A Rapid Field-Visualization Detection Platform for Genetically Modified Soybean ‘Zhonghuang 6106’ Based on RPA-CRISPR
Abstract
1. Introduction
2. Results
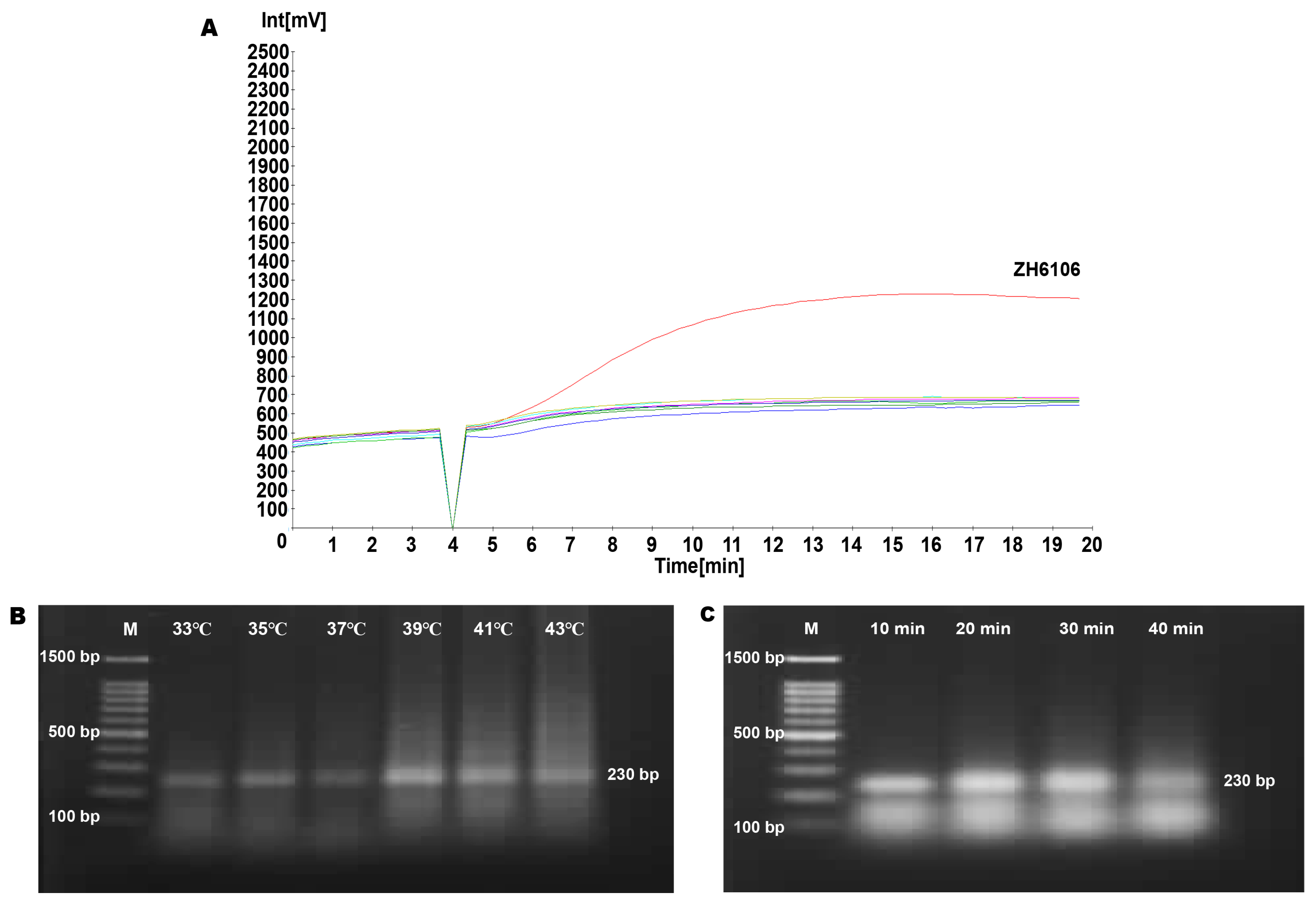
2.1. Establishment and Optimization of RPA Method for ‘Zhonghuang 6106’
2.2. Feasibility of the RPA-CRISPR Method
2.3. Optimization of the RPA-CRISPR Reaction System Conditions
2.4. Specificity of the RPA-CRISPR Method
2.5. LOD of the RPA-CRISPR Method
2.6. Application of TianGen Rapid DNA Extraction Kit
2.7. Application of the RPA-CRISPR Method for Zhonghuang 6106 Detection
3. Discussion
4. Materials and Methods
4.1. Materials and Reagents
4.2. Nucleic Acid Extraction and Purification
4.3. Cas12a Expression and Purification
4.4. Synthesis of RPA Specific Primers and Probes
4.5. Transcription of crRNA
4.6. Amplification Methods
4.7. Optimization of Reaction Conditions
4.8. Specificity Test
4.9. LOD Test
4.10. Application of the RPA-CRISPR Method in the Detection of Genetically Modified Soybean ‘Zhonghuang 6106’
Supplementary Materials
Author Contributions
Funding
Institutional Review Board Statement
Informed Consent Statement
Data Availability Statement
Conflicts of Interest
References
- Tanny, T.; Sallam, M.; Soda, N.; Nguyen, N.; Alam, M.; Shiddiky, M. CRISPR/Cas-based diagnostics in agricultural applications. J. Agric. Food Chem. 2023, 71, 11765–11788. [Google Scholar] [CrossRef] [PubMed]
- Yang, Z.; Liao, D.; Liao, H. Survey and Analysis of Attitudes, Cognition, and Influencing Factors towards Genetically Modified Technology among Chinese Agricultural Civil Servants. J. Huazhong Agric. Univ. Soc. Sci. Ed. 2023, 05, 193–200. [Google Scholar]
- Arya, M.; Shergill, I.S.; Williamson, M.; Gommersall, L.; Arya, N.; Patel, H.R. Basic principles of real-time quantitative PCR. Expert Rev. Mol. Diagn. 2005, 5, 209–219. [Google Scholar] [CrossRef]
- Buja, I.; Sabella, E.; Monteduro, A.G.; Chiriacò, M.S.; De Bellis, L.; Luvisi, A.; Maruccio, G. Advances in plant disease detection and monitoring: From traditional assays to in-field diagnostics. Sensors 2021, 21, 2129. [Google Scholar] [CrossRef]
- Mullis, K.; Faloona, F.; Scharf, S.; Saiki, R.; Horn, G.; Erlich, H. Specific enzymatic amplification of DNA in vitro: The polymerase chain reaction. In Cold Spring Harbor Symposia on Quantitative Biology; Cold Spring Harbor Laboratory Press: Cold Spring Harbor, NY, USA, 1986; Volume 51, pp. 263–273. [Google Scholar]
- Heid, C.A.; Stevens, J.; Livak, K.J.; Williams, P.M. Real time quantitative PCR. Genome Res. 1996, 6, 986–994. [Google Scholar] [CrossRef]
