis |
| GAPDH | Human Glyceraldehyde 3-Phosphate Dehydrogenase |
| GsMTx-4 | Grammostola Spatulata Mechanotoxin 4 |
| hFOB | Human Fetal Osteoblast Cell Line (hFOB1.19) |
| LE | LE135 |
| MAP | Methotrexate + Doxorubicin + Cisplatin |
| MS | Mechanosensitive |
| MTT | 3-(4,5-Dimethylthiazol-2-yl)-2,5-diphenyltetrazolium bromide |
| N/C | Nuclear-to-Cytoplasmic |
| OS | Osteosarcoma |
| PBS | Phosphate-Buffered Saline |
| SDS | Sodium Dodecyl Sulfate |
| TRPA1 | Transient Receptor Potential Ankyrin 1 |
| TRPV1 | Transient Receptor Potential Vanilloid 1 |
References
- Chen, M.B.; Javanmardi, Y.; Shahreza, S.; Serwinski, B.; Aref, A.; Djordjevic, B.; Moeendarbary, E. Mechanobiology in Oncology: Basic Concepts and Clinical Prospects. Front. Cell Dev. Biol. 2023, 11, 1239749. [Google Scholar] [CrossRef]
- Zhou, H.; Wang, M.; Zhang, Y.; Su, Q.; Xie, Z.; Chen, X.; Yan, R.; Li, P.; Li, T.; Qin, X.; et al. Functions and Clinical Significance of Mechanical Tumor Microenvironment: Cancer Cell Sensing, Mechanobiology and Metastasis. Cancer Commun. 2022, 42, 374–400. [Google Scholar] [CrossRef]
- Yu, W.; Sharma, S.; Rao, E.; Rowat, A.C.; Gimzewski, J.K.; Han, D.; Rao, J. Cancer Cell Mechanobiology: A New Frontier for Cancer Research. J. Natl. Cancer Cent. 2022, 2, 10–17. [Google Scholar] [CrossRef]
- Zuela-Sopilniak, N.; Lammerding, J. Can’t Handle the Stress? Mechanobiology and Disease. Trends Mol. Med. 2022, 28, 710–725. [Google Scholar] [CrossRef] [PubMed]
- Ingber, D.E. Tensegrity II. How Structural Networks Influence Cellular Information Processing Networks. J. Cell Sci. 2003, 116, 1397–1408. [Google Scholar] [CrossRef] [PubMed]
- Chuang, Y.-C.; Chen, C.-C. Force From Filaments: The Role of the Cytoskeleton and Extracellular Matrix in the Gating of Mechanosensitive Channels. Front. Cell Dev. Biol. 2022, 10, 886048. [Google Scholar] [CrossRef]
- Martino, F.; Perestrelo, A.R.; Vinarský, V.; Pagliari, S.; Forte, G. Cellular Mechanotransduction: From Tension to Function. Front. Physiol. 2018, 9, 824. [Google Scholar] [CrossRef] [PubMed]
- Li, N.; Zhang, X.; Zhou, J.; Li, W.; Shu, X.; Wu, Y.; Long, M. Multiscale Biomechanics and Mechanotransduction from Liver Fibrosis to Cancer. Adv. Drug Deliv. Rev. 2022, 188, 114448. [Google Scholar] [CrossRef]
- Cao, R.; Tian, H.; Tian, Y.; Fu, X. A Hierarchical Mechanotransduction System: From Macro to Micro. Adv. Sci. 2024, 11, e2302327. [Google Scholar] [CrossRef]
- Cascione, M.; De Matteis, V.; Mandriota, G.; Leporatti, S.; Rinaldi, R. Acute Cytotoxic Effects on Morphology and Mechanical Behavior in MCF-7 Induced by TiO2NPs Exposure. Int. J. Mol. Sci. 2019, 20, 3594. [Google Scholar] [CrossRef]
- D’Anselmi, F.; Valerio, M.; Cucina, A.; Galli, L.; Proietti, S.; Dinicola, S.; Pasqualato, A.; Manetti, C.; Ricci, G.; Giuliani, A.; et al. Metabolism and Cell Shape in Cancer: A Fractal Analysis. Int. J. Biochem. Cell Biol. 2011, 43, 1052–1058. [Google Scholar] [CrossRef]
