In Vitro Investigation of Biological and Toxic Effects of 4-Octylphenol on Human Cells
Abstract
1. Introduction
2. Results
2.1. Effects of 4-OP on Viability of Human Cell Lines
2.2. Effects of 4-OP on Cell Cycle
2.3. Effects of 4-OP on UPR
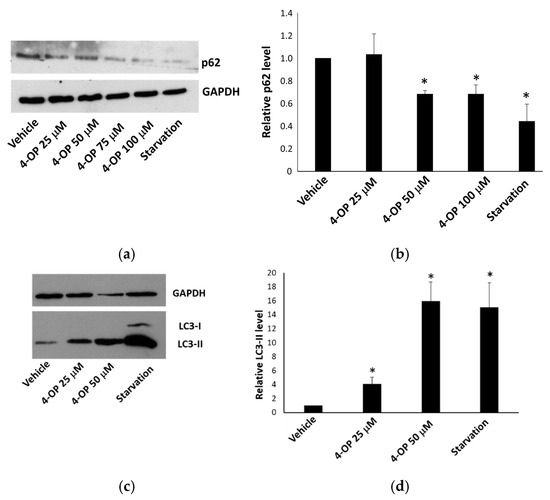
2.4. Effects of 4-OP on Autophagy
2.5. Effects of 4-OP on Antioxidant Enzymes
2.6. In Silico Prediction of ADMET Properties of 4-OP
3. Discussion
4. Materials and Methods
4.1. Alkylphenols
4.2. Cell Cultures
4.3. MTT Assay
4.4. Western Blot
4.5. XBP1 Splicing Detection
4.6. Fluorescent Microscopy
4.6.1. BrdU Incorporation Assay
4.6.2. TUNEL Assay
4.6.3. LC3 Detection
4.7. Catalase Activity Assay
4.8. ADMET Prediction
4.9. Statistics
5. Conclusions
Author Contributions
Funding
Institutional Review Board Statement
Informed Consent Statement
Data Availability Statement
Conflicts of Interest
Abbreviations
| 4-NP | 4-nonylphenol |
| 4-OP | 4-octylphenol |
| ADMET | Absorption, Distribution, Metabolism, Excretion, and Toxicity |
| APEOs | alkylphenols ethoxylates |
| APs | alkylphenols |
| Baf A1 | bafilomycin A1 |
| BrdU | bromodeoxyuridine |
| CAT | catalase |
| EDCs | endocrine-disrupting chemicals |
| GRP78 | glucose-regulated protein-78 |
| LC3 | microtubule-associated protein 1A/1B-light chain 3 |
| MTT | 3-(4,5-dimethylthiazol-2-yl)-2,5-diphenyltetrazolium bromide |
| SOD | superoxide dismutase |
| THP | thapsigargin |
| TUNEL | Terminal deoxynucleotidyl transferase dUTP nick end labeling |
| UPR | unfolded protein response |
| XBP1 | X-box binding protein 1 |
References
- Chokwe, T.; Okonkwo, J.; Sibali, L. Distribution, exposure pathways, sources and toxicity of nonylphenol and nonylphenol ethoxylates in the environment. Water SA 2017, 43, 529. [Google Scholar] [CrossRef]
- Acir, I.-H.; Guenther, K. Endocrine disrupting metabolites of aklylphenol ethoxylates-A critical review of analytical methods, environmental occurrences, toxicity, and regulation. Sci. Total Environ. 2018, 635, 1530–1546. [Google Scholar] [CrossRef] [PubMed]
- Careghini, A.; Mastorgio, A.F.; Saponaro, S.; Sezenna, E. Bisphenol A, nonylphenols, benzophenones, and benzotriazoles in soils, groundwater, surface water, sediments, and food: A review. Environ. Sci. Pollut. Res. Int. 2015, 22, 5711–5741. [Google Scholar] [CrossRef] [PubMed]
- Olaniyan, L.W.B.; Omobola, O.O.; Noxolo, T.M.; Anthony, I.O. Environmental Water Pollution, Endocrine Interference and Ecotoxicity of 4-tert-Octylphenol: A Review. Rev. Environ. Contam. Toxicol. 2018, 248, 81–109. [Google Scholar] [CrossRef]
- Soares, A.; Guieysse, B.; Jefferson, B.; Cartmell, E.; Lester, J. Nonylphenol in the environment: A critical review on occurrence, fate, toxicity and treatment in wastewaters. Environ. Int. 2008, 34, 1033–1049. [Google Scholar] [CrossRef]
- Guenther, K.; Heinke, V.; Thiele, B.; Kleist, E.; Prast, H.; Raecker, T. Endocrine Disrupting Nonylphenols Are Ubiquitous in Food. Environ. Sci. Technol. 2002, 36, 1676–1680. [Google Scholar] [CrossRef]
