NgAP2a Targets KCS Gene to Promote Lipid Accumulation in Nannochloropsis gaditana
Abstract
1. Introduction
2. Results
2.1. Expression Vector Construction of NgAP2a
2.2. NgAP2a Up-Regulated the Expression of Lipid-Related Genes
2.3. Chip Analysis Demonstrated the Role of NgAP2a in Governing the Expression of Key Genes in Lipid Metabolism
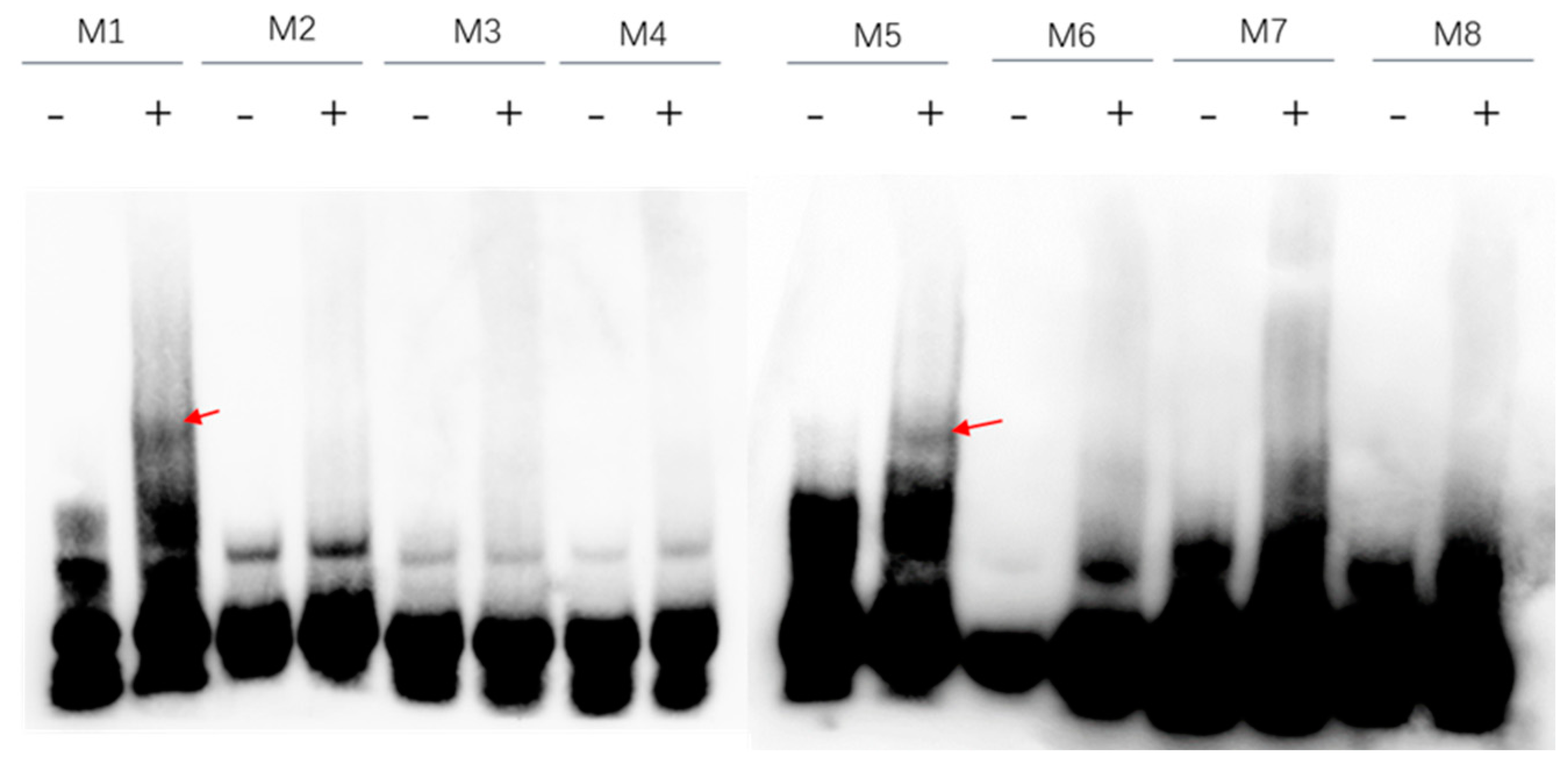
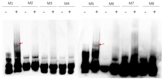
2.4. Identification of DNA Motifs for NgAP2a Binding
2.5. Target Gene Analysis for NgAP2a Binding
3. Discussion
4. Materials and Method
4.1. Microalgae Culture Conditions
4.2. Construction of NgAP2a Expression Vector
4.3. Molecular Identification of Transformants
4.4. Analysis of Growth and Photosynthetic Efficiency
4.5. Analysis of Neutral Lipids and Fatty Acid Profile
4.6. Measurement of Carbohydrate and Protein Content
4.7. mRNA-Seq and Metabolomics
4.8. Chip-Seq and EMSA
5. Conclusions
Supplementary Materials
Author Contributions
Funding
Institutional Review Board Statement
Informed Consent Statement
Data Availability Statement
Acknowledgments
Conflicts of Interest
References
- Raven, J.A.; Falkowski, P.G. Oceanic sinks for atmospheric CO2. Plant Cell Environ. 1999, 22, 741–755. [Google Scholar] [CrossRef]
- Koller, M.; Muhr, A.; Braunegg, G. Microalgae as versatile cellular factories for valued products. Algal Res. 2014, 6, 52–63. [Google Scholar] [CrossRef]
- Sathasivam, R.; Radhakrishnan, R.; Hashem, A.; Allah, E.F.A. Microalgae metabolites: A rich source for food and medicine. Saudi J. Biol. Sci. 2019, 26, 709–722. [Google Scholar] [CrossRef]
- Conde, T.A.; Neves, B.F.; Couto, D.; Melo, T.; Neves, B.; Costa, M.; Silva, J.; Domingues, P.; Domingues, M.R. Microalgae as Sustainable Bio-Factories of Healthy Lipids: Evaluating Fatty Acid Content and Antioxidant Activity. Mar. Drugs 2021, 19, 357. [Google Scholar] [CrossRef]
- Pietrasik, S.; Cichon, N.; Bijak, M.; Gorniak, L.; Saluk-Bijak, J. Carotenoids from Marine Sources as a New Approach in Neuroplasticity Enhancement. Int. J. Mol. Sci. 2022, 23, 1990. [Google Scholar] [CrossRef]
- Thomas, J.; Thomas, C.J.; Radcliffe, J.; Itsiopoulos, C. Omega-3 Fatty Acids in Early Prevention of Inflammatory Neurodegenerative Disease: A Focus on Alzheimer’s Disease. BioMed Res. Int. 2015, 2015, 172801. [Google Scholar] [CrossRef]
