PD-L1+ Lymphocytes Are Associated with CD4+, Foxp3+CD4+, IL17+CD4+ T Cells and Subtypes of Macrophages in Resected Early-Stage Non-Small Cell Lung Cancer
Abstract
1. Introduction
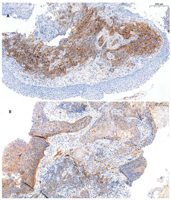
2. Results
3. Discussion
4. Materials and Methods
4.1. Methods
4.2. Study Population
4.3. Immunohistochemistry Analysis
4.4. Statistical Analysis
5. Conclusions
Supplementary Materials
Author Contributions
Funding
Institutional Review Board Statement
Informed Consent Statement
Data Availability Statement
Conflicts of Interest
References
- Thai, A.A.; Solomon, B.J.; Sequist, L.V.; Gainor, J.F.; Heist, R.S. Lung cancer. Lancet 2021, 398, 535–554. [Google Scholar] [CrossRef] [PubMed]
- Spigel, D.; De Marinis, F.; Giaccone, G.; Reinmuth, N.; Vergnenegre, A.; Barrios, C.H.; Morise, M.; Felip, E.; Andric, Z.G.; Geater, S.; et al. IMpower110: Interim overall survival (OS) analysis of a phase III study of atezolizumab (atezo) vs platinum-based chemotherapy (chemo) as first-line (1L) treatment (tx) in PD-L1–selected NSCLC. Ann. Oncol. 2019, 30, v915. [Google Scholar] [CrossRef]
- Dang, T.O.; Ogunniyi, A.; Barbee, M.S.; Drilon, A. Pembrolizumab for the treatment of PD-L1 positive advanced or metastatic non-small cell lung cancer. Expert Rev. Anticancer Ther. 2016, 16, 13–20. [Google Scholar] [CrossRef] [PubMed]
- Antonia, S.J.; Villegas, A.; Daniel, D.; Vicente, D.; Murakami, S.; Hui, R.; Yokoi, T.; Chiappori, A.; Lee, K.H.; De Wit, M.; et al. Durvalumab after Chemoradiotherapy in Stage III Non–Small-Cell Lung Cancer. N. Engl. J. Med. 2017, 377, 1919–1929. [Google Scholar] [CrossRef]
- O’Brien, M.; Paz-Ares, L.; Marreaud, S.; Dafni, U.; Oselin, K.; Havel, L.; Esteban, E.; Isla, D.; Martinez-Marti, A.; Faehling, M.; et al. Pembrolizumab versus placebo as adjuvant therapy for completely resected stage IB–IIIA non-small-cell lung cancer (PEARLS/KEYNOTE-091): An interim analysis of a randomised, triple-blind, phase 3 trial. Lancet Oncol. 2022, 23, 1274–1286. [Google Scholar] [CrossRef]
- Felip, E.; Altorki, N.; Zhou, C.; Vallières, E.; Martínez-Martí, A.; Rittmeyer, A.; Chella, A.; Reck, M.; Goloborodko, O.; Huang, M.; et al. Overall survival with adjuvant atezolizumab after chemotherapy in resected stage II-IIIA non-small-cell lung cancer (IMpower010): A randomised, multicentre, open-label, phase III trial. Ann. Oncol. 2023, 34, 907–919. [Google Scholar] [CrossRef]
- Putzu, C.; Canova, S.; Paliogiannis, P.; Lobrano, R.; Sala, L.; Cortinovis, D.L.; Colonese, F. Duration of Immunotherapy in Non-Small Cell Lung Cancer Survivors: A Lifelong Commitment? Cancers 2023, 15, 689. [Google Scholar] [CrossRef]
- Shen, X.; Zhao, B. Efficacy of PD-1 or PD-L1 inhibitors and PD-L1 expression status in cancer: Meta-analysis. BMJ 2018, 362, k3529. [Google Scholar] [CrossRef] [PubMed]