- Ying, G.-G.; Williams, B.; Kookana, R. Environmental fate of alkylphenols and alkylphenol ethoxylates—A review. Environ. Int. 2002, 28, 215–226. [Google Scholar] [CrossRef]
- Shekhar, S.; Sood, S.; Showkat, S.; Lite, C.; Chandrasekhar, A.; Vairamani, M.; Barathi, S.; Santosh, W. Detection of phenolic endocrine disrupting chemicals (EDCs) from maternal blood plasma and amniotic fluid in Indian population. Gen. Comp. Endocrinol. 2017, 241, 100–107. [Google Scholar] [CrossRef]
- Lopez-Espinosa, M.; Freire, C.; Arrebola, J.; Navea, N.; Taoufiki, J.; Fernandez, M.; Ballesteros, O.; Prada, R.; Olea, N. Nonylphenol and octylphenol in adipose tissue of women in Southern Spain. Chemosphere 2009, 76, 847–852. [Google Scholar] [CrossRef]
- Ademollo, N.; Ferrara, F.; Delise, M.; Fabietti, F.; Funari, E. Nonylphenol and octylphenol in human breast milk. Environ. Int. 2008, 34, 984–987. [Google Scholar] [CrossRef]
- Park, H.; Kim, K. Urinary Levels of 4-Nonylphenol and 4-t-Octylphenol in a Representative Sample of the Korean Adult Population. Int. J. Environ. Res. Public Health 2017, 14, 932. [Google Scholar] [CrossRef] [PubMed]
- Pérez-Albaladejo, E.; Fernandes, D.; Lacorte, S.; Porte, C. Comparative toxicity, oxidative stress and endocrine disruption potential of plasticizers in JEG-3 human placental cells. Toxicol. Vitr. 2017, 38, 41–48. [Google Scholar] [CrossRef] [PubMed]
- Ko, D.S.; Lee, D.R.; Song, H.; Kim, J.-H.; Lim, C.K. Octylphenol and nonylphenol affect decidualization of human endometrial stromal cells. Reprod. Toxicol. 2019, 89, 13–20. [Google Scholar] [CrossRef] [PubMed]
- Bian, Q.; Qian, J.; Xu, L.; Chen, J.; Song, L.; Wang, X. The toxic effects of 4-tert-octylphenol on the reproductive system of male rats. Food Chem. Toxicol. 2006, 44, 1355–1361. [Google Scholar] [CrossRef] [PubMed]
- Tran, D.N.; Jung, E.-M.; Yoo, Y.-M.; Jeung, E.-B. 4-tert-Octylphenol Exposure Disrupts Brain Development and Subsequent Motor, Cognition, Social, and Behavioral Functions. Oxidative Med. Cell. Longev. 2020, 2020, 8875604. [Google Scholar] [CrossRef]
- Xu, Y.; Jang, J.H.; Gye, M.C. 4-Octylphenol induces developmental abnormalities and interferes the differentiation of neural crest cells in Xenopus laevis embryos. Environ. Pollut. 2021, 274, 116560. [Google Scholar] [CrossRef]
- Bianco, M.; Mita, L.; Portaccio, M.; Diano, N.; Sica, V.; De Luca, B.; Mita, D.; Carratelli, C.R.; Viggiano, E. Differential accumulation levels in the brain of rats exposed to the endocrine disruptor 4-tert-octylphenol (OP). Environ. Toxicol. Pharmacol. 2011, 31, 198–204. [Google Scholar] [CrossRef]
- Hernández-Rodríguez, G.; Zumbado, M.; Luzardo, O.; Monterde, J.; Blanco, A.; Boada, L. Multigenerational study of the hepatic effects exerted by the consumption of nonylphenol- and 4-octylphenol-contaminated drinking water in Sprague–Dawley rats. Environ. Toxicol. Pharmacol. 2006, 23, 73–81. [Google Scholar] [CrossRef]
- Kim, J.; Kang, E.-J.; Park, M.-N.; Kim, J.-E.; Kim, S.-C.; Jeung, E.-B.; Lee, G.-S.; Hwang, D.-Y.; An, B.-S. The adverse effect of 4-tert-octylphenol on fat metabolism in pregnant rats via regulation of lipogenic proteins. Environ. Toxicol. Pharmacol. 2015, 40, 284–291. [Google Scholar] [CrossRef]