- Wells, M.L.; Potin, P.; Craigie, J.S.; Raven, J.; Merchant, S.S.; Helliwell, K.E.; Smith, A.G.; Camire, M.E.; Brawley, S.H. Algae as nutritional and functional food sources: Revisiting our understanding. J. Appl. Phycol. 2017, 29, 949–982. [Google Scholar] [CrossRef]
- Mohan, K.; Ravichandran, S.; Muralisankar, T.; Uthayakumar, V.; Chandirasekar, R.; Seedevi, P.; Abirami, R.G.; Rajan, D.K. Application of marine-derived polysaccharides as immunostimulants in aquaculture: A review of current knowledge and further perspectives. Fish Shellfish Immunol. 2019, 86, 1177–1193. [Google Scholar] [CrossRef]
- Liu, J.; Liu, M.; Pan, Y.; Shi, Y.; Hu, H. Metabolic engineering of the oleaginous alga Nannochloropsis for enriching eicosapentaenoic acid in triacylglycerol by combined pulling and pushing strategies. Metab. Eng. 2022, 69, 163–174. [Google Scholar] [CrossRef]
- Ajjawi, I.; Verruto, J.; Aqui, M.; Soriaga, L.B.; Coppersmith, J.; Kwok, K.; Peach, L.; Orchard, E.; Kalb, R.; Xu, W.; et al. Lipid production in Nannochloropsis gaditana is doubled by decreasing expression of a single transcriptional regulator. Nat. Biotechnol. 2017, 35, 647–652. [Google Scholar] [CrossRef]
- Zhang, P.; Xin, Y.; He, Y.; Tang, X.; Shen, C.; Wang, Q.; Lv, N.; Li, Y.; Hu, Q.; Xu, J. Exploring a blue-light-sensing transcription factor to double the peak productivity of oil in Nannochloropsis oceanica. Nat. Commun. 2022, 13, 1664. [Google Scholar] [CrossRef]
- Wang, Q.; Feng, Y.; Lu, Y.; Xin, Y.; Shen, C.; Wei, L.; Liu, Y.; Lv, N.; Du, X.; Zhu, W.; et al. Manipulating fatty-acid profile at unit chain-length resolution in the model industrial oleaginous microalgae Nannochloropsis. Metab. Eng. 2021, 66, 157–166. [Google Scholar] [CrossRef]
- Ye, Y.; Liu, M.; Yu, L.; Sun, H.; Liu, J. Nannochloropsis as an Emerging Algal Chassis for Light-Driven Synthesis of Lipids and High-Value Products. Mar. Drugs 2024, 22, 54. [Google Scholar] [CrossRef]
- Han, X.; Song, X.; Li, F.; Lu, Y. Improving lipid productivity by engineering a control-knob gene in the oleaginous microalga Nannochloropsis oceanica. Metab. Eng. Commun. 2020, 11, e00142. [Google Scholar] [CrossRef]
- Xue, J.; Chen, T.T.; Zheng, J.W.; Balamurugan, S.; Liu, Y.H.; Yang, W.D.; Liu, J.S.; Li, H.Y. Glucose-6-Phosphate Dehydrogenase from the Oleaginous Microalgae Nannochloropsis Uncovers Its Potential Role in Promoting Lipogenesis. Biotechnol. J. 2019, 15, 1900135. [Google Scholar]