- Luo, M.; Cai, G.; Ho, K.K.Y.; Wen, K.; Tong, Z.; Deng, L.; Liu, A.P. Compression Enhances Invasive Phenotype and Matrix Degradation of Breast Cancer Cells via Piezo1 Activation. BMC Mol. Cell Biol. 2022, 23, 1. [Google Scholar] [CrossRef] [PubMed]
- Muff, R.; Nigg, N.; Gruber, P.; Walters, D.; Born, W.; Fuchs, B. Altered Morphology, Nuclear Stability and Adhesion of Highly Metastatic Derivatives of Osteoblast-like SAOS-2 Osteosarcoma Cells. Anticancer Res. 2007, 27, 3973–3979. [Google Scholar] [PubMed]
- Tollis, S.; Rizzotto, A.; Pham, N.T.; Koivukoski, S.; Sivakumar, A.; Shave, S.; Wildenhain, J.; Zuleger, N.; Keys, J.T.; Culley, J.; et al. Chemical Interrogation of Nuclear Size Identifies Compounds with Cancer Cell Line-Specific Effects on Migration and Invasion. ACS Chem. Biol. 2022, 17, 680–700. [Google Scholar] [CrossRef] [PubMed]
- Chen, C.S.; Mrksich, M.; Huang, S.; Whitesides, G.M.; Ingber, D.E. Geometric Control of Cell Life and Death. Science 1997, 276, 1425–1428. [Google Scholar] [CrossRef]
- Muncie, J.M.; Weaver, V.M. The Physical and Biochemical Properties of the Extracellular Matrix Regulate Cell Fate. Curr. Top. Dev. Biol. 2018, 130, 1–37. [Google Scholar] [CrossRef]
- Sears, C.; Kaunas, R. The Many Ways Adherent Cells Respond to Applied Stretch. J. Biomech. 2016, 49, 1347–1354. [Google Scholar] [CrossRef]
- Bao, L.; Kong, H.; Ja, Y.; Wang, C.; Qin, L.; Sun, H.; Dai, S. The Relationship between Cancer and Biomechanics. Front. Oncol. 2023, 13, 1273154. [Google Scholar] [CrossRef]
- Bera, K.; Kiepas, A.; Zhang, Y.; Sun, S.X.; Konstantopoulos, K. The Interplay between Physical Cues and Mechanosensitive Ion Channels in Cancer Metastasis. Front. Cell Dev. Biol. 2022, 10, 954099. [Google Scholar] [CrossRef]
- Hudhud, L.; Rozmer, K.; Kecskés, A.; Pohóczky, K.; Bencze, N.; Buzás, K.; Szőke, É.; Helyes, Z. Transient Receptor Potential Ankyrin 1 Ion Channel Is Expressed in Osteosarcoma and Its Activation Reduces Viability. Int. J. Mol. Sci. 2024, 25, 3760. [Google Scholar] [CrossRef]
- Liao, W.; Li, Y.; Liu, T.; Deng, J.; Liang, H.; Shen, F. The Activation of Piezo1 Channel Promotes Invasion and Migration via the Release of Extracellular ATP in Cervical Cancer. Pathol. Res. Pract. 2024, 260, 155426. [Google Scholar] [CrossRef]
- Pethő, Z.; Najder, K.; Bulk, E.; Schwab, A. Mechanosensitive Ion Channels Push Cancer Progression. Cell Calcium 2019, 80, 79–90. [Google Scholar] [CrossRef] [PubMed]
- Yu, L.; Liu, L.; Kang, Y.; Chen, Y.; Lv, Y.; Zhang, Y.; Mou, X.; Cai, Y. Mild Photothermal Activation of TRPV1 Pathway for Enhanced Calcium Ion Overload Therapy of Hepatocellular Carcinoma. Int. J. Biol. Macromol. 2024, 282, 137192. [Google Scholar] [CrossRef] [PubMed]
- Deng, J.; Li, Y.; Zhang, L.; Liao, W.; Liu, T.; Shen, F. Piezo1 Regulates Actin Cytoskeleton Remodeling to Drive EMT in Cervical Cancer through the RhoA/ROCK1/PIP2 Signaling Pathway. Discov. Oncol. 2025, 16, 787. [Google Scholar] [CrossRef] [PubMed]