- Jozefczuk, J.; Adjaye, J. Quantitative real-time PCR-based analysis of gene expression. In Methods in Enzymology; Elsevier: Amsterdam, The Netherlands, 2011; pp. 99–109. [Google Scholar]
- Mahony, J.B.; Blackhouse, G.; Babwah, J.; Smieja, M.; Buracond, S.; Chong, S.; Ciccotelli, W.; O’Shea, T.; Alnakhli, D.; Griffiths-Turner, M.; et al. Cost analysis of multiplex PCR testing for diagnosing respiratory virus infections. J. Clin. Microbiol. 2009, 47, 2812–2817. [Google Scholar] [CrossRef]
- Strange, R.N.; Scott, P.R. Plant disease: A threat to global food security. Annu. Rev. Phytopathol. 2005, 43, 83–116. [Google Scholar] [CrossRef] [PubMed]
- Lobato, I.M.; O’Sullivan, C.K. Recombinase polymerase amplification: Basics, applications and recent advances. TrAC Trends Anal. Chem. 2018, 98, 19–35. [Google Scholar] [CrossRef] [PubMed]
- Xu, C.; Li, L.; Jin, W.; Wan, Y. Recombinase polymerase amplification (RPA) of CaMV-35S promoter and nos terminator for rapid detection of genetically modified crops. Int. J. Mol. Sci. 2014, 15, 18197–18205. [Google Scholar] [CrossRef] [PubMed]
- Lillis, L.; Lehman, D.; Singhal, M.C.; Cantera, J.; Singleton, J.; Labarre, P.; Toyama, A.; Piepenburg, O.; Parker, M.; Wood, R.; et al. Non-instrumented incubation of a recombinase polymerase amplification assay for the rapid and sensitive detection of proviral HIV-1 DNA. PLoS ONE 2014, 9, e108189. [Google Scholar] [CrossRef] [PubMed]
- Deng, H.; Gao, Z. Bioanalytical applications of isothermal nucleic acid amplification techniques. Anal. Chim. Acta 2015, 853, 30–45. [Google Scholar] [CrossRef] [PubMed]
- Cong, L.; Ran, F.A.; Cox, D.; Lin, S.; Barretto, R.; Habib, N.; Hsu, P.D.; Wu, X.; Jiang, W.; Marraffini, L.A.; et al. Multiplex genome engineering using CRISPR/Cas systems. Science 2013, 339, 819–823. [Google Scholar] [CrossRef] [PubMed]
- Mojica, F.J.; Díez-Villaseñor, C.S.; García-Martínez, J.; Soria, E. Intervening sequences of regularly spaced prokaryotic repeats derive from foreign genetic elements. J. Mol. Evol. 2005, 60, 174–182. [Google Scholar] [CrossRef]
- Kaminski, M.M.; Abudayyeh, O.O.; Gootenberg, J.S.; Zhang, F.; Collins, J.J. CRISPR-based diagnostics. Nat. Biomed. Eng. 2021, 5, 643–656. [Google Scholar] [CrossRef] [PubMed]
- Li, S.Y.; Cheng, Q.X.; Liu, J.K.; Nie, X.Q.; Zhao, G.P.; Wang, J. CRISPR-Cas12a has both cis-and trans-cleavage activities on single-stranded DNA. Cell Res. 2018, 28, 491–493. [Google Scholar] [CrossRef]
- Wei, J.; Wang, W.; Yu, Q.; Zhang, M.; Xue, F.; Fan, B.; Zhang, T.; Gao, Y.; Li, J.; Meng, X.; et al. MASTR Pouch: Palm-size lab for point-of-care detection of Mpox using recombinase polymerase amplification and CRISPR technology. Sens. Actuators B 2023, 390, 133950. [Google Scholar] [CrossRef] [PubMed]
