Clinicopathological Parameters and Immunohistochemical Profiles in Correlation with MRI Characteristics in Glioblastomas
Abstract
1. Introduction
2. Results
2.1. MMP-9 Immunoexpression in Glioblastoma
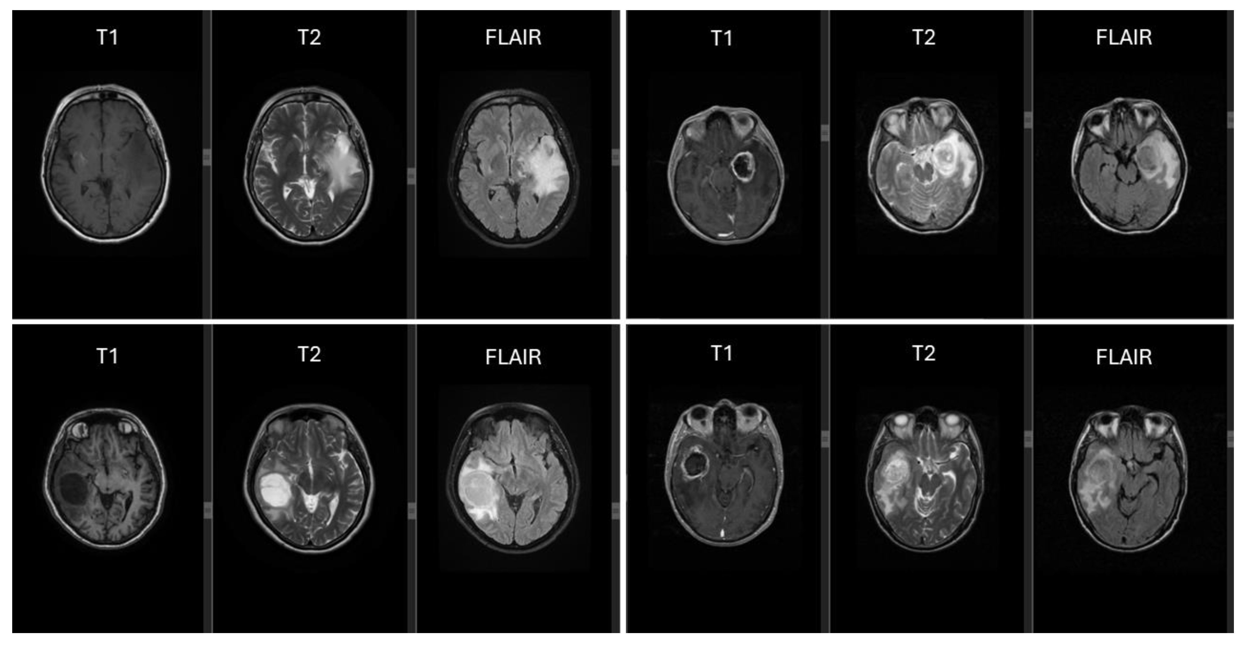
2.2. MRI Characteristics of Glioblastomas
2.2.1. Tumor Size and Tumor Volume
2.2.2. Peritumoral Edema
2.2.3. Midline Deviation
3. Discussion
4. Materials and Methods
4.1. Clinical Data
4.2. Immunohistochemistry
4.3. Slide Evaluation
4.4. MRI Sequence Evaluation
4.5. Statistical Analysis
4.6. Limitations of the Study
4.7. Ethics Committee
5. Conclusions
Author Contributions
Funding
Institutional Review Board Statement
Informed Consent Statement
Data Availability Statement
Acknowledgments
Conflicts of Interest
Correction Statement
Abbreviations
| MMP-9 | Matrix metalloproteinase 9 |
| MRI | Magnetic resonance imaging |
| IDH1 | Izocytrate dehydrogenase 1 |
| ATRX | Alpha thalassemia/mental retardation syndrome X-linked |
| VEGF | Vascular endothelial growth factor |
| GBM | Glioblastoma |
| MGMT | O6-methylguanine-DNA methyltransferase |
| MVD | Microvascular density |
| MMP-2 | Matrix metalloproteinase 2 |
| rCBV | Relative Cerebral Blood Volume |
| rOEF | Relative Oxygen Extraction Fraction |
| HIF | Hypoxia Inducible Factor |
| nCBV | Normal Cerebral Blood Volume |
| nCBF | Normal Cerebral Blood Flow |
| ROI | Region of Interest |
References
- Fathi Kazerooni, A.; Bakas, S.; Saligheh Rad, H.; Davatzikos, C. Imaging signatures of glioblastoma molecular characteristics: A radiogenomics review. J. Magn. Reson. Imaging 2020, 52, 54–69. [Google Scholar] [CrossRef]
- Rosińska, S.; Gavard, J. Tumor Vessels Fuel the Fire in Glioblastoma. Int. J. Mol. Sci. 2021, 22, 6514. [Google Scholar] [CrossRef] [PubMed]
- Nagaraja, T.N.; Lee, I.Y. Cerebral microcirculation in glioblastoma: A major determinant of diagnosis, resection, and drug delivery. Microcirculation 2021, 28, e12679. [Google Scholar] [CrossRef]
- Șovrea, A.S.; Boșca, B.; Melincovici, C.S.; Constantin, A.-M.; Crintea, A.; Mărginean, M.; Dronca, E.; Jianu, M.E.; Suflețel, R.; Gonciar, D.; et al. Multiple Faces of the Glioblastoma Microenvironment. Int. J. Mol. Sci. 2022, 23, 595. [Google Scholar] [CrossRef]
- Lam, K.H.B.; Leon, A.J.; Hui, W.; Lee, S.C.-E.; Batruch, I.; Faust, K.; Klekner, A.; Hutóczki, G.; Koritzinsky, M.; Richer, M.; et al. Topographic mapping of the glioblastoma proteome reveals a triple-axis model of intra-tumoral heterogeneity. Nat. Commun. 2022, 13, 116. [Google Scholar] [CrossRef]
- Vollmann-Zwerenz, A.; Leidgens, V.; Feliciello, G.; Klein, C.A.; Hau, P. Tumor Cell Invasion in Glioblastoma. Int. J. Mol. Sci. 2020, 21, 1932. [Google Scholar] [CrossRef] [PubMed]