- Tsao, M.S.; Kerr, K.M.; Kockx, M.; Beasley, M.-B.; Borczuk, A.C.; Botling, J.; Bubendorf, L.; Chirieac, L.; Chen, G.; Chou, T.-Y.; et al. PD-L1 Immunohistochemistry Comparability Study in Real-Life Clinical Samples: Results of Blueprint Phase 2 Project. J. Thorac. Oncol. 2018, 13, 1302–1311. [Google Scholar] [CrossRef]
- Lantuejoul, S.; Sound-Tsao, M.; Cooper, W.A.; Girard, N.; Hirsch, F.R.; Roden, A.C.; Lopez-Rios, F.; Jain, D.; Chou, T.-Y.; Motoi, N.; et al. PD-L1 Testing for Lung Cancer in 2019: Perspective From the IASLC Pathology Committee. J. Thorac. Oncol. 2020, 15, 499–519. [Google Scholar] [CrossRef]
- Jung, M.; Rose, M.; Knuechel, R.; Loeffler, C.; Muti, H.; Kather, J.N.; Gaisa, N.T.; on behalf of the German Study Group of Bladder Cancer (DFBK e.V.). Characterisation of tumour-immune phenotypes and PD-L1 positivity in squamous bladder cancer. BMC Cancer 2023, 23, 113. [Google Scholar] [CrossRef] [PubMed]
- Zhang, L.; Chen, Y.; Wang, H.; Xu, Z.; Wang, Y.; Li, S.; Liu, J.; Chen, Y.; Luo, H.; Wu, L.; et al. Massive PD-L1 and CD8 double positive TILs characterize an immunosuppressive microenvironment with high mutational burden in lung cancer. J. Immunother. Cancer 2021, 9, e002356. [Google Scholar] [CrossRef] [PubMed]
- Li, L.; Lu, G.; Liu, Y.; Gong, L.; Zheng, X.; Zheng, H.; Gu, W.; Yang, L. Low Infiltration of CD8+ PD-L1+ T Cells and M2 Macrophages Predicts Improved Clinical Outcomes after Immune Checkpoint Inhibitor Therapy in Non-Small Cell Lung Carcinoma. Front. Oncol. 2021, 11, 658690. [Google Scholar] [CrossRef] [PubMed]
- Mellman, I.; Chen, D.S.; Powles, T.; Turley, S.J. The cancer-immunity cycle: Indication, genotype, and immunotype. Immunity 2023, 56, 2188–2205. [Google Scholar] [CrossRef]
- Diskin, B.; Adam, S.; Cassini, M.F.; Sanchez, G.; Liria, M.; Aykut, B.; Buttar, C.; Li, E.; Sundberg, B.; Salas, R.D.; et al. PD-L1 engagement on T cells promotes self-tolerance and suppression of neighboring macrophages and effector T cells in cancer. Nat. Immunol. 2020, 21, 442–454. [Google Scholar] [CrossRef] [PubMed]
- Long, Y.; Yu, X.; Chen, R.; Tong, Y.; Gong, L. Noncanonical PD-1/PD-L1 Axis in Relation to the Efficacy of Anti-PD Therapy. Front. Immunol. 2022, 13, 910704. [Google Scholar] [CrossRef]
- Buderath, P.; Mairinger, F.; Mairinger, E.; Böhm, K.; Mach, P.; Schmid, K.W.; Kimmig, R.; Kasimir-Bauer, S.; Bankfalvi, A.; Westerwick, D.; et al. Prognostic significance of PD-1 and PD-L1 positive tumor-infiltrating immune cells in ovarian carcinoma. Int. J. Gynecol. Cancer 2019, 29, 1389–1395. [Google Scholar] [CrossRef]
- Jackutė, J.; Žemaitis, M.; Pranys, D.; Šitkauskienė, B.; Miliauskas, S.; Bajoriūnas, V.; Sakalauskas, R. Distribution of CD4+ and CD8+ T cells in tumor islets and stroma from patients with non-small cell lung cancer in association with COPD and smoking. Medicina 2015, 51, 263–271. [Google Scholar] [CrossRef]
