Syzygium aromaticum Extract Mitigates Doxorubicin-Induced Hepatotoxicity in Male Rats
Abstract
1. Introduction
2. Results
2.1. Phytochemical Components and GC-MS Analysis of SAE
2.2. In Silico ADMET Analysis
2.3. Bioactive Compound (Eugenol) Interactions with Target Proteins (NRF-2, SLC7A-11, and GPX-4) as Shown by Molecular Docking Analysis
2.4. The Oral LD50 of SAE, Body Weight, and Liver Weight Changes After Treatment with DOX–SAE
2.5. Treatment with SAE Restored Hepatic Function Markers in DOX-Injected Rats
2.6. Treatment with SAE Alleviated Hepatic Oxidative Stress Induced by DOX in Rats
2.7. SAE Treatment Modulated Ferroptosis-Related Proteins and Their Gene Expressions in DOX-Exposed Rats
2.8. Treatment with SAE Reduced Hepatic Inflammatory Cytokines in Rats Given DOX
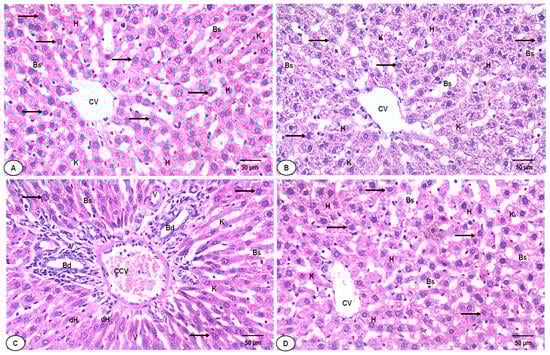
2.9. Treatment with SAE Improved Hepatic Histopathological Changes Induced by DOX in Rats
3. Discussion
4. Materials and Methods
4.1. Chemicals
4.2. Collection and Preparation of Plant Materials
4.3. Phytochemicals Analysis of SAE
4.4. Gas Chromatography and Mass Spectrometry (GC-MS) Profiling of SAE
4.5. Molecular Docking Analysis
4.6. Oral Median Lethal Dose (LD50) of SAE
4.7. Animals and Experimental Design
4.8. Biochemical Analysis
4.9. Molecular Analysis
4.10. Histopathological Investigations
4.11. Statistical Analysis
5. Conclusions
Author Contributions
Funding
Institutional Review Board Statement
Informed Consent Statement
Data Availability Statement
Acknowledgments
Conflicts of Interest
References
- Li, S.; Yuan, S.; Zhao, Q.; Wang, B.; Wang, X.; Li, K. Quercetin enhances chemotherapeutic effect of doxorubicin against human breast cancer cells while reducing toxic side effects of it. Biomed. Pharmacother. 2018, 100, 441–447. [Google Scholar] [CrossRef]
- Damodar, G.; Smitha, T.; Gopinath, S.; Vijayakumar, S.; Rao, Y. An evaluation of hepatotoxicity in breast cancer patients receiving injection doxorubicin. Ann. Med. Health Sci. Res. 2014, 4, 74–79. [Google Scholar] [CrossRef]
- Reddy, A.; Anjaneyulu, Y.; Shivakumar, P.; Rani, M. A study on the toxic effects of doxorubicin on the histology of certain organs. Toxicol. Int. 2012, 19, 241–244. [Google Scholar] [CrossRef]
- El-Said, K.S.; Haidyrah, A.S.; Mobasher, M.A.; Khayyat, A.I.A.; Shakoori, A.; Al-Sowayan, N.S.; Barnawi, I.O.; Mariah, R.A. Artemisia annua extract attenuate doxorubicin-induced hepatic injury via PI-3K/Akt/Nrf-2-mediated signaling pathway in rats. Int. J. Mol. Sci. 2023, 24, 15525. [Google Scholar] [CrossRef] [PubMed]
- Wu, Z.; Zhu, Y.; Liu, W.; Balasubramanian, B.; Xu, X.; Yao, J.; Lei, X. Ferroptosis in liver disease: Natural active compounds and therapeutic implications. Antioxidants 2024, 13, 352. [Google Scholar] [CrossRef]
- Chen, J.; Li, X.; Ge, C.; Min, J.; Wang, F. The multifaceted role of ferroptosis in liver disease. Cell Death Differ. 2022, 29, 467–480. [Google Scholar] [CrossRef] [PubMed]
- Wang, X.; Zhou, Y.; Min, J.; Wang, F. Zooming in and out of ferroptosis in human disease. Front. Med. 2023, 17, 173–206. [Google Scholar] [CrossRef] [PubMed]
- Dong, H.; Xia, Y.; Jin, S.; Xue, C.; Wang, Y.; Hu, R.; Jiang, H. Nrf2 attenuates ferroptosis-mediated IIR-ALI by modulating TERT and SLC7A11. Cell Death Dis. 2021, 12, 1027. [Google Scholar] [CrossRef] [PubMed]
- Ji, X.; Qian, J.; Rahman, S.M.J.; Siska, P.J.; Zou, Y.; Harris, B.K.; Hoeksema, M.D.; Trenary, I.A.; Heidi, C.; Eisenberg, R.; et al. xCT (SLC7A11)-mediated metabolic reprogramming promotes non-small cell lung cancer progression. Oncogene 2018, 37, 5007–5019. [Google Scholar] [CrossRef]