- Collado, J.; Boland, L.; Ahrendsen, J.T.; Miska, J.; Lee-Chang, C. Understanding the glioblastoma tumor microenvironment: Leveraging the extracellular matrix to increase immunotherapy efficacy. Front. Immunol. 2024, 15, 1336476. [Google Scholar] [CrossRef]
- Zhou, W.; Yu, X.; Sun, S.; Zhang, X.; Yang, W.; Zhang, J.; Zhang, X.; Jiang, Z. Increased expression of MMP-2 and MMP-9 indicates poor prognosis in glioma recurrence. Biomed. Pharmacother. 2019, 118, 109369. [Google Scholar] [CrossRef]
- Mirabdaly, S.; Elieh Ali Komi, D.; Shakiba, Y.; Moini, A.; Kiani, A. Effects of temozolomide on U87MG glioblastoma cell expression of CXCR4, MMP2, MMP9, VEGF, anti-proliferatory cytotoxic and apoptotic properties. Mol. Biol. Rep. 2020, 47, 1187–1197. [Google Scholar] [CrossRef]
- Jiang, Y.; Jiao, Y.; Liu, Y.; Zhang, M.; Wang, Z.; Li, Y.; Li, T.; Zhao, X.; Wang, D. Sinomenine Hydrochloride Inhibits the Metastasis of Human Glioblastoma Cells by Suppressing the Expression of Matrix Metalloproteinase-2/-9 and Reversing the Endogenous and Exogenous Epithelial-Mesenchymal Transition. Int. J. Mol. Sci. 2018, 19, 844. [Google Scholar] [CrossRef]
- Quintero-Fabián, S.; Arreola, R.; Becerril-Villanueva, E.; Torres-Romero, J.C.; Arana-Argáez, V.; Lara-Riegos, J.; Ramírez-Camacho, M.A.; Alvarez-Sánchez, M.E. Role of Matrix Metalloproteinases in Angiogenesis and Cancer. Front. Oncol. 2019, 9, 1370. [Google Scholar] [CrossRef]
- Rempe, R.G.; Hartz, A.M.S.; Bauer, B. Matrix metalloproteinases in the brain and blood-brain barrier: Versatile breakers and makers. J. Cereb. Blood Flow. Metab. 2016, 36, 1481–1507. [Google Scholar] [CrossRef]
- Rosario, L.V.D.O.; DA Rosa, B.G.; Goncalves, T.L.; Matias, D.I.L.; Freitas, C.; Ferrer, V.P. Glioblastoma Factors Increase the Migration of Human Brain Endothelial Cells In Vitro by Increasing MMP-9/CXCR4 Levels. Anticancer Res. 2020, 40, 2725–2737. [Google Scholar] [CrossRef]
- Belousov, A.; Titov, S.; Shved, N.; Garbuz, M.; Malykin, G.; Gulaia, V.; Kagansky, A.; Kumeiko, V. The Extracellular Matrix and Biocompatible Materials in Glioblastoma Treatment. Front. Bioeng. Biotechnol. 2019, 7, 341. [Google Scholar] [CrossRef]
- Virtuoso, A.; De Luca, C.; Cirillo, G.; Riva, M.; Romano, G.; Bentivegna, A.; Lavitrano, M.; Papa, M.; Giovannoni, R. Tumor Microenvironment and Immune Escape in the Time Course of Glioblastoma. Mol. Neurobiol. 2022, 59, 6857–6873. [Google Scholar] [CrossRef]
- Chen, X.C.; Wei, X.T.; Guan, J.H.; Shu, H.; Chen, D. EGF stimulates glioblastoma metastasis by induction of matrix metalloproteinase-9 in an EGFR-dependent mechanism. Oncotarget 2017, 8, 65969–65982. [Google Scholar] [CrossRef]
