The Furin Protease Dependence and Antiviral GBP2 Sensitivity of Murine Leukemia Virus Infection Are Determined by the Amino Acid Sequence at the Envelope Glycoprotein Cleavage Site
Abstract
1. Introduction
2. Results
2.1. GBP2 Does Not Inhibit Transduction by Amphotropic MLV-Pseudotyped HIV-1 Vector
2.2. X-MLV and A-MLV Are Resistant to GBP2, but E-MLV and P-MLV Are Susceptible
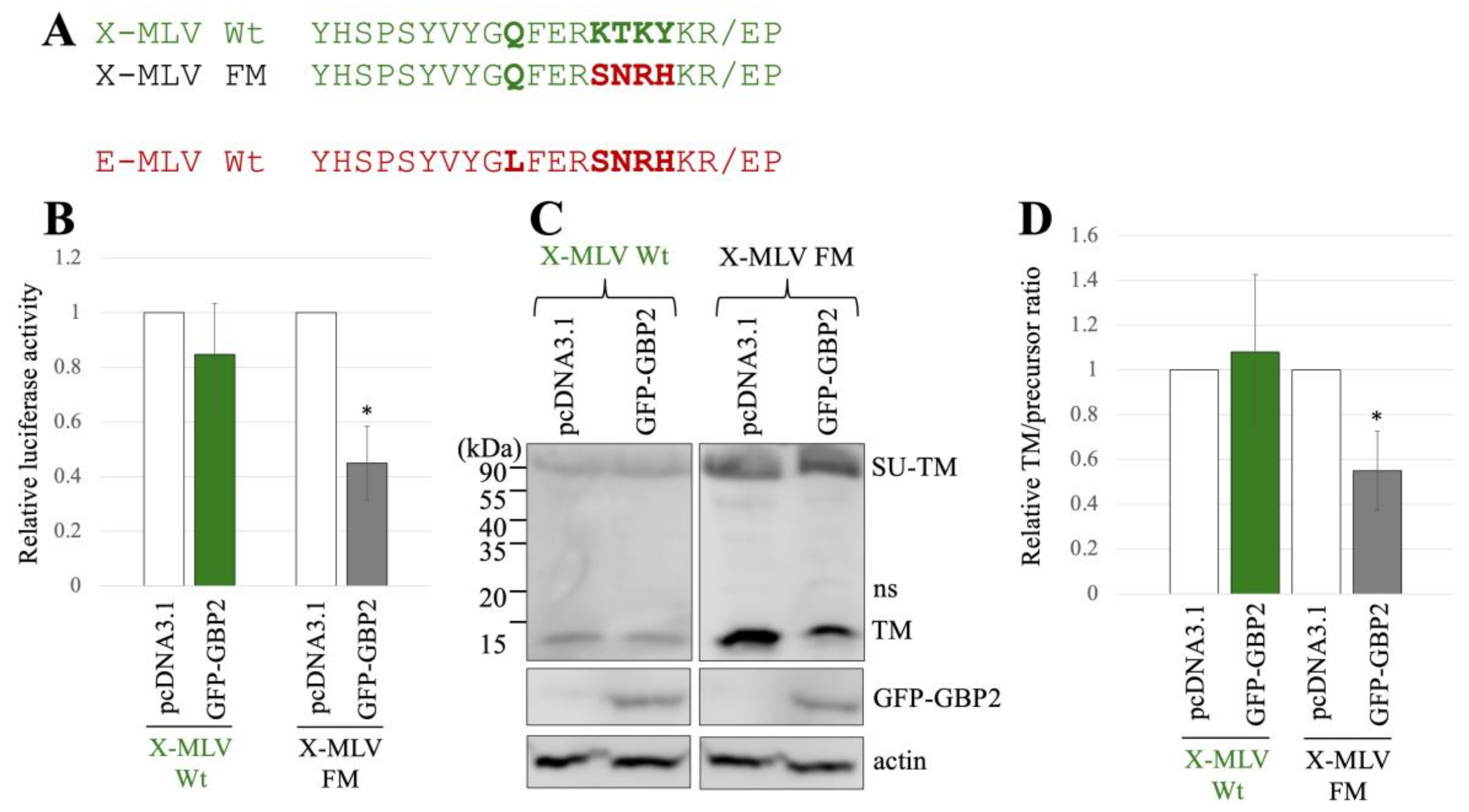
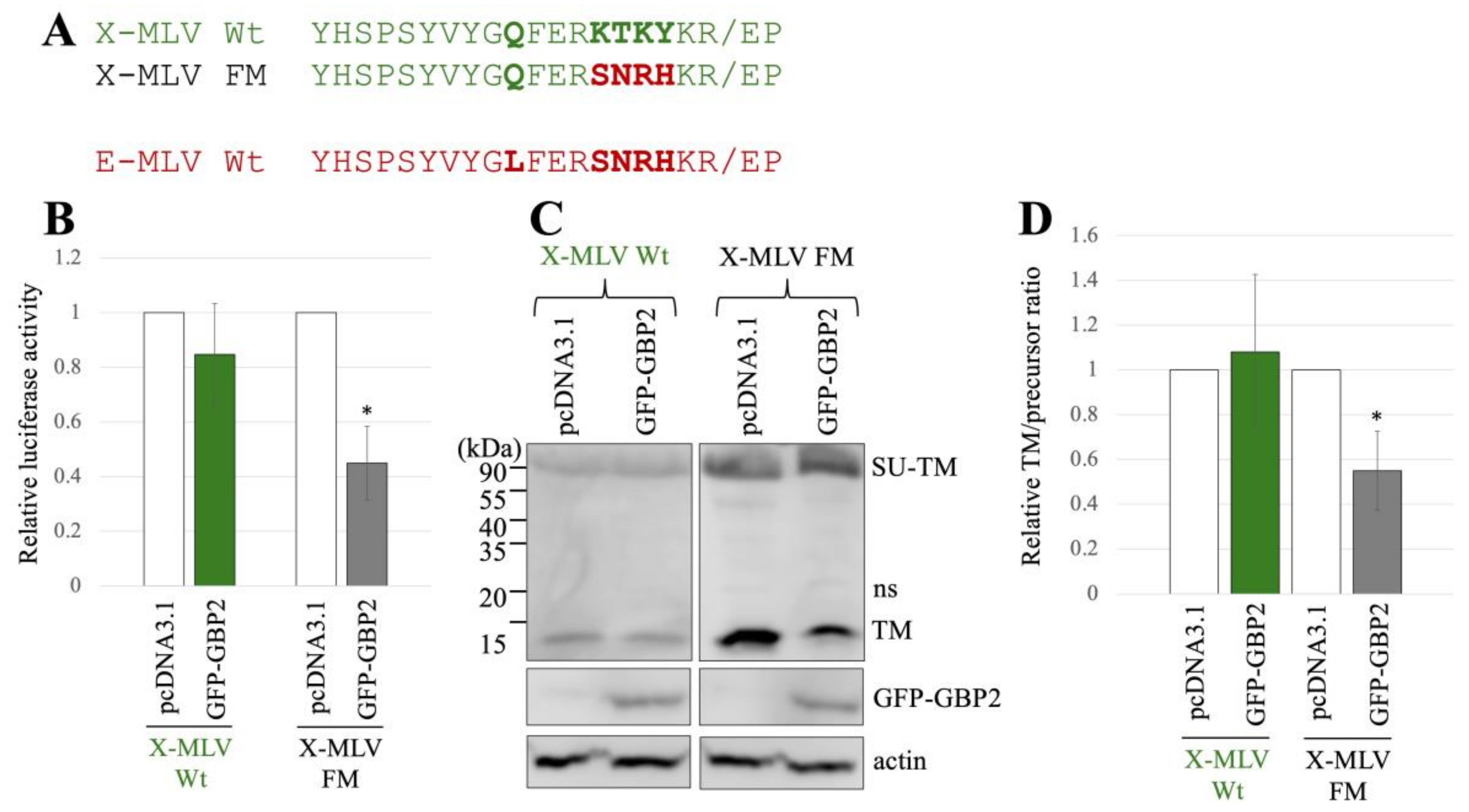
2.3. The Susceptibility of GBP2 Is Determined by the Amino Acid Sequence at the SU-TM Cleavage Site
2.4. The Susceptibility to Furin Silencing Is Determined by the Amino Acid Sequence at the SU-TM Cleavage Site
2.5. Amino Acid Sequences at the SU-TM Cleavage Sites of Different MLVs
3. Discussion
4. Materials and Methods
4.1. Cells
4.2. A-MLV-Pseudotyped HIV-1-Based Vector
4.3. MLV-Based Vector
4.4. Western Blotting
4.5. Site-Directed Mutagenesis
| Primers | Nucleotide Sequences |
|---|---|
| E-MLV FM | CTG TTT GAG AGA AAA ACC AAA TAT AAA AGA GAG CCG |
| X-MLV FM | CAA TTT GAG AGA AGC AAC AGA CAT AAA AGA GAG CCG |
5. Conclusions
Author Contributions
Funding
Data Availability Statement
Acknowledgments
Conflicts of Interest
References
- Lee, C.R.; Cervi, D.; Truong, A.H.; Li, Y.J.; Sarkar, A.; Ben-David, Y. Friend virus-induced erythroleukemias: A unique and well-defined mouse model for the development of leukemia. Anticancer. Res. 2003, 23, 2159–2166. [Google Scholar]
- Yetter, R.A.; Buller, R.M.; Lee, J.S.; Elkins, K.L.; Mosier, D.E.; Fredrickson, T.N.; Morse, H.C., 3rd. CD4+ T cells are required for development of a murine retrovirus-induced immunodeficiency syndrome (MAIDS). J. Exp. Med. 1988, 168, 623–635. [Google Scholar] [CrossRef] [PubMed]
- Kubo, Y.; Kakimi, K.; Higo, K.; Kobayashi, H.; Ono, T.; Iwama, Y.; Kuribayashi, K.; Hiai, H.; Adachi, A.; Ishimoto, A. Possible origin of murine AIDS (MAIDS) virus: Conversion of an endogenous retroviral p12gag sequence to a MAIDS-inducing sequence by frameshift mutations. J. Virol. 1996, 70, 6405–6409. [Google Scholar] [CrossRef] [PubMed]
- Carter, J.J.; Gardner, J.M.; Poling, B.P.; Welch, M.M.; Nemeno, J.G.E.; Houghton, J.E.; Dix, R.D. Transcriptional analysis of immune response genes during pathogenesis of cytomegalovirus retinitis in mice with murine acquired immunodeficiency syndrome. PLoS Pathog. 2020, 16, e1009032. [Google Scholar] [CrossRef] [PubMed]
