Rapid Diagnostic PCR Assay Method for Species Identification of Mantidis Ootheca (Sangpiaoxiao) Based on Cytochrom C Oxidase I (COI) Barcode Analysis
Abstract
1. Introduction
2. Results
2.1. Nucleotide Sequence Analysis
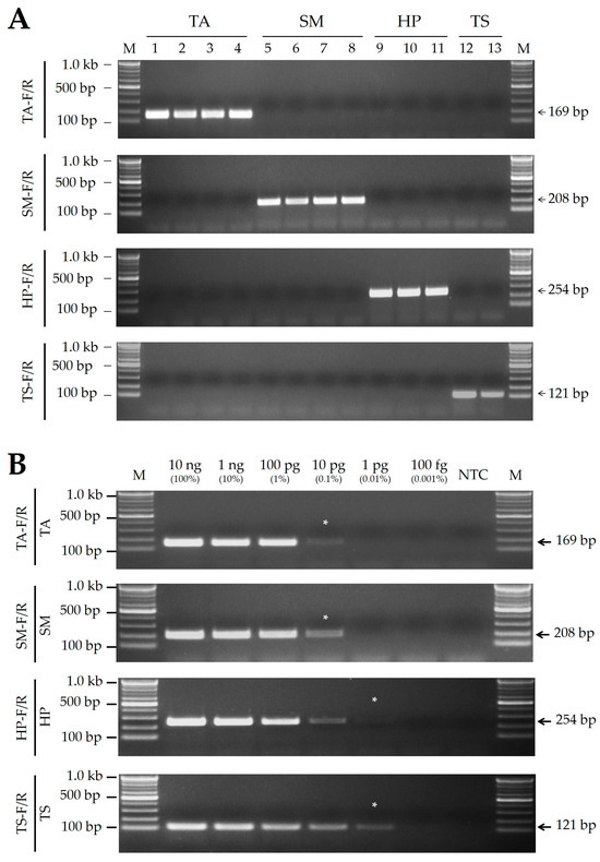
2.2. Development of Species-Specific SCAR Markers and Sensitivity Test
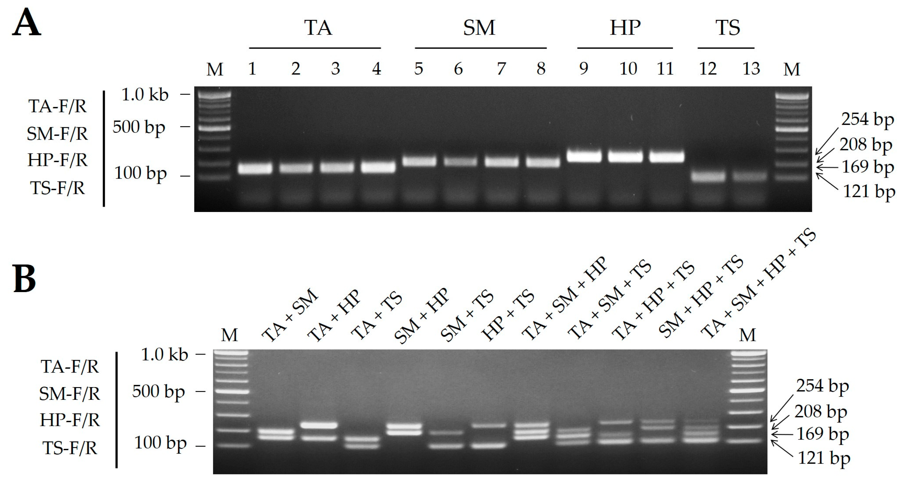
2.3. Multiplex SCAR Assay, Discriminability, and Specificity Test
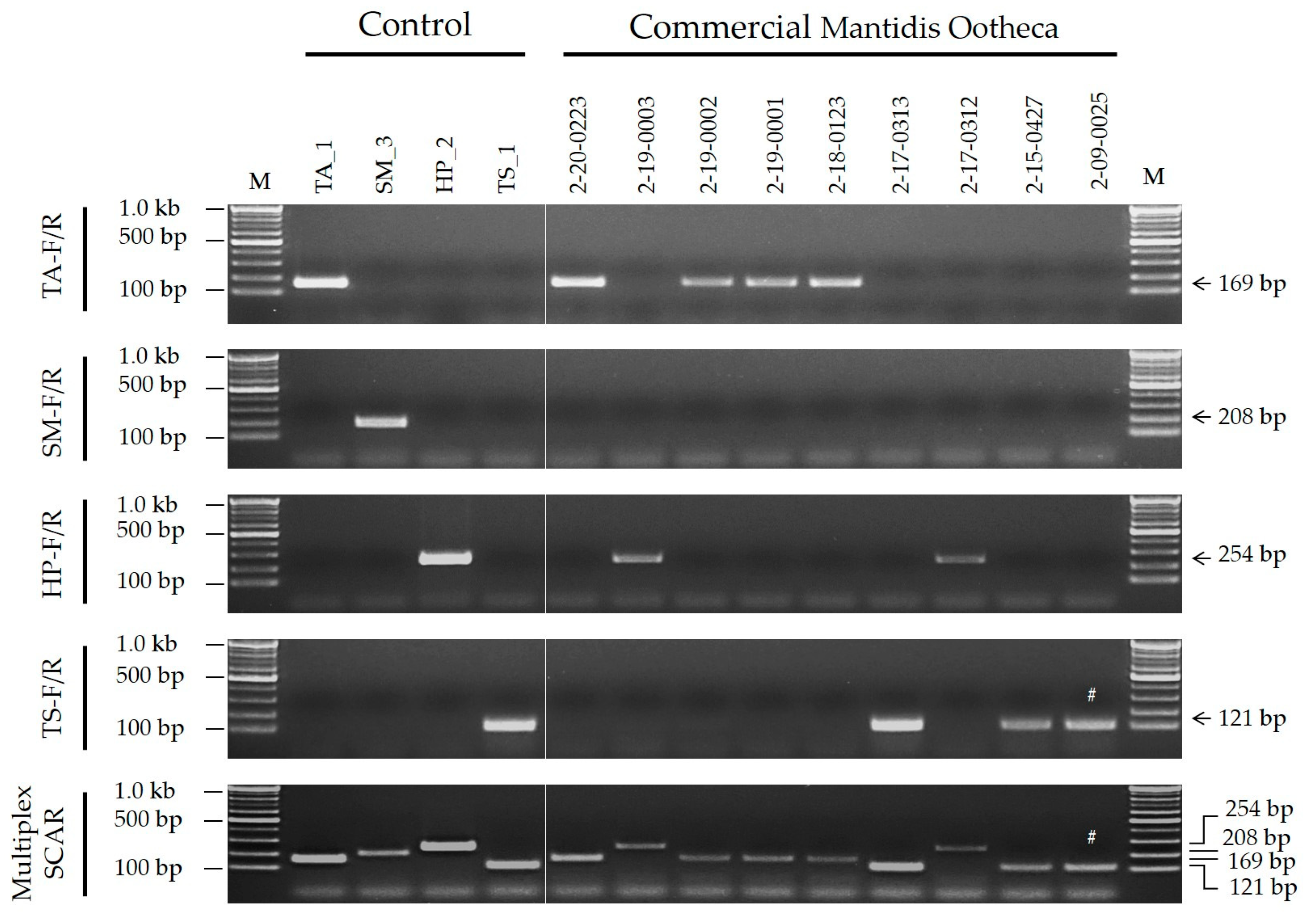
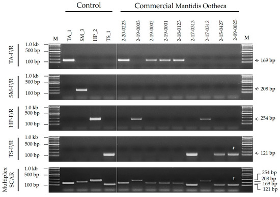
2.4. Application of SCAR Assays to Commercial Products
3. Discussion
4. Materials and Methods
4.1. Materials and Obtaining COI Sequences
4.2. Nucleotide Sequence Analyses and SCAR Marker Development
4.3. Multiplex SCAR Assay and Market Monitoring
5. Conclusions
Supplementary Materials
Author Contributions
Funding
Institutional Review Board Statement
Data Availability Statement
Acknowledgments
Conflicts of Interest
References
- Chantawannakul, P. From entomophagy to entomotherapy. Front. Biosci. 2020, 25, 179–200. [Google Scholar] [CrossRef] [PubMed]
- Costa-Neto, E.M. Entomotherapy, or the Medicinal Use of Insects. J. Ethnobiol. 2005, 25, 93–114. [Google Scholar] [CrossRef]