- Dobra, G.; Gyukity-Sebestyén, E.; Bukva, M.; Harmati, M.; Nagy, V.; Szabó, Z.; Pankotai, T.; Klekner, Á.; Buzás, K. MMP-9 as Prognostic Marker for Brain Tumours: A Comparative Study on Serum-Derived Small Extracellular Vesicles. Cancers 2023, 15, 712. [Google Scholar] [CrossRef]
- Sabeghi, P.; Zarand, P.; Zargham, S.; Golestany, B.; Shariat, A.; Chang, M.; Yang, E.; Rajagopalan, P.; Phung, D.C.; Gholamrezanezhad, A. Advances in Neuro-Oncological Imaging: An Update on Diagnostic Approach to Brain Tumors. Cancers 2024, 16, 576. [Google Scholar] [CrossRef] [PubMed] [PubMed Central]
- Zhang, M.; Ye, F.; Su, M.; Cui, M.; Chen, H.; Ma, X. The Prognostic Role of Peritumoral Edema in Patients with Newly Diagnosed Glioblastoma: A Retrospective Analysis. J. Clin. Neurosci. 2021, 89, 249–257. [Google Scholar] [CrossRef]
- Ziegler, J.; Zalles, M.; Smith, N.; Saunders, D.; Lerner, M.; Fung, K.-M.; Patel, M.; Wren, J.D.; Lupu, F.; Battistes, J.; et al. Targeting ELTD1, an angiogenesis marker for glioblastoma (GBM), also affects VEGFR2: Molecular-targeted MRI assessment. Am. J. Nucl. Med. Mol. Imaging 2019, 9, 93–109. [Google Scholar]
- Fan, X.; Qi, C.; Liu, X.; Wang, Y.; Liu, S.; Wang, L. Regional specificity of matrix metalloproteinase-9 expression in the brain: Voxel-level mapping in primary glioblastomas. Clin. Radiol. 2018, 73, 283–289. [Google Scholar] [CrossRef]
- Underhill, H.R.; Karsy, M.; Davidson, C.J.; Hellwig, S.; Stevenson, S.; Goold, E.A.; Vincenti, S.; Sellers, D.L.; Dean, C.; Harrison, B.E.; et al. Subclonal Cancer Driver Mutations Are Prevalent in the Unresected Peritumoral Edema of Adult Diffuse Gliomas. Cancer Res. 2024, 84, 1149–1164. [Google Scholar] [CrossRef]
- Ohmura, K.; Tomita, H.; Hara, A. Peritumoral Edema in Gliomas: A Review of Mechanisms and Management. Biomedicines 2023, 11, 2731. [Google Scholar] [CrossRef]
- Wu, Y.; Peng, Z.; Wang, H.; Xiang, W. Identifying the Hub Genes of Glioma Peritumoral Brain Edema Using Bioinformatical Methods. Brain Sci. 2022, 12, 805. [Google Scholar] [CrossRef] [PubMed]
- Solar, P.; Hendrych, M.; Barak, M.; Valekova, H.; Hermanova, M.; Jancalek, R. Blood-Brain Barrier Alterations and Edema Formation in Different Brain Mass Lesions. Front. Cell Neurosci. 2022, 16, 922181. [Google Scholar] [CrossRef] [PubMed]
- Ballestín, A.; Armocida, D.; Ribecco, V.; Seano, G. Peritumoral brain zone in glioblastoma: Biological, clinical and mechanical features. Front. Immunol. 2024, 15, 1347877. [Google Scholar] [CrossRef] [PubMed]