- Peterson, K.E.; Chesebro, B. Influence of proinflammatory cytokines and chemokines on the neuropathigenesis of oncornavirus and immunosuppressive lentivirus infections. Curr. Top. Microbiol. Immunol. 2006, 303, 67–95. [Google Scholar] [PubMed]
- Maetzig, T.; Galla, M.; Baum, C.; Schambach, A. Gammaretroviral vectors: Biology, technology and application. Viruses 2011, 3, 677–713. [Google Scholar] [CrossRef] [PubMed]
- Hogan, V.; Johnson, W.E. Unique structure and distinctive properties of the ancient and ubiquitous gamma-type envelope glycoprotein. Viruses 2023, 15, 274. [Google Scholar] [CrossRef]
- Sjoberg, M.; Wu, S.R.; Loving, R.; Rantalainen, K.; Lindqvist, B.; Garoff, H. Furin cleavage of the Moloney murine leukemia virus Env precursor recognizes the spike structure. Proc. Natl. Acad. Sci. USA 2014, 111, 6034–6039. [Google Scholar] [CrossRef]
- Freed, E.O.; Risser, R. The role of envelope glycoprotein processing in murine leukemia virus infection. J. Virol. 1987, 61, 2852–2856. [Google Scholar] [CrossRef]
- Machida, C.A.; Kabat, D. Role of partial proteolysis in processing murine leukemia virus membrane envelope glycoproteins to the cell surface. A viral mutant with uncleaved glycoprotein. J. Biol. Chem. 1982, 257, 14018–14022. [Google Scholar] [CrossRef]
- Zavorotinskaya, T.; Albriton, L.M. Failure to cleave murine leukemia virus envelope protein does not preclude its incorporation in virions and productive virus-receptor interaction. J. Virol. 1999, 73, 5621–5629. [Google Scholar] [CrossRef] [PubMed]
- Boso, G.; Lam, O.; Bamunusinghe, D.; Oler, A.J.; Wollenberg, K.; Liu, Q.; Shaffer, E.; Kozak, C.A. Patterns of coevolutionary adaptations across time ans space in mouse gammaretroviruses and three restrictive host factors. Viruses 2021, 13, 1864. [Google Scholar] [CrossRef] [PubMed]
- Albritton, L.M.; Tseng, L.; Scadden, D.; Cunningham, J.M. A putative murine ecotropic retrovirus receptor gene encodes a multiple membrane-spanning protein and confers susceptibility to virus infection. Cell 1989, 57, 659–666. [Google Scholar] [CrossRef] [PubMed]
- Kim, J.M.; Closs, E.I.; Albritton, L.M.; Cummingham, J.M. Transport of cationic amino acids by the mouse ecotropic retrovirus receptor. Nature 1991, 352, 725–728. [Google Scholar] [CrossRef]