- Anandhan, A.; Dodson, M.; Schmidlin, C.J.; Liu, P.; Zhang, D.D. Breakdown of an ironclad defense system: The critical role of nrf2 in mediating ferroptosis. Cell Chem. Biol. 2020, 27, 436–447. [Google Scholar] [CrossRef]
- Wu, L.; Zhang, Y.; Wang, G.; Ren, J. Molecular mechanisms and therapeutic targeting of ferroptosis in doxorubicin-induced car-diotoxicity. JACC Basic Transl. Sci. 2024, 9, 811–826. [Google Scholar] [CrossRef] [PubMed]
- Zhao, T.; Yu, Z.; Zhou, L.; Wang, X.; Hui, Y.; Mao, L.; Fan, X.; Wang, B.; Zhao, X.; Sun, C. Regulating Nrf2-GPx4 axis by bicyclol can prevent ferroptosis in carbon tetrachloride-induced acute liver injury in mice. Cell Death Discov. 2022, 8, 380. [Google Scholar] [CrossRef] [PubMed]
- Dixon, S.J.; Lemberg, K.M.; Lamprecht, M.R.; Skouta, R.; Zaitsev, E.M.; Gleason, C.E.; Patel, D.N.; Bauer, A.J.; Cantley, A.M.; Yang, W.S.; et al. Ferroptosis: An iron-dependent form of non-apoptotic cell death. Cell 2012, 149, 1060–1072. [Google Scholar] [CrossRef] [PubMed]
- De la Torre, B.G.; Albericio, F. The pharmaceutical industry in 2018. An analysis of FDA drug approvals from the perspective of molecules. Molecules 2019, 24, 809. [Google Scholar] [CrossRef] [PubMed]
- Patel, N.; Joseph, C.; Corcoran, G.B.; Ray, S.D. Silymarin modulates doxorubicin-induced oxidative stress, Bcl-xL and p53 expression while preventing apoptotic and necrotic cell death in the liver. Toxicol. Appl. Pharmacol. 2010, 245, 143–152. [Google Scholar] [CrossRef]
- Mahmoudi, F.; Arasteh, O.; Elyasi, S. Preventive and therapeutic use of herbal compounds against doxorubicin induced hepato-toxicity: A comprehensive review. Naunyn Schmiedebergs Arch. Pharmacol. 2023, 396, 1595–1617. [Google Scholar] [CrossRef] [PubMed]
- Xi, Y.; Chi, Z.; Tao, X.; Zhai, X.; Zhao, Z.; Ren, J.; Yang, S.; Dong, D. Naringin against doxorubicin-induced hepatotoxicity in mice through reducing oxidative stress, inflammation, and apoptosis via the up-regulation of SIRT1. Environ. Toxicol. 2023, 38, 1153–1161. [Google Scholar] [CrossRef]
- Nugraha, S.E.; Yuandani, Y.; Syahputra, R.A. Protective activity of beetroot extract on doxorubicin-induced hepatic and renal tox-icity in rat model. Maced. J. Med. Sci. 2021, 9, 1037–1042. [Google Scholar] [CrossRef]
- Mete, R.; Oran, M.; Topcu, B.; Oznur, M.; Seber, E.S.; Gedikbasi, A.; Yetisyigit, T. Protective effects of onion (Allium cepa) extract against doxorubicin-induced hepatotoxicity in rats. Toxicol. Ind. Health 2013, 32, 551–557. [Google Scholar] [CrossRef]
- Kaur, K.; Kaushal, S. Phytochemistry and pharmacological aspects of Syzygium aromaticum: A review. J. Pharmacogn. Phyto-Chem. 2019, 8, 398–404. [Google Scholar]
- Pandey, V.K.; Srivastava, S.; Ashish Dash, K.K.; Singh, R.; Dar, A.H.; Singh, T.; Farooqui, A.; Shaikh, A.M.; Kovacs, B. Bioactive properties of clove (Syzygium aromaticum) essential oil nanoemulsion: A comprehensive review. Heliyon 2024, 10, e22437. [Google Scholar] [CrossRef] [PubMed]
- Mergulhão, N.L.O.N.; Bulhões, L.C.G.; Silva, V.C.; Duarte, I.F.B.; Basílio-Júnior, I.D.; Freitas, J.D.; Oliveira, A.J.; Goulart, M.O.F.; Barbosa, C.V.; Araújo-Júnior, J.X. Insights from Syzygium aromaticum essential oil: Encapsulation, characterization, and antioxidant activity. Pharmaceuticals 2024, 17, 599. [Google Scholar] [CrossRef] [PubMed]
