Histologic Evaluation of Thyroid Nodules Treated with Thermal Ablation: An Institutional Experience
Abstract
1. Introduction
- Large (volume > 20 mL), solid, benign, and non-functioning thyroid nodules that cause severe symptoms or pain when surgery is not advised or is not desired.
- Thyroid nodules with an autonomous function appear “hot” on scintigraphy when surgery or radioiodine treatment is not appropriate or desired.
- Local recurrence of thyroid cancer as palliative therapy when radioiodine is unsuccessful and surgery is not an option.
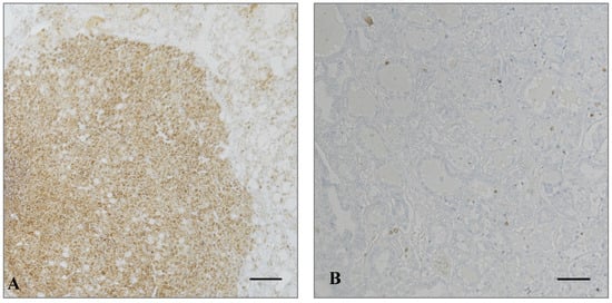
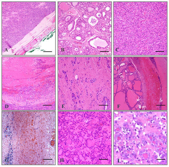
2. Results
3. Discussion
4. Materials and Methods
4.1. Case Selection and Morphological Features
4.2. Immunohistochemical Analysis and Evaluation
- -
- HBME-1, cytoplasmic and membranous in more than 10 % of the lesional cells [26];
- -
- Galectin-3, cytoplasmic, and nuclear in more than 10 % of the lesional cells [26];
- -
- BRAF V600E, cytoplasmic in more than 30% of the lesional cells [27];
- -
- p53, moderate (when visible with a 10× and/or 20× microscope objective lens) or strong (when visible with a 4× microscope objective lens) intensity in more than 30% of the nuclei of the lesional cells [14].
5. Conclusions
Author Contributions
Funding
Institutional Review Board Statement
Informed Consent Statement
Data Availability Statement
Conflicts of Interest
References
- Dean, D.S.; Gharib, H. Epidemiology of thyroid nodules. Best Pract. Res. Clin. Endocrinol. Metab. 2008, 22, 901–911. [Google Scholar] [CrossRef] [PubMed]
- Agyekum, E.A.; Fu, J.; Xu, F.J.; Ren, Y.Z.; Akortia, D.; Chen, Q.; Qian, X.Q.; Wang, Y.; Wang, X. Ultrasound-Guided Thermal Ablation of Thyroid Nodules: Technicalities Progress and Clinical Applications, Especially in Malignant Thyroid Nodules. Front. Oncol. 2021, 11, 761005. [Google Scholar] [CrossRef] [PubMed]
- Pizzimenti, C.; Fiorentino, V.; Ieni, A.; Rossi, E.D.; Germanà, E.; Giovanella, L.; Lentini, M.; Alessi, Y.; Tuccari, G.; Campennì, A.; et al. BRAF-AXL-PD-L1 Signaling Axis as a Possible Biological Marker for RAI Treatment in the Thyroid Cancer ATA Intermediate Risk Category. Int. J. Mol. Sci. 2023, 24, 10024. [Google Scholar] [CrossRef] [PubMed]
- Dell’Aquila, M.; Gravina, C.; Cocomazzi, A.; Capodimonti, S.; Musarra, T.; Sfregola, S.; Fiorentino, V.; Revelli, L.; Martini, M.; Fadda, G.; et al. A large series of hyalinizing trabecular tumors: Cytomorphology and ancillary techniques on fine needle aspiration. Cancer Cytopathol. 2019, 127, 390–398. [Google Scholar] [CrossRef] [PubMed]
- Vorlaender, C.; Kohlhase, K.D.; Korkusuz, Y.; Erbelding, C.; Luboldt, W.; Baser, I.; Korkusuz, H. Comparison between microwave ablation and bipolar radiofrequency ablation in benign thyroid nodules: Differences in energy transmission, duration of application and applied shots. Int. J. Hyperth. 2019, 35, 216–225. [Google Scholar] [CrossRef]
- Dobrinja, C.; Bernardi, S.; Fabris, B.; Eramo, R.; Makovac, P.; Bazzocchi, G.; Piscopello, L.; Barro, E.; de Manzini, N.; Bonazza, D.; et al. Surgical and Pathological Changes after Radiofrequency Ablation of Thyroid Nodules. Int. J. Endocrinol. 2015, 2015, 576576. [Google Scholar] [CrossRef]