- Jackute, J.; Zemaitis, M.; Pranys, D.; Sitkauskiene, B.; Miliauskas, S.; Vaitkiene, S.; Sakalauskas, R. Distribution of M1 and M2 macrophages in tumor islets and stroma in relation to prognosis of non-small cell lung cancer. BMC Immunol. 2018, 19, 3. [Google Scholar] [CrossRef]
- Shen, J.; Choi, Y.-L.; Lee, T.; Kim, H.; Chae, Y.K.; Dulken, B.W.; Bogdan, S.; Huang, M.; Fisher, G.A.; Park, S.; et al. Inflamed immune phenotype predicts favorable clinical outcomes of immune checkpoint inhibitor therapy across multiple cancer types. J. Immunother. Cancer 2024, 12, e008339. [Google Scholar] [CrossRef]
- Gurevičienė, G.; Matulionė, J.; Poškienė, L.; Miliauskas, S.; Žemaitis, M. PD-L1 Expression and Tumour Microenvironment Patterns in Resected Non-Small-Cell Lung Cancer. Medicina 2024, 60, 482. [Google Scholar] [CrossRef] [PubMed]
- Jackute, J.; Zemaitis, M.; Pranys, D.; Sitkauskiene, B.; Miliauskas, S.; Bajoriunas, V.; Lavinskiene, S.; Sakalauskas, R. The prognostic influence of tumor infiltrating Foxp3+CD4+, CD4+ and CD8+ T cells in resected non-small cell lung cancer. J. Inflamm. 2015, 12, 63. [Google Scholar] [CrossRef] [PubMed]
- Salmon, H.; Franciszkiewicz, K.; Damotte, D.; Dieu-Nosjean, M.-C.; Validire, P.; Trautmann, A.; Mami-Chouaib, F.; Donnadieu, E. Matrix architecture defines the preferential localization and migration of T cells into the stroma of human lung tumors. J. Clin. Investig. 2012, 122, 899–910. [Google Scholar] [CrossRef] [PubMed]
- Munn, D.H.; Bronte, V. Immune suppressive mechanisms in the tumor microenvironment. Curr. Opin. Immunol. 2016, 39, 1–6. [Google Scholar] [CrossRef]
- Wu, S.-P.; Liao, R.-Q.; Tu, H.-Y.; Wang, W.-J.; Dong, Z.-Y.; Huang, S.-M.; Guo, W.-B.; Gou, L.-Y.; Sun, H.-W.; Zhang, Q.; et al. Stromal PD-L1–Positive Regulatory T cells and PD-1–Positive CD8-Positive T cells Define the Response of Different Subsets of Non–Small Cell Lung Cancer to PD-1/PD-L1 Blockade Immunotherapy. J. Thorac. Oncol. 2018, 13, 521–532. [Google Scholar] [CrossRef]
- Seo, S.-K.; Seo, H.-M.; Jeong, H.-Y.; Choi, I.-W.; Park, Y.-M.; Yagita, H.; Chen, L.; Choi, I.-H. Co-inhibitory role of T-cell-associated B7-H1 and B7-DC in the T-cell immune response. Immunol. Lett. 2006, 102, 222–228. [Google Scholar] [CrossRef]
- Latchman, Y.E.; Liang, S.C.; Wu, Y.; Chernova, T.; Sobel, R.A.; Klemm, M.; Kuchroo, V.K.; Freeman, G.J.; Sharpe, A.H. PD-L1-deficient mice show that PD-L1 on T cells, antigen-presenting cells, and host tissues negatively regulates T cells. Proc. Natl. Acad. Sci. USA 2004, 101, 10691–10696. [Google Scholar] [CrossRef]