- Li, L.; Chen, C.; Chiang, C.; Xiao, T.; Chen, Y.; Zhao, Y.; Zheng, D. The Impact of TRPV1 on Cancer Pathogenesis and Therapy: A Systematic Review. Int. J. Biol. Sci. 2021, 17, 2034–2049. [Google Scholar] [CrossRef]
- Takahashi, N.; Chen, H.-Y.; Harris, I.S.; Stover, D.G.; Selfors, L.M.; Bronson, R.T.; Deraedt, T.; Cichowski, K.; Welm, A.L.; Mori, Y.; et al. Cancer Cells Co-Opt the Neuronal Redox-Sensing Channel TRPA1 to Promote Oxidative-Stress Tolerance. Cancer Cell 2018, 33, 985–1003.e7. [Google Scholar] [CrossRef]
- Glitsch, M. Mechano- and pH-Sensing Convergence on Ca2+-Mobilising Proteins—A Recipe for Cancer? Cell Calcium 2019, 80, 38–45. [Google Scholar] [CrossRef]
- Gargalionis, A.N.; Papavassiliou, K.A.; Papavassiliou, A.G. Mechanobiology of Solid Tumors. Biochim. Biophys. Acta (BBA)-Mol. Basis Dis. 2022, 1868, 166555. [Google Scholar] [CrossRef]
- Shoaib, Z.; Fan, T.M.; Irudayaraj, J.M.K. Osteosarcoma Mechanobiology and Therapeutic Targets. Br. J. Pharmacol. 2022, 179, 201–217. [Google Scholar] [CrossRef]
- Alloisio, G.; Ciaccio, C.; Fasciglione, G.F.; Tarantino, U.; Marini, S.; Coletta, M.; Gioia, M. Effects of Extracellular Osteoanabolic Agents on the Endogenous Response of Osteoblastic Cells. Cells 2021, 10, 2383. [Google Scholar] [CrossRef]
- Landau, A.B.; Zhu, V.S.; Reddy, A.J.; Yarlagadda, C.; Corsi, M.; Travis, L.M.; Abutineh, M.; Idriss, A.; Patel, R. Exploring the Role of External Beam Radiation Therapy in Osteosarcoma Treatment: Impact of Diagnostic Imaging Delays and Innovative Techniques. Cureus 2023, 15, e37442. [Google Scholar] [CrossRef] [PubMed]
- Alloisio, G.; Rodriguez, D.B.; Luce, M.; Ciaccio, C.; Marini, S.; Cricenti, A.; Gioia, M. Cyclic Stretch-Induced Mechanical Stress Applied at 1 Hz Frequency Can Alter the Metastatic Potential Properties of SAOS-2 Osteosarcoma Cells. Int. J. Mol. Sci. 2023, 24, 7686. [Google Scholar] [CrossRef] [PubMed]
- Kumar, V.; Naqvi, S.M.; Verbruggen, A.; McEvoy, E.; McNamara, L.M. A Mechanobiological Model of Bone Metastasis Reveals That Mechanical Stimulation Inhibits the Pro-Osteolytic Effects of Breast Cancer Cells. Cell Rep. 2024, 43, 114043. [Google Scholar] [CrossRef] [PubMed]
- Wang, X.; Zhu, K.; Hu, J.; Zhang, C. Advances and Challenges in the Treatment of Osteosarcoma. Prog. Biophys. Mol. Biol. 2025, 197, 60–74. [Google Scholar] [CrossRef]
- Urciuoli, E.; Petrini, S.; D’Oria, V.; Leopizzi, M.; Della Rocca, C.; Peruzzi, B. Nuclear Lamins and Emerin Are Differentially Expressed in Osteosarcoma Cells and Scale with Tumor Aggressiveness. Cancers 2020, 12, 443. [Google Scholar] [CrossRef]
- Urciuoli, E.; Coletta, I.; Rizzuto, E.; De Vito, R.; Petrini, S.; D’Oria, V.; Pezzullo, M.; Milano, G.M.; Cozza, R.; Locatelli, F.; et al. Src Nuclear Localization and Its Prognostic Relevance in Human Osteosarcoma. J. Cell. Physiol. 2018, 233, 1658–1670. [Google Scholar] [CrossRef]
- Basso, N.; Heersche, J.N.M. Characteristics of In Vitro Osteoblastic Cell Loading Models. Bone 2002, 30, 347–351. [Google Scholar] [CrossRef]
