Ulva pertusa Modulated Colonic Oxidative Stress Markers and Clinical Parameters: A Potential Adjuvant Therapy to Manage Side Effects During 5-FU Regimen
Abstract
1. Introduction
2. Results
2.1. Ulva pertusa Decreased Weight Loss, Diarrhea and Increased Food Intake During the 5-FU Regimen
2.2. Ulva pertusa Reduced Pain Sensitivity and Photophobia Caused by 5-FU Injections
2.3. Ulva pertusa Supplementation Reduced Tissue Damage and Neutrophil Infiltration in Colon Tissues Following 5-FU Regimen
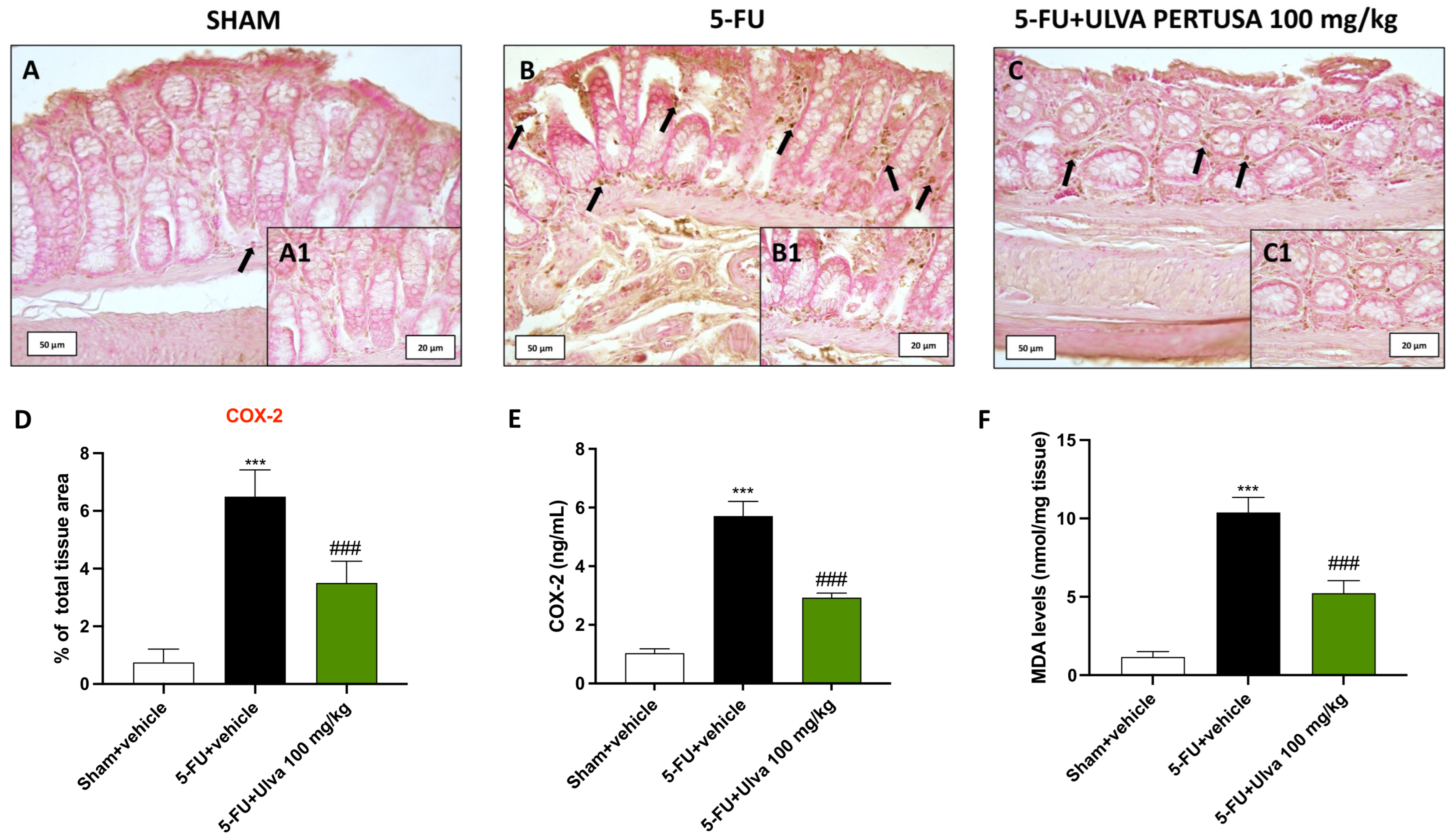
2.4. Ulva pertusa Administration Reduced COX-2 Expression and Lipid Peroxidation in Colon Tissues Following 5-FU Regimen
2.5. Ulva pertusa Administration Mitigated iNOS Immunopositivity in Colon Tissues Following 5-FU Regimen
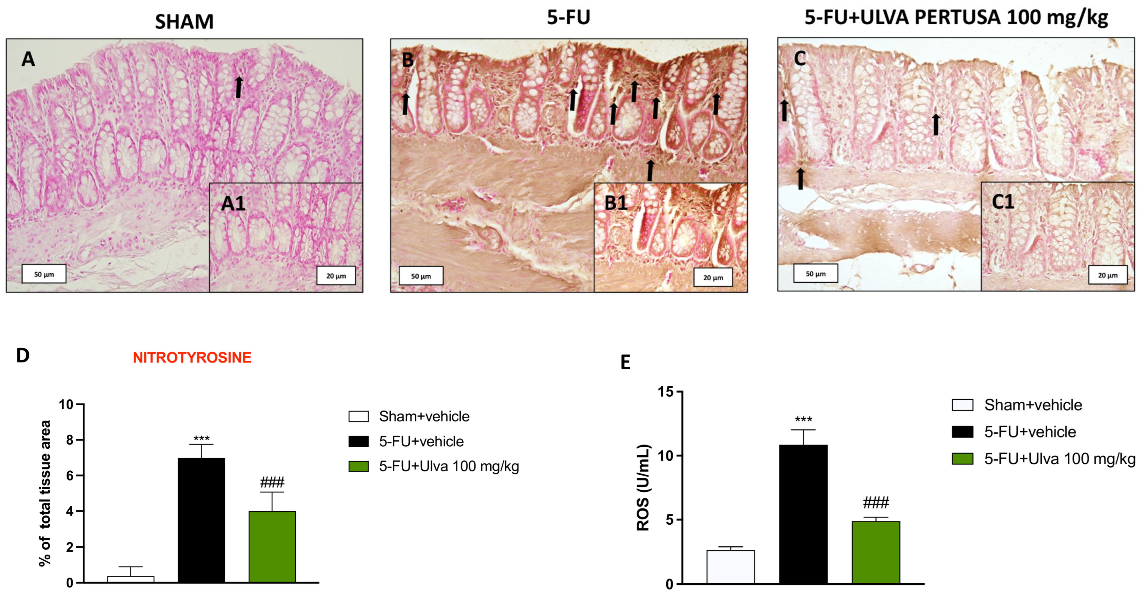
2.6. Ulva pertusa Administration Reduced Nitrotyrosine Expression in Colon Tissues Following 5-FU Regimen
2.7. Effects of Ulva pertusa Administration on Blood Cells During 5-FU Regimen
2.8. Therapeutic Potential of Ulva pertusa in Renal and Liver Function Support
2.9. Ulva pertusa Administration Enhanced Endogenous Antioxidant Defense Previously Impaired by 5-FU Chemotherapy
3. Discussion
4. Materials and Methods
4.1. Materials
4.2. Animals
4.3. 5-FU Protocol
4.4. Experimental Groups
4.5. Analysis of Body Weight, Food Intake, and Diarrhea Index
4.6. Von Frey and Light/Dark Examinations
4.7. Histological Analysis
4.8. MPO Assay
4.9. Immunohistochemistry
4.10. Malondialdehyde (MDA) Assay
4.11. Hematocrit
4.12. Assessment of Liver and Kidney Function
4.13. Statistical Analysis
5. Conclusions
Author Contributions
Funding
Institutional Review Board Statement
Informed Consent Statement
Data Availability Statement
Conflicts of Interest
References
- Anand, U.; Dey, A.; Chandel, A.K.S.; Sanyal, R.; Mishra, A.; Pandey, D.K.; De Falco, V.; Upadhyay, A.; Kandimalla, R.; Chaudhary, A.; et al. Cancer chemotherapy and beyond: Current status, drug candidates, associated risks and progress in targeted therapeutics. Genes Dis. 2023, 10, 1367–1401. [Google Scholar] [CrossRef]
- Alam, A.; Farooq, U.; Singh, R.; Dubey, V.; Kumar, S.; Kumari, R.; Kumar, K.; Naik, B.; Dhar, K. Chemotherapy treatment and strategy schemes: A review. Open Access J. Toxicol. 2018, 2, 55. [Google Scholar] [CrossRef]
- Sabeti Aghabozorgi, A.; Moradi Sarabi, M.; Jafarzadeh-Esfehani, R.; Koochakkhani, S.; Hassanzadeh, M.; Kavousipour, S.; Eftekhar, E. Molecular determinants of response to 5-fluorouracil-based chemotherapy in colorectal cancer: The undisputable role of micro-ribonucleic acids. World J. Gastrointest. Oncol. 2020, 12, 942–956. [Google Scholar] [CrossRef] [PubMed]