- Zhu, L.; He, G.; Yang, G.; Yang, W.; He, Y.; Chen, J.; Chen, Y.; Ji, Y.; Pan, Z.; Yao, J.; et al. A rapid on-site visualization platform based on RPA coupled with CRISPR-Cas12a for the detection of genetically modified papaya ‘Huanong No. 1’. Talanta 2024, 277, 126437. [Google Scholar] [CrossRef] [PubMed]
- Li, Z.; Ding, X.; Yin, K.; Avery, L.; Ballesteros, E.; Liu, C. Instrument-free, CRISPR-based diagnostics of SARS-CoV-2 using self-contained microfluidic system. Biosens. Bioelectron. 2022, 199, 113865. [Google Scholar] [CrossRef]
- Zahn, L.M. Sensitive and specific CRISPR diagnostics. Science 2017, 356, 392–393. [Google Scholar] [CrossRef]
- Wang, J.; Hu, X.; Wang, Y.; Zeng, H.; Liu, X.; Liu, H. Rapid detection of genetically modified products based on CRISPR-Cas12a combined with recombinase polymerase amplification. Curr. Res. Food Sci. 2022, 5, 2281–2286. [Google Scholar] [CrossRef] [PubMed]
- Gootenberg, J.S.; Abudayyeh, O.O.; Kellner, M.J.; Joung, J.; Collins, J.J.; Zhang, F. Multiplexed and portable nucleic acid detection platform with Cas13, Cas12a, and Csm6. Science 2018, 360, 439–444. [Google Scholar] [CrossRef]
- Zhao, P.; Feng, Z.; Cai, L.; Phurbu, D.; Duan, W.; Xie, F.; Li, X.; Liu, F. Development of an RPA-CRISPR/Cas12a Assay for Rapid and Sensitive Diagnosis of Plant Quarantine Fungus Setophoma terrestris. J. Fungi 2024, 10, 716. [Google Scholar] [CrossRef] [PubMed]
- Huang, S.; An, Y.; Xi, B.; Gong, X.; Chen, Z.; Shao, S.; Ge, S.; Zhang, J.; Zhang, D.; Xia, N. Ultra-fast, sensitive and low-cost real-time PCR system for nucleic acid detection. Lab Chip 2023, 23, 2611–2622. [Google Scholar] [CrossRef] [PubMed]
- Feng, J.; Cui, X.; Du, B.; Zhao, H.; Feng, Y.; Cui, J.; Yan, C.; Gan, L.; Fan, Z.; Fu, T.; et al. Detection and Quantification of Klebsiella pneumoniae in Fecal Samples Using Digital Droplet PCR in Comparison with Real-Time PCR. Microbiol. Spectr. 2023, 11, e0424922. [Google Scholar] [CrossRef]
- Johnson Sunder Singh, J.S.; Kandasamy, T.; Swaminathan, M.; Muthurajan, R.; Palanisamy, M.A.; Dhashnamurthi, V.; Manickam, S. Role of herbicide-tolerant (HT) rice in the weed management of direct seeded crop: Challenges and opportunities. Czech J. Genet. Plant Breed. 2024, 60, 159–180. [Google Scholar] [CrossRef]
- Luo, T.; Li, L.; Wang, S.; Cheng, N. Research Progress of Nucleic Acid Detection Technology for Genetically Modified Maize. Int. J. Mol. Sci. 2023, 24, 12247. [Google Scholar] [CrossRef] [PubMed]
- Fu, J.; Zhang, L.; Long, Y.; Liu, Z.; Meng, G.; Zhao, H.; Su, X.; Shi, S. Multiplexed CRISPR-based nucleic acid detection using a single Cas protein. Anal. Chem. 2023, 95, 16089–16097. [Google Scholar] [CrossRef]