- Boulter, E.; Tissot, F.S.; Dilly, J.; Pisano, S.; Féral, C.C. Cyclic Uniaxial Mechanical Stretching of Cells Using a LEGO® Parts-Based Mechanical Stretcher System. J. Cell Sci. 2020, 133, jcs234666. [Google Scholar] [CrossRef]
- Chen, Y.; Pasapera, A.M.; Koretsky, A.P.; Waterman, C.M. Orientation-Specific Responses to Sustained Uniaxial Stretching in Focal Adhesion Growth and Turnover. Proc. Natl. Acad. Sci. USA 2013, 110, E2352–E2361. [Google Scholar] [CrossRef]
- Nam, E.; Lee, W.C.; Takeuchi, S. Formation of Highly Aligned Collagen Nanofibers by Continuous Cyclic Stretch of a Collagen Hydrogel Sheet. Macromol. Biosci. 2016, 16, 995–1000. [Google Scholar] [CrossRef]
- Walters, B.; Uynuk-Ool, T.; Rothdiener, M.; Palm, J.; Hart, M.L.; Stegemann, J.P.; Rolauffs, B. Engineering the Geometrical Shape of Mesenchymal Stromal Cells Through Defined Cyclic Stretch Regimens. Sci. Rep. 2017, 7, 6640. [Google Scholar] [CrossRef]
- Buglione, A.; Alloisio, G.; Ciaccio, C.; Rodriguez, D.B.; Dogali, S.; Luce, M.; Marini, S.; Cricenti, A.; Gioia, M. GsMTx-4 Venom Toxin Antagonizes Biophysical Modulation of Metastatic Traits in Human Osteosarcoma Cells. Eur. J. Cell Biol. 2025, 104, 151469. [Google Scholar] [CrossRef] [PubMed]
- Koudelková, L.; Brábek, J.; Rosel, D. Src Kinase: Key Effector in Mechanosignalling. Int. J. Biochem. Cell Biol. 2021, 131, 105908. [Google Scholar] [CrossRef] [PubMed]
- Veerasubramanian, P.K.; Shao, H.; Meli, V.S.; Phan, T.A.Q.; Luu, T.U.; Liu, W.F.; Downing, T.L. A Src-H3 Acetylation Signaling Axis Integrates Macrophage Mechanosensation with Inflammatory Response. Biomaterials 2021, 279, 121236. [Google Scholar] [CrossRef] [PubMed]
- Petrini, S.; Bagnato, G.; Piccione, M.; D’Oria, V.; Apollonio, V.; Cappa, M.; Castiglioni, C.; Santorelli, F.M.; Rizza, T.; Carrozzo, R.; et al. Imaging-Based Molecular Interaction Between Src and Lamin A/C Mechanosensitive Proteins in the Nucleus of Laminopathic Cells. Int. J. Mol. Sci. 2024, 25, 13365. [Google Scholar] [CrossRef]
- Anerillas, C.; Herman, A.B.; Rossi, M.; Munk, R.; Lehrmann, E.; Martindale, J.L.; Cui, C.-Y.; Abdelmohsen, K.; De, S.; Gorospe, M. Early SRC Activation Skews Cell Fate from Apoptosis to Senescence. Sci. Adv. 2022, 8, eabm0756. [Google Scholar] [CrossRef]
- Takahashi, A.; Obata, Y.; Fukumoto, Y.; Nakayama, Y.; Kasahara, K.; Kuga, T.; Higashiyama, Y.; Saito, T.; Yokoyama, K.K.; Yamaguchi, N. Nuclear Localization of Src-Family Tyrosine Kinases Is Required for Growth Factor-Induced Euchromatinization. Exp. Cell Res. 2009, 315, 1117–1141. [Google Scholar] [CrossRef]
- Yin, S.; Luo, J.; Qian, A.; Yu, W.; Hu, H. LE135, a Retinoid Acid Receptor Antagonist, Produces Pain Through Direct Activation of TRP Channels. Br. J. Pharmacol. 2014, 171, 1510–1520. [Google Scholar] [CrossRef]
- Yang, F.; Zheng, J. Understand Spiciness: Mechanism of TRPV1 Channel Activation by Capsaicin. Protein Cell 2017, 8, 169–177. [Google Scholar] [CrossRef]