- Pourlak, T.; Halimi, M.; Pourlak, T.; Maroufi, P.; Ghaderpour, S.; Shokoohi, A. Effect of Extracts of Cloves (Syzygium Aromaticum) on Hepatic Cell Damage and Oxidative Stress Caused by Diabetes in Adult Rats. Intern. Med. Today 2020, 26, 432–447. [Google Scholar] [CrossRef]
- Abdelrahman, M.T.; Maina, E.N.; Elshemy, H.A. Clove (Syzygium aromaticum) and honey extracts significantly reduce inflammatory cytokines and liver function enzymes in experimental rats fed on carbon tetrachloride (CCl4). J. Radiat. Res. Appl. Sci. 2018, 11, 416–422. [Google Scholar] [CrossRef]
- Adegbola, M.V.; Anyim, G.; Ntwasa, M.; Ayeleso, A.O.; Oyedepo, T.A. Potential Effect of Syzygium aromaticum (Cloves) Extract on Serum Antioxidant Status and Lipid Profiles in Wistar Rats with Artesunate Toxicity. Appl. Sci. 2022, 12, 8216. [Google Scholar] [CrossRef]
- Agboola, J.B.; Ehigie, A.F.; Ehigie, L.O.; Ojeniyi, F.D.; Olayemi, A.A. Ameliorative role of Syzygium aromaticum aqueous extract on synaptosomal tyrosine hydroxylase activity, oxidative stress parameters, and behavioral changes in lead-induced neurotoxicity in mice. J. Food Biochem. 2022, 46, e14115. [Google Scholar] [CrossRef]
- Wu, Q.; Chen, Z.; Ding, Y.; Tang, Y.; Cheng, Y. Protective effect of traditional Chinese medicine on non-alcoholic fatty liver disease and liver cancer by targeting ferroptosis. Front. Nutr. 2022, 9, 1033129. [Google Scholar] [CrossRef]
- Batiha, G.E.; Alkazmi, L.M.; Wasef, L.G.; Beshbishy, A.M.; Nadwa, E.H.; Rashwan, E.K. Syzygium aromaticum L. (Myrtaceae): Tradi-tional uses, bioactive chemical constituents, pharmacological and toxicological activities. Biomolecules 2020, 10, 202. [Google Scholar] [CrossRef]
- Liu, J.; Huang, C.; Liu, J.; Meng, C.; Gu, Q.; Du, X.; Yan, M.; Yu, Y.; Liu, F.; Xia, C. Nrf2 and its dependent autophagy activation cooperatively counteract ferroptosis to alleviate acute liver injury. Pharmacol. Res. 2023, 187, 106563. [Google Scholar] [CrossRef]
- Li, X.; Ma, N.; Xu, J.; Zhang, Y.; Yang, P.; Su, X.; Xing, Y.; An, N.; Yang, F.; Zhang, G.; et al. Targeting Ferroptosis: Pathological Mechanism and Treatment of Ischemia-Reperfusion Injury. Oxidative Med. Cell. Longev. 2021, 2021, 1587922. [Google Scholar] [CrossRef]
- Qiu, S.; Li, X.; Zhang, J.; Shi, P.; Cao, Y.; Zhuang, Y.; Tong, L. Neutrophil membrane-coated taurine nanoparticles protect against hepatic ischemia-reperfusion injury. Eur. J. Pharmacol. 2023, 949, 175712. [Google Scholar] [CrossRef] [PubMed]
- Lone, Z.A.; Jain, N.K. Phytochemical analysis of Clove (Syzygium aromaticum) dried flower buds extract and its therapeutic importance. J. Drug Deliv. Ther. 2022, 12, 87–92. [Google Scholar] [CrossRef]
- Abdul Aziz, A.H.; Rizkiyah, D.N.; Qomariyah, L.; Irianto, I.; Che Yunus, M.A.; Putra, N.R. Unlocking the full potential of Clove (Syzygium aromaticum) spice: An overview of extraction techniques, bioactivity, and future opportunities in the food and beverage industry. Processes 2023, 11, 2453. [Google Scholar] [CrossRef]
- Zhou, S.; Liu, Y.; Wang, S.; Wang, L. Effective prediction of short hydrogen bonds in proteins via machine learning method. Sci. Rep. 2022, 12, 469. [Google Scholar] [CrossRef] [PubMed]
- Atkovska, K.; Samsonov, S.A.; Paszkowski-Rogacz, M.; Pisabarro, M.T. Multipose binding in molecular docking. Int. J. Mol. Sci. 2014, 15, 2622–2645. [Google Scholar] [CrossRef] [PubMed]
- Mili, A.; Das, S.; Nandakumar, K.; Lobo, R. Molecular docking and dynamics guided approach to identify potential anti-inflammatory molecules as NRF2 activator to protect against drug-induced liver injury (DILI): A computational study. J. Biomol. Struct. Dyn. 2023, 41, 9193–9210. [Google Scholar] [CrossRef] [PubMed]
