Reynoutria japonica Houtt. Transformed Hairy Root Cultures as an Effective Platform for Producing Phenolic Compounds with Strong Bactericidal Properties
Abstract
1. Introduction
2. Results
2.1. Obtaining Transformed Hairy Root Clones
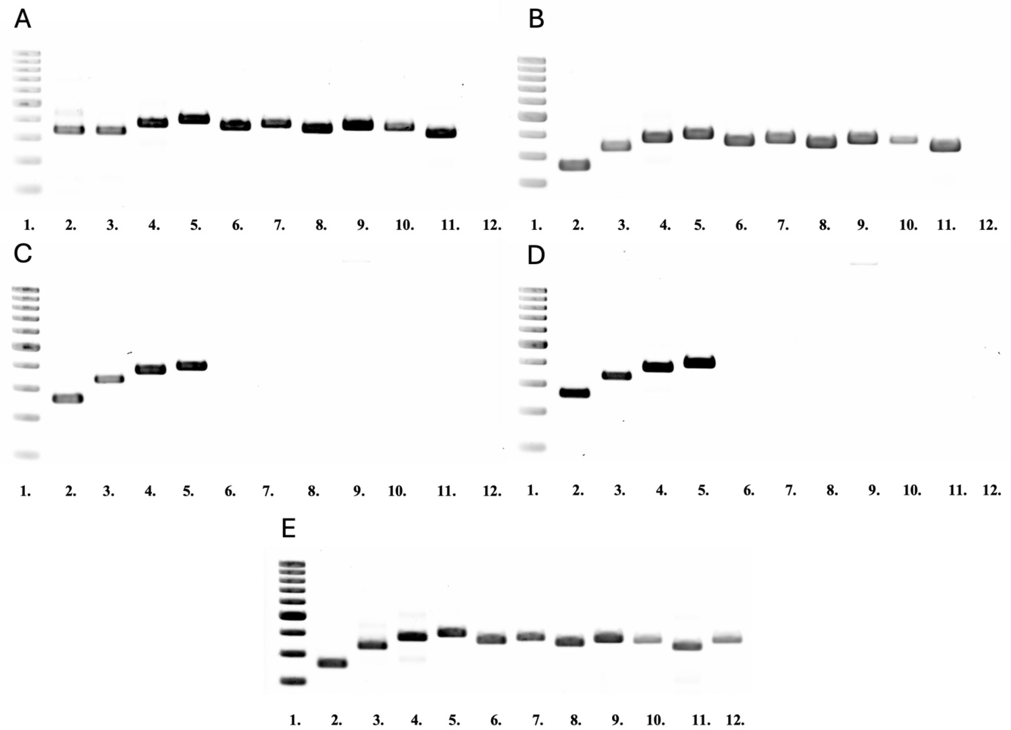
2.2. Molecular Analysis
2.3. Growth Parameters
2.4. Accumulation of Phenolic Acids, Flawan-3-ols, and Flavonoids
2.5. Productivity of Phenolic Compounds
2.6. Antioxidant Activity
2.7. Bactericidal Properties
3. Discussion
4. Materials and Methods
4.1. Chemicals
4.2. Plant Material and Bacteria Strain Used for Transformation
4.3. Transformation of R. japonica Plants
4.4. Molecular Characterization of Transformed Hairy Root Cultures
4.5. Determination of Biometric Parameters
4.6. Determination of Phenolic Compound Content
4.6.1. Extraction Procedure
4.6.2. Phytochemical Analysis
4.7. Determination of Phenolic Compounds Productivity
4.8. Determination of Antioxidant Activity
4.9. Antibacterial Activity
4.10. Statistic Analysis
5. Conclusions
Supplementary Materials
Author Contributions
Funding
Institutional Review Board Statement
Informed Consent Statement
Data Availability Statement
Conflicts of Interest
References
- Mauro, M.L.; Costantino, P.; Bettini, P.P. The neverending story of rol genes: A century after. Plant Cell Tissue Organ Cult. 2017, 131, 201–212. [Google Scholar] [CrossRef]
- Wojciechowska, M.; Owczarek, A.; Kiss, A.K.; Grąbkowska, R.; Olszewska, M.A.; Grzegorczyk-Karolak, I. Establishment of hairy root cultures of Salvia bulleyana Diels for production of polyphenolic compounds. J. Biotechnol. 2020, 318, 10–19. [Google Scholar] [CrossRef]
- Sahayarayan, J.; Udayakumar, R.; Arun, M.; Ganapathi, A.; Alwahibi, M.S.; Aldosari, N.S.; Morgan, A.M.A. Effect of different Agrobacterium rhizogenes strains for in-vitro hairy root induction, total phenolic, flavonoids contents, antibacterial and antioxidant activity of (Cucumis anguria L.). Saudi J. Biol. Sci. 2020, 27, 2972–2979. [Google Scholar] [CrossRef]
- Bulgakov, V.P. Functions of rol genes in plant secondary metabolism. Biotechnol. Adv. 2008, 26, 318–324. [Google Scholar] [CrossRef] [PubMed]
- Bulgakov, V.P.; Gorpenchenko, T.Y.; Veremeichik, G.N.; Shkryl, Y.N.; Tchernoded, G.K.; Bulgakov, D.V.; Aminin, D.L.; Zhuravlev, Y.N. The rolB gene suppresses reactive oxygen species in transformed plant cells through the sustained activation of antioxidant defense. Plant Physiol. 2012, 158, 1371–1381. [Google Scholar] [CrossRef]
- Bulgakov, V.P.; Veremeichik, G.N.; Grigorchuk, V.P.; Rybin, V.G.; Shkryl, Y.N. The rolB gene activates secondary metabolism in Arabidopsis calli via selective activation of genes encoding MYB and bHLH transcription factors. Plant Physiol. Biochem. 2016, 102, 70–79. [Google Scholar] [CrossRef] [PubMed]