- Yue, W.; Wang, S.; Wang, B.; Xu, Q.; Yu, S.; Zhang, Y.; Wang, X. Ultrasound Guided Percutaneous Microwave Ablation of Benign Thyroid Nodules: Safety and Imaging Follow-Up in 222 Patients. Eur. J. Radiol. 2013, 82, e11–e16. [Google Scholar] [CrossRef]
- Mauri, G.; Gennaro, N.; Lee, M.K.; Baek, J.H. Laser and radiofrequency ablations for benign and malignant thyroid tumors. Int. J. Hyperth. 2019, 36, 13–20. [Google Scholar] [CrossRef]
- Cesareo, R.; Palermo, A.; Pasqualini, V.; Cianni, R.; Gaspa, G.; Manfrini, S.; Pacella, C.M. Radiofrequency ablation for the management of thyroid nodules: A critical appraisal of the literature. Clin. Endocrinol. 2017, 87, 639–648. [Google Scholar] [CrossRef]
- Bartolazzi, A.; Gasbarri, A.; Papotti, M.; Bussolati, G.; Lucante, T.; Khan, A.; Inohara, H.; Marandino, F.; Orlandi, F.; Nardi, F.; et al. Application of an immunodiagnostic method for improving preoperative diagnosis of nodular thyroid lesions. Lancet 2001, 357, 1644–1650. [Google Scholar] [CrossRef]
- Cazzaniga, G.; Seminati, D.; Smith, A.; Piga, I.; Capitoli, G.; Garancini, M.; L’Imperio, V.; Fusco, N.; Pagni, F. Lights on HBME-1: The elusive biomarker in thyroid cancer pathology. J. Clin. Pathol. 2022, 75, 588–592. [Google Scholar] [CrossRef] [PubMed]
- Fiorentino, V.; Dell’Aquila, M.; Musarra, T.; Martini, M.; Capodimonti, S.; Fadda, G.; Curatolo, M.; Traini, E.; Raffaelli, M.; Lombardi, C.P.; et al. The Role of Cytology in the Diagnosis of Subcentimeter Thyroid Lesions. Diagnostics 2021, 11, 1043. [Google Scholar] [CrossRef] [PubMed]
- Xing, M. BRAF mutation in thyroid cancer. Endocr. Relat. Cancer. 2005, 12, 245–262. [Google Scholar] [CrossRef] [PubMed]
- Policardo, F.; Tralongo, P.; Arciuolo, D.; Fiorentino, V.; Cardasciani, L.; Pierconti, F.; Carlino, A.; Curatolo, M.; Pontecorvi, A.; Fadda, G.; et al. p53 expression in cytology samples may represent a marker of early-stage cancer. Cancer Cytopathol. 2023, 131, 392–401, Erratum in Cancer Cytopathol. 2024, 132, 193. [Google Scholar] [CrossRef]
- Mauri, G.; Bernardi, S.; Palermo, A.; Cesareo, R. Italian Minimally Invasive Treatments of the Thyroid group. Minimally invasive treatments for benign thyroid nodules: Recommendations for information to patients and referring physicians by the Italian Minimally Invasive Treatments of the Thyroid group. Endocrine 2022, 76, 1–8. [Google Scholar] [CrossRef]
- Piana, S.; Riganti, F.; Froio, E.; Andrioli, M.; Pacella, C.M.; Valcavi, R. Pathological findings of thyroid nodules after percutaneous laser ablation: A series of 22 cases with cyto-histological correlation. Endocr. Pathol. 2012, 23, 94–100. [Google Scholar] [CrossRef] [PubMed]
- Lu, C.; Li, X.; Chu, X.; Li, R.; Li, J.; Wang, J.; Wang, Y.; Xu, Y.; Chen, G.; Xu, S.; et al. Clinical Effects of Microwave Ablation in the Treatment of Low-Risk Papillary Thyroid Microcarcinomas and Related Histopathological Changes. Front. Endocrinol. 2021, 12, 751213. [Google Scholar] [CrossRef] [PubMed]
- Pizzimenti, C.; Fiorentino, V.; Ieni, A.; Martini, M.; Tuccari, G.; Lentini, M.; Fadda, G. Aggressive variants of follicular cell-derived thyroid carcinoma: An overview. Endocrine 2022, 78, 1–12. [Google Scholar] [CrossRef]
- Lloyd, R.V.; Osamura, R.Y.; Kloppel, G.; Rosai, J. WHO Classification of Tumors of Endocrine Organs, 4th ed.; International Agency for Research on Cancer: Lyon, France, 2017. [Google Scholar]