- Li, S.; Zheng, J. The Capsaicin Binding Affinity of Wildtype and Mutant TRPV1 Ion Channels. J. Biol. Chem. 2023, 299, 105268. [Google Scholar] [CrossRef]
- Szallasi, A.; Cortright, D.N.; Blum, C.A.; Eid, S.R. The Vanilloid Receptor TRPV1: 10 Years from Channel Cloning to Antagonist Proof-of-Concept. Nat. Rev. Drug Discov. 2007, 6, 357–372. [Google Scholar] [CrossRef]
- Szallasi, A. Capsaicin and Cancer: Guilty as Charged or Innocent Until Proven Guilty? Temperature 2023, 10, 35–49. [Google Scholar] [CrossRef]
- Zhang, Y.; Deng, X.; Lei, T.; Yu, C.; Wang, Y.; Zhao, G.; Luo, X.; Tang, K.; Quan, Z.; Jiang, D. Capsaicin Inhibits Proliferation and Induces Apoptosis in Osteosarcoma Cell Lines via the Mitogen-activated Protein Kinase Pathway. Oncol. Rep. 2017, 38, 2685–2696. [Google Scholar] [CrossRef]
- Petran, E.M.; Periferakis, A.; Troumpata, L.; Periferakis, A.-T.; Scheau, A.-E.; Badarau, I.A.; Periferakis, K.; Caruntu, A.; Savulescu-Fiedler, I.; Sima, R.-M.; et al. Capsaicin: Emerging Pharmacological and Therapeutic Insights. Curr. Issues Mol. Biol. 2024, 46, 7895–7943. [Google Scholar] [CrossRef] [PubMed]
- Zhai, K.; Liskova, A.; Kubatka, P.; Büsselberg, D. Calcium Entry through TRPV1: A Potential Target for the Regulation of Proliferation and Apoptosis in Cancerous and Healthy Cells. Int. J. Mol. Sci. 2020, 21, 4177. [Google Scholar] [CrossRef] [PubMed]
- Fanelli, G.; Alloisio, G.; Lelli, V.; Marini, S.; Rinalducci, S.; Gioia, M. Mechano-Induced Cell Metabolism Disrupts the Oxidative Stress Homeostasis of SAOS-2 Osteosarcoma Cells. Front. Mol. Biosci. 2023, 10, 1297826. [Google Scholar] [CrossRef] [PubMed]
- McCarty, M.F.; DiNicolantonio, J.J.; O’Keefe, J.H. Capsaicin May Have Important Potential for Promoting Vascular and Metabolic Health. Open Heart 2015, 2, e000262. [Google Scholar] [CrossRef] [PubMed]
- Yang, F.; Xiao, X.; Cheng, W.; Yang, W.; Yu, P.; Song, Z.; Yarov-Yarovoy, V.; Zheng, J. Structural Mechanism Underlying Capsaicin Binding and Activation of the TRPV1 Ion Channel. Nat. Chem. Biol. 2015, 11, 518–524. [Google Scholar] [CrossRef]
- Ingólfsson, H.I.; Thakur, P.; Herold, K.F.; Hobart, E.A.; Ramsey, N.B.; Periole, X.; de Jong, D.H.; Zwama, M.; Yilmaz, D.; Hall, K.; et al. Phytochemicals Perturb Membranes and Promiscuously Alter Protein Function. ACS Chem. Biol. 2014, 9, 1788–1798. [Google Scholar] [CrossRef]
- Guz, N.V.; Dokukin, M.E.; Woodworth, C.D.; Cardin, A.; Sokolov, I. Towards Early Detection of Cervical Cancer: Fractal Dimension of AFM Images of Human Cervical Epithelial Cells at Different Stages of Progression to Cancer. Nanomed. Nanotechnol. Biol. Med. 2015, 11, 1667–1675. [Google Scholar] [CrossRef]
- Kim, Y.J.; Kim, H.-D.; Kim, H.H.; Shin, S.-M.; Kang, C.J.; Lee, K.H. Fractal Analysis of Cell Boundary Ultrastructure Imaged by Atomic Force Microscopy. Anim. Cells Syst. 2015, 19, 161–167. [Google Scholar] [CrossRef][Green Version]
