Rare Homozygous Variants in INSR and NFXL1 Are Associated with Severe Treatment-Resistant Psychosis
Abstract
1. Introduction
2. Results
2.1. Clinical Features of the Patients
2.2. Exome Analyses Identified Predicted Deleterious Variants in Different Genes
2.3. Multiple Regions of Shared Homozygosity Were Detected for All Families Except in Family PSYAK1
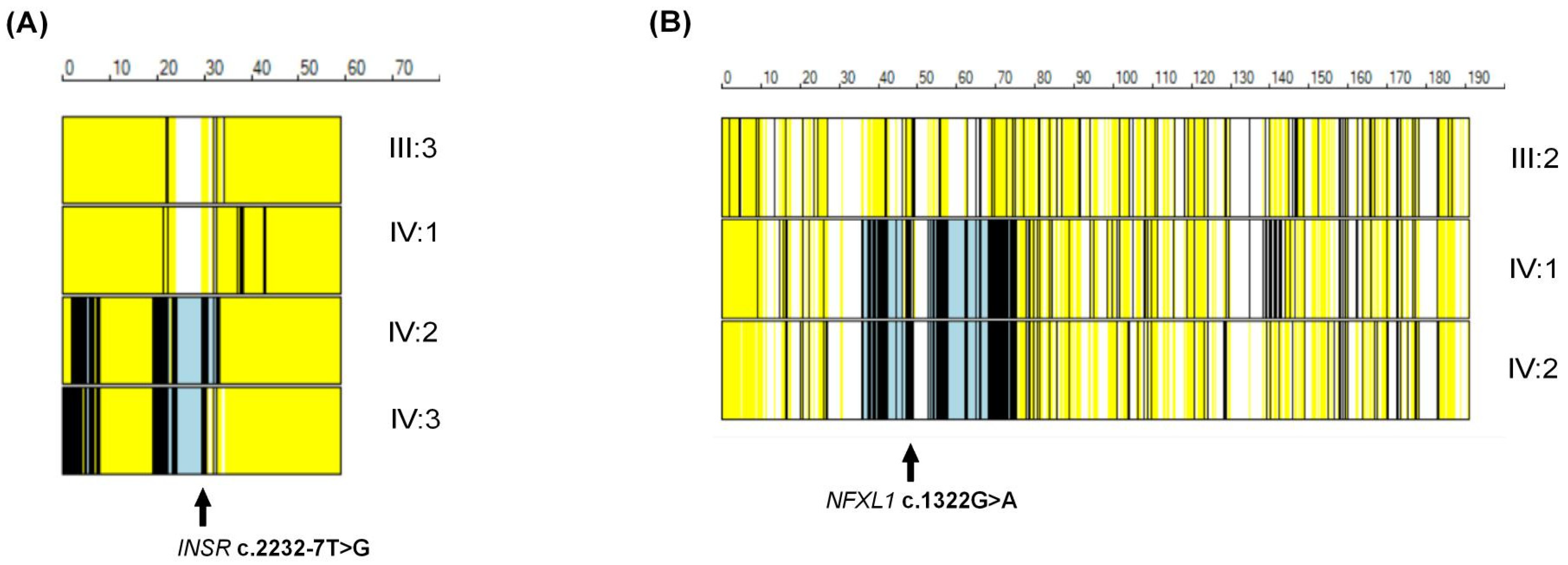
2.4. The Predicted Deleterious Variants Segregated with the Phenotypes
2.5. The Predicted Deleterious Alleles Are Absent in the Ethnically Matched Population
2.6. The Candidate Genes Are Expressed in the Brain
2.7. Insulin Receptor (INSR) c.2232-7T>G Variant
2.8. The INSR c.2232-7T>G Variant Did Not Affect Splicing of RNA Obtained from Blood
2.9. Nuclear Transcription FACTOR, X-Box Binding-like 1 (NFXL1) c.1322G>A; p.(Cys441Tyr) Variant
2.10. Ryanodine Receptor 1 (RYR1) p.Val370Leu and p.Arg2650His Compound Heterozygous Variants
3. Discussion
4. Materials and Methods
4.1. Ethical Approval and Recruitment
4.2. Exome Sequencing
4.3. Variant Analyses of the Exome Data
4.4. Segregation Analyses and Allele Frequencies in the Local Population
4.5. Nucleotides and Amino Acids: Conservation and Modeling
4.6. Isoforms and Domains Analyses for Different Genes and Encoded Proteins
4.7. INSR Splicing Prediction, Complementary DNA Synthesis and Cloning
5. Conclusions
Supplementary Materials
Author Contributions
Funding
Institutional Review Board Statement
Informed Consent Statement
Data Availability Statement
Acknowledgments
Conflicts of Interest
References
- Saha, S.; Chant, D.; Welham, J.; McGrath, J. A systematic review of the prevalence of schizophrenia. PLoS Med. 2005, 2, e141. [Google Scholar] [CrossRef] [PubMed]
- Chakrabarti, S.; Singh, N. Psychotic symptoms in bipolar disorder and their impact on the illness: A systematic review. World J. Psychiatry 2022, 12, 1204–1232. [Google Scholar] [CrossRef] [PubMed]
- Cardno, A.G.; Gottesman, I.I. Twin studies of schizophrenia: From bow-and-arrow concordances to star wars Mx and functional genomics. Am. J. Med. Genet. 2000, 97, 12–17. [Google Scholar] [CrossRef]
- McGuffin, P.; Rijsdijk, F.; Andrew, M.; Sham, P.; Katz, R.; Cardno, A. The heritability of bipolar affective disorder and the genetic relationship to unipolar depression. Arch. Gen. Psychiatry 2003, 60, 497–502. [Google Scholar] [CrossRef]
- Gurling, H.M.; Kalsi, G.; Brynjolfson, J.; Sigmundsson, T.; Sherrington, R.; Mankoo, B.S.; Read, T.; Murphy, P.; Blaveri, E.; McQuillin, A.; et al. Genomewide genetic linkage analysis confirms the presence of susceptibility loci for schizophrenia, on chromosomes 1q32. 2, 5q33. 2, and 8p21–22 and provides support for linkage to schizophrenia, on chromosomes 11q23. 3–24 and 20q12. 1–11.23. Am. J. Hum. Genet. 2001, 68, 661–673. [Google Scholar] [CrossRef]
- Berrettini, W.H. Molecular linkage studies of bipolar disorders. Bipolar Disord. 2001, 3, 276–283. [Google Scholar] [CrossRef]
- Trubetskoy, V.; Pardiñas, A.F.; Qi, T.; Panagiotaropoulou, G.; Awasthi, S.; Bigdeli, T.B.; Bryois, J.; Chen, C.-Y.; Dennison, C.A.; Hall, L.S.; et al. Mapping genomic loci implicates genes and synaptic biology in schizophrenia. Nature 2022, 604, 502–508. [Google Scholar] [CrossRef]
- Cipriani, V.; Vestito, L.; Magavern, E.F.; Jacobsen, J.O.; Arno, G.; Behr, E.R.; Benson, K.A.; Bertoli, M.; Bockenhauer, D.; Bowl, M.R.; et al. Rare disease gene association discovery in the 100,000 Genomes Project. Nature 2025, 1–9. [Google Scholar] [CrossRef]