- Tamura, H.; Dong, H.; Zhu, G.; Sica, G.L.; Flies, D.B.; Tamada, K.; Chen, L. B7-H1 costimulation preferentially enhances CD28-independent T-helper cell function. Blood 2001, 97, 1809–1816. [Google Scholar] [CrossRef]
- Shiri, A.M.; Zhang, T.; Bedke, T.; Zazara, D.E.; Zhao, L.; Lücke, J.; Sabihi, M.; Fazio, A.; Zhang, S.; Tauriello, D.V.F.; et al. IL-10 dampens antitumor immunity and promotes liver metastasis via PD-L1 induction. J. Hepatol. 2024, 80, 634–644. [Google Scholar] [CrossRef]
- Castiglioni, A.; Yang, Y.; Williams, K.; Gogineni, A.; Lane, R.S.; Wang, A.W.; Shyer, J.A.; Zhang, Z.; Mittman, S.; Gutierrez, A.; et al. Combined PD-L1/TGFβ blockade allows expansion and differentiation of stem cell-like CD8 T cells in immune excluded tumors. Nat. Commun. 2023, 14, 4703. [Google Scholar] [CrossRef]
- Piao, W.; Li, L.; Saxena, V.; Iyyathurai, J.; Lakhan, R.; Zhang, Y.; Lape, I.T.; Paluskievicz, C.; Hippen, K.L.; Lee, Y.; et al. PD-L1 signaling selectively regulates T cell lymphatic transendothelial migration. Nat. Commun. 2022, 13, 2176. [Google Scholar] [CrossRef] [PubMed]
- Pan, Y.; Yang, W.; Tang, B.; Wang, X.; Zhang, Q.; Li, W.; Li, L. The protective and pathogenic role of Th17 cell plasticity and function in the tumor microenvironment. Front. Immunol. 2023, 14, 1192303. [Google Scholar] [CrossRef]
- Zuazo, M.; Arasanz, H.; Bocanegra, A.; Fernandez, G.; Chocarro, L.; Vera, R.; Kochan, G.; Escors, D. Systemic CD4 Immunity as a Key Contributor to PD-L1/PD-1 Blockade Immunotherapy Efficacy. Front. Immunol. 2020, 11, 586907. [Google Scholar] [CrossRef]
- Janssen, E.M.; Droin, N.M.; Lemmens, E.E.; Pinkoski, M.J.; Bensinger, S.J.; Ehst, B.D.; Griffith, T.S.; Green, D.R.; Schoenberger, S.P. CD4+ T-cell help controls CD8+ T-cell memory via TRAIL-mediated activation-induced cell death. Nature 2005, 434, 88–93. [Google Scholar] [CrossRef] [PubMed]
- Zheng, S.; Wang, W.; Shen, L.; Yao, Y.; Xia, W.; Ni, C. Tumor battlefield within inflamed, excluded or desert immune phenotypes: The mechanisms and strategies. Exp. Hematol. Oncol. 2024, 13, 80. [Google Scholar] [CrossRef] [PubMed]
- Tilsed, C.M.; Principe, N.; Kidman, J.; Chin, W.L.; Orozco Morales, M.L.; Zemek, R.M.; Chee, J.; Islam, R.; Fear, V.S.; Forbes, C.; et al. CD4+ T cells drive an inflammatory, TNF-α/IFN-rich tumor microenvironment responsive to chemotherapy. Cell Rep. 2022, 41, 111874. [Google Scholar] [CrossRef]
- Zander, R.; Schauder, D.; Xin, G.; Nguyen, C.; Wu, X.; Zajac, A.; Cui, W. CD4+ T Cell Help Is Required for the Formation of a Cytolytic CD8+ T Cell Subset that Protects against Chronic Infection and Cancer. Immunity 2019, 51, 1028–1042. [Google Scholar] [CrossRef]
- Lückel, C.; Picard, F.; Raifer, H.; Campos Carrascosa, L.; Guralnik, A.; Zhang, Y.; Klein, M.; Bittner, S.; Steffen, F.; Moos, S.; et al. IL-17+ CD8+ T cell suppression by dimethyl fumarate associates with clinical response in multiple sclerosis. Nat. Commun. 2019, 10, 5722. [Google Scholar] [CrossRef] [PubMed]