- Scola, E.; Del Vecchio, G.; Busto, G.; Bianchi, A.; Desideri, I.; Gadda, D.; Mancini, S.; Carlesi, E.; Moretti, M.; Desideri, I.; et al. Conventional and Advanced Magnetic Resonance Imaging Assessment of Non-Enhancing Peritumoral Area in Brain Tumor. Cancers 2023, 15, 2992. [Google Scholar] [CrossRef] [PubMed]
- Qin, X.; Liu, R.; Akter, F.; Qin, L.; Xie, Q.; Li, Y.; Qiao, H.; Zhao, W.; Jian, Z.; Liu, R.; et al. Peri-tumoral brain edema associated with glioblastoma correlates with tumor recurrence. J. Cancer. 2021, 12, 2073–2082. [Google Scholar] [CrossRef]
- Grochans, S.; Cybulska, A.M.; Simińska, D.; Korbecki, J.; Kojder, K.; Chlubek, D.; Baranowska-Bosiacka, I. Epidemiology of Glioblastoma Multiforme-Literature Review. Cancers 2022, 14, 2412. [Google Scholar] [CrossRef]
- Kasper, J.; Hilbert, N.; Wende, T.; Fehrenbach, M.K.; Wilhelmy, F.; Jähne, K.; Frydrychowicz, C.; Hamerla, G.; Meixensberger, J.; Arlt, F. On the Prognosis of Multifocal Glioblastoma: An Evaluation Incorporating Volumetric MRI. Curr. Oncol. 2021, 28, 1437–1446. [Google Scholar] [CrossRef]
- Bernstock, J.D.; E Gary, S.; Klinger, N.; A Valdes, P.; Ibn Essayed, W.; E Olsen, H.; Chagoya, G.; Elsayed, G.; Yamashita, D.; Schuss, P.; et al. Standard clinical approaches and emerging modalities for glioblastoma imaging. Neurooncol. Adv. 2022, 4, vdac080. [Google Scholar] [CrossRef] [PubMed]
- Gonçalves, F.G.; Chawla, S.; Mohan, S. Emerging MRI Techniques to Redefine Treatment Response in Patients With Glioblastoma. J. Magn. Reson. Imaging 2020, 52, 978–997. [Google Scholar] [CrossRef] [PubMed]
- Li, A.Y.; Iv, M. Conventional and Advanced Imaging Techniques in Post-treatment Glioma Imaging. Front. Radiol. 2022, 2, 883293. [Google Scholar] [CrossRef] [PubMed] [PubMed Central]
- Mosteiro, A.; Pedrosa, L.; Ferrés, A.; Diao, D.; Sierra, À.; González, J.J. The Vascular Microenvironment in Glioblastoma: A Comprehensive Review. Biomedicines 2022, 10, 1285. [Google Scholar] [CrossRef] [PubMed] [PubMed Central]
- Roux, A.; Roca, P.; Edjlali, M.; Sato, K.; Zanello, M.; Dezamis, E.; Gori, P.; Lion, S.; Fleury, A.; Dhermain, F.; et al. MRI Atlas of IDH Wild-Type Supratentorial Glioblastoma: Probabilistic Maps of Phenotype, Management, and Outcomes. Radiology 2019, 293, 633–643. [Google Scholar] [CrossRef] [PubMed]
- Yu, X.; Hong, W.; Ye, M.; Lai, M.; Shi, C.; Li, L.; Ye, K.; Xu, J.; Ai, R.; Shan, C.; et al. Atypical primary central nervous system lymphoma and glioblastoma: Multiparametric differentiation based on non-enhancing volume, apparent diffusion coefficient, and arterial spin labeling. Eur. Radiol. 2023, 33, 5357–5367. [Google Scholar] [CrossRef] [PubMed] [PubMed Central]