- Strogatz, S.H. Nonlinear Dynamics and Chaos: With Applications to Physics, Biology, Chemistry, and Engineering, 3rd ed.; Chapman and Hall/CRC: Boca Raton, FL, USA, 2024; ISBN 978-0-429-39849-0. [Google Scholar]
- Havlin, S.; Buldyrev, S.V.; Goldberger, A.L.; Mantegna, R.N.; Ossadnik, S.M.; Peng, C.-K.; Simons, M.; Stanley, H.E. Fractals in Biology and Medicine. Chaos Solitons Fractals 1995, 6, 171–201. [Google Scholar] [CrossRef]
- Corre, I.; Verrecchia, F.; Crenn, V.; Redini, F.; Trichet, V. The Osteosarcoma Microenvironment: A Complex but Targetable Ecosystem. Cells 2020, 9, 976. [Google Scholar] [CrossRef] [PubMed]
- Gill, J.; Gorlick, R. Advancing Therapy for Osteosarcoma. Nat. Rev. Clin. Oncol. 2021, 18, 609–624. [Google Scholar] [CrossRef] [PubMed]
- Belayneh, R.; Fourman, M.S.; Bhogal, S.; Weiss, K.R. Update on Osteosarcoma. Curr. Oncol. Rep. 2021, 23, 71. [Google Scholar] [CrossRef]
- Dana, P.M.; Sadoughi, F.; Asemi, Z.; Yousefi, B. Molecular Signaling Pathways as Potential Therapeutic Targets in Osteosarcoma. CMC 2022, 29, 4436–4444. [Google Scholar] [CrossRef]
- Lau, C.C. Molecular Classification of Osteosarcoma. In Pediatric and Adolescent Osteosarcoma; Jaffe, N., Bruland, O.S., Bielack, S., Eds.; Cancer Treatment and Research; Springer: Boston, MA, USA, 2009; Volume 152, pp. 459–465. ISBN 978-1-4419-0283-2. [Google Scholar]
- Chen, B.; Zeng, Y.; Liu, B.; Lu, G.; Xiang, Z.; Chen, J.; Yu, Y.; Zuo, Z.; Lin, Y.; Ma, J. Risk Factors, Prognostic Factors, and Nomograms for Distant Metastasis in Patients with Newly Diagnosed Osteosarcoma: A Population-Based Study. Front. Endocrinol. 2021, 12, 672024. [Google Scholar] [CrossRef]
- Yoshida, A. Osteosarcoma. Surg. Pathol. Clin. 2021, 14, 567–583. [Google Scholar] [CrossRef]
- Seetharaman, S.; Vianay, B.; Roca, V.; Farrugia, A.J.; De Pascalis, C.; Boëda, B.; Dingli, F.; Loew, D.; Vassilopoulos, S.; Bershadsky, A.; et al. Microtubules Tune Mechanosensitive Cell Responses. Nat. Mater. 2022, 21, 366–377. [Google Scholar] [CrossRef]
- Denchai, A.; Tartarini, D.; Mele, E. Cellular Response to Surface Morphology: Electrospinning and Computational Modeling. Front. Bioeng. Biotechnol. 2018, 6, 155. [Google Scholar] [CrossRef]
- Niediek, V.; Born, S.; Hampe, N.; Kirchgessner, N.; Merkel, R.; Hoffmann, B. Cyclic Stretch Induces Reorientation of Cells in a Src Family Kinase- and p130Cas-Dependent Manner. Eur. J. Cell Biol. 2012, 91, 118–128. [Google Scholar] [CrossRef]
- Ito, S.; Suki, B.; Kume, H.; Numaguchi, Y.; Ishii, M.; Iwaki, M.; Kondo, M.; Naruse, K.; Hasegawa, Y.; Sokabe, M. Actin Cytoskeleton Regulates Stretch-Activated Ca2+ Influx in Human Pulmonary Microvascular Endothelial Cells. Am. J. Respir. Cell Mol. Biol. 2010, 43, 26–34. [Google Scholar] [CrossRef] [PubMed][Green Version]
- Wu, Z.; Wong, K.; Glogauer, M.; Ellen, R.P.; McCulloch, C.A. Regulation of Stretch-Activated Intracellular Calcium Transients by Actin Filaments. Biochem. Biophys. Res. Commun. 1999, 261, 419–425. [Google Scholar] [CrossRef] [PubMed]
