Pleomorphic Parotid Adenoma in a Child Affected with Cri du Chat Syndrome: Clinical, Cytogenetic, and Molecular Analysis
Abstract
1. Introduction
Case Report
2. Material and Methods
2.1. Array CGH
2.2. Molecular Investigation
3. Results
3.1. Array CGH
3.2. Molecular Investigation
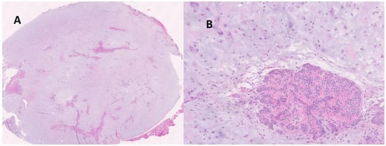
3.3. Pathology
3.4. Cell Colture and Cytogenetics
4. Discussion
4.1. Clinics
4.2. Pathology
4.3. Cytogenetics and Molecular Investigations
4.4. CGH Array
4.4.1. Chromosome 5, Deletion p15.33–p13.3
4.4.2. Chromosome 7, Duplication p15.2
4.4.3. Chromosome 8, Deletion 21.3–23.3
4.4.4. Chromosome 10, Deletion q11.22
4.4.5. Chromosome 14, Deletion q21.3
4.5. WES
5. Conclusions
Author Contributions
Funding
Institutional Review Board Statement
Informed Consent Statement
Data Availability Statement
Acknowledgments
Conflicts of Interest
References
- Valstar, M.H.; de Ridder, M.; van den Broek, E.C.; Stuiver, M.M.; van Dijk, B.A.C.; van Velthuysen, M.L.F.; Balm, A.J.M.; Smeele, L.E. Salivary gland pleomorphic adenoma in the Netherlands: A nationwide observational study of primary tumor incidence, malignant transformation, recurrence, and risk factors for recurrence. Oral Oncol. 2017, 66, 93–99. [Google Scholar] [CrossRef] [PubMed]
- Quixabeira Oliveira, G.A.; Pérez-DE-Oliveira, M.E.; Robinson, L.; Khurram, S.A.; Hunter, K.; Speight, P.M.; Kowalski, L.P.; Lopes Pinto, C.A.; Sales De Sá, R.; Mendonça, E.F. Epithelial salivary gland tumors in pediatric patients: An international collaborative study. Int. J. Pediatr. Otorhinolaryngol. 2023, 168, 111519. [Google Scholar] [CrossRef] [PubMed]
- Jesberg, P.; Monzon, A.; Gitomer, S.A.; Herrmann, B.W. Pediatric primary salivary gland tumors. Am. J. Otolaryngol. 2023, 44, 103948. [Google Scholar] [CrossRef]
- Jørgensen, I.F.; Russo, F.; Jensen, A.B.; Westergaard, D.; Lademann, M.; Hu, J.X.; Brunak, S.; Belling, K. Comorbidity landscape of the Danish patient population affected by chromosome abnormalities. Genet. Med. 2019, 21, 2485–2495. [Google Scholar] [CrossRef] [PubMed]
- Nevado, J.; Bel-Fenellós, C.; Sandoval-Talamantes, A.K.; Hernández, A.; Biencinto-López, C.; Martínez-Fernández, M.L.; Barrúz, P.; Santos-Simarro, F.; Mori-Álvarez, M.A.; Mansilla, E.; et al. Deep Phenotyping and Genetic Characterization of a Cohort of 70 Individuals with 5p Minus Syndrome. Front. Genet. 2021, 12, 645595. [Google Scholar] [CrossRef] [PubMed]
- Green, S.; (Australian and New Zealand CdC database. Kylsith, Victoria, Australia). Personal communication, 2024.
- Fumiko, T.; (5p minus awareness group, Japan, Fukuoka, Kyudai). Personal communication, 2024.
- Guala, A.; Spunton, M.; Kalantari, S.; Kennerknecht, I.; Danesino, C. Neoplasia in Cri du Chat Syndrome from Italian and German Databases. Case Rep. Genet. 2017, 5181624. [Google Scholar] [CrossRef]
- Kennerknecht, I.; (Institute of Human Genetics, Westfälische Wilhelms-Universität Münster, Münster, Germany). Personal communication, 2024.