- Dasari, M.; Pelly, S.C.; Geng, J.; Gold, H.B.; Pribut, N.; Sharma, S.K.; D’Erasmo, M.P.; Bartsch, P.W.; Sun, C.; Toti, K.; et al. Discovery of 5′-Substituted 5-Fluoro-2′-deoxyuridine Monophosphate Analogs: A Novel Class of Thymidylate Synthase Inhibitors. ACS Pharmacol. Transl. Sci. 2023, 6, 702–709. [Google Scholar] [CrossRef]
- Sethy, C.; Kundu, C.N. 5-Fluorouracil (5-FU) resistance and the new strategy to enhance the sensitivity against cancer: Implication of DNA repair inhibition. Biomed. Pharmacother. 2021, 137, 111285. [Google Scholar] [CrossRef]
- Diasio, R.B.; Offer, S.M. Testing for Dihydropyrimidine Dehydrogenase Deficiency to Individualize 5-Fluorouracil Therapy. Cancers 2022, 14, 3207. [Google Scholar] [CrossRef] [PubMed]
- Ardizzone, A.; Bulzomì, M.; De Luca, F.; Silvestris, N.; Esposito, E.; Capra, A.P. Dihydropyrimidine Dehydrogenase Polymorphism c.2194G>A Screening Is a Useful Tool for Decreasing Gastrointestinal and Hematological Adverse Drug Reaction Risk in Fluoropyrimidine-Treated Patients. Curr. Issues Mol. Biol. 2024, 46, 9831–9843. [Google Scholar] [CrossRef]
- van den Boogaard, W.M.C.; Komninos, D.S.J.; Vermeij, W.P. Chemotherapy Side-Effects: Not All DNA Damage Is Equal. Cancers 2022, 14, 627. [Google Scholar] [CrossRef]
- Bomfin, L.E.; Braga, C.M.; Oliveira, T.A.; Martins, C.S.; Foschetti, D.A.; Santos, A.; Costa, D.V.S.; Leitao, R.F.C.; Brito, G.A.C. 5-Fluorouracil induces inflammation and oxidative stress in the major salivary glands affecting salivary flow and saliva composition. Biochem. Pharmacol. 2017, 145, 34–45. [Google Scholar] [CrossRef]
- Aghababaei, F.; Hadidi, M. Recent Advances in Potential Health Benefits of Quercetin. Pharmaceuticals 2023, 16, 1020. [Google Scholar] [CrossRef]
- Akbari, S.; Kariznavi, E.; Jannati, M.; Elyasi, S.; Tayarani-Najaran, Z. Curcumin as a preventive or therapeutic measure for chemotherapy and radiotherapy induced adverse reaction: A comprehensive review. Food Chem. Toxicol. 2020, 145, 111699. [Google Scholar] [CrossRef]
- Zhang, Y.J.; Gan, R.Y.; Li, S.; Zhou, Y.; Li, A.N.; Xu, D.P.; Li, H.B. Antioxidant Phytochemicals for the Prevention and Treatment of Chronic Diseases. Molecules 2015, 20, 21138–21156. [Google Scholar] [CrossRef] [PubMed]