- Rodriguez, C.; Araujo Furlan, C.L.; Tosello Boari, J.; Bossio, S.N.; Boccardo, S.; Fozzatti, L.; Canale, F.P.; Beccaria, C.G.; Nuñez, N.G.; Ceschin, D.G.; et al. Interleukin-17 signaling influences CD8 + T cell immunity and tumor progression according to the IL-17 receptor subunit expression pattern in cancer cells. OncoImmunology 2023, 12, 2261326. [Google Scholar] [CrossRef]
- Song, P.; Guo, L.; Li, W.; Zhang, F.; Ying, J.; Gao, S. Clinicopathologic Correlation with Expression of PD-L1 on Both Tumor Cells and Tumor-infiltrating Immune Cells in Patients with Non-Small Cell Lung Cancer. J. Immunother. 2019, 42, 23–28. [Google Scholar] [CrossRef]
- De La Iglesia, J.V.; Slebos, R.J.C.; Martin-Gomez, L.; Wang, X.; Teer, J.K.; Tan, A.C.; Gerke, T.A.; Aden-Buie, G.; Van Veen, T.; Masannat, J.; et al. Effects of Tobacco Smoking on the Tumor Immune Microenvironment in Head and Neck Squamous Cell Carcinoma. Clin. Cancer Res. 2020, 26, 1474–1485. [Google Scholar] [CrossRef] [PubMed]
- Strzelak, A.; Ratajczak, A.; Adamiec, A.; Feleszko, W. Tobacco Smoke Induces and Alters Immune Responses in the Lung Triggering Inflammation, Allergy, Asthma and Other Lung Diseases: A Mechanistic Review. Int. J. Environ. Res. Public Health 2018, 15, 1033. [Google Scholar] [CrossRef] [PubMed]
- Kim, Y.; Wen, X.; Cho, N.Y.; Kang, G.H. Intratumoral immune cells expressing PD-1/PD-L1 and their prognostic implications in cancer: A meta-analysis. Int. J. Biol. Markers 2018, 33, 467–474. [Google Scholar] [CrossRef]
- Russell, P.A.; Farrall, A.L.; Prabhakaran, S.; Asadi, K.; Barrett, W.; Cooper, C.; Cooper, W.; Cotton, S.; Duhig, E.; Egan, M.; et al. Real-world prevalence of PD-L1 expression in non-small cell lung cancer: An Australia-wide multi-centre retrospective observational study. Pathology 2023, 55, 922–928. [Google Scholar] [CrossRef] [PubMed]
- Boman, C.; Zerdes, I.; Mårtensson, K.; Bergh, J.; Foukakis, T.; Valachis, A.; Matikas, A. Discordance of PD-L1 status between primary and metastatic breast cancer: A systematic review and meta-analysis. Cancer Treat. Rev. 2021, 99, 102257. [Google Scholar] [CrossRef]
- Chansky, K.; Sculier, J.-P.; Crowley, J.J.; Giroux, D.; Van Meerbeeck, J.; Goldstraw, P. The International Association for the Study of Lung Cancer Staging Project: Prognostic Factors and Pathologic TNM Stage in Surgically Managed Non-small Cell Lung Cancer. J. Thorac. Oncol. 2009, 4, 792–801. [Google Scholar] [CrossRef]
- Nicholson, A.G.; Tsao, M.S.; Beasley, M.B.; Borczuk, A.C.; Brambilla, E.; Cooper, W.A.; Dacic, S.; Jain, D.; Kerr, K.M.; Lantuejoul, S.; et al. The 2021 WHO Classification of Lung Tumors: Impact of Advances Since 2015. J. Thorac. Oncol. 2022, 17, 362–387. [Google Scholar] [CrossRef]