- Chen, D.; Oezguen, N.; Urvil, P.; Ferguson, C.; Dann, S.M.; Savidge, T.C. Regulation of protein-ligand binding affinity by hydrogen bond pairing. Sci. Adv. 2016, 2, e1501240. [Google Scholar] [CrossRef]
- Eliaa, S.G.; Al-Karmalawy, A.A.; Saleh, R.M.; Elshal, M.F. Empagliflozin and doxorubicin synergistically inhibit the survival of triple-negative breast cancer cells via interfering with the mTOR pathway and inhibition of calmodulin: In vitro and molecular docking studies. ACS Pharmacol. Transl. Sci. 2020, 3, 1330–1338. [Google Scholar] [CrossRef]
- Prasanna, P.L.; Renu, K.; Valsala Gopalakrishnan, A. New molecular and biochemical insights of doxorubicin-induced hepatotoxicity. Life Sci. 2020, 250, 117599. [Google Scholar] [CrossRef]
- Nirmala, J.; John, S.; Sumanth Raj, U.; Narasa, S.; Nagarajan, R. Chapter 39—Toxicity of clove (Syzygium aromaticum) extract. Acad. Press. 2022, 39, 663–674. [Google Scholar]
- Liu, B.B.; Luo, L.; Liu, X.L.; Geng, D.; Li, C.F.; Chen, S.M.; Chen, X.M.; Yi, L.T.; Liu, Q. Essential oil of Syzygium aromaticum reverses the deficits of stress-induced behaviors and hippocampal p-ERK/p-CREB/brain-derived neurotrophic factor expression. Planta Medica 2015, 81, 185–192. [Google Scholar] [CrossRef] [PubMed]
- Liao, W.; Rao, Z.; Wu, L.; Chen, Y.; Li, C. Cariporide Attenuates Doxorubicin-Induced Cardiotoxicity in Rats by Inhibiting Oxidative Stress, Inflammation and Apoptosis Partly Through Regulation of Akt/GSK-3β and Sirt1 Signaling Pathway. Front. Pharmacol. 2022, 13, 850053. [Google Scholar] [CrossRef] [PubMed]
- Sirwi, A.; Shaik, R.A.; Alamoudi, A.J.; Eid, B.G.; Kammoun, A.K.; Ibrahim, S.R.M.; Mohamed, G.A.; Abdallah, H.M.; Abdel-Naim, A.B. Mokko lactone attenuates doxorubicin-induced hepatotoxicity in rats: Emphasis on Sirt-1/FOXO1/NF-κB axis. Nutrients 2021, 13, 4142. [Google Scholar] [CrossRef] [PubMed]
- Ahmed, O. Camellia sinensis and epicatechin abate doxorubicin-induced hepatotoxicity in male Wistar rats via their modulatory effects on oxidative stress, inflammation, and apoptosis. J. App. Pharmaceut. Sci. 2019, 9, 30–44. [Google Scholar]
- AlAsmari, A.F.; Alharbi, M.; Alqahtani, F.; Alasmari, F.; AlSwayyed, M.; Alzarea, S.I.; Al-Alallah, I.A.; Alghamdi, A.; Hakami, H.M.; Alyousef, M.K.; et al. Diosmin Alleviates Doxorubicin-Induced Liver Injury via Modulation of Oxidative Stress-Mediated Hepatic Inflammation and Apoptosis via NfkB and MAPK Pathway: A Preclinical Study. Antioxidants 2021, 10, 1998. [Google Scholar] [CrossRef]
- Ali, S.; Prasad, R.; Mahmood, A.; Routray, I.; Shinkafi, T.S.; Sahin, K.; Kucuk, O. Eugenol-rich fraction of Syzygium aromaticum (Clove) reverses biochemical and histopathological changes in liver cirrhosis and inhibits hepatic cell proliferation. J. Cancer Prev. 2014, 19, 288–300. [Google Scholar] [CrossRef]
- Abd Al-azem, D.; Al-Derawi, K.H.; Al-Saadi, S. The protective effects of Syzygium aromaticum essential oil extract against metho-trexate induced hepatic and renal toxicity in rats. Pure App. Microbiol. 2019, 13, 505–515. [Google Scholar] [CrossRef]
- Li, J.; Cao, F.; Yin, H.L.; Huang, Z.J.; Lin, Z.T.; Mao, N.; Sun, B.; Wang, G. Ferroptosis: Past, present and future. Cell Death Dis. 2020, 11, 88. [Google Scholar] [CrossRef]
- Lin, R.; Jia, Z.; Chen, H.; Xiong, H.; Bian, C.; He, X.; Wei, B.; Fu, J.; Zhao, M.; Li, J. Ferrostatin-1 alleviates liver injury via decreasing ferroptosis following ricin toxin poisoning in rat. Toxicology 2024, 503, 153767. [Google Scholar] [CrossRef]