- Sadakane, K.; Ichinose, T.; Takano, H.; Yanagisawa, R.; Koike, E.; Inoue, K. The alkylphenols 4-nonylphenol, 4-tert-octylphenol and 4-tert-butylphenol aggravate atopic dermatitis-like skin lesions in NC/Nga mice: Alkylphenols aggravate atopic dermatitis in NC/Nga mice. J. Appl. Toxicol. 2014, 34, 893–902. [Google Scholar] [CrossRef]
- Pesonen, M.; Vähäkangas, K. Contribution of common plastic-related endocrine disruptors to epithelial-mesenchymal transition (EMT) and tumor progression. Chemosphere 2022, 309 Pt 1, 136560. [Google Scholar] [CrossRef] [PubMed]
- Cano, R.; Pérez, J.L.; Dávila, L.A.; Ortega, Á.; Gómez, Y.; Valero-Cedeño, N.J.; Parra, H.; Manzano, A.; Castro, T.I.V.; Albornoz, M.P.D.; et al. Role of Endocrine-Disrupting Chemicals in the Pathogenesis of Non-Alcoholic Fatty Liver Disease: A Comprehensive Review. Int. J. Mol. Sci. 2021, 22, 4807. [Google Scholar] [CrossRef] [PubMed]
- Chen, J. The Cell-Cycle Arrest and Apoptotic Functions of p53 in Tumor Initiation and Progression. Cold Spring Harb. Perspect. Med. 2016, 6, a026104. [Google Scholar] [CrossRef] [PubMed]
- Paolella, G.; Romanelli, A.M.; Martucciello, S.; Sposito, S.; Lepretti, M.; Esposito, C.; Capaldo, A.; Caputo, I. The mechanism of cytotoxicity of 4-nonylphenol in a human hepatic cell line involves ER-stress, apoptosis, and mitochondrial dysfunction. J. Biochem. Mol. Toxicol. 2021, 35, e22780. [Google Scholar] [CrossRef] [PubMed]
- Grant, D.M. Detoxification pathways in the liver. J. Inherit. Metab. Dis. 1991, 14, 421–430. [Google Scholar] [CrossRef] [PubMed]
- de Souza, I.R.; Iulini, M.; Galbiati, V.; Silva, E.Z.M.; Sivek, T.W.; Rodrigues, A.C.; Gradia, D.F.; Pestana, C.B.; Leme, D.M.; Corsini, E. An integrated in silico-in vitro investigation to assess the skin sensitization potential of 4-Octylphenol. Toxicology 2023, 493, 153548. [Google Scholar] [CrossRef]
- Gan, W.; Zhou, M.; Xiang, Z.; Han, X.; Li, D. Combined Effects of Nonylphenol and Bisphenol A on the Human Prostate Epithelial Cell Line RWPE-1. Int. J. Environ. Res. Public Health 2015, 12, 4141–4155. [Google Scholar] [CrossRef]
- Vo, T.T.B.; Van Nguyen, P.; Duong, H.T.T.; Nguyen, T.D.; Huynh, H.T.H.; Van Nong, H. Potential effect of combined xenoestrogens during gestation stages on mouse offspring. J. Environ. Biol. 2015, 36, 337–344. [Google Scholar]
- Buñay, J.; Larriba, E.; Patiño-Garcia, D.; Cruz-Fernandes, L.; Castañeda-Zegarra, S.; Rodriguez-Fernandez, M.; del Mazo, J.; Moreno, R.D. Editor’s Highlight: Differential Effects of Exposure to Single Versus a Mixture of Endocrine-Disrupting Chemicals on Steroidogenesis Pathway in Mouse Testes. Toxicol. Sci. 2018, 161, 76–86. [Google Scholar] [CrossRef]
- Nomura, S.; Daidoji, T.; Inoue, H.; Yokota, H. Differential metabolism of 4-n- and 4-tert-octylphenols in perfused rat liver. Life Sci. 2008, 83, 223–228. [Google Scholar] [CrossRef]