- Danesino, C.; Gualtierotti, M.; Origi, M.; Cistaro, A.; Malacarne, M.; Massidda, M.; Bencardino, K.; Coviello, D.; Albani, G.; Schiera, I.G.; et al. Esophageal Cancer with Early Onset in a Patient with Cri du Chat Syndrome. Diseases 2023, 12, 9. [Google Scholar] [CrossRef]
- Marinescu, R.C.; Mainardi, P.C.; Collins, M.R.; Kouahou, M.; Coucourde, G.; Pastore, G.; Eaton-Evans, J.; Overhauser, J. Growth charts for cri-du-chat syndrome: An international collaborative study. Am. J. Med. Genet. 2000, 94, 153–162. [Google Scholar] [CrossRef]
- Raczy, C.; Petrovski, R.; Saunders, C.T.; Chorny, I.; Kruglyak, S.; Margulies, E.H.; Chuang, H.Y.; Källberg, M.; Kumar, S.A.; Liao, A. Isaac: Ultra-fast whole-genome secondary analysis on Illumina sequencing platforms. Bioinformatics. 2013, 29, 2041–2043. [Google Scholar] [CrossRef]
- Scappaticci, S.; Lo Curto, F.; Mira, E. Karyotypic variation in benign pleomorphic adenoma of the parotid and in normal salivary glands. Acta Otolaryngol. 1973, 76, 221–228. [Google Scholar] [CrossRef]
- Sandros, J.; Stenman, G.; Mark, J. Cytogenetic and molecular observations in human and experimental salivary gland tumors. Cancer Genet. Cytogenet. 1990, 44, 153–167. [Google Scholar] [CrossRef] [PubMed]
- Kas, K.; Voz, M.L.; Röijer, E.; Aström, A.K.; Meyen, E.; Stenman, G.; Van de Ven, W.J. Promoter swapping between the genes for a novel zinc finger protein and beta-catenin in pleiomorphic adenomas with t(3;8)(p21;q12) translocations. Nat. Genet. 1997, 15, 170–174. [Google Scholar] [CrossRef] [PubMed]
- Voz, M.L.; Aström, A.K.; Kas, K.; Mark, J.; Stenman, G.; Van de Ven, W.J. The recurrent translocation t(5;8)(p13;q12) in pleomorphic adenomas results in upregulation of PLAG1 gene expression under control of the LIFR promoter. Oncogene 1998, 16, 1409–1416. [Google Scholar] [CrossRef] [PubMed]
- Stenman, G.; Fehr, A.; Skálová, A.; Vander Poorten, V.; Hellquist, H.; Mikkelsen, L.H.; Saba, N.F.; Guntinas-Lichius, O.; Chiesa-Estomba, C.M.; Andersson, M.K.; et al. Chromosome Translocations, Gene Fusions, and Their Molecular Consequences in Pleomorphic Salivary Gland Adenomas. Biomedicines 2022, 10, 1970. [Google Scholar] [CrossRef]
- Mariano, F.V.; de Oliveira Gondak, R.; Martins, A.S.; Coletta, R.D.; Paes de Almeida, O.; Kowalski, L.P.; Krepischi, A.C.; Altemani, A. Genomic copy number alterations of primary and secondary metastasizing pleomorphic adenomas. Histopathology 2015, 67, 410–415. [Google Scholar] [CrossRef]
- Mariano, F.V.; Fidalgo, F.; Casarim, A.L.M.; Martins, A.S.; Scarini, J.F.; de Lima Souza, R.A.; Egal, E.S.; Kowalski, L.P.; Krepischi, A.C.V.; Altemani, A. Somatic copy number alterations in pleomorphic adenoma and recurrent pleomorphic adenoma. Oral Surg. Oral Med. Oral Pathol. Oral Radiol. 2020, 129, 59–64. [Google Scholar] [CrossRef]
- Xu, X.; Xie, J.; Ling, R.; Ouyang, S.; Xiong, G.; Lu, Y.; Yun, B.; Zhang, M.; Wang, W.; Liu, X.; et al. Single-cell transcriptomic analysis uncovers the origin and intratumoral heterogeneity of parotid pleomorphic adenoma. Int. J. Oral Sci. 2023, 15, 38. [Google Scholar] [CrossRef]
- Shigeishi, H.; Sugiyama, M.; Tahara, H.; Ono, S.; Kumar Bhawal, U.; Okura, M.; Kogo, M.; Shinohara, M.; Shindoh, M.; Shintani, S.; et al. Increased telomerase activity and hTERT expression in human salivary gland carcinomas. Oncol. Lett. 2011, 2, 845–850. [Google Scholar] [CrossRef]
- Cormier, C.; Agarwal, S. Myoepithelial Carcinoma Ex-Pleomorphic Adenoma: A Rare Pathology Misdiagnosed as Pleomorphic Adenoma; With a Novel TERT Promoter Mutation and High PD-L1 Expression. Head Neck Pathol. 2022, 16, 322–330. [Google Scholar] [CrossRef]