| Baseline Characteristics | n (%) |
|---|---|
| Gender | |
| Male | 58 (80.6) |
| Female | 14 (19.4) |
| Age group | |
| <65 years | 33 (45.8) |
| ≥65 years | 39 (54.2) |
| Smoking status | |
| Non-smokers | 13 (18.1) |
| Current or former smokers | 59 (81.9) |
| COPD | |
| Absent | 50 (69.4) |
| Present | 22 (30.6) |
| Histological NSCLC type | |
| Adenocarcinoma | 36 (50) |
| Squamous cell carcinoma | 30 (41.7) |
| Large cell carcinoma | 6 (8.3) |
| Differentiation | |
| Well—moderate | 39 (54.2) |
| Poor—undifferentiated | 33 (45.8) |
| NSCLC stage | |
| IA-IB | 20 (27.8) |
| IIA-IIB | 24 (33.3) |
| IIIA-IIIB | 28 (38.9) |
| pT status | |
| pT1 | 12 (16.7) |
| pT2 | 41 (56.9) |
| pT3–4 | 19 (26.4) |
| Lymph node status | |
| pN0 | 31 (43.1) |
| pN1 | 23 (31.9) |
| pN2 | 16 (22.2) |
| pN3 | 2 (2.8) |
| Adjuvant therapy | |
| Given | 31 (43.1) |
| Not given | 41 (56.9) |
| PD-L1+ Lymphocytes | ||||||
|---|---|---|---|---|---|---|
| Islets | p | Stroma | p | Total | p | |
| Gender | ||||||
| Male | 7.5 (0–121) | 0.326 | 41 (0–836) | 0.207 | 53 (0–952) | 0.160 |
| Female | 1.5 (0–51) | 18 (0–539) | 19.5 (0–586) | |||
| Age group | ||||||
| <65 years | 2 (0–106) | 0.036 | 28 (0–390) | 0.221 | 32 (0–391) | 0.157 |
| ≥65 years | 14 (0–121) | 68 (0–836) | 89 (0–952) | |||
| Smoking status | ||||||
| Nonsmokers | 0 (0–68) | 0.1 | 8 (0–187) | 0.043 | 8 (0–255) | 0.038 |
| Former smokers and smokers | 9 (0–121) | 44 (0–836) | 60 (0–952) | |||
| COPD | ||||||
| Absent | 3 (0–121) | 0.240 | 36.5 (0–521) | 0.722 | 39 (0–542) | 0.695 |
| Present | 14.5 (0–116) | 60 (0–836) | 82.5 (0–952) | |||
| Histological NSCLC type | ||||||
| Adenocarcinoma | 4.5 (0–121) | 0.596 | 29 (0–196) | 0.104 | 36 (0–302) | 0.114 |
| Squamous cell carcinoma | 7.5 (0–116) | 88.5 (0–836) | 99.5 (0–952) | |||
| Differentiation | ||||||
| Well-moderate | 6 (0–116) | 0.751 | 35 (0–836) | 0.946 | 40 (0–952) | 0.977 |
| Poor | 3 (0–121) | 76 (0–539) | 90 (0–586) | |||
| NSCLC stage | ||||||
| IA-IB | 11.5 (0–28) | 0.395 | 115 (38–433) | 0.123 | 126.5 (38–458) | 0.132 |
| IIA-IIB | 10 (0–106) | 28 (0–262) | 38 (0–316) | |||
| IIIA-IIIB | 4 (0–121) | 87 (0–836) | 103 (0–952) | |||
| pT status | ||||||
| pT1 | 11 (0–30) | 0.667 | 86 (13–433) | 0.042 | 97 (31–458) | 0.063 |
| pT2 | 3 (1–121) | 25 (0–836) | 34 (0–952) | |||
| pT3–4 | 4 (0–47) | 76 (0–539) | 105 (0–586) | |||
| Lymph node status | ||||||
| Negative (pN0) | 9 (0–106) | 0.573 | 44 (0–539) | 0.412 | 53 (0–586) | 0.393 |
| Positive (pN1–N3) | 3 (0–121) | 30 (0–836) | 34 (0–952) | |||
| PD-L1+ Lymphocytes | ||||||
|---|---|---|---|---|---|---|
| Islets | Stroma | |||||
| Low | High | p | Low | High | p | |
| CD8+ T cells in islets n (%) | ||||||
