Genomic Sequencing to Detect Cross-Breeding Quality in Dogs: An Example Studying Disorders in Sexual Development
Abstract
1. Introduction
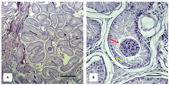
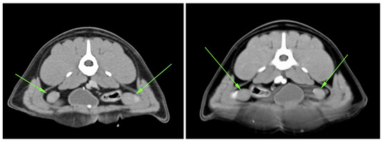
2. Results
3. Discussion
4. Materials and Methods
4.1. Clinical Characterization of Brutus
4.2. FISH Experiments
4.3. Genomic Extraction
4.4. PCR
4.5. Sequencing Analysis: Variant Calling and ROH Estimation
Supplementary Materials
Author Contributions
Funding
Institutional Review Board Statement
Data Availability Statement
Conflicts of Interest
Abbreviations
| AMH | anti-Müllerian hormone |
| CNV | copy number variation |
| CTNNB1 | catenin beta 1 |
| DAPI | 4′,6-diamidino-2-phenylindole |
| DSD | disorders of sexual development |
| FISH | fluorescence in situ hybridization |
| FOXL2 | forkhead box L2 |
| HMG | high-mobility group |
| NSEG | number of segments |
| PADI6 | peptidyl arginine deiminase 6 |
| RBMYA1 | RNA binding motif protein Y-linked family 1 member A1 |
| ROH | run of homozigosity |
| RSPO1 | R-spondin1 |
| SNP | single nucleotide polymorphism |
| SNVs | single nucleotide variants |
| SOX9 | Sry-box containing gene 9 or Sry-like HMG box |
| SpermiR | spermatogenesis-related miRNAs |
| SRD5A2 | steroid 5 alpha-reductase 2 |
| SRY | sex-determining region |
Appendix A

| Parameters | Sample | Reference Range | Parameters | Sample | Reference Range |
|---|---|---|---|---|---|
| RBC (milioni/µL) | 6.39 | 5.50–8.00 | WBC (×1000/µL) | 11.8 | 6.0–14.0 |
| HGB (g/dL) | 16.0 | 14.0–19.5 | Correct counting WBC (×1000/µL) | 11.8 | 6.0–14 |
| HCT (%) | 50.4 | 38.0–54.0 | Myelocytes (/µL) | 0 | 0 |
| MCV (fL) | 78.9 | 60.0–73.0 | Metamyelocytes (/µL) | 0 | 0 |
| MCH (pg) | 25.0 | 21.0–27.0 | Band neutrophils (/µL) | 0 | 0–300 |
| MCHC (g/dL) | 31.7 | 33.0–37.0 | Segmented neutrophils (/µL) | 7316 | 3500–9300 |
| CHCM (g/dL) | 31.6 | 32.0–37.0 | Linfocytes (/µL) | 3304 | 1200–3200 |
| CH (pg) | 24.8 | 21.5– 25.7 | Monocytes (/µL) | 708 | 200–1200 |
| CHDW (pg) | 2.76 | 3.18–3.80 | Eosinophils (/µL) | 472 | 100–800 |
| RDW (%) | 12.6 | 12.0–16.0 | Basophils (/µL) | 0 | 0–100 |
| HDW (g/dL) | 1.57 | 1.50–2.50 | Emoparasites | NEG. | NEG. |
| NRBC/100 WBC | 0 | 0 | |||
| PLT (1000/µL) | 203 | 180–450 | |||
| MPV (fL) | 10.8 | 8.5–14.5 | |||
| PCT (%) | 0.22 | 0.20–0.50 | |||
| PDW (%) | 46.8 | 53.0–70.0 | |||
| MPC (g/dL) | 16.0 | 18.0–24.0 | |||
| MPM (pg) | 1.6 | 1.5–2.45 | |||
| Large PLT (1000/µL) | 67 | 7–50 |
| Parameters | Sample | Reference Range | Parameters | Sample | Reference Range |
|---|---|---|---|---|---|
| CPK (IU/L) | 329 | 30–160 | Calcio (mg/dL) | 10.5 | 9.0–11.5 |
| AST (IU/L) | 56 | 18–50 | Calcio corretto (mg/dL) | 10.4 | 9.0–11.5 |
| ALT (IU/L) | 110 | 20–75 | Fosforo (mg/dL) | 7.5 | 2.8–4.7 |
| ALP (IU/L) | 66 | 20–160 | Magnesio (mg/dL) | 2.3 | 1.4–2.1 |
| GGT (IU/L) | 1.4 | 2.6–7.4 | Sodio (mEq/L) | 145 | 140–152 |
| Colinesterasi (IU/L) | 6689 | 3350–7250 | Potassio (mEq/L) | 4.7 | 4.0–5.3 |