- Aghaali, Z.; Naghavi, M.R.; Zargar, M. Collaboration of hairy root culture and scale-up strategies for enhancing the biosynthesis of medicinal and defensive alkaloids in Papaver sp. Curr. Plant Biol. 2024, 40, 100381. [Google Scholar] [CrossRef]
- Krychowiak, M.; Grinholc, M.; Banasiuk, R.; Krauze-Baranowska, M.; Glod, D.; Kawiak, A.; Krolicka, A. Combination of silver nanoparticles and Drosera binata extract as a possible alternative for antibiotic treatment of burn wound infections caused by resistant Staphylococcus aureus. PLoS ONE 2014, 9, e115727. [Google Scholar] [CrossRef]
- Tanase, C.; Coșarcă, S.; Muntean, D.-L. A Critical Review of Phenolic Compounds Extracted from the Bark of Woody Vascular Plants and Their Potential Biological Activity. Molecules 2019, 24, 1182. [Google Scholar] [CrossRef]
- Cheynier, V.; Comte, G.; Davies, K.M.; Lattanzio, V.; Martens, S. Plant phenolics: Recent advances on their biosynthesis, genetics, and ecophysiology. Plant Physiol. Biochem. 2013, 72, 1–20. [Google Scholar] [CrossRef]
- Krychowiak, M.; Kawiak, A.; Narajczyk, M.; Borowik, A.; Królicka, A. Silver Nanoparticles Combined with Naphthoquinones as an Effective Synergistic Strategy Against Staphylococcus aureus. Front. Pharmacol. 2018, 9, 816. [Google Scholar] [CrossRef]
- Lachowicz, S.; Oszmiański, J. Profile of Bioactive Compounds in the Morphological Parts of Wild Fallopia japonica (Houtt) and Fallopia sachalinensis (F. Schmidt) and Their Antioxidative Activity. Molecules 2019, 24, 1436. [Google Scholar] [CrossRef] [PubMed]
- Bozin, B.; Gavrilovic, M.; Kladar, N.; Rat, M.; Anackov, G.; Gavaric, N. Highly Invasive Alien Plant Reynoutria japonica Houtt. Represents a Novel Source for Pharmaceutical Industry—Evidence from Phenolic Profile and Biological Activity. J. Serb. Chem. Soc. 2017, 82, 803–813. [Google Scholar] [CrossRef]
- Wang, Z.-J.; Trill, J.; Tan, L.-L.; Chang, W.-J.; Zhang, Y.; Willcox, M.; Xia, R.-Y.; Jiang, Y.; Moore, M.; Liu, J.-P.; et al. Reynoutria japonica Houtt for Acute Respiratory Tract Infections in Adults and Children: A Systematic Review. Front. Pharmacol. 2022, 13, 787032. [Google Scholar] [CrossRef]
- Zubek, S.; Kapusta, P.; Stanek, M.; Woch, M.W.; Błaszkowski, J.; Stefanowicz, A.M. Reynoutria japonica invasion negatively affects arbuscular mycorrhizal fungi communities regardless of the season and soil conditions. Appl. Soil Ecol. 2022, 169, 104152. [Google Scholar] [CrossRef]
- Rahmonov, O.; Czylok, A.; Orczewska, A.; Majgier, L.; Parusel, T. Chemical composition of the leaves of Reynoutria japonica Houtt. and soil features in polluted areas. Open Life Sci. 2014, 9, 320–330. [Google Scholar] [CrossRef]
- Lerch, S.; Sirguey, C.; Michelot-Antalik, A.; Jurjanz, S. Accumulation of metallic trace elements in Reynoutria japonica: A risk assessment for plant biomass valorization. Environ. Sci. Pollut. Res. Int. 2022, 29, 67390–67401. [Google Scholar] [CrossRef]