- Feng, Y.; Zhao, M.; He, Z.; Chen, Z.; Sun, L. Research and utilization of medicinal insects in China. Èntomol. Res. 2009, 39, 313–316. [Google Scholar] [CrossRef]
- Cheol, L.Y. The Potential Usefulness of Several Insects and Fatty Acids in Allergic Disorders. Biomed. J. Sci. Tech. Res. 2019, 13, 1–5. [Google Scholar] [CrossRef]
- Srivastava, S.; Babu, N.; Pandey, H. Traditional insect bioprospecting–As human food and medicine. Indian. J. Tradit. Knowl. 2009, 8, 485–494. [Google Scholar]
- Mozhui, L.; Kakati, L.N.; Meyer-Rochow, V.B. Entomotherapy: A study of medicinal insects of seven ethnic groups in Nagaland, North-East India. J. Ethnobiol. Ethnomedicine 2021, 17, 1–22. [Google Scholar] [CrossRef]
- Kim, H.Y.; Lee, Y.J.; Han, B.H.; Yoon, J.J.; Ahn, Y.M.; Hong, M.H.; Tan, R.; Kang, D.G.; Lee, H.S. Mantidis ootheca induces vascular relaxation through PI3K/AKT-mediated nitric oxide-cyclic GMP-protein kinase G signaling in endothelial cells. J. Physiol. Pharmacol. 2017, 68, 215–221. [Google Scholar]
- Wang, W.-D.; Zhang, N.-N.; Chanda, W.; Liu, M.; Din, S.R.U.; Diao, Y.-P.; Liu, L.; Cao, J.; Wang, X.-L.; Li, X.-Y.; et al. Antibacterial and anti-biofilm activity of the lipid extract from Mantidis ootheca on Pseudomonas aeruginosa. J. Zhejiang Univ. B 2018, 19, 364–371. [Google Scholar] [CrossRef]