- Dinamarca, J.; Levitan, O.; Kumaraswamy, G.K.; Lun, D.S.; Falkowski, P.G. Overexpression of a diacylglycerol acyltransferase gene in Phaeodactylum tricornutum directs carbon towards lipid biosynthesis. J. Phycol. 2017, 53, 405–414. [Google Scholar] [CrossRef]
- Li, D.W.; Cen, S.Y.; Liu, Y.H.; Balamurugan, S.; Zheng, X.Y.; Alimujiang, A.; Yang, W.D.; Liu, J.S.; Li, H.Y. A type 2 diacylglycerol acyltransferase accelerates the triacylglycerol biosynthesis in heterokont oleaginous microalga Nannochloropsis oceanica. J. Biotechnol. 2016, 229, 65–71. [Google Scholar] [CrossRef]
- Hu, J.; Wang, D.; Li, J.; Jing, G.; Ning, K.; Xu, J. Genome-wide identification of transcription factors and transcription-factor binding sites in oleaginous microalgae Nannochloropsis. Sci. Rep. 2015, 4, 5454. [Google Scholar] [CrossRef]
- Arias, C.L.; Quach, T.; Huynh, T.; Nguyen, H.; Moretti, A.; Shi, Y.; Guo, M.; Rasoul, A.; Van, K.; McHale, L.; et al. Expression of AtWRI1 and AtDGAT1 during soybean embryo development influences oil and carbohydrate metabolism. Plant Biotechnol. J. 2022, 20, 1327–1345. [Google Scholar] [CrossRef]
- Xing, G.; Li, J.; Li, W.; Lam, S.M.; Yuan, H.; Shui, G.; Yang, J. AP2/ERF and R2R3-MYB family transcription factors: Potential associations between temperature stress and lipid metabolism in Auxenochlorella protothecoides. Biotechnol. Biofuels 2021, 14, 22. [Google Scholar] [CrossRef]
- Feng, K.; Hou, X.L.; Xing, G.M.; Liu, J.X.; Duan, A.Q.; Xu, Z.S.; Li, M.Y.; Zhuang, J.; Xiong, A.S. Advances in AP2/ERF super-family transcription factors in plant. Crit. Rev. Biotechnol. 2020, 40, 750–776. [Google Scholar] [CrossRef]
- Maeo, K.; Tokuda, T.; Ayame, A.; Mitsui, N.; Kawai, T.; Tsukagoshi, H.; Ishiguro, S.; Nakamura, K. An AP2-type transcription factor, WRINKLED1, of Arabidopsis thaliana binds to the AW-box sequence conserved among proximal upstream regions of genes involved in fatty acid synthesis. Plant J. 2009, 60, 476–487. [Google Scholar] [CrossRef]
- Baud, S.; Wuilleme, S.; To, A.; Rochat, C.; Lepiniec, L. Role of WRINKLED1 in the transcriptional regulation of glycolytic and fatty acid biosynthetic genes in Arabidopsis. Plant J. 2009, 60, 933–947. [Google Scholar] [CrossRef]