- Sur, D.; Gorzo, A.; Sabarimurugan, S.; Krishnan, S.M.; Lungulescu, C.V.; Volovat, S.R.; Burz, C. A Comprehensive Review of the Use of Antioxidants and Natural Products in Cancer Patients Receiving Anticancer Therapy. Anticancer. Agents Med. Chem. 2022, 22, 1511–1522. [Google Scholar] [CrossRef]
- Jiang, N.; Li, B.; Wang, X.; Xu, X.; Liu, X.; Li, W.; Chang, X.; Li, H.; Qi, H. The antioxidant and antihyperlipidemic activities of phosphorylated polysaccharide from Ulva pertusa. Int. J. Biol. Macromol. 2020, 145, 1059–1065. [Google Scholar] [CrossRef]
- Wan, Y.; Wang, S.; Chen, K.; Liu, L.; Wang, X.; Zhang, B.; Hu, L.; Liu, S.; Zhao, T.; Qi, H. High-sulfated derivative of polysaccharide from Ulva pertusa improves Adriamycin-induced nephrotic syndrome by suppressing oxidative stress. Food Funct. 2023, 14, 9167–9180. [Google Scholar] [CrossRef]
- Qi, H.; Zhang, Q.; Zhao, T.; Chen, R.; Zhang, H.; Niu, X.; Li, Z. Antioxidant activity of different sulfate content derivatives of polysaccharide extracted from Ulva pertusa (Chlorophyta) in vitro. Int. J. Biol. Macromol. 2005, 37, 195–199. [Google Scholar] [CrossRef] [PubMed]
- Ardizzone, A.; Mannino, D.; Capra, A.P.; Repici, A.; Filippone, A.; Esposito, E.; Campolo, M. New Insights into the Mechanism of Ulva pertusa on Colitis in Mice: Modulation of the Pain and Immune System. Mar. Drugs 2023, 21, 298. [Google Scholar] [CrossRef] [PubMed]
- Ardizzone, A.; Filippone, A.; Mannino, D.; Scuderi, S.A.; Casili, G.; Lanza, M.; Cucinotta, L.; Campolo, M.; Esposito, E. Ulva pertusa, a Marine Green Alga, Attenuates DNBS-Induced Colitis Damage via NF-kappaB/Nrf2/SIRT1 Signaling Pathways. J. Clin. Med. 2022, 11, 4301. [Google Scholar] [CrossRef]
- Jee, S.H.; Moon, S.M.; Shin, U.S.; Yang, H.M.; Hwang, D.Y. Effectiveness of Adjuvant Chemotherapy with 5-FU/Leucovorin and Prognosis in Stage II Colon Cancer. J. Korean Soc. Coloproctol. 2011, 27, 322–328. [Google Scholar] [CrossRef]
- Diasio, R.B.; Harris, B.E. Clinical pharmacology of 5-fluorouracil. Clin. Pharmacokinet. 1989, 16, 215–237. [Google Scholar] [CrossRef]
- Fu, H.; Redon, C.E.; Thakur, B.L.; Utani, K.; Sebastian, R.; Jang, S.M.; Gross, J.M.; Mosavarpour, S.; Marks, A.B.; Zhuang, S.Z.; et al. Dynamics of replication origin over-activation. Nat. Commun. 2021, 12, 3448. [Google Scholar] [CrossRef] [PubMed]
- Ferguson, J.E.; Orlando, R.A. Curcumin reduces cytotoxicity of 5-Fluorouracil treatment in human breast cancer cells. J. Med. Food 2015, 18, 497–502. [Google Scholar] [CrossRef] [PubMed]