- Wu, C.X.; Lin, G.S.; Lin, Z.X.; Zhang, J.D.; Liu, S.Y.; Zhou, C.F. Peritumoral edema shown by MRI predicts poor clinical outcome in glioblastoma. World J. Surg. Oncol. 2015, 13, 97. [Google Scholar] [CrossRef]
- Wu, Z.; Yang, Y.; Chen, M.; Zha, Y. Matrix metalloproteinase 9 expression and glioblastoma survival prediction using machine learning on digital pathological images. Sci. Rep. 2024, 14, 15065. [Google Scholar] [CrossRef] [PubMed] [PubMed Central]
- Roomi, M.W.; Kalinovsky, T.; Rath, M.; Niedzwiecki, A. Modulation of MMP-2 and MMP-9 secretion by cytokines, inducers and inhibitors in human glioblastoma T-98G cells. Oncol. Rep. 2017, 37, 1907–1913. [Google Scholar] [CrossRef] [PubMed]
- Wang, R.; Zhang, S.; Chen, X.; Li, N.; Li, J.; Jia, R.; Pan, Y.; Liang, H. EIF4A3-induced circular RNA MMP9 (circMMP9) acts as a sponge of miR-124 and promotes glioblastoma multiforme cell tumorigenesis. Mol. Cancer. 2018, 17, 166, Erratum in Mol. Cancer 2020, 19, 153. [Google Scholar] [CrossRef]
- Xue, Q.; Cao, L.; Chen, X.-Y.; Zhao, J.; Gao, L.; Li, S.-Z.; Fei, Z. High expression of MMP9 in glioma affects cell proliferation and is associated with patient survival rates. Oncol. Lett. 2017, 13, 1325–1330. [Google Scholar] [CrossRef] [PubMed]
- Li, Q.; Chen, B.; Cai, J.; Sun, Y.; Wang, G.; Li, Y.; Li, R.; Feng, Y.; Han, B.; Li, J.; et al. Comparative Analysis of Matrix Metalloproteinase Family Members Reveals That MMP9 Predicts Survival and Response to Temozolomide in Patients with Primary Glioblastoma. PLoS ONE 2016, 11, e0151815. [Google Scholar] [CrossRef] [PubMed]
- Zhang, H.; Ma, Y.; Wang, H.; Xu, L.; Yu, Y. MMP-2 expression and correlation with pathology and MRI of glioma. Oncol. Lett. 2019, 17, 1826–1832. [Google Scholar] [CrossRef] [PubMed]
- Sun, X.; Pang, P.; Lou, L.; Feng, Q.; Ding, Z.; Zhou, J. Radiomic prediction models for the level of Ki-67 and p53 in glioma. J. Int. Med. Res. 2020, 48, 300060520914466. [Google Scholar] [CrossRef] [PubMed] [PubMed Central]
- Wiestler, B.; Kluge, A.; Lukas, M.; Gempt, J.; Ringel, F.; Schlegel, J.; Meyer, B.; Zimmer, C.; Förster, S.; Pyka, T.; et al. Multiparametric MRI-based differentiation of WHO grade II/III glioma and WHO grade IV glioblastoma. Sci. Rep. 2016, 6, 35142. [Google Scholar] [CrossRef] [PubMed] [PubMed Central]
- Álvarez-Torres, M.d.M.; Fuster-García, E.; Juan-Albarracín, J.; Reynés, G.; Aparici-Robles, F.; Ferrer-Lozano, J.; García-Gómez, J.M. Local detection of microvessels in IDH-wildtype glioblastoma using relative cerebral blood volume: An imaging marker useful for astrocytoma grade 4 classification. BMC Cancer 2022, 22, 40. [Google Scholar] [CrossRef]