| Bilirubina Totale (mg/dL) | 0.09 | 0.10–0.30 | Rapporto Na/K | 30.9 | 28.0–37.0 |
| Proteine Totali (g/dL) | 6.3 | 5.7–7.3 | Cloro (mEq/L) | 107 | 105–115 |
| Albumine (g/dL) | 3.3 | 2.8–3.7 | Cloro corretto (mEq/L) | 107.7 | 109–115 |
| Globuline (g/dL) | 3.0 | 2.8–3.9 | HCO-3 (mmol/L) | 20.3 | 15.8–22.3 |
| Rapporto A/G | 1.10 | 0.70–1.30 | Divario Anionico | 22.4 | 18.5–29.0 |
| Colesterolo (mg/dL) | 255 | 130–330 | Osmol. sier. mis. (mOsm) | 292–310 | |
| Trigliceridi (mg/dL) | 25 | 30–130 | Osmol. sier. calc. (mOsm) | 282 | 277–297 |
| Amilasi (IU/L) | 749 | 411–1522 | Div. Osmolale | 18–28 | |
| Lipasi (IU/L) | 281 | 77–585 | Ferro totale (µg/dL) | 228 | 90–230 |
| Urea (mg/dL) | 26 | 15–50 | UIBC (µg/dL) | 186 | 180–350 |
| Creatinina (mg/dL) | 1.13 | 0.70–1.40 | TIBC (µg/dL) | 414 | 300–500 |
| Glucosio (mg/dL) | 91 | 70–130 | Saturazione (%) | 55.1 | 20–60 |
| Lipasi DGGR (UI/L) | 65 | 13–117 | Prot. C Reattiva (mg/dL) | 0.03 | 0.01–0.45 |



References
- Buijtels, J.; de Gier, J.; Kooistra, H.; Grinwis, G.; Naan, E.; Zijlstra, C.; Okkens, A. Disorders of sexual development and associated changes in the pituitary-gonadal axis in dogs. Theriogenology 2012, 78, 1618–1626. [Google Scholar] [CrossRef] [PubMed]
- Szczerbal, I.; Nowacka-Woszuk, J.; Nizanski, W.; Dzimira, S.; Ligocka, Z.; Jastrzebska, A.; Kabala, B.; Biernacik, M.; Przadka, P.; Switonski, M. Disorders of Sex Development Are an Emerging Problem in French Bulldogs: A Description of Six New Cases and a Review of the Literature. Sex. Dev. 2020, 13, 205–211. [Google Scholar] [CrossRef]
- Poth, T.; Breuer, W.; Walter, B.; Hecht, W.; Hermanns, W. Disorders of sex development in the dog—Adoption of a new nomenclature and reclassification of reported cases. Anim. Reprod. Sci. 2010, 121, 197–207. [Google Scholar] [CrossRef] [PubMed]
- Meyers-Wallen, V. Gonadal and Sex Differentiation Abnormalities of Dogs and Cats. Sex. Dev. 2011, 6, 46–60. [Google Scholar] [CrossRef]
- Pasterski, V.; Prentice, P.; Hughes, I. Impact of the consensus statement and the new DSD classification system. Best Pract. Res. Clin. Endocrinol. Metab. 2010, 24, 187–195. [Google Scholar] [CrossRef]
- Salamon, S.; Flisikowski, K.; Switonski, M. Methylation Patterns of SOX3, SOX9, and WNT4 Genes in Gonads of Dogs with XX (SRY-Negative) Disorder of Sexual Development. Sex. Dev. 2017, 11, 86–93. [Google Scholar] [CrossRef] [PubMed]
- Świtoński, M.; Reimann, N.; Bosma, A.A.; Long, S.; Bartnitzke, S.; Pieńkowska, A.; Moreno-Milan, M.M.; Fischer, P. Report on the progress of standardization of the G-banded canine (Canis familiaris) karyotype. Chromosom. Res. 1996, 4, 306–309. [Google Scholar] [CrossRef]
- Switonski, M.; Szczerbal, I.; Grewling, J.; Antosik, P.; Nizanski, W.; Yang, F. Two cases of infertile bitches with 78,XX/77,X mosaic karyotype: A need for cytogenetic evaluation of dogs with reproductive disorders. J. Hered. 2003, 94, 65–68. [Google Scholar] [CrossRef][Green Version]