- Goswami, C.; Hucho, T. Submembraneous Microtubule Cytoskeleton: Biochemical and Functional Interplay of TRP Channels with the Cytoskeleton. FEBS J. 2008, 275, 4684–4699. [Google Scholar] [CrossRef]
- Saito, S.; Tominaga, M. Evolutionary Tuning of TRPA1 and TRPV1 Thermal and Chemical Sensitivity in Vertebrates. Temperature 2017, 4, 141–152. [Google Scholar] [CrossRef] [PubMed]
- Gao, N.; Li, M.; Wang, W.; Liu, Z.; Guo, Y. A Bibliometrics Analysis and Visualization Study of TRPV1 Channel. Front. Pharmacol. 2023, 14, 1076921. [Google Scholar] [CrossRef]
- Gavva, N.R.; Tamir, R.; Qu, Y.; Klionsky, L.; Zhang, T.J.; Immke, D.; Wang, J.; Zhu, D.; Vanderah, T.W.; Porreca, F.; et al. AMG 9810 [(E)-3-(4-t-Butylphenyl)-N-(2,3-Dihydrobenzo[b][1,4] Dioxin-6-Yl)Acrylamide], a Novel Vanilloid Receptor 1 (TRPV1) Antagonist with Antihyperalgesic Properties. J. Pharmacol. Exp. Ther. 2005, 313, 474–484. [Google Scholar] [CrossRef]
- Burčík, D.; Macko, J.; Podrojková, N.; Demeterová, J.; Stano, M.; Oriňak, A. Role of Cell Adhesion in Cancer Metastasis Formation: A Review. ACS Omega 2025, 10, 5193–5213. [Google Scholar] [CrossRef]
- Muthuswamy, S.K. Self-Organization in Cancer: Implications for Histopathology, Cancer Cell Biology, and Metastasis. Cancer Cell 2021, 39, 443–446. [Google Scholar] [CrossRef]
- Choong, P.F.; Teh, H.X.; Teoh, H.K.; Ong, H.K.; Choo, K.B.; Sugii, S.; Cheong, S.K.; Kamarul, T. Heterogeneity of Osteosarcoma Cell Lines Led to Variable Responses in Reprogramming. Int. J. Med. Sci. 2014, 11, 1154–1160. [Google Scholar] [CrossRef]
- Xie, N.; Xiao, C.; Shu, Q.; Cheng, B.; Wang, Z.; Xue, R.; Wen, Z.; Wang, J.; Shi, H.; Fan, D.; et al. Cell Response to Mechanical Microenvironment Cues via Rho Signaling: From Mechanobiology to Mechanomedicine. Acta Biomater. 2023, 159, 1–20. [Google Scholar] [CrossRef]
- Miziak, P.; Baran, M.; Borkiewicz, L.; Trombik, T.; Stepulak, A. Acetylation of Histone H3 in Cancer Progression and Prognosis. Int. J. Mol. Sci. 2024, 25, 10982. [Google Scholar] [CrossRef]
- Chen, Q.; Zhou, Z.; Shan, L.; Zeng, H.; Hua, Y.; Cai, Z. The Importance of Src Signaling in Sarcoma. Oncol. Lett. 2015, 10, 17–22. [Google Scholar] [CrossRef]
- Raji, L.; Tetteh, A.; Amin, A.R.M.R. Role of C-Src in Carcinogenesis and Drug Resistance. Cancers 2023, 16, 32. [Google Scholar] [CrossRef] [PubMed]
- Chu, C.-T.; Chen, Y.-H.; Chiu, W.-T.; Chen, H.-C. Tyrosine Phosphorylation of Lamin A by Src Promotes Disassembly of Nuclear Lamina in Interphase. Life Sci. Alliance 2021, 4, e202101120. [Google Scholar] [CrossRef] [PubMed]
- Cimmino, A.; Fasciglione, G.F.; Gioia, M.; Marini, S.; Ciaccio, C. Multi-Anticancer Activities of Phytoestrogens in Human Osteosarcoma. Int. J. Mol. Sci. 2023, 24, 13344. [Google Scholar] [CrossRef] [PubMed]
- Measuring Cell Fluorescence Using ImageJ—The Open Lab Book v1.0. Available online: https://theolb.readthedocs.io/en/latest/imaging/measuring-cell-fluorescence-using-imagej.html (accessed on 16 December 2024).