- Mullins, N.; Forstner, A.J.; O’Connell, K.S.; Coombes, B.; Coleman, J.R.; Qiao, Z.; Als, T.D.; Bigdeli, T.B.; Børte, S.; Bryois, J.; et al. Genome-wide association study of more than 40,000 bipolar disorder cases provides new insights into the underlying biology. Nat. Genet. 2021, 53, 817–829. [Google Scholar] [CrossRef]
- Clifton, N.E.; Schulmann, A.; Schizophrenia Working Group of the Psychiatric Genomics Consortium; Holmans, P.A.; O’Donovan, M.C.; Vawter, M.P. The relationship between case–control differential gene expression from brain tissue and genetic associations in schizophrenia. Am. J. Med. Genet. B Neuropsychiatr. Genet. 2023, 192B, 85–92. [Google Scholar] [CrossRef]
- Timms, A.E.; Dorschner, M.O.; Wechsler, J.; Choi, K.Y.; Kirkwood, R.; Girirajan, S.; Baker, C.; Eichler, E.E.; Korvatska, O.; Roche, K.W.; et al. Support for the N-methyl-D-aspartate receptor hypofunction hypothesis of schizophrenia from exome sequencing in multiplex families. JAMA Psychiatry 2013, 70, 582–590. [Google Scholar] [CrossRef] [PubMed]
- Zhou, Z.; Hu, Z.; Zhang, L.; Hu, Z.; Liu, H.; Liu, Z.; Du, J.; Zhao, J.; Zhou, L.; Xia, K.; et al. Identification of RELN variation p.Thr3192Ser in a Chinese family with schizophrenia. Sci. Rep. 2016, 6, 24327. [Google Scholar] [CrossRef]
- Hornig, T.; Grüning, B.; Kundu, K.; Houwaart, T.; Backofen, R.; Biber, K.; Normann, C. GRIN3B missense mutation as an inherited risk factor for schizophrenia: Whole-exome sequencing in a family with a familiar history of psychotic disorders. Genet. Res. 2017, 99, e1. [Google Scholar] [CrossRef]
- Xue, C.-B.; Xu, Z.-H.; Zhu, J.; Wu, Y.; Zhuang, X.-H.; Chen, Q.-L.; Wu, C.-R.; Hu, J.-T.; Zhou, H.-S.; Xie, W.-H.; et al. Exome Sequencing Identifies TENM4 as a Novel Candidate Gene for Schizophrenia in the SCZD2 Locus at 11q14–21. Front. Genet. 2019, 9, 725. [Google Scholar] [CrossRef]
- Homann, O.R.; Misura, K.; Lamas, E.; Sandrock, R.W.; Nelson, P.; McDonough, S.I.; DeLisi, L.E. Whole-genome sequencing in multiplex families with psychoses reveals mutations in the SHANK2 and SMARCA1 genes segregating with illness. Mol. Psychiatry 2016, 21, 1690–1695. [Google Scholar] [CrossRef]
- Shirzad, H.; Beyraghi, N.; Ataei, K.M.; Akbari, M.T. Family-based whole-exome sequencing for identifying novel variants in consanguineous families with schizophrenia. Iran. Red Crescent Med. J. 2017, 19, e35788. [Google Scholar] [CrossRef]
- Kanwal, A.; Pardo, J.V.; Naz, S. RGS3 and IL1RAPL1 missense variants implicate defective neurotransmission in early-onset inherited schizophrenias. J. Psychiatry Neurosci. 2022, 47, E379–E390. [Google Scholar] [CrossRef]
- Kanwal, A.; Sheikh, S.A.; Aslam, F.; Yaseen, S.; Beetham, Z.; Pankratz, N.; Clabots, C.R.; Naz, S.; Pardo, J.V. Genome Sequencing of Consanguineous Family Implicates Ubiquitin-Specific Protease 53 (USP53) Variant in Psychosis/Schizophrenia: Wild-Type Expression in Murine Hippocampal CA 1–3 and Granular Dentate with AMPA Synapse Interactions. Genes 2023, 14, 1921. [Google Scholar] [CrossRef]
- Strauss, K.A.; Markx, S.; Georgi, B.; Paul, S.M.; Jinks, R.N.; Hoshi, T.; McDonald, A.; First, M.B.; Liu, W.; Benkert, A.R.; et al. A population-based study of KCNH7 p. Arg394His and bipolar spectrum disorder. Hum. Mol. Genet. 2014, 23, 6395–6406. [Google Scholar] [CrossRef]
- Zhang, T.; Hou, L.; Chen, D.T.; McMahon, F.J.; Wang, J.-C.; Rice, J.P. Exome sequencing of a large family identifies potential candidate genes contributing risk to bipolar disorder. Gene 2018, 645, 119–123. [Google Scholar] [CrossRef]