| Low | 20 (58.8) | 14 (41.2) | 0.101 | 19 (55.9) | 15 (44.1) | 0.345 |
| High | 15 (39.5) | 23 (60.5) | 17 (44.7) | 21 (55.3) | ||
| CD8+ T cells in stroma n (%) | ||||||
| Low | 17 (50) | 17 (50) | 0.824 | 15 (44.1) | 19 (55.9) | 0.345 |
| high | 18 (47.4) | 20 (52.6) | 21 (55.3) | 17 (44.7) | ||
| CD4+ T cells in islets n (%) | ||||||
| low | 21 (60) | 14 (40) | 0.06 | 22 (62.9) | 13 (37.1) | 0.034 |
| high | 14 (27.8) | 23 (62.2) | 14 (37.8) | 23 (62.2) | ||
| CD4+ T cells in stroma n (%) | ||||||
| Low | 22 (62.9) | 13 (37.1) | 0.06 | 21 (60) | 14 (40) | 0.034 |
| High | 14 (37.8) | 23 (62.2) | 14 (37.8) | 23 (62.2) | ||
| Foxp3+CD4+ T cells in islets n (%) | ||||||
| Low | 23 (63.9) | 13 (36.1) | 0.009 | 24 (66.7) | 12 (33.3) | 0.005 |
| High | 12 (33.3) | 24 (66.7) | 12 (33.3) | 24 (66.7) | ||
| Foxp3+CD4+ T cells in stroma n (%) | ||||||
| Low | 22 (61.1) | 14 (38.9) | 0.034 | 21 (58.3) | 15 (41.7) | 0.157 |
| High | 13 (36.1) | 23 (63.9) | 15 (41.7) | 21 (58.3) | ||
| IL-17A+CD4+ cells in islets n (%) | ||||||
| Low | 17 (65.4) | 9 (34.6) | 0.032 | 17 (65.4) | 9 (34.6) | 0.05 |
| High | 18 (39.1) | 28 (60.9) | 19 (41.3) | 27 (58.7) | ||
| IL-17A+CD4+ cells in stroma n (%) | ||||||
| Low | 14 (43.8) | 18 (56.3) | 0.460 | 13 (40.6) | 19 (59.4) | 0.155 |
| High | 21 (52.5) | 19 (47.5) | 23 (57.5) | 17 (42.5) | ||
| M1 macrophages in islets n (%) | ||||||
| Low | 19 (52.8) | 17 (47.2) | 0.479 | 18 (50) | 18 (50) | 1.0 |
| High | 16 (44.4) | 20 (55.5) | 18 (50) | 18 (50) | ||
| M1 macrophages in stroma n (%) | ||||||
| Low | 14 (40) | 21 (60) | 0.155 | 13 (37.1) | 22 (62.9) | 0.034 |
| High | 21 (56.8) | 16 (43.2) | 23 (62.2) | 14 (37.8) | ||
| M2 macrophages in islets n (%) | ||||||
| Low | 16 (72.7) | 6 (27.3) | 0.586 | 16 (72.7) | 6 (27.3) | 0.586 |
| High | 15 (65.2) | 8 (34.8) | 15 (65.2) | 8 (34.8) | ||
| M2 macrophages in stroma n (%) | ||||||
| Low | 15 (65.2) | 8 (34.8) | 0.322 | 15 (65.2) | 8 (34.8) | 0.731 |
| High | 15 (62.5) | 9 (37.5) | 16 (66.7) | 8 (33.3) | ||
| PD-L1+ Lymphocytes in Islets | PD-L1+ Lymphocytes in Stroma | |||||
|---|---|---|---|---|---|---|
| Low | High | p | Low | High | p | |
| CD8+ n (%) | ||||||
| Desert | 9 (50) | 9 (50) | 0.15 | 7 (38.9) | 11 (61.1) | 0.075 |
| Excluded | 11 (68.8) | 5 (31.3) | 12 (75) | 4 (25) | ||
| Inflamed | 15 (39.5) | 23 (60.5) | 17 (44.7) | 21 (55.3) | ||
| CD4+ n (%) | ||||||
| Desert | 11 (64.7) | 6 (35.3) | 0.147 | 12 (70.6) | 5 (29.4) | 0.066 |
| Excluded | 10 (55.6) | 8 (44.4) | 10 (55.6) | 8 (44.4) | ||
| Inflamed | 14 (37.8) | 23 (62.2) | 14 (37.8) | 23 (62.2) | ||
| Foxp3+CD4+ n (%) | ||||||
| Desert | 17 (70.8) | 7 (29.2) | 0.017 | 17 (70.8) | 7 (29.2) | 0.013 |
| Excluded | 6 (50) | 6 (50) | 7 (58.3) | 5 (41.7) | ||
| Inflamed | 12 (33.3) | 24 (66.7) | 12 (33.3) | 24 (66.7) | ||