- Vidican, R.; Mihăiescu, T.; Pleșa, A.; Mălinaș, A.; Pop, B.-A. Investigations Concerning Heavy Metals Dynamics in Reynoutria japonica Houtt-Soil Interactions. Toxics 2023, 11, 323. [Google Scholar] [CrossRef] [PubMed]
- Makowski, W.; Królicka, A.; Sroka, J.; Matyjewicz, A.; Potrykus, M.; Kubica, P.; Szopa, A.; Tokarz, B.; Tokarz, K.M. Agitated and temporary immersion bioreactor cultures of Reynoutria japonica Houtt. as a rich source of phenolic compounds. Plant Cell Tissue Organ Cult. 2024, 158, 45. [Google Scholar] [CrossRef]
- Ozyigit, I.; Dogan, I.; Artam Tarhan, E. Agrobacterium rhizogenes-Mediated Transformation and Its Biotechnological Applications in Crops. In Crop Improvement; Hakeem, K., Ahmad, P., Ozturk, M., Eds.; Springer: Boston, MA, USA, 2013. [Google Scholar] [CrossRef]
- Bagal, D.; Chowdhary, A.A.; Mehrotra, S.; Mishra, S.; Rathore, S.; Srivastava, V. Metabolic engineering in hairy roots: An outlook on production of plant secondary metabolites. Plant Physiol Biochem 2023, 201, 107847. [Google Scholar] [CrossRef]
- Makowski, W.; Królicka, A.; Nowicka, A.; Zwyrtková, J.; Tokarz, B.; Pecinka, A.; Banasiuk, R.; Tokarz, K.M. Transformed Tissue of Dionaea muscipula J. Ellis as a Source of Biologically Active Phenolic Compounds with Bactericidal Properties. Appl. Microbiol. Biotechnol. 2021, 105, 1215–1226. [Google Scholar] [CrossRef] [PubMed]
- Grzegorczyk-Karolak, I.; Kuźma, Ł.; Skała, E.; Kiss, A.K. Hairy root cultures of Salvia viridis L. for production of polyphenolic compounds. Ind. Crop. Prod. 2018, 117, 235–244. [Google Scholar] [CrossRef]
- Franklin, G.; Conceiçăo, L.F.R.; Kombrink, E.; Dias, A.C.P. Xanthone biosynthesis in Hypericum perforatum cells provides antioxidant and antimicrobial protection upon biotic stress. Phytochemistry 2009, 70, 60–68. [Google Scholar] [CrossRef] [PubMed]
- Franklin, G.; Conceição, L.F.R.; Kombrink, E.; Dias, A.C.P. Hypericum perforatum plant cells reduce Agrobacterium viability during co-cultivation. Planta 2008, 227, 1401–1408. [Google Scholar] [CrossRef][Green Version]
- Kowalczyk, T.; Merecz-Sadowska, A.; Rijo, P.; Isca, V.M.S.; Picot, L.; Wielanek, M.; Śliwiński, T.; Sitarek, P. Preliminary phytochemical analysis and evaluation of the biological activity of Leonotis nepetifolia (L.) R. Br transformed roots extracts obtained through Rhizobium rhizogenes-mediated transformation. Cells 2021, 10, 1242. [Google Scholar] [CrossRef] [PubMed]
- Chung, I.-M.; Rekha, K.; Rajakumar, G.; Thiruvengadam, M. Production of Glucosinolates, Phenolic Compounds and Associated Gene Expression Profiles of Hairy Root Cultures in Turnip (Brassica Rapa ssp. Rapa). 3 Biotech 2016, 6, 175. [Google Scholar] [CrossRef] [PubMed]
- Thiruvengadam, M.; Praveen, N.; Maria John, K.M.; Yang, Y.S.; Kim, S.H.; Chung, I.M. Establishment of Momordica charantia hairy root cultures for the production of phenolic compounds and determination of their biological activities. Plant Cell Tissue Organ Cult. 2014, 118, 545–557. [Google Scholar] [CrossRef]