- Anjanappa, R.M.; Nayak, S.; Moily, N.S.; Manduva, V.; Nadella, R.K.; Viswanath, B.; Reddy, Y.C.; Jain, S.; Anand, A. A linkage and exome study implicates rare variants of KANK4 and CAP2 in bipolar disorder in a multiplex family. Bipolar Disord. 2020, 22, 70–78. [Google Scholar] [CrossRef] [PubMed]
- Toma, C.; Shaw, A.D.; Heath, A.; Pierce, K.D.; Mitchell, P.B.; Schofield, P.R.; Fullerton, J.M. A linkage and exome study of multiplex families with bipolar disorder implicates rare coding variants of ANK3 and additional rare alleles at 10q11-q21. J. Psychiatry Neurosci. 2021, 46, E247–E257. [Google Scholar] [CrossRef]
- Dahdouh, A.; Taleb, M.; Blecha, L.; Benyamina, A. Genetics and psychotic disorders: A fresh look at consanguinity. Eur. J. Med. Genet. 2016, 59, 104–110. [Google Scholar] [PubMed]
- Kanwal, A.; Sheikh, S.A.; Iftikhar, A.; Naz, S.; Pardo, J.V. Preliminary studies on apparent mendelian psychotic disorders in consanguineous families. BMC Psychiatry 2022, 22, 709. [Google Scholar] [CrossRef] [PubMed]
- Nudell, V.; Wei, H.; Nievergelt, C.; Maihofer, A.X.; Shilling, P.; Alda, M.; Berrettini, W.H.; Brennand, K.J.; Calabrese, J.R.; Coryell, W.H.; et al. Entrainment of circadian rhythms to temperature reveals amplitude deficits in fibroblasts from patients with bipolar disorder and possible links to calcium channels. Mol. Neuropsychiatry 2019, 5, 115–124. [Google Scholar] [CrossRef]
- Rhea, E.M.; Banks, W.A. Insulin and the blood–brain barrier. Vitam. Horm. 2024, 126, 169–190. [Google Scholar]
- Nudel, R. The biological basis of language: Insights from genetic studies of developmental language disorders. Biolinguistics Cut. Edge Promises Achiev. Chall. 2025, 153, 177. [Google Scholar]
- Hidalgo, C.; Paula-Lima, A. RyR-mediated calcium release in hippocampal health and disease. Trends Mol. Med. 2024, 30, 25–36. [Google Scholar] [CrossRef]
- Ward, C.W.; Lawrence, M.C. Ligand-induced activation of the insulin receptor: A multi-step process involving structural changes in both the ligand and the receptor. Bioessays 2009, 31, 422–434. [Google Scholar] [CrossRef]
- Cassandri, M.; Smirnov, A.; Novelli, F.; Pitolli, C.; Agostini, M.; Malewicz, M.; Melino, G.; Raschellà, G. Zinc-finger proteins in health and disease. Cell Death Discov. 2017, 3, 17071. [Google Scholar] [CrossRef]
- Venselaar, H.; Te Beek, T.A.; Kuipers, R.K.; Hekkelman, M.L.; Vriend, G. Protein structure analysis of mutations causing inheritable diseases. An e-Science approach with life scientist friendly interfaces. BMC Bioinform. 2010, 11, 548. [Google Scholar] [CrossRef] [PubMed]
- Kakizawa, S.; Yamazawa, T.; Chen, Y.; Ito, A.; Murayama, T.; Oyamada, H.; Kurebayashi, N.; Sato, O.; Watanabe, M.; Mori, N.; et al. Nitric oxide-induced calcium release via ryanodine receptors regulates neuronal function. EMBO J. 2012, 31, 417–428. [Google Scholar] [CrossRef] [PubMed]
- Dulhunty, A.F.; Beard, N.A.; Casarotto, M.G. Recent advances in understanding the ryanodine receptor calcium release channels and their role in calcium signalling. F1000Research 2018, 7, 1851. [Google Scholar] [CrossRef] [PubMed]
- Olefsky, J.M. The insulin receptor: A multifunctional protein. Diabetes 1990, 39, 1009–1016. [Google Scholar] [CrossRef]
- Seino, S.; Seino, M.; Nishi, S.; Bell, G.I. Structure of the human insulin receptor gene and characterization of its promoter. Proc. Natl. Acad. Sci. USA 1989, 86, 114–118. [Google Scholar] [CrossRef]
- Kosaki, A.; Nelson, J.; Webster, N.J. Identification of intron and exon sequences involved in alternative splicing of insulin receptor pre-mRNA. J. Biol. Chem. 1998, 273, 10331–10337. [Google Scholar] [CrossRef]