- Liu, W.; Li, Z. Diagnostic performance of perfusion-weighted imaging combined with serum MMP-2 and -9 levels in tumor recurrence after postoperative concomitant chemoradiotherapy of glioblastoma. J. Clin. Ultrasound 2023, 51, 563–570. [Google Scholar] [CrossRef]
- Stringfield, O.; Arrington, J.A.; Johnston, S.K.; Rognin, N.G.; Peeri, N.C.; Balagurunathan, Y.; Jackson, P.R.; Clark-Swanson, K.R.; Swanson, K.R.; Egan, K.M.; et al. Multiparameter MRI Predictors of Long-Term Survival in Glioblastoma Multiforme. Tomography 2019, 5, 135–144. [Google Scholar] [CrossRef]
- Das, S.; Dey, M.K.; Devireddy, R.; Gartia, M.R. Biomarkers in Cancer Detection, Diagnosis, and Prognosis. Sensors 2024, 24, 37. [Google Scholar] [CrossRef]
- Sipos, T.C.; Kövecsi, A.; Ovidiu-Ioan, Ș.; Zsuzsánna, P. General Clinico-Pathological Characteristics in Glioblastomas in Correlation with p53 and Ki67. Medicina 2023, 59, 1918. [Google Scholar] [CrossRef]
- Sipos, T.C.; Kövecsi, A.; Kocsis, L.; Nagy-Bota, M.; Pap, Z. Evaluation of Microvascular Density in Glioblastomas in Relation to p53 and Ki67 Immunoexpression. Int. J. Mol. Sci. 2024, 25, 6810. [Google Scholar] [CrossRef] [PubMed]
- Flores, A.P.; Sanchez, C.V.; Roda, J.M.; Cerdán, S.; Barrios, A.J.; Utrilla, C.; Royo, A.; González, M.L.G. Assessment of Pre-operative Measurements of Tumor Size by MRI Methods as Survival Predictors in Wild Type IDH Glioblastoma. Front. Oncol. 2020, 10, 1662. [Google Scholar] [CrossRef]
- Long, H.; Zhang, P.; Bi, Y.; Yang, C.; Wu, M.; He, D.; Huang, S.; Yang, K.; Qi, S.; Wang, J. MRI radiomic features of peritumoral edema may predict the recurrence sites of glioblastoma multiforme. Front. Oncol. 2023, 12, 1042498. [Google Scholar] [CrossRef] [PubMed]





| N (nr) | Tumor Size | MMP-9 | ||||
|---|---|---|---|---|---|---|
| <5 cm | >5 cm | p | Positive | Negative | p | |
| Age | ||||||
| <50 years | 9 | 7 | 0.43 | 6 | 10 | 0.07 |
| 50–65 years | 11 | 3 | 7 | 7 | ||
| >65 years | 9 | 5 | 11 | 3 | ||
| Gender | ||||||
| Male | 18 | 4 | 0.02 | 11 | 11 | 0.54 |
| Female | 11 | 11 | 13 | 9 | ||
| Localization (lobe) | ||||||
| Frontal | 6 | 4 | 0.95 | 5 | 5 | 0.91 |
| Temporal | 14 | 6 | 11 | 9 | ||
| Parietal | 5 | 3 | 4 | 4 | ||
| Occipital | 4 | 2 | 4 | 2 | ||
| Laterality | ||||||
| Right hemisphere | 15 | 7 | 0.75 | 14 | 8 | 0.22 |
| Left hemisphere | 14 | 8 | 10 | 12 | ||
| IDH1 Mutation | ||||||
| IDH1 Wild Type | 26 | 14 | 0.68 | 23 | 17 | 0.21 |
| IDH1 Mutant Type | 3 | 1 | 1 | 3 | ||
| p53 | ||||||
| Mutant type | 7 | 4 | 0.85 | 4 | 7 | 0.16 |
| Wild type | 22 | 11 | 20 | 13 | ||
| Ki67 | ||||||