- Zhou, K.; Ding, X.; Yang, J.; Hu, Y.; Song, Y.; Chen, M.; Sun, R.; Dong, T.; Xu, B.; Han, X.; et al. Metabolomics Reveals Metabolic Changes Caused by Low-Dose 4-Tert-Octylphenol in Mice Liver. Int. J. Environ. Res. Public Health 2018, 15, 2686. [Google Scholar] [CrossRef] [PubMed]
- Barlas, N.; Aydoğan, M. Histopathologic effects of maternal 4-tert-octylphenol exposure on liver, kidney and spleen of rats at adulthood. Arch. Toxicol. 2008, 83, 341–349. [Google Scholar] [CrossRef] [PubMed]
- Gómez-Lechón, M.J.; Tolosa, L.; Donato, M.T. Cell-based models to predict human hepatotoxicity of drugs. Rev. Toxicol. 2014, 31, 149–156. [Google Scholar]
- Magnifico, M.C.; Xhani, M.; Popov, M.; Saso, L.; Sarti, P.; Arese, M. Nonylphenol and Octylphenol Differently Affect Cell Redox Balance by Modulating the Nitric Oxide Signaling. Oxidative Med. Cell. Longev. 2018, 2018, 1684827. [Google Scholar] [CrossRef] [PubMed]
- Lepretti, M.; Paolella, G.; Giordano, D.; Marabotti, A.; Gay, F.; Capaldo, A.; Esposito, C.; Caputo, I. 4-Nonylphenol reduces cell viability and induces apoptosis and ER-stress in a human epithelial intestinal cell line. Toxicol. Vitr. 2015, 29, 1436–1444. [Google Scholar] [CrossRef] [PubMed]
- Zhang, M.; Park, H.J.; Seo, S.-A.; Seo, H.-R.; Song, H. Evaluation of toxicity of 4-octylphenol in TM4 Sertoli cells: An in vitro study. Toxicol. Mech. Methods 2019, 29, 623–631. [Google Scholar] [CrossRef]
- Kusunoki, T.; Shimoke, K.; Komatsubara, S.; Kishi, S.; Ikeuchi, T. p-Nonylphenol induces endoplasmic reticulum stress-mediated apoptosis in neuronally differentiated PC12 cells. Neurosci. Lett. 2007, 431, 256–261. [Google Scholar] [CrossRef]
- Ahn, C.; Kang, H.-S.; Lee, J.-H.; Hong, E.-J.; Jung, E.-M.; Yoo, Y.-M.; Jeung, E.-B. Bisphenol A and octylphenol exacerbate type 1 diabetes mellitus by disrupting calcium homeostasis in mouse pancreas. Toxicol. Lett. 2018, 295, 162–172. [Google Scholar] [CrossRef]
- Biagioli, M.; Pifferi, S.; Ragghianti, M.; Bucci, S.; Rizzuto, R.; Pinton, P. Endoplasmic reticulum stress and alteration in calcium homeostasis are involved in cadmium-induced apoptosis. Cell Calcium 2008, 43, 184–195. [Google Scholar] [CrossRef]
- Martucciello, S.; Masullo, M.; Cerulli, A.; Piacente, S. Natural Products Targeting ER Stress, and the Functional Link to Mitochondria. Int. J. Mol. Sci. 2020, 21, 1905. [Google Scholar] [CrossRef]
- Liu, P.-S.; Liu, G.-H.; Chao, W.-L. Effects of nonylphenol on the calcium signal and catecholamine secretion coupled with nicotinic acetylcholine receptors in bovine adrenal chromaffin cells. Toxicology 2008, 244, 77–85. [Google Scholar] [CrossRef] [PubMed]
- Michelangeli, F.; Ogunbayo, O.A.; Wootton, L.L.; Lai, P.F.; Al-Mousa, F.; Harris, R.M.; Waring, R.H.; Kirk, C.J. Endocrine disrupting alkylphenols: Structural requirements for their adverse effects on Ca2+ pumps, Ca2+ homeostasis & Sertoli TM4 cell viability. Chem. Biol. Interact. 2008, 176, 220–226. [Google Scholar] [CrossRef] [PubMed]
- Lee, W.-S.; Yoo, W.-H.; Chae, H.-J. ER Stress and Autophagy. Curr. Mol. Med. 2015, 15, 735–745. [Google Scholar] [CrossRef] [PubMed]