- Guan, B.; Bender, C.; Pantrangi, M.; Moore, N.; Reeves, M.; Naik, A.; Li, H.; Goetz, K.; Blain, D.; Agather, A.; et al. The qMini assay identifies an overlooked class of splice variants. Medrxiv 2023, preprint. [Google Scholar] [CrossRef]
- Melkersson, K. Sequencing of the insulin receptor (INSR) gene reveals association between gene variants in exon and intron 13 and schizoaffective disorder. Neuroendocrinol. Lett. 2018, 39, 371–379. [Google Scholar]
- Melkersson, K.; Persson, B. Associations between heredity, height, BMI, diabetes mellitus type 1 or 2 and gene variants in the insulin receptor (INSR) gene in patients with schizophrenia. Neuroendocrinol. Lett. 2023, 44, 39–54. [Google Scholar]
- da Costa, I.B.; de Labio, R.W.; Rasmussen, L.T.; Viani, G.A.; Chen, E.; Villares, J.; Turecki, G.; Smith, M.d.A.C.; Payao, S.L. Change in INSR, APBA2 and IDE gene expressions in brains of Alzheimer’s disease patients. Curr. Alzheimer Res. 2017, 14, 760–765. [Google Scholar] [CrossRef]
- Gence, L.; Fernezelian, D.; Meilhac, O.; Rastegar, S.; Bascands, J.L.; Diotel, N. Insulin signaling promotes neurogenesis in the brain of adult zebrafish. J. Comp. Neurol. 2023, 531, 1812–1827. [Google Scholar] [CrossRef] [PubMed]
- Xue, C.-Y.; Gao, T.; Mao, E.; Kou, Z.-Z.; Dong, L.; Gao, F. Hippocampus Insulin Receptors Regulate Episodic and Spatial Memory Through Excitatory/Inhibitory Balance. ASN Neuro 2023, 15, 17590914231206657. [Google Scholar] [CrossRef]
- Grillo, C.A.; Piroli, G.G.; Kaigler, K.F.; Wilson, S.P.; Wilson, M.A.; Reagan, L.P. Downregulation of hypothalamic insulin receptor expression elicits depressive-like behaviors in rats. Behav. Brain Res. 2011, 222, 230–235. [Google Scholar] [CrossRef] [PubMed]
- Villanueva, P.; Nudel, R.; Hoischen, A.; Fernández, M.A.; Simpson, N.H.; Gilissen, C.; Reader, R.H.; Jara, L.; Echeverry, M.M.; Francks, C.; et al. Exome sequencing in an admixed isolated population indicates NFXL1 variants confer a risk for specific language impairment. PLoS Genet. 2015, 11, e1005336. [Google Scholar] [CrossRef]
- Murphy, C.E.; Walker, A.K.; O’Donnell, M.; Galletly, C.; Lloyd, A.R.; Liu, D.; Weickert, C.S.; Weickert, T.W. Peripheral NF-κB dysregulation in people with schizophrenia drives inflammation: Putative anti-inflammatory functions of NF-κB kinases. Transl. Psychiatry 2022, 12, 21. [Google Scholar] [CrossRef]
- Iossifov, I.; O’roak, B.J.; Sanders, S.J.; Ronemus, M.; Krumm, N.; Levy, D.; Stessman, H.A.; Witherspoon, K.T.; Vives, L.; Patterson, K.E.; et al. The contribution of de novo coding mutations to autism spectrum disorder. Nature 2014, 515, 216–221. [Google Scholar] [CrossRef]
- Nudel, R. An investigation of NFXL1, a gene implicated in a study of specific language impairment. J. Neurodev. Disord. 2016, 8, 13. [Google Scholar] [CrossRef]
- Nurnberger, J.I.; Koller, D.L.; Jung, J.; Edenberg, H.J.; Foroud, T.; Guella, I.; Vawter, M.P.; Kelsoe, J.R. Identification of pathways for bipolar disorder: A meta-analysis. JAMA Psychiatry 2014, 71, 657–664. [Google Scholar] [CrossRef]
- Nakamura-Maruyama, E.; Kai, R.; Himi, N.; Okabe, N.; Narita, K.; Miyazaki, T.; Aoki, S.; Miyamoto, O. Ryanodine receptors are involved in the improvement of depression-like behaviors through electroconvulsive shock in stressed mice. Brain Stimul. 2021, 14, 36–47. [Google Scholar] [CrossRef]