| <5% | 8 | 7 | 0.08 | 11 | 4 | 0.17 |
| 5–20% | 11 | 1 | 6 | 6 | ||
| >20% | 10 | 7 | 7 | 10 | ||
| ATRX | ||||||
| Mutant type | 8 | 2 | 0.28 | 5 | 5 | 0.74 |
| Wild type | 21 | 13 | 19 | 15 | ||
| CD34 | 1.75 (0.9–4.1) | 3.21 (1.7–6.9) | 0.072 | |||
| CD105 | 2.65 (0.9–4.9) | 2.93 (1.3–5.0) | 0.79 | |||
| Data | Tumor Volume (cm3) | p | Peritumoral Edema (mm) | p | Edema Shape (Roundish/ Irregular) | p | Midline Deviation (mm) | p |
|---|---|---|---|---|---|---|---|---|
| Gender | ||||||||
| Male | 38.6 (21.8, 57.5) | 0.477 | 20.8 (16.8, 34.6) | 0.213 | 14/8 | 0.757 | 7.5 (4.0, 11.5) | 0.112 |
| Female | 42.1 (24.6, 63.4) | 29.1 (21.0, 33.8) | 13/9 | 5.5 (1.5, 8.4) | ||||
| Age | ||||||||
| <50 | 46.9 (28.4, 58.3) | 0.859 | 20.2 (17.8, 31.2) | 0.205 | 14/4 | 0.336 | 7.0 (3.7, 11.2) | 0.006 |
| 51–65 | 38.3 (26.3, 53.8) | 30.6 (27.4, 34.6) | 7/7 | 8.3 (6.3, 10.4) | ||||
| >65 | 33.0 (17.4, 67.6) | 24.0 (12.0, 35.4) | 8/6 | 3.0 (1.5, 5.0) | ||||
| Localization | ||||||||
| Frontal | 57.9 (39.1, 67.6) | 0.398 | 20.7 (16.4, 40.1) | 0.434 | 7/3 | 0.207 | 10.8 (3.0, 14.6) | 0.381 |
| Temporal | 37.6 (18.0, 61.1) | 28.7 (19.3, 33.7) | 9/11 | 6.1 (4.0, 9.8) | ||||
| Parietal | 37.5 (19.8, 50.9) | 27.8 (21.2, 40.6) | 6/2 | 6.4 (3.3, 8.7) | ||||
| Occipital | 40.6 (24.1, 73.6) | 19.0 (14.0, 25.7) | 5/1 | 4.5 (1.0, 6.2) | ||||
| Lateality | ||||||||
| Right Hemipshere | 38.7 (24.6, 61.8) | 0.771 | 28.2 (20.4, 35.4) | 0.149 | 10/12 | 0.030 | 8.3 (4.0, 11.5) | 0.072 |
| Left Hemisphere | 45.6 (18.7, 59.1) | 22.4 (14.0, 32.6) | 17/5 | 5.3 (1.9, 8.4) | ||||
| IDH1 | ||||||||
| IDH1 wild type | 38.5 (22.8, 59.3) | 0.273 | 25.5 (18.0, 34.2) | 0.775 | 25/15 | 0.634 | 6.1 (3.3, 10.2) | 0.539 |
| IDH1 mutant type | 49.8 (42.8, 67.4) | 23.6 (15.1, 35.1) | 2/2 | 7.5 (4.3, 12.0) | ||||
| ATRX | ||||||||
| Wild type | 40.6 (18.7, 60.0) | 0.857 | 24.0 (17.4, 33.7) | 0.287 | 21/13 | 0.599 | 5.15 (2.0, 9.2) | 0.035 |
| Mutant type | 39.6 (26.4, 54.8) | 30.8 (18.2, 41.3) | 6/4 | 8.8 (5.9, 12.8) | ||||
| p53 | ||||||||
| Wild type | 38.7 (20.9, 59.2) | 0.748 | 27.4 (17.4, 35.4) | 0.357 | 19/14 | 0.486 | 6.0 (4.0, 9.3) | 0.989 |
| Mutant type | 48.6 (25.1, 61.6) | 24.4 (18.7, 29.2) | 8/3 | 6.2 (3.2, 10.2) | ||||
| Ki67 | ||||||||
| <5% | 43.2 (28.9, 62.2) | 0.452 | 27.4 (20.0, 37.7) | 0.740 | 10/5 | 0.661 | 5.9 (3.1, 7.2) | 0.685 |
| 5–20% | 31.3 (22.8. 42.1) | 20.6 (17.3, 32.4) | 8/4 | 6.8 (3.0, 10.9) | ||||
| >20% | 51.0 (16.6, 60.3) | 25.4 (19.2. 33.8) | 9/8 | 7.5 (4.0, 10.6) | ||||
| MMP-9 | ||||||||
| Positive | 39.8 (26.3, 61.3) | 0.520 | 25.0 (19.5, 34.5) | 0.777 | 14/10 | 0.760 | 5.6 (2.6, 8.8) | 0.288 |