- Xu, S.; Li, X.; Li, Y.; Li, X.; Lv, E.; Zhang, X.; Shi, Y.; Wang, Y. Neuroprotective effect of Dl-3-n-butylphthalide against ische-mia-reperfusion injury is mediated by ferroptosis regulation via the SLC7A11/GSH/GPX4 pathway and the attenuation of blood-brain barrier disruption. Front. Aging Neurosci. 2023, 15, 1028178. [Google Scholar] [CrossRef]
- Wu, Y.; Jia, Q.; Tang, Q.; Deng, H.; He, Y.; Tang, F. Berberine-mediated Ferroptosis through System Xc-/GSH/GPX4 Axis Inhibits Metastasis of Nasopharyngeal Carcinoma. J. Cancer 2024, 15, 685–698. [Google Scholar] [CrossRef] [PubMed]
- Santana-Codina, N.; Mancias, J.D. The Role of NCOA4-Mediated Ferritinophagy in Health and Disease. Pharmaceuticals 2018, 11, 114. [Google Scholar] [CrossRef] [PubMed]
- Latunde-Dada, G.O. Ferroptosis: Role of lipid peroxidation, iron and ferritinophagy. Biochim. Biophys. Acta (BBA) Gen. Subj. 2017, 1861, 1893–1900. [Google Scholar] [CrossRef] [PubMed]
- Song, S.; Chu, L.; Liang, H.; Chen, J.; Liang, J.; Huang, Z.; Zhang, B.; Chen, X. Protective effects of dioscin against doxorubicin-induced hepatotoxicity via regulation of Sirt1/FOXO1/NF-κb signal. Front. Pharmacol. 2019, 10, 1030. [Google Scholar] [CrossRef] [PubMed]
- Alherz, F.A.; Negm, W.A.; El-Masry, T.A.; Elmorshedy, K.E.; El-Kadem, A.H. The potential beneficial role of Ginkgetin in doxo-rubicin-induced hepatotoxicity: Elucidating the underlying claim. Biomed. Pharmacother. 2023, 165, 115010. [Google Scholar] [CrossRef]
- Li, Q.; Li, X.; Zhou, Z.; Zhu, P.; Tuo, N.; Ge, J.; Liu, Z.; Chen, D. Kaempferide Inhibits DOX-induced Liver Inflammation by Activating AMPKα/SIRT1. Pharmacogn. Mag. 2024, 20, 1304–1312. [Google Scholar] [CrossRef]
- Sandamali, J.A.N.; Hewawasam, R.P.; Jayatilaka, K.A.P.W.; Mudduwa, L.K.B. Nauclea orientalis (L.) bark extract protects rat car-diomyocytes from doxorubicin-induced oxidative stress, inflammation, apoptosis, and DNA fragmentation. Oxid. Med. Cell Longev. 2022, 2022, 1714841. [Google Scholar] [CrossRef]
- Mobasher, M.A.; Alsirhani, A.M.; Alwaili, M.A.; Baakdah, F.; Eid, T.M.; Alshanbari, F.A.; Alzahri, R.Y.; Alkhodair, S.A.; El-Said, K.S. Annona squamosa fruit extract ameliorates lead acetate-induced testicular injury by modulating JAK-1/STAT-3/SOCS-1 signaling in male rats. Int. J. Mol. Sci. 2024, 25, 5562. [Google Scholar] [CrossRef]
- Singleton, V.L.; Orthofer, R.; Lamuela-Raventós, R.M. Analysis of total phenols and other oxidation substrates and antioxidants by means of folin-ciocalteu reagent. Methods Enzymol. 1999, 299, 152–178. [Google Scholar] [CrossRef]
- Prieto, P.; Pineda, M.; Aguilar, M. Spectrophotometric quantitation of antioxidant capacity through the formation of a phospho-molybdenum complex: Specific application to the determination of vitamin E. Anal. Biochem. 1999, 269, 337–341. [Google Scholar] [CrossRef]
- Hiai, S.; Oura, H.; Odaka, Y.; Nakajima, T. A colorimetric estimation of ginseng saponins. Planta Medica 1975, 28, 363–369. [Google Scholar] [CrossRef] [PubMed]
- Blois, M.S. Antioxidant Determinations by the Use of a Stable Free Radical. Nature 1958, 181, 1199–1200. [Google Scholar] [CrossRef]
- El-Said, K.S.; Hussein, S.; Alrashdi, B.M.; Mahmoud, H.A.; Ibrahim, M.A.; Elbakry, M.; El-Tantawy, H.; Kabil, D.I.; El-Naggar, S.A. Musa sp. Leaves Extract Ameliorates the Hepato-Renal Toxicities Induced by Cadmium in Mice. Molecules 2022, 27, 559. [Google Scholar] [CrossRef] [PubMed]