- Südfeld, C.; Hubacek, M.; Figueiredo, D.; Naduthodi, M.I.S.; van Oost, J.; Wijffels, R.H.; Barbosa, M.J.; Adamo, S.D. High-throughput insertional mutagenesis reveals novel targets for enhancing lipid accumulation in Nannochloropsis oceanica. Metab. Eng. 2021, 66, 239–258. [Google Scholar] [CrossRef]
- Kang, N.K.; Kim, E.K.; Kim, Y.U.; Lee, B.; Jeong, W.J.; Jeong, B.R.; Chang, Y.K. Increased lipid production by heterologous expression of AtWRI1 transcription factor in Nannochloropsis salina. Biotechnol. Biofuels 2017, 10, 231. [Google Scholar] [CrossRef]
- Chen, L.; Zheng, Y.; Dong, Z.; Meng, F.; Sun, X.; Fan, X.; Zhang, Y.; Wang, M.; Wang, S. Soybean (Glycine max) WRINKLED1 transcription factor, GmWRI1a, positively regulates seed oil accumulation. Mol. Genet. Genom. 2018, 293, 401–415. [Google Scholar] [CrossRef]
- Vogel, P.A.; Noyer, S.B.; Park, H.; Nguyen, H.; Hou, L.; Changa, T.; Khang, H.L.; Ciftci, O.N.; Wang, T.; Cahoon, E.B.; et al. Expression of the Arabidopsis WRINKLED1 transcription factor leads to higher accumulation of palmitate in soybean seed. Plant Biotechnol. J. 2019, 17, 1369–1379. [Google Scholar] [CrossRef]
- Focks, N.; Benning, C. wrinkled1: A Novel, Low-Seed-Oil Mutant of Arabidopsis with a Deficiency in the Seed-Specific Regulation of Carbohydrate Metabolism. Plant Physiol. 1998, 118, 91–101. [Google Scholar] [CrossRef]
- Liu, H.; Zhai, Z.; Kuczynski, K.; Keereetaweep, J.; Schwender, J.; Shanklin, J. WRINKLED1 Regulates BIOTIN ATTACHMENT DOMAIN-CONTAINING Proteins that Inhibit Fatty Acid Synthesis. Plant Physiol. 2019, 181, 55–62. [Google Scholar] [CrossRef]
- Fukuda, N.; Ikawa, Y.; Aoyagi, T.; Kozaki, A. Expression of the genes coding for plastidic acetyl-CoA carboxylase subunits is regulated by a location-sensitive transcription factor binding site. Plant Mol. Biol. 2013, 82, 473–483. [Google Scholar] [CrossRef]
- Li, D.W.; Balamurugan, S.; Yang, Y.F.; Zheng, J.W.; Huang, D.; Zou, L.G.; Yang, W.D.; Liu, J.S.; Guan, Y.; Li, H.Y. Transcriptional regulation of microalgae for concurrent lipid overproduction and secretion. Sci. Adv. 2019, 5, eaau3795. [Google Scholar] [CrossRef]
- Ohto, M.; Fischer, R.L.; Goldberg, R.B.; Kenzo, N.; Harada, J.J. Control of seed mass by APETALA2. Proc. Natl. Acad. Sci. USA 2005, 102, 3123–3128. [Google Scholar] [CrossRef]