| Negative | 43.5 (16.3, 59.3) | 26.9 (15.7, 34.2) | 13/7 | 8.0 (3.7, 11.0) |
| CD34 | CD105 | |||
|---|---|---|---|---|
| r | p | r | p | |
| Tumor volume (cm3) | 0.062 | 0.687 | −0.069 | 0.658 |
| Peritumoral edema (mm) | 0.207 | 0.107 | −0.090 | 0.563 |
| Midline deviation (mm) | 0.120 | 0.440 | −0.088 | 0.568 |
| % | p | % | p | |
| Edema Shape (Roundish/Irregular) | 3.6/4.1 | 0.644 | 4.1/3.1 | 0.405 |
| Edema Crosses Midline (Present/Absent) | 5.3/3.8 | 0.542 | 10.7/3.4 | 0.009 |
| Tumor Volume (cm3)/Peritumoral Edema (mm) | Tumor Volume (cm3)/Midline Deviation (mm) | Peritumoral Edema (mm)/Midline Deviation (mm) | |
|---|---|---|---|
| Correlation coefficient (p) | CC = −0.06 (p = 0.67) | CC = −0.02 (p = 0.86) | CC = 0.41 (p = 0.005) |
Disclaimer/Publisher’s Note: The statements, opinions and data contained in all publications are solely those of the individual author(s) and contributor(s) and not of MDPI and/or the editor(s). MDPI and/or the editor(s) disclaim responsibility for any injury to people or property resulting from any ideas, methods, instructions or products referred to in the content. |
© 2024 by the authors. Licensee MDPI, Basel, Switzerland. This article is an open access article distributed under the terms and conditions of the Creative Commons Attribution (CC BY) license (https://creativecommons.org/licenses/by/4.0/).
Share and Cite
Sipos, T.-C.; Attila, K.; Kocsis, L.; Bălașa, A.; Chinezu, R.; Baróti, B.Á.; Pap, Z. Clinicopathological Parameters and Immunohistochemical Profiles in Correlation with MRI Characteristics in Glioblastomas. Int. J. Mol. Sci. 2024, 25, 13043. https://doi.org/10.3390/ijms252313043
Sipos T-C, Attila K, Kocsis L, Bălașa A, Chinezu R, Baróti BÁ, Pap Z. Clinicopathological Parameters and Immunohistochemical Profiles in Correlation with MRI Characteristics in Glioblastomas. International Journal of Molecular Sciences. 2024; 25(23):13043. https://doi.org/10.3390/ijms252313043
Chicago/Turabian StyleSipos, Tamás-Csaba, Kövecsi Attila, Lóránd Kocsis, Adrian Bălașa, Rareș Chinezu, Beáta Ágota Baróti, and Zsuzsánna Pap. 2024. "Clinicopathological Parameters and Immunohistochemical Profiles in Correlation with MRI Characteristics in Glioblastomas" International Journal of Molecular Sciences 25, no. 23: 13043. https://doi.org/10.3390/ijms252313043
APA StyleSipos, T.-C., Attila, K., Kocsis, L., Bălașa, A., Chinezu, R., Baróti, B. Á., & Pap, Z. (2024). Clinicopathological Parameters and Immunohistochemical Profiles in Correlation with MRI Characteristics in Glioblastomas. International Journal of Molecular Sciences, 25(23), 13043. https://doi.org/10.3390/ijms252313043