- The Open Lab Book v1.0. Available online: https://theolb.readthedocs.io/en/latest/ (accessed on 16 December 2024).
- Bioicons. Available online: https://bioicons.com/ (accessed on 11 June 2024).
- The Noun Project. Available online: https://thenounproject.com/ (accessed on 11 June 2024).






Disclaimer/Publisher’s Note: The statements, opinions and data contained in all publications are solely those of the individual author(s) and contributor(s) and not of MDPI and/or the editor(s). MDPI and/or the editor(s) disclaim responsibility for any injury to people or property resulting from any ideas, methods, instructions or products referred to in the content. |
© 2025 by the authors. Licensee MDPI, Basel, Switzerland. This article is an open access article distributed under the terms and conditions of the Creative Commons Attribution (CC BY) license (https://creativecommons.org/licenses/by/4.0/).
Share and Cite
Buglione, A.; Becerril Rodriguez, D.; Dogali, S.; Alloisio, G.; Ciaccio, C.; Luce, M.; Marini, S.; Campagnolo, L.; Cricenti, A.; Gioia, M. A ‘Spicy’ Mechanotransduction Switch: Capsaicin-Activated TRPV1 Receptor Modulates Osteosarcoma Cell Behavior and Drug Sensitivity. Int. J. Mol. Sci. 2025, 26, 8816. https://doi.org/10.3390/ijms26188816
Buglione A, Becerril Rodriguez D, Dogali S, Alloisio G, Ciaccio C, Luce M, Marini S, Campagnolo L, Cricenti A, Gioia M. A ‘Spicy’ Mechanotransduction Switch: Capsaicin-Activated TRPV1 Receptor Modulates Osteosarcoma Cell Behavior and Drug Sensitivity. International Journal of Molecular Sciences. 2025; 26(18):8816. https://doi.org/10.3390/ijms26188816
Chicago/Turabian StyleBuglione, Arianna, David Becerril Rodriguez, Simone Dogali, Giulia Alloisio, Chiara Ciaccio, Marco Luce, Stefano Marini, Luisa Campagnolo, Antonio Cricenti, and Magda Gioia. 2025. "A ‘Spicy’ Mechanotransduction Switch: Capsaicin-Activated TRPV1 Receptor Modulates Osteosarcoma Cell Behavior and Drug Sensitivity" International Journal of Molecular Sciences 26, no. 18: 8816. https://doi.org/10.3390/ijms26188816
APA StyleBuglione, A., Becerril Rodriguez, D., Dogali, S., Alloisio, G., Ciaccio, C., Luce, M., Marini, S., Campagnolo, L., Cricenti, A., & Gioia, M. (2025). A ‘Spicy’ Mechanotransduction Switch: Capsaicin-Activated TRPV1 Receptor Modulates Osteosarcoma Cell Behavior and Drug Sensitivity. International Journal of Molecular Sciences, 26(18), 8816. https://doi.org/10.3390/ijms26188816