- Kocyigit, A.; Guler, E.M.; Durmus, E.; Yenigun, V.B.; Kanimdan, E.; Ozman, Z.; Yasar, O.; Goren, A.C.; Hekimoglu, E.R.; Oruc, H.H.; et al. Propolis Enhances 5-Fluorouracil Mediated Antitumor Efficacy and Reduces Side Effects in Colorectal Cancer: An in Vitro and in Vivo Study. Chem. Biodivers. 2023, 20, e202300591. [Google Scholar] [CrossRef]
- Sakai, H.; Kai, Y.; Takase, K.; Sato, K.; Kimura, M.; Tabata, S.; Yaegashi, M.; Sato, F.; Yomoto, T.; Narita, M. Role of peptide YY in 5-fluorouracil-induced reduction of dietary intake. Clin. Exp. Pharmacol. Physiol. 2016, 43, 753–759. [Google Scholar] [CrossRef] [PubMed]
- Chumsook, K.; Praiboon, J.; Fu, X. Sulfated Galactans from Agarophytes: Review of Extraction Methods, Structural Features, and Biological Activities. Biomolecules 2023, 13, 1745. [Google Scholar] [CrossRef] [PubMed]
- Dong, C.L.; Qin, Y.; Ma, J.X.; Cui, W.Q.; Chen, X.R.; Hou, L.Y.; Chen, X.Y.; God’spower, B.O.; Eliphaz, N.; Qin, J.J.; et al. The Active Ingredients Identification and Antidiarrheal Mechanism Analysis of Plantago asiatica L. Superfine Powder. Front. Pharmacol. 2020, 11, 612478. [Google Scholar] [CrossRef]
- Kim, J.Y.; Kwon, Y.M.; Kim, I.S.; Kim, J.A.; Yu, D.Y.; Adhikari, B.; Lee, S.S.; Choi, I.S.; Cho, K.K. Effects of the Brown Seaweed Laminaria japonica Supplementation on Serum Concentrations of IgG, Triglycerides, and Cholesterol, and Intestinal Microbiota Composition in Rats. Front. Nutr. 2018, 5, 23. [Google Scholar] [CrossRef]
- Raina, A.J.; Gilbar, P.J.; Grewal, G.D.; Holcombe, D.J. Optic neuritis induced by 5-fluorouracil chemotherapy: Case report and review of the literature. J. Oncol. Pharm. Pract. 2020, 26, 511–516. [Google Scholar] [CrossRef]
- Sibaud, V. Anticancer treatments and photosensitivity. J. Eur. Acad. Dermatol. Venereol. 2022, 36 (Suppl. S6), 51–58. [Google Scholar] [CrossRef]
- Mansell, P.W.; Litwin, M.S.; Ichinose, H.; Krementz, E.T. Delayed hypersensitivity to 5-fluorouracil following topical chemotherapy of cutaneous cancers. Cancer Res. 1975, 35, 1288–1294. [Google Scholar] [CrossRef][Green Version]
- Trevisani, F.; Simoncini, M.; Alampi, G.; Bernardi, M. Colitis associated to chemotherapy with 5-fluorouracil. Hepatogastroenterology 1997, 44, 710–712. [Google Scholar] [PubMed]
- Kronawitter, U.; Kemeny, N.E.; Blumgart, L. Neutropenic enterocolitis in a patient with colorectal carcinoma: Unusual course after treatment with 5-fluorouracil and leucovorin--a case report. Cancer 1997, 80, 656–660. [Google Scholar] [CrossRef]