| Mixed Sample | Composition |
|---|---|
| GM maize | Bt11, Bt176, MON810, MON863, GA21, NK603, T25, TC1507, MON89034, MON88017, 59122, MIR604, 3272, MON87460, DAS40278-9, 4114, MON87427, 5307, each at 1% content, with non-GM maize as filler |
| GM rice | TT51-1, KF-6, KMD-1, M12, KF-8, KF-2, G6H1, T1C-19, each at 1% content, with non-GM rice as filler |
| GM cotton | MON1445, MON531, MON15985, LLCOTTON25, MON88913, GHB614, COT102, each at 1% content, with non-GM cotton as filler |
| GM rapeseed | MS1, MS8, RF1, RF2, RF3, T45, Oxy235, Topas19/2, MON88302, 73496, each at 1% content, with non-GM rapeseed as filler |
| GM soybean | GTS40-3-2, MON89788, A5547-127, A2704-12, 356043, 305423, CV127, MON87701, MON87708, MON87769, MON87705, FG72, DAS81419-2, each at 1% content, with non-GM soybean as filler |
Disclaimer/Publisher’s Note: The statements, opinions and data contained in all publications are solely those of the individual author(s) and contributor(s) and not of MDPI and/or the editor(s). MDPI and/or the editor(s) disclaim responsibility for any injury to people or property resulting from any ideas, methods, instructions or products referred to in the content. |
© 2024 by the authors. Licensee MDPI, Basel, Switzerland. This article is an open access article distributed under the terms and conditions of the Creative Commons Attribution (CC BY) license (https://creativecommons.org/licenses/by/4.0/).
Share and Cite
Tao, R.; Zhang, J.; Meng, L.; Gao, J.; Miao, C.; Liu, W.; Jin, W.; Wan, Y. A Rapid Field-Visualization Detection Platform for Genetically Modified Soybean ‘Zhonghuang 6106’ Based on RPA-CRISPR. Int. J. Mol. Sci. 2025, 26, 108. https://doi.org/10.3390/ijms26010108
Tao R, Zhang J, Meng L, Gao J, Miao C, Liu W, Jin W, Wan Y. A Rapid Field-Visualization Detection Platform for Genetically Modified Soybean ‘Zhonghuang 6106’ Based on RPA-CRISPR. International Journal of Molecular Sciences. 2025; 26(1):108. https://doi.org/10.3390/ijms26010108
Chicago/Turabian StyleTao, Ran, Jihong Zhang, Lixia Meng, Jin Gao, Chaohua Miao, Weixiao Liu, Wujun Jin, and Yusong Wan. 2025. "A Rapid Field-Visualization Detection Platform for Genetically Modified Soybean ‘Zhonghuang 6106’ Based on RPA-CRISPR" International Journal of Molecular Sciences 26, no. 1: 108. https://doi.org/10.3390/ijms26010108
APA StyleTao, R., Zhang, J., Meng, L., Gao, J., Miao, C., Liu, W., Jin, W., & Wan, Y. (2025). A Rapid Field-Visualization Detection Platform for Genetically Modified Soybean ‘Zhonghuang 6106’ Based on RPA-CRISPR. International Journal of Molecular Sciences, 26(1), 108. https://doi.org/10.3390/ijms26010108