- Wang, H.; Kavanaugh, M.P.; North, R.A.; Kabat, D. Cell-surface receptor for ecotropic murine retrovirus is a basic amino-acid transpoter. Nature 1991, 352, 729–731. [Google Scholar] [CrossRef] [PubMed]
- Miller, D.G.; Edwards, R.H.; Miller, A.D. Cloning of the cellular receptor for amphotropic murine retroviruses reveals homology to that for gibbon ape leukemia virus. Proc. Natl. Acad. Sci. USA 1994, 91, 78–82. [Google Scholar] [CrossRef]
- van Zeijl, M.; Johann, S.V.; Closs, E.; Cunningham, J.; Eddy, R.; Shows, T.B.; O’Hara, B. A human amphotropic retrovirus receptor is a second member of the gibbon ape leukemia virus receptor family. Proc. Natl. Acad. Sci. USA 1994, 91, 1168–1172. [Google Scholar] [CrossRef]
- Kavanaugh, M.P.; Miller, D.G.; Zhang, W.; Law, W.; Kozak, S.L.; Kabat, D.; Miller, A.D. Cell-surface receptors for gibbon ape leukemia virus and amphotropic murine retrovirus are inducible sodium-dependent phosphate symporters. Proc. Natl. Acad. Sci. USA 1994, 91, 7071–7075. [Google Scholar] [CrossRef]
- Tailor, C.S.; Nouri, A.; Lee, C.G.; Kozak, C.; Kabat, D. Cloning and characterization of a cell surface receptor for xenotropic and polytropic murine leukemia viruses. Proc. Natl. Acad. Sci. USA 1999, 96, 927–932. [Google Scholar] [CrossRef]
- Yang, Y.L.; Guo, L.; Xu, S.; Holland, C.A.; Kitamura, T.; Hunter, K.; Cunningham, J.M. Receptors for polytropic and xenotropic mouse leukaemia viruses encoded by a single gene at Rmc1. Nat. Genet. 1999, 21, 216–219. [Google Scholar] [CrossRef]
- Battini, J.L.; Rasko, J.E.; Miller, A.D. A human cell-surface receptor for xenotropic and polytropic murine leukemia viruses: Possible role in G protein-coupled signal transduction. Proc. Natl. Acad. Sci. USA 1999, 96, 1385–1390. [Google Scholar] [CrossRef] [PubMed]
- Kozak, C.A. The mouse “xenotropic” gammaretroviruses and their XPR1 receptor. Retrovirology 2010, 7, 101. [Google Scholar] [CrossRef] [PubMed]
- Giovannini, D.; Touhami, J.; Charnet, P.; Sitbon, M.; Battini, J.L. Inorganic phosphate export by the retrovirus receptor XPR1 in metazoans. Cell Rep. 2013, 3, 1866–1873. [Google Scholar] [CrossRef] [PubMed]