- Vyas, D.; Laput, G.; Vyas, A.K. Chemotherapy-enhanced inflammation may lead to the failure of therapy and metastasis. Onco Targets Ther. 2014, 7, 1015–1023. [Google Scholar] [CrossRef]
- Claria, J. Cyclooxygenase-2 biology. Curr. Pharm. Des. 2003, 9, 2177–2190. [Google Scholar] [CrossRef] [PubMed]
- Cinelli, M.A.; Do, H.T.; Miley, G.P.; Silverman, R.B. Inducible nitric oxide synthase: Regulation, structure, and inhibition. Med. Res. Rev. 2020, 40, 158–189. [Google Scholar] [CrossRef] [PubMed]
- Kojima, E.; Tsuboi, A. Effects of 5-fluorouracil on hematopoietic stem cells in normal and irradiated mice. J. Radiat. Res. 1992, 33, 218–226. [Google Scholar] [CrossRef] [PubMed]
- Rieger, M.A.; Schroeder, T. Hematopoiesis. Cold Spring Harb. Perspect. Biol. 2012, 4, a008250. [Google Scholar] [CrossRef] [PubMed]
- Maxwell, M.B.; Maher, K.E. Chemotherapy-induced myelosuppression. Semin. Oncol. Nurs. 1992, 8, 113–123. [Google Scholar] [CrossRef]
- Alessandrino, F.; Qin, L.; Cruz, G.; Sahu, S.; Rosenthal, M.H.; Meyerhardt, J.A.; Shinagare, A.B. 5-Fluorouracil induced liver toxicity in patients with colorectal cancer: Role of computed tomography texture analysis as a potential biomarker. Abdom. Radiol. 2019, 44, 3099–3106. [Google Scholar] [CrossRef]
- Mahlmann, J.C.; Wirth, T.C.; Hartleben, B.; Schrem, H.; Mahlmann, J.F.; Kaltenborn, A.; Klempnauer, J.; Kulik, U. Chemotherapy and Hepatic Steatosis: Impact on Postoperative Morbidity and Survival after Liver Resection for Colorectal Liver Metastases. Visc. Med. 2021, 37, 198–205. [Google Scholar] [CrossRef]
- Caruntu, A.; Moraru, L.; Ciubotaru, D.A.; Tanase, C.; Scheau, C.; Caruntu, C. Assessment of Serum Urea, Creatinine and Uric Acid in Oral Cancer. J. Clin. Med. 2022, 11, 3459. [Google Scholar] [CrossRef]
- Zeng, D.; Wang, Y.; Chen, Y.; Li, D.; Li, G.; Xiao, H.; Hou, J.; Wang, Z.; Hu, L.; Wang, L.; et al. Angelica Polysaccharide Antagonizes 5-FU-Induced Oxidative Stress Injury to Reduce Apoptosis in the Liver Through Nrf2 Pathway. Front. Oncol. 2021, 11, 720620. [Google Scholar] [CrossRef]
- Mahran, Y.F.; Badr, A.M.; Al-Kharashi, L.A.; Alajami, H.N.; Aldamry, N.T.; Bayoumy, N.M.; Elmongy, E.I.; Soliman, S. Thymol Protects against 5-Fluorouracil-Induced Hepatotoxicity via the Regulation of the Akt/GSK-3beta Pathway in In Vivo and In Silico Experimental Models. Pharmaceuticals 2024, 17, 1094. [Google Scholar] [CrossRef]
- Deng, X.; Yang, Z.; Chan, K.W.; Ismail, N.; Abu Bakar, M.Z. 5-Fluorouracil in Combination with Calcium Carbonate Nanoparticles Loaded with Antioxidant Thymoquinone against Colon Cancer: Synergistically Therapeutic Potential and Underlying Molecular Mechanism. Antioxidants 2024, 13, 1030. [Google Scholar] [CrossRef]