- Ho, T.-T.; Lee, J.-D.; Ahn, M.-S.; Kim, S.-W.; Park, S.-Y. Enhanced production of phenolic compounds in hairy root cultures of Polygonum multiflorum and its metabolite discrimination using HPLC and FT-IR methods. Appl. Microbiol. Biotechnol. 2018, 102, 9563–9575. [Google Scholar] [CrossRef] [PubMed]
- Thiruvengadam, M.; Rekha, K.; Chung, I.M. Induction of hairy roots by Agrobacterium rhizogenes-mediated transformation of spine gourd (Momordica dioica Roxb. ex. willd) for the assessment of phenolic compounds and biological activities. Sci. Hortic. 2016, 198, 132–141. [Google Scholar] [CrossRef]
- Yoon, J.Y.; Chung, I.M.; Thiruvengadam, M. Evaluation of phenolic compounds, antioxidant and antimicrobial activities from transgenic hairy root cultures of gherkin (Cucumis anguria L.). S. Afr. J. Bot. 2015, 100, 80–86. [Google Scholar] [CrossRef]
- Balasubramanian, M.; Anbumegala, M.; Surendran, R.; Arun, M.; Shanmugam, G. Elite hairy roots of Raphanus sativus (L.) as a source of antioxidants and flavonoids. 3 Biotech 2018, 8, 128. [Google Scholar] [CrossRef] [PubMed]
- Azam Ansari, M.; Chung, I.-M.; Rajakumar, G.; Alzohairy, A.M.; Almatroudi, A.; Gopiesh Khanna, V.; Thiruvengadam, M. Evaluation of Polyphenolic Compounds and Pharmacological Activities in Hairy Root Cultures of Ligularia fischeri Turcz. f. spiciformis (Nakai). Molecules 2019, 24, 1586. [Google Scholar] [CrossRef] [PubMed]
- Bulgakov, V.P.; Vereshchagina, Y.V.; Bulgakov, D.V.; Veremeichik, G.N.; Shkryl, Y.N. The rolB plant oncogene affects multiple signaling protein modules related to hormone signaling and plant defense. Sci. Rep. 2018, 8, 2285. [Google Scholar] [CrossRef]
- Ghimire, B.K.; Thiruvengadam, M.; Chung, I.M. Identification of elicitors enhances the polyphenolic compounds and pharmacological potential in hairy root cultures of Aster scaber. S. Afr. J. Bot. 2019, 125, 92–101. [Google Scholar] [CrossRef]
- Królicka, A.; Szpitter, A.; Stawujak, K.; Baranski, R.; Gwizdek-Wisniewska, A.; Skrzypczak, A.; Kaminski, M.; Lojkowska, E. Teratomas of Drosera capensis var. alba as a Source of Naphthoquinone: Ramentaceone. Plant Cell Tiss Organ Cult. 2010, 103, 285–292. [Google Scholar] [CrossRef]
- Libik-Konieczny, M.; Michalec-Warzecha, Ż.; Dziurka, M.; Zastawny, O.; Konieczny, R.; Rozpądek, P.; Pistelli, L. Steviol glycosides profile in Stevia rebaudiana Bertoni hairy roots cultured under oxidative stress-inducing conditions. Appl. Microbiol. Biotechnol. 2020, 104, 5929–5941. [Google Scholar] [CrossRef] [PubMed]
- Gai, Q.-Y.; Jiao, J.; Luo, M.; Wei, Z.F.; Zu, Y.G.; Ma, W.; Fu, Y.J. Establishment of hairy root cultures by Agrobacterium rhizogenes mediated transformation of Isatis tinctoria L. for the efficient production of flavonoids and evaluation of antioxidant activities. PLoS ONE 2015, 10, e0119022. [Google Scholar] [CrossRef] [PubMed]