- Wajda, A.; Łapczuk, J.; Grabowska, M.; Pius-Sadowska, E.; Słojewski, M.; Laszczynska, M.; Urasinska, E.; Machalinski, B.; Drozdzik, M. Cell and region specificity of Aryl hydrocarbon Receptor (AhR) system in the testis and the epididymis. Reprod. Toxicol. 2017, 69, 286–296. [Google Scholar] [CrossRef]
- Harada, T.; Chelala, C.; Bhakta, V.; Chaplin, T.; Caulee, K.; Baril, P.; Young, B.D.; Lemoine, N.R. Genome-wide DNA copy number analysis in pancreatic cancer using high-density single nucleotide polymorphism arrays. Oncogene 2008, 27, 1951–1960. [Google Scholar] [CrossRef] [PubMed]
- Marletta, C.; Valli, R.; Pressato, B.; Mare, L.; Montalbano, G.; Menna, G.; Loffredo, G.; Bernardo, M.E.; Vinti, L.; Ferrari, S.; et al. Chromosome anomalies in bone marrow as primary cause of aplastic or hypoplastic conditions and peripheral cytopenia: Disorders due to secondary impairment of RUNX1 and MPL genes. Mol. Cytogenet. 2012, 5, 39. [Google Scholar] [CrossRef] [PubMed]
- Kolary-Siekierska, K.; Niewiadomski, P.; Namiecinski, W.; Miłonski, J. Title Expression of FOXO3 and MAPK1 Genes in Patients with Benign Salivary Gland Tumors. J. Clin. Med. 2024, 13, 215. [Google Scholar] [CrossRef] [PubMed]
- Sung, H.; Ferlay, J.; Siegel, R.L.; Laversanne, M.; Soerjomataram, I.; Jemal, A.; Bray, F. Global Cancer Statistics 2020: GLOBOCAN Estimates of Incidence and Mortality Worldwide for 36 Cancers in 185 Countries. CA Cancer J. Clin. 2021, 71, 209–249. [Google Scholar] [CrossRef]
- Steele, C.D.; Abbasi, A.; Islam, S.M.A.; Bowes, A.L.; Khandekar, A.; Haase, K.; Hames-Fathi, S.; Ajayi, D.; Verfaillie, A.; Dhami, P.; et al. Signatures of copy number alterations in human cancer. Nature 2022, 606, 984–991. [Google Scholar] [CrossRef]



| Chr | Cytoband | Start | Stop | #Probes | Amplification | Deletion | Gene Names (Partial List) | Notes |
|---|---|---|---|---|---|---|---|---|
| chr5 | p15.33–p13.3 | 22149 | 32688654 | 2140 | 0 | −0.94386 | PLEKHG4B, LRRC14B, CCDC127, SDHA, PCDG6, AHRR, LOC100301782, SOF55, EXOC3, LOC25845, SLC9A3, CEP72, TPPP, ZDHHC11, BRD9, TRIP13, NKD2, SLC12A7, SLC6A19, SLC6A18, TERT, CLPTM1L, SLC6A3, LPCAT1, SDHAP1, LOC728613, MRPL36, NDUFS, IK2A, IRX2, C5orf83, IRX1, LOC340094, ADAMTS16, MCM9, FLJ33360, MED10, UBE2QL1, LOC55167, NSUN2, SRD5A1, PAPD7, ADYC2, SOF249, FASTK, TMRC, SEMASA, SNORD123, TAS2R1, LOC285692, FAM173B, CCT5, CHML, MARCHE, ROH1, ZNRD3B, DAPT, CTNND2, DNAH5, TRIO, FAM105A, FAM105B, ANKH, FBLX7, MARCH11, ZNF622, FAM134B, MYO10, LOC285696, BASP1, CHD18, LOC728411, CDH12, PMCH1L, PRDM9, CDH10, CDH9, DNHD6, RANSE, C5orf22, PDDZ, GOLPH3, MTMR12, ZFR, SUB1 | Present also in blood sample. Related to Cri-du-chat Synd |
| chr7 | p15.2 | 26888579 | 26916319 | 5 | 0.89805 | 0 | SKAP2 | Amplification present also in blood sample. Not present in Database of Genomic Variants. |
| chr8 | q21.3–q23.3 | 90138085 | 116409381 | 2001 | 0 | −0.499885 | RIPK2, OSGIN2, NBN, DECR1, CALB1, TMEM64, NECAB1, TMEM55A, OTUD6B, LRRC59, SLC26A7, RUNX1T1, C8orf83, FAM92A1, RBM12B, SOF389, TMEM67, PDP1, CDH17, GEM, RAD54B, KIAA1492, ESRP1, PGR19L4, INTS8, CCNE2, TP53INP1, C8orf83, PLEKHF2, C8orf34, GDF6, UBAC2, MTREFD1, DPT, PTPSD3, SDCC, PCPG, FSOF5, TFSY5, MTDH, LAPTM4B, MATN2, RIPLO, SONORA72, C8orf47, HRSRIP, POP1, NIPLA2, KCN2, STK3, OSR2, YSP318, MIRS99, MIRS75, C00XC, RGS22, FBXO43, POLR2K, SPAG1, RNF19A, ANK846, SNX31, PAPBC1, WHAC, ZNF706, NACAP1, GHRL2, NALCD, RRM2B, UBRS, ODF1, KLF10, AZIN1, ATP6V1, C8orf56, LABP, ZC6, CTHRC1, SLC25A2, DCAF13, RIMS2, TM75A4, DPYS, LRIP12, F2PM2, OXRI, ABRA, ANPG11, PSF02, EFR13C, TS6S, TMEM74, TRHR, NUCD81, ENY2, PKHD11A, EBA9, GOLYSN, KCNV1, C5MD3, MIR2053 | Deletion present ONLY in tumor sample. Estimated percentage of cells: 57%. |