- Swart, C.; Du Toit, A.; Loos, B. Autophagy and the invisible line between life and death. Eur. J. Cell. Biol. 2016, 95, 598–610. [Google Scholar] [CrossRef] [PubMed]
- Duan, P.; Hu, C.; Quan, C.; Yu, T.; Zhou, W.; Yuan, M.; Shi, Y.; Yang, K. 4-Nonylphenol induces apoptosis, autophagy and necrosis in Sertoli cells: Involvement of ROS-mediated AMPK/AKT-mTOR and JNK pathways. Toxicology 2016, 341–343, 28–40. [Google Scholar] [CrossRef]
- Liu, T.; Di, Q.-N.; Sun, J.-H.; Zhao, M.; Xu, Q.; Shen, Y. Effects of nonylphenol induced oxidative stress on apoptosis and autophagy in rat ovarian granulosa cells. Chemosphere 2020, 261, 127693. [Google Scholar] [CrossRef]
- Saggu, S.; Sakeran, M.I.; Zidan, N.; Tousson, E.; Mohan, A.; Rehman, H. Ameliorating effect of chicory (Chichorium intybus L.) fruit extract against 4-tert-octylphenol induced liver injury and oxidative stress in male rats. Food Chem. Toxicol. 2014, 72, 138–146. [Google Scholar] [CrossRef]
- Aydoğan, M.; Korkmaz, A.; Barlas, N.; Kolankaya, D. The effect of vitamin C on bisphenol A, nonylphenol and octylphenol induced brain damages of male rats. Toxicology 2008, 249, 35–39. [Google Scholar] [CrossRef]
- Li, X.-Y.; Wei, F.; Gao, J.-S.; Wang, H.-Y.; Zhang, Y.-H. Oxidative stress and hepatotoxicity of Rana chensinensis exposed to low doses of octylphenol. Environ. Toxicol. Pharmacol. 2018, 64, 86–93. [Google Scholar] [CrossRef]
- Koriem, K.M.; Arbid, M.S.; Emam, K.R. Therapeutic effect of pectin on octylphenol induced kidney dysfunction, oxidative stress and apoptosis in rats. Environ. Toxicol. Pharmacol. 2014, 38, 14–23. [Google Scholar] [CrossRef]
- de Almeida, W.; Matei, J.C.; Kitamura, R.S.A.; Gomes, M.P.; Leme, D.M.; de Assis, H.C.S.; Vicari, T.; Cestari, M.M. Alkylphenols cause cytotoxicity and genotoxicity induced by oxidative stress in RTG-2 cell line. Chemosphere 2023, 313, 137387. [Google Scholar] [CrossRef] [PubMed]
- Yeltekin, A.Ç.; Oğuz, A.R. Antioxidant responses and DNA damage in primary hepatocytes of Van fish (Alburnus tarichi, Güldenstadt 1814) exposed to nonylphenol or octylphenol. Drug Chem. Toxicol. 2018, 41, 415–423. [Google Scholar] [CrossRef] [PubMed]
- Zhao, M.-X.; Wen, J.-L.; Wang, L.; Wang, X.-P.; Chen, T.-S. Intracellular catalase activity instead of glutathione level dominates the resistance of cells to reactive oxygen species. Cell Stress Chaperones 2019, 24, 609–619. [Google Scholar] [CrossRef] [PubMed]
- Kim, S.-K.; Kim, B.-K.; Shim, J.-H.; Gil, J.-E.; Yoon, Y.-D.; Kim, J.-H. Nonylphenol and Octylphenol-Induced Apoptosis in Human Embryonic Stem Cells Is Related to Fas-Fas Ligand Pathway. Toxicol. Sci. 2006, 94, 310–321. [Google Scholar] [CrossRef] [PubMed]
- Bechi, N.; Sorda, G.; Spagnoletti, A.; Bhattacharjee, J.; Ferro, E.V.; Barbosa, B.D.F.; Frosini, M.; Valoti, M.; Sgaragli, G.; Paulesu, L.; et al. Toxicity assessment on trophoblast cells for some environment polluting chemicals and 17β-estradiol. Toxicol. Vitr. 2013, 27, 995–1000. [Google Scholar] [CrossRef]