- Xiong, G.; Wu, Z.; Yi, J.; Fu, L.; Yang, Z.; Hsieh, C.; Yin, M.; Zeng, X.; Wu, C.; Lu, A.; et al. ADMETlab 2.0: An integrated online platform for accurate and comprehensive predictions of ADMET properties. Nucleic Acids Res. 2021, 49, W5–W14. [Google Scholar] [CrossRef] [PubMed]
- Cheng, J.; Novati, G.; Pan, J.; Bycroft, C.; Žemgulytė, A.; Applebaum, T.; Pritzel, A.; Wong, L.H.; Zielinski, M.; Sargeant, T.; et al. Accurate proteome-wide missense variant effect prediction with AlphaMissense. Science 2023, 381, 1303. [Google Scholar] [CrossRef]
- Hanwell, M.D.; Curtis, D.E.; Lonie, D.C.; Vandermeersch, T.; Zurek, E.; Hutchison, G.R. Avogadro: An advanced semantic chemical editor, visualization, and analysis platform. J. Cheminform. 2012, 4, 17. [Google Scholar] [CrossRef]
- Trott, O.; Olson, A.J. AutoDock Vina: Improving the speed and accuracy of docking with a new scoring function, efficient optimization, and multithreading. J. Comput. Chem. 2010, 31, 455–461. [Google Scholar] [CrossRef]
- Finney, D.J.; Stevens, W.L. A table for the calculation of working probits and weight in propit analysis. Biometrika 1948, 35, 191–201. [Google Scholar] [CrossRef]
- Warpe, V.S.; Mali, V.R.; Arulmozhi, S.; Bodhankar, S.L.; Mahadik, K.R. Cardioprotective effect of ellagic acid on doxorubicin induced cardiotoxicity in wistar rats. J. Acute Med. 2015, 5, 1–8. [Google Scholar] [CrossRef]
- Lowry, O.H.; Rosebrough, N.J.; Farr, A.L.; Randall, R.J. Protein measurement with the Folin Phenol reagent. J. Biol. Chem. 1951, 193, 265–275. [Google Scholar] [CrossRef]
- Livak, K.J.; Schmittgen, T.D. Analysis of relative gene expression data using real-time quantitative PCR and the 2−∆∆CT method. Methods 2001, 25, 402–408. [Google Scholar] [CrossRef] [PubMed]
- Bancroft, J.; Gamble, M. Theory and Practice of Histological Techniques; Elsevier Health Sciences: Philadelphia, PA, USA, 2008. [Google Scholar]
- Orabi, S.H.; Abd Eldaium, D.; Hassan, A.; Sabagh, H.S.E.; Abd Eldaim, M.A. Allicin modulates diclofenac sodium induced hepa-tonephro toxicity in rats via reducing oxidative stress and caspase 3 protein expression. Environ. Toxicol. Pharmacol. 2020, 74, 103306. [Google Scholar] [CrossRef] [PubMed]










| Phytochemical Analysis | SAFB |
|---|---|
| Total phenolic content (mg GAE/g DW) | 31.86 ± 2.43 |
| Total flavonoid content (mg QE/g DW) | 18.65 ± 1.58 |
| Total antioxidant capacity (TAC) (mg AAE/g DW) | 69.37 ± 3.79 |
| Saponin (mg/g DW) | 365 ± 4.37 |
| Anthocyanin (mg ECG/g DW) | 7.89 ± 0.45 |
| DPPH scavenging activity (%) | 82.64% ± 3.95 |
| IC50 of DPPH (mg/mL) | 6.05 ± 0.86 |
| No. | RT (min) | Name | MF. | P.A (%) |
|---|---|---|---|---|
| 1 | 7.64 | Ethyl-α-D-glucopyranoside | C8H16O6 | 2.27 |
| 2 | 12.25 | Eugenol | C10H12O2 | 64.17 |
| 3 | 15.82 | Caryophyllene | C15H24 | 18.07 |
| 4 | 16.54 | Humulene | C15H24 | 3.83 |
| 5 | 19.50 | Caryophyllene oxide | C15H24O | 0.86 |
| 6 | 21.55 | 10-Heptadecen-8-ynoic acid, methyl ester | C15H24O | 0.67 |
| Compound (A1:S4) | DOX | Eugenol | 10-Heptadecen-8-ynoic Acid, Methyl Ester |
|---|---|---|---|
| LogS | −2.26 | −2.286 | −5.812 |
| LogD | 0.473 | 2.418 | 4.205 |
| LogP | 1.375 | 2.291 | 5.78 |
| Pgp-inh | 0.001 | 0.003 | 0.389 |
| Pgp-sub | 0.998 | 0 | 0.002 |
| HIA | 0.829 | 0.007 | 0.004 |
| F (20%) | 0.055 | 0.732 | 0.208 |
| F (30%) | 0.209 | 0.967 | 0.975 |
| Caco-2 | −6.167 | −4.373 | −4.457 |
| MDCK | 6.34 × 10−6 | 3.01 × 10−5 | 2.52 × 10−5 |
| BBB | 0.015 | 0.188 | 0.713 |
| PPB | 90.86% | 92.12% | 98.58% |