| IL17A+CD4+ n (%) | ||||||
| Desert | 7 (53.8) | 6 (46.2) | 0.043 | 6 (45.2) | 7 (53.8) | 0.022 |
| Excluded | 10 (76.9) | 3 (23.1) | 11 (84.6) | 2 (15.4) | ||
| Inflamed | 18 (39.1) | 28 (60.9) | 19 (41.3) | 27 (58.7) | ||
| PD-L1+ Lymphocytes in Islets | PD-L1+ Lymphocytes in Stroma | |||||
|---|---|---|---|---|---|---|
| Low | High | p | Low | High | p | |
| M1 macrophages n (%) | ||||||
| Desert | 10 (43.5) | 13 (56.5) | 0.295 | 9 (39.1) | 14 (60.9) | 0.24 |
| Excluded | 9 (69.2) | 4 (30.8) | 9 (69.2) | 4 (30.8) | ||
| Inflamed | 16 (44.4) | 20 (55.6) | 18 (50) | 18 (50) | ||
| M2 macrophages n (%) | ||||||
| Desert | 10 (83.3) | 2 (16.7) | 0.481 | 10 (83.3) | 2 (16.7) | 0.481 |
| Excluded | 6 (60) | 4 (40) | 6 (60) | 4 (40) | ||
| Inflamed | 15 (65.2) | 8 (34.8) | 15 (65.2) | 8 (34.8) | ||
Disclaimer/Publisher’s Note: The statements, opinions and data contained in all publications are solely those of the individual author(s) and contributor(s) and not of MDPI and/or the editor(s). MDPI and/or the editor(s) disclaim responsibility for any injury to people or property resulting from any ideas, methods, instructions or products referred to in the content. |
© 2024 by the authors. Licensee MDPI, Basel, Switzerland. This article is an open access article distributed under the terms and conditions of the Creative Commons Attribution (CC BY) license (https://creativecommons.org/licenses/by/4.0/).
Share and Cite
Gurevičienė, G.; Matulionė, J.; Poškienė, L.; Miliauskas, S.; Žemaitis, M. PD-L1+ Lymphocytes Are Associated with CD4+, Foxp3+CD4+, IL17+CD4+ T Cells and Subtypes of Macrophages in Resected Early-Stage Non-Small Cell Lung Cancer. Int. J. Mol. Sci. 2024, 25, 10827. https://doi.org/10.3390/ijms251910827
Gurevičienė G, Matulionė J, Poškienė L, Miliauskas S, Žemaitis M. PD-L1+ Lymphocytes Are Associated with CD4+, Foxp3+CD4+, IL17+CD4+ T Cells and Subtypes of Macrophages in Resected Early-Stage Non-Small Cell Lung Cancer. International Journal of Molecular Sciences. 2024; 25(19):10827. https://doi.org/10.3390/ijms251910827
Chicago/Turabian StyleGurevičienė, Giedrė, Jurgita Matulionė, Lina Poškienė, Skaidrius Miliauskas, and Marius Žemaitis. 2024. "PD-L1+ Lymphocytes Are Associated with CD4+, Foxp3+CD4+, IL17+CD4+ T Cells and Subtypes of Macrophages in Resected Early-Stage Non-Small Cell Lung Cancer" International Journal of Molecular Sciences 25, no. 19: 10827. https://doi.org/10.3390/ijms251910827
APA StyleGurevičienė, G., Matulionė, J., Poškienė, L., Miliauskas, S., & Žemaitis, M. (2024). PD-L1+ Lymphocytes Are Associated with CD4+, Foxp3+CD4+, IL17+CD4+ T Cells and Subtypes of Macrophages in Resected Early-Stage Non-Small Cell Lung Cancer. International Journal of Molecular Sciences, 25(19), 10827. https://doi.org/10.3390/ijms251910827