- Ahn, M.Y.; Ryu, K.S.; Lee, Y.W.; Kim, Y.S. Cytotoxicity and L-amino acid oxidase activity of crude insect drugs. Arch. Pharmacal Res. 2000, 23, 477–481. [Google Scholar] [CrossRef]
- Jia, K.; Jia, T. Comparison of antidiuretic activity of ootheca mantidis before and after processing and its medicinal part against insufficiency of kidney-Yang and Diuresis Rats. China Pharm. 2016, 27, 879–881. [Google Scholar]
- Park, G.; Moon, B.C.; Lim, H. Effects of 14 Chung-bu medicinal materials described in the dongui bogam on inflammatory cytokines production in HaCaT keratinocytes. J. Soc. Cosmet. Sci. Korea 2020, 46, 195–204. [Google Scholar] [CrossRef]
- Tan, Z.; Lei, Y.; Zhang, B.; Huang, L. Comparison of pharmacological studies on ootheca Mantidis. Zhongguo Zhong Yao Za Zhi 1997, 22, 496. [Google Scholar] [PubMed]
- Ryu, S.M.; Nam, H.-H.; Kim, J.S.; Song, J.-H.; Seo, Y.H.; Kim, H.S.; Lee, A.Y.; Kim, W.J.; Lee, D.; Moon, B.C.; et al. Chemical Constituents of the Egg Cases of Tenodera angustipennis (Mantidis ootheca) with Intracellular Reactive Oxygen Species Scavenging Activity. Biomolecules 2021, 11, 556. [Google Scholar] [CrossRef] [PubMed]
- Defining Dictionary for Medicinal Herbs Korean, ‘Hanyak Giwon Sajeon’. Available online: https://oasis.kiom.re.kr/herblib/hminfo/hbmcod/hbmcodList.do (accessed on 25 July 2024).