- Xiong, G.; Xiong, G.; Wu, Z.; Wu, Z.; Yi, J.; Yi, J.; Fu, L.; Fu, L.; Yang, Z.; Yang, Z.; et al. ADMETlab 2.0: An integrated online platform for accurate and comprehensive predictions of ADMET properties. Nucleic Acids Res. 2021, 49, W5–W14. [Google Scholar] [CrossRef]
- Dulsat, J.; López-Nieto, B.; Estrada-Tejedor, R.; Borrell, J.I. Evaluation of Free Online ADMET Tools for Academic or Small Biotech Environments. Molecules 2023, 28, 776. [Google Scholar] [CrossRef]







| HepG2 | Caco-2 | MRC5 | HEK 293 | HaCat | |
|---|---|---|---|---|---|
| 4-OP | 80.07 (4.46) | 105.22 (9.50) | 70.88 (2.50) | 61.65 (0.13) | 37.14 (3.72) |
| 4-NP | 83.30 (10.20) | 93.26 (9.40) | 75.79 (8.25) | 62.64 (2.73) | 77.43 (1.42) § |
| 4-OP + 4-NP | 81.85 (7.22) | 53.91 (1.12) * | 26.15 (3.13) * | 63.84 (4.40) | 46.70 (7.15) ° |
| ADMET Property | Parameter | Value | Reference Range and Interpretation |
|---|---|---|---|
| Absorption | Caco-2 permeability | −4.653 | Optimal: higher than −5.15 Log unit |
| MDCK permeability | 1.5 × 10−5 | Slow permeability: <2 × 10−6 cm/s; medium permeability: 2–20 × 10−6 cm/s; high passive permeability: >20 × 10−6 cm/s | |
| Pgp inhibitor | 0.316 | 0–0.3: low; 0.3–0.7: medium; 0.7–1.0: high probability of being an inhibitor | |
| Pgp substrate | 0.002 | 0–0.3: low; 0.3–0.7: medium; 0.7–1.0: high probability of being a substrate | |
| HIA (human intestinal absorption) | 0.191 | 0–0.3: low; 0.3–0.7: moderate; 0.7–1.0: high absorption | |
| Distribution | PPB (plasma protein binding) | 93.74% | <90% low; ≥90%: high protein-bound |
| VD (volume distribution) | 5.164 | Optimal: 0.04–20 L/kg | |
| BBB (blood–brain barrier) penetration | 0.406 | 0–0.3: low; 0.3–0.7: moderate; 0.7–1.0: high penetration | |
| Fu (fraction unbound in plasms) | 9.304% | Low: <5%; middle: 5~20%; high: >20% | |
| Metabolism | CYP1A2 inhibitor | 0.389 | 0–0.3: low; 0.3–0.7: medium; 0.7–1.0: high probability of being an inhibitor |
| CYP1A2 substrate | 0.748 | 0–0.3: low; 0.3–0.7: medium; 0.7–1.0: high probability of being a substrate | |
| CYP2C19 inhibitor | 0.88 | 0–0.3: low; 0.3–0.7: medium; 0.7–1.0: high probability of being an inhibitor | |
| CYP2C19 substrate | 0.843 | 0–0.3: low; 0.3–0.7: medium; 0.7–1.0: high probability of being a substrate | |
| CYP2C9 inhibitor | 0.548 | 0–0.3: low; 0.3–0.7: medium; 0.7–1.0: high probability of being an inhibitor | |
| CYP2C9 substrate | 0.956 | 0–0.3: low; 0.3–0.7: medium; 0.7–1.0: high probability of being a substrate | |
| CYP2D6 inhibitor | 0.55 | 0–0.3: low; 0.3–0.7: medium; 0.7–1.0: high probability of being an inhibitor | |
| CYP2D6 substrate | 0.864 | 0–0.3: low; 0.3–0.7: medium; 0.7–1.0: high probability of being a substrate | |
| Excretion | Clearance | 8.285 | High: >15 mL/min/kg; moderate: 5–15 mL/min/kg; low: <5 mL/min/kg |
| Toxicity | H-HT (human hepatotoxicity) | 0.029 | 0–0.3: low; 0.3–0.7: moderate; 0.7–1.0: high human hepatotoxicity |
| AMES toxicity (mutagenicity) | 0.013 | 0–0.3: low; 0.3–0.7: moderate; 0.7–1.0: high toxicity | |
| Skin sensitization | 0.718 | 0–0.3: low; 0.3–0.7: moderate; 0.7–1.0: high skin sensitization | |