- Liu, Y.S.; Song, J.W.; Zhong, W.X.; Yuan, M.H.; Guo, Y.R.; Peng, C.; Guo, L.; Guo, Y.P. Dual Drug-Loaded Nanoliposomes Encapsulating Curcumin and 5-Fluorouracil with Advanced Medicinal Applications: Self-Monitoring and Antitumor Therapy. Molecules 2023, 28, 4353. [Google Scholar] [CrossRef] [PubMed]
- Lanza, M.; Casili, G.; Torre, G.L.; Giuffrida, D.; Rotondo, A.; Esposito, E.; Ardizzone, A.; Rando, R.; Bartolomeo, G.; Albergamo, A.; et al. Properties of a New Food Supplement Containing Actinia equina Extract. Antioxidants 2020, 9, 945. [Google Scholar] [CrossRef] [PubMed]
- da Silva, M.C.; Fabiano, L.C.; da Costa Salomao, K.C.; de Freitas, P.L.Z.; Neves, C.Q.; Borges, S.C.; de Souza Carvalho, M.D.G.; Breithaupt-Faloppa, A.C.; de Thomaz, A.A.; Dos Santos, A.M.; et al. A Rodent Model of Human-Dose-Equivalent 5-Fluorouracil: Toxicity in the Liver, Kidneys, and Lungs. Antioxidants 2023, 12, 1005. [Google Scholar] [CrossRef] [PubMed]
- Ardizzone, A.; Lanza, M.; Casili, G.; Campolo, M.; Paterniti, I.; Cuzzocrea, S.; Esposito, E. Efficacy of a Novel Therapeutic, Based on Natural Ingredients and Probiotics, in a Murine Model of Multiple Food Intolerance and Maldigestion. Nutrients 2022, 14, 2251. [Google Scholar] [CrossRef] [PubMed]
- Zhang, S.; Liu, Y.; Xiang, D.; Yang, J.; Liu, D.; Ren, X.; Zhang, C. Assessment of dose-response relationship of 5-fluorouracil to murine intestinal injury. Biomed. Pharmacother. 2018, 106, 910–916. [Google Scholar] [CrossRef]
- Ardizzone, A.; Capra, A.P.; Repici, A.; Lanza, M.; Bova, V.; Palermo, N.; Paterniti, I.; Esposito, E. Rebalancing NOX2/Nrf2 to limit inflammation and oxidative stress across gut-brain axis in migraine. Free Radic. Biol. Med. 2024, 213, 65–78. [Google Scholar] [CrossRef]
- Ardizzone, A.; Fusco, R.; Casili, G.; Lanza, M.; Impellizzeri, D.; Esposito, E.; Cuzzocrea, S. Effect of Ultra-Micronized-Palmitoylethanolamide and Acetyl-l-Carnitine on Experimental Model of Inflammatory Pain. Int. J. Mol. Sci. 2021, 22, 1967. [Google Scholar] [CrossRef] [PubMed]
- Ardizzone, A.; Bova, V.; Casili, G.; Filippone, A.; Campolo, M.; Lanza, M.; Esposito, E.; Paterniti, I. SUN11602, a bFGF mimetic, modulated neuroinflammation, apoptosis and calcium-binding proteins in an in vivo model of MPTP-induced nigrostriatal degeneration. J. Neuroinflamm. 2022, 19, 107. [Google Scholar] [CrossRef] [PubMed]