- Chen, W.C.; Li, Q.L.; Pan, Q.; Zhang, H.Y.; Fu, X.Y.; Yao, F.; Wang, J.N.; Yang, A.K. Xenotropic and polytropic retrovirus receptor 1 (XPR1) promotes progression to tongue squamous cell carcinoma (TSCC) via activation of NF-kappaB signaling. J. Exp. Clin. Cancer Res. 2019, 38, 167. [Google Scholar] [CrossRef] [PubMed]
- Pagani, I.; Demela, P.; Ghezzi, S.; Vicenzi, E.; Pizzato, M.; Poli, G. Host restriction factors modulating HIV latency and replication in macrophages. Int. J. Mol. Sci. 2022, 23, 3021. [Google Scholar] [CrossRef]
- Colomer-Lluch, M.; Ruiz, A.; Moris, A.; Prado, J.G. Restriction factors: From intrinsic viral restriction to shaping cellular immunity against HIV-1. Front. Immunol. 2018, 9, 2876. [Google Scholar] [CrossRef]
- Ghimire, D.; Rai, M.; Gaur, R. Novel host restriction factors implicated in HIV-1 replication. J. Gen. Virol. 2018, 99, 435–446. [Google Scholar] [CrossRef]
- Moran, E.A.; Ross, S.R. Insights into sensing of murine retroviruses. Viruses 2020, 12, 836. [Google Scholar] [CrossRef]
- Krapp, C.; Hotter, D.; Gawanbacht, A.; McLaren, P.J.; Kluge, S.F.; Sturzel, C.M.; Mack, K.; Reith, E.; Engelhart, S.; Ciuffi, A.; et al. Guanylate binding protein (GBP) 5 is an interferon-inducible inhibitor of HIV-1 infectivity. Cell Host Microbe 2016, 19, 504–514. [Google Scholar] [CrossRef]
- Hotter, D.; Sauter, D.; Kirchhoff, F. Guanylate binding protein 5: Impairing virion infectivity by targeting retroviral envelope glycoproteins. Small GTPases 2017, 8, 31–37. [Google Scholar] [CrossRef]
- Braun, E.; Hotter, D.; Koepke, L.; Zech, F.; GroB, R.; Sparrer, K.M.J.; Muller, J.A.; Pfaller, C.K.; Heusinger, E.; Wombacher, R.; et al. Guanylate-binding proteins 2 and 5 exert broad antiviral activity by inhibiting furin-mediated processing of viral envelope proteins. Cell Rep. 2019, 27, 2092–2104. [Google Scholar] [CrossRef] [PubMed]
- Gao, Z.; He, X.; Chen, G.; Fang, Y.; Meng, Z.; Tian, H.; Zhang, H.; Jing, Z. The viral protein poly(A) polymerase catalytic subunit interacts with guanylate-binding proteins 2 to antagonized the antiviral ability of targeting ectromelia virus. Int. J. Mol. Sci. 2023, 24, 15750. [Google Scholar] [CrossRef] [PubMed]
- Mesner, D.; Reuschl, A.K.; Whelan, M.V.X.; Bronzovich, T.; Haider, T.; Thorne, L.G.; Ragazzini, R.; Bonfanti, P.; Towers, G.J.; Jolly, C. SARS-CoV-2 evolution influenzes GBP and IFITM sensitivity. Proc. Natl. Acad. Sci. USA 2023, 120, e2212577120. [Google Scholar] [CrossRef] [PubMed]