- Chebib, I.; Opher, E.; Richardson, M.E. Vascular and capsular pseudoinvasion in thyroid neoplasms. Int. J. Surg. Pathol. 2009, 17, 449–451. [Google Scholar] [CrossRef]
- Polyzos, S.A.; Patsiaoura, K.; Zachou, K. Histological alterations following thyroid fine needle biopsy: A systematic review. Diagn. Cytopathol. 2009, 37, 455–465. [Google Scholar] [CrossRef]
- Cakir, B.; Gul, K.; Ugras, S.; Ersoy, R.; Topaloglu, O.; Agac, T.; Aydin, C.; Dirikoc, A.; Gumus, M.; Korukluoglu, B.; et al. Percutaneous laser ablation of an autonomous thyroid nodule: Effects on nodule size and histopathology of the nodule 2 years after the procedure. Thyroid 2008, 18, 803–805. [Google Scholar] [CrossRef] [PubMed]
- Cakir, B.; Ugras, N.S.; Gul, K.; Ersoy, R.; Korukluoglu, B. Initial report of the results of percutaneous laser ablation of benign cold thyroid nodules: Evaluation of histopathological changes after 2 years. Endocr. Pathol. 2009, 20, 170–176. [Google Scholar] [CrossRef] [PubMed]
- Yan, L.; Luo, Y.; Xie, F.; Zhang, M.; Xiao, J. Residual vital ratio: Predicting regrowth after radiofrequency ablation for benign thyroid nodules. Int. J. Hyperth. 2020, 37, 1139–1148. [Google Scholar] [CrossRef] [PubMed]
- Nardi, F.; Basolo, F.; Crescenzi, A.; Fadda, G.; Frasoldati, A.; Orlandi, F.; Palombini, L.; Papini, E.; Zini, M.; Pontecorvi, A.; et al. Italian consensus for the classification and reporting of thyroid cytology. J. Endocrinol. Investig. 2014, 37, 593–599. [Google Scholar] [CrossRef]
- Abd-El Raouf, S.M.; Ibrahim, T.R. Immunohistochemical expression of HBME-1 and galectin-3 in the differential diagnosis of follicular-derived thyroid nodules. Pathol. Res. Pract. 2014, 210, 971–978. [Google Scholar] [CrossRef]
- Rossi, E.D.; Martini, M.; Capodimonti, S.; Cenci, T.; Straccia, P.; Angrisani, B.; Ricci, C.; Lanza, P.; Lombardi, C.P.; Pontecorvi, A.; et al. Analysis of immunocytochemical and molecular BRAF expression in thyroid carcinomas: A cytohistologic institutional experience. Cancer Cytopathol. 2014, 122, 527–535. [Google Scholar] [CrossRef]


| N = 7 | |
|---|---|
| Age, mean | 56 years |
| Gender n (%) | |
| Male | 2 (28.6%) |
| Female | 5 (71.4%) |
| Architecture n (%) | |
| Follicular | 5 (71.4%) |
| Solid | 2 (28.6%) |
| Nuclei n (%) | |
| Dark | 4 (57.1%) |
| Clear | 3 (42.9%) |
| Number of nodules n (%) | |
| Single nodule | 4 (57.1%) |
| Plurinodular | 3 (42.9%) |
| Capsule n (%) | |
| Yes | 6 (85.7%) |
| No | 1 (14.3%) |
| Necrosis n (%) | |
| Yes | 1 (14.3%) |
| No | 6 (85.7%) |
| Fibrosis n (%) | |
| Yes | 5 (71.4%) |
| No | 2 (28.6%) |
| Hemorrhage n (%) | |
| Yes | 6 (85.7%) |
| No | 1 (14.3%) |
| Ischemia n (%) | |
| Yes | 1 (14.3%) |
| No | 6 (85.7%) |
| Capsular invasion n (%) | |
| Yes | 0 |
| No | 7 (100%) |
| Vascular invasion n (%) | |
| Yes | 0 |
| No | 7 (100%) |
| Presence of oncocytic cells | |
| Yes | 4 (57.1%) |
| No | 3 (42.9%) |
| Markers | Results | Total n.7 (%) |
|---|---|---|
| Gal-3 | Positive | 0 |
| Negative | 7 (100%) | |
| HBME-1 | Positive | 1 (15%) * |
| Negative | 6 (85%) | |
| p53 | Positive | 0 |
| Negative | 7 (100%) | |
| BRAF-V600E | Positive | 0 |
| Negative | 7 (100%) | |
| MIB-1 (Ki-67) | <3% | 7 (100%) |
| Parameters | Current Study | Piana et al. (2012) [16] | Lu et al. (2021) [17] |
|---|---|---|---|
| Patients 7 | Patients 22 | Patients 39 | |