- Knight, H.M.; Pickard, B.S.; Maclean, A.; Malloy, M.P.; Soares, D.C.; McRae, A.F.; Condie, A.; White, A.; Hawkins, W.; McGhee, K.; et al. A cytogenetic abnormality and rare coding variants identify ABCA13 as a candidate gene in schizophrenia, bipolar disorder, and depression. Am. J. Hum. Genet. 2009, 85, 833–846. [Google Scholar] [CrossRef]
- Albers, C.A.; Paul, D.S.; Schulze, H.; Freson, K.; Stephens, J.C.; Smethurst, P.A.; Jolley, J.D.; Cvejic, A.; Kostadima, M.; Bertone, P.; et al. Compound inheritance of a low-frequency regulatory SNP and a rare null mutation in exon-junction complex subunit RBM8A causes TAR syndrome. Nat. Genet. 2012, 44, 435–439. [Google Scholar] [CrossRef] [PubMed]
- Galeotti, N.; Quattrone, A.; Vivoli, E.; Norcini, M.; Bartolini, A.; Ghelardini, C. Different involvement of type 1, 2, and 3 ryanodine receptors in memory processes. Learn. Mem. 2008, 15, 315–323. [Google Scholar] [CrossRef]
- Galeotti, N.; Vivoli, E.; Bartolini, A.; Ghelardini, C. A gene-specific cerebral types 1, 2, and 3 RyR protein knockdown induces an antidepressant-like effect in mice. J. Neurochem. 2008, 106, 2385–2394. [Google Scholar] [CrossRef] [PubMed]
- Matsuo, N.; Tanda, K.; Nakanishi, K.; Yamasaki, N.; Toyama, K.; Takao, K.; Takeshima, H.; Miyakawa, T. Comprehensive behavioral phenotyping of ryanodine receptor type3 (RyR3) knockout mice: Decreased social contact duration in two social interaction tests. Front. Behav. Neurosci. 2009, 3, 486. [Google Scholar] [CrossRef] [PubMed]
- Shaffer, D.; Fisher, P.; Lucas, C.P.; Dulcan, M.K.; Schwab-Stone, M.E. NIMH Diagnostic Interview Schedule for Children Version IV (NIMH DISC-IV): Description, differences from previous versions, and reliability of some common diagnoses. J. Am. Acad. Child Psychiatry 2000, 39, 28–38. [Google Scholar] [CrossRef]
- Folstein, M.F.; Folstein, S.E.; McHugh, P.R. “Mini-mental state”: A practical method for grading the cognitive state of patients for the clinician. J. Psychiatr. Res. 1975, 12, 189–198. [Google Scholar] [CrossRef]
- Hamilton, M. Rating depressive patients. J. Clin. Psychiatry 1980, 41, 21–24. [Google Scholar]
- Semple, R. Diagnostic Interview for Psychosis and Affective Disorders (DI-PAD); University of Southern California: Los Angeles, CA, USA, 2008. [Google Scholar]
- Kay, S.R.; Opler, L.A.; Spitzer, R.L.; Williams, J.B.; Fiszbein, A.; Gorelick, A. SCID-PANSS: Two-tier diagnostic system for psychotic disorders. Compr. Psychiatry 1991, 32, 355–361. [Google Scholar] [CrossRef]
- Carr, I.M.; Bhaskar, S.; O’Sullivan, J.; Aldahmesh, M.A.; Shamseldin, H.E.; Markham, A.F.; Bonthron, D.T.; Black, G.; Alkuraya, F.S. Autozygosity mapping with exome sequence data. Hum. Mutat. 2013, 34, 50–56. [Google Scholar] [CrossRef]
- Zhu, K.Y.; Clark, J.M. Addition of a competitive primer can dramatically improve the specificity of PCR amplification of specific alleles. Biotechniques 1996, 21, 586–590. [Google Scholar] [CrossRef]
- Ye, S.; Dhillon, S.; Ke, X.; Collins, A.R.; Day, I.N. An efficient procedure for genotyping single nucleotide polymorphisms. Nucleic Acids Res. 2001, 29, e88. [Google Scholar] [CrossRef]









| Family | Patient | Sex | Current Age (Years) | Age of Onset (Psychosis) (Years) | Age of Death (Years) | Symptoms | Diagnosis | Current Status | Status |
|---|---|---|---|---|---|---|---|---|---|
| PSYAK10 | II:2 | Male | NA | 18 | 65 | Self-smiling, Self-talking, Unable to concentrate, Abusive language, Auditory hallucinations | Schizophrenia | Treatment-resistant | Deceased |
| IV:2 | Male | 54 | 19 | NA | Self-smiling, Self-talking, Aggression, Auditory hallucinations, Catatonia, Spitting on floor, Wandering aimlessly | Schizophrenia | Treatment-resistant | Alive | |