- Glitscher, M.; Himmelsbach, K.; Woytinek, K.; Schollmeier, A.; Johne, R.; Praefcke, G.J.K.; Hildt, E. Identification of the interferon-inducible GTPase GBP1 as major restriction factor for the hepatitis E virus. J. Virol. 2021, 95, e01564-20. [Google Scholar] [CrossRef] [PubMed]
- Li, Z.; Qu, X.; Liu, X.; Huan, C.; Wang, H.; Zhao, Z.; Yang, X.; Hua, S.; Zhang, W. GBP5 is an interferon-induced inhibitor of respiratory syncytial virus. J. Virol. 2020, 94, e01407-20. [Google Scholar] [CrossRef]
- Tian, B.; Yuan, Y.; Yang, Y.; Luo, Z.; Sui, B.; Zhou, M.; Fu, Z.F.; Zhao, L. Interferon-inducible GTPase 1 impedes the dimerization of rabies virus phosphoprotein and restricts viral replication. J. Virol. 2020, 94, e012030-20. [Google Scholar] [CrossRef]
- Feng, J.; Cao, Z.; Wang, L.; Wan, Y.; Peng, N.; Wang, Q.; Chen, X.; Zhou, Y.; Zhu, Y. Inducible GBP5 mediates the antiviral response via interferon-related pathways during influenza A virus infection. J. Innate Immun. 2017, 9, 419–435. [Google Scholar] [CrossRef]
- Yu, P.; Li, Y.; Li, Y.; Miao, Z.; Peppelenbosch, M.P.; Pan, Q. Guanylate-binding protein 2 orchestrates innate immune responses against murine norovirus and is antagonized by the viral protein NS7. J. Biol. Chem. 2020, 295, 8036–8047. [Google Scholar] [CrossRef]
- Gu, T.; Yu, D.; Fan, Y.; Wu, Y.; Yao, Y.-L.; Xu, L.; Yao, Y.-G. Molecular identification and antiviral function of the guanylate-binding protein (GBP) genes in the Chinese tree shrew (Tupaia belangeri chinesis). Dev. Comp. Immunol. 2019, 96, 27–36. [Google Scholar] [CrossRef]
- Biering, S.B.; Choi, J.; Halstrom, R.A.; Brown, H.M.; Beatty, W.L.; Lee, S.; McCune, B.T.; Dominici, E.; Williams, L.E.; Orchard, R.C.; et al. Viral replication complexes are targeted by LC3-guided interferon-inducible GTPases. Cell Host Microbe 2017, 22, 74–85. [Google Scholar] [CrossRef]
- Zhang, K.; Xu, W.W.; Zhang, Z.; Liu, J.; Li, J.; Sun, L.; Sun, W.; Jiao, P.; Sang, X.; Ren, Z.; et al. The innate immunity of guinea pigs against highy pathogenic avian influenza virus infection. Oncotarget 2017, 8, 30422–30437. [Google Scholar] [CrossRef] [PubMed]