- Scuderi, S.A.; Casili, G.; Lanza, M.; Ardizzone, A.; Pantaleo, L.; Campolo, M.; Paterniti, I.; Cucinotta, L.; Cuzzocrea, S.; Esposito, E. Efficacy of a Product Containing Xyloglucan and Pea Protein on Intestinal Barrier Function in a Partial Restraint Stress Animal Model. Int. J. Mol. Sci. 2022, 23, 2269. [Google Scholar] [CrossRef] [PubMed]









Disclaimer/Publisher’s Note: The statements, opinions and data contained in all publications are solely those of the individual author(s) and contributor(s) and not of MDPI and/or the editor(s). MDPI and/or the editor(s) disclaim responsibility for any injury to people or property resulting from any ideas, methods, instructions or products referred to in the content. |
© 2024 by the authors. Licensee MDPI, Basel, Switzerland. This article is an open access article distributed under the terms and conditions of the Creative Commons Attribution (CC BY) license (https://creativecommons.org/licenses/by/4.0/).
Share and Cite
Repici, A.; Capra, A.P.; Hasan, A.; Basilotta, R.; Scuderi, S.A.; Campolo, M.; Paterniti, I.; Esposito, E.; Ardizzone, A. Ulva pertusa Modulated Colonic Oxidative Stress Markers and Clinical Parameters: A Potential Adjuvant Therapy to Manage Side Effects During 5-FU Regimen. Int. J. Mol. Sci. 2024, 25, 12988. https://doi.org/10.3390/ijms252312988
Repici A, Capra AP, Hasan A, Basilotta R, Scuderi SA, Campolo M, Paterniti I, Esposito E, Ardizzone A. Ulva pertusa Modulated Colonic Oxidative Stress Markers and Clinical Parameters: A Potential Adjuvant Therapy to Manage Side Effects During 5-FU Regimen. International Journal of Molecular Sciences. 2024; 25(23):12988. https://doi.org/10.3390/ijms252312988
Chicago/Turabian StyleRepici, Alberto, Anna Paola Capra, Ahmed Hasan, Rossella Basilotta, Sarah Adriana Scuderi, Michela Campolo, Irene Paterniti, Emanuela Esposito, and Alessio Ardizzone. 2024. "Ulva pertusa Modulated Colonic Oxidative Stress Markers and Clinical Parameters: A Potential Adjuvant Therapy to Manage Side Effects During 5-FU Regimen" International Journal of Molecular Sciences 25, no. 23: 12988. https://doi.org/10.3390/ijms252312988
APA StyleRepici, A., Capra, A. P., Hasan, A., Basilotta, R., Scuderi, S. A., Campolo, M., Paterniti, I., Esposito, E., & Ardizzone, A. (2024). Ulva pertusa Modulated Colonic Oxidative Stress Markers and Clinical Parameters: A Potential Adjuvant Therapy to Manage Side Effects During 5-FU Regimen. International Journal of Molecular Sciences, 25(23), 12988. https://doi.org/10.3390/ijms252312988