| Age, mean | 56 years | 53 years | 39 years |
| Gender n (%) | |||
| Male | 2 (28.6%) | 3 (13.6%) | - |
| Female | 5 (71.4%) | 19 (86.4%) | |
| Architecture n (%) | |||
| Follicular | 5 (71.4%) | 5 (22.7%) | - |
| Solid | 2 (28.6%) | - | |
| Nuclei n (%) | |||
| Dark | 4 (57.1%) | - | - |
| Clear | 3 (42.9%) | ||
| Number of nodules n (%) | |||
| Single nodule | 4 (57.1%) | - | - |
| Plurinodular | 3 (42.9%) | ||
| Capsule n (%) | |||
| Yes | 6 (85.7%) | 22 (100%) | - |
| No | 1 (14.3%) | 0 | |
| Necrosis n (%) | |||
| Yes | 1 (14.3%) | 10 (45.5%) | 4 (10.26%) |
| No | 6 (85.7%) | 12 (54.5%) | 35 (89.74%) |
| Fibrosis n (%) | |||
| Yes | 5 (71.4%) | 20 (80%) | 34 (87.18%) |
| No | 2 (28.6%) | 2 (20%) | 5 (12.82%) |
| Hemorrhage n (%) | |||
| Yes | 6 (85.7%) | - | 1 (2.56%) |
| No | 1 (14.3%) | 38 (97.44%) | |
| Ischemia n (%) | |||
| Yes | 1 (14.3%) | - | 21 (53.85%) |
| No | 6 (85.7%) | 18 (46.15%) | |
| Capsular invasion n (%) | |||
| Yes | 0 | - | - |
| No | 7 (100%) | ||
| Vascular invasion n (%) | |||
| Yes | 0 | - | - |
| No | 7 (100%) | ||
| Presence of oncocytic cells n (%) | |||
| Yes | 4 (57.1%) | - | - |
| No | 3 (42.9%) |
Disclaimer/Publisher’s Note: The statements, opinions and data contained in all publications are solely those of the individual author(s) and contributor(s) and not of MDPI and/or the editor(s). MDPI and/or the editor(s) disclaim responsibility for any injury to people or property resulting from any ideas, methods, instructions or products referred to in the content. |
© 2024 by the authors. Licensee MDPI, Basel, Switzerland. This article is an open access article distributed under the terms and conditions of the Creative Commons Attribution (CC BY) license (https://creativecommons.org/licenses/by/4.0/).
Share and Cite
Russotto, F.; Fiorentino, V.; Pizzimenti, C.; Micali, M.G.; Franchina, M.; Pepe, L.; Riganati, G.; Giordano, W.; Magliolo, E.; Ristagno, S.; et al. Histologic Evaluation of Thyroid Nodules Treated with Thermal Ablation: An Institutional Experience. Int. J. Mol. Sci. 2024, 25, 10182. https://doi.org/10.3390/ijms251810182
Russotto F, Fiorentino V, Pizzimenti C, Micali MG, Franchina M, Pepe L, Riganati G, Giordano W, Magliolo E, Ristagno S, et al. Histologic Evaluation of Thyroid Nodules Treated with Thermal Ablation: An Institutional Experience. International Journal of Molecular Sciences. 2024; 25(18):10182. https://doi.org/10.3390/ijms251810182
Chicago/Turabian StyleRussotto, Fernanda, Vincenzo Fiorentino, Cristina Pizzimenti, Marina Gloria Micali, Mariausilia Franchina, Ludovica Pepe, Giuseppe Riganati, Walter Giordano, Emilia Magliolo, Serenella Ristagno, and et al. 2024. "Histologic Evaluation of Thyroid Nodules Treated with Thermal Ablation: An Institutional Experience" International Journal of Molecular Sciences 25, no. 18: 10182. https://doi.org/10.3390/ijms251810182
APA StyleRussotto, F., Fiorentino, V., Pizzimenti, C., Micali, M. G., Franchina, M., Pepe, L., Riganati, G., Giordano, W., Magliolo, E., Ristagno, S., Rossi, E. D., Tuccari, G., Martini, M., Ieni, A., & Fadda, G. (2024). Histologic Evaluation of Thyroid Nodules Treated with Thermal Ablation: An Institutional Experience. International Journal of Molecular Sciences, 25(18), 10182. https://doi.org/10.3390/ijms251810182