| VDss | 1.177 | 0.833 | 1.36 |
| Fu | 10.82% | 3.22% | 0.83% |
| CYP1A2-inh | 0.274 | 0.901 | 0.924 |
| CYP1A2-sub | 0.495 | 0.941 | 0.558 |
| CYP2C19-inh | 0.012 | 0.716 | 0.882 |
| CYP2C19-sub | 0.064 | 0.659 | 0.542 |
| CYP2C9-inh | 0.006 | 0.313 | 0.708 |
| CYP2C9-sub | 0.406 | 0.875 | 0.992 |
| CYP2D6-inh | 0.003 | 0.85 | 0.633 |
| CYP2D6-sub | 0.193 | 0.921 | 0.641 |
| CYP3A4-inh | 0.088 | 0.288 | 0.858 |
| CYP3A4-sub | 0.153 | 0.371 | 0.129 |
| CL | 13.025 | 14.042 | 4.467 |
| T1/2 | 0.73 | 0.887 | 0.379 |
| hERG | 0.025 | 0.017 | 0.098 |
| H-HT | 0.261 | 0.036 | 0.561 |
| DILI | 0.974 | 0.046 | 0.91 |
| Ames | 0.829 | 0.066 | 0.111 |
| ROA | 0.041 | 0.121 | 0.026 |
| FDAMDD | 0.323 | 0.153 | 0.024 |
| Carcinogenicity | 0.68 | 0.414 | 0.267 |
| EC | 0.003 | 0.713 | 0.933 |
| EI | 0.012 | 0.982 | 0.95 |
| Respiratory | 0.891 | 0.51 | 0.943 |
| BCF | 0.567 | 1.203 | 2.424 |
| IGC50 | 3.734 | 3.642 | 5.204 |
| LC50 | 3.653 | 3.926 | 5.874 |
| LC50DM | 5.55 | 4.763 | 5.836 |
| NR-AR | 0.026 | 0.089 | 0.363 |
| NR-AR-LBD | 0.793 | 0.022 | 0.005 |
| NR-AhR | 0.866 | 0.413 | 0.007 |
| NR-Aromatase | 0.644 | 0.02 | 0.442 |
| NR-ER | 0.217 | 0.224 | 0.191 |
| NR-ER-LBD | 0.588 | 0.036 | 0.016 |
| NR-PPAR-gamma | 0.221 | 0.024 | 0.593 |
| SR-ARE | 0.771 | 0.14 | 0.336 |
| SR-ATAD5 | 0.642 | 0.238 | 0.022 |
| SR-HSE | 0.027 | 0.094 | 0.216 |
| SR-MMP | 0.945 | 0.155 | 0.012 |
| SR-p53 | 0.979 | 0.033 | 0.124 |
| MW | 543.17 | 164.08 | 278.22 |
| Vol | 516.727 | 179.994 | 326.919 |
| Dense | 1.051 | 0.912 | 0.851 |
| nHA | 12 | 2 | 2 |
| nHD | 9 | 1 | 0 |
| TPSA | 212.39 | 29.46 | 26.3 |
| nRot | 5 | 3 | 12 |
| nRing | 5 | 1 | 0 |
| MaxRing | 18 | 6 | 0 |
| nHet | 12 | 2 | 2 |
| nRig | 28 | 7 | 0 |
| Flex | 0.179 | 0.429 | 4 |
| nStereo | 5 | 0 | 0 |
| Genotoxic Carcinogenicity Mutagenicity | 4 | 0 | 0 |
| SureChEMBL | 1 | 0 | 1 |
| Non-Biodegradable | 3 | 0 | 0 |
| Skin Sensitization | 8 | 5 | 0 |
| Toxicophores | 3 | 2 | 2 |
| QED | 0.147 | 0.693 | 0.301 |
| Synth | 5.015 | 1.961 | 2.503 |
| Fsp3 | 0.37 | 0.2 | 0.722 |
| MCE-18 | 118.243 | 6 | 0 |
| Natural-Product-likeness | 1.37 | 1.053 | 1.653 |
| Lipinski | Rejected | Accepted | Accepted |
| Pfizer | Accepted | Accepted | Rejected |
| GSK | Rejected | Accepted | Accepted |
| Compound | GPX-4 | NRF-2 | SLC7A-11 |
|---|---|---|---|
| Doxorubicin | −6.7 | −7.8 | −8.4 |
| 10-Heptadecen-8-ynoic acid, methyl ester | −3.9 | −4.3 | −5.3 |
| Caryophyllene | −5.2 | −6.1 | −7.3 |
| Caryophyllene oxide | −5.2 | −5.9 | −7.3 |
| Ethyl_α_D-glucopyranoside | −4.5 | −5.2 | −6.6 |
| Eugenol | −4.3 | −4.7 | −6.0 |
| Humulene | −5.3 | −5.9 | −7.4 |
| Groups | ALT (U/L) | AST (U/L) | ALP (U/L) | T.B. (mg/dL) | D.B. (mg/dL) |
|---|---|---|---|---|---|
| Negative control | 25.87 ± 0.76 e | 36.27 ± 1.21 c | 265.32 ± 4.67 a | 0.64 ± 0.013 a | 0.132 ± 0.004 c |
| SAE control | 23.44 ± 0.65 e | 32.44 ± 1.15 c | 258.79 ± 5.23 a | 0.58 ± 0.012 a | 0.126 ± 0.007 c |
| DOX-treated | 71.23 ± 1.78 a | 103.67 ± 2.78 e | 486.98 ± 6.34 b | 1.45 ± 0.034 b | 0.412 ± 0.008 a |
| DOX–SAE | 38.93 ± 0.85 d,e | 60.78 ± 2.56 d | 317.92 ± 5.79 e | 0.90 ± 0.016 a,c | 0.215 ± 0.006 d |
| Groups | NRF2 | SLC7A11 | GPX4 | FTH1 | NCOA4 |
|---|---|---|---|---|---|
| Negative control | 1.00 ± 0.00 c | 1.00 ± 0.00 a | 1.00 ± 0.00 e | 1.00 ± 0.00 b | 1.00 ± 0.00 a |
| SAE control | 1.56 ± 0.09 f | 1.12 ± 0.07 a | 1.39 ± 0.06 c | 1.07 ± 0.03 b | 1.02 ± 0.009 a |
| DOX-treated | 0.39 ± 0.04 a | 0.62 ± 0.08 b | 0.70 ± 0.05 b | 0.25 ± 0.06 a | 3.67 ± 0.12 b |