- Hanafy, M.S.; Asker, M.S.; El-Shabrawi, H.; Matter, M.A. Agrobacterium rhizogenes-mediated genetic transformation in Cichorium spp.: Hairy root production, inulin and total phenolic compounds analysis. J. Hortic. Sci. Biotechnol. 2018, 93, 605–613. [Google Scholar] [CrossRef]
- Shkryl, Y.N.; Tchernoded, G.K.; Yugay, Y.A.; Grigorchuk, V.P.; Sorokina, M.R.; Gorpenchenko, T.Y.; Kudinova, O.D.; Degtyarenko, A.I.; Onishchenko, M.S.; Shved, N.A.; et al. Enhanced Production of Nitrogenated Metabolites with Anticancer Potential in Aristolochia manshuriensis Hairy Root Cultures. Int. J. Mol. Sci. 2023, 24, 11240. [Google Scholar] [CrossRef] [PubMed]
- Makowski, W.; Królicka, A.; Tokarz, B.; Miernicka, K.; Kołton, A.; Pięta, Ł.; Malek, K.; Ekiert, H.; Szopa, A.; Tokarz, K.M. Response of Physiological Parameters in Dionaea muscipula J. Ellis Teratomas Transformed with RolB Oncogene. BMC Plant Biol. 2021, 21, 564. [Google Scholar] [CrossRef] [PubMed]
- Tusevski, O.; Vinterhalter, B.; Kristić Milošević, D.; Soković, M.; Ćirić, A.; Vinterhalter, D.; Zdravković Korać, S.; Petreska Stanoeva, J.; Gadzovska Simic, S. Production of phenolic compounds, antioxidant and antimicrobial activities in hairy root and shoot cultures of Hypericum perforatum L. Plant Cell Tissue Organ Cult. 2017, 128, 589–605. [Google Scholar] [CrossRef]
- Paradiso, A.; Durante, M.; Caretto, S.; De Paolis, A. Establishment of Dittrichia viscosa L. Hairy Roots and Improvement of Bioactive Compound Production. Plants 2024, 13, 3236. [Google Scholar] [CrossRef] [PubMed]
- Choi, M.; Yoon, J.; Yang, S.H.; Kim, J.K.; Park, S.U. Production of Phenolic Compounds and Antioxidant Activity in Hairy Root Cultures of Salvia plebeia. Plants 2023, 12, 3840. [Google Scholar] [CrossRef] [PubMed]
- Makowski, W.; Królicka, A.; Tokarz, B.; Szopa, A.; Ekiert, H.; Tokarz, K.M. Temporary immersion bioreactors as a useful tool for obtaining high productivity of phenolic compounds with strong antioxidant properties from Pontechium maculatum. Plant Cell Tissue Organ Cult. 2023, 153, 525–537. [Google Scholar] [CrossRef]
- Makowski, W.; Mrzygłód, K.; Szopa, A.; Kubica, P.; Krychowiak-Maśnicka, M.; Tokarz, K.M.; Tokarz, B.; Ryngwelska, I.; Paluszkiewicz, E.; Królicka, A. Effect of Agitation and Temporary Immersion on Growth and Synthesis of Antibacterial Phenolic Compounds in Genus Drosera. Biomolecules 2024, 14, 1132. [Google Scholar] [CrossRef] [PubMed]
- Makowski, W.; Tokarz, K.M.; Tokarz, B.; Banasiuk, R.; Witek, K.; Królicka, A. Elicitation-Based Method for Increasing the Production of Antioxidant and Bactericidal Phenolic Compounds in Dionaea muscipula J. Ellis Tissue. Molecules 2020, 25, 1794. [Google Scholar] [CrossRef]
- Tokarz, K.M.; Wesołowski, W.; Tokarz, B.; Makowski, W.; Wysocka, A.; Jędrzejczyk, R.J.; Chrabaszcz, K.; Malek, K.; Kostecka-Gugała, A. Stem Photosynthesis—A Key Element of Grass Pea (Lathyrus sativus L.) Acclimatisation to Salinity. Int. J. Mol. Sci. 2021, 22, 685. [Google Scholar] [CrossRef]