- Nordmann, A.; Wixler, L.; Boergeling, Y.; Wixler, V.; Ludwing, S. A new splice variant of the human guanylate-binding protein 3 mediates anti-influenza activity through inhibition of viral transcription and replication. FASEB J. 2012, 26, 1290–1300. [Google Scholar] [CrossRef] [PubMed]
- Carter, C.C.; Gorbacheva, V.Y.; Vestal, D.J. Inhibition of VSV and EMCV replication by the interferon-induced GTPase, mGBP-2: Differential requirement for wild-type GTP binding domain. Arch. Virol. 2005, 150, 1213–1220. [Google Scholar] [CrossRef] [PubMed]
- Kubo, Y.; Yasui, K.; Izumida, M.; Hayashi, H.; Matsuyama, T. IDO1, FAT10, IFI6, and GILT are involved in the antiretroviral activity of γ-interferon and IDO1 restricts retrovirus infection by autophagy enhancement. Cells 2022, 11, 2240. [Google Scholar] [CrossRef]
- Katane, M.; Takao, E.; Kubo, Y.; Fijita, R.; Amanima, H. Factors affecting the direct targeting of murine leukemia virus vectors containing peptide ligands in the envelope protein. EMBO Rep. 2002, 3, 899–904. [Google Scholar] [CrossRef] [PubMed]
- Adachi, A.; Sakai, K.; Kitamura, N.; Nakanishi, S.; Niwa, O.; Matsuyama, M.; Ishimoto, A. Characterization of the env gene and long terminal repeat of molecularly cloned Friend mink cell focus-inducing virus DNA. J. Virol. 1984, 50, 813–821. [Google Scholar] [CrossRef]
- Urisman, A.; Molinaro, R.J.; Fischer, N.; Plummer, S.J.; Casey, G.; Klein, E.A.; Malathi, K.; Magi-Galluzzi, C.; Tubbs, R.R.; Ganem, D.; et al. Identification of a novel gammaretrovirus in prostate tumors of patients homozygous for R462Q RNASEL variant. PLoS Pathog. 2006, 2, e25. [Google Scholar] [CrossRef]
- Ott, D.; Friedrich, R.; Rein, A. Sequence analysis of amphotropic and 10A1 murine leukemia viruses: Close relationship to mink cell focus-inducing viruses. J. Virol. 1990, 64, 757–766. [Google Scholar] [CrossRef]
- Kubo, Y.; Tominaga, C.; Yoshii, H.; Kamiyama, H.; Mitani, C.; Amanuna, H.; Yamamoto, N. Characterization of R peptide of murine leukemia virus envelope glycoproteins in syncytium formation and entry. Arch. Virol. 2007, 152, 2169–2182. [Google Scholar] [CrossRef]
- Koch, W.; Hunsmann, G.; Friedrich, R. Nucleotide sequence of the envelope gene of Friend murine leukemia virus. J. Virol. 1983, 45, 1–9. [Google Scholar] [CrossRef]