- Liu, W.Y.; Lin, H.H.; Yu, C.P.; Chang, C.K.; Chen, H.J.; Lin, J.J.; Lu, M.Y.J.; Tu, S.L.; Shiu, S.H.; Wu, S.H.; et al. Maize ANT1 modulates vascular development, chloroplast development, photosynthesis, and plant growth. Proc. Natl. Acad. Sci. USA 2020, 117, 21747–21756. [Google Scholar] [CrossRef]
- van Erp, H.; Kelly, A.A.; Menard, G.; Eastmond, P.J. Multigene engineering of triacylglycerol metabolism boosts seed oil content in Arabidopsis. Plant Physiol. 2014, 165, 30–36. [Google Scholar] [CrossRef]
- Fei, W.; Yang, S.; Hu, J.; Yang, F.; Qu, G.; Peng, D.; Zhou, B. Research advances of WRINKLED1 (WRI1) in plants. Funct. Plant Biol. 2020, 47, 185–194. [Google Scholar] [CrossRef]
- Archibald, J.M. The Evolution of Algae by Secondary and Tertiary Endosymbiosis. Adv. Bot. Res. 2012, 64, 87–118. [Google Scholar]
- Lindner, S.E.; Silva, E.D.; Kech, J.; Llinas, M. Structural Determinants of DNA Binding by a P. falciparum ApiAP2 Transcriptional Regulator. J. Mol. Biol. 2010, 395, 558–567. [Google Scholar] [CrossRef]
- Oberstaller, J.; Pumpalova, Y.; Schieler, A.; Llinas, M.; Kissinger, J.C. The Cryptosporidium parvum ApiAP2 gene family: Insights into the evolution of apicomplexan AP2 regulatory systems. Nucleic Acids Res. 2014, 42, 8271–8284. [Google Scholar] [CrossRef]
- Magnani, E.; Sjölander, k.; Hake, S. From Endonucleases to Transcription Factors: Evolution of the AP2 DNA Binding Domain in Plants. Plant Cell 2004, 16, 2265–2277. [Google Scholar] [CrossRef]
- Li, F.; Gao, D.; Hu, H. High-efficiency nuclear transformation of the oleaginous marine Nannochloropsis species using PCR product. Biosci. Biotechnol. Biochem. 2014, 78, 812–817. [Google Scholar] [CrossRef]
- Livak, K.J.; Schmittgen, T.D. Analysis of relative gene expression data using real-time quantitative PCR and the 2(T)(-Delta Delta C) method. Methods 2001, 25, 402–408. [Google Scholar] [CrossRef] [PubMed]
- Lin, Y.; Dai, Y.; Xu, W.; Wu, X.; Li, Y.; Zhu, H.; Zhou, H. The Growth, Lipid Accumulation and Fatty Acid Profile Analysis by Abscisic Acid and Indol-3-Acetic Acid Induced in Chlorella sp. FACHB-8. Int. J. Mol. Sci. 2022, 23, 4064. [Google Scholar] [CrossRef] [PubMed]
- Wei, L.; Xu, J. Optimized methods of chromatin immunoprecipitation for profiling histone modifications in industrial microalgae Nannochloropsis spp. J. Phycol. 2018, 54, 358–367. [Google Scholar] [CrossRef] [PubMed]






| Name | Motif | Best Match | p Value | % of Targets |