- O’Connor, C.; Schweizer, C.; Gradil, C.; Schlafer, D.; Lopate, C.; Prociuk, U.; Meyers-Wallen, V.; Casal, M. Trisomy-X with estrous cycle anomalies in two female dogs. Theriogenology 2011, 76, 374–380. [Google Scholar] [CrossRef]
- Reimann-Berg, N.; Escobar, H.M.; Nolte, I.; Bullerdiek, J. Testicular tumor in an XXY dog. Cancer Genet. Cytogenet. 2008, 183, 114–116. [Google Scholar] [CrossRef]
- Meyers-Wallen, V. Review and Update: Genomic and Molecular Advances in Sex Determination and Differentiation in Small Animals. Reprod. Domest. Anim. 2009, 44, 40–46. [Google Scholar] [CrossRef] [PubMed]
- Krzeminska, P.; Nowacka-Woszuk, J.; Switonski, M. Copy number variation of the SRY gene showed an association with disorders of sex development in Yorkshire Terrier dogs. Anim. Genet. 2021, 53, 152–155. [Google Scholar] [CrossRef] [PubMed]
- Nowacka-Woszuk, J.; Stachowiak, M.; Szczerbal, I.; Szydlowski, M.; Szabelska-Beresewicz, A.; Zyprych-Walczak, J.; Krzeminska, P.; Nowak, T.; Lukomska, A.; Ligocka, Z.; et al. Whole genome sequencing identifies a missense polymorphism in PADI6 associated with testicular/ovotesticular XX disorder of sex development in dogs. Genomics 2022, 114, 110389. [Google Scholar] [CrossRef] [PubMed]
- Meyers-Wallen, V.N.; Boyko, A.R.; Danko, C.G.; Grenier, J.K.; Mezey, J.G.; Hayward, J.J.; Shannon, L.M.; Gao, C.; Shafquat, A.; Rice, E.J.; et al. XX Disorder of Sex Development is associated with an insertion on chromosome 9 and downregulation of RSPO1 in dogs (Canis lupus familiaris). PLoS ONE 2017, 12, e0186331. [Google Scholar] [CrossRef]
- Campos, M.; Moreno-Manzano, V.; García-Roselló, M.; García-Roselló, E. SRY-Negative XX Sex Reversal in a French Bulldog. Reprod. Domest. Anim. 2011, 46, 185–188. [Google Scholar] [CrossRef] [PubMed]
- Silversides, D.W.; Benoit, J.-M.; Collard, F.; Gilson, C. Disorder of sex development (XX male, SRY negative) in a French bulldog. Can. Vet. J. = La Rev. Vet. Can. 2011, 52, 670–672. [Google Scholar]
- Switonski, M.; Szczerbal, I.; Nizanski, W.; Kociucka, B.; Bartz, M.; Dzimira, S.; Mikolajewska, N. Robertsonian Translocation in a Sex Reversal Dog (XX, SRY negative) May Indicate that the Causative Mutation for This Intersexuality Syndrome Resides on Canine Chromosome 23 (CFA23). Sex. Dev. 2011, 5, 141–146. [Google Scholar] [CrossRef]
- Nowacka-Woszuk, J.; Nizanski, W.; Klimowicz, M.; Switonski, M. Normal male chromosome complement and a lack of the SRY and SOX9 gene mutations in a male pseudohermaphrodite dog. Anim. Reprod. Sci. 2007, 98, 371–376. [Google Scholar] [CrossRef]
- Meyers-Wallen, V.N. Genetics, genomics, and molecular biology of sex determination in small animals. Theriogenology 2006, 66, 1655–1658. [Google Scholar] [CrossRef]
- Cassatella, D.; Martino, N.A.; Valentini, L.; Guaricci, A.C.; Cardone, M.F.; Pizzi, F.; Dell’aquila, M.E.; Ventura, M. Male infertility and copy number variants (CNVs) in the dog: A two-pronged approach using Computer Assisted Sperm Analysis (CASA) and Fluorescent In Situ Hybridization (FISH). BMC Genom. 2013, 14, 921. [Google Scholar] [CrossRef]