- Gaur, A.; Green, W.R. Analysis of the helper virus in murine retrovirus-induced immunodeficiency syndrome: Evidence for immunoselection of the dominant and subdominant CTL epitopes of the BM5 ecotropic virus. Viral Immunol. 2003, 16, 203–212. [Google Scholar] [CrossRef] [PubMed]
- Lenz, J.; Crowther, R.; Straceski, A.; Haseltine, W. Nucleotide sequence of the Akv env gene. J. Virol. 1982, 42, 519–529. [Google Scholar] [CrossRef] [PubMed]
- Bosselman, R.A.; van Straaten, F.; Van Beveren, C.; Verma, I.M.; Vogt, M. Analysis of the env gene of a molecularly cloned and biologically active Moloney mink cell focus-forming proviral DNA. J. Virol. 1982, 44, 19–31. [Google Scholar] [CrossRef] [PubMed]
- Bamunusinghe, D.; Liu, Q.; Plishka, R.; Dolan, M.A.; Skorski, M.; Oler, A.J.; Yedavalli, V.R.K.; Buckler-White, A.; Hartley, J.W.; Kozak, C.A. Recombinant origins of Pathogenic and nonpathogenic mouse gammaretroviruses with polytropic host range. J. Virol. 2017, 91, e00855-17. [Google Scholar] [CrossRef]
- Sfanos, K.S.; Aloida, A.L.; Hicks, J.L.; Esopi, D.M.; Steranka, J.P.; Shao, W.; Sanchez-Martinez, S.; Yegnasubramanian, S.; Burns, K.H.; Rein, A.; et al. Identification of replication competent murine gammaretroviruses in commonly used prostate cancer cell lines. PLoS ONE 2011, 6, e20874. [Google Scholar] [CrossRef]
- Hook, L.M.; Jude, B.A.; Ter-Grigorov, V.S.; Hartley, J.W.; Morse, H.C., 3rd; Trainin, Z.; Toder, V.; Chervonsky, A.V.; Golovkina, T.V. Characterization of a novel murine retrovirus mixture that facilitates hematopoiesis. J. Virol. 2002, 76, 12112–12122. [Google Scholar] [CrossRef]
- Stieneke-Grober, A.; Vey, M.; Angliker, H.; Shaw, E.; Thomas, G.; Roberts, C.; Klenk, H.D.; Garten, H.D. Influenza virus hemagglutinin with multibasic cleavage site is activated by furin, a subtilisin-like endoprotease. EMBO J. 1992, 11, 2407–2414. [Google Scholar] [CrossRef]
- Seidah, N.G.; Pasquato, A.; Andreo, U. How do enveloped viruses exploit the secretory proprotein convertases to regulate infectivity and spread? Viruses 2021, 13, 1229. [Google Scholar] [CrossRef]
- Nakano, Y.; Misawa, N.; Juarez-Fernandez, G.; Moriwaki, M.; Nakaoka, S.; Funo, T.; Yamada, E.; Soper, A.; Yoshikawa, R.; Ebrahimi, D.; et al. HIV-1 competition experiments in humanized mice show that APOBEC3H imposes selective pressure and promotes virus adaptation. PLoS Pathog. 2017, 13, e1006348. [Google Scholar]