| chr10 | q11.22 | 46158156 | 48115525 | 43 | 0 | −0.40818 | ANUBL1, FAM21C, AGAP4, PTPN20B, PTPN20A, BMS1P5, BMS1P1, FAM35B, STY15, GPRIN2, PYRY1, LOC728643, ANXA8, ANXA8L1, FAM25B, FAM25C, FAM25G, LOC64826, FAM35B2, ANTXRL, ANXA8L2, FAM21B | Deletion present also in blood sample. Only partially reported in Database of Genomic Variants. |
| chr14 | q21.3 | 47937337 | 47974893 | 6 | 0 | −0.977033 | MDGA2 | Deletion present also in blood sample. Not present in Database of Genomic Variants. |
| Genes | Genotype | Mutation Type |
|---|---|---|
| CHRNA3; | Autosomal recessive | in frame deletion |
| ZNF254; AHRR *; | missense | |
| CACNA1B; | splice variant | |
| USP9X; TEX11; | X-linked recessive | splice variant |
| PLP2; VSIG4; RTL4; | missense | |
| OR10V1; RBM19; TMEM132C; TTN; PLEC; | Compound Heterozygote | missense |
| MAGI3 ^; | de novo | missense/splice variant |
| FRAT2; ACSS3; C12orf49; TTLL13P; PDP2; TTC38 ^; SPTBN4; MROH5; GRIPAP1; TF3; DOCK11; | de novo | 1 missense |
| TRMT1L; CFAP46; BRAP; LLGL2; CDH10 *; BRD8; | de novo | splice variant |
| KDM2B; RABEP2; SLC8A2; POU3F3; MAPK1; CRHBP; CNKSR2; LRCH2; | de novo | in frame deletion |
| CSMD2; G2E3 ^; WIZ; NR1H2; STAB1; KLF8; | de novo | frameshift |
Disclaimer/Publisher’s Note: The statements, opinions and data contained in all publications are solely those of the individual author(s) and contributor(s) and not of MDPI and/or the editor(s). MDPI and/or the editor(s) disclaim responsibility for any injury to people or property resulting from any ideas, methods, instructions or products referred to in the content. |
© 2024 by the authors. Licensee MDPI, Basel, Switzerland. This article is an open access article distributed under the terms and conditions of the Creative Commons Attribution (CC BY) license (https://creativecommons.org/licenses/by/4.0/).
Share and Cite
Danesino, C.; Biglioli, F.; Moneghini, L.; Valli, R.; Olivieri, C.; Testa, B.; Baldo, C.; Malacarne, M.; Guala, A. Pleomorphic Parotid Adenoma in a Child Affected with Cri du Chat Syndrome: Clinical, Cytogenetic, and Molecular Analysis. Int. J. Mol. Sci. 2024, 25, 10664. https://doi.org/10.3390/ijms251910664
Danesino C, Biglioli F, Moneghini L, Valli R, Olivieri C, Testa B, Baldo C, Malacarne M, Guala A. Pleomorphic Parotid Adenoma in a Child Affected with Cri du Chat Syndrome: Clinical, Cytogenetic, and Molecular Analysis. International Journal of Molecular Sciences. 2024; 25(19):10664. https://doi.org/10.3390/ijms251910664
Chicago/Turabian StyleDanesino, Cesare, Federico Biglioli, Laura Moneghini, Roberto Valli, Carla Olivieri, Barbara Testa, Chiara Baldo, Michela Malacarne, and Andrea Guala. 2024. "Pleomorphic Parotid Adenoma in a Child Affected with Cri du Chat Syndrome: Clinical, Cytogenetic, and Molecular Analysis" International Journal of Molecular Sciences 25, no. 19: 10664. https://doi.org/10.3390/ijms251910664
APA StyleDanesino, C., Biglioli, F., Moneghini, L., Valli, R., Olivieri, C., Testa, B., Baldo, C., Malacarne, M., & Guala, A. (2024). Pleomorphic Parotid Adenoma in a Child Affected with Cri du Chat Syndrome: Clinical, Cytogenetic, and Molecular Analysis. International Journal of Molecular Sciences, 25(19), 10664. https://doi.org/10.3390/ijms251910664