|---|---|---|---|---|
| M1 | TCTGCAAAGCYC | At2g41835(C2H2)/col-At2g41835-DAP-Seq(GSE60143)/Homer(0.692) | 1.00 × 10−13 | 1.96 |
| M2 | TCGTCAACCC | WRKY62/MA1091.1/Jaspar(0.760) | 1 × 10−13 | 13.09 |
| M3 | CTTGGGCAAA | PB0133.1_Hic1_2/Jaspar(0.737) | 1 × 10−13 | 9.57 |
| M4 | CAGCCGAAAC | PDR1/PDR1_YPD/(Harbison)/Yeast | 1 × 10−12 | 1.35 |
| M5 | ATACCGCAAGTA | RUNX2/MA0511.2/Jaspar | 1 × 10−12 | 0.41 |
| M6 | GGGAGACTTC | LIN28A(CSD,Znf)/Homo_sapiens-RNCMPT00036-PBM/HughesRNA | 1 × 10−11 | 31.88 |
| M7 | CCTTCAGCDTGG | Tb_0230(RRM)/Trypanosoma_brucei-RNCMPT00230-PBM/HughesRNA(0.638) | 1 × 10−11 | 0.32 |
| M8 | AAAAACCTATGG | SRS7(SRS)/colamp-SRS7-DAP-Seq(GSE60143)/Homer(0.685) | 1 × 10−12 | 2.37 |
Disclaimer/Publisher’s Note: The statements, opinions and data contained in all publications are solely those of the individual author(s) and contributor(s) and not of MDPI and/or the editor(s). MDPI and/or the editor(s) disclaim responsibility for any injury to people or property resulting from any ideas, methods, instructions or products referred to in the content. |
© 2024 by the authors. Licensee MDPI, Basel, Switzerland. This article is an open access article distributed under the terms and conditions of the Creative Commons Attribution (CC BY) license (https://creativecommons.org/licenses/by/4.0/).
Share and Cite
Lin, Y.; Li, Y.; Wu, X.; Xu, W.; Zhang, Z.; Zhu, H.; Zhou, H. NgAP2a Targets KCS Gene to Promote Lipid Accumulation in Nannochloropsis gaditana. Int. J. Mol. Sci. 2024, 25, 10305. https://doi.org/10.3390/ijms251910305
Lin Y, Li Y, Wu X, Xu W, Zhang Z, Zhu H, Zhou H. NgAP2a Targets KCS Gene to Promote Lipid Accumulation in Nannochloropsis gaditana. International Journal of Molecular Sciences. 2024; 25(19):10305. https://doi.org/10.3390/ijms251910305
Chicago/Turabian StyleLin, Yihua, Yanyan Li, Xiaobin Wu, Weinan Xu, Zhengying Zhang, Hongmei Zhu, and Hantao Zhou. 2024. "NgAP2a Targets KCS Gene to Promote Lipid Accumulation in Nannochloropsis gaditana" International Journal of Molecular Sciences 25, no. 19: 10305. https://doi.org/10.3390/ijms251910305
APA StyleLin, Y., Li, Y., Wu, X., Xu, W., Zhang, Z., Zhu, H., & Zhou, H. (2024). NgAP2a Targets KCS Gene to Promote Lipid Accumulation in Nannochloropsis gaditana. International Journal of Molecular Sciences, 25(19), 10305. https://doi.org/10.3390/ijms251910305