| Carcinogenicity | 0.051 | 0–0.3: low; 0.3–0.7: moderate; 0.7–1.0: high carcinogenicity | |
| Eye corrosion | 0.978 | 0–0.3: low; 0.3–0.7: moderate; 0.7–1.0: high eye corrosion | |
| Eye irritation | 0.984 | 0–0.3: low; 0.3–0.7: moderate; 0.7–1.0: high eye irritation | |
| Respiratory toxicity | 0.475 | 0–0.3: low; 0.3–0.7: moderate; 0.7–1.0: high respiratory toxicity | |
| NR-AR (activity on nuclear receptor- androgen receptor) | 0.006 | 0–0.3: low; 0.3–0.7: medium; 0.7–1.0: high probability of being AR agonists | |
| NR-aromatase (inhibition of nuclear-aromatase receptor) | 0.031 | 0–0.3: low; 0.3–0.7: medium; 0.7–1.0: high probability of being aromatase inhibitors | |
| NR-ER (activity on nuclear receptor-estrogen receptor) | 0.89 | 0–0.3: low; 0.3–0.7: medium; 0.7–1.0: high probability of being ER agonists | |
| SR-ARE (activity on antioxidant response element) | 0.154 | 0–0.3: low; 0.3–0.7: medium; 0.7–1.0: high activity | |
| SR-HSE (activity on heat shock response element) | 0.365 | 0–0.3: low; 0.3–0.7: medium; 0.7–1.0: high activity | |
| SR-MMP (activity on membrane mitochondrial potential) | 0.962 | 0–0.3: low; 0.3–0.7: medium; 0.7–1.0: high activity | |
| SR-p53 (activity on p53 regulation) | 0.184 | 0–0.3: low; 0.3–0.7: medium; 0.7–1.0: high probability of being p53 activator |
Disclaimer/Publisher’s Note: The statements, opinions and data contained in all publications are solely those of the individual author(s) and contributor(s) and not of MDPI and/or the editor(s). MDPI and/or the editor(s) disclaim responsibility for any injury to people or property resulting from any ideas, methods, instructions or products referred to in the content. |
© 2024 by the authors. Licensee MDPI, Basel, Switzerland. This article is an open access article distributed under the terms and conditions of the Creative Commons Attribution (CC BY) license (https://creativecommons.org/licenses/by/4.0/).
Share and Cite
Romanelli, A.M.; Montefusco, A.; Sposito, S.; Scafuri, B.; Caputo, I.; Paolella, G. In Vitro Investigation of Biological and Toxic Effects of 4-Octylphenol on Human Cells. Int. J. Mol. Sci. 2024, 25, 13032. https://doi.org/10.3390/ijms252313032
Romanelli AM, Montefusco A, Sposito S, Scafuri B, Caputo I, Paolella G. In Vitro Investigation of Biological and Toxic Effects of 4-Octylphenol on Human Cells. International Journal of Molecular Sciences. 2024; 25(23):13032. https://doi.org/10.3390/ijms252313032
Chicago/Turabian StyleRomanelli, Antonio Massimiliano, Antonio Montefusco, Silvia Sposito, Bernardina Scafuri, Ivana Caputo, and Gaetana Paolella. 2024. "In Vitro Investigation of Biological and Toxic Effects of 4-Octylphenol on Human Cells" International Journal of Molecular Sciences 25, no. 23: 13032. https://doi.org/10.3390/ijms252313032
APA StyleRomanelli, A. M., Montefusco, A., Sposito, S., Scafuri, B., Caputo, I., & Paolella, G. (2024). In Vitro Investigation of Biological and Toxic Effects of 4-Octylphenol on Human Cells. International Journal of Molecular Sciences, 25(23), 13032. https://doi.org/10.3390/ijms252313032