- Xu, L.; Zhang, X.; Guo, H.; Yang, X.; Xing, Z.; Yang, W.; Zhang, J.; Tian, X. Species diversity analysis of commercial Mantidis Ootheca samples contaminated by store pests based on DNA metabarcoding. BMC Genom. 2022, 23, 1–10. [Google Scholar] [CrossRef] [PubMed]
- Song, J.-H.; Cha, J.-M.; Moon, B.C.; Kim, W.J.; Yang, S.; Choi, G. Mantidis Oötheca (mantis egg case) original species identification via morphological analysis and DNA barcoding. J. Ethnopharmacol. 2020, 252, 112574. [Google Scholar] [CrossRef]
- Wen, L.-L.; Wan, D.-G.; Ren, Y.; Li, J.-D.; Guo, J.-L. Corresponding relationship between Mantis and Mantidis Oötheca (Sangpiaoxiao). Zhongguo Zhong Yao Za Zhi 2013, 38, 966. [Google Scholar]
- Nehal, N.; Choudhary, B.; Nagpure, A.; Gupta, R.K. DNA barcoding: A modern age tool for detection of adulteration in food. Crit. Rev. Biotechnol. 2021, 41, 767–791. [Google Scholar] [CrossRef]
- Yu, J.; Wu, X.; Liu, C.; Newmaster, S.; Ragupathy, S.; Kress, W.J. Progress in the use of DNA barcodes in the identification and classification of medicinal plants. Ecotoxicol. Environ. Saf. 2020, 208, 111691. [Google Scholar] [CrossRef]
- Biswas, K.; Biswas, R. DNA molecular markers based authentication of herbal drugs-A review. Int. J. Pharm. Res. Sch. 2014, 3, 581–593. [Google Scholar]
- Liu, X.; Cheng, J.; Mei, Z.; Wei, C.; Khan, A.; Peng, J.; Fu, J. SCAR marker for identification and discrimination of specific medicinal Lycium chinense Miller from Lycium species from ramp-PCR RAPD fragments. 3 Biotech. 2020, 10, 1–7. [Google Scholar] [CrossRef]
- Zheng, K.; Cai, Y.; Chen, W.; Gao, Y.; Jin, J.; Wang, H.; Feng, S.; Lu, J. Development, Identification, and Application of a Germplasm Specific SCAR Marker for Dendrobium officinale Kimura et Migo. Front. Plant Sci. 2021, 12, 669458. [Google Scholar] [CrossRef] [PubMed]
- Kim, W.J.; Noh, S.; Choi, G.; Jang, W.; Moon, B.C. Development of SCAR marker for the rapid assay of Paeng-hwal based on CO1 DNA barcode sequences. Kor. J. Herbol. 2024, 39, 1–9. [Google Scholar] [CrossRef]
- Lam, K.Y.C.; Chan, G.K.L.; Xin, G.-Z.; Xu, H.; Ku, C.-F.; Chen, J.-P.; Yao, P.; Lin, H.-Q.; Dong, T.T.X.; Tsim, K.W.K. Authentication of Cordyceps sinensis by DNA Analyses: Comparison of ITS Sequence Analysis and RAPD-Derived Molecular Markers. Molecules 2015, 20, 22454–22462. [Google Scholar] [CrossRef] [PubMed]
- Noh, P.; Kim, W.J.; Song, J.-H.; Park, I.; Choi, G.; Moon, B.C. Rapid and Simple Species Identification of Cicada Exuviae Using COI-Based SCAR Assay. Insects 2020, 11, 168. [Google Scholar] [CrossRef] [PubMed]
- Singh, S.; Mishra, V.K.; Bhoi, T.K. Insect Molecular Markers and its Utility-A Review. Int. J. Agric. Environ. Biotechnol. 2017, 10, 469–479. [Google Scholar] [CrossRef]
- Luo, A.; Zhang, A.; Ho, S.Y.; Xu, W.; Zhang, Y.; Shi, W.; Cameron, S.L.; Zhu, C. Potential efficacy of mitochondrial genes for animal DNA barcoding: A case study using eutherian mammals. BMC Genom. 2011, 12, 84. [Google Scholar] [CrossRef]
- Rubinoff, D. Utility of Mitochondrial DNA Barcodes in Species Conservation. Conserv. Biol. 2006, 20, 1026–1033. [Google Scholar] [CrossRef]