- Parker, H.G.; Dreger, D.L.; Rimbault, M.; Davis, B.W.; Mullen, A.B.; Carpintero-Ramirez, G.; Ostrander, E.A. Genomic Analyses Reveal the Influence of Geographic Origin, Migration, and Hybridization on Modern Dog Breed Development. Cell Rep. 2017, 19, 697–708. [Google Scholar] [CrossRef] [PubMed]
- Fix, A. Genetic Structure of the Semai. In Current Developments in Anthropological Genetics; Springer: Boston, MA, USA, 1982. [Google Scholar] [CrossRef]
- McKenna, A.; Hanna, M.; Banks, E.; Sivachenko, A.; Cibulskis, K.; Kernytsky, A.; Garimella, K.; Altshuler, D.; Gabriel, S.; Daly, M.; et al. The Genome Analysis Toolkit: A MapReduce framework for analyzing next-generation DNA sequencing data. Genome Res. 2010, 20, 1297–1303. [Google Scholar] [CrossRef] [PubMed]
- Nowacka-Woszuk, J.; Szczerbal, I.; Stachowiak, M.; Szydlowski, M.; Nizanski, W.; Dzimira, S.; Maslak, A.; Payan-Carreira, R.; Wydooghe, E.; Nowak, T.; et al. Association between polymorphisms in the SOX9 region and canine disorder of sex development (78,XX; SRY-negative) revisited in a multibreed case-control study. PLoS ONE 2019, 14, e0218565. [Google Scholar] [CrossRef]
- Zhang, F.; Zhang, Y.; Lv, X.; Xu, B.; Zhang, H.; Yan, J.; Li, H.; Wu, L. Evolution of an X-Linked miRNA Family Predominantly Expressed in Mammalian Male Germ Cells. Mol. Biol. Evol. 2019, 36, 663–678. [Google Scholar] [CrossRef] [PubMed]
- Tomaselli, S.; Megiorni, F.; De Bernardo, C.; Felici, A.; Marrocco, G.; Maggiulli, G.; Grammatico, B.; Remotti, D.; Saccucci, P.; Valentini, F.; et al. Syndromic true hermaphroditism due to an R-spondin1 (RSPO1) homozygous mutation. Hum. Mutat. 2007, 29, 220–226. [Google Scholar] [CrossRef]
- Can, S.; Zhu, Y.-S.; Cai, L.-Q.; Ling, Q.; Katz, M.D.; Akgun, S.; Shackleton, C.H.L.; Imperato-McGinley, J. The Identification of 5α-Reductase-2 and 17β-Hydroxysteroid Dehydrogenase-3 Gene Defects in Male Pseudohermaphrodites from a Turkish Kindred1. J. Clin. Endocrinol. Metab. 1998, 83, 560–569. [Google Scholar] [CrossRef][Green Version]
- Andersson, S.; Berman, D.M.; Jenkins, E.P.; Russell, D.W. Deletion of steroid 5α-reductase 2 gene in male pseudohermaphroditism. Nature 1991, 354, 159–161. [Google Scholar] [CrossRef]
- Fareed, M.; Afzal, M. Genetics of consanguinity and inbreeding in health and disease. Ann. Hum. Biol. 2016, 44, 99–107. [Google Scholar] [CrossRef]
- Howard, J.T.; Pryce, J.E.; Baes, C.; Maltecca, C. Invited review: Inbreeding in the genomics era: Inbreeding, inbreeding depression, and management of genomic variability. J. Dairy Sci. 2017, 100, 6009–6024. [Google Scholar] [CrossRef]
- Moorhead, P.S.; Nowell, P.C.; Mellman, W.J.; Battips, D.M.; Hungerford, D.A. Chromosome preparations of leukocytes cultured from human peripheral blood. Exp. Cell Res. 1960, 20, 613–616. [Google Scholar] [CrossRef]
- Ventura, M.; Mudge, J.M.; Palumbo, V.; Burn, S.; Blennow, E.; Pierluigi, M.; Giorda, R.; Zuffardi, O.; Archidiacono, N.; Jackson, M.S.; et al. Neocentromeres in 15q24-26 Map to Duplicons Which Flanked an Ancestral Centromere in 15q25. Genome Res. 2003, 13, 2059–2068. [Google Scholar] [CrossRef] [PubMed]