| IV:3 | Male | 52 | 29 | NA | Self-smiling, Self-talking, Unable to concentrate, Abusive language, Auditory hallucinations, Spitting on floor, Wandering aimlessly | Schizophrenia | Treatment-resistant | Alive | |
| PSYAK22 | IV:1 | Female | 38 | 20 | NA | Self-Smiling, Self-talking, Irrelevant talk, Auditory hallucinations, Catatonia | Schizophrenia | Stable with medication | Alive |
| IV:2 | Male | 36 | 23 | NA | Self-smiling, Self-talking, Delusions, Unable to concentrate, Auditory and visual hallucinations, Suicidal thoughts | Schizophrenia | Treatment-resistant | Alive |
| Family | Gene | * gDNA Change | RefSeq ID | cDNA and Amino Acid Change | dbSNP | Allele Frequency (%) | Conservation GERP | Predictions | Comments | |||||
|---|---|---|---|---|---|---|---|---|---|---|---|---|---|---|
| gnomAD | SIFT | PolyPhen2 | REVEL | MT | FATHMM | SpliceAl | ||||||||
| PSYAK10 | MTF1 | chr1: 38281098 G>C | NM_005955.3 | c.1972C>G p.Pro658Ala Missense | rs534357571 | 0.0002006 (no homozygote) | 5.03 | 0.42 B | NA | 0.12 B | 0.47 B | 3.01 U | 0.00 B | Predicted mostly benign, amino acid not conserved |
| RLF | chr1: 40627183 C>T | NM_012421.4 | c.112C>T p.Arg38Cys Missense | rs147792979 | 0.0017180 (no homozygote) | 2.39 | 0.008 U | 0.12 U | 0.06 B | 0.99 D | 2.33 U | 0.00 B | Predicted mostly uncertain or benign, amino acid not conserved | |
| CCS | chr11: 66366958 G>T | NM_005125.2 | c.279G>T p.Leu93Leu Synonymous | rs61731811 | 0.0062974 (7 homozygotes) | NA | NA | NA | NA | NA | NA | 0.00 B | Not likely to affect splicing, multiple number of homozygotes in controls | |
| PC | chr11: 66617859 G>A | NM_001040716.1 | c.2550C>T p.Cys850Cys Synonymous | rs61749179 | 0.0009627 (2 homozygotes) | NA | NA | NA | NA | NA | NA | 0.00 B | Not likely to affect splicing | |
| ANKRD49 | chr11: 94231641 C>G | NM_017704.3 | c.663C>G p.Ile221Met Missense | NA | 0 | 2.78 | 0.167 B | NA | 0.05 B | 1 D | −0.52 U | 0.00 B | Predicted mostly benign, amino acid not conserved | |
| TYRO3 | chr15: 41861163 G>A | NM_006293.4 | c.1195G>A p.Ala399Thr Missense | rs199712738 | 0.0001670 (no homozygote) | 5.28 | 0.16 B | 0.07 B | 0.06 B | 0.94 D | 0.43 U | 0.04 B | Predicted mostly benign, amino acid not conserved | |
| MGA | chr15: 42003006 C>T | NM_001164273.1 | c.2543C>T p.Ala848Val Missense | rs532680103 | 0.0001003 (no homozygote) | 6.08 | 0.003 U | 0.545 U | 0.12 B | 0.081 B | 2.27 U | 0.00 B | Predicted mostly uncertain or benign, amino acid not conserved | |
| LCMT2 | chr15: 43621183 C>G | NM_014793.4 | c.1505G>C p.Ser502Thr Missense | NA | 0 | 2.34 | 0.591 B | NA | 0.03 B | 0.00 B | −0.24 U | 0.00 B | Predicted mostly benign, amino acid not conserved | |
| LCMT2 | chr15: 43621253 A>G | NM_014793.4 | c.1435T>C p.Cys479Arg Missense | rs1237017176 | 0 | −2.63 | 0.23 B | NA | 0.09 B | 0.630 D | 2.49 U | 0.00 B | Predicted mostly benign, amino acid not conserved | |
| TP53BP1 | chr15: 43784664 C>T | NM_001141980.2 | c.10G>A p.Glu4Lys Missense | NA | 0 | 4.28 | 0 D | NA | 0.08 B | 1 D | 2.6 U | 0.03 B | Predicted mostly uncertain or benign, amino acid not conserved | |
| CATSPER2 | chr15: 43940173 A>G | NM_172095.3 | c.87T>C p.Ile29Ile Synonymous | rs28494549 | 0.0004175 (2 homozygotes) | NA | NA | NA | NA | NA | NA | 0.00 B | Not likely to affect splicing | |
| PDIA2 | chr16: 334503 C>T | NM_006849.3 | c.316C>T p.Arg106Cys Missense | rs199711437 | 0.0000248 (no homozygote) | −0.905 | 0.023 U | 0.118 U | 0.15 B | 0 B | 1.02 U | 0.00 B | Predicted mostly uncertain or benign, amino acid not conserved | |