- Kostecka-Gugała, A.; Kruczek, M.; Ledwożyw-Smoleń, I.; Kaszycki, P. Antioxidants and Health-Beneficial Nutrients in Fruits of Eighteen Cucurbita Cultivars: Analysis of Diversity and Dietary Implications. Molecules 2020, 25, 1792. [Google Scholar] [CrossRef] [PubMed]
- Murashige, T.; Skoog, F. A revised medium for rapid growth and bioassays with tobacco tissue cultures. Physiol. Plant. 1962, 15, 473–497. [Google Scholar] [CrossRef]
- Miller, J.H. Experiments in Molecular Genetics; Cold Spring Harbor Laboratory Press: Cold Spring Harbor, NY, USA, 1972. [Google Scholar]
- Bekesiova, I.; Nap, J.P.; Mlynarova, L. Isolation of high quality DNA and RNA from leaves of the carnivorous plant Drosera rotundifolia. Plant Mol. Biol. Rep. 2011, 17, 269–277. [Google Scholar] [CrossRef]
- Maniatis, T.; Fritsch, E.F.; Sambrook, J. Molecular cloning. In A Laboratory Manual; Cold Spring Harbor Laboratory: Cold Spring Harbor, NY, USA, 1982; Volume 9, pp. 213–214. [Google Scholar] [CrossRef]
- Sułkowska-Ziaja, K.; Maślanka, A.; Szewczyk, A.; Muszyńska, B. Physiologically Active Compounds in Four Species of Phellinus. Nat. Prod. Commun. 2017, 12, 363–366. [Google Scholar] [CrossRef] [PubMed]
- Szopa, A.; Dziurka, M.; Granica, S.; Klimek-Szczykutowicz, M.; Kubica, P.; Warzecha, A.; Jafernik, K.; Ekiert, H. Schisandra rubriflora Plant Material and In Vitro Microshoot Cultures as Rich Sources of Natural Phenolic Antioxidants. Antioxidants 2020, 9, 488. [Google Scholar] [CrossRef] [PubMed]
- Apak, R.; Güçlü, K.; Demirata, B.; Özyürek, M.; Çelik, S.E.; Bektaşoğlu, B.; Berker, K.I.; Özyurt, D. Comparative Evaluation of Various Total Antioxidant Capacity Assays Applied to Phenolic Compounds with the CUPRAC Assay. Molecules 2007, 12, 1496–1547. [Google Scholar] [CrossRef] [PubMed]
- Brand-Williams, W.; Cuvelier, M.; Berset, C. Use of a free radical method to evaluate antioxidant activity. LWT 1995, 28, 25–30. [Google Scholar] [CrossRef]
- CLSI. Methods for Determining Bactericidal Activity of Antimicrobial Agents; Approved Guideline. In CLSI Document M26-A; Clinical and Laboratory Standards Institute: Wayne, PA, USA, 1996. [Google Scholar]
- CLSI. Methods for Dilution Antimicrobial Susceptibility Tests for Bacteria That Grow Aerobically; Approved Standard. In CLSI Document M07-A9, 9th ed.; Clinical and Laboratory Standards Institute: Wayne, PA, USA, 2012. [Google Scholar]
- Rykaczewski, M.; Krauze-Baranowska, M.; Żuchowski, J.; Krychowiak-Maśnicka, M.; Fikowicz-Krośko, J.; Królicka, A. Phytochemical analysis of Brasolia, Elleanthus, and Sobralia. Three genera of orchids with antibacterial potential against Staphylococcus aureus. Phytochem. Lett. 2019, 30, 245–253. [Google Scholar] [CrossRef]






| The Object of Examination | Caftaric Acid | Protocatechuic Acid | Chlorogenic Acid | Caffeic Acid | Ferulic Acid | Sum of Phenolic Acids |