- Johnson, B.A.; Xie, X.; Bailey, A.L.; Kalveram, B.; Lokugamage, K.G.; Muruato, A.; Zou, J.; Zhang, X.; Juelich, T.; Smith, J.K.; et al. Loss of furin cleavage site attenuates SARS-CoV-2 pathogenesis. Nature 2021, 591, 293–299. [Google Scholar] [CrossRef]







Disclaimer/Publisher’s Note: The statements, opinions and data contained in all publications are solely those of the individual author(s) and contributor(s) and not of MDPI and/or the editor(s). MDPI and/or the editor(s) disclaim responsibility for any injury to people or property resulting from any ideas, methods, instructions or products referred to in the content. |
© 2024 by the authors. Licensee MDPI, Basel, Switzerland. This article is an open access article distributed under the terms and conditions of the Creative Commons Attribution (CC BY) license (https://creativecommons.org/licenses/by/4.0/).
Share and Cite
Kubo, Y.; Hans, M.B.; Nakamura, T.; Hayashi, H. The Furin Protease Dependence and Antiviral GBP2 Sensitivity of Murine Leukemia Virus Infection Are Determined by the Amino Acid Sequence at the Envelope Glycoprotein Cleavage Site. Int. J. Mol. Sci. 2024, 25, 9987. https://doi.org/10.3390/ijms25189987
Kubo Y, Hans MB, Nakamura T, Hayashi H. The Furin Protease Dependence and Antiviral GBP2 Sensitivity of Murine Leukemia Virus Infection Are Determined by the Amino Acid Sequence at the Envelope Glycoprotein Cleavage Site. International Journal of Molecular Sciences. 2024; 25(18):9987. https://doi.org/10.3390/ijms25189987
Chicago/Turabian StyleKubo, Yoshinao, Manya Bakatumana Hans, Taisuke Nakamura, and Hideki Hayashi. 2024. "The Furin Protease Dependence and Antiviral GBP2 Sensitivity of Murine Leukemia Virus Infection Are Determined by the Amino Acid Sequence at the Envelope Glycoprotein Cleavage Site" International Journal of Molecular Sciences 25, no. 18: 9987. https://doi.org/10.3390/ijms25189987
APA StyleKubo, Y., Hans, M. B., Nakamura, T., & Hayashi, H. (2024). The Furin Protease Dependence and Antiviral GBP2 Sensitivity of Murine Leukemia Virus Infection Are Determined by the Amino Acid Sequence at the Envelope Glycoprotein Cleavage Site. International Journal of Molecular Sciences, 25(18), 9987. https://doi.org/10.3390/ijms25189987