- Hebert, P.D.N.; Ratnasingham, S.; de Waard, J.R. Barcoding animal life: Cytochrome c oxidase subunit 1 divergences among closely related species. Proc. R. Soc. B Boil. Sci. 2003, 270, S96–S99. [Google Scholar] [CrossRef]
- Lin, Y.-J.; Zhang, L.-H.; Ma, Y.; Storey, K.B.; Yu, D.-N.; Zhang, J.-Y. Novel gene rearrangements in mitochondrial genomes of four families of praying mantises (Insecta, Mantodea) and phylogenetic relationships of Mantodea. Gene 2023, 880, 147603. [Google Scholar] [CrossRef]
- Shi, Y.; Li, L.-Y.; Liu, Q.-P.; Ali, M.Y.; Yuan, Z.-L.; Smagghe, G.; Liu, T.-X. Complete mitochondrial genomes of four species of praying mantises (Dictyoptera, Mantidae) with ribosomal second structure, evolutionary and phylogenetic analyses. PLoS ONE 2021, 16, e0254914. [Google Scholar] [CrossRef]
- Wang, W.; Wang, H.; Huang, H.; Zhao, Y.; Zhou, Z. Mitochondrial genomes of 10 Mantidae species and their phylogenetic implications. Arch. Insect Biochem. Physiol. 2022, 111, e21874. [Google Scholar] [CrossRef]
- Wang, X.; Hou, F.-X.; Wang, Y.-X.; Wang, Y.-X.; Li, J.-D.; Yuan, Y.; Peng, C.; Guo, J.-L. Identification of original species of Mantidis Oötheca (Sang-piaoxiao) based on DNA barcoding. China J. Chin. Mater. Med. 2015, 40, 3963–3966. [Google Scholar]
- Yang, F.; Ding, F.; Chen, H.; He, M.; Zhu, S.; Ma, X.; Jiang, L.; Li, H. DNA Barcoding for the Identification and Authentication of Animal Species in Traditional Medicine. Evid.-Based Complement. Altern. Med. 2018, 2018, 5160254. [Google Scholar] [CrossRef] [PubMed]
- Parveen, I.; Gafner, S.; Techen, N.; Murch, S.J.; Khan, I.A. DNA Barcoding for the Identification of Botanicals in Herbal Medicine and Dietary Supplements: Strengths and Limitations. Planta Medica 2016, 82, 1225–1235. [Google Scholar] [CrossRef] [PubMed]
- Parnmen, S.; Nooron, N.; Pringsulaka, O.; Binchai, S.; Rangsiruji, A. Discrimination of lethal Russula subnigricans from wild edible and morphologically similar mushrooms in the genus Russula using SCAR markers. Food Control. 2023, 158, 110239. [Google Scholar] [CrossRef]
- Das, A.; Nerkar, S.; Gawande, N.; Thakre, N.; Kumar, A. SCAR marker for Phytophthora nicotianae and a multiplex PCR assay for simultaneous detection of P. nicotianae and Candidatus Liberibacter asiaticus in citrus. J. Appl. Microbiol. 2019, 127, 1172–1183. [Google Scholar] [CrossRef]
- Che, J.; Chen, H.; Yang, J.; Jin, J.; Jiang, K.; Yuan, Z.; Murphy, R.W.; Zhang, Y. Universal COI primers for DNA barcoding amphibians. Mol. Ecol. Resour. 2011, 12, 247–258. [Google Scholar] [CrossRef] [PubMed]
- Hall, T.A. BioEdit: A user-friendly biological sequence alignment editor and analysis program for Windows 95/98/NT. Nucleic Acids Symp. Ser. 1999, 41, 95–98. [Google Scholar]
- Kim, W.J.; Yang, S.; Choi, G.; Park, I.; Noh, P.; Lee, A.Y.; Kim, H.S.; Moon, B.C. Establishment of conventional PCR and real-time PCR assays for accurate, rapid and quantitative authentication of four mistletoe species. Phytochemistry 2020, 176, 112400. [Google Scholar] [CrossRef]