|---|---|---|---|---|---|---|
| mg × 100 g−1 DW [±SD] | ||||||
| NT shoot | 461.1 ± 33.9 b | nd | 51.8 ± 1.9 c | 1.8 ± 0.4 bc | 31.8 ± 3.1 c | 546.4 ± 28.7 b |
| NT root | 10.8 ± 0.8 a | 7.7 ± 0.3 b | 15.8 ± 0.6 b | 0.9 ± 0.1 ab | 14.2 ± 0.3 ab | 49.4 ± 1.2 a |
| RJ 9 | 17.9 ± 0.4 a | 2.5 ± 0.1 a | 11.1 ± 1.1 a | nd | 10.7 ± 1.4 a | 42.3 ± 2.8 a |
| RJ 10 | 37.9 ± 0.3 a | 1.9 ± 0.2 a | 10.6 ± 0.1 a | 8.4 ± 1.0 d | 13.7 ± 4.0 ab | 72.5 ± 5.0 a |
| RJ 11 | 24.4 ± 0.6 a | 2.2 ± 0.4 a | 9.2 ± 0.8 a | 2.6 ± 0.3 c | 14.3 ± 0.7 ab | 52.6 ± 1.8 a |
| RJ 30 | 19.2 ± 0.8 a | 2.3 ± 0.1 a | 10.5 ± 0.4 a | nd | 16.8 ± 0.9 b | 48.8 ± 0.5 a |
| The Object of Examination | Epigallocatechin | Catechin | Epigallocatechin Gallate | Epicatechin | Sum of Flawan-3-ols |
|---|---|---|---|---|---|
| mg × 100 g−1 DW [±SD] | |||||
| NT shoot | 136.6 ± 16.7 c | 124.4 ± 15.6 a | 9.7 ± 1.5 b | 184.6 ± 21.8 a | 455.3 ± 25.9 a |
| NT root | 57.6 ± 9.6 a | 120.6 ± 2.3 a | 3.1 ± 0.5 a | 457.6 ± 53.3 b | 638.9 ± 50.2 b |
| RJ 9 | 142.9 ± 3.4 c | 317.8 ± 14.9 c | nd | 495.0 ± 18.8 bc | 955.7 ± 32.9 c |
| RJ 10 | 62.0 ± 1.7 a | 397.9 ± 9.8 d | 55.8 ± 0.9 d | 807.7 ± 11.9 d | 1323.4 ± 21.4 f |
| RJ 11 | 72.2 ± 1.6 a | 275.9 ± 7.3 b | 46.8 ± 0.5 c | 781.6 ± 54.3 d | 1176.3 ± 61.0 e |
| RJ 30 | 94.9 ± 1.6 b | 334.4 ± 1.9 c | 61.7 ± 1.8 e | 581.5 ± 10.5 c | 1072.5 ± 10.3 d |
| The Object of Examination | Isoquercetin | Avicularin | Quercetin | Trifolin | Apigenin | Sum of Flavonoids |
|---|---|---|---|---|---|---|
| mg × 100 g−1 DW [±SD] | ||||||
| NT shoot | 25.9 ± 0.8 * | 10.8 ± 0.2 d | 185.9 ± 2.8 b | 10.6 ± 0.4 d | 73.1 ± 1.5 e | 306.2 ± 1.6 e |
| NT root | 7.3 ± 0.8 | 1.1 ± 0.2 a | 2.9 ± 0.1 a | 4.0 ± 0.7 c | 31.9 ± 0.4 b | 47.0 ± 1.5 b |
| RJ 9 | nd | 1.0 ± 0.2 a | 1.3 ± 0.1 a | 0.6 ± 0.1 a | 28.6 ± 0.5 a | 31.6 ± 0.6 a |
| RJ 10 | nd | 2.5 ± 0.1 c | 6.7 ± 0.1 b | 2.3 ± 0.1 b | 147.4 ± 0.7 f | 158.8 ± 0.6 d |
| RJ 11 | nd | 1.9 ± 0.2 b | 2.7 ± 0.4 a | 1.6 ± 0.5 ab | 63.3 ± 0.5 d | 69.6 ± 1.0 c |
| RJ 30 | nd | 1.4 ± 0.1 a | 2.2 ± 0.1 a | 0.7 ± 0.1 a | 43.2 ± 0.7 c | 47.5 ± 0.7 b |
| Staphylococcus aureus ATCC 25922 (Reference Strain) | Staphylococcus aureus 1521 (Antibiotic-Sensitive Strain) | Staphylococcus aureus 614k (Antibiotic-Resistant Strain) | ||||
|---|---|---|---|---|---|---|
| MIC | MBC | MIC | MBC | MIC | MBC | |
| mg DW × mL−1 | ||||||
| NT shoot | 3.33 | 8.33 | 3.33 | 6.67 | 3.33 | 9.17 |
| NT root | 1.25 | 1.67 | 1.67 | 1.67 | 1.67 | 1.67 |
| RJ 9 | 1.25 | 1.67 | 1.25 | 1.67 | 1.67 | 5.00 |
| RJ 10 | 1.04 | 1.25 | 1.25 | 1.46 | 1.67 | 4.17 |
| RJ 11 | 1.04 | 1.46 | 1.25 | 1.67 | 1.67 | 4.17 |
| RJ 30 | 1.25 | 1.88 | 1.25 | 1.67 | 1.67 | 5.00 |
| Primer Name | Sequence [5′-3′] |
|---|---|
| rolA-F | CCC AGA CCT TCG GAG TAT TAT CG |
| rolA-R | CCG TAG GTT TGT TTC GAA ATG CG |
| rolB-F | GAG TCG CAG GGT TAG GTC TGG C |