| CACNA1H | chr16: 1250451 A>G | NM_021098.3 | c.999A>G p.Ala333Ala Synonymous | rs529471626 | 0.0005692 (2 homozygotes) | NA | NA | NA | NA | NA | NA | 0.00B | Not likely to affect splicing | |
| TSC2 | chr16: 2122977 C>G | NM_000548.5 | c.2348 C>G p.Thr783Ser Missense | rs562945619 | 0.0008334 (4 homozygotes) | 3.59 | 0.63 B | 0.01 B | 0.24 B | 0.00027 B | −2.13 U | 0.00 B | Predicted mostly benign, amino acid not conserved, multiple number of homozygotes in controls | |
| ANKS3 | chr16: 4747407 G>A | NM_133450.3 | c.1821C>T p.Gly607Gly Synonymous | rs146041043 | 0.0033007 (4 homozygotes) | NA | NA | NA | NA | NA | NA | 0.00 B | Not likely to affect splicing, multiple number of homozygotes in controls | |
| SHD | chr19: 4280266 C>A | NM_020209.3 | c.206C>A p.Ala69Asp Missense | rs535190570 | 0.0004124 (1 homozygote) | 2.36 | 0.20 B | 0.11 B | 0.06 B | 0.007 B | 0.92 U | 0.04 B | Predicted mostly benign, amino acid not conserved | |
| CHAF1A | chr19: 4432011 G>A | NM_005483.3 | c.2010G>A p.Glu670Glu Synonymous | rs11556317 | 0.0023824 (3 homozygotes) | NA | NA | NA | NA | NA | NA | 0.00 B | Not likely to affect splicing | |
| CATSPERD | chr19: 5778486 C>G | NM_152784.4 | c.2196C>G p.Ser732Arg Missense | NA | 0 | 1.19 | 0.037 U | NA | 0.08 B | 0 B | 1.91 U | 0.03 B | Predicted mostly uncertain or benign, amino acid not conserved | |
| PRR22 | chr19: 5783074 G>A | NM_001134316.2 | c.1184C>T p.Pro395Leu Missense | rs199650444 | 0.0000575 (no homozygote) | 1.26 | 0.38 B | NA | 0.01 B | 0 B | 0.92 U | 0.00 B | Predicted mostly benign, amino acid not conserved | |
| INSR | chr19: 7150550 A>C | NM_000208.4 | c.2232-7 T>G Splicing ** | rs775596300 | 0.0000717 (no homozygote) | NA | NA | NA | NA | NA | NA | 0.65 D | Selected, as variant was predicted to affect splicing | |
| STXBP2 | chr19: 7712143 C>T | NM_006949.4 | c.1538+10C>T Splicing | rs139200597 | 0.0017607 (3 homozygotes) | NA | NA | NA | NA | NA | NA | 0.00 B | Predicted mostly uncertain or benign, intronic variant, nucleotide not conserved | |
| ZNF493 | chr19: 21606806 A>G | NM_001076678.2 | c.1345A>G p.Thr449Ala Missense | rs553037933 | 0.0006879 (1 homozygote) | −0.131 | 0.178 B | 0.084 B | 0.02 B | 0 B | 1.31 U | 0.00 B | Predicted mostly uncertain or benign, amino acid not conserved | |
| PSYAK22 | NOTCH2 | chr1: 120479948 T>C | NM_024408.4 | c.3479A>G p.His1160Arg Missense | rs142876168 | 0.001268652 (2 homozygotes) | 5.06 | 0.002 U | 0.42 U | 0.632 U | 1 D | −2.44 U | 0.00 B | Predicted mostly uncertain or benign, amino acid not conserved |
| WDR19 | chr4: 39271606 G>A | NM_025132.4 | c.3369G>A p.Arg1123Arg Synonymous | rs775035034 | 0.0000240944 (no homozygote) | NA | NA | NA | NA | NA | NA | 0.00 B | Not likely to affect splicing | |
| N4BP2 | chr4: 40104739 C>A | NM_018177.6 | c.1274C>A p.Thr425Asn Missense | rs62621880 | 0.001714672 (3 homozygotes) | 4.34 | 0.02 U | 0.52 U | 0.06 B | 0.0005 B | 2.26 U | 0.00 B | Predicted mostly uncertain or benign, amino acid not conserved | |
| NFXL1 | chr4: 47898547 C>T | NM_001278624.2 | c.1322G>A p.Cys441Tyr Missense | rs748118226 | 0.000003985 (no homozygote) | 4.69 | 0 D | 1 D | 0.74 D | 1 D | −0.18 U | 0.00 B | Selected due to high damaging prediction scores, amino acid was conserved | |
| NFXL1 | chr4: 47900044 C>T | NM_001278624.2 | c.1144G>A p.Val382Ile Missense | rs751474556 | 0.00006793640 (1 homozygote) | 2.83 | 0.204 B | 0.005 B | 0.063 B | 0.007 B | 0.99 U | 0.00 B | Predicted mostly benign, amino acid not conserved | |