| Target Species | Primer | Sequence (5′-3′) | Size (bp) |
|---|---|---|---|
| Tenodera angustipennis | TA-F | AGT AGA TTT AAC AAT TTT CTG C | 169 |
| TA-R | TGA TAA TAA TAA AAG TAG AGC G | ||
| Statilia maculata | SM-F | CCT GAT ATA GCT TTT CCA CGT | 208 |
| SM-R | TAA TAC TTG ATA TTC CAG CTC A | ||
| Hierodula patellifera | HP-F | TAC TAT TAT TAA TCA GAA GTC CT | 254 |
| HP-R | TAA TAA AGC TGT AAT ACC GAC G | ||
| Tenodera sinensis | TS-F | AAT TAG GAC AAC CGG GAT CT | 121 |
| TS-R | TTT CCA AAT CCA CCA ATC ACG |
| Scientific Name | Herbal Name | Species-Specific SCAR | Multiplex SCAR | |||
|---|---|---|---|---|---|---|
| TA | SM | HP | TS | |||
| Tenodera angustipennis | Mantidis Ootheca | + | - | - | - | +(TA) |
| Statilia maculata | Mantidis Ootheca | - | + | - | - | +(SM) |
| Hierodula patellifera | Mantidis Ootheca | - | - | + | - | +(HP) |
| Tenodera sinensis | Mantidis Oötheca | - | - | - | + | +(TS) |
| Scolopendra subspinipes | Scolopendra | - | - | - | - | - |
| Metaphire guillelmi | Pheretima | - | - | - | - | - |
| Cryptotympana atrata | Cicadidae Periostracum | - | - | - | - | - |
| Bombyx mori | Batryticatus Bombyx | - | - | - | - | - |
| Pelodiscus sinensis | Pelodiscis Carapax | - | - | - | - | - |
| Hippocampus trimaculatus | Hippocampus | - | - | - | - | - |
| Elaphe carinata | Serpentis Periostracum | - | - | - | - | - |
| Schisandra chinensis | Schisandrae Fructus | - | - | - | - | - |
| Zanthoxylum schinifolium | Zanthoxyli Pericarpium | - | - | - | - | - |
| Aralia continentalis | Araliae Continentalis Radix | - | - | - | - | - |
| Cynanchum wilfordii | Cynanchi Wilfordii Radix | - | - | - | - | - |
| Sigesbeckia glabrescens | Siegesbeckiae Herba | - | - | - | - | - |
| Rheum rhabarbarum | Rhei Undulatai Rhizoma | - | - | - | - | - |
| Machilus thunbergii | Machilii thunbergii cortex | - | - | - | - | - |
| Ophiocordyceps sinensis | Cordyceps | - | - | - | - | - |
| Type | Voucher Number | Identified Species by Morphology | Species-Specific SCAR | Multiplex SCAR | |||
|---|---|---|---|---|---|---|---|
| TA | SM | HP | TS | ||||
| Dried whole | 2-20-0223 | T. angustipennis | + | - | - | - | +(TA) |
| Dried whole | 2-19-0003 | H. patellifera | - | - | + | - | +(HP) |
| Dried whole | 2-19-0002 | T. angustipennis | + | - | - | - | +(TA) |
| Dried whole | 2-19-0001 | T. angustipennis | + | - | - | - | +(TA) |
| Dried whole | 2-18-0123 | T. angustipennis | + | - | - | - | +(TA) |
| Dried whole | 2-17-0313 | T. sinensis | - | - | - | + | +(TS) |
| Dried whole | 2-17-0312 | H. patellifera | - | - | + | - | +(HP) |
| Powder | 2-15-0427 | Unknown | - | - | - | + | +(TS) |
| Dried whole | 2-09-0025 | T. sinensis | - | - | - | + | +(TS) |
| No. | Scientific Name | Herbal Name | Voucher Number | Collection Site | Collection Date | NCBI Accession | Abbreviation | |
|---|---|---|---|---|---|---|---|---|
| KHP | ChP | |||||||
| 1 | Tenodera angustipennis | Mantidis Ootheca | - | KNAE455837 | Ongjin, Incheon, Korea | 15 September 2014 | OL913116 | TA_1 * |