| rolB-R | CGT GCT GGC GAC AAC GAT TCA AC |
| rolC-F | GAG GAT GTG ACA AGC AGC GAT G |
| rolC-R | CCA TCT GCT CAT TCA GCT TGA TG |
| rolD-F | CTA TAT ATC ATC TGC AAC TGA GC |
| rolD-R | CCA GTT CCC TAC TAT AAA TCT TG |
| aux2-F | GGA GCT GTT GGG AAA AGA ATT G |
| aux2-R | CTT AGC AGC CGA GAC GAT TAT C |
| aux1-F | GTA GAC GAT GTT ACG GTG TAT G |
| aux1-R | GCT GTA GAT GCC CTA ACT TC |
| rolBTR-F | GAT AAG AAA GGG GCA CAG GAC C |
| rolBTR-R | CCT TAC GCG AAA AGT ATG CTA CC |
| mas2-F | CGA TGA CCT GAA AGC TTA TCT CG |
| mas2-R | CAC TGC TTC CGG CTC TTA TTT C |
| mas1-F | CTC TGC TTT GAC ATC GAC GAG G |
| mas1-R | CAA TCA GGT CTT CGG CGA TGG |
| ags1-F | CTA CGC TTG ATT ACT GCC ACT G |
| ags1-R | GAG AGT TGT TAG CTG AAG ATG AGG |
| virG-F | CTT AAT TTG GGT CGC GAA GAT GGG |
| virG-R | GAT AGA ACG TCG CGC GGC TTC |
Disclaimer/Publisher’s Note: The statements, opinions and data contained in all publications are solely those of the individual author(s) and contributor(s) and not of MDPI and/or the editor(s). MDPI and/or the editor(s) disclaim responsibility for any injury to people or property resulting from any ideas, methods, instructions or products referred to in the content. |
© 2025 by the authors. Licensee MDPI, Basel, Switzerland. This article is an open access article distributed under the terms and conditions of the Creative Commons Attribution (CC BY) license (https://creativecommons.org/licenses/by/4.0/).
Share and Cite
Makowski, W.; Królicka, A.; Hinc, K.; Szopa, A.; Kubica, P.; Sroka, J.; Tokarz, B.; Tokarz, K.M. Reynoutria japonica Houtt. Transformed Hairy Root Cultures as an Effective Platform for Producing Phenolic Compounds with Strong Bactericidal Properties. Int. J. Mol. Sci. 2025, 26, 362. https://doi.org/10.3390/ijms26010362
Makowski W, Królicka A, Hinc K, Szopa A, Kubica P, Sroka J, Tokarz B, Tokarz KM. Reynoutria japonica Houtt. Transformed Hairy Root Cultures as an Effective Platform for Producing Phenolic Compounds with Strong Bactericidal Properties. International Journal of Molecular Sciences. 2025; 26(1):362. https://doi.org/10.3390/ijms26010362
Chicago/Turabian StyleMakowski, Wojciech, Aleksandra Królicka, Krzysztof Hinc, Agnieszka Szopa, Paweł Kubica, Julia Sroka, Barbara Tokarz, and Krzysztof Michał Tokarz. 2025. "Reynoutria japonica Houtt. Transformed Hairy Root Cultures as an Effective Platform for Producing Phenolic Compounds with Strong Bactericidal Properties" International Journal of Molecular Sciences 26, no. 1: 362. https://doi.org/10.3390/ijms26010362
APA StyleMakowski, W., Królicka, A., Hinc, K., Szopa, A., Kubica, P., Sroka, J., Tokarz, B., & Tokarz, K. M. (2025). Reynoutria japonica Houtt. Transformed Hairy Root Cultures as an Effective Platform for Producing Phenolic Compounds with Strong Bactericidal Properties. International Journal of Molecular Sciences, 26(1), 362. https://doi.org/10.3390/ijms26010362