| CNGA1 | chr4: 47938559 A>G | NM_001379270.1 | c.1940T>C p.Met647Thr Missense | rs776545639 | 0.000208562 (1 homozygote) | 3.57 | 0.808 B | 0.003 B | 0.291 B | 0.02 B | −4.04 U | 0.00 B | Predicted mostly benign, amino acid not conserved | |
| ADGRL3 | chr4: 62598944 A>G | NM_001387552.1 | c.1071A>G p.Gln357Gln Synonymous | rs530970218 | 0.000947856 (no homozygote) | NA | NA | NA | NA | NA | NA | 0.00 B | Not likely to affect splicing | |
| KIAA1549 | chr7: 138601730 G>A | NM_001164665.2 | c.2642C>T p.Thr881Met Missense | rs138709216 | 0.000425196 (1 homozygote) | 4.39 | 0.13 B | 0.11 B | 0.06 B | 0 B | 1.78 U | 0.00 B | Predicted mostly benign, amino acid not conserved | |
| KIAA1549 | chr7: 138602970 C>T | NM_001164665.2 | c.1402G>A p.Val468Ile Missense | rs545645203 | 0.000100431 (no homozygote) | −7 | 1 B | 0.004 B | 0.003 B | 0 N | 1.97 U | 0.00 B | Predicted mostly benign, amino acid not conserved | |
| EPHA1 | chr7: 143094434 C>T | NM_005232.5 | c.1734G>A p.Gln578Gln Synonymous | rs542197026 | 0.001268619 (no homozygote) | NA | NA | NA | NA | NA | NA | 0.00 B | Not likely to affect splicing | |
| ITPR2 | chr12: 26784841 C>T | NM_002223.4 | c.2892G>A p.Val964Val Synonymous | rs199942805 | 0.000910506 (no homozygote) | NA | NA | NA | NA | NA | NA | 0.00 B | Not likely to affect splicing | |
| ZXDA | chrX: 57936451-57936453 delinsGGC | NM_007156.5 | c.402_404delinsGCC p.Cys135Pro Missense | rs758668472 and rs753063356 | 0.000356035 (1 homozygote) | NA | NA | NA | NA | NA | NA | 0.00 B | Very common with a frequency of >10% in in-house data of 300 individuals, including multiple homozygous genotypes | |
Disclaimer/Publisher’s Note: The statements, opinions and data contained in all publications are solely those of the individual author(s) and contributor(s) and not of MDPI and/or the editor(s). MDPI and/or the editor(s) disclaim responsibility for any injury to people or property resulting from any ideas, methods, instructions or products referred to in the content. |
© 2025 by the authors. Licensee MDPI, Basel, Switzerland. This article is an open access article distributed under the terms and conditions of the Creative Commons Attribution (CC BY) license (https://creativecommons.org/licenses/by/4.0/).
Share and Cite
Kanwal, A.; Zulfiqar, R.; Cheema, H.A.; Jabbar, N.; Iftikhar, A.; Butt, A.I.; Sheikh, S.A.; Pardo, J.V.; Naz, S. Rare Homozygous Variants in INSR and NFXL1 Are Associated with Severe Treatment-Resistant Psychosis. Int. J. Mol. Sci. 2025, 26, 4925. https://doi.org/10.3390/ijms26104925
Kanwal A, Zulfiqar R, Cheema HA, Jabbar N, Iftikhar A, Butt AI, Sheikh SA, Pardo JV, Naz S. Rare Homozygous Variants in INSR and NFXL1 Are Associated with Severe Treatment-Resistant Psychosis. International Journal of Molecular Sciences. 2025; 26(10):4925. https://doi.org/10.3390/ijms26104925
Chicago/Turabian StyleKanwal, Ambreen, Rimsha Zulfiqar, Husnain Arshad Cheema, Nauman Jabbar, Amina Iftikhar, Amina Iftikhar Butt, Sohail A. Sheikh, Jose V. Pardo, and Sadaf Naz. 2025. "Rare Homozygous Variants in INSR and NFXL1 Are Associated with Severe Treatment-Resistant Psychosis" International Journal of Molecular Sciences 26, no. 10: 4925. https://doi.org/10.3390/ijms26104925
APA StyleKanwal, A., Zulfiqar, R., Cheema, H. A., Jabbar, N., Iftikhar, A., Butt, A. I., Sheikh, S. A., Pardo, J. V., & Naz, S. (2025). Rare Homozygous Variants in INSR and NFXL1 Are Associated with Severe Treatment-Resistant Psychosis. International Journal of Molecular Sciences, 26(10), 4925. https://doi.org/10.3390/ijms26104925