| 2 | KNAE410919 | Jeju, Jeju-do, Korea | 29 August 2013 | OL913117 | TA_2 | |||
| 3 | KNAE451914 | Jeju, Jeju-do, Korea | 29 August 2013 | OL913118 | TA_3 | |||
| 4 | KIOM2018-11 | Yuseong, Daejeon, Korea | 24 August 2018 | OL913119 | TA_4 | |||
| 5 | Statilia maculata | Mantidis Oötheca | KNAE410802 | Jeju, Jeju-do, Korea | 29 August 2013 | OL913120 | SM_1 | |
| 6 | KNAE451475 | Ongjin, Incheon, Korea | 16 September 2014 | OL913121 | SM_2 | |||
| 7 | KNAE510527 | Pocheon, Gyeonggi-do, Korea | 30 September 2014 | OL913122 | SM_3 * | |||
| 8 | KNAE455907 | Ongjin, Incheon, Korea | 15 September 2014 | OL913123 | SM_4 | |||
| 9 | Hierodula patellifera | KIOM2018-02 | Yuseong, Daejeon, Korea | 23 August 2018 | OL913124 | HP_1 | ||
| 10 | KIOM2018-04 | Yuseong, Daejeon, Korea | 23 August 2018 | OL913125 | HP_2 * | |||
| 11 | KIOM2018-09 | Yuseong, Daejeon, Korea | 24 August 2018 | OL913126 | HP_3 | |||
| 12 | Tenodera sinensis | - | KIOM2018-07 | Yuseong, Daejeon, Korea | 23 August 2018 | OL913127 | TS_1 * | |
| 13 | KIOM2018-10 | Yuseong, Daejeon, Korea | 24 August 2018 | OL913128 | TS_2 | |||
Disclaimer/Publisher’s Note: The statements, opinions and data contained in all publications are solely those of the individual author(s) and contributor(s) and not of MDPI and/or the editor(s). MDPI and/or the editor(s) disclaim responsibility for any injury to people or property resulting from any ideas, methods, instructions or products referred to in the content. |
© 2024 by the authors. Licensee MDPI, Basel, Switzerland. This article is an open access article distributed under the terms and conditions of the Creative Commons Attribution (CC BY) license (https://creativecommons.org/licenses/by/4.0/).
Share and Cite
Noh, S.; Kim, W.J.; Cha, J.-M.; Choi, G.; Yang, S.; Song, J.-H.; Moon, B.C. Rapid Diagnostic PCR Assay Method for Species Identification of Mantidis Ootheca (Sangpiaoxiao) Based on Cytochrom C Oxidase I (COI) Barcode Analysis. Int. J. Mol. Sci. 2024, 25, 10224. https://doi.org/10.3390/ijms251810224
Noh S, Kim WJ, Cha J-M, Choi G, Yang S, Song J-H, Moon BC. Rapid Diagnostic PCR Assay Method for Species Identification of Mantidis Ootheca (Sangpiaoxiao) Based on Cytochrom C Oxidase I (COI) Barcode Analysis. International Journal of Molecular Sciences. 2024; 25(18):10224. https://doi.org/10.3390/ijms251810224
Chicago/Turabian StyleNoh, Sumin, Wook Jin Kim, Ji-Min Cha, Goya Choi, Sungyu Yang, Jun-Ho Song, and Byeong Cheol Moon. 2024. "Rapid Diagnostic PCR Assay Method for Species Identification of Mantidis Ootheca (Sangpiaoxiao) Based on Cytochrom C Oxidase I (COI) Barcode Analysis" International Journal of Molecular Sciences 25, no. 18: 10224. https://doi.org/10.3390/ijms251810224
APA StyleNoh, S., Kim, W. J., Cha, J.-M., Choi, G., Yang, S., Song, J.-H., & Moon, B. C. (2024). Rapid Diagnostic PCR Assay Method for Species Identification of Mantidis Ootheca (Sangpiaoxiao) Based on Cytochrom C Oxidase I (COI) Barcode Analysis. International Journal of Molecular Sciences, 25(18), 10224. https://doi.org/10.3390/ijms251810224