| DOX–SAE | 0.89 ± 0.07 c | 0.78 ± 0.06 a,b | 0.95 ± 0.08 e | 0.61 ± 0.08 c | 1.57 ± 0.08 a,c |
| Groups | IL-6 (Pg/mg Tissue) | IL-1β (Pg/mg Tissue) | TNF-α (Pg/mg Tissue) | NF-κB (Pg/mg Tissue) | COX-2 (Pg/mg Tissue) |
|---|---|---|---|---|---|
| Negative control | 6.83 ± 0.56 e | 11.86 ± 1.15 a | 3.85 ± 0.29 c | 185.61 ± 4.23 a | 317.82 ± 6.48 c |
| SAE control | 6.12 ± 0.65 e | 12.08 ± 0.87 a | 3.27 ± 0.32 c | 170.85 ± 4.63 a | 296.73 ± 5.86 c |
| DOX-treated | 19.47 ± 0.93 a | 29.79 ± 1.85 c | 11.21 ± 1.04 b | 385.43 ± 6.24 b | 587.92 ± 7.58 a |
| DOX–SAE | 9.87 ± 0.76 d,e | 18.45 ± 1.06 e | 6.79 ± 0.75 e | 245.92 ± 5.85 c | 402.21 ± 6.46 d |
| Groups | Histopathologic Score |
|---|---|
| Negative control | 0.12 ± 0.09 a |
| SAE control | 0.10 ± 0.11 a |
| DOX-treated | 3.50 ± 0.21 c |
| DOX–SAE | 1.82 ± 0.19 b |
| Gene | Accession Number | Forward Sequence (5′–3′) | Reverse Sequence (5′–3′) |
|---|---|---|---|
| NRF2 | NM_031789.3 | CACATCCAGACAGACACCAGT | CTACAAATGGGAATGTCTCTGC |
| SLC7A11 | NM_001107673.3 | GAGGCGCTGTAGCCACATTA | GGCATTCAACCAGGTGATCC |
| GPX4 | NM_008162 | CTCCATGCACGAATTCTCAG | ACGTCAGTTTTGCCTCATTG |
| FTH1 | NM_012848.2 | CCCTTTGCAACTTCGTCGCT | CTCCGAGTCCTGGTGGTAGT |
| NCOA4 | NM_001034007.1 | TGAAGTGCAGTGCTCACACA | TTCGCTGCTGCTGACAGTTA |
| GAPDH | NM_017008.4 | CCGCATCTTCTTGTGCAGTG | GAGAAGGCAGCCCTGGTAAC |
Disclaimer/Publisher’s Note: The statements, opinions and data contained in all publications are solely those of the individual author(s) and contributor(s) and not of MDPI and/or the editor(s). MDPI and/or the editor(s) disclaim responsibility for any injury to people or property resulting from any ideas, methods, instructions or products referred to in the content. |
© 2024 by the authors. Licensee MDPI, Basel, Switzerland. This article is an open access article distributed under the terms and conditions of the Creative Commons Attribution (CC BY) license (https://creativecommons.org/licenses/by/4.0/).
Share and Cite
Alsirhani, A.M.; Abu-Almakarem, A.S.; Alwaili, M.A.; Aljohani, S.; Alali, I.; AlRashidi, A.A.; Abuzinadah, N.Y.; Alkhodair, S.A.; Mobasher, M.A.; Alothaim, T.; et al. Syzygium aromaticum Extract Mitigates Doxorubicin-Induced Hepatotoxicity in Male Rats. Int. J. Mol. Sci. 2024, 25, 12541. https://doi.org/10.3390/ijms252312541
Alsirhani AM, Abu-Almakarem AS, Alwaili MA, Aljohani S, Alali I, AlRashidi AA, Abuzinadah NY, Alkhodair SA, Mobasher MA, Alothaim T, et al. Syzygium aromaticum Extract Mitigates Doxorubicin-Induced Hepatotoxicity in Male Rats. International Journal of Molecular Sciences. 2024; 25(23):12541. https://doi.org/10.3390/ijms252312541
Chicago/Turabian StyleAlsirhani, Alaa Muqbil, Amal S. Abu-Almakarem, Maha Abdullah Alwaili, Salwa Aljohani, Ibtisam Alali, Aljazi Abdullah AlRashidi, Najlaa Yousef Abuzinadah, Sahar Abdulrahman Alkhodair, Maysa A. Mobasher, Tahiyat Alothaim, and et al. 2024. "Syzygium aromaticum Extract Mitigates Doxorubicin-Induced Hepatotoxicity in Male Rats" International Journal of Molecular Sciences 25, no. 23: 12541. https://doi.org/10.3390/ijms252312541
APA StyleAlsirhani, A. M., Abu-Almakarem, A. S., Alwaili, M. A., Aljohani, S., Alali, I., AlRashidi, A. A., Abuzinadah, N. Y., Alkhodair, S. A., Mobasher, M. A., Alothaim, T., Eid, T. M., & El-Said, K. S. (2024). Syzygium aromaticum Extract Mitigates Doxorubicin-Induced Hepatotoxicity in Male Rats. International Journal of Molecular Sciences, 25(23), 12541. https://doi.org/10.3390/ijms252312541