- Mercuri, L.; Palmisano, D.; L’Abbate, A.; D’Addabbo, P.; Montinaro, F.; Catacchio, C.R.; Hasenfeld, P.; Ventura, M.; Korbel, J.O.; Sanders, A.D.; et al. A high-resolution map of small-scale inversions in the gibbon genome. Genome Res. 2022, 32, 1941–1951. [Google Scholar] [CrossRef] [PubMed]


| SAMPLE | NSEG | KB | KBAVG | F_ROH |
|---|---|---|---|---|
| Brutus | 298 | 681,002 | 2285.24 | 0.308 |
| Bufalo | 153 | 299,507 | 1957.56 | 0.135 |
| FatherB | 170 | 318,511 | 1873.6 | 0.144 |
| Tauro | 154 | 292,152 | 1897.09 | 0.132 |
| PROBE | MAPPING |
|---|---|
| CH82-201N14 | chrX:92883400-93054893 |
| CH82-509B23 | chr5:30780182-30905463 |
| CH82-253P13 | chr23:26062226-26251145 |
| CH82-26I8 | chr9:9505916-9667419 |
| RP11-400O10 | chrY:2724275-2921156 |
Disclaimer/Publisher’s Note: The statements, opinions and data contained in all publications are solely those of the individual author(s) and contributor(s) and not of MDPI and/or the editor(s). MDPI and/or the editor(s) disclaim responsibility for any injury to people or property resulting from any ideas, methods, instructions or products referred to in the content. |
© 2024 by the authors. Licensee MDPI, Basel, Switzerland. This article is an open access article distributed under the terms and conditions of the Creative Commons Attribution (CC BY) license (https://creativecommons.org/licenses/by/4.0/).
Share and Cite
de Gennaro, L.; Burgio, M.; Lacalandra, G.M.; Petronella, F.; L’Abbate, A.; Ravasini, F.; Trombetta, B.; Rizzo, A.; Ventura, M.; Cicirelli, V. Genomic Sequencing to Detect Cross-Breeding Quality in Dogs: An Example Studying Disorders in Sexual Development. Int. J. Mol. Sci. 2024, 25, 10763. https://doi.org/10.3390/ijms251910763
de Gennaro L, Burgio M, Lacalandra GM, Petronella F, L’Abbate A, Ravasini F, Trombetta B, Rizzo A, Ventura M, Cicirelli V. Genomic Sequencing to Detect Cross-Breeding Quality in Dogs: An Example Studying Disorders in Sexual Development. International Journal of Molecular Sciences. 2024; 25(19):10763. https://doi.org/10.3390/ijms251910763
Chicago/Turabian Stylede Gennaro, Luciana, Matteo Burgio, Giovanni Michele Lacalandra, Francesco Petronella, Alberto L’Abbate, Francesco Ravasini, Beniamino Trombetta, Annalisa Rizzo, Mario Ventura, and Vincenzo Cicirelli. 2024. "Genomic Sequencing to Detect Cross-Breeding Quality in Dogs: An Example Studying Disorders in Sexual Development" International Journal of Molecular Sciences 25, no. 19: 10763. https://doi.org/10.3390/ijms251910763
APA Stylede Gennaro, L., Burgio, M., Lacalandra, G. M., Petronella, F., L’Abbate, A., Ravasini, F., Trombetta, B., Rizzo, A., Ventura, M., & Cicirelli, V. (2024). Genomic Sequencing to Detect Cross-Breeding Quality in Dogs: An Example Studying Disorders in Sexual Development. International Journal of Molecular Sciences, 25(19), 10763. https://doi.org/10.3390/ijms251910763

